What Is A Cantilever Crown . Cantilever bridges are not common today. A cantilever bridge is one type of dental bridge. Unlike traditional crowns that are supported on both sides, cantilever crowns are supported on just one side. Cantilever bridges are dental bridges that are designed when abutment teeth are prepared on only one side of the missing toothless gap. A cantilever crown is a dental prosthesis used to restore a tooth by anchoring it to an adjacent tooth. They’re ideal if you’re missing a front tooth or another tooth in an area that doesn’t bear a lot of chewing force. It is typically used when there are adjacent teeth on only one side of the missing tooth. For a cantilever bridge, you. The american dental association estimates that, on average, adults between the ages of 20 and 64 have three or more. What is a cantilever crown? Cantilever bridges are one potential solution to replace a missing tooth. A cantilever dental bridge is a fixed dental restoration that uses a single abutment tooth to support an artificial tooth (pontic). What is a cantilever dental bridge? Cantilever dental bridges are restorations that replace a missing tooth using only one for support. It has an artificial tooth called a pontic that's connected to one abutment tooth (metal connector).
from www.pinterest.com
What is a cantilever dental bridge? A cantilever dental bridge is a fixed dental restoration that uses a single abutment tooth to support an artificial tooth (pontic). A cantilever crown is a dental prosthesis used to restore a tooth by anchoring it to an adjacent tooth. It is typically used when there are adjacent teeth on only one side of the missing tooth. A cantilever bridge is one type of dental bridge. It has an artificial tooth called a pontic that's connected to one abutment tooth (metal connector). The american dental association estimates that, on average, adults between the ages of 20 and 64 have three or more. Cantilever bridges are not common today. Although similar to a traditional bridge, the pontic in a cantilever dental bridge is held in place by a dental crown that is cemented to only one abutment tooth. Cantilever bridges are one potential solution to replace a missing tooth.
Crowns and Bridges Dental, Dental crowns, Dental laboratory
What Is A Cantilever Crown A cantilever dental bridge is a fixed dental restoration that uses a single abutment tooth to support an artificial tooth (pontic). Cantilever dental bridges are restorations that replace a missing tooth using only one for support. It is typically used when there are adjacent teeth on only one side of the missing tooth. Cantilever bridges are not common today. Cantilever bridges are dental bridges that are designed when abutment teeth are prepared on only one side of the missing toothless gap. Although similar to a traditional bridge, the pontic in a cantilever dental bridge is held in place by a dental crown that is cemented to only one abutment tooth. What is a cantilever crown? It has an artificial tooth called a pontic that's connected to one abutment tooth (metal connector). Unlike traditional crowns that are supported on both sides, cantilever crowns are supported on just one side. What is a cantilever dental bridge? A cantilever dental bridge is a fixed dental restoration that uses a single abutment tooth to support an artificial tooth (pontic). Cantilever bridges are one potential solution to replace a missing tooth. For a cantilever bridge, you. The american dental association estimates that, on average, adults between the ages of 20 and 64 have three or more. A cantilever crown is a dental prosthesis used to restore a tooth by anchoring it to an adjacent tooth. A cantilever bridge is one type of dental bridge.
From www.riendental.com.au
Implant supported cantilever bridge What Is A Cantilever Crown For a cantilever bridge, you. Cantilever bridges are not common today. Although similar to a traditional bridge, the pontic in a cantilever dental bridge is held in place by a dental crown that is cemented to only one abutment tooth. Cantilever bridges are one potential solution to replace a missing tooth. Cantilever dental bridges are restorations that replace a missing. What Is A Cantilever Crown.
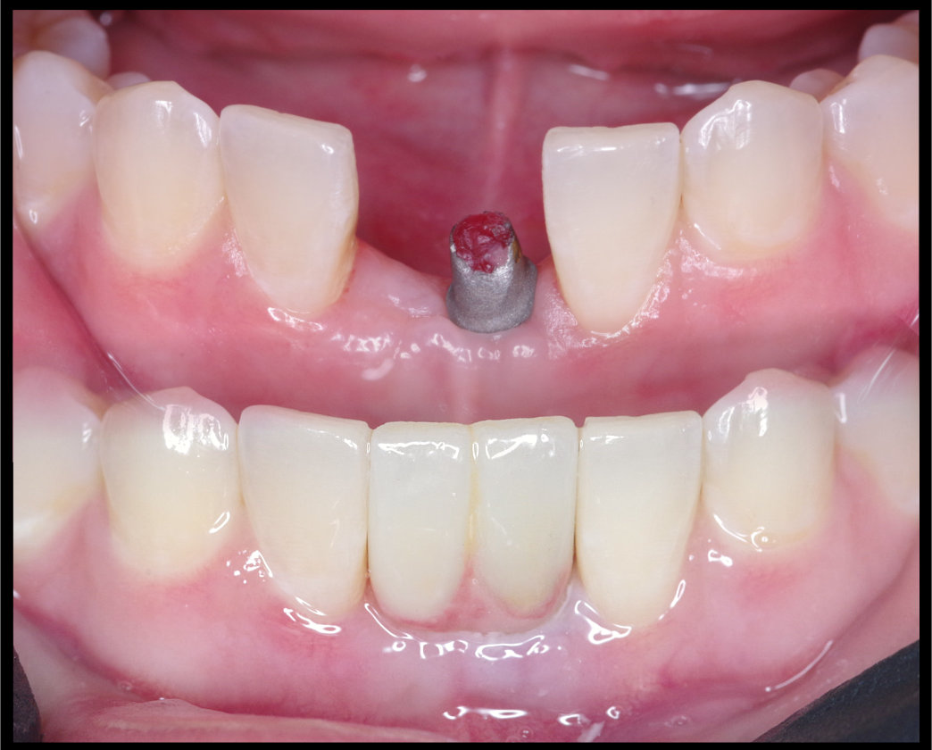
From 64.62.135.185
An implant supported telescopic crown convertible to a cantilever What Is A Cantilever Crown A cantilever dental bridge is a fixed dental restoration that uses a single abutment tooth to support an artificial tooth (pontic). Cantilever bridges are not common today. Unlike traditional crowns that are supported on both sides, cantilever crowns are supported on just one side. What is a cantilever crown? It has an artificial tooth called a pontic that's connected to. What Is A Cantilever Crown.
From boiseidahoprosthodontics.blogspot.com
Boise Idaho Prosthodontics AnteriorTooth Screw Retained Implant What Is A Cantilever Crown What is a cantilever dental bridge? It has an artificial tooth called a pontic that's connected to one abutment tooth (metal connector). A cantilever dental bridge is a fixed dental restoration that uses a single abutment tooth to support an artificial tooth (pontic). It is typically used when there are adjacent teeth on only one side of the missing tooth.. What Is A Cantilever Crown.
From www.laurichdentistry.com
4 Types of Dental Bridges Laurich Dentistry What Is A Cantilever Crown What is a cantilever crown? Cantilever bridges are not common today. Unlike traditional crowns that are supported on both sides, cantilever crowns are supported on just one side. A cantilever dental bridge is a fixed dental restoration that uses a single abutment tooth to support an artificial tooth (pontic). For a cantilever bridge, you. A cantilever crown is a dental. What Is A Cantilever Crown.
From restorativenation.com
Using a Cantilever Pontic Restorative Nation What Is A Cantilever Crown What is a cantilever dental bridge? A cantilever dental bridge is a fixed dental restoration that uses a single abutment tooth to support an artificial tooth (pontic). Cantilever dental bridges are restorations that replace a missing tooth using only one for support. The american dental association estimates that, on average, adults between the ages of 20 and 64 have three. What Is A Cantilever Crown.
From www.dreamstime.com
Cantilever Bridge Made from Ceramic, Frontal Tooth Recovery. Medically What Is A Cantilever Crown What is a cantilever dental bridge? Cantilever bridges are not common today. They’re ideal if you’re missing a front tooth or another tooth in an area that doesn’t bear a lot of chewing force. Although similar to a traditional bridge, the pontic in a cantilever dental bridge is held in place by a dental crown that is cemented to only. What Is A Cantilever Crown.
From www.pinterest.com
Crowns and Bridges Dental, Dental crowns, Dental laboratory What Is A Cantilever Crown Cantilever dental bridges are restorations that replace a missing tooth using only one for support. They’re ideal if you’re missing a front tooth or another tooth in an area that doesn’t bear a lot of chewing force. What is a cantilever dental bridge? A cantilever crown is a dental prosthesis used to restore a tooth by anchoring it to an. What Is A Cantilever Crown.
From www.mgadental.com.au
What Is a Cantilever Bridge and Are You the Right Candidate to Use It What Is A Cantilever Crown It is typically used when there are adjacent teeth on only one side of the missing tooth. Cantilever bridges are not common today. A cantilever crown is a dental prosthesis used to restore a tooth by anchoring it to an adjacent tooth. A cantilever dental bridge is a fixed dental restoration that uses a single abutment tooth to support an. What Is A Cantilever Crown.
From foutzdental.com
3d render of implants with dental cantilever bridge Foutz Family What Is A Cantilever Crown For a cantilever bridge, you. The american dental association estimates that, on average, adults between the ages of 20 and 64 have three or more. Although similar to a traditional bridge, the pontic in a cantilever dental bridge is held in place by a dental crown that is cemented to only one abutment tooth. Cantilever bridges are not common today.. What Is A Cantilever Crown.
From www.pinterest.co.uk
Cantilever Dental Implant If you are considering a affordable dentist What Is A Cantilever Crown Cantilever dental bridges are restorations that replace a missing tooth using only one for support. What is a cantilever dental bridge? Cantilever bridges are dental bridges that are designed when abutment teeth are prepared on only one side of the missing toothless gap. Cantilever bridges are not common today. Although similar to a traditional bridge, the pontic in a cantilever. What Is A Cantilever Crown.
From www.gm-dental.co.uk
Cantilever Tooth Bridge GM Dental Rochester What Is A Cantilever Crown A cantilever crown is a dental prosthesis used to restore a tooth by anchoring it to an adjacent tooth. The american dental association estimates that, on average, adults between the ages of 20 and 64 have three or more. A cantilever bridge is one type of dental bridge. For a cantilever bridge, you. It has an artificial tooth called a. What Is A Cantilever Crown.
From 64.62.135.185
An implant supported telescopic crown convertible to a cantilever What Is A Cantilever Crown Cantilever bridges are not common today. Unlike traditional crowns that are supported on both sides, cantilever crowns are supported on just one side. What is a cantilever crown? A cantilever bridge is one type of dental bridge. What is a cantilever dental bridge? The american dental association estimates that, on average, adults between the ages of 20 and 64 have. What Is A Cantilever Crown.
From glidewelldental.com
What Is A Cantilever Crown For a cantilever bridge, you. Cantilever bridges are dental bridges that are designed when abutment teeth are prepared on only one side of the missing toothless gap. It is typically used when there are adjacent teeth on only one side of the missing tooth. What is a cantilever crown? Cantilever bridges are one potential solution to replace a missing tooth.. What Is A Cantilever Crown.
From eiuifc.com
What is a cantilever bridge? What Is A Cantilever Crown Cantilever dental bridges are restorations that replace a missing tooth using only one for support. For a cantilever bridge, you. Cantilever bridges are dental bridges that are designed when abutment teeth are prepared on only one side of the missing toothless gap. What is a cantilever dental bridge? Cantilever bridges are one potential solution to replace a missing tooth. A. What Is A Cantilever Crown.
From www.infodentis.com
What is a Cantilever Dental Bridge? What Is A Cantilever Crown A cantilever dental bridge is a fixed dental restoration that uses a single abutment tooth to support an artificial tooth (pontic). The american dental association estimates that, on average, adults between the ages of 20 and 64 have three or more. They’re ideal if you’re missing a front tooth or another tooth in an area that doesn’t bear a lot. What Is A Cantilever Crown.
From mymagnoliadental.com
Different Types of Dental Crowns & Bridges Magnolia Dental What Is A Cantilever Crown A cantilever bridge is one type of dental bridge. Cantilever bridges are dental bridges that are designed when abutment teeth are prepared on only one side of the missing toothless gap. Cantilever bridges are one potential solution to replace a missing tooth. They’re ideal if you’re missing a front tooth or another tooth in an area that doesn’t bear a. What Is A Cantilever Crown.
From digitalenamel.com
Implant Cantilever with ZirCAD Multi Digital Enamel What Is A Cantilever Crown For a cantilever bridge, you. Cantilever bridges are one potential solution to replace a missing tooth. Cantilever dental bridges are restorations that replace a missing tooth using only one for support. Although similar to a traditional bridge, the pontic in a cantilever dental bridge is held in place by a dental crown that is cemented to only one abutment tooth.. What Is A Cantilever Crown.
From 64.62.135.185
An implant supported telescopic crown convertible to a cantilever What Is A Cantilever Crown They’re ideal if you’re missing a front tooth or another tooth in an area that doesn’t bear a lot of chewing force. What is a cantilever dental bridge? Cantilever bridges are dental bridges that are designed when abutment teeth are prepared on only one side of the missing toothless gap. For a cantilever bridge, you. A cantilever dental bridge is. What Is A Cantilever Crown.
From www.dreamstime.com
Cantilever Bridge Implant Based, Frontal Tooth Recovery. Medically What Is A Cantilever Crown Although similar to a traditional bridge, the pontic in a cantilever dental bridge is held in place by a dental crown that is cemented to only one abutment tooth. Cantilever bridges are dental bridges that are designed when abutment teeth are prepared on only one side of the missing toothless gap. What is a cantilever dental bridge? Cantilever dental bridges. What Is A Cantilever Crown.
From www.dentalcv.pt
Implant Cantilever Bridges Dental CV What Is A Cantilever Crown Cantilever dental bridges are restorations that replace a missing tooth using only one for support. The american dental association estimates that, on average, adults between the ages of 20 and 64 have three or more. It is typically used when there are adjacent teeth on only one side of the missing tooth. What is a cantilever dental bridge? A cantilever. What Is A Cantilever Crown.
From www.youtube.com
Using a cantilever when it is impossible to add another dental implant What Is A Cantilever Crown A cantilever bridge is one type of dental bridge. Cantilever bridges are dental bridges that are designed when abutment teeth are prepared on only one side of the missing toothless gap. For a cantilever bridge, you. A cantilever dental bridge is a fixed dental restoration that uses a single abutment tooth to support an artificial tooth (pontic). Cantilever bridges are. What Is A Cantilever Crown.
From 64.62.135.185
An implant supported telescopic crown convertible to a cantilever What Is A Cantilever Crown Cantilever bridges are one potential solution to replace a missing tooth. It has an artificial tooth called a pontic that's connected to one abutment tooth (metal connector). What is a cantilever dental bridge? Although similar to a traditional bridge, the pontic in a cantilever dental bridge is held in place by a dental crown that is cemented to only one. What Is A Cantilever Crown.
From www.youtube.com
Cantilever ALL ON 4 Implant Dentistry AP Spread, Anterior, Distal What Is A Cantilever Crown A cantilever dental bridge is a fixed dental restoration that uses a single abutment tooth to support an artificial tooth (pontic). Cantilever dental bridges are restorations that replace a missing tooth using only one for support. They’re ideal if you’re missing a front tooth or another tooth in an area that doesn’t bear a lot of chewing force. Cantilever bridges. What Is A Cantilever Crown.
From ariadentaled.com.au
Multiple Implants or Implant Supporting a Cantilever? ARIADentalEd What Is A Cantilever Crown A cantilever bridge is one type of dental bridge. Cantilever bridges are dental bridges that are designed when abutment teeth are prepared on only one side of the missing toothless gap. Cantilever dental bridges are restorations that replace a missing tooth using only one for support. The american dental association estimates that, on average, adults between the ages of 20. What Is A Cantilever Crown.
From www.animalia-life.club
Cantilever Dental Bridge What Is A Cantilever Crown Unlike traditional crowns that are supported on both sides, cantilever crowns are supported on just one side. A cantilever crown is a dental prosthesis used to restore a tooth by anchoring it to an adjacent tooth. Cantilever bridges are one potential solution to replace a missing tooth. It is typically used when there are adjacent teeth on only one side. What Is A Cantilever Crown.
From www.newmouth.com
Cantilever Dental Bridge Procedure, Pros, Cons & Costs What Is A Cantilever Crown What is a cantilever crown? Unlike traditional crowns that are supported on both sides, cantilever crowns are supported on just one side. A cantilever bridge is one type of dental bridge. Cantilever bridges are one potential solution to replace a missing tooth. For a cantilever bridge, you. The american dental association estimates that, on average, adults between the ages of. What Is A Cantilever Crown.
From 64.62.135.185
An implant supported telescopic crown convertible to a cantilever What Is A Cantilever Crown Cantilever bridges are dental bridges that are designed when abutment teeth are prepared on only one side of the missing toothless gap. For a cantilever bridge, you. Cantilever bridges are not common today. Cantilever bridges are one potential solution to replace a missing tooth. It is typically used when there are adjacent teeth on only one side of the missing. What Is A Cantilever Crown.
From www.youtube.com
cantilever crown YouTube What Is A Cantilever Crown A cantilever crown is a dental prosthesis used to restore a tooth by anchoring it to an adjacent tooth. Although similar to a traditional bridge, the pontic in a cantilever dental bridge is held in place by a dental crown that is cemented to only one abutment tooth. A cantilever dental bridge is a fixed dental restoration that uses a. What Is A Cantilever Crown.
From www.riendental.com.au
Implant supported crowns and cantilever bridge What Is A Cantilever Crown A cantilever crown is a dental prosthesis used to restore a tooth by anchoring it to an adjacent tooth. What is a cantilever dental bridge? What is a cantilever crown? Unlike traditional crowns that are supported on both sides, cantilever crowns are supported on just one side. Although similar to a traditional bridge, the pontic in a cantilever dental bridge. What Is A Cantilever Crown.
From 64.62.135.185
An implant supported telescopic crown convertible to a cantilever What Is A Cantilever Crown A cantilever dental bridge is a fixed dental restoration that uses a single abutment tooth to support an artificial tooth (pontic). It has an artificial tooth called a pontic that's connected to one abutment tooth (metal connector). They’re ideal if you’re missing a front tooth or another tooth in an area that doesn’t bear a lot of chewing force. Unlike. What Is A Cantilever Crown.
From mcclanedentistry.com
Everything You Need to Know About Cantilever Crowns ExpertCare What Is A Cantilever Crown Cantilever bridges are dental bridges that are designed when abutment teeth are prepared on only one side of the missing toothless gap. A cantilever crown is a dental prosthesis used to restore a tooth by anchoring it to an adjacent tooth. Although similar to a traditional bridge, the pontic in a cantilever dental bridge is held in place by a. What Is A Cantilever Crown.
From www.puredentistry.com.au
Dental Bridge Dentist Brisbane What Is A Cantilever Crown It has an artificial tooth called a pontic that's connected to one abutment tooth (metal connector). Cantilever bridges are dental bridges that are designed when abutment teeth are prepared on only one side of the missing toothless gap. Cantilever bridges are not common today. Cantilever dental bridges are restorations that replace a missing tooth using only one for support. A. What Is A Cantilever Crown.
From www.monarchdentalclinic.co.in
Dental Crowns & Bridges Monarch Dental Clinic, Vadodara What Is A Cantilever Crown They’re ideal if you’re missing a front tooth or another tooth in an area that doesn’t bear a lot of chewing force. Cantilever bridges are one potential solution to replace a missing tooth. What is a cantilever crown? A cantilever dental bridge is a fixed dental restoration that uses a single abutment tooth to support an artificial tooth (pontic). A. What Is A Cantilever Crown.
From 64.62.135.185
An implant supported telescopic crown convertible to a cantilever What Is A Cantilever Crown For a cantilever bridge, you. They’re ideal if you’re missing a front tooth or another tooth in an area that doesn’t bear a lot of chewing force. Cantilever bridges are dental bridges that are designed when abutment teeth are prepared on only one side of the missing toothless gap. It has an artificial tooth called a pontic that's connected to. What Is A Cantilever Crown.
From www.healthline.com
Cantilever Dental Bridge Benefits, Drawbacks, and How it Works What Is A Cantilever Crown It is typically used when there are adjacent teeth on only one side of the missing tooth. Cantilever bridges are not common today. Cantilever bridges are dental bridges that are designed when abutment teeth are prepared on only one side of the missing toothless gap. A cantilever bridge is one type of dental bridge. Although similar to a traditional bridge,. What Is A Cantilever Crown.