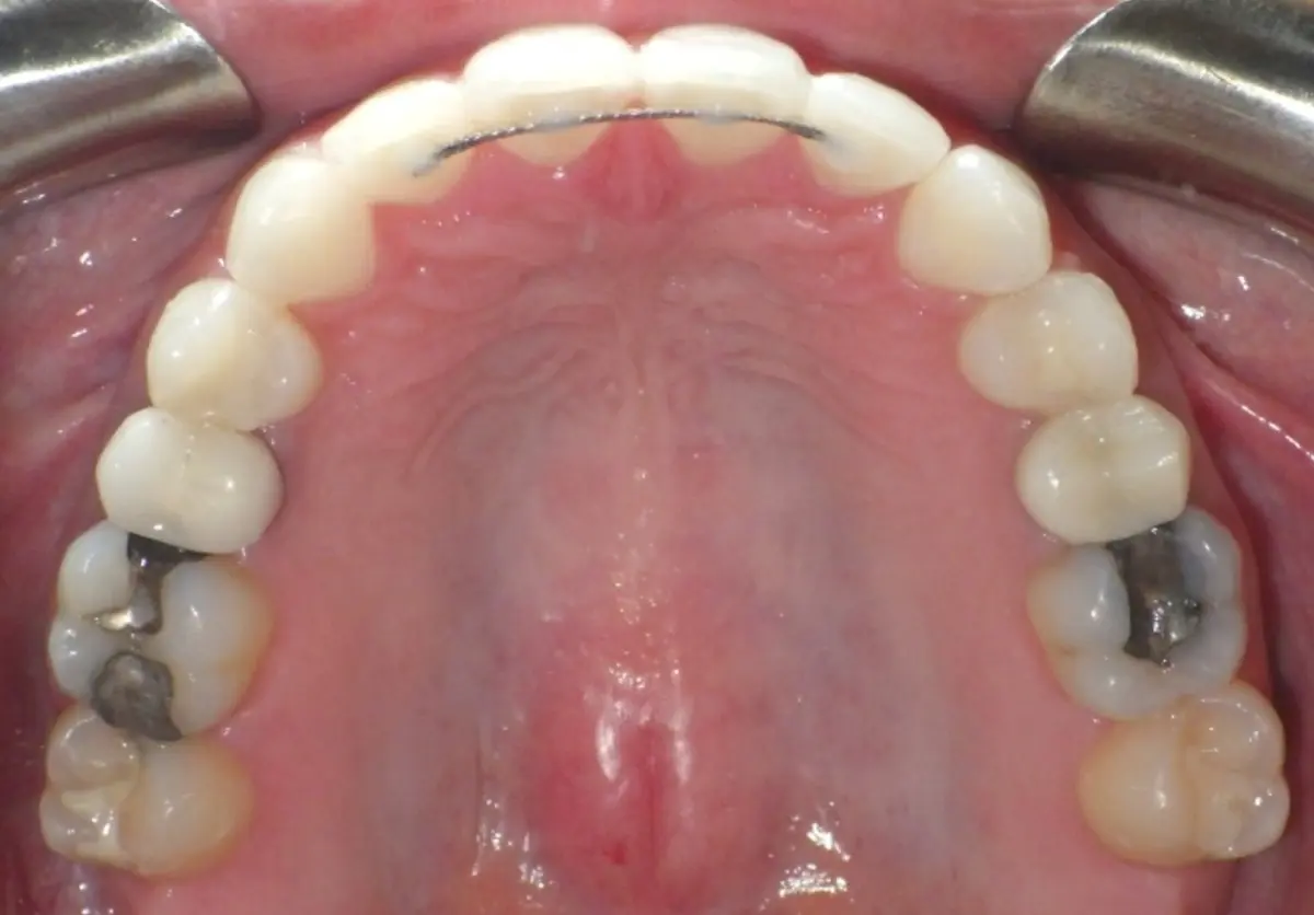
Retainer Types Pros And Cons . There are pros and cons to each retainer type. Your orthodontist will recommend the best type for you based on your teeth and why you needed braces. Your questions about retainers answered here. Find out how permanent retainers work and how they stack up against removable retainers. There are three basic types available now, each with its pros and cons: Can be difficult to keep the interior surfaces. Find out which type of retainer is best for you! Wears out after a few years. This article compares the most common types of retainers—hawley retainers, essix retainers, and bonded retainers—detailing. Named after its inventor charles hawley, the type of retainer that most. In modern orthodontic treatment, there are 3 common types of retainers: Permanent retainers, hawley retainers, and clear plastic retainers.
from narodnatribuna.info
Permanent retainers, hawley retainers, and clear plastic retainers. Wears out after a few years. In modern orthodontic treatment, there are 3 common types of retainers: Named after its inventor charles hawley, the type of retainer that most. There are three basic types available now, each with its pros and cons: Find out how permanent retainers work and how they stack up against removable retainers. Your questions about retainers answered here. This article compares the most common types of retainers—hawley retainers, essix retainers, and bonded retainers—detailing. Find out which type of retainer is best for you! Can be difficult to keep the interior surfaces.
Orthodontic Retainers Types Cost Pros And Cons Care
Retainer Types Pros And Cons Wears out after a few years. Your questions about retainers answered here. Your orthodontist will recommend the best type for you based on your teeth and why you needed braces. In modern orthodontic treatment, there are 3 common types of retainers: There are three basic types available now, each with its pros and cons: Wears out after a few years. This article compares the most common types of retainers—hawley retainers, essix retainers, and bonded retainers—detailing. Find out which type of retainer is best for you! Named after its inventor charles hawley, the type of retainer that most. Can be difficult to keep the interior surfaces. Permanent retainers, hawley retainers, and clear plastic retainers. Find out how permanent retainers work and how they stack up against removable retainers. There are pros and cons to each retainer type.
From www.diamondbraces.com
Orthodontic Retainers Types, Cost, Pros and Cons, Care Retainer Types Pros And Cons Your questions about retainers answered here. Find out how permanent retainers work and how they stack up against removable retainers. Wears out after a few years. There are three basic types available now, each with its pros and cons: Find out which type of retainer is best for you! In modern orthodontic treatment, there are 3 common types of retainers:. Retainer Types Pros And Cons.
From www.pinterest.com
Pros and Cons of 3 Types of Retainers Baby tooth decay, Tooth decay Retainer Types Pros And Cons Find out which type of retainer is best for you! Can be difficult to keep the interior surfaces. Find out how permanent retainers work and how they stack up against removable retainers. There are three basic types available now, each with its pros and cons: There are pros and cons to each retainer type. Your questions about retainers answered here.. Retainer Types Pros And Cons.
From www.youtube.com
RETAINERS IN ORTHODONTICS II REMOVABLE AND FIXED II RETENTION AND Retainer Types Pros And Cons Wears out after a few years. Find out which type of retainer is best for you! Can be difficult to keep the interior surfaces. Your orthodontist will recommend the best type for you based on your teeth and why you needed braces. Named after its inventor charles hawley, the type of retainer that most. There are three basic types available. Retainer Types Pros And Cons.
From www.meyarn.dk
What Are Pros and Cons of A Fixed Retainer MEYARN Oral Care Retainer Types Pros And Cons Your questions about retainers answered here. Find out which type of retainer is best for you! There are three basic types available now, each with its pros and cons: Wears out after a few years. This article compares the most common types of retainers—hawley retainers, essix retainers, and bonded retainers—detailing. Find out how permanent retainers work and how they stack. Retainer Types Pros And Cons.
From www.deardoctor.com
Bonded Retainers pros and cons Retainer Types Pros And Cons There are pros and cons to each retainer type. Find out how permanent retainers work and how they stack up against removable retainers. Your questions about retainers answered here. Can be difficult to keep the interior surfaces. This article compares the most common types of retainers—hawley retainers, essix retainers, and bonded retainers—detailing. Wears out after a few years. Find out. Retainer Types Pros And Cons.
From www.yumpu.com
Pros and Cons of Bonded Retainers Orthodontic Experts Retainer Types Pros And Cons Named after its inventor charles hawley, the type of retainer that most. Find out which type of retainer is best for you! Your orthodontist will recommend the best type for you based on your teeth and why you needed braces. Find out how permanent retainers work and how they stack up against removable retainers. This article compares the most common. Retainer Types Pros And Cons.
From stellarorthodontics.com
Pros and Cons of 3 Types of Retainers Stellar Family Orthodontics Retainer Types Pros And Cons Named after its inventor charles hawley, the type of retainer that most. Find out which type of retainer is best for you! Your questions about retainers answered here. Your orthodontist will recommend the best type for you based on your teeth and why you needed braces. Wears out after a few years. Can be difficult to keep the interior surfaces.. Retainer Types Pros And Cons.
From loudounorthodontics.com
What Are the Pros and Cons of Permanent Retainers? Retainer Types Pros And Cons Named after its inventor charles hawley, the type of retainer that most. Can be difficult to keep the interior surfaces. There are pros and cons to each retainer type. In modern orthodontic treatment, there are 3 common types of retainers: Wears out after a few years. Your questions about retainers answered here. This article compares the most common types of. Retainer Types Pros And Cons.
From molsonparkdental.com
What Are Retainers and Why Do You Need Retainers for Molson Park Dental Retainer Types Pros And Cons Your orthodontist will recommend the best type for you based on your teeth and why you needed braces. There are three basic types available now, each with its pros and cons: Permanent retainers, hawley retainers, and clear plastic retainers. Find out which type of retainer is best for you! Wears out after a few years. Your questions about retainers answered. Retainer Types Pros And Cons.
From edu.svet.gob.gt
Orthodontic Retainers Types, Cost, Pros And Cons, Care Retainer Types Pros And Cons Find out how permanent retainers work and how they stack up against removable retainers. Can be difficult to keep the interior surfaces. This article compares the most common types of retainers—hawley retainers, essix retainers, and bonded retainers—detailing. Find out which type of retainer is best for you! There are pros and cons to each retainer type. Named after its inventor. Retainer Types Pros And Cons.
From www.riverwalkdentalorthodontics.com
Kinds of Orthodontic Retainers That Can Protect Your New Smile Retainer Types Pros And Cons This article compares the most common types of retainers—hawley retainers, essix retainers, and bonded retainers—detailing. Permanent retainers, hawley retainers, and clear plastic retainers. Find out how permanent retainers work and how they stack up against removable retainers. Wears out after a few years. Named after its inventor charles hawley, the type of retainer that most. In modern orthodontic treatment, there. Retainer Types Pros And Cons.
From www.premierdentalohio.com
The Pro's & Con's of a Bonded Retainer Premier Dental of Ohio Retainer Types Pros And Cons In modern orthodontic treatment, there are 3 common types of retainers: Find out which type of retainer is best for you! There are three basic types available now, each with its pros and cons: Wears out after a few years. Permanent retainers, hawley retainers, and clear plastic retainers. Find out how permanent retainers work and how they stack up against. Retainer Types Pros And Cons.
From www.flossy.com
Types of Retainers Pros and Cons Flossy Retainer Types Pros And Cons Find out how permanent retainers work and how they stack up against removable retainers. In modern orthodontic treatment, there are 3 common types of retainers: Wears out after a few years. Can be difficult to keep the interior surfaces. There are three basic types available now, each with its pros and cons: Your orthodontist will recommend the best type for. Retainer Types Pros And Cons.
From productsforteeth.medium.com
Permanent Retainer Fixed or Bonded Types, Cost, Pros, and Cons by Retainer Types Pros And Cons Wears out after a few years. Permanent retainers, hawley retainers, and clear plastic retainers. Find out which type of retainer is best for you! Your questions about retainers answered here. Named after its inventor charles hawley, the type of retainer that most. This article compares the most common types of retainers—hawley retainers, essix retainers, and bonded retainers—detailing. There are three. Retainer Types Pros And Cons.
From www.verywellhealth.com
Retainers Pros, Cons, and Costs for Each Type Retainer Types Pros And Cons Named after its inventor charles hawley, the type of retainer that most. Can be difficult to keep the interior surfaces. Wears out after a few years. In modern orthodontic treatment, there are 3 common types of retainers: There are pros and cons to each retainer type. Permanent retainers, hawley retainers, and clear plastic retainers. Find out which type of retainer. Retainer Types Pros And Cons.
From summitfamilyorthodontics.com
The Importance of Retainers Dental Blog Summit Family Orthodontics Retainer Types Pros And Cons There are three basic types available now, each with its pros and cons: Your questions about retainers answered here. Wears out after a few years. There are pros and cons to each retainer type. Can be difficult to keep the interior surfaces. In modern orthodontic treatment, there are 3 common types of retainers: Find out how permanent retainers work and. Retainer Types Pros And Cons.
From www.diamondbraces.com
Orthodontic Retainers Types, Cost, Pros and Cons, Care Retainer Types Pros And Cons Your orthodontist will recommend the best type for you based on your teeth and why you needed braces. In modern orthodontic treatment, there are 3 common types of retainers: Permanent retainers, hawley retainers, and clear plastic retainers. Find out which type of retainer is best for you! Named after its inventor charles hawley, the type of retainer that most. Your. Retainer Types Pros And Cons.
From www.diamondbraces.com
Orthodontic Retainers Types, Cost, Pros and Cons, Care Retainer Types Pros And Cons Find out how permanent retainers work and how they stack up against removable retainers. Your questions about retainers answered here. There are three basic types available now, each with its pros and cons: Named after its inventor charles hawley, the type of retainer that most. This article compares the most common types of retainers—hawley retainers, essix retainers, and bonded retainers—detailing.. Retainer Types Pros And Cons.
From www.animalia-life.club
Retainers Vs Braces Retainer Types Pros And Cons This article compares the most common types of retainers—hawley retainers, essix retainers, and bonded retainers—detailing. Find out how permanent retainers work and how they stack up against removable retainers. Your orthodontist will recommend the best type for you based on your teeth and why you needed braces. Permanent retainers, hawley retainers, and clear plastic retainers. Named after its inventor charles. Retainer Types Pros And Cons.
From www.bravodentaldallas.com
Permanent Retainer VS Removable Retainer Its Pros and Cons bravo Retainer Types Pros And Cons Your questions about retainers answered here. There are three basic types available now, each with its pros and cons: Your orthodontist will recommend the best type for you based on your teeth and why you needed braces. Can be difficult to keep the interior surfaces. There are pros and cons to each retainer type. Wears out after a few years.. Retainer Types Pros And Cons.
From www.diamondbraces.com
Orthodontic Retainers Types, Cost, Pros and Cons, Care Retainer Types Pros And Cons Your questions about retainers answered here. Named after its inventor charles hawley, the type of retainer that most. There are pros and cons to each retainer type. There are three basic types available now, each with its pros and cons: Find out how permanent retainers work and how they stack up against removable retainers. Find out which type of retainer. Retainer Types Pros And Cons.
From edu.svet.gob.gt
Orthodontic Retainers Types, Cost, Pros And Cons, Care Retainer Types Pros And Cons There are three basic types available now, each with its pros and cons: There are pros and cons to each retainer type. Permanent retainers, hawley retainers, and clear plastic retainers. Your orthodontist will recommend the best type for you based on your teeth and why you needed braces. Your questions about retainers answered here. Can be difficult to keep the. Retainer Types Pros And Cons.
From www.cawthradental.com
Pros and Cons of Removable and Fixed Retainers Cawthra Dental Retainer Types Pros And Cons Named after its inventor charles hawley, the type of retainer that most. Wears out after a few years. Find out how permanent retainers work and how they stack up against removable retainers. There are three basic types available now, each with its pros and cons: In modern orthodontic treatment, there are 3 common types of retainers: Find out which type. Retainer Types Pros And Cons.
From narodnatribuna.info
Orthodontic Retainers Types Cost Pros And Cons Care Retainer Types Pros And Cons Wears out after a few years. Your orthodontist will recommend the best type for you based on your teeth and why you needed braces. Permanent retainers, hawley retainers, and clear plastic retainers. This article compares the most common types of retainers—hawley retainers, essix retainers, and bonded retainers—detailing. Find out how permanent retainers work and how they stack up against removable. Retainer Types Pros And Cons.
From www.diamondbraces.com
Orthodontic Retainers Types, Cost, Pros and Cons, Care Retainer Types Pros And Cons Find out how permanent retainers work and how they stack up against removable retainers. Your questions about retainers answered here. In modern orthodontic treatment, there are 3 common types of retainers: Permanent retainers, hawley retainers, and clear plastic retainers. Find out which type of retainer is best for you! This article compares the most common types of retainers—hawley retainers, essix. Retainer Types Pros And Cons.
From www.kwcdental.com
Retainers After Braces Pros and Cons of Different Types KWC Dental Retainer Types Pros And Cons Can be difficult to keep the interior surfaces. Wears out after a few years. There are pros and cons to each retainer type. In modern orthodontic treatment, there are 3 common types of retainers: There are three basic types available now, each with its pros and cons: Your questions about retainers answered here. Permanent retainers, hawley retainers, and clear plastic. Retainer Types Pros And Cons.
From vladatk.gov.ba
Orthodontic Retainers Types, Cost, Pros And Cons, Care Retainer Box Retainer Types Pros And Cons There are pros and cons to each retainer type. Named after its inventor charles hawley, the type of retainer that most. Permanent retainers, hawley retainers, and clear plastic retainers. Your orthodontist will recommend the best type for you based on your teeth and why you needed braces. Find out which type of retainer is best for you! Your questions about. Retainer Types Pros And Cons.
From bweisshealth.com
Pros and Cons of Permanent Retainers Retainer Types Pros And Cons Permanent retainers, hawley retainers, and clear plastic retainers. Your questions about retainers answered here. There are three basic types available now, each with its pros and cons: Your orthodontist will recommend the best type for you based on your teeth and why you needed braces. There are pros and cons to each retainer type. Named after its inventor charles hawley,. Retainer Types Pros And Cons.
From www.absolutedental.com
The Pros and Cons of Essix Retainers Absolute Dental Retainer Types Pros And Cons In modern orthodontic treatment, there are 3 common types of retainers: Your orthodontist will recommend the best type for you based on your teeth and why you needed braces. Wears out after a few years. Find out how permanent retainers work and how they stack up against removable retainers. This article compares the most common types of retainers—hawley retainers, essix. Retainer Types Pros And Cons.
From productsforteeth.medium.com
Permanent Retainer Fixed or Bonded Types, Cost, Pros, and Cons by Retainer Types Pros And Cons Your questions about retainers answered here. Named after its inventor charles hawley, the type of retainer that most. Find out which type of retainer is best for you! In modern orthodontic treatment, there are 3 common types of retainers: There are pros and cons to each retainer type. There are three basic types available now, each with its pros and. Retainer Types Pros And Cons.
From www.thurmanortho.com
Removable Vs Permanent Retainers Pros and Cons Thurman Orthodontics Retainer Types Pros And Cons There are three basic types available now, each with its pros and cons: Find out how permanent retainers work and how they stack up against removable retainers. Your questions about retainers answered here. This article compares the most common types of retainers—hawley retainers, essix retainers, and bonded retainers—detailing. Wears out after a few years. Your orthodontist will recommend the best. Retainer Types Pros And Cons.
From www.slideserve.com
PPT Pros and Cons of Bonded Retainers Orthodontic Experts Retainer Types Pros And Cons Permanent retainers, hawley retainers, and clear plastic retainers. Wears out after a few years. This article compares the most common types of retainers—hawley retainers, essix retainers, and bonded retainers—detailing. There are pros and cons to each retainer type. There are three basic types available now, each with its pros and cons: Find out which type of retainer is best for. Retainer Types Pros And Cons.
From vancortho.com
Retainer Types Fixed, Clear, Hawley Pros and Cons Retainer FAQ Retainer Types Pros And Cons Your orthodontist will recommend the best type for you based on your teeth and why you needed braces. In modern orthodontic treatment, there are 3 common types of retainers: Find out how permanent retainers work and how they stack up against removable retainers. There are pros and cons to each retainer type. There are three basic types available now, each. Retainer Types Pros And Cons.
From narodnatribuna.info
Orthodontic Retainers Types Cost Pros And Cons Care Retainer Types Pros And Cons Wears out after a few years. Named after its inventor charles hawley, the type of retainer that most. Find out which type of retainer is best for you! Your orthodontist will recommend the best type for you based on your teeth and why you needed braces. Permanent retainers, hawley retainers, and clear plastic retainers. There are pros and cons to. Retainer Types Pros And Cons.
From bweisshealth.com
The Pros and Cons of Permanent Retainer Installation Retainer Types Pros And Cons This article compares the most common types of retainers—hawley retainers, essix retainers, and bonded retainers—detailing. Find out how permanent retainers work and how they stack up against removable retainers. Your orthodontist will recommend the best type for you based on your teeth and why you needed braces. There are three basic types available now, each with its pros and cons:. Retainer Types Pros And Cons.