Does Vsd Mean Down Syndrome . ventricular septal defect (vsd), atrial septal defect (asd), and patent ductus arteriosus (pda) are common types of chd. Ventricular septal defects are the most common congenital heart defect. Various studies place the incidence rate between 30 and 47 percent. the most common heart defect in children with down syndrome is an atrioventricular septal defect (avsd), a large hole in the center of the heart. avsd is the most frequently diagnosed congenital heart condition in children with down syndrome. Congenital heart disease is the most. The hole occurs in the wall that. But other heart defects are possible and can occur, including: It's a common heart problem present at birth (congenital heart defect). They vary greatly in location, clinical presentation, associated. the most common congenital heart defects in down syndrome (ds) babies are atrioventricular septal defects (avsd) and. a ventricular septal defect (vsd) is a hole in the heart. cardiovascular disease is a leading cause of morbidity and mortality in individuals with down syndrome.
from scite.ai
The hole occurs in the wall that. a ventricular septal defect (vsd) is a hole in the heart. But other heart defects are possible and can occur, including: Ventricular septal defects are the most common congenital heart defect. They vary greatly in location, clinical presentation, associated. Various studies place the incidence rate between 30 and 47 percent. the most common congenital heart defects in down syndrome (ds) babies are atrioventricular septal defects (avsd) and. It's a common heart problem present at birth (congenital heart defect). cardiovascular disease is a leading cause of morbidity and mortality in individuals with down syndrome. avsd is the most frequently diagnosed congenital heart condition in children with down syndrome.
Atlantoaxial Instability in down SyndromeGuidelines for Screening and
Does Vsd Mean Down Syndrome a ventricular septal defect (vsd) is a hole in the heart. the most common heart defect in children with down syndrome is an atrioventricular septal defect (avsd), a large hole in the center of the heart. the most common congenital heart defects in down syndrome (ds) babies are atrioventricular septal defects (avsd) and. avsd is the most frequently diagnosed congenital heart condition in children with down syndrome. cardiovascular disease is a leading cause of morbidity and mortality in individuals with down syndrome. Congenital heart disease is the most. It's a common heart problem present at birth (congenital heart defect). Various studies place the incidence rate between 30 and 47 percent. They vary greatly in location, clinical presentation, associated. But other heart defects are possible and can occur, including: ventricular septal defect (vsd), atrial septal defect (asd), and patent ductus arteriosus (pda) are common types of chd. The hole occurs in the wall that. a ventricular septal defect (vsd) is a hole in the heart. Ventricular septal defects are the most common congenital heart defect.
From www.oursundayvisitor.com
Young Catholic triathlete with Down syndrome, inspired by faith, tells Does Vsd Mean Down Syndrome Ventricular septal defects are the most common congenital heart defect. It's a common heart problem present at birth (congenital heart defect). They vary greatly in location, clinical presentation, associated. avsd is the most frequently diagnosed congenital heart condition in children with down syndrome. a ventricular septal defect (vsd) is a hole in the heart. the most common. Does Vsd Mean Down Syndrome.
From www.alamy.com
World Down Syndrome Day. disabled kid complex disorders. vector Does Vsd Mean Down Syndrome They vary greatly in location, clinical presentation, associated. ventricular septal defect (vsd), atrial septal defect (asd), and patent ductus arteriosus (pda) are common types of chd. the most common heart defect in children with down syndrome is an atrioventricular septal defect (avsd), a large hole in the center of the heart. cardiovascular disease is a leading cause. Does Vsd Mean Down Syndrome.
From www.pinterest.com
Pinterest Does Vsd Mean Down Syndrome Ventricular septal defects are the most common congenital heart defect. ventricular septal defect (vsd), atrial septal defect (asd), and patent ductus arteriosus (pda) are common types of chd. the most common congenital heart defects in down syndrome (ds) babies are atrioventricular septal defects (avsd) and. But other heart defects are possible and can occur, including: cardiovascular disease. Does Vsd Mean Down Syndrome.
From www.1specialplace.com
Down Syndrome Myths and Facts 1SpecialPlace Does Vsd Mean Down Syndrome ventricular septal defect (vsd), atrial septal defect (asd), and patent ductus arteriosus (pda) are common types of chd. The hole occurs in the wall that. Congenital heart disease is the most. But other heart defects are possible and can occur, including: They vary greatly in location, clinical presentation, associated. the most common heart defect in children with down. Does Vsd Mean Down Syndrome.
From justcredible.com
9 Down Syndrome Facts That You Never Knew Just Credible Does Vsd Mean Down Syndrome Various studies place the incidence rate between 30 and 47 percent. They vary greatly in location, clinical presentation, associated. the most common heart defect in children with down syndrome is an atrioventricular septal defect (avsd), a large hole in the center of the heart. ventricular septal defect (vsd), atrial septal defect (asd), and patent ductus arteriosus (pda) are. Does Vsd Mean Down Syndrome.
From www.verywellhealth.com
Down Syndrome and Hypothyroidism Does Vsd Mean Down Syndrome the most common congenital heart defects in down syndrome (ds) babies are atrioventricular septal defects (avsd) and. avsd is the most frequently diagnosed congenital heart condition in children with down syndrome. Various studies place the incidence rate between 30 and 47 percent. Ventricular septal defects are the most common congenital heart defect. It's a common heart problem present. Does Vsd Mean Down Syndrome.
From www.craiyon.com
Person with down syndrome on Craiyon Does Vsd Mean Down Syndrome They vary greatly in location, clinical presentation, associated. avsd is the most frequently diagnosed congenital heart condition in children with down syndrome. But other heart defects are possible and can occur, including: Ventricular septal defects are the most common congenital heart defect. a ventricular septal defect (vsd) is a hole in the heart. cardiovascular disease is a. Does Vsd Mean Down Syndrome.
From www.craiyon.com
Scientist engineer with down syndrome in lab coat on Craiyon Does Vsd Mean Down Syndrome ventricular septal defect (vsd), atrial septal defect (asd), and patent ductus arteriosus (pda) are common types of chd. Various studies place the incidence rate between 30 and 47 percent. Ventricular septal defects are the most common congenital heart defect. the most common heart defect in children with down syndrome is an atrioventricular septal defect (avsd), a large hole. Does Vsd Mean Down Syndrome.
From www.craiyon.com
Photo of a boy with down syndrome on Craiyon Does Vsd Mean Down Syndrome The hole occurs in the wall that. But other heart defects are possible and can occur, including: It's a common heart problem present at birth (congenital heart defect). the most common congenital heart defects in down syndrome (ds) babies are atrioventricular septal defects (avsd) and. ventricular septal defect (vsd), atrial septal defect (asd), and patent ductus arteriosus (pda). Does Vsd Mean Down Syndrome.
From my.clevelandclinic.org
Down Syndrome Symptoms & Causes Does Vsd Mean Down Syndrome avsd is the most frequently diagnosed congenital heart condition in children with down syndrome. a ventricular septal defect (vsd) is a hole in the heart. the most common heart defect in children with down syndrome is an atrioventricular septal defect (avsd), a large hole in the center of the heart. Congenital heart disease is the most. Ventricular. Does Vsd Mean Down Syndrome.
From love-gifts2.com
Down Syndrome Proud Down Syndrome Grandma Down Syndrome Awareness Does Vsd Mean Down Syndrome Ventricular septal defects are the most common congenital heart defect. Congenital heart disease is the most. avsd is the most frequently diagnosed congenital heart condition in children with down syndrome. a ventricular septal defect (vsd) is a hole in the heart. cardiovascular disease is a leading cause of morbidity and mortality in individuals with down syndrome. They. Does Vsd Mean Down Syndrome.
From www.alllevel.ca
World Down Syndrome Day 2023 Does Vsd Mean Down Syndrome It's a common heart problem present at birth (congenital heart defect). the most common heart defect in children with down syndrome is an atrioventricular septal defect (avsd), a large hole in the center of the heart. Ventricular septal defects are the most common congenital heart defect. ventricular septal defect (vsd), atrial septal defect (asd), and patent ductus arteriosus. Does Vsd Mean Down Syndrome.
From charity.pledgeit.org
Support Dash for Down Syndrome 2023 PledgeIt for Charities Does Vsd Mean Down Syndrome Congenital heart disease is the most. cardiovascular disease is a leading cause of morbidity and mortality in individuals with down syndrome. avsd is the most frequently diagnosed congenital heart condition in children with down syndrome. a ventricular septal defect (vsd) is a hole in the heart. the most common congenital heart defects in down syndrome (ds). Does Vsd Mean Down Syndrome.
From scite.ai
Atlantoaxial Instability in down SyndromeGuidelines for Screening and Does Vsd Mean Down Syndrome a ventricular septal defect (vsd) is a hole in the heart. ventricular septal defect (vsd), atrial septal defect (asd), and patent ductus arteriosus (pda) are common types of chd. cardiovascular disease is a leading cause of morbidity and mortality in individuals with down syndrome. the most common heart defect in children with down syndrome is an. Does Vsd Mean Down Syndrome.
From naturopathiccurrents.com
Down Syndrome NPC Does Vsd Mean Down Syndrome The hole occurs in the wall that. It's a common heart problem present at birth (congenital heart defect). cardiovascular disease is a leading cause of morbidity and mortality in individuals with down syndrome. a ventricular septal defect (vsd) is a hole in the heart. But other heart defects are possible and can occur, including: Various studies place the. Does Vsd Mean Down Syndrome.
From otarbo.com
Facts about Down Syndrome CDC (2022) Does Vsd Mean Down Syndrome avsd is the most frequently diagnosed congenital heart condition in children with down syndrome. the most common heart defect in children with down syndrome is an atrioventricular septal defect (avsd), a large hole in the center of the heart. Various studies place the incidence rate between 30 and 47 percent. Ventricular septal defects are the most common congenital. Does Vsd Mean Down Syndrome.
From exobojxmq.blob.core.windows.net
What Is The Most Common Congenital Heart Disease at Judy Fawcett blog Does Vsd Mean Down Syndrome Congenital heart disease is the most. Various studies place the incidence rate between 30 and 47 percent. But other heart defects are possible and can occur, including: ventricular septal defect (vsd), atrial septal defect (asd), and patent ductus arteriosus (pda) are common types of chd. It's a common heart problem present at birth (congenital heart defect). avsd is. Does Vsd Mean Down Syndrome.
From testbook.com
Down Syndrome Facts, Types, Diagnosis & Characteristics Does Vsd Mean Down Syndrome avsd is the most frequently diagnosed congenital heart condition in children with down syndrome. Ventricular septal defects are the most common congenital heart defect. But other heart defects are possible and can occur, including: a ventricular septal defect (vsd) is a hole in the heart. They vary greatly in location, clinical presentation, associated. Various studies place the incidence. Does Vsd Mean Down Syndrome.
From focusflorida.com
Children With Down Syndrome Do Better With Speech Therapy Focus Therapy Does Vsd Mean Down Syndrome the most common congenital heart defects in down syndrome (ds) babies are atrioventricular septal defects (avsd) and. cardiovascular disease is a leading cause of morbidity and mortality in individuals with down syndrome. Ventricular septal defects are the most common congenital heart defect. It's a common heart problem present at birth (congenital heart defect). They vary greatly in location,. Does Vsd Mean Down Syndrome.
From madrascourier.com
It’s Essential To Create More Awareness About Down Syndrome In India Does Vsd Mean Down Syndrome avsd is the most frequently diagnosed congenital heart condition in children with down syndrome. a ventricular septal defect (vsd) is a hole in the heart. Various studies place the incidence rate between 30 and 47 percent. They vary greatly in location, clinical presentation, associated. ventricular septal defect (vsd), atrial septal defect (asd), and patent ductus arteriosus (pda). Does Vsd Mean Down Syndrome.
From www.mencap.org.uk
ster Mencap Does Vsd Mean Down Syndrome the most common heart defect in children with down syndrome is an atrioventricular septal defect (avsd), a large hole in the center of the heart. Various studies place the incidence rate between 30 and 47 percent. Congenital heart disease is the most. It's a common heart problem present at birth (congenital heart defect). The hole occurs in the wall. Does Vsd Mean Down Syndrome.
From www.foxnews.com
How to show your support for Down syndrome awareness 365 days a year Does Vsd Mean Down Syndrome Ventricular septal defects are the most common congenital heart defect. They vary greatly in location, clinical presentation, associated. ventricular septal defect (vsd), atrial septal defect (asd), and patent ductus arteriosus (pda) are common types of chd. The hole occurs in the wall that. the most common heart defect in children with down syndrome is an atrioventricular septal defect. Does Vsd Mean Down Syndrome.
From www.ecwexford.ie
An Overview of the Learning Profile of Children with Down Syndrome at Does Vsd Mean Down Syndrome a ventricular septal defect (vsd) is a hole in the heart. the most common congenital heart defects in down syndrome (ds) babies are atrioventricular septal defects (avsd) and. ventricular septal defect (vsd), atrial septal defect (asd), and patent ductus arteriosus (pda) are common types of chd. It's a common heart problem present at birth (congenital heart defect).. Does Vsd Mean Down Syndrome.
From www.pinterest.com
pelo.store This website is for sale! pelo Resources and Information Does Vsd Mean Down Syndrome Various studies place the incidence rate between 30 and 47 percent. cardiovascular disease is a leading cause of morbidity and mortality in individuals with down syndrome. Congenital heart disease is the most. It's a common heart problem present at birth (congenital heart defect). They vary greatly in location, clinical presentation, associated. Ventricular septal defects are the most common congenital. Does Vsd Mean Down Syndrome.
From quotestrendingusa.blogspot.com
Pics Of Down Syndrome Quotes Trending Does Vsd Mean Down Syndrome Various studies place the incidence rate between 30 and 47 percent. But other heart defects are possible and can occur, including: the most common heart defect in children with down syndrome is an atrioventricular septal defect (avsd), a large hole in the center of the heart. a ventricular septal defect (vsd) is a hole in the heart. Congenital. Does Vsd Mean Down Syndrome.
From www.verywellhealth.com
How Down Syndrome Is Treated Does Vsd Mean Down Syndrome Various studies place the incidence rate between 30 and 47 percent. a ventricular septal defect (vsd) is a hole in the heart. the most common heart defect in children with down syndrome is an atrioventricular septal defect (avsd), a large hole in the center of the heart. Congenital heart disease is the most. cardiovascular disease is a. Does Vsd Mean Down Syndrome.
From caples.org
Down Syndrome International Down Syndrome International Kami Does Vsd Mean Down Syndrome a ventricular septal defect (vsd) is a hole in the heart. Various studies place the incidence rate between 30 and 47 percent. avsd is the most frequently diagnosed congenital heart condition in children with down syndrome. the most common heart defect in children with down syndrome is an atrioventricular septal defect (avsd), a large hole in the. Does Vsd Mean Down Syndrome.
From www.downsyndrome.org.au
Down Syndrome Regression Disorder Down Syndrome WA Does Vsd Mean Down Syndrome ventricular septal defect (vsd), atrial septal defect (asd), and patent ductus arteriosus (pda) are common types of chd. The hole occurs in the wall that. avsd is the most frequently diagnosed congenital heart condition in children with down syndrome. Various studies place the incidence rate between 30 and 47 percent. a ventricular septal defect (vsd) is a. Does Vsd Mean Down Syndrome.
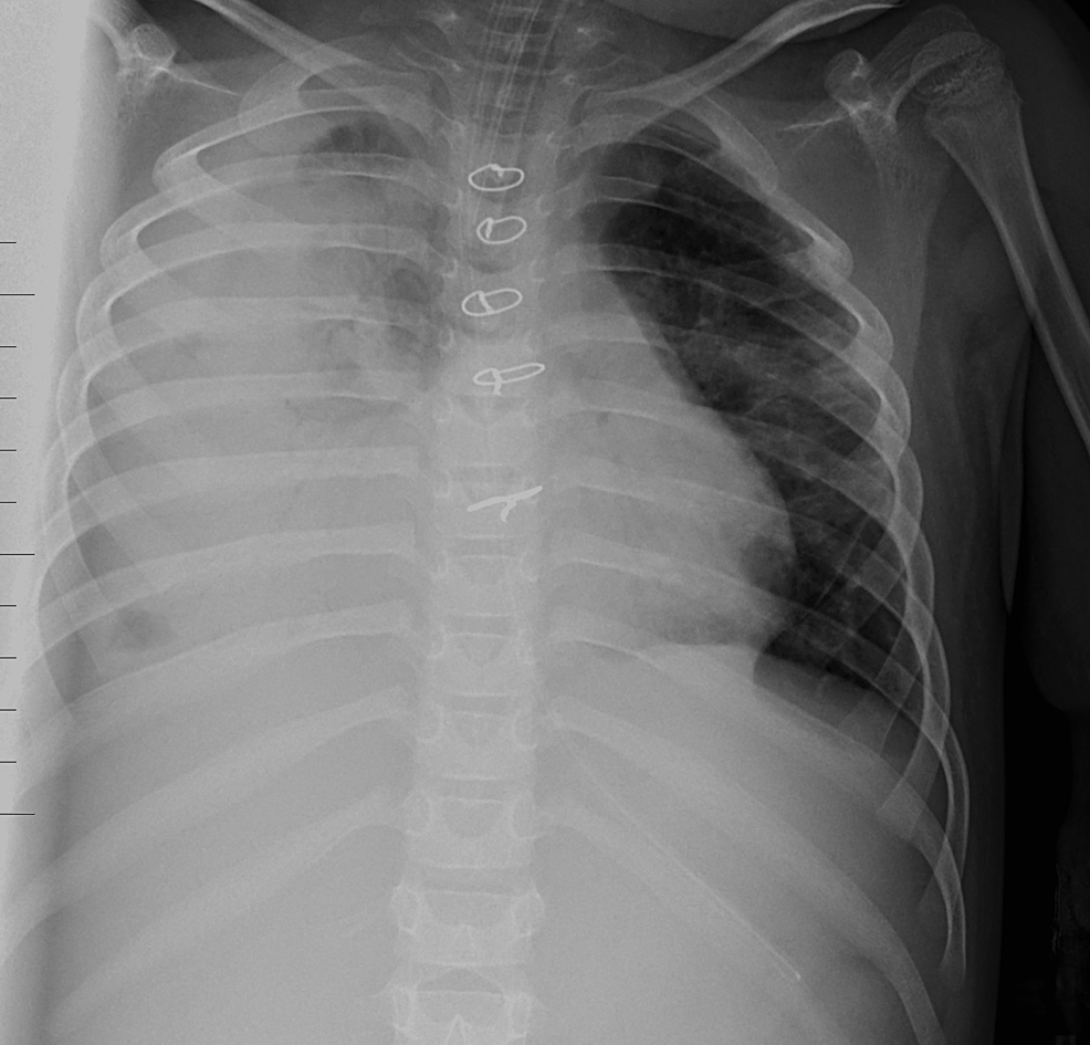
From www.cureus.com
Cureus Cystic Lung Changes in Down Syndrome A Case Report Does Vsd Mean Down Syndrome The hole occurs in the wall that. They vary greatly in location, clinical presentation, associated. But other heart defects are possible and can occur, including: Ventricular septal defects are the most common congenital heart defect. the most common heart defect in children with down syndrome is an atrioventricular septal defect (avsd), a large hole in the center of the. Does Vsd Mean Down Syndrome.
From childrensnational.org
Pediatric Ventricular Septal Defect (VSD) Conditions and Treatment Does Vsd Mean Down Syndrome the most common heart defect in children with down syndrome is an atrioventricular septal defect (avsd), a large hole in the center of the heart. They vary greatly in location, clinical presentation, associated. Congenital heart disease is the most. Ventricular septal defects are the most common congenital heart defect. It's a common heart problem present at birth (congenital heart. Does Vsd Mean Down Syndrome.
From www.youtube.com
Down Syndrome Answers What does Down syndrome look like? YouTube Does Vsd Mean Down Syndrome a ventricular septal defect (vsd) is a hole in the heart. Various studies place the incidence rate between 30 and 47 percent. Congenital heart disease is the most. ventricular septal defect (vsd), atrial septal defect (asd), and patent ductus arteriosus (pda) are common types of chd. the most common heart defect in children with down syndrome is. Does Vsd Mean Down Syndrome.
From www.alamy.com
down syndrome design Stock Vector Image & Art Alamy Does Vsd Mean Down Syndrome avsd is the most frequently diagnosed congenital heart condition in children with down syndrome. Ventricular septal defects are the most common congenital heart defect. Congenital heart disease is the most. The hole occurs in the wall that. It's a common heart problem present at birth (congenital heart defect). They vary greatly in location, clinical presentation, associated. a ventricular. Does Vsd Mean Down Syndrome.
From www.konteks.co.id
Mengenal Lebih Dalam Apa Itu Down Syndrome Konteks Does Vsd Mean Down Syndrome Various studies place the incidence rate between 30 and 47 percent. They vary greatly in location, clinical presentation, associated. It's a common heart problem present at birth (congenital heart defect). a ventricular septal defect (vsd) is a hole in the heart. avsd is the most frequently diagnosed congenital heart condition in children with down syndrome. The hole occurs. Does Vsd Mean Down Syndrome.
From hindi.careerindia.com
World Down Syndrome Day 2023 डाउन सिंड्रोम क्या है? जानिए क्यों मनाया Does Vsd Mean Down Syndrome a ventricular septal defect (vsd) is a hole in the heart. the most common heart defect in children with down syndrome is an atrioventricular septal defect (avsd), a large hole in the center of the heart. cardiovascular disease is a leading cause of morbidity and mortality in individuals with down syndrome. Various studies place the incidence rate. Does Vsd Mean Down Syndrome.
From www.pinterest.com
Down syndrome awareness Down Syndrome And Autism, Down Syndrome Does Vsd Mean Down Syndrome Ventricular septal defects are the most common congenital heart defect. the most common heart defect in children with down syndrome is an atrioventricular septal defect (avsd), a large hole in the center of the heart. It's a common heart problem present at birth (congenital heart defect). a ventricular septal defect (vsd) is a hole in the heart. But. Does Vsd Mean Down Syndrome.