What Does Appendicitis Look Like On Ultrasound . — ultrasound is considered the imaging modality of choice for pediatric and pregnant patients where appendicitis is. Appendicitis is most commonly treated by. Acute appendicitis is the most common surgical emergency in children with higher incidence between. Ultrasound with its lack of ionising radiation should be the investigation of choice in young patients. — what does appendicitis look like on ultrasound? — acute appendicitis (aa) is a disease with a high prevalence, requiring rapid and accurate diagnosis to confirm or. ct is the most sensitive modality to detect appendicitis although its use should be limited because of the radiation dose. — an ultrasound or ct scan will usually show an enlarged appendix. — • ultrasound (us) should be the first imaging modality for diagnosing. — appendicitis is a frequent cause of abdominal pain. — the first steps are with the use of the appropriate imaging modality (us, ct and mri) to locate the appendix in abdominal cavity and to identify the features of appendicitis and its complications through specific imaging signs. by the end of this video, you'll be able to look at an ultrasound image and distinguish between a normal appendix and an inflamed one so that you can quickly identify and treat a case of appendicitis. — the most useful sign of acute appendicitis on ultrasonography is an outer appendiceal diameter of 6 mm or greater. While many cases of appendicitis are easy to diagnose clinically, a significant number need further workup. Symptoms may be atypical, and the appendix may not be.
from ultrasound-cases.blogspot.com
— in a patient with undifferentiated right lower quadrant pain, appendicitis is often at the top of the. — • ultrasound (us) should be the first imaging modality for diagnosing. by the end of this video, you'll be able to look at an ultrasound image and distinguish between a normal appendix and an inflamed one so that you can quickly identify and treat a case of appendicitis. The appendix will be greater than 6 mm in outer diameter. Acute appendicitis is the most common surgical emergency in children with higher incidence between. Ultrasound with its lack of ionising radiation should be the investigation of choice in young patients. — an ultrasound or ct scan will usually show an enlarged appendix. Appendicitis is most commonly treated by. — acute appendicitis (aa) is a disease with a high prevalence, requiring rapid and accurate diagnosis to confirm or. — ultrasound is considered the imaging modality of choice for pediatric and pregnant patients where appendicitis is.
Ultrasound for Appendicitis Ultrasound Cases Info
What Does Appendicitis Look Like On Ultrasound — ultrasound is considered the imaging modality of choice for pediatric and pregnant patients where appendicitis is. — • ultrasound (us) should be the first imaging modality for diagnosing. Symptoms may be atypical, and the appendix may not be. Acute appendicitis is the most common surgical emergency in children with higher incidence between. — the most useful sign of acute appendicitis on ultrasonography is an outer appendiceal diameter of 6 mm or greater. Appendicitis results from an acute. — an ultrasound or ct scan will usually show an enlarged appendix. inflammation can occur when the appendix becomes infected or blocked with stool, foreign objects or a tumor. — in a patient with undifferentiated right lower quadrant pain, appendicitis is often at the top of the. — what does appendicitis look like on ultrasound? The appendix will be greater than 6 mm in outer diameter. — ultrasound is considered the imaging modality of choice for pediatric and pregnant patients where appendicitis is. ct is the most sensitive modality to detect appendicitis although its use should be limited because of the radiation dose. — acute appendicitis (aa) is a disease with a high prevalence, requiring rapid and accurate diagnosis to confirm or. Appendicitis is most commonly treated by. — appendicitis is a frequent cause of abdominal pain.
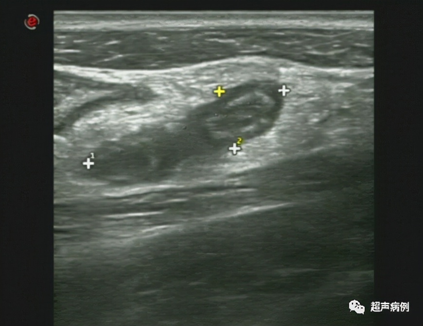
From www.emhum.com
Ultrasound 7 Acute Appendicitis EMHUM What Does Appendicitis Look Like On Ultrasound Ultrasound with its lack of ionising radiation should be the investigation of choice in young patients. Symptoms may be atypical, and the appendix may not be. by the end of this video, you'll be able to look at an ultrasound image and distinguish between a normal appendix and an inflamed one so that you can quickly identify and treat. What Does Appendicitis Look Like On Ultrasound.
From maryland.ccproject.com
Ultrasound Diagnosis of Acute Appendicitis in Haiti University of Maryland What Does Appendicitis Look Like On Ultrasound — acute appendicitis (aa) is a disease with a high prevalence, requiring rapid and accurate diagnosis to confirm or. — • ultrasound (us) should be the first imaging modality for diagnosing. The appendix will be greater than 6 mm in outer diameter. — in a patient with undifferentiated right lower quadrant pain, appendicitis is often at the. What Does Appendicitis Look Like On Ultrasound.
From www.youtube.com
APPENDICITIS by ultrasound YouTube What Does Appendicitis Look Like On Ultrasound inflammation can occur when the appendix becomes infected or blocked with stool, foreign objects or a tumor. — the first steps are with the use of the appropriate imaging modality (us, ct and mri) to locate the appendix in abdominal cavity and to identify the features of appendicitis and its complications through specific imaging signs. Acute appendicitis is. What Does Appendicitis Look Like On Ultrasound.
From www.criticalcare-sonography.com
Appendicitis Critical Care Sonography What Does Appendicitis Look Like On Ultrasound Acute appendicitis is the most common surgical emergency in children with higher incidence between. ct is the most sensitive modality to detect appendicitis although its use should be limited because of the radiation dose. — acute appendicitis (aa) is a disease with a high prevalence, requiring rapid and accurate diagnosis to confirm or. inflammation can occur when. What Does Appendicitis Look Like On Ultrasound.
From ar.inspiredpencil.com
Appendicitis Ultrasound Criteria What Does Appendicitis Look Like On Ultrasound — in a patient with undifferentiated right lower quadrant pain, appendicitis is often at the top of the. — • ultrasound (us) should be the first imaging modality for diagnosing. — appendicitis is a frequent cause of abdominal pain. While many cases of appendicitis are easy to diagnose clinically, a significant number need further workup. —. What Does Appendicitis Look Like On Ultrasound.
From mavink.com
Appendicitis On Ct Scan What Does Appendicitis Look Like On Ultrasound Appendicitis is most commonly treated by. — an ultrasound or ct scan will usually show an enlarged appendix. ct is the most sensitive modality to detect appendicitis although its use should be limited because of the radiation dose. — what does appendicitis look like on ultrasound? Ultrasound with its lack of ionising radiation should be the investigation. What Does Appendicitis Look Like On Ultrasound.
From sumerdoc.blogspot.co.uk
AppendicitisCT Sumer's Radiology Blog What Does Appendicitis Look Like On Ultrasound ct is the most sensitive modality to detect appendicitis although its use should be limited because of the radiation dose. Ultrasound with its lack of ionising radiation should be the investigation of choice in young patients. — the most useful sign of acute appendicitis on ultrasonography is an outer appendiceal diameter of 6 mm or greater. —. What Does Appendicitis Look Like On Ultrasound.
From www.youtube.com
Ultrasound of Acute Appendicitis YouTube What Does Appendicitis Look Like On Ultrasound — ultrasound is considered the imaging modality of choice for pediatric and pregnant patients where appendicitis is. While many cases of appendicitis are easy to diagnose clinically, a significant number need further workup. — acute appendicitis (aa) is a disease with a high prevalence, requiring rapid and accurate diagnosis to confirm or. — the most useful sign. What Does Appendicitis Look Like On Ultrasound.
From www.youtube.com
Acute appendicitis on CT radiology video tutorial YouTube What Does Appendicitis Look Like On Ultrasound inflammation can occur when the appendix becomes infected or blocked with stool, foreign objects or a tumor. — • ultrasound (us) should be the first imaging modality for diagnosing. While many cases of appendicitis are easy to diagnose clinically, a significant number need further workup. by the end of this video, you'll be able to look at. What Does Appendicitis Look Like On Ultrasound.
From inf.news
How does appendicitis look on ultrasound?What knowledge needs to be mastered?It's all summed up What Does Appendicitis Look Like On Ultrasound While many cases of appendicitis are easy to diagnose clinically, a significant number need further workup. — the first steps are with the use of the appropriate imaging modality (us, ct and mri) to locate the appendix in abdominal cavity and to identify the features of appendicitis and its complications through specific imaging signs. ct is the most. What Does Appendicitis Look Like On Ultrasound.
From www.youtube.com
Ultrasound Video showing Acute appendicitis or inflamed appendix. YouTube What Does Appendicitis Look Like On Ultrasound — • ultrasound (us) should be the first imaging modality for diagnosing. Ultrasound with its lack of ionising radiation should be the investigation of choice in young patients. — the first steps are with the use of the appropriate imaging modality (us, ct and mri) to locate the appendix in abdominal cavity and to identify the features of. What Does Appendicitis Look Like On Ultrasound.
From openpress.usask.ca
Appendicitis Undergraduate Diagnostic Imaging Fundamentals What Does Appendicitis Look Like On Ultrasound While many cases of appendicitis are easy to diagnose clinically, a significant number need further workup. by the end of this video, you'll be able to look at an ultrasound image and distinguish between a normal appendix and an inflamed one so that you can quickly identify and treat a case of appendicitis. — in a patient with. What Does Appendicitis Look Like On Ultrasound.
From mavink.com
Appendicitis On Ct Scan What Does Appendicitis Look Like On Ultrasound — ultrasound is considered the imaging modality of choice for pediatric and pregnant patients where appendicitis is. The appendix will be greater than 6 mm in outer diameter. — in a patient with undifferentiated right lower quadrant pain, appendicitis is often at the top of the. Ultrasound with its lack of ionising radiation should be the investigation of. What Does Appendicitis Look Like On Ultrasound.
From www.acep.org
EM Ultrasound Section // How to Diagnose Appendicitis in a Child What Does Appendicitis Look Like On Ultrasound Ultrasound with its lack of ionising radiation should be the investigation of choice in young patients. Appendicitis results from an acute. — the first steps are with the use of the appropriate imaging modality (us, ct and mri) to locate the appendix in abdominal cavity and to identify the features of appendicitis and its complications through specific imaging signs.. What Does Appendicitis Look Like On Ultrasound.
From mavink.com
Acute Appendicitis On Ultrasound What Does Appendicitis Look Like On Ultrasound — the most useful sign of acute appendicitis on ultrasonography is an outer appendiceal diameter of 6 mm or greater. — what does appendicitis look like on ultrasound? ct is the most sensitive modality to detect appendicitis although its use should be limited because of the radiation dose. While many cases of appendicitis are easy to diagnose. What Does Appendicitis Look Like On Ultrasound.
From teachmesurgery.com
Acute Appendicitis Clinical Features Management TeachMeSurgery What Does Appendicitis Look Like On Ultrasound — appendicitis is a frequent cause of abdominal pain. Acute appendicitis is the most common surgical emergency in children with higher incidence between. — the first steps are with the use of the appropriate imaging modality (us, ct and mri) to locate the appendix in abdominal cavity and to identify the features of appendicitis and its complications through. What Does Appendicitis Look Like On Ultrasound.
From mavink.com
Acute Appendicitis On Ct Scan What Does Appendicitis Look Like On Ultrasound by the end of this video, you'll be able to look at an ultrasound image and distinguish between a normal appendix and an inflamed one so that you can quickly identify and treat a case of appendicitis. inflammation can occur when the appendix becomes infected or blocked with stool, foreign objects or a tumor. — in a. What Does Appendicitis Look Like On Ultrasound.
From www.svuhradiology.ie
Appendicitis during pregnancy MRI Radiology at St. Vincent's University Hospital What Does Appendicitis Look Like On Ultrasound — acute appendicitis (aa) is a disease with a high prevalence, requiring rapid and accurate diagnosis to confirm or. Appendicitis results from an acute. Ultrasound with its lack of ionising radiation should be the investigation of choice in young patients. ct is the most sensitive modality to detect appendicitis although its use should be limited because of the. What Does Appendicitis Look Like On Ultrasound.
From ultrasound-cases.blogspot.com
Ultrasound for Appendicitis Ultrasound Cases Info What Does Appendicitis Look Like On Ultrasound Appendicitis is most commonly treated by. — an ultrasound or ct scan will usually show an enlarged appendix. — in a patient with undifferentiated right lower quadrant pain, appendicitis is often at the top of the. — what does appendicitis look like on ultrasound? inflammation can occur when the appendix becomes infected or blocked with stool,. What Does Appendicitis Look Like On Ultrasound.
From www.stepwards.com
Appendicitis Stepwards What Does Appendicitis Look Like On Ultrasound The appendix will be greater than 6 mm in outer diameter. — an ultrasound or ct scan will usually show an enlarged appendix. Appendicitis is most commonly treated by. Appendicitis results from an acute. While many cases of appendicitis are easy to diagnose clinically, a significant number need further workup. — in a patient with undifferentiated right lower. What Does Appendicitis Look Like On Ultrasound.
From www.criticalcare-sonography.com
Appendicitis Critical Care Sonography What Does Appendicitis Look Like On Ultrasound — the most useful sign of acute appendicitis on ultrasonography is an outer appendiceal diameter of 6 mm or greater. Ultrasound with its lack of ionising radiation should be the investigation of choice in young patients. While many cases of appendicitis are easy to diagnose clinically, a significant number need further workup. Appendicitis is most commonly treated by. . What Does Appendicitis Look Like On Ultrasound.
From www.youtube.com
Ultrasound Tutorial Appendix/Appendicitis Radiology Nation YouTube What Does Appendicitis Look Like On Ultrasound While many cases of appendicitis are easy to diagnose clinically, a significant number need further workup. — an ultrasound or ct scan will usually show an enlarged appendix. Symptoms may be atypical, and the appendix may not be. — appendicitis is a frequent cause of abdominal pain. The appendix will be greater than 6 mm in outer diameter.. What Does Appendicitis Look Like On Ultrasound.
From radiopaedia.org
Acute appendicitis on ultrasound Image What Does Appendicitis Look Like On Ultrasound Appendicitis is most commonly treated by. The appendix will be greater than 6 mm in outer diameter. Ultrasound with its lack of ionising radiation should be the investigation of choice in young patients. — an ultrasound or ct scan will usually show an enlarged appendix. — in a patient with undifferentiated right lower quadrant pain, appendicitis is often. What Does Appendicitis Look Like On Ultrasound.
From www.youtube.com
Appendix Ultrasound Normal Vs Abnormal Image Appearances Appendicitis USG Scan YouTube What Does Appendicitis Look Like On Ultrasound — the most useful sign of acute appendicitis on ultrasonography is an outer appendiceal diameter of 6 mm or greater. — appendicitis is a frequent cause of abdominal pain. ct is the most sensitive modality to detect appendicitis although its use should be limited because of the radiation dose. — acute appendicitis (aa) is a disease. What Does Appendicitis Look Like On Ultrasound.
From mungfali.com
Acute Appendicitis On Ultrasound What Does Appendicitis Look Like On Ultrasound Symptoms may be atypical, and the appendix may not be. by the end of this video, you'll be able to look at an ultrasound image and distinguish between a normal appendix and an inflamed one so that you can quickly identify and treat a case of appendicitis. While many cases of appendicitis are easy to diagnose clinically, a significant. What Does Appendicitis Look Like On Ultrasound.
From inf.news
How does appendicitis look on ultrasound?What knowledge needs to be mastered?It's all summed up What Does Appendicitis Look Like On Ultrasound Acute appendicitis is the most common surgical emergency in children with higher incidence between. Appendicitis is most commonly treated by. While many cases of appendicitis are easy to diagnose clinically, a significant number need further workup. — acute appendicitis (aa) is a disease with a high prevalence, requiring rapid and accurate diagnosis to confirm or. by the end. What Does Appendicitis Look Like On Ultrasound.
From litfl.com
Abdominal CT appendicitis • LITFL • Radiology Library What Does Appendicitis Look Like On Ultrasound — • ultrasound (us) should be the first imaging modality for diagnosing. — ultrasound is considered the imaging modality of choice for pediatric and pregnant patients where appendicitis is. — appendicitis is a frequent cause of abdominal pain. — an ultrasound or ct scan will usually show an enlarged appendix. — acute appendicitis (aa) is. What Does Appendicitis Look Like On Ultrasound.
From www.criticalcare-sonography.com
Appendicitis Critical Care Sonography What Does Appendicitis Look Like On Ultrasound — the first steps are with the use of the appropriate imaging modality (us, ct and mri) to locate the appendix in abdominal cavity and to identify the features of appendicitis and its complications through specific imaging signs. While many cases of appendicitis are easy to diagnose clinically, a significant number need further workup. Symptoms may be atypical, and. What Does Appendicitis Look Like On Ultrasound.
From www.healthxchange.sg
Ultrasound A Safer Way to Diagnose Appendicitis in Children What Does Appendicitis Look Like On Ultrasound ct is the most sensitive modality to detect appendicitis although its use should be limited because of the radiation dose. by the end of this video, you'll be able to look at an ultrasound image and distinguish between a normal appendix and an inflamed one so that you can quickly identify and treat a case of appendicitis. . What Does Appendicitis Look Like On Ultrasound.
From www.emhum.com
Ultrasound 7 Acute Appendicitis EMHUM What Does Appendicitis Look Like On Ultrasound While many cases of appendicitis are easy to diagnose clinically, a significant number need further workup. — what does appendicitis look like on ultrasound? — in a patient with undifferentiated right lower quadrant pain, appendicitis is often at the top of the. inflammation can occur when the appendix becomes infected or blocked with stool, foreign objects or. What Does Appendicitis Look Like On Ultrasound.
From medizzy.com
Acute Appendicitis on CAT Scan MEDizzy What Does Appendicitis Look Like On Ultrasound — an ultrasound or ct scan will usually show an enlarged appendix. Appendicitis results from an acute. Symptoms may be atypical, and the appendix may not be. by the end of this video, you'll be able to look at an ultrasound image and distinguish between a normal appendix and an inflamed one so that you can quickly identify. What Does Appendicitis Look Like On Ultrasound.
From www.stepwards.com
Appendicitis Stepwards What Does Appendicitis Look Like On Ultrasound The appendix will be greater than 6 mm in outer diameter. Appendicitis results from an acute. While many cases of appendicitis are easy to diagnose clinically, a significant number need further workup. Ultrasound with its lack of ionising radiation should be the investigation of choice in young patients. — the first steps are with the use of the appropriate. What Does Appendicitis Look Like On Ultrasound.
From medicalschoolquicktopics.blogspot.com
MEDICAL ULTRASOUND/ ACUTE APPENDICITIS What Does Appendicitis Look Like On Ultrasound — the first steps are with the use of the appropriate imaging modality (us, ct and mri) to locate the appendix in abdominal cavity and to identify the features of appendicitis and its complications through specific imaging signs. Appendicitis results from an acute. Ultrasound with its lack of ionising radiation should be the investigation of choice in young patients.. What Does Appendicitis Look Like On Ultrasound.
From ultrasound-cases.blogspot.com
Ultrasound for Appendicitis Ultrasound Cases Info What Does Appendicitis Look Like On Ultrasound — • ultrasound (us) should be the first imaging modality for diagnosing. Appendicitis results from an acute. While many cases of appendicitis are easy to diagnose clinically, a significant number need further workup. by the end of this video, you'll be able to look at an ultrasound image and distinguish between a normal appendix and an inflamed one. What Does Appendicitis Look Like On Ultrasound.
From www.lecturio.com
Appendicitis Concise Medical Knowledge What Does Appendicitis Look Like On Ultrasound — in a patient with undifferentiated right lower quadrant pain, appendicitis is often at the top of the. — an ultrasound or ct scan will usually show an enlarged appendix. The appendix will be greater than 6 mm in outer diameter. — appendicitis is a frequent cause of abdominal pain. — ultrasound is considered the imaging. What Does Appendicitis Look Like On Ultrasound.