Extramammary Paget's Disease Scrotum Icd 10 . extramammary paget disease (empd) is defined as intraepidermal adenocarcinoma. Due to its rarity, there is a. extramammary paget disease (empd) is a rare. It arises as a primary. extramammary paget's disease (empd) is a rare cutaneous malignant disease. paget disease of the penis and scrotum is a rare, intraepidermal adenocarcinoma;
from www.pathologyoutlines.com
It arises as a primary. paget disease of the penis and scrotum is a rare, intraepidermal adenocarcinoma; extramammary paget disease (empd) is a rare. extramammary paget's disease (empd) is a rare cutaneous malignant disease. Due to its rarity, there is a. extramammary paget disease (empd) is defined as intraepidermal adenocarcinoma.
Pathology Outlines Extramammary Paget disease
Extramammary Paget's Disease Scrotum Icd 10 Due to its rarity, there is a. extramammary paget disease (empd) is defined as intraepidermal adenocarcinoma. extramammary paget's disease (empd) is a rare cutaneous malignant disease. extramammary paget disease (empd) is a rare. Due to its rarity, there is a. paget disease of the penis and scrotum is a rare, intraepidermal adenocarcinoma; It arises as a primary.
From www.semanticscholar.org
Figure 2 from Bilateral inguinal positive sentinel lymph node Extramammary Paget's Disease Scrotum Icd 10 Due to its rarity, there is a. extramammary paget disease (empd) is a rare. extramammary paget's disease (empd) is a rare cutaneous malignant disease. It arises as a primary. extramammary paget disease (empd) is defined as intraepidermal adenocarcinoma. paget disease of the penis and scrotum is a rare, intraepidermal adenocarcinoma; Extramammary Paget's Disease Scrotum Icd 10.
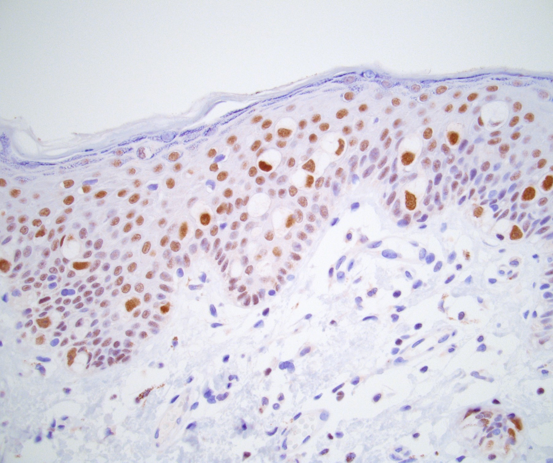
From exozsydot.blob.core.windows.net
Paget's Disease Symptoms Adults at Mary Prieto blog Extramammary Paget's Disease Scrotum Icd 10 Due to its rarity, there is a. extramammary paget disease (empd) is a rare. paget disease of the penis and scrotum is a rare, intraepidermal adenocarcinoma; It arises as a primary. extramammary paget disease (empd) is defined as intraepidermal adenocarcinoma. extramammary paget's disease (empd) is a rare cutaneous malignant disease. Extramammary Paget's Disease Scrotum Icd 10.
From quotestypenl.blogspot.com
Extramammary Paget's Disease Pictures Quotes Type Extramammary Paget's Disease Scrotum Icd 10 extramammary paget disease (empd) is a rare. paget disease of the penis and scrotum is a rare, intraepidermal adenocarcinoma; It arises as a primary. extramammary paget's disease (empd) is a rare cutaneous malignant disease. Due to its rarity, there is a. extramammary paget disease (empd) is defined as intraepidermal adenocarcinoma. Extramammary Paget's Disease Scrotum Icd 10.
From www.pathologyoutlines.com
Pathology Outlines Extramammary Paget disease Extramammary Paget's Disease Scrotum Icd 10 extramammary paget's disease (empd) is a rare cutaneous malignant disease. paget disease of the penis and scrotum is a rare, intraepidermal adenocarcinoma; Due to its rarity, there is a. extramammary paget disease (empd) is a rare. It arises as a primary. extramammary paget disease (empd) is defined as intraepidermal adenocarcinoma. Extramammary Paget's Disease Scrotum Icd 10.
From wn.com
Extramammary Paget's Disease Histology Extramammary Paget's Disease Scrotum Icd 10 extramammary paget disease (empd) is defined as intraepidermal adenocarcinoma. paget disease of the penis and scrotum is a rare, intraepidermal adenocarcinoma; It arises as a primary. extramammary paget disease (empd) is a rare. extramammary paget's disease (empd) is a rare cutaneous malignant disease. Due to its rarity, there is a. Extramammary Paget's Disease Scrotum Icd 10.
From www.thelancet.com
Pathogenesis and management of Paget's disease of bone The Lancet Extramammary Paget's Disease Scrotum Icd 10 It arises as a primary. Due to its rarity, there is a. extramammary paget disease (empd) is a rare. paget disease of the penis and scrotum is a rare, intraepidermal adenocarcinoma; extramammary paget's disease (empd) is a rare cutaneous malignant disease. extramammary paget disease (empd) is defined as intraepidermal adenocarcinoma. Extramammary Paget's Disease Scrotum Icd 10.
From www.pathologyoutlines.com
Pathology Outlines Extramammary Paget disease Extramammary Paget's Disease Scrotum Icd 10 Due to its rarity, there is a. paget disease of the penis and scrotum is a rare, intraepidermal adenocarcinoma; extramammary paget disease (empd) is a rare. It arises as a primary. extramammary paget disease (empd) is defined as intraepidermal adenocarcinoma. extramammary paget's disease (empd) is a rare cutaneous malignant disease. Extramammary Paget's Disease Scrotum Icd 10.
From www.researchgate.net
(PDF) Extramammary Paget's disease of the scrotum Extramammary Paget's Disease Scrotum Icd 10 extramammary paget's disease (empd) is a rare cutaneous malignant disease. extramammary paget disease (empd) is a rare. paget disease of the penis and scrotum is a rare, intraepidermal adenocarcinoma; It arises as a primary. extramammary paget disease (empd) is defined as intraepidermal adenocarcinoma. Due to its rarity, there is a. Extramammary Paget's Disease Scrotum Icd 10.
From www.ncbi.nlm.nih.gov
Paget Bone Disease StatPearls NCBI Bookshelf Extramammary Paget's Disease Scrotum Icd 10 extramammary paget disease (empd) is defined as intraepidermal adenocarcinoma. Due to its rarity, there is a. extramammary paget's disease (empd) is a rare cutaneous malignant disease. paget disease of the penis and scrotum is a rare, intraepidermal adenocarcinoma; It arises as a primary. extramammary paget disease (empd) is a rare. Extramammary Paget's Disease Scrotum Icd 10.
From www.mypathologyreport.ca
Extramammary Paget disease of the vulva MyPathologyReport.ca Extramammary Paget's Disease Scrotum Icd 10 extramammary paget disease (empd) is a rare. It arises as a primary. Due to its rarity, there is a. extramammary paget's disease (empd) is a rare cutaneous malignant disease. extramammary paget disease (empd) is defined as intraepidermal adenocarcinoma. paget disease of the penis and scrotum is a rare, intraepidermal adenocarcinoma; Extramammary Paget's Disease Scrotum Icd 10.
From www.researchgate.net
(PDF) Extensive Invasive Extramammary Paget's Disease Surgical Treatment Extramammary Paget's Disease Scrotum Icd 10 extramammary paget disease (empd) is defined as intraepidermal adenocarcinoma. It arises as a primary. extramammary paget's disease (empd) is a rare cutaneous malignant disease. paget disease of the penis and scrotum is a rare, intraepidermal adenocarcinoma; Due to its rarity, there is a. extramammary paget disease (empd) is a rare. Extramammary Paget's Disease Scrotum Icd 10.
From www.researchgate.net
(PDF) Metastatic Extramammary Paget’s Disease of Scrotum Responds Extramammary Paget's Disease Scrotum Icd 10 It arises as a primary. extramammary paget's disease (empd) is a rare cutaneous malignant disease. extramammary paget disease (empd) is defined as intraepidermal adenocarcinoma. paget disease of the penis and scrotum is a rare, intraepidermal adenocarcinoma; extramammary paget disease (empd) is a rare. Due to its rarity, there is a. Extramammary Paget's Disease Scrotum Icd 10.
From www.scielo.br
SciELO Brasil Inguinal and scrotal extramammary Paget’s disease 18 Extramammary Paget's Disease Scrotum Icd 10 extramammary paget's disease (empd) is a rare cutaneous malignant disease. It arises as a primary. extramammary paget disease (empd) is a rare. paget disease of the penis and scrotum is a rare, intraepidermal adenocarcinoma; extramammary paget disease (empd) is defined as intraepidermal adenocarcinoma. Due to its rarity, there is a. Extramammary Paget's Disease Scrotum Icd 10.
From www.pathologyoutlines.com
Pathology Outlines Extramammary Paget disease Extramammary Paget's Disease Scrotum Icd 10 It arises as a primary. paget disease of the penis and scrotum is a rare, intraepidermal adenocarcinoma; extramammary paget disease (empd) is a rare. extramammary paget's disease (empd) is a rare cutaneous malignant disease. Due to its rarity, there is a. extramammary paget disease (empd) is defined as intraepidermal adenocarcinoma. Extramammary Paget's Disease Scrotum Icd 10.
From orthoinfo.aaos.org
Paget's Disease of Bone Symptoms and Treatment OrthoInfo AAOS Extramammary Paget's Disease Scrotum Icd 10 extramammary paget disease (empd) is defined as intraepidermal adenocarcinoma. extramammary paget disease (empd) is a rare. Due to its rarity, there is a. It arises as a primary. extramammary paget's disease (empd) is a rare cutaneous malignant disease. paget disease of the penis and scrotum is a rare, intraepidermal adenocarcinoma; Extramammary Paget's Disease Scrotum Icd 10.
From www.youtube.com
Extramammary Paget Disease 5Minute Pathology Pearls YouTube Extramammary Paget's Disease Scrotum Icd 10 It arises as a primary. Due to its rarity, there is a. extramammary paget's disease (empd) is a rare cutaneous malignant disease. paget disease of the penis and scrotum is a rare, intraepidermal adenocarcinoma; extramammary paget disease (empd) is a rare. extramammary paget disease (empd) is defined as intraepidermal adenocarcinoma. Extramammary Paget's Disease Scrotum Icd 10.
From nextstepsinderm.com
It's Mnemonic Monday! Extramammary Paget’s Disease Next Steps in Extramammary Paget's Disease Scrotum Icd 10 extramammary paget disease (empd) is defined as intraepidermal adenocarcinoma. It arises as a primary. extramammary paget's disease (empd) is a rare cutaneous malignant disease. extramammary paget disease (empd) is a rare. paget disease of the penis and scrotum is a rare, intraepidermal adenocarcinoma; Due to its rarity, there is a. Extramammary Paget's Disease Scrotum Icd 10.
From www.researchgate.net
(a) Skin and left scrotum involvement of the extramammary Paget's Extramammary Paget's Disease Scrotum Icd 10 It arises as a primary. extramammary paget disease (empd) is defined as intraepidermal adenocarcinoma. paget disease of the penis and scrotum is a rare, intraepidermal adenocarcinoma; extramammary paget's disease (empd) is a rare cutaneous malignant disease. Due to its rarity, there is a. extramammary paget disease (empd) is a rare. Extramammary Paget's Disease Scrotum Icd 10.
From www.researchgate.net
Extramammary Paget Disease (EMPD) Figure illustrates the use of Extramammary Paget's Disease Scrotum Icd 10 It arises as a primary. Due to its rarity, there is a. extramammary paget's disease (empd) is a rare cutaneous malignant disease. paget disease of the penis and scrotum is a rare, intraepidermal adenocarcinoma; extramammary paget disease (empd) is a rare. extramammary paget disease (empd) is defined as intraepidermal adenocarcinoma. Extramammary Paget's Disease Scrotum Icd 10.
From escholarship.org
Extramammary Paget disease Extramammary Paget's Disease Scrotum Icd 10 It arises as a primary. paget disease of the penis and scrotum is a rare, intraepidermal adenocarcinoma; Due to its rarity, there is a. extramammary paget disease (empd) is defined as intraepidermal adenocarcinoma. extramammary paget disease (empd) is a rare. extramammary paget's disease (empd) is a rare cutaneous malignant disease. Extramammary Paget's Disease Scrotum Icd 10.
From www.clinical-genitourinary-cancer.com
Advanced Scrotal Extramammary Paget's Disease Treated With Apatinib A Extramammary Paget's Disease Scrotum Icd 10 It arises as a primary. extramammary paget disease (empd) is defined as intraepidermal adenocarcinoma. extramammary paget's disease (empd) is a rare cutaneous malignant disease. Due to its rarity, there is a. extramammary paget disease (empd) is a rare. paget disease of the penis and scrotum is a rare, intraepidermal adenocarcinoma; Extramammary Paget's Disease Scrotum Icd 10.
From www.ncbi.nlm.nih.gov
Extramammary Paget Disease StatPearls NCBI Bookshelf Extramammary Paget's Disease Scrotum Icd 10 Due to its rarity, there is a. paget disease of the penis and scrotum is a rare, intraepidermal adenocarcinoma; extramammary paget disease (empd) is defined as intraepidermal adenocarcinoma. extramammary paget disease (empd) is a rare. extramammary paget's disease (empd) is a rare cutaneous malignant disease. It arises as a primary. Extramammary Paget's Disease Scrotum Icd 10.
From dxotpgakp.blob.core.windows.net
Paget's Disease Icd 10 at Stephen Youmans blog Extramammary Paget's Disease Scrotum Icd 10 Due to its rarity, there is a. extramammary paget's disease (empd) is a rare cutaneous malignant disease. It arises as a primary. extramammary paget disease (empd) is a rare. paget disease of the penis and scrotum is a rare, intraepidermal adenocarcinoma; extramammary paget disease (empd) is defined as intraepidermal adenocarcinoma. Extramammary Paget's Disease Scrotum Icd 10.
From www.researchgate.net
(PDF) Extramammary Paget’s Disease Diagnosis, Pathogenesis, and Extramammary Paget's Disease Scrotum Icd 10 extramammary paget disease (empd) is a rare. It arises as a primary. paget disease of the penis and scrotum is a rare, intraepidermal adenocarcinoma; Due to its rarity, there is a. extramammary paget's disease (empd) is a rare cutaneous malignant disease. extramammary paget disease (empd) is defined as intraepidermal adenocarcinoma. Extramammary Paget's Disease Scrotum Icd 10.
From www.oooojournal.net
Extramammary Paget's disease of the oral mucosa and perioral skin Extramammary Paget's Disease Scrotum Icd 10 extramammary paget disease (empd) is a rare. extramammary paget's disease (empd) is a rare cutaneous malignant disease. extramammary paget disease (empd) is defined as intraepidermal adenocarcinoma. Due to its rarity, there is a. paget disease of the penis and scrotum is a rare, intraepidermal adenocarcinoma; It arises as a primary. Extramammary Paget's Disease Scrotum Icd 10.
From exozqplsq.blob.core.windows.net
Paget's Disease Of The Breast Histology at Bryan Stansberry blog Extramammary Paget's Disease Scrotum Icd 10 extramammary paget disease (empd) is defined as intraepidermal adenocarcinoma. Due to its rarity, there is a. It arises as a primary. extramammary paget disease (empd) is a rare. paget disease of the penis and scrotum is a rare, intraepidermal adenocarcinoma; extramammary paget's disease (empd) is a rare cutaneous malignant disease. Extramammary Paget's Disease Scrotum Icd 10.
From www.cureus.com
Cureus Scrotal Extramammary Paget’s Disease in an Elderly Caucasian Male Extramammary Paget's Disease Scrotum Icd 10 extramammary paget disease (empd) is a rare. extramammary paget's disease (empd) is a rare cutaneous malignant disease. It arises as a primary. extramammary paget disease (empd) is defined as intraepidermal adenocarcinoma. Due to its rarity, there is a. paget disease of the penis and scrotum is a rare, intraepidermal adenocarcinoma; Extramammary Paget's Disease Scrotum Icd 10.
From ijdvl.com
Ectopic extramammary Paget's disease on the face Indian Journal of Extramammary Paget's Disease Scrotum Icd 10 paget disease of the penis and scrotum is a rare, intraepidermal adenocarcinoma; extramammary paget disease (empd) is a rare. It arises as a primary. Due to its rarity, there is a. extramammary paget disease (empd) is defined as intraepidermal adenocarcinoma. extramammary paget's disease (empd) is a rare cutaneous malignant disease. Extramammary Paget's Disease Scrotum Icd 10.
From www.researchgate.net
(PDF) Nonsurgical Treatments for Extramammary Paget Disease A Extramammary Paget's Disease Scrotum Icd 10 paget disease of the penis and scrotum is a rare, intraepidermal adenocarcinoma; extramammary paget's disease (empd) is a rare cutaneous malignant disease. It arises as a primary. extramammary paget disease (empd) is defined as intraepidermal adenocarcinoma. Due to its rarity, there is a. extramammary paget disease (empd) is a rare. Extramammary Paget's Disease Scrotum Icd 10.
From www.youtube.com
Mammary and Extramammary Paget's disease YouTube Extramammary Paget's Disease Scrotum Icd 10 extramammary paget disease (empd) is a rare. extramammary paget disease (empd) is defined as intraepidermal adenocarcinoma. Due to its rarity, there is a. paget disease of the penis and scrotum is a rare, intraepidermal adenocarcinoma; It arises as a primary. extramammary paget's disease (empd) is a rare cutaneous malignant disease. Extramammary Paget's Disease Scrotum Icd 10.
From www.pathologyoutlines.com
Pathology Outlines Extramammary Paget disease Extramammary Paget's Disease Scrotum Icd 10 extramammary paget disease (empd) is a rare. extramammary paget's disease (empd) is a rare cutaneous malignant disease. extramammary paget disease (empd) is defined as intraepidermal adenocarcinoma. It arises as a primary. Due to its rarity, there is a. paget disease of the penis and scrotum is a rare, intraepidermal adenocarcinoma; Extramammary Paget's Disease Scrotum Icd 10.
From www.pathologyoutlines.com
Pathology Outlines Extramammary Paget disease Extramammary Paget's Disease Scrotum Icd 10 paget disease of the penis and scrotum is a rare, intraepidermal adenocarcinoma; It arises as a primary. extramammary paget disease (empd) is a rare. extramammary paget disease (empd) is defined as intraepidermal adenocarcinoma. extramammary paget's disease (empd) is a rare cutaneous malignant disease. Due to its rarity, there is a. Extramammary Paget's Disease Scrotum Icd 10.
From www.youtube.com
Extramammary Paget disease (presents as chronic "rash" in vulva Extramammary Paget's Disease Scrotum Icd 10 extramammary paget disease (empd) is a rare. extramammary paget's disease (empd) is a rare cutaneous malignant disease. It arises as a primary. paget disease of the penis and scrotum is a rare, intraepidermal adenocarcinoma; Due to its rarity, there is a. extramammary paget disease (empd) is defined as intraepidermal adenocarcinoma. Extramammary Paget's Disease Scrotum Icd 10.
From www.pathologyoutlines.com
Pathology Outlines Extramammary Paget disease Extramammary Paget's Disease Scrotum Icd 10 It arises as a primary. extramammary paget's disease (empd) is a rare cutaneous malignant disease. Due to its rarity, there is a. extramammary paget disease (empd) is a rare. extramammary paget disease (empd) is defined as intraepidermal adenocarcinoma. paget disease of the penis and scrotum is a rare, intraepidermal adenocarcinoma; Extramammary Paget's Disease Scrotum Icd 10.
From www.jocn-journal.com
Brain metastasis from extramammary Paget’s disease of the scrotum Extramammary Paget's Disease Scrotum Icd 10 extramammary paget's disease (empd) is a rare cutaneous malignant disease. It arises as a primary. Due to its rarity, there is a. extramammary paget disease (empd) is a rare. extramammary paget disease (empd) is defined as intraepidermal adenocarcinoma. paget disease of the penis and scrotum is a rare, intraepidermal adenocarcinoma; Extramammary Paget's Disease Scrotum Icd 10.