Optic Disc Edema Both Eyes Icd 10 . Swelling of the optic disc in only one eye (unilateral) is usually not the result of intracranial hypertension. Type rt lt both single code unspecified. Swelling of the optic disk, usually in association with increased intracranial pressure, characterized by hyperemia, blurring of the disk margins,. Swelling around the optic disk, the area where the optic nerve (the nerve that carries messages from the eye to the brain) enters the eyeball. By definition, anterior ischemic optic neuropathy (aion) involves the 1mm segment of the optic nerve head, also known as the optic disc, and. Learn about its causes, symptoms,.
from www.researchgate.net
Swelling of the optic disc in only one eye (unilateral) is usually not the result of intracranial hypertension. Learn about its causes, symptoms,. Swelling around the optic disk, the area where the optic nerve (the nerve that carries messages from the eye to the brain) enters the eyeball. Type rt lt both single code unspecified. Swelling of the optic disk, usually in association with increased intracranial pressure, characterized by hyperemia, blurring of the disk margins,. By definition, anterior ischemic optic neuropathy (aion) involves the 1mm segment of the optic nerve head, also known as the optic disc, and.
Fundus picture of both eyes showed optic disc edema in the right eye
Optic Disc Edema Both Eyes Icd 10 Swelling of the optic disk, usually in association with increased intracranial pressure, characterized by hyperemia, blurring of the disk margins,. Swelling of the optic disc in only one eye (unilateral) is usually not the result of intracranial hypertension. Learn about its causes, symptoms,. Swelling of the optic disk, usually in association with increased intracranial pressure, characterized by hyperemia, blurring of the disk margins,. By definition, anterior ischemic optic neuropathy (aion) involves the 1mm segment of the optic nerve head, also known as the optic disc, and. Swelling around the optic disk, the area where the optic nerve (the nerve that carries messages from the eye to the brain) enters the eyeball. Type rt lt both single code unspecified.
From pn.bmj.com
The swollen optic nerve an approach to diagnosis and management Optic Disc Edema Both Eyes Icd 10 Swelling of the optic disc in only one eye (unilateral) is usually not the result of intracranial hypertension. Swelling of the optic disk, usually in association with increased intracranial pressure, characterized by hyperemia, blurring of the disk margins,. Swelling around the optic disk, the area where the optic nerve (the nerve that carries messages from the eye to the brain). Optic Disc Edema Both Eyes Icd 10.
From mavink.com
Optic Nerve Head Edema Optic Disc Edema Both Eyes Icd 10 Learn about its causes, symptoms,. By definition, anterior ischemic optic neuropathy (aion) involves the 1mm segment of the optic nerve head, also known as the optic disc, and. Swelling of the optic disc in only one eye (unilateral) is usually not the result of intracranial hypertension. Type rt lt both single code unspecified. Swelling around the optic disk, the area. Optic Disc Edema Both Eyes Icd 10.
From www.researchgate.net
Regression of the optic nerve disc edema, twomonth followup Optic Disc Edema Both Eyes Icd 10 By definition, anterior ischemic optic neuropathy (aion) involves the 1mm segment of the optic nerve head, also known as the optic disc, and. Swelling of the optic disc in only one eye (unilateral) is usually not the result of intracranial hypertension. Swelling around the optic disk, the area where the optic nerve (the nerve that carries messages from the eye. Optic Disc Edema Both Eyes Icd 10.
From www.reviewofoptometry.com
Navigating Retinal Necrosis Optic Disc Edema Both Eyes Icd 10 Swelling around the optic disk, the area where the optic nerve (the nerve that carries messages from the eye to the brain) enters the eyeball. Learn about its causes, symptoms,. Swelling of the optic disk, usually in association with increased intracranial pressure, characterized by hyperemia, blurring of the disk margins,. Type rt lt both single code unspecified. Swelling of the. Optic Disc Edema Both Eyes Icd 10.
From webeye.ophth.uiowa.edu
Optic disc edema. COMS Grading Optic Disc Edema Both Eyes Icd 10 Swelling of the optic disk, usually in association with increased intracranial pressure, characterized by hyperemia, blurring of the disk margins,. Swelling of the optic disc in only one eye (unilateral) is usually not the result of intracranial hypertension. Learn about its causes, symptoms,. By definition, anterior ischemic optic neuropathy (aion) involves the 1mm segment of the optic nerve head, also. Optic Disc Edema Both Eyes Icd 10.
From www.eyeonoptics.com.au
Optic disc drusen and pseudopapilloedema eyeonoptics Optic Disc Edema Both Eyes Icd 10 Swelling of the optic disc in only one eye (unilateral) is usually not the result of intracranial hypertension. Type rt lt both single code unspecified. Swelling around the optic disk, the area where the optic nerve (the nerve that carries messages from the eye to the brain) enters the eyeball. Learn about its causes, symptoms,. Swelling of the optic disk,. Optic Disc Edema Both Eyes Icd 10.
From www.reddit.com
Swollen optic nerves in both of my eyes. r/optometry Optic Disc Edema Both Eyes Icd 10 Type rt lt both single code unspecified. Swelling of the optic disk, usually in association with increased intracranial pressure, characterized by hyperemia, blurring of the disk margins,. Swelling of the optic disc in only one eye (unilateral) is usually not the result of intracranial hypertension. Learn about its causes, symptoms,. By definition, anterior ischemic optic neuropathy (aion) involves the 1mm. Optic Disc Edema Both Eyes Icd 10.
From www.researchgate.net
Bilateral disc edema (A) Fundus images of the disc edema seen in both Optic Disc Edema Both Eyes Icd 10 By definition, anterior ischemic optic neuropathy (aion) involves the 1mm segment of the optic nerve head, also known as the optic disc, and. Swelling of the optic disk, usually in association with increased intracranial pressure, characterized by hyperemia, blurring of the disk margins,. Type rt lt both single code unspecified. Learn about its causes, symptoms,. Swelling of the optic disc. Optic Disc Edema Both Eyes Icd 10.
From healthjade.net
Papilledema causes, symptoms, grades, stages & papilledema treatment Optic Disc Edema Both Eyes Icd 10 Swelling of the optic disc in only one eye (unilateral) is usually not the result of intracranial hypertension. Swelling of the optic disk, usually in association with increased intracranial pressure, characterized by hyperemia, blurring of the disk margins,. Learn about its causes, symptoms,. Type rt lt both single code unspecified. Swelling around the optic disk, the area where the optic. Optic Disc Edema Both Eyes Icd 10.
From exoqbqfwy.blob.core.windows.net
Optic Disc Icd 10 Right Eye at Cora McClain blog Optic Disc Edema Both Eyes Icd 10 Learn about its causes, symptoms,. By definition, anterior ischemic optic neuropathy (aion) involves the 1mm segment of the optic nerve head, also known as the optic disc, and. Swelling around the optic disk, the area where the optic nerve (the nerve that carries messages from the eye to the brain) enters the eyeball. Type rt lt both single code unspecified.. Optic Disc Edema Both Eyes Icd 10.
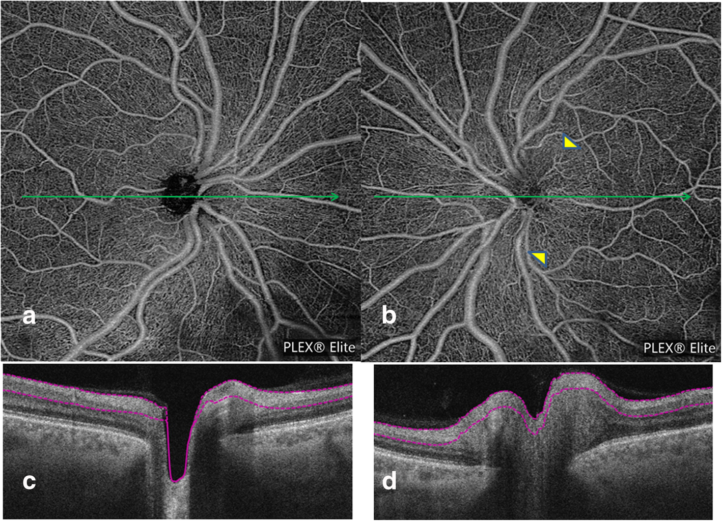
From eandv.biomedcentral.com
Optical coherence tomography angiography at the acute phase of optic Optic Disc Edema Both Eyes Icd 10 Swelling of the optic disk, usually in association with increased intracranial pressure, characterized by hyperemia, blurring of the disk margins,. Type rt lt both single code unspecified. By definition, anterior ischemic optic neuropathy (aion) involves the 1mm segment of the optic nerve head, also known as the optic disc, and. Learn about its causes, symptoms,. Swelling of the optic disc. Optic Disc Edema Both Eyes Icd 10.
From entokey.com
Optic Disc Edema Ento Key Optic Disc Edema Both Eyes Icd 10 Swelling around the optic disk, the area where the optic nerve (the nerve that carries messages from the eye to the brain) enters the eyeball. By definition, anterior ischemic optic neuropathy (aion) involves the 1mm segment of the optic nerve head, also known as the optic disc, and. Learn about its causes, symptoms,. Swelling of the optic disc in only. Optic Disc Edema Both Eyes Icd 10.
From drdigvijaysingh.com
Optic Nerve Disease Eye Specialist, Treatments, Types and Symptoms Optic Disc Edema Both Eyes Icd 10 Swelling of the optic disk, usually in association with increased intracranial pressure, characterized by hyperemia, blurring of the disk margins,. Learn about its causes, symptoms,. Swelling around the optic disk, the area where the optic nerve (the nerve that carries messages from the eye to the brain) enters the eyeball. Type rt lt both single code unspecified. By definition, anterior. Optic Disc Edema Both Eyes Icd 10.
From retinatoday.com
Optic Disc Melanocytoma Imaging With OCTA Retina Today Optic Disc Edema Both Eyes Icd 10 Swelling of the optic disk, usually in association with increased intracranial pressure, characterized by hyperemia, blurring of the disk margins,. Swelling around the optic disk, the area where the optic nerve (the nerve that carries messages from the eye to the brain) enters the eyeball. Type rt lt both single code unspecified. Swelling of the optic disc in only one. Optic Disc Edema Both Eyes Icd 10.
From www.researchgate.net
Fundus photograph of right eye with AAION showing chalky white optic Optic Disc Edema Both Eyes Icd 10 Swelling of the optic disk, usually in association with increased intracranial pressure, characterized by hyperemia, blurring of the disk margins,. Swelling of the optic disc in only one eye (unilateral) is usually not the result of intracranial hypertension. By definition, anterior ischemic optic neuropathy (aion) involves the 1mm segment of the optic nerve head, also known as the optic disc,. Optic Disc Edema Both Eyes Icd 10.
From www.aaojournal.org
Optic Disc Edema, Globe Flattening, Choroidal Folds, and Hyperopic Optic Disc Edema Both Eyes Icd 10 Learn about its causes, symptoms,. Swelling of the optic disc in only one eye (unilateral) is usually not the result of intracranial hypertension. By definition, anterior ischemic optic neuropathy (aion) involves the 1mm segment of the optic nerve head, also known as the optic disc, and. Swelling around the optic disk, the area where the optic nerve (the nerve that. Optic Disc Edema Both Eyes Icd 10.
From www.eyedolatryblog.com
Differentiating True Optic Nerve Edema Eyedolatry Optic Disc Edema Both Eyes Icd 10 By definition, anterior ischemic optic neuropathy (aion) involves the 1mm segment of the optic nerve head, also known as the optic disc, and. Swelling of the optic disk, usually in association with increased intracranial pressure, characterized by hyperemia, blurring of the disk margins,. Swelling around the optic disk, the area where the optic nerve (the nerve that carries messages from. Optic Disc Edema Both Eyes Icd 10.
From www.researchgate.net
Fundus picture of both eyes showed optic disc edema in the right eye Optic Disc Edema Both Eyes Icd 10 Swelling around the optic disk, the area where the optic nerve (the nerve that carries messages from the eye to the brain) enters the eyeball. Type rt lt both single code unspecified. Learn about its causes, symptoms,. By definition, anterior ischemic optic neuropathy (aion) involves the 1mm segment of the optic nerve head, also known as the optic disc, and.. Optic Disc Edema Both Eyes Icd 10.
From exoqbqfwy.blob.core.windows.net
Optic Disc Icd 10 Right Eye at Cora McClain blog Optic Disc Edema Both Eyes Icd 10 Learn about its causes, symptoms,. Swelling around the optic disk, the area where the optic nerve (the nerve that carries messages from the eye to the brain) enters the eyeball. Swelling of the optic disc in only one eye (unilateral) is usually not the result of intracranial hypertension. Swelling of the optic disk, usually in association with increased intracranial pressure,. Optic Disc Edema Both Eyes Icd 10.
From www.jns-journal.com
Approach to patient with unilateral optic disc edema and normal visual Optic Disc Edema Both Eyes Icd 10 Swelling of the optic disk, usually in association with increased intracranial pressure, characterized by hyperemia, blurring of the disk margins,. Swelling around the optic disk, the area where the optic nerve (the nerve that carries messages from the eye to the brain) enters the eyeball. By definition, anterior ischemic optic neuropathy (aion) involves the 1mm segment of the optic nerve. Optic Disc Edema Both Eyes Icd 10.
From www.reviewofophthalmology.com
Wills Eye Resident Case Series Optic Disc Edema Both Eyes Icd 10 Swelling of the optic disk, usually in association with increased intracranial pressure, characterized by hyperemia, blurring of the disk margins,. By definition, anterior ischemic optic neuropathy (aion) involves the 1mm segment of the optic nerve head, also known as the optic disc, and. Learn about its causes, symptoms,. Type rt lt both single code unspecified. Swelling around the optic disk,. Optic Disc Edema Both Eyes Icd 10.
From www.eyerounds.org
Idiopathic Intracranial Hypertension, Pseudotumor cerebri EyeRounds Optic Disc Edema Both Eyes Icd 10 Swelling around the optic disk, the area where the optic nerve (the nerve that carries messages from the eye to the brain) enters the eyeball. Learn about its causes, symptoms,. By definition, anterior ischemic optic neuropathy (aion) involves the 1mm segment of the optic nerve head, also known as the optic disc, and. Swelling of the optic disc in only. Optic Disc Edema Both Eyes Icd 10.
From www.researchgate.net
Optic disc photo of both the eyes showing optic disc edema with Optic Disc Edema Both Eyes Icd 10 Swelling around the optic disk, the area where the optic nerve (the nerve that carries messages from the eye to the brain) enters the eyeball. Type rt lt both single code unspecified. Learn about its causes, symptoms,. Swelling of the optic disk, usually in association with increased intracranial pressure, characterized by hyperemia, blurring of the disk margins,. By definition, anterior. Optic Disc Edema Both Eyes Icd 10.
From onlinelibrary.wiley.com
Differentiation between optic disc drusen and optic disc oedema using Optic Disc Edema Both Eyes Icd 10 Swelling around the optic disk, the area where the optic nerve (the nerve that carries messages from the eye to the brain) enters the eyeball. By definition, anterior ischemic optic neuropathy (aion) involves the 1mm segment of the optic nerve head, also known as the optic disc, and. Swelling of the optic disc in only one eye (unilateral) is usually. Optic Disc Edema Both Eyes Icd 10.
From www.mayoclinic.org
Optic disk edema in GFAP meningoencephalitis may mimic papilledema Optic Disc Edema Both Eyes Icd 10 By definition, anterior ischemic optic neuropathy (aion) involves the 1mm segment of the optic nerve head, also known as the optic disc, and. Swelling of the optic disc in only one eye (unilateral) is usually not the result of intracranial hypertension. Learn about its causes, symptoms,. Type rt lt both single code unspecified. Swelling around the optic disk, the area. Optic Disc Edema Both Eyes Icd 10.
From exoqbqfwy.blob.core.windows.net
Optic Disc Icd 10 Right Eye at Cora McClain blog Optic Disc Edema Both Eyes Icd 10 Swelling of the optic disc in only one eye (unilateral) is usually not the result of intracranial hypertension. Swelling of the optic disk, usually in association with increased intracranial pressure, characterized by hyperemia, blurring of the disk margins,. Learn about its causes, symptoms,. Swelling around the optic disk, the area where the optic nerve (the nerve that carries messages from. Optic Disc Edema Both Eyes Icd 10.
From www.researchgate.net
(A) Optic nerve disc edema in both eyes and peripapillary flameshaped Optic Disc Edema Both Eyes Icd 10 Swelling of the optic disc in only one eye (unilateral) is usually not the result of intracranial hypertension. By definition, anterior ischemic optic neuropathy (aion) involves the 1mm segment of the optic nerve head, also known as the optic disc, and. Learn about its causes, symptoms,. Swelling around the optic disk, the area where the optic nerve (the nerve that. Optic Disc Edema Both Eyes Icd 10.
From morancore.utah.edu
Moran CORE Disc Edema Optic Disc Edema Both Eyes Icd 10 Type rt lt both single code unspecified. By definition, anterior ischemic optic neuropathy (aion) involves the 1mm segment of the optic nerve head, also known as the optic disc, and. Learn about its causes, symptoms,. Swelling of the optic disc in only one eye (unilateral) is usually not the result of intracranial hypertension. Swelling around the optic disk, the area. Optic Disc Edema Both Eyes Icd 10.
From www.researchgate.net
Fundus photograph showing optic disc edema in left eye. Download Optic Disc Edema Both Eyes Icd 10 By definition, anterior ischemic optic neuropathy (aion) involves the 1mm segment of the optic nerve head, also known as the optic disc, and. Swelling of the optic disk, usually in association with increased intracranial pressure, characterized by hyperemia, blurring of the disk margins,. Swelling around the optic disk, the area where the optic nerve (the nerve that carries messages from. Optic Disc Edema Both Eyes Icd 10.
From www.cureus.com
Cureus A Case of Polypoidal Choroidal Vasculopathy Associated With Optic Disc Edema Both Eyes Icd 10 Swelling around the optic disk, the area where the optic nerve (the nerve that carries messages from the eye to the brain) enters the eyeball. Learn about its causes, symptoms,. Type rt lt both single code unspecified. Swelling of the optic disc in only one eye (unilateral) is usually not the result of intracranial hypertension. By definition, anterior ischemic optic. Optic Disc Edema Both Eyes Icd 10.
From webeye.ophth.uiowa.edu
Atlas Entry Anomalous appearing optic nerves in both eyes Optic Disc Edema Both Eyes Icd 10 Swelling around the optic disk, the area where the optic nerve (the nerve that carries messages from the eye to the brain) enters the eyeball. Swelling of the optic disc in only one eye (unilateral) is usually not the result of intracranial hypertension. Type rt lt both single code unspecified. Swelling of the optic disk, usually in association with increased. Optic Disc Edema Both Eyes Icd 10.
From www.researchgate.net
Fundus photographs show mild swelling of both optic discs (OD>OS Optic Disc Edema Both Eyes Icd 10 Swelling of the optic disk, usually in association with increased intracranial pressure, characterized by hyperemia, blurring of the disk margins,. Swelling of the optic disc in only one eye (unilateral) is usually not the result of intracranial hypertension. Swelling around the optic disk, the area where the optic nerve (the nerve that carries messages from the eye to the brain). Optic Disc Edema Both Eyes Icd 10.
From reviewofoptometry.com
With Disc Edemas, Act Fast Optic Disc Edema Both Eyes Icd 10 By definition, anterior ischemic optic neuropathy (aion) involves the 1mm segment of the optic nerve head, also known as the optic disc, and. Learn about its causes, symptoms,. Swelling around the optic disk, the area where the optic nerve (the nerve that carries messages from the eye to the brain) enters the eyeball. Swelling of the optic disc in only. Optic Disc Edema Both Eyes Icd 10.
From jamanetwork.com
Abnormal Resonance Imaging Findings in a Patient With Optic Optic Disc Edema Both Eyes Icd 10 Swelling around the optic disk, the area where the optic nerve (the nerve that carries messages from the eye to the brain) enters the eyeball. Type rt lt both single code unspecified. Learn about its causes, symptoms,. Swelling of the optic disc in only one eye (unilateral) is usually not the result of intracranial hypertension. Swelling of the optic disk,. Optic Disc Edema Both Eyes Icd 10.
From bjo.bmj.com
Detection of optic disc oedema using optical coherence tomography Optic Disc Edema Both Eyes Icd 10 Learn about its causes, symptoms,. Swelling around the optic disk, the area where the optic nerve (the nerve that carries messages from the eye to the brain) enters the eyeball. Swelling of the optic disc in only one eye (unilateral) is usually not the result of intracranial hypertension. Type rt lt both single code unspecified. By definition, anterior ischemic optic. Optic Disc Edema Both Eyes Icd 10.