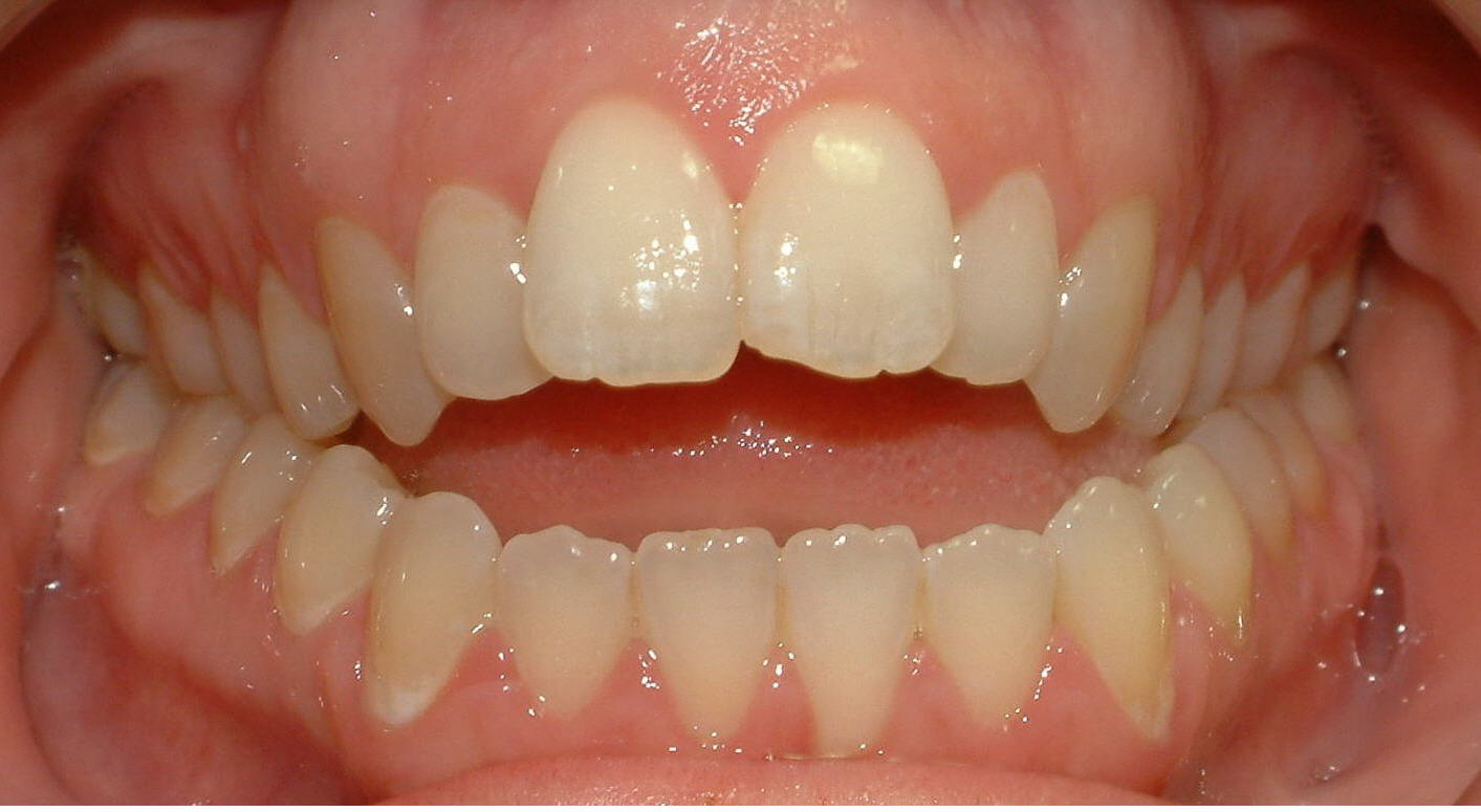
Braces Fix Open Bite . Yes, invisalign can treat various types of open bites, as it is designed to straighten teeth. We care about your smile Metal or clear braces use brackets attached to the teeth and connected by wires. The braces will pull teeth back if they are protruding forward and can pull them into. Braces are often used to correct open bites, preventing. Open bite is when your upper and lower teeth do not touch when closed. Treating an open bite with braces is common. Can braces fix an open bite? Learn about open bite causes and how invisalign® aligners can treat your smile. The primary way to fix open bite is with traditional braces. Treatment options may include braces, clear aligners such as invisalign ® aligners, or other orthodontic or surgical interventions, depending on the severity of the condition. In more extreme cases, a palate expander may be necessary, as well as surgery. Your dentist will determine what level of treatment you need.
        
        from blase-braces.blogspot.com 
     
        
        Braces are often used to correct open bites, preventing. The primary way to fix open bite is with traditional braces. Yes, invisalign can treat various types of open bites, as it is designed to straighten teeth. Learn about open bite causes and how invisalign® aligners can treat your smile. Treatment options may include braces, clear aligners such as invisalign ® aligners, or other orthodontic or surgical interventions, depending on the severity of the condition. Your dentist will determine what level of treatment you need. Can braces fix an open bite? Treating an open bite with braces is common. Open bite is when your upper and lower teeth do not touch when closed. Metal or clear braces use brackets attached to the teeth and connected by wires.
    
    	
            
	
		 
         
    Orthodontics by Dr. Tom Blase Open bites easy to find but hard to fix! 
    Braces Fix Open Bite  In more extreme cases, a palate expander may be necessary, as well as surgery. Treating an open bite with braces is common. The primary way to fix open bite is with traditional braces. Open bite is when your upper and lower teeth do not touch when closed. Metal or clear braces use brackets attached to the teeth and connected by wires. Can braces fix an open bite? The braces will pull teeth back if they are protruding forward and can pull them into. Braces are often used to correct open bites, preventing. We care about your smile Your dentist will determine what level of treatment you need. In more extreme cases, a palate expander may be necessary, as well as surgery. Learn about open bite causes and how invisalign® aligners can treat your smile. Yes, invisalign can treat various types of open bites, as it is designed to straighten teeth. Treatment options may include braces, clear aligners such as invisalign ® aligners, or other orthodontic or surgical interventions, depending on the severity of the condition.
            
	
		 
         
 
    
        From www.tafthillortho.com 
                    Open Bite Taft Hill Orthodontics Braces Fix Open Bite  Treatment options may include braces, clear aligners such as invisalign ® aligners, or other orthodontic or surgical interventions, depending on the severity of the condition. Treating an open bite with braces is common. Metal or clear braces use brackets attached to the teeth and connected by wires. We care about your smile Open bite is when your upper and lower. Braces Fix Open Bite.
     
    
        From www.faceliftdentistry.com 
                    Functional Orthodontics Quick Alternative Open Bite Fix Braces Fix Open Bite  Your dentist will determine what level of treatment you need. Open bite is when your upper and lower teeth do not touch when closed. Can braces fix an open bite? The braces will pull teeth back if they are protruding forward and can pull them into. The primary way to fix open bite is with traditional braces. Treating an open. Braces Fix Open Bite.
     
    
        From www.faceliftdentistry.com 
                    Open Bite with Natural Jaw Position Fix, No Surgery, Drilling or Braces Braces Fix Open Bite  In more extreme cases, a palate expander may be necessary, as well as surgery. Open bite is when your upper and lower teeth do not touch when closed. Yes, invisalign can treat various types of open bites, as it is designed to straighten teeth. Braces are often used to correct open bites, preventing. Your dentist will determine what level of. Braces Fix Open Bite.
     
    
        From www.youtube.com 
                    OpenBite Fix, No Surgery or Braces, One Month YouTube Braces Fix Open Bite  Learn about open bite causes and how invisalign® aligners can treat your smile. Open bite is when your upper and lower teeth do not touch when closed. Treating an open bite with braces is common. Treatment options may include braces, clear aligners such as invisalign ® aligners, or other orthodontic or surgical interventions, depending on the severity of the condition.. Braces Fix Open Bite.
     
    
        From ar.inspiredpencil.com 
                    Braces Before And After Open Bite Braces Fix Open Bite  Open bite is when your upper and lower teeth do not touch when closed. Learn about open bite causes and how invisalign® aligners can treat your smile. Treating an open bite with braces is common. Braces are often used to correct open bites, preventing. The primary way to fix open bite is with traditional braces. The braces will pull teeth. Braces Fix Open Bite.
     
    
        From www.youtube.com 
                    How Do Braces Fix Open Bites? Premier Orthodontics YouTube Braces Fix Open Bite  We care about your smile The primary way to fix open bite is with traditional braces. Can braces fix an open bite? Treating an open bite with braces is common. Metal or clear braces use brackets attached to the teeth and connected by wires. Your dentist will determine what level of treatment you need. Braces are often used to correct. Braces Fix Open Bite.
     
    
        From blase-braces.blogspot.com 
                    Orthodontics by Dr. Tom Blase Open bites easy to find but hard to fix! Braces Fix Open Bite  The primary way to fix open bite is with traditional braces. Metal or clear braces use brackets attached to the teeth and connected by wires. Learn about open bite causes and how invisalign® aligners can treat your smile. Open bite is when your upper and lower teeth do not touch when closed. Braces are often used to correct open bites,. Braces Fix Open Bite.
     
    
        From ar.inspiredpencil.com 
                    Braces Before And After Open Bite Braces Fix Open Bite  Braces are often used to correct open bites, preventing. Yes, invisalign can treat various types of open bites, as it is designed to straighten teeth. Treating an open bite with braces is common. Can braces fix an open bite? In more extreme cases, a palate expander may be necessary, as well as surgery. Your dentist will determine what level of. Braces Fix Open Bite.
     
    
        From www.nwph.net 
                    How To Fix an Open Bite Types of Open Bite, Treatment, and More Braces Fix Open Bite  Braces are often used to correct open bites, preventing. Can braces fix an open bite? Learn about open bite causes and how invisalign® aligners can treat your smile. Treating an open bite with braces is common. We care about your smile In more extreme cases, a palate expander may be necessary, as well as surgery. The primary way to fix. Braces Fix Open Bite.
     
    
        From ncoso.com 
                    Smile Gallery Before and Afters NCOSO Orthodontics Braces Fix Open Bite  Braces are often used to correct open bites, preventing. Metal or clear braces use brackets attached to the teeth and connected by wires. We care about your smile Can braces fix an open bite? Your dentist will determine what level of treatment you need. The primary way to fix open bite is with traditional braces. Learn about open bite causes. Braces Fix Open Bite.
     
    
        From ndortho.com 
                    What are the benefits of open bite braces Braces Fix Open Bite  Metal or clear braces use brackets attached to the teeth and connected by wires. Treatment options may include braces, clear aligners such as invisalign ® aligners, or other orthodontic or surgical interventions, depending on the severity of the condition. The braces will pull teeth back if they are protruding forward and can pull them into. We care about your smile. Braces Fix Open Bite.
     
    
        From www.reddit.com 
                    December 2017March 2019! Fixing a massive open bite and finally Braces Fix Open Bite  Treatment options may include braces, clear aligners such as invisalign ® aligners, or other orthodontic or surgical interventions, depending on the severity of the condition. The braces will pull teeth back if they are protruding forward and can pull them into. Braces are often used to correct open bites, preventing. In more extreme cases, a palate expander may be necessary,. Braces Fix Open Bite.
     
    
        From drtomortho.com 
                    How Do Braces Fix Open Bites? Braces Fix Open Bite  We care about your smile The braces will pull teeth back if they are protruding forward and can pull them into. Open bite is when your upper and lower teeth do not touch when closed. Yes, invisalign can treat various types of open bites, as it is designed to straighten teeth. Learn about open bite causes and how invisalign® aligners. Braces Fix Open Bite.
     
    
        From www.youtube.com 
                    How Do Braces Fix Open Bites? Packard Family Orthodontics YouTube Braces Fix Open Bite  Braces are often used to correct open bites, preventing. Treating an open bite with braces is common. Yes, invisalign can treat various types of open bites, as it is designed to straighten teeth. We care about your smile In more extreme cases, a palate expander may be necessary, as well as surgery. Treatment options may include braces, clear aligners such. Braces Fix Open Bite.
     
    
        From ar.inspiredpencil.com 
                    Braces Before And After Open Bite Braces Fix Open Bite  Braces are often used to correct open bites, preventing. The braces will pull teeth back if they are protruding forward and can pull them into. Learn about open bite causes and how invisalign® aligners can treat your smile. Open bite is when your upper and lower teeth do not touch when closed. Treatment options may include braces, clear aligners such. Braces Fix Open Bite.
     
    
        From www.drthames.com 
                    CA1233 Thames Orthodontics Braces Fix Open Bite  Your dentist will determine what level of treatment you need. Open bite is when your upper and lower teeth do not touch when closed. The primary way to fix open bite is with traditional braces. Learn about open bite causes and how invisalign® aligners can treat your smile. Treating an open bite with braces is common. The braces will pull. Braces Fix Open Bite.
     
    
        From ar.inspiredpencil.com 
                    Braces Before And After Open Bite Braces Fix Open Bite  Treatment options may include braces, clear aligners such as invisalign ® aligners, or other orthodontic or surgical interventions, depending on the severity of the condition. Braces are often used to correct open bites, preventing. Open bite is when your upper and lower teeth do not touch when closed. Can braces fix an open bite? We care about your smile Metal. Braces Fix Open Bite.
     
    
        From drjenningsortho.com 
                    Houston Damon Braces Open Bite Braces Fix Open Bite  The primary way to fix open bite is with traditional braces. Open bite is when your upper and lower teeth do not touch when closed. Treating an open bite with braces is common. Your dentist will determine what level of treatment you need. In more extreme cases, a palate expander may be necessary, as well as surgery. Metal or clear. Braces Fix Open Bite.
     
    
        From www.faceliftdentistry.com 
                    Fixing an Open Bite without Surgery or Braces Braces Fix Open Bite  Your dentist will determine what level of treatment you need. Can braces fix an open bite? Treating an open bite with braces is common. In more extreme cases, a palate expander may be necessary, as well as surgery. We care about your smile Metal or clear braces use brackets attached to the teeth and connected by wires. Treatment options may. Braces Fix Open Bite.
     
    
        From www.briteorthodontics.com 
                    Can invisalign fix open bite? Exploring Solutions Braces Fix Open Bite  Your dentist will determine what level of treatment you need. Braces are often used to correct open bites, preventing. Learn about open bite causes and how invisalign® aligners can treat your smile. Metal or clear braces use brackets attached to the teeth and connected by wires. The braces will pull teeth back if they are protruding forward and can pull. Braces Fix Open Bite.
     
    
        From www.youtube.com 
                    How Braces Are Removed Open Bite Fixed 18 months Tooth Time Family Braces Fix Open Bite  Your dentist will determine what level of treatment you need. Yes, invisalign can treat various types of open bites, as it is designed to straighten teeth. Treating an open bite with braces is common. The braces will pull teeth back if they are protruding forward and can pull them into. We care about your smile Metal or clear braces use. Braces Fix Open Bite.
     
    
        From www.mewing.app 
                    Open Bite How to Fix an Open Bite Naturally in Adults (Before & After) Braces Fix Open Bite  The braces will pull teeth back if they are protruding forward and can pull them into. Learn about open bite causes and how invisalign® aligners can treat your smile. Yes, invisalign can treat various types of open bites, as it is designed to straighten teeth. The primary way to fix open bite is with traditional braces. Metal or clear braces. Braces Fix Open Bite.
     
    
        From www.smilepointdental.com 
                    How to correct deep bite with braces? Braces Fix Open Bite  Learn about open bite causes and how invisalign® aligners can treat your smile. In more extreme cases, a palate expander may be necessary, as well as surgery. Can braces fix an open bite? Treating an open bite with braces is common. Your dentist will determine what level of treatment you need. Metal or clear braces use brackets attached to the. Braces Fix Open Bite.
     
    
        From www.youtube.com 
                    Open Bite Braces Treatment [BEFORE & AFTER!] YouTube Braces Fix Open Bite  In more extreme cases, a palate expander may be necessary, as well as surgery. Open bite is when your upper and lower teeth do not touch when closed. Learn about open bite causes and how invisalign® aligners can treat your smile. Treatment options may include braces, clear aligners such as invisalign ® aligners, or other orthodontic or surgical interventions, depending. Braces Fix Open Bite.
     
    
        From www.youtube.com 
                    Anterior Openbite Braces YouTube Braces Fix Open Bite  Treating an open bite with braces is common. In more extreme cases, a palate expander may be necessary, as well as surgery. Open bite is when your upper and lower teeth do not touch when closed. Your dentist will determine what level of treatment you need. We care about your smile Metal or clear braces use brackets attached to the. Braces Fix Open Bite.
     
    
        From www.youtube.com 
                    ️ OPEN BITE surgery. HOW BRACES WORK Before and After. YouTube Braces Fix Open Bite  Your dentist will determine what level of treatment you need. We care about your smile Metal or clear braces use brackets attached to the teeth and connected by wires. Open bite is when your upper and lower teeth do not touch when closed. Can braces fix an open bite? Treating an open bite with braces is common. Learn about open. Braces Fix Open Bite.
     
    
        From www.corylissortho.ca 
                    Types of Orthodontic Elastics And Why You Need to Wear Them Braces Fix Open Bite  In more extreme cases, a palate expander may be necessary, as well as surgery. Treating an open bite with braces is common. Open bite is when your upper and lower teeth do not touch when closed. Your dentist will determine what level of treatment you need. Metal or clear braces use brackets attached to the teeth and connected by wires.. Braces Fix Open Bite.
     
    
        From orthodonticsinlondon.co.uk 
                    How to Treat Open Bite Orthodontics in London Braces Fix Open Bite  Can braces fix an open bite? Your dentist will determine what level of treatment you need. In more extreme cases, a palate expander may be necessary, as well as surgery. The braces will pull teeth back if they are protruding forward and can pull them into. Yes, invisalign can treat various types of open bites, as it is designed to. Braces Fix Open Bite.
     
    
        From hawthornwoodsfamilydentalcare.com 
                    How Do Braces Fix Open Bite & Underbite? Braces Fix Open Bite  Metal or clear braces use brackets attached to the teeth and connected by wires. The braces will pull teeth back if they are protruding forward and can pull them into. In more extreme cases, a palate expander may be necessary, as well as surgery. The primary way to fix open bite is with traditional braces. Yes, invisalign can treat various. Braces Fix Open Bite.
     
    
        From www.youtube.com 
                    SEVERE UNDERBITE CORRECTION using the MEAW TechniqueNO SURGERYAdult Braces Fix Open Bite  In more extreme cases, a palate expander may be necessary, as well as surgery. Can braces fix an open bite? Open bite is when your upper and lower teeth do not touch when closed. Your dentist will determine what level of treatment you need. We care about your smile The braces will pull teeth back if they are protruding forward. Braces Fix Open Bite.
     
    
        From ar.inspiredpencil.com 
                    Braces Before And After Open Bite Braces Fix Open Bite  Can braces fix an open bite? Open bite is when your upper and lower teeth do not touch when closed. Treating an open bite with braces is common. We care about your smile Your dentist will determine what level of treatment you need. Treatment options may include braces, clear aligners such as invisalign ® aligners, or other orthodontic or surgical. Braces Fix Open Bite.
     
    
        From www.pinterest.it 
                    This woman had a severe malocclusion with a narrow upper jaw, an Braces Fix Open Bite  The primary way to fix open bite is with traditional braces. Treatment options may include braces, clear aligners such as invisalign ® aligners, or other orthodontic or surgical interventions, depending on the severity of the condition. Yes, invisalign can treat various types of open bites, as it is designed to straighten teeth. Your dentist will determine what level of treatment. Braces Fix Open Bite.
     
    
        From mysmilesortho.com 
                    Open Bite in Puyallup & Graham, WA Smiles Orthodontics Braces Fix Open Bite  The primary way to fix open bite is with traditional braces. Braces are often used to correct open bites, preventing. Treatment options may include braces, clear aligners such as invisalign ® aligners, or other orthodontic or surgical interventions, depending on the severity of the condition. Learn about open bite causes and how invisalign® aligners can treat your smile. Can braces. Braces Fix Open Bite.
     
    
        From www.reddit.com 
                    Open bite correction with braces and elastics 13 months braces Braces Fix Open Bite  In more extreme cases, a palate expander may be necessary, as well as surgery. Can braces fix an open bite? Your dentist will determine what level of treatment you need. Braces are often used to correct open bites, preventing. Yes, invisalign can treat various types of open bites, as it is designed to straighten teeth. Treatment options may include braces,. Braces Fix Open Bite.
     
    
        From ar.inspiredpencil.com 
                    Crossbite Braces Before After Braces Fix Open Bite  Metal or clear braces use brackets attached to the teeth and connected by wires. The primary way to fix open bite is with traditional braces. In more extreme cases, a palate expander may be necessary, as well as surgery. Treating an open bite with braces is common. Treatment options may include braces, clear aligners such as invisalign ® aligners, or. Braces Fix Open Bite.