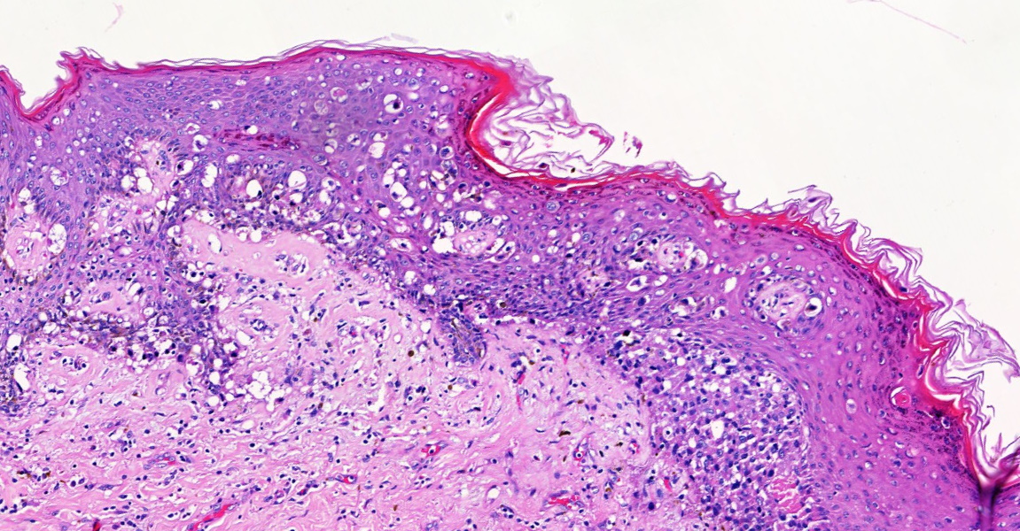
Paget Disease With Dermal Invasion . This thesis states that paget cells are a malignant form of pluripotent keratinocyte stem cells or apocrine gland ductus cells. We reviewed mpd cases diagnosed. Invasive mammary paget's disease (mpd) is an extremely rare eczematous eruption on the nipple and areola with an invasion of the dermis by. A ≥50% reduction in empd lesion size was achieved in 100% and 75.3% of patients treated with surgery and topical therapies, respectively. Invasive mammary paget's disease (mpd) is an extremely rare eczematous eruption on the nipple and areola with an invasion of the. A significantly lower dss was observed in patients showing deep dermal invasion (≥1 mm) or metastatic disease (p <.05). Mammary paget disease with dermal invasion (invmpd) is rare, and its prognosis remains largely unknown. Our study was designed to identify the presence of dermal invasion of mammary paget cells and characterize the associated clinicopathologic.
from www.pathologyoutlines.com
We reviewed mpd cases diagnosed. A significantly lower dss was observed in patients showing deep dermal invasion (≥1 mm) or metastatic disease (p <.05). A ≥50% reduction in empd lesion size was achieved in 100% and 75.3% of patients treated with surgery and topical therapies, respectively. Our study was designed to identify the presence of dermal invasion of mammary paget cells and characterize the associated clinicopathologic. Mammary paget disease with dermal invasion (invmpd) is rare, and its prognosis remains largely unknown. This thesis states that paget cells are a malignant form of pluripotent keratinocyte stem cells or apocrine gland ductus cells. Invasive mammary paget's disease (mpd) is an extremely rare eczematous eruption on the nipple and areola with an invasion of the dermis by. Invasive mammary paget's disease (mpd) is an extremely rare eczematous eruption on the nipple and areola with an invasion of the.
Pathology Outlines Paget disease
Paget Disease With Dermal Invasion Invasive mammary paget's disease (mpd) is an extremely rare eczematous eruption on the nipple and areola with an invasion of the. Our study was designed to identify the presence of dermal invasion of mammary paget cells and characterize the associated clinicopathologic. Mammary paget disease with dermal invasion (invmpd) is rare, and its prognosis remains largely unknown. Invasive mammary paget's disease (mpd) is an extremely rare eczematous eruption on the nipple and areola with an invasion of the. We reviewed mpd cases diagnosed. A ≥50% reduction in empd lesion size was achieved in 100% and 75.3% of patients treated with surgery and topical therapies, respectively. Invasive mammary paget's disease (mpd) is an extremely rare eczematous eruption on the nipple and areola with an invasion of the dermis by. This thesis states that paget cells are a malignant form of pluripotent keratinocyte stem cells or apocrine gland ductus cells. A significantly lower dss was observed in patients showing deep dermal invasion (≥1 mm) or metastatic disease (p <.05).
From www.pathologyoutlines.com
Pathology Outlines Paget disease Paget Disease With Dermal Invasion Invasive mammary paget's disease (mpd) is an extremely rare eczematous eruption on the nipple and areola with an invasion of the. Invasive mammary paget's disease (mpd) is an extremely rare eczematous eruption on the nipple and areola with an invasion of the dermis by. A significantly lower dss was observed in patients showing deep dermal invasion (≥1 mm) or metastatic. Paget Disease With Dermal Invasion.
From www.pathologyoutlines.com
Pathology Outlines Paget disease Paget Disease With Dermal Invasion Our study was designed to identify the presence of dermal invasion of mammary paget cells and characterize the associated clinicopathologic. A ≥50% reduction in empd lesion size was achieved in 100% and 75.3% of patients treated with surgery and topical therapies, respectively. Invasive mammary paget's disease (mpd) is an extremely rare eczematous eruption on the nipple and areola with an. Paget Disease With Dermal Invasion.
From www.ncbi.nlm.nih.gov
Paget Bone Disease StatPearls NCBI Bookshelf Paget Disease With Dermal Invasion This thesis states that paget cells are a malignant form of pluripotent keratinocyte stem cells or apocrine gland ductus cells. A ≥50% reduction in empd lesion size was achieved in 100% and 75.3% of patients treated with surgery and topical therapies, respectively. Our study was designed to identify the presence of dermal invasion of mammary paget cells and characterize the. Paget Disease With Dermal Invasion.
From pocketdentistry.com
Paget Disease Pocket Dentistry Paget Disease With Dermal Invasion A ≥50% reduction in empd lesion size was achieved in 100% and 75.3% of patients treated with surgery and topical therapies, respectively. This thesis states that paget cells are a malignant form of pluripotent keratinocyte stem cells or apocrine gland ductus cells. Mammary paget disease with dermal invasion (invmpd) is rare, and its prognosis remains largely unknown. Invasive mammary paget's. Paget Disease With Dermal Invasion.
From www.pathologyoutlines.com
Pathology Outlines Paget disease Paget Disease With Dermal Invasion A significantly lower dss was observed in patients showing deep dermal invasion (≥1 mm) or metastatic disease (p <.05). This thesis states that paget cells are a malignant form of pluripotent keratinocyte stem cells or apocrine gland ductus cells. Our study was designed to identify the presence of dermal invasion of mammary paget cells and characterize the associated clinicopathologic. Invasive. Paget Disease With Dermal Invasion.
From www.researchgate.net
Pigmented extramammary Paget's disease. The red arrow shows the Paget Disease With Dermal Invasion Invasive mammary paget's disease (mpd) is an extremely rare eczematous eruption on the nipple and areola with an invasion of the dermis by. We reviewed mpd cases diagnosed. This thesis states that paget cells are a malignant form of pluripotent keratinocyte stem cells or apocrine gland ductus cells. A ≥50% reduction in empd lesion size was achieved in 100% and. Paget Disease With Dermal Invasion.
From meridian.allenpress.com
Extramammary Paget Disease of the Scrotum With Features of Bowen Paget Disease With Dermal Invasion Our study was designed to identify the presence of dermal invasion of mammary paget cells and characterize the associated clinicopathologic. A significantly lower dss was observed in patients showing deep dermal invasion (≥1 mm) or metastatic disease (p <.05). A ≥50% reduction in empd lesion size was achieved in 100% and 75.3% of patients treated with surgery and topical therapies,. Paget Disease With Dermal Invasion.
From journals.lww.com
Male Mammary Paget Disease A Tale of 2 Contrasting Cases The Paget Disease With Dermal Invasion Our study was designed to identify the presence of dermal invasion of mammary paget cells and characterize the associated clinicopathologic. Mammary paget disease with dermal invasion (invmpd) is rare, and its prognosis remains largely unknown. We reviewed mpd cases diagnosed. This thesis states that paget cells are a malignant form of pluripotent keratinocyte stem cells or apocrine gland ductus cells.. Paget Disease With Dermal Invasion.
From www.pathologyoutlines.com
Pathology Outlines Paget disease Paget Disease With Dermal Invasion A ≥50% reduction in empd lesion size was achieved in 100% and 75.3% of patients treated with surgery and topical therapies, respectively. This thesis states that paget cells are a malignant form of pluripotent keratinocyte stem cells or apocrine gland ductus cells. Our study was designed to identify the presence of dermal invasion of mammary paget cells and characterize the. Paget Disease With Dermal Invasion.
From mavink.com
Paget's Disease Histology Paget Disease With Dermal Invasion Our study was designed to identify the presence of dermal invasion of mammary paget cells and characterize the associated clinicopathologic. We reviewed mpd cases diagnosed. A significantly lower dss was observed in patients showing deep dermal invasion (≥1 mm) or metastatic disease (p <.05). A ≥50% reduction in empd lesion size was achieved in 100% and 75.3% of patients treated. Paget Disease With Dermal Invasion.
From www.semanticscholar.org
Figure 1 from Strut allograft invasion by Paget's disease of bone a Paget Disease With Dermal Invasion Our study was designed to identify the presence of dermal invasion of mammary paget cells and characterize the associated clinicopathologic. Invasive mammary paget's disease (mpd) is an extremely rare eczematous eruption on the nipple and areola with an invasion of the dermis by. A ≥50% reduction in empd lesion size was achieved in 100% and 75.3% of patients treated with. Paget Disease With Dermal Invasion.
From onlinelibrary.wiley.com
Paget's disease of nipple with dermal invasion A case report Paget Disease With Dermal Invasion We reviewed mpd cases diagnosed. Invasive mammary paget's disease (mpd) is an extremely rare eczematous eruption on the nipple and areola with an invasion of the dermis by. A ≥50% reduction in empd lesion size was achieved in 100% and 75.3% of patients treated with surgery and topical therapies, respectively. Our study was designed to identify the presence of dermal. Paget Disease With Dermal Invasion.
From www.researchgate.net
Dermal embolization in extramammary Paget disease. a Emboli with Paget Disease With Dermal Invasion Invasive mammary paget's disease (mpd) is an extremely rare eczematous eruption on the nipple and areola with an invasion of the dermis by. Our study was designed to identify the presence of dermal invasion of mammary paget cells and characterize the associated clinicopathologic. Invasive mammary paget's disease (mpd) is an extremely rare eczematous eruption on the nipple and areola with. Paget Disease With Dermal Invasion.
From onlinelibrary.wiley.com
Paget's disease of nipple with dermal invasion A case report Paget Disease With Dermal Invasion Invasive mammary paget's disease (mpd) is an extremely rare eczematous eruption on the nipple and areola with an invasion of the. Invasive mammary paget's disease (mpd) is an extremely rare eczematous eruption on the nipple and areola with an invasion of the dermis by. We reviewed mpd cases diagnosed. This thesis states that paget cells are a malignant form of. Paget Disease With Dermal Invasion.
From www.linkedin.com
Rubina Maharjan on LinkedIn Finally published! "Paget's disease of Paget Disease With Dermal Invasion Invasive mammary paget's disease (mpd) is an extremely rare eczematous eruption on the nipple and areola with an invasion of the dermis by. This thesis states that paget cells are a malignant form of pluripotent keratinocyte stem cells or apocrine gland ductus cells. Invasive mammary paget's disease (mpd) is an extremely rare eczematous eruption on the nipple and areola with. Paget Disease With Dermal Invasion.
From onlinelibrary.wiley.com
Paget's disease of nipple with dermal invasion A case report Paget Disease With Dermal Invasion A ≥50% reduction in empd lesion size was achieved in 100% and 75.3% of patients treated with surgery and topical therapies, respectively. Mammary paget disease with dermal invasion (invmpd) is rare, and its prognosis remains largely unknown. Invasive mammary paget's disease (mpd) is an extremely rare eczematous eruption on the nipple and areola with an invasion of the. A significantly. Paget Disease With Dermal Invasion.
From www.researchgate.net
(PDF) Paget's disease of nipple with dermal invasion A case report Paget Disease With Dermal Invasion This thesis states that paget cells are a malignant form of pluripotent keratinocyte stem cells or apocrine gland ductus cells. Invasive mammary paget's disease (mpd) is an extremely rare eczematous eruption on the nipple and areola with an invasion of the dermis by. We reviewed mpd cases diagnosed. Our study was designed to identify the presence of dermal invasion of. Paget Disease With Dermal Invasion.
From www.thelancet.com
Pathogenesis and management of Paget's disease of bone The Lancet Paget Disease With Dermal Invasion Mammary paget disease with dermal invasion (invmpd) is rare, and its prognosis remains largely unknown. A ≥50% reduction in empd lesion size was achieved in 100% and 75.3% of patients treated with surgery and topical therapies, respectively. A significantly lower dss was observed in patients showing deep dermal invasion (≥1 mm) or metastatic disease (p <.05). Our study was designed. Paget Disease With Dermal Invasion.
From www.pathologyoutlines.com
Pathology Outlines Paget disease Paget Disease With Dermal Invasion Invasive mammary paget's disease (mpd) is an extremely rare eczematous eruption on the nipple and areola with an invasion of the dermis by. We reviewed mpd cases diagnosed. Our study was designed to identify the presence of dermal invasion of mammary paget cells and characterize the associated clinicopathologic. Invasive mammary paget's disease (mpd) is an extremely rare eczematous eruption on. Paget Disease With Dermal Invasion.
From www.pathologyoutlines.com
Pathology Outlines Paget disease Paget Disease With Dermal Invasion We reviewed mpd cases diagnosed. Our study was designed to identify the presence of dermal invasion of mammary paget cells and characterize the associated clinicopathologic. This thesis states that paget cells are a malignant form of pluripotent keratinocyte stem cells or apocrine gland ductus cells. Mammary paget disease with dermal invasion (invmpd) is rare, and its prognosis remains largely unknown.. Paget Disease With Dermal Invasion.
From www.pathologyoutlines.com
Pathology Outlines Extramammary Paget disease Paget Disease With Dermal Invasion Invasive mammary paget's disease (mpd) is an extremely rare eczematous eruption on the nipple and areola with an invasion of the. We reviewed mpd cases diagnosed. A ≥50% reduction in empd lesion size was achieved in 100% and 75.3% of patients treated with surgery and topical therapies, respectively. Our study was designed to identify the presence of dermal invasion of. Paget Disease With Dermal Invasion.
From www.youtube.com
Extramammary Paget disease (presents as chronic "rash" in vulva Paget Disease With Dermal Invasion A significantly lower dss was observed in patients showing deep dermal invasion (≥1 mm) or metastatic disease (p <.05). A ≥50% reduction in empd lesion size was achieved in 100% and 75.3% of patients treated with surgery and topical therapies, respectively. We reviewed mpd cases diagnosed. Our study was designed to identify the presence of dermal invasion of mammary paget. Paget Disease With Dermal Invasion.
From orthoinfo.aaos.org
Paget's Disease of Bone Symptoms and Treatment OrthoInfo AAOS Paget Disease With Dermal Invasion This thesis states that paget cells are a malignant form of pluripotent keratinocyte stem cells or apocrine gland ductus cells. Invasive mammary paget's disease (mpd) is an extremely rare eczematous eruption on the nipple and areola with an invasion of the. A significantly lower dss was observed in patients showing deep dermal invasion (≥1 mm) or metastatic disease (p <.05).. Paget Disease With Dermal Invasion.
From www.pathologyoutlines.com
Pathology Outlines Paget disease Paget Disease With Dermal Invasion A significantly lower dss was observed in patients showing deep dermal invasion (≥1 mm) or metastatic disease (p <.05). Invasive mammary paget's disease (mpd) is an extremely rare eczematous eruption on the nipple and areola with an invasion of the. Our study was designed to identify the presence of dermal invasion of mammary paget cells and characterize the associated clinicopathologic.. Paget Disease With Dermal Invasion.
From www.researchgate.net
Histopathology of scrotal extramammary Paget disease in case 1. (1A Paget Disease With Dermal Invasion Invasive mammary paget's disease (mpd) is an extremely rare eczematous eruption on the nipple and areola with an invasion of the. Our study was designed to identify the presence of dermal invasion of mammary paget cells and characterize the associated clinicopathologic. We reviewed mpd cases diagnosed. Mammary paget disease with dermal invasion (invmpd) is rare, and its prognosis remains largely. Paget Disease With Dermal Invasion.
From pathology.or.jp
14.Breast (9) Paget’s diseasePathology Core Pictures Paget Disease With Dermal Invasion A ≥50% reduction in empd lesion size was achieved in 100% and 75.3% of patients treated with surgery and topical therapies, respectively. A significantly lower dss was observed in patients showing deep dermal invasion (≥1 mm) or metastatic disease (p <.05). This thesis states that paget cells are a malignant form of pluripotent keratinocyte stem cells or apocrine gland ductus. Paget Disease With Dermal Invasion.
From www.researchgate.net
Histological section shows invasive Paget's disease with dermal Paget Disease With Dermal Invasion A ≥50% reduction in empd lesion size was achieved in 100% and 75.3% of patients treated with surgery and topical therapies, respectively. Mammary paget disease with dermal invasion (invmpd) is rare, and its prognosis remains largely unknown. Invasive mammary paget's disease (mpd) is an extremely rare eczematous eruption on the nipple and areola with an invasion of the dermis by.. Paget Disease With Dermal Invasion.
From www.pathologyoutlines.com
Pathology Outlines Paget disease Paget Disease With Dermal Invasion Invasive mammary paget's disease (mpd) is an extremely rare eczematous eruption on the nipple and areola with an invasion of the dermis by. A significantly lower dss was observed in patients showing deep dermal invasion (≥1 mm) or metastatic disease (p <.05). This thesis states that paget cells are a malignant form of pluripotent keratinocyte stem cells or apocrine gland. Paget Disease With Dermal Invasion.
From www.researchgate.net
Invasive extramammary paget disease showing intradermal bandlike Paget Disease With Dermal Invasion We reviewed mpd cases diagnosed. This thesis states that paget cells are a malignant form of pluripotent keratinocyte stem cells or apocrine gland ductus cells. A significantly lower dss was observed in patients showing deep dermal invasion (≥1 mm) or metastatic disease (p <.05). Invasive mammary paget's disease (mpd) is an extremely rare eczematous eruption on the nipple and areola. Paget Disease With Dermal Invasion.
From www.pathologyoutlines.com
Pathology Outlines Paget disease Paget Disease With Dermal Invasion We reviewed mpd cases diagnosed. This thesis states that paget cells are a malignant form of pluripotent keratinocyte stem cells or apocrine gland ductus cells. A significantly lower dss was observed in patients showing deep dermal invasion (≥1 mm) or metastatic disease (p <.05). Mammary paget disease with dermal invasion (invmpd) is rare, and its prognosis remains largely unknown. Invasive. Paget Disease With Dermal Invasion.
From www.researchgate.net
Overview of literature reporting patients who died of extramammary Paget Disease With Dermal Invasion Invasive mammary paget's disease (mpd) is an extremely rare eczematous eruption on the nipple and areola with an invasion of the. Invasive mammary paget's disease (mpd) is an extremely rare eczematous eruption on the nipple and areola with an invasion of the dermis by. A ≥50% reduction in empd lesion size was achieved in 100% and 75.3% of patients treated. Paget Disease With Dermal Invasion.
From www.pathologyoutlines.com
Pathology Outlines Paget disease Paget Disease With Dermal Invasion Invasive mammary paget's disease (mpd) is an extremely rare eczematous eruption on the nipple and areola with an invasion of the dermis by. Mammary paget disease with dermal invasion (invmpd) is rare, and its prognosis remains largely unknown. A ≥50% reduction in empd lesion size was achieved in 100% and 75.3% of patients treated with surgery and topical therapies, respectively.. Paget Disease With Dermal Invasion.
From kikoxp.com
Paget disease of breast with dermal invasion KiKo XP Paget Disease With Dermal Invasion Invasive mammary paget's disease (mpd) is an extremely rare eczematous eruption on the nipple and areola with an invasion of the. Mammary paget disease with dermal invasion (invmpd) is rare, and its prognosis remains largely unknown. We reviewed mpd cases diagnosed. A ≥50% reduction in empd lesion size was achieved in 100% and 75.3% of patients treated with surgery and. Paget Disease With Dermal Invasion.
From www.actasdermo.org
Confocal Microscopy Patterns in Nonmelanoma Skin Cancer and Clinical Paget Disease With Dermal Invasion Invasive mammary paget's disease (mpd) is an extremely rare eczematous eruption on the nipple and areola with an invasion of the. We reviewed mpd cases diagnosed. Mammary paget disease with dermal invasion (invmpd) is rare, and its prognosis remains largely unknown. A significantly lower dss was observed in patients showing deep dermal invasion (≥1 mm) or metastatic disease (p <.05).. Paget Disease With Dermal Invasion.
From journals.lww.com
A Case of Vulval Extramammary Paget Disease With Dermal Inva Paget Disease With Dermal Invasion A ≥50% reduction in empd lesion size was achieved in 100% and 75.3% of patients treated with surgery and topical therapies, respectively. Mammary paget disease with dermal invasion (invmpd) is rare, and its prognosis remains largely unknown. This thesis states that paget cells are a malignant form of pluripotent keratinocyte stem cells or apocrine gland ductus cells. A significantly lower. Paget Disease With Dermal Invasion.