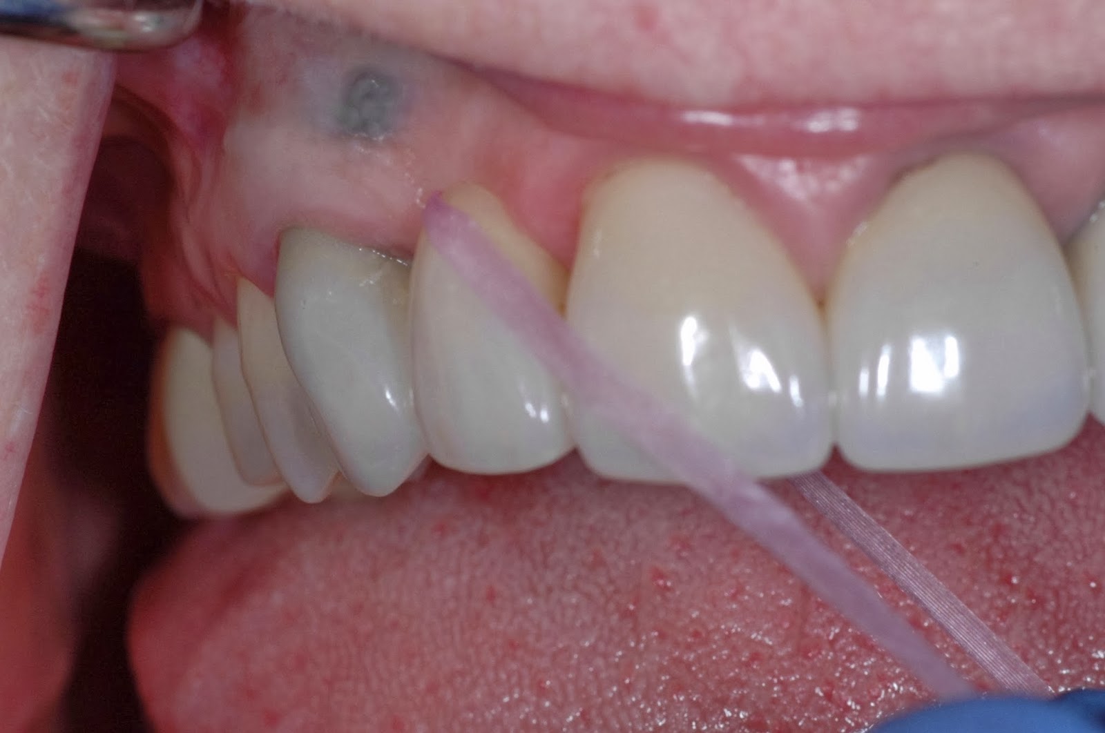
How To Floss Under A Bridge . To floss effectively around a dental bridge, you’ll need some specialized tools: I show how to use a dental floss threader under a dental bridge. These are flexible, plastic tools that. Here are some tips on how to floss under Opt for a dental floss that is thin and flexible, making it easier to maneuver between the dental bridge and adjacent teeth. Gently move the floss under the artificial tooth to avoid damaging the gums or the bridge. Flossing under a bridge can be a bit more challenging than flossing natural teeth, but it is still important to maintain good oral hygiene and remove plaque and debris from under the bridge. The main change that comes with a bridge lies in how you floss. In fact, brushing and flossing are key to help your bridge last as long as possible. I also show how to use a dental f.
from ntperiohygiene.blogspot.com
Gently move the floss under the artificial tooth to avoid damaging the gums or the bridge. Opt for a dental floss that is thin and flexible, making it easier to maneuver between the dental bridge and adjacent teeth. I show how to use a dental floss threader under a dental bridge. The main change that comes with a bridge lies in how you floss. To floss effectively around a dental bridge, you’ll need some specialized tools: I also show how to use a dental f. These are flexible, plastic tools that. In fact, brushing and flossing are key to help your bridge last as long as possible. Flossing under a bridge can be a bit more challenging than flossing natural teeth, but it is still important to maintain good oral hygiene and remove plaque and debris from under the bridge. Here are some tips on how to floss under
The Buzz from Your Favorite Dental Hygienists Hygiene Basics Floss a
How To Floss Under A Bridge I also show how to use a dental f. To floss effectively around a dental bridge, you’ll need some specialized tools: Gently move the floss under the artificial tooth to avoid damaging the gums or the bridge. These are flexible, plastic tools that. In fact, brushing and flossing are key to help your bridge last as long as possible. Here are some tips on how to floss under Opt for a dental floss that is thin and flexible, making it easier to maneuver between the dental bridge and adjacent teeth. I also show how to use a dental f. Flossing under a bridge can be a bit more challenging than flossing natural teeth, but it is still important to maintain good oral hygiene and remove plaque and debris from under the bridge. The main change that comes with a bridge lies in how you floss. I show how to use a dental floss threader under a dental bridge.
From www.youtube.com
Dental Flossing Technique Animation YouTube How To Floss Under A Bridge These are flexible, plastic tools that. The main change that comes with a bridge lies in how you floss. Here are some tips on how to floss under Flossing under a bridge can be a bit more challenging than flossing natural teeth, but it is still important to maintain good oral hygiene and remove plaque and debris from under the. How To Floss Under A Bridge.
From www.nyhowarddds.com
Flossing with Implants Can be Tricky Here’s How to Do It Right! How To Floss Under A Bridge In fact, brushing and flossing are key to help your bridge last as long as possible. These are flexible, plastic tools that. The main change that comes with a bridge lies in how you floss. To floss effectively around a dental bridge, you’ll need some specialized tools: Opt for a dental floss that is thin and flexible, making it easier. How To Floss Under A Bridge.
From www.youtube.com
How Do You Floss A Dental Bridge It Might Be Easier Than You Think How To Floss Under A Bridge The main change that comes with a bridge lies in how you floss. Flossing under a bridge can be a bit more challenging than flossing natural teeth, but it is still important to maintain good oral hygiene and remove plaque and debris from under the bridge. To floss effectively around a dental bridge, you’ll need some specialized tools: These are. How To Floss Under A Bridge.
From www.baldwinsmiles.com
How to Floss under a Bridge Baldwin Family Dental How To Floss Under A Bridge Here are some tips on how to floss under The main change that comes with a bridge lies in how you floss. Opt for a dental floss that is thin and flexible, making it easier to maneuver between the dental bridge and adjacent teeth. These are flexible, plastic tools that. Flossing under a bridge can be a bit more challenging. How To Floss Under A Bridge.
From encinofamilydental.com
How to Floss a Dental Bridge Encino Family Dental Blog How To Floss Under A Bridge These are flexible, plastic tools that. Opt for a dental floss that is thin and flexible, making it easier to maneuver between the dental bridge and adjacent teeth. Flossing under a bridge can be a bit more challenging than flossing natural teeth, but it is still important to maintain good oral hygiene and remove plaque and debris from under the. How To Floss Under A Bridge.
From www.mytoothbetold.com
Cleaning Under Your Dental Bridge Made Easy With Pictures Tooth Be Told How To Floss Under A Bridge Here are some tips on how to floss under In fact, brushing and flossing are key to help your bridge last as long as possible. These are flexible, plastic tools that. Opt for a dental floss that is thin and flexible, making it easier to maneuver between the dental bridge and adjacent teeth. Gently move the floss under the artificial. How To Floss Under A Bridge.
From exowafigu.blob.core.windows.net
Dental Floss Under Bridge at Bradley Tilley blog How To Floss Under A Bridge I also show how to use a dental f. To floss effectively around a dental bridge, you’ll need some specialized tools: The main change that comes with a bridge lies in how you floss. Here are some tips on how to floss under In fact, brushing and flossing are key to help your bridge last as long as possible. Gently. How To Floss Under A Bridge.
From ntperiohygiene.blogspot.com
The Buzz from Your Favorite Dental Hygienists Hygiene Basics Floss a How To Floss Under A Bridge Here are some tips on how to floss under Opt for a dental floss that is thin and flexible, making it easier to maneuver between the dental bridge and adjacent teeth. Flossing under a bridge can be a bit more challenging than flossing natural teeth, but it is still important to maintain good oral hygiene and remove plaque and debris. How To Floss Under A Bridge.
From www.youtube.com
How to floss under your fixed retainer wire Evolution Orthodontics How To Floss Under A Bridge Gently move the floss under the artificial tooth to avoid damaging the gums or the bridge. Flossing under a bridge can be a bit more challenging than flossing natural teeth, but it is still important to maintain good oral hygiene and remove plaque and debris from under the bridge. In fact, brushing and flossing are key to help your bridge. How To Floss Under A Bridge.
From www.youtube.com
HOW TO FLOSS BRIDGES YouTube How To Floss Under A Bridge To floss effectively around a dental bridge, you’ll need some specialized tools: These are flexible, plastic tools that. In fact, brushing and flossing are key to help your bridge last as long as possible. Here are some tips on how to floss under The main change that comes with a bridge lies in how you floss. Gently move the floss. How To Floss Under A Bridge.
From www.youtube.com
How to use a Floss Threader to clean under a bridge or retainer. YouTube How To Floss Under A Bridge Opt for a dental floss that is thin and flexible, making it easier to maneuver between the dental bridge and adjacent teeth. In fact, brushing and flossing are key to help your bridge last as long as possible. These are flexible, plastic tools that. Gently move the floss under the artificial tooth to avoid damaging the gums or the bridge.. How To Floss Under A Bridge.
From abettes-culinary.com
How To Floss With Bridge? Update New How To Floss Under A Bridge Here are some tips on how to floss under Opt for a dental floss that is thin and flexible, making it easier to maneuver between the dental bridge and adjacent teeth. In fact, brushing and flossing are key to help your bridge last as long as possible. I also show how to use a dental f. To floss effectively around. How To Floss Under A Bridge.
From www.mytoothbetold.com
Cleaning Under Your Dental Bridge Made Easy With Pictures Tooth Be Told How To Floss Under A Bridge I also show how to use a dental f. The main change that comes with a bridge lies in how you floss. Here are some tips on how to floss under Opt for a dental floss that is thin and flexible, making it easier to maneuver between the dental bridge and adjacent teeth. These are flexible, plastic tools that. In. How To Floss Under A Bridge.
From www.kleenteeth.com
Idontix XFloss Easy Bridge and Implant Floss 30 Strands How To Floss Under A Bridge These are flexible, plastic tools that. I also show how to use a dental f. I show how to use a dental floss threader under a dental bridge. Gently move the floss under the artificial tooth to avoid damaging the gums or the bridge. The main change that comes with a bridge lies in how you floss. Here are some. How To Floss Under A Bridge.
From www.youtube.com
How to Clean a Dental Bridge with a Floss Threader YouTube How To Floss Under A Bridge I also show how to use a dental f. Gently move the floss under the artificial tooth to avoid damaging the gums or the bridge. To floss effectively around a dental bridge, you’ll need some specialized tools: Here are some tips on how to floss under Flossing under a bridge can be a bit more challenging than flossing natural teeth,. How To Floss Under A Bridge.
From www.desertcart.com.eg
Buy Proxysoft Dental Floss for Bridges and Implants 30 Strands Floss How To Floss Under A Bridge Flossing under a bridge can be a bit more challenging than flossing natural teeth, but it is still important to maintain good oral hygiene and remove plaque and debris from under the bridge. Gently move the floss under the artificial tooth to avoid damaging the gums or the bridge. To floss effectively around a dental bridge, you’ll need some specialized. How To Floss Under A Bridge.
From www.deardoctor.com
Oral Hygiene for Fixed Bridgework Flossing around dental implants How To Floss Under A Bridge Flossing under a bridge can be a bit more challenging than flossing natural teeth, but it is still important to maintain good oral hygiene and remove plaque and debris from under the bridge. These are flexible, plastic tools that. To floss effectively around a dental bridge, you’ll need some specialized tools: Gently move the floss under the artificial tooth to. How To Floss Under A Bridge.
From bridgegardenpicture.blogspot.com
Bridge Garden Picture Bridge Dental Floss How To Floss Under A Bridge To floss effectively around a dental bridge, you’ll need some specialized tools: These are flexible, plastic tools that. The main change that comes with a bridge lies in how you floss. I also show how to use a dental f. I show how to use a dental floss threader under a dental bridge. Here are some tips on how to. How To Floss Under A Bridge.
From www.summervilledentalcare.com
How To Floss Around A Dental Bridge? Dentist Summerville SC How To Floss Under A Bridge Here are some tips on how to floss under I show how to use a dental floss threader under a dental bridge. To floss effectively around a dental bridge, you’ll need some specialized tools: Gently move the floss under the artificial tooth to avoid damaging the gums or the bridge. In fact, brushing and flossing are key to help your. How To Floss Under A Bridge.
From www.drmansbridge.com
Flossing Techniques Flossing for Dental Bridges How To Floss Under A Bridge These are flexible, plastic tools that. The main change that comes with a bridge lies in how you floss. Opt for a dental floss that is thin and flexible, making it easier to maneuver between the dental bridge and adjacent teeth. Flossing under a bridge can be a bit more challenging than flossing natural teeth, but it is still important. How To Floss Under A Bridge.
From www.forestlawndentalcentre.ca
How to Floss a Dental Bridge How To Floss Under A Bridge The main change that comes with a bridge lies in how you floss. To floss effectively around a dental bridge, you’ll need some specialized tools: In fact, brushing and flossing are key to help your bridge last as long as possible. These are flexible, plastic tools that. I show how to use a dental floss threader under a dental bridge.. How To Floss Under A Bridge.
From exowafigu.blob.core.windows.net
Dental Floss Under Bridge at Bradley Tilley blog How To Floss Under A Bridge I show how to use a dental floss threader under a dental bridge. Flossing under a bridge can be a bit more challenging than flossing natural teeth, but it is still important to maintain good oral hygiene and remove plaque and debris from under the bridge. I also show how to use a dental f. The main change that comes. How To Floss Under A Bridge.
From www.youtube.com
Суперфлосс, как чистить вокруг имплантатов с помощью TePe Bridge How To Floss Under A Bridge In fact, brushing and flossing are key to help your bridge last as long as possible. I show how to use a dental floss threader under a dental bridge. The main change that comes with a bridge lies in how you floss. These are flexible, plastic tools that. Flossing under a bridge can be a bit more challenging than flossing. How To Floss Under A Bridge.
From northdeltadentist.ca
4 STEPS TO BETTER FLOSSING! North Delta Dental How To Floss Under A Bridge Gently move the floss under the artificial tooth to avoid damaging the gums or the bridge. Flossing under a bridge can be a bit more challenging than flossing natural teeth, but it is still important to maintain good oral hygiene and remove plaque and debris from under the bridge. I show how to use a dental floss threader under a. How To Floss Under A Bridge.
From www.youtube.com
How To Floss YouTube How To Floss Under A Bridge I show how to use a dental floss threader under a dental bridge. Here are some tips on how to floss under Opt for a dental floss that is thin and flexible, making it easier to maneuver between the dental bridge and adjacent teeth. The main change that comes with a bridge lies in how you floss. In fact, brushing. How To Floss Under A Bridge.
From www.youtube.com
How to use the superfloss between dental bridge YouTube How To Floss Under A Bridge To floss effectively around a dental bridge, you’ll need some specialized tools: The main change that comes with a bridge lies in how you floss. Flossing under a bridge can be a bit more challenging than flossing natural teeth, but it is still important to maintain good oral hygiene and remove plaque and debris from under the bridge. Opt for. How To Floss Under A Bridge.
From ntperiohygiene.blogspot.com
The Buzz from Your Favorite Dental Hygienists April 2014 How To Floss Under A Bridge Opt for a dental floss that is thin and flexible, making it easier to maneuver between the dental bridge and adjacent teeth. Flossing under a bridge can be a bit more challenging than flossing natural teeth, but it is still important to maintain good oral hygiene and remove plaque and debris from under the bridge. I show how to use. How To Floss Under A Bridge.
From www.youtube.com
How to Floss a Bridge YouTube How To Floss Under A Bridge I show how to use a dental floss threader under a dental bridge. Opt for a dental floss that is thin and flexible, making it easier to maneuver between the dental bridge and adjacent teeth. In fact, brushing and flossing are key to help your bridge last as long as possible. Flossing under a bridge can be a bit more. How To Floss Under A Bridge.
From www.youtube.com
Implant Care with TePe Bridge & Implant Floss YouTube How To Floss Under A Bridge To floss effectively around a dental bridge, you’ll need some specialized tools: Gently move the floss under the artificial tooth to avoid damaging the gums or the bridge. I show how to use a dental floss threader under a dental bridge. I also show how to use a dental f. Opt for a dental floss that is thin and flexible,. How To Floss Under A Bridge.
From www.youtube.com
How to floss under Implant Bridge with superfloss. flossing How To Floss Under A Bridge The main change that comes with a bridge lies in how you floss. Here are some tips on how to floss under Flossing under a bridge can be a bit more challenging than flossing natural teeth, but it is still important to maintain good oral hygiene and remove plaque and debris from under the bridge. Opt for a dental floss. How To Floss Under A Bridge.
From www.mytoothbetold.com
Cleaning Under Your Dental Bridge Made Easy With Pictures Tooth Be Told How To Floss Under A Bridge These are flexible, plastic tools that. Opt for a dental floss that is thin and flexible, making it easier to maneuver between the dental bridge and adjacent teeth. In fact, brushing and flossing are key to help your bridge last as long as possible. Gently move the floss under the artificial tooth to avoid damaging the gums or the bridge.. How To Floss Under A Bridge.
From brendonbuchler.blogspot.com
how to clean under a dental bridge brendonbuchler How To Floss Under A Bridge The main change that comes with a bridge lies in how you floss. To floss effectively around a dental bridge, you’ll need some specialized tools: I also show how to use a dental f. Here are some tips on how to floss under These are flexible, plastic tools that. Opt for a dental floss that is thin and flexible, making. How To Floss Under A Bridge.
From www.mintdental.ca
How to Floss a Dental Bridge? Mint Dental How To Floss Under A Bridge To floss effectively around a dental bridge, you’ll need some specialized tools: In fact, brushing and flossing are key to help your bridge last as long as possible. Gently move the floss under the artificial tooth to avoid damaging the gums or the bridge. Opt for a dental floss that is thin and flexible, making it easier to maneuver between. How To Floss Under A Bridge.
From dentistkipparing.com.au
How to floss Dentist Redcliffe KippaRing Dental How To Floss Under A Bridge I also show how to use a dental f. Gently move the floss under the artificial tooth to avoid damaging the gums or the bridge. I show how to use a dental floss threader under a dental bridge. In fact, brushing and flossing are key to help your bridge last as long as possible. The main change that comes with. How To Floss Under A Bridge.
From dentagama.com
How do I floss around a bridge? News Dentagama How To Floss Under A Bridge The main change that comes with a bridge lies in how you floss. Gently move the floss under the artificial tooth to avoid damaging the gums or the bridge. To floss effectively around a dental bridge, you’ll need some specialized tools: Opt for a dental floss that is thin and flexible, making it easier to maneuver between the dental bridge. How To Floss Under A Bridge.