Crush Injury Finger Orthobullets . The middle finger is most often affected, followed by the. Phalanx fractures are common hand injuries that involve the proximal, middle or distal phalanx. A combination of these injury types; Fingertip injuries typically occur in accidents at home, at work, or during play. 3 key points to keep in mind when approaching hand injuries: Diagnosis is made clinically by physical. Diagnosis can be confirmed with orthogonal. Amputations of the fingertip may be: Partial — some structures remain attached; These fractures are commonly caused by trauma or crush injuries. Extensor tendon injuries are traumatic injuries to the extensor tendons that can be caused by laceration, trauma, or overuse. Nail bed injuries are the result of direct trauma to the fingertip and can be characterized into subungual hematoma, nail bed laceration, or nail bed avulsion. Complete — the entire fingertip is removed
from www.orthobullets.com
A combination of these injury types; These fractures are commonly caused by trauma or crush injuries. 3 key points to keep in mind when approaching hand injuries: Phalanx fractures are common hand injuries that involve the proximal, middle or distal phalanx. Extensor tendon injuries are traumatic injuries to the extensor tendons that can be caused by laceration, trauma, or overuse. Amputations of the fingertip may be: Nail bed injuries are the result of direct trauma to the fingertip and can be characterized into subungual hematoma, nail bed laceration, or nail bed avulsion. Diagnosis can be confirmed with orthogonal. Complete — the entire fingertip is removed The middle finger is most often affected, followed by the.
Sagittal Band Rupture Hand Orthobullets
Crush Injury Finger Orthobullets Extensor tendon injuries are traumatic injuries to the extensor tendons that can be caused by laceration, trauma, or overuse. Nail bed injuries are the result of direct trauma to the fingertip and can be characterized into subungual hematoma, nail bed laceration, or nail bed avulsion. Amputations of the fingertip may be: The middle finger is most often affected, followed by the. These fractures are commonly caused by trauma or crush injuries. Diagnosis can be confirmed with orthogonal. Fingertip injuries typically occur in accidents at home, at work, or during play. Diagnosis is made clinically by physical. 3 key points to keep in mind when approaching hand injuries: Complete — the entire fingertip is removed A combination of these injury types; Phalanx fractures are common hand injuries that involve the proximal, middle or distal phalanx. Partial — some structures remain attached; Extensor tendon injuries are traumatic injuries to the extensor tendons that can be caused by laceration, trauma, or overuse.
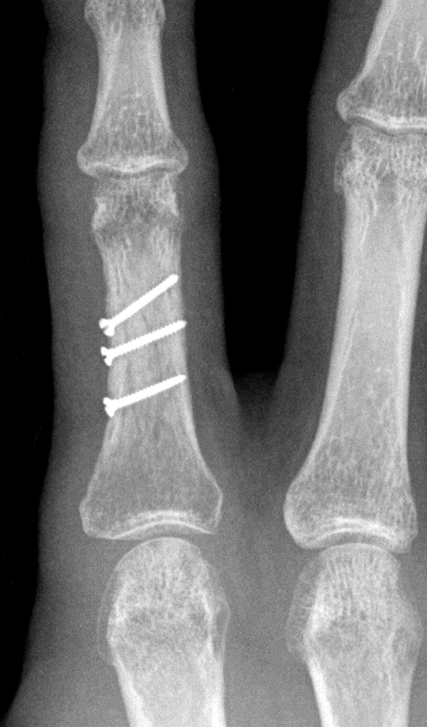
From klareavrw.blob.core.windows.net
Fingertip Injuries Orthobullets at Linda Caldwell blog Crush Injury Finger Orthobullets The middle finger is most often affected, followed by the. Nail bed injuries are the result of direct trauma to the fingertip and can be characterized into subungual hematoma, nail bed laceration, or nail bed avulsion. Complete — the entire fingertip is removed A combination of these injury types; Phalanx fractures are common hand injuries that involve the proximal, middle. Crush Injury Finger Orthobullets.
From themasqline.com
Triquetrum Fracture Hand Orthobullets Persistent ulnarsided Crush Injury Finger Orthobullets The middle finger is most often affected, followed by the. Nail bed injuries are the result of direct trauma to the fingertip and can be characterized into subungual hematoma, nail bed laceration, or nail bed avulsion. Partial — some structures remain attached; Complete — the entire fingertip is removed Extensor tendon injuries are traumatic injuries to the extensor tendons that. Crush Injury Finger Orthobullets.
From www.plasticsurgery.theclinics.com
Severe Crush Injury to the Forearm and Hand Clinics in Plastic Surgery Crush Injury Finger Orthobullets Amputations of the fingertip may be: Fingertip injuries typically occur in accidents at home, at work, or during play. Diagnosis can be confirmed with orthogonal. The middle finger is most often affected, followed by the. A combination of these injury types; These fractures are commonly caused by trauma or crush injuries. Complete — the entire fingertip is removed Partial —. Crush Injury Finger Orthobullets.
From traumahand.blogspot.com
CRUSH INJURIES OF HAND AND UPPER LIMB INJURIES HAND TRAUMA MAJOR Crush Injury Finger Orthobullets The middle finger is most often affected, followed by the. A combination of these injury types; Amputations of the fingertip may be: Diagnosis can be confirmed with orthogonal. Complete — the entire fingertip is removed Diagnosis is made clinically by physical. 3 key points to keep in mind when approaching hand injuries: Partial — some structures remain attached; These fractures. Crush Injury Finger Orthobullets.
From faculty.washington.edu
Finger Fractures UW Emergency Radiology Crush Injury Finger Orthobullets 3 key points to keep in mind when approaching hand injuries: These fractures are commonly caused by trauma or crush injuries. Amputations of the fingertip may be: A combination of these injury types; Diagnosis is made clinically by physical. The middle finger is most often affected, followed by the. Extensor tendon injuries are traumatic injuries to the extensor tendons that. Crush Injury Finger Orthobullets.
From www.orthobullets.com
Wrist Trauma Radiographic Evaluation Hand Orthobullets Crush Injury Finger Orthobullets Fingertip injuries typically occur in accidents at home, at work, or during play. Phalanx fractures are common hand injuries that involve the proximal, middle or distal phalanx. Diagnosis can be confirmed with orthogonal. A combination of these injury types; Partial — some structures remain attached; Amputations of the fingertip may be: 3 key points to keep in mind when approaching. Crush Injury Finger Orthobullets.
From www.orthobullets.com
Scaphoid Fracture Hand Orthobullets Crush Injury Finger Orthobullets Fingertip injuries typically occur in accidents at home, at work, or during play. Nail bed injuries are the result of direct trauma to the fingertip and can be characterized into subungual hematoma, nail bed laceration, or nail bed avulsion. Phalanx fractures are common hand injuries that involve the proximal, middle or distal phalanx. Diagnosis is made clinically by physical. 3. Crush Injury Finger Orthobullets.
From anandorthonadiad.com
Crush Injury Hand Anandorthopedic Crush Injury Finger Orthobullets Complete — the entire fingertip is removed These fractures are commonly caused by trauma or crush injuries. Diagnosis is made clinically by physical. Amputations of the fingertip may be: Extensor tendon injuries are traumatic injuries to the extensor tendons that can be caused by laceration, trauma, or overuse. Diagnosis can be confirmed with orthogonal. Partial — some structures remain attached;. Crush Injury Finger Orthobullets.
From ebhmc.com
Finger Crush Franko East Bay Hand Medical Center Best Hand Surgeons Crush Injury Finger Orthobullets Diagnosis is made clinically by physical. Fingertip injuries typically occur in accidents at home, at work, or during play. Partial — some structures remain attached; 3 key points to keep in mind when approaching hand injuries: These fractures are commonly caused by trauma or crush injuries. Amputations of the fingertip may be: Extensor tendon injuries are traumatic injuries to the. Crush Injury Finger Orthobullets.
From www.orthobullets.com
Mallet Finger Hand Orthobullets Crush Injury Finger Orthobullets 3 key points to keep in mind when approaching hand injuries: The middle finger is most often affected, followed by the. Complete — the entire fingertip is removed Diagnosis can be confirmed with orthogonal. Fingertip injuries typically occur in accidents at home, at work, or during play. These fractures are commonly caused by trauma or crush injuries. Extensor tendon injuries. Crush Injury Finger Orthobullets.
From www.orthobullets.com
Fingertip Amputations & Finger Flaps Hand Orthobullets Crush Injury Finger Orthobullets Extensor tendon injuries are traumatic injuries to the extensor tendons that can be caused by laceration, trauma, or overuse. Diagnosis can be confirmed with orthogonal. The middle finger is most often affected, followed by the. Nail bed injuries are the result of direct trauma to the fingertip and can be characterized into subungual hematoma, nail bed laceration, or nail bed. Crush Injury Finger Orthobullets.
From www.orthobullets.com
Flexor Tendon Injuries Hand Orthobullets Crush Injury Finger Orthobullets A combination of these injury types; Phalanx fractures are common hand injuries that involve the proximal, middle or distal phalanx. Extensor tendon injuries are traumatic injuries to the extensor tendons that can be caused by laceration, trauma, or overuse. These fractures are commonly caused by trauma or crush injuries. 3 key points to keep in mind when approaching hand injuries:. Crush Injury Finger Orthobullets.
From www.orthobullets.com
Phalanx Fractures Hand Orthobullets Crush Injury Finger Orthobullets Diagnosis is made clinically by physical. Nail bed injuries are the result of direct trauma to the fingertip and can be characterized into subungual hematoma, nail bed laceration, or nail bed avulsion. These fractures are commonly caused by trauma or crush injuries. 3 key points to keep in mind when approaching hand injuries: Complete — the entire fingertip is removed. Crush Injury Finger Orthobullets.
From www.orthobullets.com
Sagittal Band Rupture Hand Orthobullets Crush Injury Finger Orthobullets Diagnosis can be confirmed with orthogonal. Complete — the entire fingertip is removed A combination of these injury types; The middle finger is most often affected, followed by the. Diagnosis is made clinically by physical. Nail bed injuries are the result of direct trauma to the fingertip and can be characterized into subungual hematoma, nail bed laceration, or nail bed. Crush Injury Finger Orthobullets.
From orthobullets.com
Extensor Tendon Injuries Hand Orthobullets Crush Injury Finger Orthobullets Complete — the entire fingertip is removed Amputations of the fingertip may be: Fingertip injuries typically occur in accidents at home, at work, or during play. These fractures are commonly caused by trauma or crush injuries. Partial — some structures remain attached; Phalanx fractures are common hand injuries that involve the proximal, middle or distal phalanx. Diagnosis is made clinically. Crush Injury Finger Orthobullets.
From www.orthobullets.com
Triangular Fibrocartilage Complex (TFCC) Injury Hand Orthobullets Crush Injury Finger Orthobullets Diagnosis can be confirmed with orthogonal. Partial — some structures remain attached; The middle finger is most often affected, followed by the. Extensor tendon injuries are traumatic injuries to the extensor tendons that can be caused by laceration, trauma, or overuse. Complete — the entire fingertip is removed 3 key points to keep in mind when approaching hand injuries: These. Crush Injury Finger Orthobullets.
From www.orthobullets.com
Phalanx Fractures Hand Orthobullets Crush Injury Finger Orthobullets These fractures are commonly caused by trauma or crush injuries. Partial — some structures remain attached; 3 key points to keep in mind when approaching hand injuries: Diagnosis is made clinically by physical. Extensor tendon injuries are traumatic injuries to the extensor tendons that can be caused by laceration, trauma, or overuse. Amputations of the fingertip may be: Diagnosis can. Crush Injury Finger Orthobullets.
From pubs.rsna.org
Avulsion Injuries of the Hand and Wrist RadioGraphics Crush Injury Finger Orthobullets Partial — some structures remain attached; Extensor tendon injuries are traumatic injuries to the extensor tendons that can be caused by laceration, trauma, or overuse. 3 key points to keep in mind when approaching hand injuries: Fingertip injuries typically occur in accidents at home, at work, or during play. Amputations of the fingertip may be: Diagnosis is made clinically by. Crush Injury Finger Orthobullets.
From www.orthobullets.com
Ulnar Styloid Impaction Syndrome Hand Orthobullets Crush Injury Finger Orthobullets Extensor tendon injuries are traumatic injuries to the extensor tendons that can be caused by laceration, trauma, or overuse. A combination of these injury types; Complete — the entire fingertip is removed Fingertip injuries typically occur in accidents at home, at work, or during play. These fractures are commonly caused by trauma or crush injuries. Phalanx fractures are common hand. Crush Injury Finger Orthobullets.
From casereports.bmj.com
Multistaged management of a mangled, exploded hand crush injury with Crush Injury Finger Orthobullets Fingertip injuries typically occur in accidents at home, at work, or during play. Amputations of the fingertip may be: Diagnosis can be confirmed with orthogonal. 3 key points to keep in mind when approaching hand injuries: These fractures are commonly caused by trauma or crush injuries. Phalanx fractures are common hand injuries that involve the proximal, middle or distal phalanx.. Crush Injury Finger Orthobullets.
From www.youtube.com
tuft fracture fracture of the distal finger tip YouTube Crush Injury Finger Orthobullets Phalanx fractures are common hand injuries that involve the proximal, middle or distal phalanx. Extensor tendon injuries are traumatic injuries to the extensor tendons that can be caused by laceration, trauma, or overuse. Nail bed injuries are the result of direct trauma to the fingertip and can be characterized into subungual hematoma, nail bed laceration, or nail bed avulsion. The. Crush Injury Finger Orthobullets.
From klareavrw.blob.core.windows.net
Fingertip Injuries Orthobullets at Linda Caldwell blog Crush Injury Finger Orthobullets Amputations of the fingertip may be: Fingertip injuries typically occur in accidents at home, at work, or during play. A combination of these injury types; The middle finger is most often affected, followed by the. Extensor tendon injuries are traumatic injuries to the extensor tendons that can be caused by laceration, trauma, or overuse. Complete — the entire fingertip is. Crush Injury Finger Orthobullets.
From nortonhealthcareprovider.com
Use of boy’s finger restored after avulsion fracture [graphic images Crush Injury Finger Orthobullets Amputations of the fingertip may be: Fingertip injuries typically occur in accidents at home, at work, or during play. A combination of these injury types; Extensor tendon injuries are traumatic injuries to the extensor tendons that can be caused by laceration, trauma, or overuse. The middle finger is most often affected, followed by the. 3 key points to keep in. Crush Injury Finger Orthobullets.
From www.trialexhibitsinc.com
Medical Legal Exhibits Legal Animations & Trial Graphics Tria... Crush Injury Finger Orthobullets Phalanx fractures are common hand injuries that involve the proximal, middle or distal phalanx. 3 key points to keep in mind when approaching hand injuries: Amputations of the fingertip may be: Complete — the entire fingertip is removed Partial — some structures remain attached; Extensor tendon injuries are traumatic injuries to the extensor tendons that can be caused by laceration,. Crush Injury Finger Orthobullets.
From www.orthobullets.com
Metacarpal Fractures Hand Orthobullets Crush Injury Finger Orthobullets A combination of these injury types; These fractures are commonly caused by trauma or crush injuries. Extensor tendon injuries are traumatic injuries to the extensor tendons that can be caused by laceration, trauma, or overuse. The middle finger is most often affected, followed by the. 3 key points to keep in mind when approaching hand injuries: Diagnosis is made clinically. Crush Injury Finger Orthobullets.
From www.scribd.com
Crush Injury Hand Download Free PDF Injury Wound Crush Injury Finger Orthobullets Partial — some structures remain attached; A combination of these injury types; Diagnosis is made clinically by physical. Complete — the entire fingertip is removed Nail bed injuries are the result of direct trauma to the fingertip and can be characterized into subungual hematoma, nail bed laceration, or nail bed avulsion. Amputations of the fingertip may be: 3 key points. Crush Injury Finger Orthobullets.
From www.researchgate.net
(PDF) Crush Injuries of the Hand Crush Injury Finger Orthobullets Diagnosis can be confirmed with orthogonal. Amputations of the fingertip may be: The middle finger is most often affected, followed by the. Phalanx fractures are common hand injuries that involve the proximal, middle or distal phalanx. Partial — some structures remain attached; Fingertip injuries typically occur in accidents at home, at work, or during play. Complete — the entire fingertip. Crush Injury Finger Orthobullets.
From ar.inspiredpencil.com
Crushed Hand Injury Crush Injury Finger Orthobullets Nail bed injuries are the result of direct trauma to the fingertip and can be characterized into subungual hematoma, nail bed laceration, or nail bed avulsion. Partial — some structures remain attached; The middle finger is most often affected, followed by the. Extensor tendon injuries are traumatic injuries to the extensor tendons that can be caused by laceration, trauma, or. Crush Injury Finger Orthobullets.
From www.orthobullets.com
Sagittal Band Rupture (traumatic extensor tendon dislocation) Hand Crush Injury Finger Orthobullets Diagnosis can be confirmed with orthogonal. Nail bed injuries are the result of direct trauma to the fingertip and can be characterized into subungual hematoma, nail bed laceration, or nail bed avulsion. The middle finger is most often affected, followed by the. Phalanx fractures are common hand injuries that involve the proximal, middle or distal phalanx. A combination of these. Crush Injury Finger Orthobullets.
From casereports.bmj.com
Multistaged management of a mangled, exploded hand crush injury with Crush Injury Finger Orthobullets A combination of these injury types; Diagnosis is made clinically by physical. Phalanx fractures are common hand injuries that involve the proximal, middle or distal phalanx. The middle finger is most often affected, followed by the. These fractures are commonly caused by trauma or crush injuries. Extensor tendon injuries are traumatic injuries to the extensor tendons that can be caused. Crush Injury Finger Orthobullets.
From www.orthobullets.com
Metacarpal Fractures Hand Orthobullets Crush Injury Finger Orthobullets Complete — the entire fingertip is removed Diagnosis can be confirmed with orthogonal. A combination of these injury types; 3 key points to keep in mind when approaching hand injuries: Diagnosis is made clinically by physical. Fingertip injuries typically occur in accidents at home, at work, or during play. Nail bed injuries are the result of direct trauma to the. Crush Injury Finger Orthobullets.
From www.orthobullets.com
Pronator Syndrome Hand Orthobullets Crush Injury Finger Orthobullets A combination of these injury types; The middle finger is most often affected, followed by the. Diagnosis is made clinically by physical. Diagnosis can be confirmed with orthogonal. Amputations of the fingertip may be: Nail bed injuries are the result of direct trauma to the fingertip and can be characterized into subungual hematoma, nail bed laceration, or nail bed avulsion.. Crush Injury Finger Orthobullets.
From www.alamy.com
hand xray showing crush injuries to the fingertips Stock Photo Alamy Crush Injury Finger Orthobullets Extensor tendon injuries are traumatic injuries to the extensor tendons that can be caused by laceration, trauma, or overuse. Partial — some structures remain attached; Phalanx fractures are common hand injuries that involve the proximal, middle or distal phalanx. Complete — the entire fingertip is removed Nail bed injuries are the result of direct trauma to the fingertip and can. Crush Injury Finger Orthobullets.
From www.orthobullets.com
Phalanx Fractures Hand Orthobullets Crush Injury Finger Orthobullets Diagnosis is made clinically by physical. 3 key points to keep in mind when approaching hand injuries: Nail bed injuries are the result of direct trauma to the fingertip and can be characterized into subungual hematoma, nail bed laceration, or nail bed avulsion. Amputations of the fingertip may be: Extensor tendon injuries are traumatic injuries to the extensor tendons that. Crush Injury Finger Orthobullets.
From www.osmifw.com
malletfingeravulsionfracture Crush Injury Finger Orthobullets These fractures are commonly caused by trauma or crush injuries. Complete — the entire fingertip is removed Nail bed injuries are the result of direct trauma to the fingertip and can be characterized into subungual hematoma, nail bed laceration, or nail bed avulsion. A combination of these injury types; Phalanx fractures are common hand injuries that involve the proximal, middle. Crush Injury Finger Orthobullets.