Can Mri Pick Up Dementia . “can mri show if i have dementia?” in fact, we scan patients every day with a diagnosis of dementia, memory loss, alzheimer’s, and confusion, among a variety of other. But they’re not enough to diagnose dementia on their own. Doctors can use mri or ct scans to help diagnose dementia or even detect signs of dementia before symptoms appear. The most common types of brain scans are computed tomographic (ct) scans and magnetic resonance imaging (mri). Fmri is more commonly used in research rather than dementia diagnosis, to compare brain activity in people with dementia against people without dementia. Usually, the person is given a task to complete during the scan, like a thinking test. Mri holds several advantages over other imaging techniques in the context of dementia diagnosis. An mri uses powerful radio waves and magnets to create a detailed view of your brain. An mri uses a powerful magnetic field and radio frequency pulses to create a detailed picture of the brain to detect brain abnormalities and.
from yourdementiatherapist.com
But they’re not enough to diagnose dementia on their own. An mri uses powerful radio waves and magnets to create a detailed view of your brain. Doctors can use mri or ct scans to help diagnose dementia or even detect signs of dementia before symptoms appear. “can mri show if i have dementia?” in fact, we scan patients every day with a diagnosis of dementia, memory loss, alzheimer’s, and confusion, among a variety of other. Fmri is more commonly used in research rather than dementia diagnosis, to compare brain activity in people with dementia against people without dementia. The most common types of brain scans are computed tomographic (ct) scans and magnetic resonance imaging (mri). Usually, the person is given a task to complete during the scan, like a thinking test. Mri holds several advantages over other imaging techniques in the context of dementia diagnosis. An mri uses a powerful magnetic field and radio frequency pulses to create a detailed picture of the brain to detect brain abnormalities and.
Can an MRI Resonance Imaging) Detect Dementia? Your
Can Mri Pick Up Dementia Fmri is more commonly used in research rather than dementia diagnosis, to compare brain activity in people with dementia against people without dementia. Doctors can use mri or ct scans to help diagnose dementia or even detect signs of dementia before symptoms appear. “can mri show if i have dementia?” in fact, we scan patients every day with a diagnosis of dementia, memory loss, alzheimer’s, and confusion, among a variety of other. But they’re not enough to diagnose dementia on their own. An mri uses powerful radio waves and magnets to create a detailed view of your brain. Usually, the person is given a task to complete during the scan, like a thinking test. Fmri is more commonly used in research rather than dementia diagnosis, to compare brain activity in people with dementia against people without dementia. The most common types of brain scans are computed tomographic (ct) scans and magnetic resonance imaging (mri). An mri uses a powerful magnetic field and radio frequency pulses to create a detailed picture of the brain to detect brain abnormalities and. Mri holds several advantages over other imaging techniques in the context of dementia diagnosis.
From medicine.wustl.edu
MRI scans shows promise in predicting dementia Washington University Can Mri Pick Up Dementia Usually, the person is given a task to complete during the scan, like a thinking test. An mri uses powerful radio waves and magnets to create a detailed view of your brain. Fmri is more commonly used in research rather than dementia diagnosis, to compare brain activity in people with dementia against people without dementia. But they’re not enough to. Can Mri Pick Up Dementia.
From www.healthcareitnews.com
AIenabled app evaluates MRI data to help analyze dementia Healthcare Can Mri Pick Up Dementia Doctors can use mri or ct scans to help diagnose dementia or even detect signs of dementia before symptoms appear. Fmri is more commonly used in research rather than dementia diagnosis, to compare brain activity in people with dementia against people without dementia. Mri holds several advantages over other imaging techniques in the context of dementia diagnosis. An mri uses. Can Mri Pick Up Dementia.
From readementia.com
Can A CT Scan Show Dementia (Is MRI Better?) ReaDementia Can Mri Pick Up Dementia Mri holds several advantages over other imaging techniques in the context of dementia diagnosis. Doctors can use mri or ct scans to help diagnose dementia or even detect signs of dementia before symptoms appear. But they’re not enough to diagnose dementia on their own. An mri uses powerful radio waves and magnets to create a detailed view of your brain.. Can Mri Pick Up Dementia.
From www.dreamstime.com
MRI Brian of Dementia Patient Stock Photo Image of brains, medical Can Mri Pick Up Dementia Mri holds several advantages over other imaging techniques in the context of dementia diagnosis. Usually, the person is given a task to complete during the scan, like a thinking test. Fmri is more commonly used in research rather than dementia diagnosis, to compare brain activity in people with dementia against people without dementia. “can mri show if i have dementia?”. Can Mri Pick Up Dementia.
From readementia.com
Can A CT Scan Show Dementia (Is MRI Better?) ReaDementia Can Mri Pick Up Dementia The most common types of brain scans are computed tomographic (ct) scans and magnetic resonance imaging (mri). Fmri is more commonly used in research rather than dementia diagnosis, to compare brain activity in people with dementia against people without dementia. But they’re not enough to diagnose dementia on their own. Usually, the person is given a task to complete during. Can Mri Pick Up Dementia.
From www.bmj.com
Suspected early dementia The BMJ Can Mri Pick Up Dementia An mri uses a powerful magnetic field and radio frequency pulses to create a detailed picture of the brain to detect brain abnormalities and. But they’re not enough to diagnose dementia on their own. Usually, the person is given a task to complete during the scan, like a thinking test. Fmri is more commonly used in research rather than dementia. Can Mri Pick Up Dementia.
From quantummed.sg
Dementia Quantum Medical Imaging Can Mri Pick Up Dementia The most common types of brain scans are computed tomographic (ct) scans and magnetic resonance imaging (mri). But they’re not enough to diagnose dementia on their own. Fmri is more commonly used in research rather than dementia diagnosis, to compare brain activity in people with dementia against people without dementia. “can mri show if i have dementia?” in fact, we. Can Mri Pick Up Dementia.
From www.sciencephoto.com
Dementia, MRI scans Stock Image M140/0435 Science Photo Library Can Mri Pick Up Dementia Mri holds several advantages over other imaging techniques in the context of dementia diagnosis. An mri uses powerful radio waves and magnets to create a detailed view of your brain. Fmri is more commonly used in research rather than dementia diagnosis, to compare brain activity in people with dementia against people without dementia. Doctors can use mri or ct scans. Can Mri Pick Up Dementia.
From radiologyassistant.nl
The Radiology Assistant Dementia Role of MRI Can Mri Pick Up Dementia Usually, the person is given a task to complete during the scan, like a thinking test. “can mri show if i have dementia?” in fact, we scan patients every day with a diagnosis of dementia, memory loss, alzheimer’s, and confusion, among a variety of other. An mri uses powerful radio waves and magnets to create a detailed view of your. Can Mri Pick Up Dementia.
From www.bhf.org.uk
Vascular dementia BHF Can Mri Pick Up Dementia But they’re not enough to diagnose dementia on their own. An mri uses powerful radio waves and magnets to create a detailed view of your brain. An mri uses a powerful magnetic field and radio frequency pulses to create a detailed picture of the brain to detect brain abnormalities and. Fmri is more commonly used in research rather than dementia. Can Mri Pick Up Dementia.
From readementia.com
Can an MRI Detect Dementia? ReaDementia Can Mri Pick Up Dementia “can mri show if i have dementia?” in fact, we scan patients every day with a diagnosis of dementia, memory loss, alzheimer’s, and confusion, among a variety of other. An mri uses powerful radio waves and magnets to create a detailed view of your brain. The most common types of brain scans are computed tomographic (ct) scans and magnetic resonance. Can Mri Pick Up Dementia.
From newsroom.ucla.edu
MRI may help doctors differentiate causes of memory loss UCLA Can Mri Pick Up Dementia Doctors can use mri or ct scans to help diagnose dementia or even detect signs of dementia before symptoms appear. But they’re not enough to diagnose dementia on their own. Fmri is more commonly used in research rather than dementia diagnosis, to compare brain activity in people with dementia against people without dementia. An mri uses powerful radio waves and. Can Mri Pick Up Dementia.
From www.european-radiology.org
Early diagnosis of dementia with MRI European Radiology Can Mri Pick Up Dementia An mri uses powerful radio waves and magnets to create a detailed view of your brain. “can mri show if i have dementia?” in fact, we scan patients every day with a diagnosis of dementia, memory loss, alzheimer’s, and confusion, among a variety of other. An mri uses a powerful magnetic field and radio frequency pulses to create a detailed. Can Mri Pick Up Dementia.
From readementia.com
Can an MRI Detect Dementia? ReaDementia Can Mri Pick Up Dementia The most common types of brain scans are computed tomographic (ct) scans and magnetic resonance imaging (mri). An mri uses powerful radio waves and magnets to create a detailed view of your brain. Doctors can use mri or ct scans to help diagnose dementia or even detect signs of dementia before symptoms appear. An mri uses a powerful magnetic field. Can Mri Pick Up Dementia.
From practicalneurology.com
Brain Imaging in Differential Diagnosis of Dementia Practical Neurology Can Mri Pick Up Dementia “can mri show if i have dementia?” in fact, we scan patients every day with a diagnosis of dementia, memory loss, alzheimer’s, and confusion, among a variety of other. But they’re not enough to diagnose dementia on their own. Usually, the person is given a task to complete during the scan, like a thinking test. An mri uses powerful radio. Can Mri Pick Up Dementia.
From dementiatalkclub.weebly.com
Can You See Alzheimers On A Ct Scan Dementia Talk Club Can Mri Pick Up Dementia But they’re not enough to diagnose dementia on their own. Mri holds several advantages over other imaging techniques in the context of dementia diagnosis. The most common types of brain scans are computed tomographic (ct) scans and magnetic resonance imaging (mri). “can mri show if i have dementia?” in fact, we scan patients every day with a diagnosis of dementia,. Can Mri Pick Up Dementia.
From www.sciencephoto.com
Dementia, MRI scans Stock Image M140/0433 Science Photo Library Can Mri Pick Up Dementia But they’re not enough to diagnose dementia on their own. Mri holds several advantages over other imaging techniques in the context of dementia diagnosis. “can mri show if i have dementia?” in fact, we scan patients every day with a diagnosis of dementia, memory loss, alzheimer’s, and confusion, among a variety of other. The most common types of brain scans. Can Mri Pick Up Dementia.
From theradclinic.com
Can MRI Diagnose Dementia? The Radiology Clinic Can Mri Pick Up Dementia Mri holds several advantages over other imaging techniques in the context of dementia diagnosis. But they’re not enough to diagnose dementia on their own. Fmri is more commonly used in research rather than dementia diagnosis, to compare brain activity in people with dementia against people without dementia. The most common types of brain scans are computed tomographic (ct) scans and. Can Mri Pick Up Dementia.
From mrichandigarh.com
What Can a Brain MRI Tell Us About Dementia? MRI Chandigarh Can Mri Pick Up Dementia “can mri show if i have dementia?” in fact, we scan patients every day with a diagnosis of dementia, memory loss, alzheimer’s, and confusion, among a variety of other. But they’re not enough to diagnose dementia on their own. Doctors can use mri or ct scans to help diagnose dementia or even detect signs of dementia before symptoms appear. Mri. Can Mri Pick Up Dementia.
From mavink.com
Dementia Vs Normal Brain Mri Scan Can Mri Pick Up Dementia Fmri is more commonly used in research rather than dementia diagnosis, to compare brain activity in people with dementia against people without dementia. An mri uses a powerful magnetic field and radio frequency pulses to create a detailed picture of the brain to detect brain abnormalities and. “can mri show if i have dementia?” in fact, we scan patients every. Can Mri Pick Up Dementia.
From radiologyassistant.nl
The Radiology Assistant Dementia Role of MRI Can Mri Pick Up Dementia Fmri is more commonly used in research rather than dementia diagnosis, to compare brain activity in people with dementia against people without dementia. But they’re not enough to diagnose dementia on their own. Doctors can use mri or ct scans to help diagnose dementia or even detect signs of dementia before symptoms appear. “can mri show if i have dementia?”. Can Mri Pick Up Dementia.
From www.quantib.com
Visualizing Dementia How Developments in CT and MR Imaging help Can Mri Pick Up Dementia The most common types of brain scans are computed tomographic (ct) scans and magnetic resonance imaging (mri). Usually, the person is given a task to complete during the scan, like a thinking test. An mri uses powerful radio waves and magnets to create a detailed view of your brain. Mri holds several advantages over other imaging techniques in the context. Can Mri Pick Up Dementia.
From yourdementiatherapist.com
Can an MRI Resonance Imaging) Detect Dementia? Your Can Mri Pick Up Dementia An mri uses powerful radio waves and magnets to create a detailed view of your brain. Usually, the person is given a task to complete during the scan, like a thinking test. Doctors can use mri or ct scans to help diagnose dementia or even detect signs of dementia before symptoms appear. The most common types of brain scans are. Can Mri Pick Up Dementia.
From mrichandigarh.com
What Can a Brain MRI Tell Us About Dementia? MRI Chandigarh Can Mri Pick Up Dementia The most common types of brain scans are computed tomographic (ct) scans and magnetic resonance imaging (mri). Doctors can use mri or ct scans to help diagnose dementia or even detect signs of dementia before symptoms appear. An mri uses a powerful magnetic field and radio frequency pulses to create a detailed picture of the brain to detect brain abnormalities. Can Mri Pick Up Dementia.
From readementia.com
Can an MRI Detect Dementia? ReaDementia Can Mri Pick Up Dementia “can mri show if i have dementia?” in fact, we scan patients every day with a diagnosis of dementia, memory loss, alzheimer’s, and confusion, among a variety of other. An mri uses a powerful magnetic field and radio frequency pulses to create a detailed picture of the brain to detect brain abnormalities and. Fmri is more commonly used in research. Can Mri Pick Up Dementia.
From mrichandigarh.com
What Can a Brain MRI Tell Us About Dementia? MRI Chandigarh Can Mri Pick Up Dementia But they’re not enough to diagnose dementia on their own. Fmri is more commonly used in research rather than dementia diagnosis, to compare brain activity in people with dementia against people without dementia. Usually, the person is given a task to complete during the scan, like a thinking test. Doctors can use mri or ct scans to help diagnose dementia. Can Mri Pick Up Dementia.
From pubs.rsna.org
Multimodality Imaging of Dementia Clinical Importance and Role of Can Mri Pick Up Dementia Fmri is more commonly used in research rather than dementia diagnosis, to compare brain activity in people with dementia against people without dementia. The most common types of brain scans are computed tomographic (ct) scans and magnetic resonance imaging (mri). Usually, the person is given a task to complete during the scan, like a thinking test. Mri holds several advantages. Can Mri Pick Up Dementia.
From www.clinicallab.com
'White Matter Lesion' Mapping Tool Identifies Early Signs of Dementia Can Mri Pick Up Dementia “can mri show if i have dementia?” in fact, we scan patients every day with a diagnosis of dementia, memory loss, alzheimer’s, and confusion, among a variety of other. Fmri is more commonly used in research rather than dementia diagnosis, to compare brain activity in people with dementia against people without dementia. An mri uses a powerful magnetic field and. Can Mri Pick Up Dementia.
From www.eurorad.org
Frontotemporal dementia (Pick disease) Eurorad Can Mri Pick Up Dementia An mri uses a powerful magnetic field and radio frequency pulses to create a detailed picture of the brain to detect brain abnormalities and. An mri uses powerful radio waves and magnets to create a detailed view of your brain. But they’re not enough to diagnose dementia on their own. Mri holds several advantages over other imaging techniques in the. Can Mri Pick Up Dementia.
From mavink.com
Dementia Vs Normal Brain Mri Scan Can Mri Pick Up Dementia An mri uses powerful radio waves and magnets to create a detailed view of your brain. Mri holds several advantages over other imaging techniques in the context of dementia diagnosis. Usually, the person is given a task to complete during the scan, like a thinking test. Doctors can use mri or ct scans to help diagnose dementia or even detect. Can Mri Pick Up Dementia.
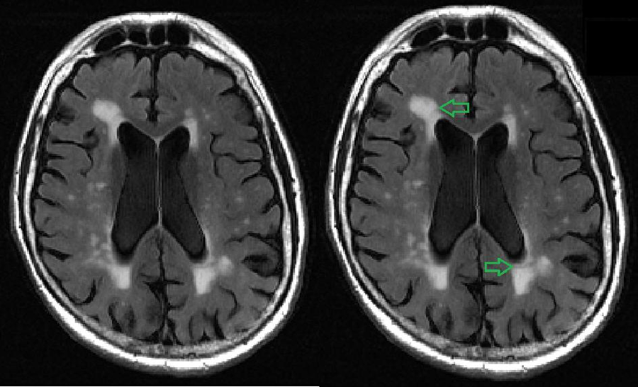
From www.researchgate.net
MRI examples of autoimmune dementia. (a) Bilateral T2hyperintensities Can Mri Pick Up Dementia But they’re not enough to diagnose dementia on their own. “can mri show if i have dementia?” in fact, we scan patients every day with a diagnosis of dementia, memory loss, alzheimer’s, and confusion, among a variety of other. An mri uses a powerful magnetic field and radio frequency pulses to create a detailed picture of the brain to detect. Can Mri Pick Up Dementia.
From radiologyassistant.nl
The Radiology Assistant Brain Dementia Role of MRI Can Mri Pick Up Dementia An mri uses a powerful magnetic field and radio frequency pulses to create a detailed picture of the brain to detect brain abnormalities and. Doctors can use mri or ct scans to help diagnose dementia or even detect signs of dementia before symptoms appear. Fmri is more commonly used in research rather than dementia diagnosis, to compare brain activity in. Can Mri Pick Up Dementia.
From consumer.healthday.com
Is Head Injury Causing Dementia? MRI Might Show Consumer Health News Can Mri Pick Up Dementia An mri uses powerful radio waves and magnets to create a detailed view of your brain. Mri holds several advantages over other imaging techniques in the context of dementia diagnosis. Usually, the person is given a task to complete during the scan, like a thinking test. The most common types of brain scans are computed tomographic (ct) scans and magnetic. Can Mri Pick Up Dementia.
From www.dreamstime.com
MRI brain Dementia stock image. Image of health, imaging 105439975 Can Mri Pick Up Dementia An mri uses a powerful magnetic field and radio frequency pulses to create a detailed picture of the brain to detect brain abnormalities and. The most common types of brain scans are computed tomographic (ct) scans and magnetic resonance imaging (mri). Mri holds several advantages over other imaging techniques in the context of dementia diagnosis. But they’re not enough to. Can Mri Pick Up Dementia.
From dementiatalkclub.weebly.com
Can Ct Scan Detect Alzheimers Dementia Talk Club Can Mri Pick Up Dementia The most common types of brain scans are computed tomographic (ct) scans and magnetic resonance imaging (mri). “can mri show if i have dementia?” in fact, we scan patients every day with a diagnosis of dementia, memory loss, alzheimer’s, and confusion, among a variety of other. Usually, the person is given a task to complete during the scan, like a. Can Mri Pick Up Dementia.