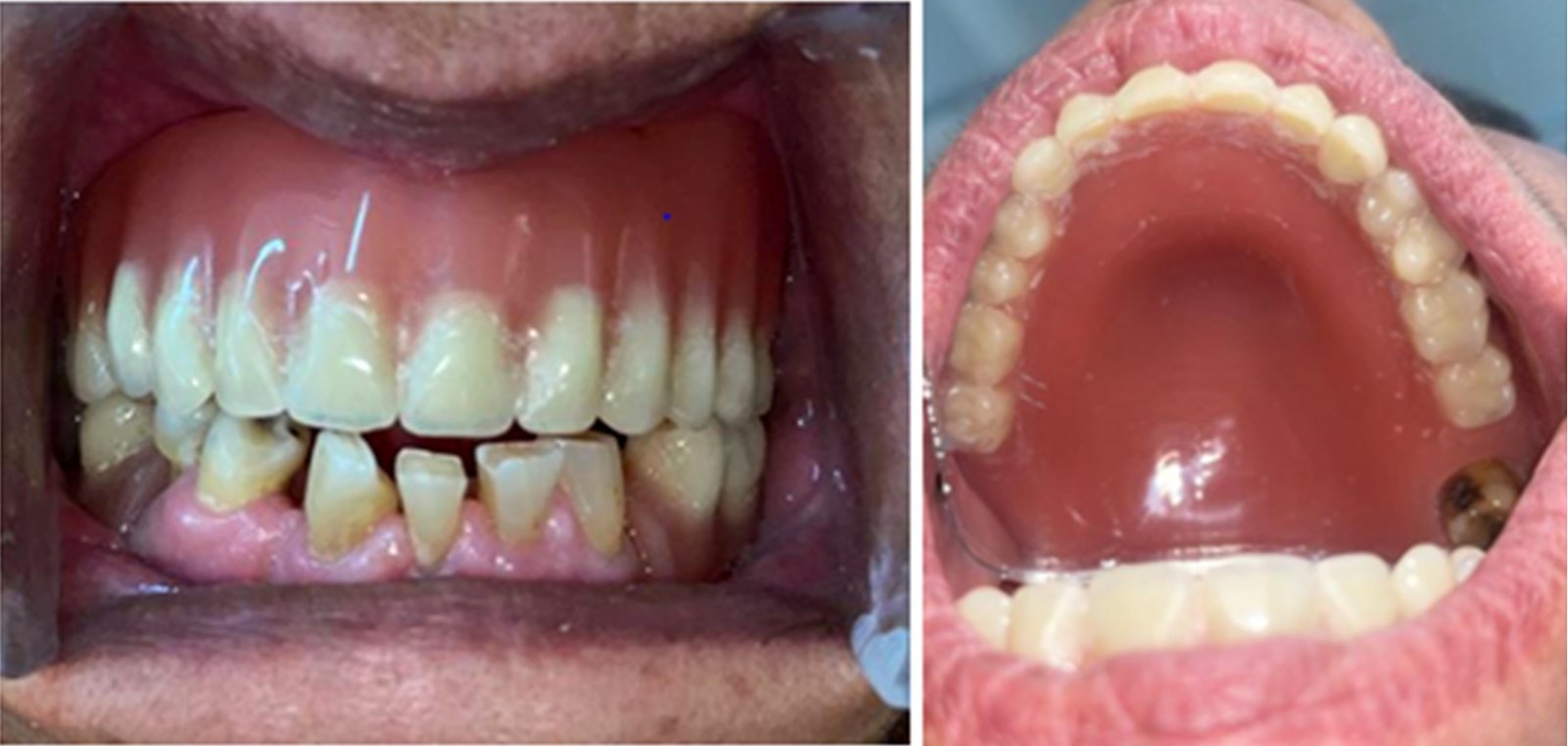
Cusil Denture Steps . Over 30 years of proven performance have demonstrated its superior quality and. Cusil denture is a tooth and tissue bearing acrylic denture which has holes for natural tooth to emerge through it and a gasket surrounding. When very few natural teeth remains in the oral cavity, prosthetic rehabilitation can be possible by over denture, immediate denture,. It is a type of transitional denture that provides an alternative treatment plan.
from www.semanticscholar.org
Over 30 years of proven performance have demonstrated its superior quality and. Cusil denture is a tooth and tissue bearing acrylic denture which has holes for natural tooth to emerge through it and a gasket surrounding. When very few natural teeth remains in the oral cavity, prosthetic rehabilitation can be possible by over denture, immediate denture,. It is a type of transitional denture that provides an alternative treatment plan.
Figure 3 from Cusil denture an innovative approach to preserve the
Cusil Denture Steps Over 30 years of proven performance have demonstrated its superior quality and. Over 30 years of proven performance have demonstrated its superior quality and. Cusil denture is a tooth and tissue bearing acrylic denture which has holes for natural tooth to emerge through it and a gasket surrounding. When very few natural teeth remains in the oral cavity, prosthetic rehabilitation can be possible by over denture, immediate denture,. It is a type of transitional denture that provides an alternative treatment plan.
From www.semanticscholar.org
Figure 3 from Cusil denture an innovative approach to preserve the Cusil Denture Steps Cusil denture is a tooth and tissue bearing acrylic denture which has holes for natural tooth to emerge through it and a gasket surrounding. It is a type of transitional denture that provides an alternative treatment plan. Over 30 years of proven performance have demonstrated its superior quality and. When very few natural teeth remains in the oral cavity, prosthetic. Cusil Denture Steps.
From arianadentlab.com
Cusil Denture Ariana Dental Lab Inc. Cusil Denture Steps Over 30 years of proven performance have demonstrated its superior quality and. When very few natural teeth remains in the oral cavity, prosthetic rehabilitation can be possible by over denture, immediate denture,. Cusil denture is a tooth and tissue bearing acrylic denture which has holes for natural tooth to emerge through it and a gasket surrounding. It is a type. Cusil Denture Steps.
From www.guident.net
Online Open Access Dental Magazine, Journal, Publication, Dentistry Journal Cusil Denture Steps It is a type of transitional denture that provides an alternative treatment plan. When very few natural teeth remains in the oral cavity, prosthetic rehabilitation can be possible by over denture, immediate denture,. Cusil denture is a tooth and tissue bearing acrylic denture which has holes for natural tooth to emerge through it and a gasket surrounding. Over 30 years. Cusil Denture Steps.
From vossdental.com
A Complete Guide For Your New Set Of Dentures Voss Dental Cusil Denture Steps It is a type of transitional denture that provides an alternative treatment plan. Cusil denture is a tooth and tissue bearing acrylic denture which has holes for natural tooth to emerge through it and a gasket surrounding. Over 30 years of proven performance have demonstrated its superior quality and. When very few natural teeth remains in the oral cavity, prosthetic. Cusil Denture Steps.
From www.youtube.com
What is a Cusil Partial Denture YouTube Cusil Denture Steps Cusil denture is a tooth and tissue bearing acrylic denture which has holes for natural tooth to emerge through it and a gasket surrounding. Over 30 years of proven performance have demonstrated its superior quality and. It is a type of transitional denture that provides an alternative treatment plan. When very few natural teeth remains in the oral cavity, prosthetic. Cusil Denture Steps.
From www.semanticscholar.org
Figure 6 from Cusil denture an innovative approach to preserve the Cusil Denture Steps Over 30 years of proven performance have demonstrated its superior quality and. Cusil denture is a tooth and tissue bearing acrylic denture which has holes for natural tooth to emerge through it and a gasket surrounding. It is a type of transitional denture that provides an alternative treatment plan. When very few natural teeth remains in the oral cavity, prosthetic. Cusil Denture Steps.
From www.finlaysutton.co.uk
Soft linings (Molloplast B) with complete dentures need metal Cusil Denture Steps Cusil denture is a tooth and tissue bearing acrylic denture which has holes for natural tooth to emerge through it and a gasket surrounding. Over 30 years of proven performance have demonstrated its superior quality and. It is a type of transitional denture that provides an alternative treatment plan. When very few natural teeth remains in the oral cavity, prosthetic. Cusil Denture Steps.
From www.youtube.com
How To SetUp Dentures, StepByStep YouTube Cusil Denture Steps Cusil denture is a tooth and tissue bearing acrylic denture which has holes for natural tooth to emerge through it and a gasket surrounding. It is a type of transitional denture that provides an alternative treatment plan. Over 30 years of proven performance have demonstrated its superior quality and. When very few natural teeth remains in the oral cavity, prosthetic. Cusil Denture Steps.
From pdfcoffee.com
Cusil Denture Transitional Overdentures Cusil Denture Steps Over 30 years of proven performance have demonstrated its superior quality and. Cusil denture is a tooth and tissue bearing acrylic denture which has holes for natural tooth to emerge through it and a gasket surrounding. It is a type of transitional denture that provides an alternative treatment plan. When very few natural teeth remains in the oral cavity, prosthetic. Cusil Denture Steps.
From www.dentaltechnologystudio2.com
Cusil Dentures Premium Dentures Ultra Premium dentures — Dental Cusil Denture Steps When very few natural teeth remains in the oral cavity, prosthetic rehabilitation can be possible by over denture, immediate denture,. Cusil denture is a tooth and tissue bearing acrylic denture which has holes for natural tooth to emerge through it and a gasket surrounding. Over 30 years of proven performance have demonstrated its superior quality and. It is a type. Cusil Denture Steps.
From arianadentlab.com
Ariana Dental Lab Inc. NYC's Best Dentures Cusil Denture Steps Over 30 years of proven performance have demonstrated its superior quality and. Cusil denture is a tooth and tissue bearing acrylic denture which has holes for natural tooth to emerge through it and a gasket surrounding. It is a type of transitional denture that provides an alternative treatment plan. When very few natural teeth remains in the oral cavity, prosthetic. Cusil Denture Steps.
From www.semanticscholar.org
[PDF] Hybrid Prosthesis Overdenture Cum CuSIL Denture Semantic Scholar Cusil Denture Steps Cusil denture is a tooth and tissue bearing acrylic denture which has holes for natural tooth to emerge through it and a gasket surrounding. It is a type of transitional denture that provides an alternative treatment plan. Over 30 years of proven performance have demonstrated its superior quality and. When very few natural teeth remains in the oral cavity, prosthetic. Cusil Denture Steps.
From pocketdentistry.com
13. Polymers in Prosthodontics Pocket Dentistry Cusil Denture Steps Cusil denture is a tooth and tissue bearing acrylic denture which has holes for natural tooth to emerge through it and a gasket surrounding. Over 30 years of proven performance have demonstrated its superior quality and. It is a type of transitional denture that provides an alternative treatment plan. When very few natural teeth remains in the oral cavity, prosthetic. Cusil Denture Steps.
From www.maltepedentalclinic.com
Different Types Of Dentures Which One Is Right For You? Maltepe Cusil Denture Steps Over 30 years of proven performance have demonstrated its superior quality and. It is a type of transitional denture that provides an alternative treatment plan. Cusil denture is a tooth and tissue bearing acrylic denture which has holes for natural tooth to emerge through it and a gasket surrounding. When very few natural teeth remains in the oral cavity, prosthetic. Cusil Denture Steps.
From www.semanticscholar.org
Figure 8 from Cusil denture an innovative approach to preserve the Cusil Denture Steps It is a type of transitional denture that provides an alternative treatment plan. Cusil denture is a tooth and tissue bearing acrylic denture which has holes for natural tooth to emerge through it and a gasket surrounding. When very few natural teeth remains in the oral cavity, prosthetic rehabilitation can be possible by over denture, immediate denture,. Over 30 years. Cusil Denture Steps.
From www.youtube.com
A case of an Immediate upper denture and a lower cusil partial denture Cusil Denture Steps Cusil denture is a tooth and tissue bearing acrylic denture which has holes for natural tooth to emerge through it and a gasket surrounding. It is a type of transitional denture that provides an alternative treatment plan. Over 30 years of proven performance have demonstrated its superior quality and. When very few natural teeth remains in the oral cavity, prosthetic. Cusil Denture Steps.
From www.dentaltechnologystudio2.com
Cusil Dentures Premium Dentures Ultra Premium dentures — Dental Cusil Denture Steps Cusil denture is a tooth and tissue bearing acrylic denture which has holes for natural tooth to emerge through it and a gasket surrounding. When very few natural teeth remains in the oral cavity, prosthetic rehabilitation can be possible by over denture, immediate denture,. Over 30 years of proven performance have demonstrated its superior quality and. It is a type. Cusil Denture Steps.
From pdfcoffee.com
CuSil Denture Cusil Denture Steps When very few natural teeth remains in the oral cavity, prosthetic rehabilitation can be possible by over denture, immediate denture,. It is a type of transitional denture that provides an alternative treatment plan. Cusil denture is a tooth and tissue bearing acrylic denture which has holes for natural tooth to emerge through it and a gasket surrounding. Over 30 years. Cusil Denture Steps.
From www.jcdr.net
Since, the vertical dimension was increased by 3 mm, the patient was Cusil Denture Steps Cusil denture is a tooth and tissue bearing acrylic denture which has holes for natural tooth to emerge through it and a gasket surrounding. Over 30 years of proven performance have demonstrated its superior quality and. It is a type of transitional denture that provides an alternative treatment plan. When very few natural teeth remains in the oral cavity, prosthetic. Cusil Denture Steps.
From www.youtube.com
Complete Denture Procedures Steps in fabrication of complete denture Cusil Denture Steps Over 30 years of proven performance have demonstrated its superior quality and. Cusil denture is a tooth and tissue bearing acrylic denture which has holes for natural tooth to emerge through it and a gasket surrounding. When very few natural teeth remains in the oral cavity, prosthetic rehabilitation can be possible by over denture, immediate denture,. It is a type. Cusil Denture Steps.
From www.guident.net
Online Open Access Dental Magazine, Journal, Publication, Dentistry Journal Cusil Denture Steps When very few natural teeth remains in the oral cavity, prosthetic rehabilitation can be possible by over denture, immediate denture,. It is a type of transitional denture that provides an alternative treatment plan. Cusil denture is a tooth and tissue bearing acrylic denture which has holes for natural tooth to emerge through it and a gasket surrounding. Over 30 years. Cusil Denture Steps.
From www.youtube.com
Complete Denture Steps prosthodontics YouTube Cusil Denture Steps When very few natural teeth remains in the oral cavity, prosthetic rehabilitation can be possible by over denture, immediate denture,. Over 30 years of proven performance have demonstrated its superior quality and. Cusil denture is a tooth and tissue bearing acrylic denture which has holes for natural tooth to emerge through it and a gasket surrounding. It is a type. Cusil Denture Steps.
From www.youtube.com
Processing of complete denture YouTube Cusil Denture Steps It is a type of transitional denture that provides an alternative treatment plan. Cusil denture is a tooth and tissue bearing acrylic denture which has holes for natural tooth to emerge through it and a gasket surrounding. Over 30 years of proven performance have demonstrated its superior quality and. When very few natural teeth remains in the oral cavity, prosthetic. Cusil Denture Steps.
From www.youtube.com
Processing of Complete Dentures Complete Dentures Steps Full teeth Cusil Denture Steps Cusil denture is a tooth and tissue bearing acrylic denture which has holes for natural tooth to emerge through it and a gasket surrounding. When very few natural teeth remains in the oral cavity, prosthetic rehabilitation can be possible by over denture, immediate denture,. Over 30 years of proven performance have demonstrated its superior quality and. It is a type. Cusil Denture Steps.
From www.lafonddesjardins.com
CUSIL Laboratoire Dentaire Laval Lafond Desjardins Cusil Denture Steps Over 30 years of proven performance have demonstrated its superior quality and. It is a type of transitional denture that provides an alternative treatment plan. When very few natural teeth remains in the oral cavity, prosthetic rehabilitation can be possible by over denture, immediate denture,. Cusil denture is a tooth and tissue bearing acrylic denture which has holes for natural. Cusil Denture Steps.
From www.semanticscholar.org
Figure 2 from Cusil denture an innovative approach to preserve the Cusil Denture Steps Over 30 years of proven performance have demonstrated its superior quality and. It is a type of transitional denture that provides an alternative treatment plan. Cusil denture is a tooth and tissue bearing acrylic denture which has holes for natural tooth to emerge through it and a gasket surrounding. When very few natural teeth remains in the oral cavity, prosthetic. Cusil Denture Steps.
From www.youtube.com
How to make a Cu Sil partial denture YouTube Cusil Denture Steps It is a type of transitional denture that provides an alternative treatment plan. Over 30 years of proven performance have demonstrated its superior quality and. When very few natural teeth remains in the oral cavity, prosthetic rehabilitation can be possible by over denture, immediate denture,. Cusil denture is a tooth and tissue bearing acrylic denture which has holes for natural. Cusil Denture Steps.
From www.semanticscholar.org
Figure 3 from Technique to Fabricate Transitional Partial Dentures for Cusil Denture Steps It is a type of transitional denture that provides an alternative treatment plan. Over 30 years of proven performance have demonstrated its superior quality and. Cusil denture is a tooth and tissue bearing acrylic denture which has holes for natural tooth to emerge through it and a gasket surrounding. When very few natural teeth remains in the oral cavity, prosthetic. Cusil Denture Steps.
From www.dentaltechnologystudio2.com
Cusil Dentures Premium Dentures Ultra Premium dentures — Dental Cusil Denture Steps Over 30 years of proven performance have demonstrated its superior quality and. It is a type of transitional denture that provides an alternative treatment plan. Cusil denture is a tooth and tissue bearing acrylic denture which has holes for natural tooth to emerge through it and a gasket surrounding. When very few natural teeth remains in the oral cavity, prosthetic. Cusil Denture Steps.
From www.slideshare.net
Complete denture prosthodontics step by step Cusil Denture Steps It is a type of transitional denture that provides an alternative treatment plan. When very few natural teeth remains in the oral cavity, prosthetic rehabilitation can be possible by over denture, immediate denture,. Over 30 years of proven performance have demonstrated its superior quality and. Cusil denture is a tooth and tissue bearing acrylic denture which has holes for natural. Cusil Denture Steps.
From www.slideshare.net
Complete denture prosthodontics step by step Cusil Denture Steps It is a type of transitional denture that provides an alternative treatment plan. Cusil denture is a tooth and tissue bearing acrylic denture which has holes for natural tooth to emerge through it and a gasket surrounding. Over 30 years of proven performance have demonstrated its superior quality and. When very few natural teeth remains in the oral cavity, prosthetic. Cusil Denture Steps.
From www.guident.net
Online Open Access Dental Magazine, Journal, Publication, Dentistry Journal Cusil Denture Steps It is a type of transitional denture that provides an alternative treatment plan. Over 30 years of proven performance have demonstrated its superior quality and. Cusil denture is a tooth and tissue bearing acrylic denture which has holes for natural tooth to emerge through it and a gasket surrounding. When very few natural teeth remains in the oral cavity, prosthetic. Cusil Denture Steps.
From familydentistmodesto.com
The Complete Denture Process Step By Step Guide [2023] Cusil Denture Steps Cusil denture is a tooth and tissue bearing acrylic denture which has holes for natural tooth to emerge through it and a gasket surrounding. When very few natural teeth remains in the oral cavity, prosthetic rehabilitation can be possible by over denture, immediate denture,. Over 30 years of proven performance have demonstrated its superior quality and. It is a type. Cusil Denture Steps.
From www.guident.net
Online Open Access Dental Magazine, Journal, Publication, Dentistry Journal Cusil Denture Steps When very few natural teeth remains in the oral cavity, prosthetic rehabilitation can be possible by over denture, immediate denture,. It is a type of transitional denture that provides an alternative treatment plan. Over 30 years of proven performance have demonstrated its superior quality and. Cusil denture is a tooth and tissue bearing acrylic denture which has holes for natural. Cusil Denture Steps.
From www.slideshare.net
Complete denture prosthodontics step by step Cusil Denture Steps Cusil denture is a tooth and tissue bearing acrylic denture which has holes for natural tooth to emerge through it and a gasket surrounding. When very few natural teeth remains in the oral cavity, prosthetic rehabilitation can be possible by over denture, immediate denture,. It is a type of transitional denture that provides an alternative treatment plan. Over 30 years. Cusil Denture Steps.