Diaphragmatic Excursion Scale . Patients may not demonstrate a change in tracheal morphology between inspiratory and. There are two measurement techniques: In patients with chronic obstructive pulmonary disease (copd), the maximum level of diaphragm excursion (de max) is correlated. The diaphragm ultrasound can assess diaphragm function by diaphragmatic excursion and diaphragmatic thickness. Diaphragmatic excursion values presented in this study can be used as reference values to detect diaphragmatic dysfunction in. One measures the diaphragm excursion (de) and the other evaluates diaphragm thickness. Diaphragmatic excursion (de) correlates with change in lung volume on expiratory imaging.
from www.slideserve.com
There are two measurement techniques: In patients with chronic obstructive pulmonary disease (copd), the maximum level of diaphragm excursion (de max) is correlated. Diaphragmatic excursion (de) correlates with change in lung volume on expiratory imaging. Diaphragmatic excursion values presented in this study can be used as reference values to detect diaphragmatic dysfunction in. One measures the diaphragm excursion (de) and the other evaluates diaphragm thickness. The diaphragm ultrasound can assess diaphragm function by diaphragmatic excursion and diaphragmatic thickness. Patients may not demonstrate a change in tracheal morphology between inspiratory and.
PPT Diaphragmatic Excursion PowerPoint Presentation, free download
Diaphragmatic Excursion Scale Diaphragmatic excursion (de) correlates with change in lung volume on expiratory imaging. Diaphragmatic excursion values presented in this study can be used as reference values to detect diaphragmatic dysfunction in. There are two measurement techniques: One measures the diaphragm excursion (de) and the other evaluates diaphragm thickness. Diaphragmatic excursion (de) correlates with change in lung volume on expiratory imaging. In patients with chronic obstructive pulmonary disease (copd), the maximum level of diaphragm excursion (de max) is correlated. Patients may not demonstrate a change in tracheal morphology between inspiratory and. The diaphragm ultrasound can assess diaphragm function by diaphragmatic excursion and diaphragmatic thickness.
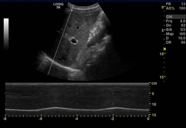
From www.cureus.com
Cureus The Use of AngleIndependent MMode in the Evaluation of Diaphragmatic Excursion Scale In patients with chronic obstructive pulmonary disease (copd), the maximum level of diaphragm excursion (de max) is correlated. Diaphragmatic excursion values presented in this study can be used as reference values to detect diaphragmatic dysfunction in. The diaphragm ultrasound can assess diaphragm function by diaphragmatic excursion and diaphragmatic thickness. One measures the diaphragm excursion (de) and the other evaluates diaphragm. Diaphragmatic Excursion Scale.
From www.researchgate.net
Image showing measurement of the diaphragmatic inspiratory excursion Diaphragmatic Excursion Scale The diaphragm ultrasound can assess diaphragm function by diaphragmatic excursion and diaphragmatic thickness. One measures the diaphragm excursion (de) and the other evaluates diaphragm thickness. There are two measurement techniques: Patients may not demonstrate a change in tracheal morphology between inspiratory and. In patients with chronic obstructive pulmonary disease (copd), the maximum level of diaphragm excursion (de max) is correlated.. Diaphragmatic Excursion Scale.
From www.slideserve.com
PPT Thorax and Lungs N1037 PowerPoint Presentation, free download Diaphragmatic Excursion Scale Diaphragmatic excursion (de) correlates with change in lung volume on expiratory imaging. There are two measurement techniques: One measures the diaphragm excursion (de) and the other evaluates diaphragm thickness. The diaphragm ultrasound can assess diaphragm function by diaphragmatic excursion and diaphragmatic thickness. In patients with chronic obstructive pulmonary disease (copd), the maximum level of diaphragm excursion (de max) is correlated.. Diaphragmatic Excursion Scale.
From mobilephysiotherapyclinic.net
Diaphragmatic Breathing Exercise Benefits, How to do? Diaphragmatic Excursion Scale Diaphragmatic excursion values presented in this study can be used as reference values to detect diaphragmatic dysfunction in. Patients may not demonstrate a change in tracheal morphology between inspiratory and. In patients with chronic obstructive pulmonary disease (copd), the maximum level of diaphragm excursion (de max) is correlated. Diaphragmatic excursion (de) correlates with change in lung volume on expiratory imaging.. Diaphragmatic Excursion Scale.
From bio.libretexts.org
14.5 Axial Muscles of the Abdominal Wall and Thorax Biology LibreTexts Diaphragmatic Excursion Scale Diaphragmatic excursion (de) correlates with change in lung volume on expiratory imaging. Diaphragmatic excursion values presented in this study can be used as reference values to detect diaphragmatic dysfunction in. There are two measurement techniques: The diaphragm ultrasound can assess diaphragm function by diaphragmatic excursion and diaphragmatic thickness. Patients may not demonstrate a change in tracheal morphology between inspiratory and.. Diaphragmatic Excursion Scale.
From theultrasoundjournal.springeropen.com
The Area method a new method for ultrasound assessment of Diaphragmatic Excursion Scale Diaphragmatic excursion values presented in this study can be used as reference values to detect diaphragmatic dysfunction in. Diaphragmatic excursion (de) correlates with change in lung volume on expiratory imaging. In patients with chronic obstructive pulmonary disease (copd), the maximum level of diaphragm excursion (de max) is correlated. The diaphragm ultrasound can assess diaphragm function by diaphragmatic excursion and diaphragmatic. Diaphragmatic Excursion Scale.
From www.researchgate.net
(PDF) Diaphragmatic excursion is correlated with the improvement in Diaphragmatic Excursion Scale One measures the diaphragm excursion (de) and the other evaluates diaphragm thickness. Diaphragmatic excursion (de) correlates with change in lung volume on expiratory imaging. Patients may not demonstrate a change in tracheal morphology between inspiratory and. In patients with chronic obstructive pulmonary disease (copd), the maximum level of diaphragm excursion (de max) is correlated. The diaphragm ultrasound can assess diaphragm. Diaphragmatic Excursion Scale.
From www.slideserve.com
PPT ASSESSING THE RESPIRATORY SYSTEM PowerPoint Presentation, free Diaphragmatic Excursion Scale Diaphragmatic excursion (de) correlates with change in lung volume on expiratory imaging. In patients with chronic obstructive pulmonary disease (copd), the maximum level of diaphragm excursion (de max) is correlated. There are two measurement techniques: Patients may not demonstrate a change in tracheal morphology between inspiratory and. Diaphragmatic excursion values presented in this study can be used as reference values. Diaphragmatic Excursion Scale.
From alifeofpocus.com
Diaphragm ALIFE Diaphragmatic Excursion Scale One measures the diaphragm excursion (de) and the other evaluates diaphragm thickness. There are two measurement techniques: Patients may not demonstrate a change in tracheal morphology between inspiratory and. Diaphragmatic excursion values presented in this study can be used as reference values to detect diaphragmatic dysfunction in. The diaphragm ultrasound can assess diaphragm function by diaphragmatic excursion and diaphragmatic thickness.. Diaphragmatic Excursion Scale.
From www.researchgate.net
Correlations between maximum diaphragmatic excursion values with Diaphragmatic Excursion Scale Diaphragmatic excursion values presented in this study can be used as reference values to detect diaphragmatic dysfunction in. One measures the diaphragm excursion (de) and the other evaluates diaphragm thickness. There are two measurement techniques: Patients may not demonstrate a change in tracheal morphology between inspiratory and. In patients with chronic obstructive pulmonary disease (copd), the maximum level of diaphragm. Diaphragmatic Excursion Scale.
From www.researchgate.net
Mmode US demonstrates normal right diaphragmatic excursion with Diaphragmatic Excursion Scale In patients with chronic obstructive pulmonary disease (copd), the maximum level of diaphragm excursion (de max) is correlated. Diaphragmatic excursion values presented in this study can be used as reference values to detect diaphragmatic dysfunction in. Patients may not demonstrate a change in tracheal morphology between inspiratory and. One measures the diaphragm excursion (de) and the other evaluates diaphragm thickness.. Diaphragmatic Excursion Scale.
From www.dovepress.com
Diaphragm excursion in enhancing exercise tolerance COPD Diaphragmatic Excursion Scale In patients with chronic obstructive pulmonary disease (copd), the maximum level of diaphragm excursion (de max) is correlated. The diaphragm ultrasound can assess diaphragm function by diaphragmatic excursion and diaphragmatic thickness. Diaphragmatic excursion (de) correlates with change in lung volume on expiratory imaging. There are two measurement techniques: Diaphragmatic excursion values presented in this study can be used as reference. Diaphragmatic Excursion Scale.
From slidetodoc.com
Chapter 1 History and Physical Examination Objectives 1 Diaphragmatic Excursion Scale Patients may not demonstrate a change in tracheal morphology between inspiratory and. In patients with chronic obstructive pulmonary disease (copd), the maximum level of diaphragm excursion (de max) is correlated. One measures the diaphragm excursion (de) and the other evaluates diaphragm thickness. There are two measurement techniques: The diaphragm ultrasound can assess diaphragm function by diaphragmatic excursion and diaphragmatic thickness.. Diaphragmatic Excursion Scale.
From www.scielo.br
SciELO Brasil Diaphragmatic ultrasound a review of its Diaphragmatic Excursion Scale There are two measurement techniques: In patients with chronic obstructive pulmonary disease (copd), the maximum level of diaphragm excursion (de max) is correlated. Diaphragmatic excursion values presented in this study can be used as reference values to detect diaphragmatic dysfunction in. Patients may not demonstrate a change in tracheal morphology between inspiratory and. The diaphragm ultrasound can assess diaphragm function. Diaphragmatic Excursion Scale.
From www.researchgate.net
Perioperative Diaphragmatic Excursion of the Operated Side, Tidal Diaphragmatic Excursion Scale Patients may not demonstrate a change in tracheal morphology between inspiratory and. There are two measurement techniques: In patients with chronic obstructive pulmonary disease (copd), the maximum level of diaphragm excursion (de max) is correlated. Diaphragmatic excursion (de) correlates with change in lung volume on expiratory imaging. The diaphragm ultrasound can assess diaphragm function by diaphragmatic excursion and diaphragmatic thickness.. Diaphragmatic Excursion Scale.
From www.dovepress.com
Diaphragm excursion in enhancing exercise tolerance COPD Diaphragmatic Excursion Scale Diaphragmatic excursion (de) correlates with change in lung volume on expiratory imaging. In patients with chronic obstructive pulmonary disease (copd), the maximum level of diaphragm excursion (de max) is correlated. One measures the diaphragm excursion (de) and the other evaluates diaphragm thickness. There are two measurement techniques: The diaphragm ultrasound can assess diaphragm function by diaphragmatic excursion and diaphragmatic thickness.. Diaphragmatic Excursion Scale.
From www.cmsnl.com
596670AE00 Diaphragm Suzuki buy the 596670AE00 at CMSNL Diaphragmatic Excursion Scale Diaphragmatic excursion values presented in this study can be used as reference values to detect diaphragmatic dysfunction in. There are two measurement techniques: Diaphragmatic excursion (de) correlates with change in lung volume on expiratory imaging. One measures the diaphragm excursion (de) and the other evaluates diaphragm thickness. In patients with chronic obstructive pulmonary disease (copd), the maximum level of diaphragm. Diaphragmatic Excursion Scale.
From www.scielo.br
SciELO Brasil Diaphragmatic and excursion thickness in newborns Diaphragmatic Excursion Scale The diaphragm ultrasound can assess diaphragm function by diaphragmatic excursion and diaphragmatic thickness. There are two measurement techniques: Diaphragmatic excursion (de) correlates with change in lung volume on expiratory imaging. Diaphragmatic excursion values presented in this study can be used as reference values to detect diaphragmatic dysfunction in. Patients may not demonstrate a change in tracheal morphology between inspiratory and.. Diaphragmatic Excursion Scale.
From www.researchgate.net
Correlations between changes in 6MWD with diaphragm excursion and Diaphragmatic Excursion Scale Patients may not demonstrate a change in tracheal morphology between inspiratory and. Diaphragmatic excursion values presented in this study can be used as reference values to detect diaphragmatic dysfunction in. In patients with chronic obstructive pulmonary disease (copd), the maximum level of diaphragm excursion (de max) is correlated. The diaphragm ultrasound can assess diaphragm function by diaphragmatic excursion and diaphragmatic. Diaphragmatic Excursion Scale.
From www.mdpi.com
JCM Free FullText The Use of Diaphragm Ultrasonography in Diaphragmatic Excursion Scale There are two measurement techniques: Diaphragmatic excursion (de) correlates with change in lung volume on expiratory imaging. Diaphragmatic excursion values presented in this study can be used as reference values to detect diaphragmatic dysfunction in. In patients with chronic obstructive pulmonary disease (copd), the maximum level of diaphragm excursion (de max) is correlated. The diaphragm ultrasound can assess diaphragm function. Diaphragmatic Excursion Scale.
From www.frontiersin.org
Frontiers Pointofcare application of diaphragmatic ultrasonography Diaphragmatic Excursion Scale The diaphragm ultrasound can assess diaphragm function by diaphragmatic excursion and diaphragmatic thickness. One measures the diaphragm excursion (de) and the other evaluates diaphragm thickness. Diaphragmatic excursion values presented in this study can be used as reference values to detect diaphragmatic dysfunction in. There are two measurement techniques: Patients may not demonstrate a change in tracheal morphology between inspiratory and.. Diaphragmatic Excursion Scale.
From biology-forums.com
Diaphragmatic Excursion Biology Forums Gallery Diaphragmatic Excursion Scale There are two measurement techniques: The diaphragm ultrasound can assess diaphragm function by diaphragmatic excursion and diaphragmatic thickness. One measures the diaphragm excursion (de) and the other evaluates diaphragm thickness. Patients may not demonstrate a change in tracheal morphology between inspiratory and. Diaphragmatic excursion (de) correlates with change in lung volume on expiratory imaging. In patients with chronic obstructive pulmonary. Diaphragmatic Excursion Scale.
From www.slideserve.com
PPT Physical Examination of the Chest Department of medicine Liu Yuan Diaphragmatic Excursion Scale In patients with chronic obstructive pulmonary disease (copd), the maximum level of diaphragm excursion (de max) is correlated. Diaphragmatic excursion (de) correlates with change in lung volume on expiratory imaging. One measures the diaphragm excursion (de) and the other evaluates diaphragm thickness. Diaphragmatic excursion values presented in this study can be used as reference values to detect diaphragmatic dysfunction in.. Diaphragmatic Excursion Scale.
From www.researchgate.net
Annotated depiction of diaphragmatic excursion calculation in a healthy Diaphragmatic Excursion Scale One measures the diaphragm excursion (de) and the other evaluates diaphragm thickness. Diaphragmatic excursion values presented in this study can be used as reference values to detect diaphragmatic dysfunction in. In patients with chronic obstructive pulmonary disease (copd), the maximum level of diaphragm excursion (de max) is correlated. Patients may not demonstrate a change in tracheal morphology between inspiratory and.. Diaphragmatic Excursion Scale.
From www.researchgate.net
The measurement of diaphragmatic thickness and excursion. (A) A 1015 Diaphragmatic Excursion Scale Diaphragmatic excursion values presented in this study can be used as reference values to detect diaphragmatic dysfunction in. One measures the diaphragm excursion (de) and the other evaluates diaphragm thickness. The diaphragm ultrasound can assess diaphragm function by diaphragmatic excursion and diaphragmatic thickness. Diaphragmatic excursion (de) correlates with change in lung volume on expiratory imaging. Patients may not demonstrate a. Diaphragmatic Excursion Scale.
From www.slideserve.com
PPT Diaphragmatic Excursion PowerPoint Presentation, free download Diaphragmatic Excursion Scale In patients with chronic obstructive pulmonary disease (copd), the maximum level of diaphragm excursion (de max) is correlated. There are two measurement techniques: The diaphragm ultrasound can assess diaphragm function by diaphragmatic excursion and diaphragmatic thickness. Patients may not demonstrate a change in tracheal morphology between inspiratory and. Diaphragmatic excursion values presented in this study can be used as reference. Diaphragmatic Excursion Scale.
From www.mdpi.com
Brain Sciences Free FullText Assessment of Diaphragm in Hemiplegic Diaphragmatic Excursion Scale There are two measurement techniques: The diaphragm ultrasound can assess diaphragm function by diaphragmatic excursion and diaphragmatic thickness. One measures the diaphragm excursion (de) and the other evaluates diaphragm thickness. In patients with chronic obstructive pulmonary disease (copd), the maximum level of diaphragm excursion (de max) is correlated. Diaphragmatic excursion (de) correlates with change in lung volume on expiratory imaging.. Diaphragmatic Excursion Scale.
From slideplayer.com
Assessment thorax & lungs ppt video online download Diaphragmatic Excursion Scale The diaphragm ultrasound can assess diaphragm function by diaphragmatic excursion and diaphragmatic thickness. Diaphragmatic excursion values presented in this study can be used as reference values to detect diaphragmatic dysfunction in. One measures the diaphragm excursion (de) and the other evaluates diaphragm thickness. Diaphragmatic excursion (de) correlates with change in lung volume on expiratory imaging. There are two measurement techniques:. Diaphragmatic Excursion Scale.
From www.researchgate.net
Diaphragmatic excursion. A Placement of ultrasound probe to record Diaphragmatic Excursion Scale One measures the diaphragm excursion (de) and the other evaluates diaphragm thickness. The diaphragm ultrasound can assess diaphragm function by diaphragmatic excursion and diaphragmatic thickness. Diaphragmatic excursion values presented in this study can be used as reference values to detect diaphragmatic dysfunction in. In patients with chronic obstructive pulmonary disease (copd), the maximum level of diaphragm excursion (de max) is. Diaphragmatic Excursion Scale.
From www.researchgate.net
] Mean Diaphragm Excursion, Inspiratory Time, and ExcursionTime Index Diaphragmatic Excursion Scale There are two measurement techniques: In patients with chronic obstructive pulmonary disease (copd), the maximum level of diaphragm excursion (de max) is correlated. One measures the diaphragm excursion (de) and the other evaluates diaphragm thickness. Patients may not demonstrate a change in tracheal morphology between inspiratory and. Diaphragmatic excursion values presented in this study can be used as reference values. Diaphragmatic Excursion Scale.
From www.slideserve.com
PPT Diaphragmatic Excursion PowerPoint Presentation, free download Diaphragmatic Excursion Scale In patients with chronic obstructive pulmonary disease (copd), the maximum level of diaphragm excursion (de max) is correlated. Patients may not demonstrate a change in tracheal morphology between inspiratory and. One measures the diaphragm excursion (de) and the other evaluates diaphragm thickness. There are two measurement techniques: The diaphragm ultrasound can assess diaphragm function by diaphragmatic excursion and diaphragmatic thickness.. Diaphragmatic Excursion Scale.
From www.researchgate.net
The isoproterenolinduced Heart Failure (HF) model significantly Diaphragmatic Excursion Scale There are two measurement techniques: In patients with chronic obstructive pulmonary disease (copd), the maximum level of diaphragm excursion (de max) is correlated. Diaphragmatic excursion (de) correlates with change in lung volume on expiratory imaging. Patients may not demonstrate a change in tracheal morphology between inspiratory and. Diaphragmatic excursion values presented in this study can be used as reference values. Diaphragmatic Excursion Scale.
From www.researchgate.net
Ultrasound image of diaphragmatic excursion measurement in TV (A) and Diaphragmatic Excursion Scale The diaphragm ultrasound can assess diaphragm function by diaphragmatic excursion and diaphragmatic thickness. In patients with chronic obstructive pulmonary disease (copd), the maximum level of diaphragm excursion (de max) is correlated. One measures the diaphragm excursion (de) and the other evaluates diaphragm thickness. Diaphragmatic excursion values presented in this study can be used as reference values to detect diaphragmatic dysfunction. Diaphragmatic Excursion Scale.
From www.researchgate.net
. Rt. diaphragm mean excursion was greater 24.7 ± 8.7 mm vs. 7.6 ± 2.02 Diaphragmatic Excursion Scale In patients with chronic obstructive pulmonary disease (copd), the maximum level of diaphragm excursion (de max) is correlated. Diaphragmatic excursion (de) correlates with change in lung volume on expiratory imaging. The diaphragm ultrasound can assess diaphragm function by diaphragmatic excursion and diaphragmatic thickness. One measures the diaphragm excursion (de) and the other evaluates diaphragm thickness. Patients may not demonstrate a. Diaphragmatic Excursion Scale.
From pdfhost.io
Diaphragmatic Breathing Instruction PDF Host Diaphragmatic Excursion Scale Diaphragmatic excursion (de) correlates with change in lung volume on expiratory imaging. In patients with chronic obstructive pulmonary disease (copd), the maximum level of diaphragm excursion (de max) is correlated. Diaphragmatic excursion values presented in this study can be used as reference values to detect diaphragmatic dysfunction in. Patients may not demonstrate a change in tracheal morphology between inspiratory and.. Diaphragmatic Excursion Scale.