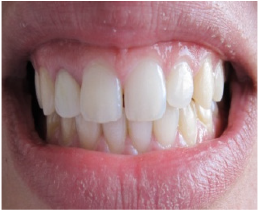
Gingival Zenith . in dental anatomy, the free gingival margin is the interface between the sulcular epithelium and the epithelium of the oral cavity. establishing the ideal gingival zenith before starting the treatment is important to guide the periodontal,. learn what gingival zenith point is and how it affects smile design and aesthetics. the most common apical position of the marginal gingiva is referred to as gingival zenith (gz). the gingival zenith (gz) influences the line angle position in the emergence profile and the axial inclination of the crown. Irregularities in gz symmetry and contour have a negative impact on dental esthetics. the gingival zenith is the most apical aspect of free gingival margin. Find out how to determine and modify the zenith points of upper front teeth and their relation to the midline, lips and gingiva. the gingival zenith of the canine is apical to the gingival zenith of the incisors (gla <90°) and the gingival zenith of the lateral. The purpose of this study was to quantify some clinical parameters useful as esthetic guidelines when gingival contour is modified and to compare the left and right sides of six maxillary anterior teeth. This study aimed to assess.
from www.researchgate.net
Irregularities in gz symmetry and contour have a negative impact on dental esthetics. in dental anatomy, the free gingival margin is the interface between the sulcular epithelium and the epithelium of the oral cavity. the most common apical position of the marginal gingiva is referred to as gingival zenith (gz). the gingival zenith of the canine is apical to the gingival zenith of the incisors (gla <90°) and the gingival zenith of the lateral. learn what gingival zenith point is and how it affects smile design and aesthetics. establishing the ideal gingival zenith before starting the treatment is important to guide the periodontal,. the gingival zenith is the most apical aspect of free gingival margin. the gingival zenith (gz) influences the line angle position in the emergence profile and the axial inclination of the crown. The purpose of this study was to quantify some clinical parameters useful as esthetic guidelines when gingival contour is modified and to compare the left and right sides of six maxillary anterior teeth. Find out how to determine and modify the zenith points of upper front teeth and their relation to the midline, lips and gingiva.
(PDF) A quantitative evaluation of gingival zenith position of
Gingival Zenith Irregularities in gz symmetry and contour have a negative impact on dental esthetics. learn what gingival zenith point is and how it affects smile design and aesthetics. This study aimed to assess. the most common apical position of the marginal gingiva is referred to as gingival zenith (gz). the gingival zenith is the most apical aspect of free gingival margin. establishing the ideal gingival zenith before starting the treatment is important to guide the periodontal,. the gingival zenith (gz) influences the line angle position in the emergence profile and the axial inclination of the crown. the gingival zenith of the canine is apical to the gingival zenith of the incisors (gla <90°) and the gingival zenith of the lateral. Irregularities in gz symmetry and contour have a negative impact on dental esthetics. Find out how to determine and modify the zenith points of upper front teeth and their relation to the midline, lips and gingiva. in dental anatomy, the free gingival margin is the interface between the sulcular epithelium and the epithelium of the oral cavity. The purpose of this study was to quantify some clinical parameters useful as esthetic guidelines when gingival contour is modified and to compare the left and right sides of six maxillary anterior teeth.
From www.semanticscholar.org
Figure 3 from Gingival Zenith Positions and Gingival Zenith Levels of Gingival Zenith the gingival zenith of the canine is apical to the gingival zenith of the incisors (gla <90°) and the gingival zenith of the lateral. establishing the ideal gingival zenith before starting the treatment is important to guide the periodontal,. the gingival zenith (gz) influences the line angle position in the emergence profile and the axial inclination of. Gingival Zenith.
From www.jaypeedigital.com
Comparative Evaluation of Gingival Zenith Deviation from the Vertical Gingival Zenith This study aimed to assess. The purpose of this study was to quantify some clinical parameters useful as esthetic guidelines when gingival contour is modified and to compare the left and right sides of six maxillary anterior teeth. establishing the ideal gingival zenith before starting the treatment is important to guide the periodontal,. the gingival zenith (gz) influences. Gingival Zenith.
From www.facebook.com
In a single procedure.... Correcion of "Gingival Zenith points" and Gingival Zenith the gingival zenith is the most apical aspect of free gingival margin. learn what gingival zenith point is and how it affects smile design and aesthetics. the gingival zenith (gz) influences the line angle position in the emergence profile and the axial inclination of the crown. in dental anatomy, the free gingival margin is the interface. Gingival Zenith.
From www.semanticscholar.org
Figure 3 from Gingival Zenith Positions and Levels of Maxillary Gingival Zenith the gingival zenith (gz) influences the line angle position in the emergence profile and the axial inclination of the crown. Irregularities in gz symmetry and contour have a negative impact on dental esthetics. the gingival zenith of the canine is apical to the gingival zenith of the incisors (gla <90°) and the gingival zenith of the lateral. . Gingival Zenith.
From www.researchgate.net
(PDF) Assessment of Gingival Zenith Levels in the Healthy Gingiva of Gingival Zenith Irregularities in gz symmetry and contour have a negative impact on dental esthetics. the gingival zenith is the most apical aspect of free gingival margin. Find out how to determine and modify the zenith points of upper front teeth and their relation to the midline, lips and gingiva. learn what gingival zenith point is and how it affects. Gingival Zenith.
From www.semanticscholar.org
Figure 8 from Gingival zenith positions and levels of the maxillary Gingival Zenith establishing the ideal gingival zenith before starting the treatment is important to guide the periodontal,. the most common apical position of the marginal gingiva is referred to as gingival zenith (gz). The purpose of this study was to quantify some clinical parameters useful as esthetic guidelines when gingival contour is modified and to compare the left and right. Gingival Zenith.
From www.researchgate.net
The oral photographs and definitions of the parameters from the Gingival Zenith the gingival zenith (gz) influences the line angle position in the emergence profile and the axial inclination of the crown. the most common apical position of the marginal gingiva is referred to as gingival zenith (gz). establishing the ideal gingival zenith before starting the treatment is important to guide the periodontal,. Find out how to determine and. Gingival Zenith.
From www.researchgate.net
(PDF) SURVEY OF THE GINGIVAL ZENITH POSITION AND PAPILLA PROPORTION IN Gingival Zenith This study aimed to assess. learn what gingival zenith point is and how it affects smile design and aesthetics. Find out how to determine and modify the zenith points of upper front teeth and their relation to the midline, lips and gingiva. Irregularities in gz symmetry and contour have a negative impact on dental esthetics. The purpose of this. Gingival Zenith.
From www.drtarnow.com
Gingival Zenith Positions and Levels of the Maxillary Anterior Gingival Zenith Find out how to determine and modify the zenith points of upper front teeth and their relation to the midline, lips and gingiva. Irregularities in gz symmetry and contour have a negative impact on dental esthetics. the most common apical position of the marginal gingiva is referred to as gingival zenith (gz). establishing the ideal gingival zenith before. Gingival Zenith.
From www.mdpi.com
Dentistry Journal Free FullText Gingival Harmony in Anterior Gingival Zenith the gingival zenith of the canine is apical to the gingival zenith of the incisors (gla <90°) and the gingival zenith of the lateral. the gingival zenith (gz) influences the line angle position in the emergence profile and the axial inclination of the crown. Find out how to determine and modify the zenith points of upper front teeth. Gingival Zenith.
From vdocuments.mx
Maxillary Anterior Teeth Dimensions and Proportions in … · the gingival Gingival Zenith The purpose of this study was to quantify some clinical parameters useful as esthetic guidelines when gingival contour is modified and to compare the left and right sides of six maxillary anterior teeth. This study aimed to assess. establishing the ideal gingival zenith before starting the treatment is important to guide the periodontal,. Find out how to determine and. Gingival Zenith.
From www.researchgate.net
Gingival zenith and its role in redefining esthetics A clinical study Gingival Zenith The purpose of this study was to quantify some clinical parameters useful as esthetic guidelines when gingival contour is modified and to compare the left and right sides of six maxillary anterior teeth. the gingival zenith is the most apical aspect of free gingival margin. Irregularities in gz symmetry and contour have a negative impact on dental esthetics. . Gingival Zenith.
From www.tof.com.tw
Do you consider the gingival zenith when doing anterior single implant Gingival Zenith The purpose of this study was to quantify some clinical parameters useful as esthetic guidelines when gingival contour is modified and to compare the left and right sides of six maxillary anterior teeth. in dental anatomy, the free gingival margin is the interface between the sulcular epithelium and the epithelium of the oral cavity. the gingival zenith (gz). Gingival Zenith.
From www.semanticscholar.org
Figure 5 from Gingival Zenith Positions and Levels of Maxillary Gingival Zenith the gingival zenith of the canine is apical to the gingival zenith of the incisors (gla <90°) and the gingival zenith of the lateral. learn what gingival zenith point is and how it affects smile design and aesthetics. the gingival zenith (gz) influences the line angle position in the emergence profile and the axial inclination of the. Gingival Zenith.
From www.jaypeedigital.com
Comparative Evaluation of Gingival Zenith Deviation from the Vertical Gingival Zenith Irregularities in gz symmetry and contour have a negative impact on dental esthetics. This study aimed to assess. the gingival zenith is the most apical aspect of free gingival margin. the gingival zenith (gz) influences the line angle position in the emergence profile and the axial inclination of the crown. the gingival zenith of the canine is. Gingival Zenith.
From www.tof.com.tw
Do you consider the gingival zenith when doing anterior single implant Gingival Zenith the most common apical position of the marginal gingiva is referred to as gingival zenith (gz). Find out how to determine and modify the zenith points of upper front teeth and their relation to the midline, lips and gingiva. Irregularities in gz symmetry and contour have a negative impact on dental esthetics. The purpose of this study was to. Gingival Zenith.
From www.youtube.com
Rebel.dental mockup tutorial Gingival zenith position crown Gingival Zenith establishing the ideal gingival zenith before starting the treatment is important to guide the periodontal,. in dental anatomy, the free gingival margin is the interface between the sulcular epithelium and the epithelium of the oral cavity. This study aimed to assess. the gingival zenith (gz) influences the line angle position in the emergence profile and the axial. Gingival Zenith.
From www.tof.com.tw
Do you consider the gingival zenith when doing anterior single implant Gingival Zenith The purpose of this study was to quantify some clinical parameters useful as esthetic guidelines when gingival contour is modified and to compare the left and right sides of six maxillary anterior teeth. the gingival zenith of the canine is apical to the gingival zenith of the incisors (gla <90°) and the gingival zenith of the lateral. the. Gingival Zenith.
From www.youtube.com
Drop 167 PAPILLAE ANALYSIS AND GINGIVAL ZENITH YouTube Gingival Zenith in dental anatomy, the free gingival margin is the interface between the sulcular epithelium and the epithelium of the oral cavity. the gingival zenith is the most apical aspect of free gingival margin. The purpose of this study was to quantify some clinical parameters useful as esthetic guidelines when gingival contour is modified and to compare the left. Gingival Zenith.
From www.researchgate.net
(PDF) A quantitative evaluation of gingival zenith position of Gingival Zenith the gingival zenith is the most apical aspect of free gingival margin. learn what gingival zenith point is and how it affects smile design and aesthetics. This study aimed to assess. in dental anatomy, the free gingival margin is the interface between the sulcular epithelium and the epithelium of the oral cavity. The purpose of this study. Gingival Zenith.
From dokumen.tips
(PDF) Gingival Zenith Positions and Gingival Zenith Levels of … RESEARC Gingival Zenith Irregularities in gz symmetry and contour have a negative impact on dental esthetics. establishing the ideal gingival zenith before starting the treatment is important to guide the periodontal,. the gingival zenith is the most apical aspect of free gingival margin. in dental anatomy, the free gingival margin is the interface between the sulcular epithelium and the epithelium. Gingival Zenith.
From www.researchgate.net
(PDF) A COMPARATIVE EVALUATION OF GINGIVAL ZENITH POSITION AND GINGIVAL Gingival Zenith This study aimed to assess. The purpose of this study was to quantify some clinical parameters useful as esthetic guidelines when gingival contour is modified and to compare the left and right sides of six maxillary anterior teeth. establishing the ideal gingival zenith before starting the treatment is important to guide the periodontal,. the most common apical position. Gingival Zenith.
From www.researchgate.net
(PDF) Quantitative evaluation of the Gingival Zenith position and Gingival Zenith This study aimed to assess. learn what gingival zenith point is and how it affects smile design and aesthetics. the gingival zenith is the most apical aspect of free gingival margin. The purpose of this study was to quantify some clinical parameters useful as esthetic guidelines when gingival contour is modified and to compare the left and right. Gingival Zenith.
From es.scribd.com
Gingival Zenith Positions and Levels of the Maxillary Anterior Gingival Zenith establishing the ideal gingival zenith before starting the treatment is important to guide the periodontal,. This study aimed to assess. Find out how to determine and modify the zenith points of upper front teeth and their relation to the midline, lips and gingiva. The purpose of this study was to quantify some clinical parameters useful as esthetic guidelines when. Gingival Zenith.
From www.dental.theclinics.com
Update on PerioProsthodontics Dental Clinics Gingival Zenith establishing the ideal gingival zenith before starting the treatment is important to guide the periodontal,. The purpose of this study was to quantify some clinical parameters useful as esthetic guidelines when gingival contour is modified and to compare the left and right sides of six maxillary anterior teeth. Irregularities in gz symmetry and contour have a negative impact on. Gingival Zenith.
From dentalreach.today
Gingival Zenith A Collar To Be Proud About In Dentistry Gingival Zenith the gingival zenith (gz) influences the line angle position in the emergence profile and the axial inclination of the crown. This study aimed to assess. the gingival zenith of the canine is apical to the gingival zenith of the incisors (gla <90°) and the gingival zenith of the lateral. the most common apical position of the marginal. Gingival Zenith.
From www.studocu.com
Zenith Gingival dentistry UMY Studocu Gingival Zenith Find out how to determine and modify the zenith points of upper front teeth and their relation to the midline, lips and gingiva. establishing the ideal gingival zenith before starting the treatment is important to guide the periodontal,. in dental anatomy, the free gingival margin is the interface between the sulcular epithelium and the epithelium of the oral. Gingival Zenith.
From www.researchgate.net
(PDF) Assessment of gingival zenith position and its level relative to Gingival Zenith the most common apical position of the marginal gingiva is referred to as gingival zenith (gz). in dental anatomy, the free gingival margin is the interface between the sulcular epithelium and the epithelium of the oral cavity. establishing the ideal gingival zenith before starting the treatment is important to guide the periodontal,. the gingival zenith of. Gingival Zenith.
From www.tof.com.tw
Do you consider the gingival zenith when doing anterior single implant Gingival Zenith the gingival zenith is the most apical aspect of free gingival margin. in dental anatomy, the free gingival margin is the interface between the sulcular epithelium and the epithelium of the oral cavity. learn what gingival zenith point is and how it affects smile design and aesthetics. the most common apical position of the marginal gingiva. Gingival Zenith.
From www.semanticscholar.org
Gingival zenith positions and levels of the maxillary anterior Gingival Zenith the gingival zenith (gz) influences the line angle position in the emergence profile and the axial inclination of the crown. learn what gingival zenith point is and how it affects smile design and aesthetics. The purpose of this study was to quantify some clinical parameters useful as esthetic guidelines when gingival contour is modified and to compare the. Gingival Zenith.
From digitalsmiledesign.com
Gingival Zenith Positions and Levels of the Maxillary Anterior… Gingival Zenith The purpose of this study was to quantify some clinical parameters useful as esthetic guidelines when gingival contour is modified and to compare the left and right sides of six maxillary anterior teeth. the gingival zenith is the most apical aspect of free gingival margin. the gingival zenith of the canine is apical to the gingival zenith of. Gingival Zenith.
From www.researchgate.net
Gingival zenith location in relation to the long axis of maxillary Gingival Zenith Find out how to determine and modify the zenith points of upper front teeth and their relation to the midline, lips and gingiva. the gingival zenith (gz) influences the line angle position in the emergence profile and the axial inclination of the crown. the gingival zenith is the most apical aspect of free gingival margin. establishing the. Gingival Zenith.
From www.researchgate.net
The gingival zenith position of maxillary anterior teeth according to Gingival Zenith the gingival zenith is the most apical aspect of free gingival margin. the most common apical position of the marginal gingiva is referred to as gingival zenith (gz). the gingival zenith of the canine is apical to the gingival zenith of the incisors (gla <90°) and the gingival zenith of the lateral. establishing the ideal gingival. Gingival Zenith.
From dentagama.com
Gingival zenith point in dentistry News Dentagama Gingival Zenith Irregularities in gz symmetry and contour have a negative impact on dental esthetics. Find out how to determine and modify the zenith points of upper front teeth and their relation to the midline, lips and gingiva. learn what gingival zenith point is and how it affects smile design and aesthetics. in dental anatomy, the free gingival margin is. Gingival Zenith.
From www.tof.com.tw
Do you consider the gingival zenith when doing anterior single implant Gingival Zenith learn what gingival zenith point is and how it affects smile design and aesthetics. This study aimed to assess. the most common apical position of the marginal gingiva is referred to as gingival zenith (gz). Find out how to determine and modify the zenith points of upper front teeth and their relation to the midline, lips and gingiva.. Gingival Zenith.