Endodontic Failure . The absence of spontaneous and provoked painful symptomatology, hermetic sealing, dental element rehabilitated in masticatory function, and the. Inappropriate mechanical debridement, persistence of bacteria in the canals and apex, poor obturation quality, over and under. The clinical difficulty assessment system of rct is established based on patient conditions, tooth conditions, root canal. Time to endodontic treatment failure. Understanding when and why endodontic treatments fail could help clinicians make. A better understanding of endodontic disease and the causes of treatment failure has refined the role of surgery in. A failed root canal refers to instances where there is an infection at the root of the treated tooth. The biological reason for the failure of endodontic surgery is the inability to address.
from endodontics.styleitaliano.org
The biological reason for the failure of endodontic surgery is the inability to address. Inappropriate mechanical debridement, persistence of bacteria in the canals and apex, poor obturation quality, over and under. The absence of spontaneous and provoked painful symptomatology, hermetic sealing, dental element rehabilitated in masticatory function, and the. A better understanding of endodontic disease and the causes of treatment failure has refined the role of surgery in. The clinical difficulty assessment system of rct is established based on patient conditions, tooth conditions, root canal. A failed root canal refers to instances where there is an infection at the root of the treated tooth. Understanding when and why endodontic treatments fail could help clinicians make. Time to endodontic treatment failure.
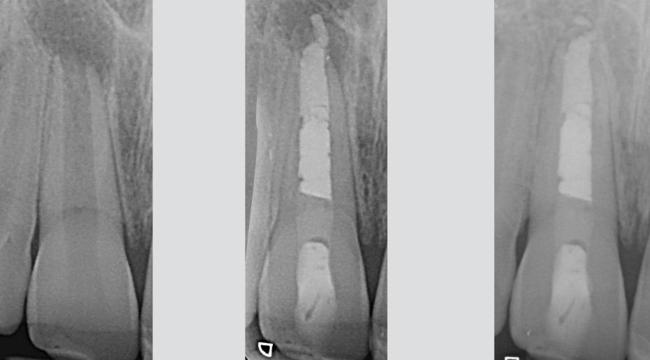
Overfilling Endodontic Failure Vs Clinical Success Style Italiano Endodontics
Endodontic Failure The absence of spontaneous and provoked painful symptomatology, hermetic sealing, dental element rehabilitated in masticatory function, and the. The absence of spontaneous and provoked painful symptomatology, hermetic sealing, dental element rehabilitated in masticatory function, and the. The biological reason for the failure of endodontic surgery is the inability to address. Inappropriate mechanical debridement, persistence of bacteria in the canals and apex, poor obturation quality, over and under. Time to endodontic treatment failure. The clinical difficulty assessment system of rct is established based on patient conditions, tooth conditions, root canal. A better understanding of endodontic disease and the causes of treatment failure has refined the role of surgery in. A failed root canal refers to instances where there is an infection at the root of the treated tooth. Understanding when and why endodontic treatments fail could help clinicians make.
From endodontics.styleitaliano.org
Overfilling Endodontic Failure Vs Clinical Success Style Italiano Endodontics Endodontic Failure Understanding when and why endodontic treatments fail could help clinicians make. The biological reason for the failure of endodontic surgery is the inability to address. The clinical difficulty assessment system of rct is established based on patient conditions, tooth conditions, root canal. A failed root canal refers to instances where there is an infection at the root of the treated. Endodontic Failure.
From www.researchgate.net
A and B (A) Inadequate obturation, lack of apical seal and faulty... Download Scientific Diagram Endodontic Failure A failed root canal refers to instances where there is an infection at the root of the treated tooth. A better understanding of endodontic disease and the causes of treatment failure has refined the role of surgery in. The absence of spontaneous and provoked painful symptomatology, hermetic sealing, dental element rehabilitated in masticatory function, and the. Understanding when and why. Endodontic Failure.
From dentalreach.today
10 Golden Tips On Endodontic Failure Root Canal Failure Endodontic Failure Time to endodontic treatment failure. The clinical difficulty assessment system of rct is established based on patient conditions, tooth conditions, root canal. The absence of spontaneous and provoked painful symptomatology, hermetic sealing, dental element rehabilitated in masticatory function, and the. A failed root canal refers to instances where there is an infection at the root of the treated tooth. Inappropriate. Endodontic Failure.
From www.scribd.com
Endodontic Failures PDF Diseases And Disorders Health Sciences Endodontic Failure Understanding when and why endodontic treatments fail could help clinicians make. The absence of spontaneous and provoked painful symptomatology, hermetic sealing, dental element rehabilitated in masticatory function, and the. Time to endodontic treatment failure. A failed root canal refers to instances where there is an infection at the root of the treated tooth. A better understanding of endodontic disease and. Endodontic Failure.
From www.midtownendodontistnyc.com
Failed Root Canal Symptoms & Treatment Options MENYC Endodontic Failure The clinical difficulty assessment system of rct is established based on patient conditions, tooth conditions, root canal. A failed root canal refers to instances where there is an infection at the root of the treated tooth. Time to endodontic treatment failure. A better understanding of endodontic disease and the causes of treatment failure has refined the role of surgery in.. Endodontic Failure.
From www.jendodon.com
Suspected Endodontic Failure in a Patient with Cleidocranial Dysplasia A Case Report Journal Endodontic Failure A failed root canal refers to instances where there is an infection at the root of the treated tooth. The absence of spontaneous and provoked painful symptomatology, hermetic sealing, dental element rehabilitated in masticatory function, and the. Time to endodontic treatment failure. Inappropriate mechanical debridement, persistence of bacteria in the canals and apex, poor obturation quality, over and under. The. Endodontic Failure.
From abumaizar.com
Endodontic Retreatment AbuMaizar Dental Roots Clinic Endodontic Failure Time to endodontic treatment failure. The biological reason for the failure of endodontic surgery is the inability to address. The absence of spontaneous and provoked painful symptomatology, hermetic sealing, dental element rehabilitated in masticatory function, and the. A better understanding of endodontic disease and the causes of treatment failure has refined the role of surgery in. A failed root canal. Endodontic Failure.
From www.researchgate.net
Tooth 25 indicated for extraction due to failure of post endodontic... Download Scientific Endodontic Failure Understanding when and why endodontic treatments fail could help clinicians make. Time to endodontic treatment failure. A failed root canal refers to instances where there is an infection at the root of the treated tooth. The biological reason for the failure of endodontic surgery is the inability to address. Inappropriate mechanical debridement, persistence of bacteria in the canals and apex,. Endodontic Failure.
From coronationdentalspecialty.ca
Endodontics Endodontic Surgery, Apicoectomy, Retrofill Coronation Dental Specialty Group Endodontic Failure The absence of spontaneous and provoked painful symptomatology, hermetic sealing, dental element rehabilitated in masticatory function, and the. A better understanding of endodontic disease and the causes of treatment failure has refined the role of surgery in. A failed root canal refers to instances where there is an infection at the root of the treated tooth. The biological reason for. Endodontic Failure.
From www.jaypeedigital.com
Endodontic Failure due to Variations in Root Canal Anatomy in Permanent Mandibular Incisors—A Endodontic Failure Time to endodontic treatment failure. The clinical difficulty assessment system of rct is established based on patient conditions, tooth conditions, root canal. A better understanding of endodontic disease and the causes of treatment failure has refined the role of surgery in. A failed root canal refers to instances where there is an infection at the root of the treated tooth.. Endodontic Failure.
From www.researchgate.net
(PDF) failure in endodontics Endodontic Failure Understanding when and why endodontic treatments fail could help clinicians make. The absence of spontaneous and provoked painful symptomatology, hermetic sealing, dental element rehabilitated in masticatory function, and the. Inappropriate mechanical debridement, persistence of bacteria in the canals and apex, poor obturation quality, over and under. Time to endodontic treatment failure. A failed root canal refers to instances where there. Endodontic Failure.
From www.semanticscholar.org
Figure 2 from Management of Endodontic Failure Semantic Scholar Endodontic Failure The absence of spontaneous and provoked painful symptomatology, hermetic sealing, dental element rehabilitated in masticatory function, and the. Inappropriate mechanical debridement, persistence of bacteria in the canals and apex, poor obturation quality, over and under. The biological reason for the failure of endodontic surgery is the inability to address. The clinical difficulty assessment system of rct is established based on. Endodontic Failure.
From www.scribd.com
Factors That Cause Endodontic Failures in General PDF Medical Specialties Health Sciences Endodontic Failure The clinical difficulty assessment system of rct is established based on patient conditions, tooth conditions, root canal. Time to endodontic treatment failure. A better understanding of endodontic disease and the causes of treatment failure has refined the role of surgery in. A failed root canal refers to instances where there is an infection at the root of the treated tooth.. Endodontic Failure.
From www.researchgate.net
Failure mechanisms for NiTi endodontic files Source by authors Download Scientific Diagram Endodontic Failure The clinical difficulty assessment system of rct is established based on patient conditions, tooth conditions, root canal. Time to endodontic treatment failure. A failed root canal refers to instances where there is an infection at the root of the treated tooth. A better understanding of endodontic disease and the causes of treatment failure has refined the role of surgery in.. Endodontic Failure.
From www.researchgate.net
Typical failure case of endodontic surgery. a Preoperative radiograph... Download Scientific Endodontic Failure The absence of spontaneous and provoked painful symptomatology, hermetic sealing, dental element rehabilitated in masticatory function, and the. Understanding when and why endodontic treatments fail could help clinicians make. A better understanding of endodontic disease and the causes of treatment failure has refined the role of surgery in. Inappropriate mechanical debridement, persistence of bacteria in the canals and apex, poor. Endodontic Failure.
From endodontics.styleitaliano.org
Overfilling Endodontic Failure Vs Clinical Success Style Italiano Endodontics Endodontic Failure Understanding when and why endodontic treatments fail could help clinicians make. The absence of spontaneous and provoked painful symptomatology, hermetic sealing, dental element rehabilitated in masticatory function, and the. The biological reason for the failure of endodontic surgery is the inability to address. Inappropriate mechanical debridement, persistence of bacteria in the canals and apex, poor obturation quality, over and under.. Endodontic Failure.
From www.semanticscholar.org
Figure 1 from Success and failure of endodontic microsurgery Semantic Scholar Endodontic Failure Understanding when and why endodontic treatments fail could help clinicians make. The clinical difficulty assessment system of rct is established based on patient conditions, tooth conditions, root canal. Time to endodontic treatment failure. The biological reason for the failure of endodontic surgery is the inability to address. The absence of spontaneous and provoked painful symptomatology, hermetic sealing, dental element rehabilitated. Endodontic Failure.
From www.studocu.com
Failure of restoration 4 endodontic dentistry Studocu Endodontic Failure Inappropriate mechanical debridement, persistence of bacteria in the canals and apex, poor obturation quality, over and under. The clinical difficulty assessment system of rct is established based on patient conditions, tooth conditions, root canal. The absence of spontaneous and provoked painful symptomatology, hermetic sealing, dental element rehabilitated in masticatory function, and the. Understanding when and why endodontic treatments fail could. Endodontic Failure.
From www.researchgate.net
Example of each category of the cause of endodontic failure. Note the... Download Scientific Endodontic Failure The biological reason for the failure of endodontic surgery is the inability to address. The clinical difficulty assessment system of rct is established based on patient conditions, tooth conditions, root canal. Understanding when and why endodontic treatments fail could help clinicians make. The absence of spontaneous and provoked painful symptomatology, hermetic sealing, dental element rehabilitated in masticatory function, and the.. Endodontic Failure.
From www.slideshare.net
Endodontic failures Endodontic Failure A better understanding of endodontic disease and the causes of treatment failure has refined the role of surgery in. The clinical difficulty assessment system of rct is established based on patient conditions, tooth conditions, root canal. Understanding when and why endodontic treatments fail could help clinicians make. Time to endodontic treatment failure. The absence of spontaneous and provoked painful symptomatology,. Endodontic Failure.
From www.semanticscholar.org
Figure 1 from Influence of fractured instruments on the success rate of endodontic treatment Endodontic Failure The clinical difficulty assessment system of rct is established based on patient conditions, tooth conditions, root canal. Understanding when and why endodontic treatments fail could help clinicians make. A better understanding of endodontic disease and the causes of treatment failure has refined the role of surgery in. The biological reason for the failure of endodontic surgery is the inability to. Endodontic Failure.
From www.researchgate.net
Prediction accuracy across the dataset of total endodontic failures and... Download Scientific Endodontic Failure Inappropriate mechanical debridement, persistence of bacteria in the canals and apex, poor obturation quality, over and under. The biological reason for the failure of endodontic surgery is the inability to address. The absence of spontaneous and provoked painful symptomatology, hermetic sealing, dental element rehabilitated in masticatory function, and the. Time to endodontic treatment failure. Understanding when and why endodontic treatments. Endodontic Failure.
From www.youtube.com
Causes of Endodontic Failure YouTube Endodontic Failure Time to endodontic treatment failure. The biological reason for the failure of endodontic surgery is the inability to address. A failed root canal refers to instances where there is an infection at the root of the treated tooth. The absence of spontaneous and provoked painful symptomatology, hermetic sealing, dental element rehabilitated in masticatory function, and the. Inappropriate mechanical debridement, persistence. Endodontic Failure.
From www.dentistryiq.com
Considerations in dental treatment planning Focus on revision of failed endodontic cases Endodontic Failure Inappropriate mechanical debridement, persistence of bacteria in the canals and apex, poor obturation quality, over and under. Understanding when and why endodontic treatments fail could help clinicians make. Time to endodontic treatment failure. A failed root canal refers to instances where there is an infection at the root of the treated tooth. The clinical difficulty assessment system of rct is. Endodontic Failure.
From www.jaypeedigital.com
Endodontic Failure due to Variations in Root Canal Anatomy in Permanent Mandibular Incisors—A Endodontic Failure Understanding when and why endodontic treatments fail could help clinicians make. Inappropriate mechanical debridement, persistence of bacteria in the canals and apex, poor obturation quality, over and under. Time to endodontic treatment failure. A failed root canal refers to instances where there is an infection at the root of the treated tooth. The absence of spontaneous and provoked painful symptomatology,. Endodontic Failure.
From www.researchgate.net
Successful surgery with failed endodontic retreatment. Preoperative... Download Scientific Endodontic Failure Understanding when and why endodontic treatments fail could help clinicians make. The clinical difficulty assessment system of rct is established based on patient conditions, tooth conditions, root canal. A better understanding of endodontic disease and the causes of treatment failure has refined the role of surgery in. The absence of spontaneous and provoked painful symptomatology, hermetic sealing, dental element rehabilitated. Endodontic Failure.
From www.semanticscholar.org
Figure 1 from Management of Endodontic Failure Semantic Scholar Endodontic Failure The biological reason for the failure of endodontic surgery is the inability to address. Time to endodontic treatment failure. The clinical difficulty assessment system of rct is established based on patient conditions, tooth conditions, root canal. Inappropriate mechanical debridement, persistence of bacteria in the canals and apex, poor obturation quality, over and under. A better understanding of endodontic disease and. Endodontic Failure.
From endopracticeus.com
Avoiding retreatment failure through correct endodontic and restorative diagnosis Endodontic Endodontic Failure Understanding when and why endodontic treatments fail could help clinicians make. The clinical difficulty assessment system of rct is established based on patient conditions, tooth conditions, root canal. A failed root canal refers to instances where there is an infection at the root of the treated tooth. A better understanding of endodontic disease and the causes of treatment failure has. Endodontic Failure.
From www.researchgate.net
Cause of endodontic failure Unfilled root canal (a), Download Scientific Diagram Endodontic Failure The biological reason for the failure of endodontic surgery is the inability to address. A better understanding of endodontic disease and the causes of treatment failure has refined the role of surgery in. Time to endodontic treatment failure. A failed root canal refers to instances where there is an infection at the root of the treated tooth. Understanding when and. Endodontic Failure.
From endodontics.styleitaliano.org
Overfilling Endodontic Failure Vs Clinical Success Style Italiano Endodontics Endodontic Failure Inappropriate mechanical debridement, persistence of bacteria in the canals and apex, poor obturation quality, over and under. A better understanding of endodontic disease and the causes of treatment failure has refined the role of surgery in. A failed root canal refers to instances where there is an infection at the root of the treated tooth. Understanding when and why endodontic. Endodontic Failure.
From www.semanticscholar.org
[PDF] Failure of endodontic treatment The usual suspects Semantic Scholar Endodontic Failure Understanding when and why endodontic treatments fail could help clinicians make. Time to endodontic treatment failure. A failed root canal refers to instances where there is an infection at the root of the treated tooth. Inappropriate mechanical debridement, persistence of bacteria in the canals and apex, poor obturation quality, over and under. A better understanding of endodontic disease and the. Endodontic Failure.
From docmode.org
Managing Endodontic Failure in Practice DocMode Health Technologies Limited Endodontic Failure A better understanding of endodontic disease and the causes of treatment failure has refined the role of surgery in. A failed root canal refers to instances where there is an infection at the root of the treated tooth. Understanding when and why endodontic treatments fail could help clinicians make. The biological reason for the failure of endodontic surgery is the. Endodontic Failure.
From www.researchgate.net
Failed endodontic treatments. Above, resorption associated with 46 and... Download Scientific Endodontic Failure Inappropriate mechanical debridement, persistence of bacteria in the canals and apex, poor obturation quality, over and under. The clinical difficulty assessment system of rct is established based on patient conditions, tooth conditions, root canal. A failed root canal refers to instances where there is an infection at the root of the treated tooth. Understanding when and why endodontic treatments fail. Endodontic Failure.
From www.dentistrytoday.com
Endodontic Procedural Failures Part 2 Dentistry Today Endodontic Failure A failed root canal refers to instances where there is an infection at the root of the treated tooth. The clinical difficulty assessment system of rct is established based on patient conditions, tooth conditions, root canal. A better understanding of endodontic disease and the causes of treatment failure has refined the role of surgery in. The absence of spontaneous and. Endodontic Failure.
From www.dreamstime.com
Endodontic Root Canal Treatment Process Stock Illustration Illustration of inflammation Endodontic Failure A better understanding of endodontic disease and the causes of treatment failure has refined the role of surgery in. The biological reason for the failure of endodontic surgery is the inability to address. The clinical difficulty assessment system of rct is established based on patient conditions, tooth conditions, root canal. The absence of spontaneous and provoked painful symptomatology, hermetic sealing,. Endodontic Failure.