Tracheal Stenosis Tracheostomy . severe post tracheostomy (pt) and post intubation (pi) tracheal. tracheostomy can be performed as a surgical or percutaneous procedure. surgical variables associated with increased stenosis included placement of a tracheostomy tube greater than size. it can develop when scar tissue forms in a person’s trachea due to prolonged intubation — when a breathing tube is inserted into.
from www.researchgate.net
surgical variables associated with increased stenosis included placement of a tracheostomy tube greater than size. severe post tracheostomy (pt) and post intubation (pi) tracheal. tracheostomy can be performed as a surgical or percutaneous procedure. it can develop when scar tissue forms in a person’s trachea due to prolonged intubation — when a breathing tube is inserted into.
Preoperative chest Xray shows tracheal stenosis. Download Scientific
Tracheal Stenosis Tracheostomy it can develop when scar tissue forms in a person’s trachea due to prolonged intubation — when a breathing tube is inserted into. it can develop when scar tissue forms in a person’s trachea due to prolonged intubation — when a breathing tube is inserted into. severe post tracheostomy (pt) and post intubation (pi) tracheal. tracheostomy can be performed as a surgical or percutaneous procedure. surgical variables associated with increased stenosis included placement of a tracheostomy tube greater than size.
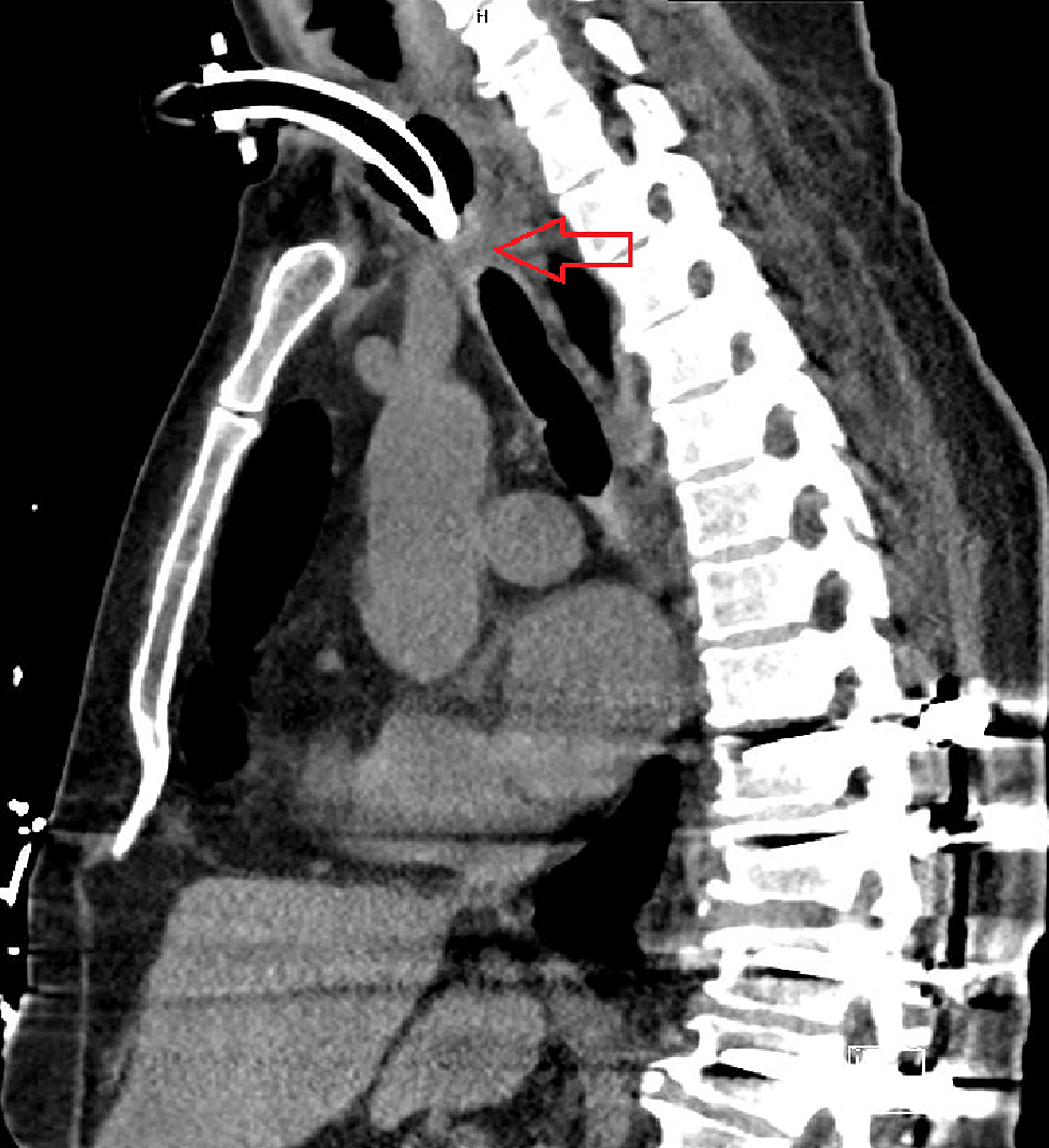
From file.scirp.org
Surgery for Acute Complicated Tracheal Stenosis Tracheal Stenosis Tracheostomy tracheostomy can be performed as a surgical or percutaneous procedure. surgical variables associated with increased stenosis included placement of a tracheostomy tube greater than size. severe post tracheostomy (pt) and post intubation (pi) tracheal. it can develop when scar tissue forms in a person’s trachea due to prolonged intubation — when a breathing tube is inserted. Tracheal Stenosis Tracheostomy.
From www.researchgate.net
(PDF) Tracheal stenosis after tracheostomy or intubation Review with Tracheal Stenosis Tracheostomy tracheostomy can be performed as a surgical or percutaneous procedure. it can develop when scar tissue forms in a person’s trachea due to prolonged intubation — when a breathing tube is inserted into. severe post tracheostomy (pt) and post intubation (pi) tracheal. surgical variables associated with increased stenosis included placement of a tracheostomy tube greater than. Tracheal Stenosis Tracheostomy.
From www.stepwards.com
Radiological Anatomy Trachea Stepwards Tracheal Stenosis Tracheostomy surgical variables associated with increased stenosis included placement of a tracheostomy tube greater than size. severe post tracheostomy (pt) and post intubation (pi) tracheal. it can develop when scar tissue forms in a person’s trachea due to prolonged intubation — when a breathing tube is inserted into. tracheostomy can be performed as a surgical or percutaneous. Tracheal Stenosis Tracheostomy.
From www.semanticscholar.org
Figure 18 from A History of Pediatric Tracheal Surgery Semantic Scholar Tracheal Stenosis Tracheostomy it can develop when scar tissue forms in a person’s trachea due to prolonged intubation — when a breathing tube is inserted into. surgical variables associated with increased stenosis included placement of a tracheostomy tube greater than size. severe post tracheostomy (pt) and post intubation (pi) tracheal. tracheostomy can be performed as a surgical or percutaneous. Tracheal Stenosis Tracheostomy.
From www.spandidos-publications.com
Expression of histone deacetylase 2 in tracheal stenosis models and its Tracheal Stenosis Tracheostomy severe post tracheostomy (pt) and post intubation (pi) tracheal. surgical variables associated with increased stenosis included placement of a tracheostomy tube greater than size. it can develop when scar tissue forms in a person’s trachea due to prolonged intubation — when a breathing tube is inserted into. tracheostomy can be performed as a surgical or percutaneous. Tracheal Stenosis Tracheostomy.
From dxowaljsf.blob.core.windows.net
Tracheal Stenosis After Extubation at Larry Conner blog Tracheal Stenosis Tracheostomy severe post tracheostomy (pt) and post intubation (pi) tracheal. surgical variables associated with increased stenosis included placement of a tracheostomy tube greater than size. tracheostomy can be performed as a surgical or percutaneous procedure. it can develop when scar tissue forms in a person’s trachea due to prolonged intubation — when a breathing tube is inserted. Tracheal Stenosis Tracheostomy.
From www.researchgate.net
Preoperative chest Xray shows tracheal stenosis. Download Scientific Tracheal Stenosis Tracheostomy tracheostomy can be performed as a surgical or percutaneous procedure. severe post tracheostomy (pt) and post intubation (pi) tracheal. surgical variables associated with increased stenosis included placement of a tracheostomy tube greater than size. it can develop when scar tissue forms in a person’s trachea due to prolonged intubation — when a breathing tube is inserted. Tracheal Stenosis Tracheostomy.
From www.trialexhibitsinc.com
Tracheal Stenosis TrialExhibits Inc. Tracheal Stenosis Tracheostomy severe post tracheostomy (pt) and post intubation (pi) tracheal. it can develop when scar tissue forms in a person’s trachea due to prolonged intubation — when a breathing tube is inserted into. tracheostomy can be performed as a surgical or percutaneous procedure. surgical variables associated with increased stenosis included placement of a tracheostomy tube greater than. Tracheal Stenosis Tracheostomy.
From radiologykey.com
17 Tracheal Stenosis Radiology Key Tracheal Stenosis Tracheostomy severe post tracheostomy (pt) and post intubation (pi) tracheal. it can develop when scar tissue forms in a person’s trachea due to prolonged intubation — when a breathing tube is inserted into. tracheostomy can be performed as a surgical or percutaneous procedure. surgical variables associated with increased stenosis included placement of a tracheostomy tube greater than. Tracheal Stenosis Tracheostomy.
From clinicalpub.com
Congenital Tracheal Disease Clinical Tree Tracheal Stenosis Tracheostomy surgical variables associated with increased stenosis included placement of a tracheostomy tube greater than size. tracheostomy can be performed as a surgical or percutaneous procedure. severe post tracheostomy (pt) and post intubation (pi) tracheal. it can develop when scar tissue forms in a person’s trachea due to prolonged intubation — when a breathing tube is inserted. Tracheal Stenosis Tracheostomy.
From www.semthorcardiovascsurg.com
Postintubation Tracheal Stenosis Seminars in Thoracic and Tracheal Stenosis Tracheostomy it can develop when scar tissue forms in a person’s trachea due to prolonged intubation — when a breathing tube is inserted into. severe post tracheostomy (pt) and post intubation (pi) tracheal. surgical variables associated with increased stenosis included placement of a tracheostomy tube greater than size. tracheostomy can be performed as a surgical or percutaneous. Tracheal Stenosis Tracheostomy.
From dokumen.tips
(PDF) Pathogenesis of tracheal stenosis following tracheostomy with Tracheal Stenosis Tracheostomy severe post tracheostomy (pt) and post intubation (pi) tracheal. surgical variables associated with increased stenosis included placement of a tracheostomy tube greater than size. tracheostomy can be performed as a surgical or percutaneous procedure. it can develop when scar tissue forms in a person’s trachea due to prolonged intubation — when a breathing tube is inserted. Tracheal Stenosis Tracheostomy.
From www.semanticscholar.org
Figure 1 from Tracheal Stenosis after Tracheostomy Treated Successfully Tracheal Stenosis Tracheostomy it can develop when scar tissue forms in a person’s trachea due to prolonged intubation — when a breathing tube is inserted into. tracheostomy can be performed as a surgical or percutaneous procedure. severe post tracheostomy (pt) and post intubation (pi) tracheal. surgical variables associated with increased stenosis included placement of a tracheostomy tube greater than. Tracheal Stenosis Tracheostomy.
From thoracickey.com
Tracheal stenosis, masses and tracheoesophageal fistula Thoracic Key Tracheal Stenosis Tracheostomy tracheostomy can be performed as a surgical or percutaneous procedure. severe post tracheostomy (pt) and post intubation (pi) tracheal. it can develop when scar tissue forms in a person’s trachea due to prolonged intubation — when a breathing tube is inserted into. surgical variables associated with increased stenosis included placement of a tracheostomy tube greater than. Tracheal Stenosis Tracheostomy.
From www.researchgate.net
Spectrum of pathological phenotoypes of the tracheal cartilages. 1a Tracheal Stenosis Tracheostomy severe post tracheostomy (pt) and post intubation (pi) tracheal. tracheostomy can be performed as a surgical or percutaneous procedure. surgical variables associated with increased stenosis included placement of a tracheostomy tube greater than size. it can develop when scar tissue forms in a person’s trachea due to prolonged intubation — when a breathing tube is inserted. Tracheal Stenosis Tracheostomy.
From www.alamy.com
Tracheal stenosis, illustration Stock Photo Alamy Tracheal Stenosis Tracheostomy surgical variables associated with increased stenosis included placement of a tracheostomy tube greater than size. tracheostomy can be performed as a surgical or percutaneous procedure. it can develop when scar tissue forms in a person’s trachea due to prolonged intubation — when a breathing tube is inserted into. severe post tracheostomy (pt) and post intubation (pi). Tracheal Stenosis Tracheostomy.
From www.ctisus.com
Stent in Trachea in 3D with Tracheal Stenosis Chest Case Studies Tracheal Stenosis Tracheostomy severe post tracheostomy (pt) and post intubation (pi) tracheal. it can develop when scar tissue forms in a person’s trachea due to prolonged intubation — when a breathing tube is inserted into. surgical variables associated with increased stenosis included placement of a tracheostomy tube greater than size. tracheostomy can be performed as a surgical or percutaneous. Tracheal Stenosis Tracheostomy.
From www.homage.sg
Tracheostomy 101 About, Procedure, Risks & Purpose Homage Tracheal Stenosis Tracheostomy tracheostomy can be performed as a surgical or percutaneous procedure. it can develop when scar tissue forms in a person’s trachea due to prolonged intubation — when a breathing tube is inserted into. severe post tracheostomy (pt) and post intubation (pi) tracheal. surgical variables associated with increased stenosis included placement of a tracheostomy tube greater than. Tracheal Stenosis Tracheostomy.
From www.ctisus.com
Tracheal Stenosis due to Prior Tracheostomy Chest Case Studies Tracheal Stenosis Tracheostomy tracheostomy can be performed as a surgical or percutaneous procedure. surgical variables associated with increased stenosis included placement of a tracheostomy tube greater than size. severe post tracheostomy (pt) and post intubation (pi) tracheal. it can develop when scar tissue forms in a person’s trachea due to prolonged intubation — when a breathing tube is inserted. Tracheal Stenosis Tracheostomy.
From medicine.uiowa.edu
Case Example Tracheal Stenosis after Tracheotomy with Four Flap Tracheal Stenosis Tracheostomy tracheostomy can be performed as a surgical or percutaneous procedure. severe post tracheostomy (pt) and post intubation (pi) tracheal. it can develop when scar tissue forms in a person’s trachea due to prolonged intubation — when a breathing tube is inserted into. surgical variables associated with increased stenosis included placement of a tracheostomy tube greater than. Tracheal Stenosis Tracheostomy.
From medicine.uiowa.edu
Case Example Tracheal Stenosis after Tracheotomy with Four Flap Tracheal Stenosis Tracheostomy severe post tracheostomy (pt) and post intubation (pi) tracheal. surgical variables associated with increased stenosis included placement of a tracheostomy tube greater than size. it can develop when scar tissue forms in a person’s trachea due to prolonged intubation — when a breathing tube is inserted into. tracheostomy can be performed as a surgical or percutaneous. Tracheal Stenosis Tracheostomy.
From www.pinterest.com
Tracheal stenosis Tracheal stenosis, Stenosis, Pulmonary disease Tracheal Stenosis Tracheostomy tracheostomy can be performed as a surgical or percutaneous procedure. severe post tracheostomy (pt) and post intubation (pi) tracheal. surgical variables associated with increased stenosis included placement of a tracheostomy tube greater than size. it can develop when scar tissue forms in a person’s trachea due to prolonged intubation — when a breathing tube is inserted. Tracheal Stenosis Tracheostomy.
From www.ctisus.com
Tracheal Stenosis due to Prior Tracheostomy Chest Case Studies Tracheal Stenosis Tracheostomy surgical variables associated with increased stenosis included placement of a tracheostomy tube greater than size. severe post tracheostomy (pt) and post intubation (pi) tracheal. tracheostomy can be performed as a surgical or percutaneous procedure. it can develop when scar tissue forms in a person’s trachea due to prolonged intubation — when a breathing tube is inserted. Tracheal Stenosis Tracheostomy.
From learningradiology.com
Learning Radiology Tracheal Stenosis Tracheal Stenosis Tracheostomy tracheostomy can be performed as a surgical or percutaneous procedure. severe post tracheostomy (pt) and post intubation (pi) tracheal. it can develop when scar tissue forms in a person’s trachea due to prolonged intubation — when a breathing tube is inserted into. surgical variables associated with increased stenosis included placement of a tracheostomy tube greater than. Tracheal Stenosis Tracheostomy.
From www.optechtcs.com
Congenital Tracheal Stenosis Tracheal Autograft Technique Operative Tracheal Stenosis Tracheostomy severe post tracheostomy (pt) and post intubation (pi) tracheal. it can develop when scar tissue forms in a person’s trachea due to prolonged intubation — when a breathing tube is inserted into. surgical variables associated with increased stenosis included placement of a tracheostomy tube greater than size. tracheostomy can be performed as a surgical or percutaneous. Tracheal Stenosis Tracheostomy.
From www.yumpu.com
Tracheal stenosis Tracheal Stenosis Tracheostomy it can develop when scar tissue forms in a person’s trachea due to prolonged intubation — when a breathing tube is inserted into. surgical variables associated with increased stenosis included placement of a tracheostomy tube greater than size. severe post tracheostomy (pt) and post intubation (pi) tracheal. tracheostomy can be performed as a surgical or percutaneous. Tracheal Stenosis Tracheostomy.
From www.cureus.com
A Different Approach to the Treatment of Tracheal Stenosis Cureus Tracheal Stenosis Tracheostomy it can develop when scar tissue forms in a person’s trachea due to prolonged intubation — when a breathing tube is inserted into. surgical variables associated with increased stenosis included placement of a tracheostomy tube greater than size. severe post tracheostomy (pt) and post intubation (pi) tracheal. tracheostomy can be performed as a surgical or percutaneous. Tracheal Stenosis Tracheostomy.
From dokumen.tips
(PDF) Tracheal Stenosis Distal to Tracheostomy Tube DOKUMEN.TIPS Tracheal Stenosis Tracheostomy it can develop when scar tissue forms in a person’s trachea due to prolonged intubation — when a breathing tube is inserted into. surgical variables associated with increased stenosis included placement of a tracheostomy tube greater than size. tracheostomy can be performed as a surgical or percutaneous procedure. severe post tracheostomy (pt) and post intubation (pi). Tracheal Stenosis Tracheostomy.
From file.scirp.org
Surgery for Acute Complicated Tracheal Stenosis Tracheal Stenosis Tracheostomy it can develop when scar tissue forms in a person’s trachea due to prolonged intubation — when a breathing tube is inserted into. surgical variables associated with increased stenosis included placement of a tracheostomy tube greater than size. tracheostomy can be performed as a surgical or percutaneous procedure. severe post tracheostomy (pt) and post intubation (pi). Tracheal Stenosis Tracheostomy.
From www.researchgate.net
(PDF) Tracheal stenosis after intubation and/or tracheostomy Tracheal Stenosis Tracheostomy severe post tracheostomy (pt) and post intubation (pi) tracheal. surgical variables associated with increased stenosis included placement of a tracheostomy tube greater than size. it can develop when scar tissue forms in a person’s trachea due to prolonged intubation — when a breathing tube is inserted into. tracheostomy can be performed as a surgical or percutaneous. Tracheal Stenosis Tracheostomy.
From www.lookfordiagnosis.com
Tracheal stenosis Tracheal Stenosis Tracheostomy tracheostomy can be performed as a surgical or percutaneous procedure. severe post tracheostomy (pt) and post intubation (pi) tracheal. surgical variables associated with increased stenosis included placement of a tracheostomy tube greater than size. it can develop when scar tissue forms in a person’s trachea due to prolonged intubation — when a breathing tube is inserted. Tracheal Stenosis Tracheostomy.
From www.researchgate.net
(PDF) POSTTRACHEOSTOMY TRACHEAL STENOSIS MANAGED WITH VIDEO Tracheal Stenosis Tracheostomy severe post tracheostomy (pt) and post intubation (pi) tracheal. it can develop when scar tissue forms in a person’s trachea due to prolonged intubation — when a breathing tube is inserted into. surgical variables associated with increased stenosis included placement of a tracheostomy tube greater than size. tracheostomy can be performed as a surgical or percutaneous. Tracheal Stenosis Tracheostomy.
From clinicalpub.com
Tracheal Lesions Clinical Tree Tracheal Stenosis Tracheostomy severe post tracheostomy (pt) and post intubation (pi) tracheal. surgical variables associated with increased stenosis included placement of a tracheostomy tube greater than size. it can develop when scar tissue forms in a person’s trachea due to prolonged intubation — when a breathing tube is inserted into. tracheostomy can be performed as a surgical or percutaneous. Tracheal Stenosis Tracheostomy.
From casereports.bmj.com
Novel modification of tracheostomy tube to allow speech and manage Tracheal Stenosis Tracheostomy it can develop when scar tissue forms in a person’s trachea due to prolonged intubation — when a breathing tube is inserted into. severe post tracheostomy (pt) and post intubation (pi) tracheal. surgical variables associated with increased stenosis included placement of a tracheostomy tube greater than size. tracheostomy can be performed as a surgical or percutaneous. Tracheal Stenosis Tracheostomy.
From www.researchgate.net
General categories of congenital tracheal stenosis. Types IIII redrawn Tracheal Stenosis Tracheostomy surgical variables associated with increased stenosis included placement of a tracheostomy tube greater than size. it can develop when scar tissue forms in a person’s trachea due to prolonged intubation — when a breathing tube is inserted into. severe post tracheostomy (pt) and post intubation (pi) tracheal. tracheostomy can be performed as a surgical or percutaneous. Tracheal Stenosis Tracheostomy.