Chip Fracture Definition . An avulsion fracture happens when a piece of bone attached to a tendon or ligament gets pulled away from the main part of the bone. An avulsion fracture occurs when a small chunk of bone attached to a tendon or ligament gets pulled away from the main part of. Avulsion injuries or fractures occur where the joint capsule, ligament, tendon or muscle attachment site is pulled off from the bone, usually taking a fragment of cortical bone. This usually results from an accident or. Bei chipfrakturen handelt sich um kleinere knöcherne absprengungen (chips) der dorsalen fläche des triquetrums. An avulsion fracture happens when a ligament or tendon pulls away a small piece of a bone.
from james-mccormack.com
An avulsion fracture occurs when a small chunk of bone attached to a tendon or ligament gets pulled away from the main part of. This usually results from an accident or. An avulsion fracture happens when a piece of bone attached to a tendon or ligament gets pulled away from the main part of the bone. An avulsion fracture happens when a ligament or tendon pulls away a small piece of a bone. Avulsion injuries or fractures occur where the joint capsule, ligament, tendon or muscle attachment site is pulled off from the bone, usually taking a fragment of cortical bone. Bei chipfrakturen handelt sich um kleinere knöcherne absprengungen (chips) der dorsalen fläche des triquetrums.
Tibial Plateau Fracture Classification and Treatment
Chip Fracture Definition Avulsion injuries or fractures occur where the joint capsule, ligament, tendon or muscle attachment site is pulled off from the bone, usually taking a fragment of cortical bone. Bei chipfrakturen handelt sich um kleinere knöcherne absprengungen (chips) der dorsalen fläche des triquetrums. An avulsion fracture happens when a ligament or tendon pulls away a small piece of a bone. An avulsion fracture occurs when a small chunk of bone attached to a tendon or ligament gets pulled away from the main part of. This usually results from an accident or. Avulsion injuries or fractures occur where the joint capsule, ligament, tendon or muscle attachment site is pulled off from the bone, usually taking a fragment of cortical bone. An avulsion fracture happens when a piece of bone attached to a tendon or ligament gets pulled away from the main part of the bone.
From mavink.com
Complete Fracture Diagram Chip Fracture Definition An avulsion fracture happens when a piece of bone attached to a tendon or ligament gets pulled away from the main part of the bone. An avulsion fracture happens when a ligament or tendon pulls away a small piece of a bone. This usually results from an accident or. An avulsion fracture occurs when a small chunk of bone attached. Chip Fracture Definition.
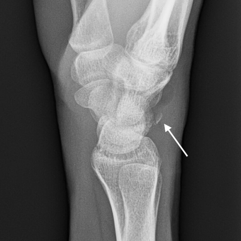
From horsesidevetguide.com
Fracture of Carpal Bone Chip & Slab Horse Side Vet Guide Chip Fracture Definition An avulsion fracture happens when a piece of bone attached to a tendon or ligament gets pulled away from the main part of the bone. Avulsion injuries or fractures occur where the joint capsule, ligament, tendon or muscle attachment site is pulled off from the bone, usually taking a fragment of cortical bone. An avulsion fracture occurs when a small. Chip Fracture Definition.
From www.lybrate.com
Fracture Causes, Symptoms, Treatment and Cost Chip Fracture Definition Avulsion injuries or fractures occur where the joint capsule, ligament, tendon or muscle attachment site is pulled off from the bone, usually taking a fragment of cortical bone. An avulsion fracture happens when a piece of bone attached to a tendon or ligament gets pulled away from the main part of the bone. An avulsion fracture happens when a ligament. Chip Fracture Definition.
From www.semanticscholar.org
chip fracture Semantic Scholar Chip Fracture Definition An avulsion fracture happens when a ligament or tendon pulls away a small piece of a bone. Avulsion injuries or fractures occur where the joint capsule, ligament, tendon or muscle attachment site is pulled off from the bone, usually taking a fragment of cortical bone. An avulsion fracture happens when a piece of bone attached to a tendon or ligament. Chip Fracture Definition.
From drmmanjra.co.za
7 Types Of Bone Fractures Orthopaedic Surgeon Durban Chip Fracture Definition Avulsion injuries or fractures occur where the joint capsule, ligament, tendon or muscle attachment site is pulled off from the bone, usually taking a fragment of cortical bone. Bei chipfrakturen handelt sich um kleinere knöcherne absprengungen (chips) der dorsalen fläche des triquetrums. An avulsion fracture happens when a piece of bone attached to a tendon or ligament gets pulled away. Chip Fracture Definition.
From casereports.bmj.com
Simultaneous bilateral triquetral fractures, acquired in two separate Chip Fracture Definition This usually results from an accident or. Bei chipfrakturen handelt sich um kleinere knöcherne absprengungen (chips) der dorsalen fläche des triquetrums. An avulsion fracture occurs when a small chunk of bone attached to a tendon or ligament gets pulled away from the main part of. An avulsion fracture happens when a ligament or tendon pulls away a small piece of. Chip Fracture Definition.
From uniclinic.com.my
Chip Fracture of Left Tibia Tuberosity UNI CLINIC Chip Fracture Definition Bei chipfrakturen handelt sich um kleinere knöcherne absprengungen (chips) der dorsalen fläche des triquetrums. Avulsion injuries or fractures occur where the joint capsule, ligament, tendon or muscle attachment site is pulled off from the bone, usually taking a fragment of cortical bone. An avulsion fracture occurs when a small chunk of bone attached to a tendon or ligament gets pulled. Chip Fracture Definition.
From www.semanticscholar.org
Figure 1 from TFCC Injury Associated with the Triquetral Dorsal Chip Chip Fracture Definition An avulsion fracture happens when a piece of bone attached to a tendon or ligament gets pulled away from the main part of the bone. An avulsion fracture occurs when a small chunk of bone attached to a tendon or ligament gets pulled away from the main part of. Avulsion injuries or fractures occur where the joint capsule, ligament, tendon. Chip Fracture Definition.
From www.handtherapyacademy.com
Different types of distal radius fractures seen in the hand therapy clinic Chip Fracture Definition An avulsion fracture occurs when a small chunk of bone attached to a tendon or ligament gets pulled away from the main part of. This usually results from an accident or. Avulsion injuries or fractures occur where the joint capsule, ligament, tendon or muscle attachment site is pulled off from the bone, usually taking a fragment of cortical bone. An. Chip Fracture Definition.
From james-mccormack.com
Tibial Plateau Fracture Classification and Treatment Chip Fracture Definition An avulsion fracture happens when a ligament or tendon pulls away a small piece of a bone. An avulsion fracture occurs when a small chunk of bone attached to a tendon or ligament gets pulled away from the main part of. An avulsion fracture happens when a piece of bone attached to a tendon or ligament gets pulled away from. Chip Fracture Definition.
From mavink.com
Complete Fracture Diagram Chip Fracture Definition Bei chipfrakturen handelt sich um kleinere knöcherne absprengungen (chips) der dorsalen fläche des triquetrums. An avulsion fracture occurs when a small chunk of bone attached to a tendon or ligament gets pulled away from the main part of. This usually results from an accident or. An avulsion fracture happens when a piece of bone attached to a tendon or ligament. Chip Fracture Definition.
From my.clevelandclinic.org
Avulsion Fracture What It Is, Causes, Symptoms, Treatment & Recovery Chip Fracture Definition Bei chipfrakturen handelt sich um kleinere knöcherne absprengungen (chips) der dorsalen fläche des triquetrums. An avulsion fracture happens when a ligament or tendon pulls away a small piece of a bone. An avulsion fracture occurs when a small chunk of bone attached to a tendon or ligament gets pulled away from the main part of. An avulsion fracture happens when. Chip Fracture Definition.
From emergencymedicinecases.com
Carpal Bone Injuries The Big 4 Emergency Medicine Cases Chip Fracture Definition An avulsion fracture occurs when a small chunk of bone attached to a tendon or ligament gets pulled away from the main part of. Bei chipfrakturen handelt sich um kleinere knöcherne absprengungen (chips) der dorsalen fläche des triquetrums. An avulsion fracture happens when a piece of bone attached to a tendon or ligament gets pulled away from the main part. Chip Fracture Definition.
From healthpathy.com
Classification of Fracture definition, sign and symptom medical notes Chip Fracture Definition Avulsion injuries or fractures occur where the joint capsule, ligament, tendon or muscle attachment site is pulled off from the bone, usually taking a fragment of cortical bone. Bei chipfrakturen handelt sich um kleinere knöcherne absprengungen (chips) der dorsalen fläche des triquetrums. An avulsion fracture happens when a piece of bone attached to a tendon or ligament gets pulled away. Chip Fracture Definition.
From fracturesandbonehealing.blogspot.com
Chip Bone Fracture Treatment Surgery Chip Bone Recovery Chip Fracture Definition Avulsion injuries or fractures occur where the joint capsule, ligament, tendon or muscle attachment site is pulled off from the bone, usually taking a fragment of cortical bone. An avulsion fracture happens when a ligament or tendon pulls away a small piece of a bone. This usually results from an accident or. An avulsion fracture happens when a piece of. Chip Fracture Definition.
From mungfali.com
Different Types Of Fractures Chip Fracture Definition Avulsion injuries or fractures occur where the joint capsule, ligament, tendon or muscle attachment site is pulled off from the bone, usually taking a fragment of cortical bone. An avulsion fracture happens when a ligament or tendon pulls away a small piece of a bone. This usually results from an accident or. Bei chipfrakturen handelt sich um kleinere knöcherne absprengungen. Chip Fracture Definition.
From healthjade.net
Tibial shaft fracture causes, types, symptoms, diagnosis, treatment Chip Fracture Definition An avulsion fracture occurs when a small chunk of bone attached to a tendon or ligament gets pulled away from the main part of. This usually results from an accident or. Bei chipfrakturen handelt sich um kleinere knöcherne absprengungen (chips) der dorsalen fläche des triquetrums. An avulsion fracture happens when a piece of bone attached to a tendon or ligament. Chip Fracture Definition.
From www.youtube.com
introduction of fracture , what is fracture?, definition of fracture Chip Fracture Definition An avulsion fracture occurs when a small chunk of bone attached to a tendon or ligament gets pulled away from the main part of. Avulsion injuries or fractures occur where the joint capsule, ligament, tendon or muscle attachment site is pulled off from the bone, usually taking a fragment of cortical bone. An avulsion fracture happens when a piece of. Chip Fracture Definition.
From drmmanjra.co.za
7 Types Of Bone Fractures Orthopaedic Surgeon Durban Chip Fracture Definition An avulsion fracture occurs when a small chunk of bone attached to a tendon or ligament gets pulled away from the main part of. Avulsion injuries or fractures occur where the joint capsule, ligament, tendon or muscle attachment site is pulled off from the bone, usually taking a fragment of cortical bone. Bei chipfrakturen handelt sich um kleinere knöcherne absprengungen. Chip Fracture Definition.
From www.researchgate.net
Definition of fracture severity code and proposed simplification. The Chip Fracture Definition This usually results from an accident or. An avulsion fracture happens when a piece of bone attached to a tendon or ligament gets pulled away from the main part of the bone. Bei chipfrakturen handelt sich um kleinere knöcherne absprengungen (chips) der dorsalen fläche des triquetrums. Avulsion injuries or fractures occur where the joint capsule, ligament, tendon or muscle attachment. Chip Fracture Definition.
From www.medicalnewstoday.com
Avulsion fracture Treatment, types, recovery time, and causes Chip Fracture Definition Bei chipfrakturen handelt sich um kleinere knöcherne absprengungen (chips) der dorsalen fläche des triquetrums. This usually results from an accident or. An avulsion fracture happens when a piece of bone attached to a tendon or ligament gets pulled away from the main part of the bone. An avulsion fracture happens when a ligament or tendon pulls away a small piece. Chip Fracture Definition.
From www.slideserve.com
PPT Orthopedics & Fractures PowerPoint Presentation, free download Chip Fracture Definition This usually results from an accident or. Bei chipfrakturen handelt sich um kleinere knöcherne absprengungen (chips) der dorsalen fläche des triquetrums. An avulsion fracture happens when a ligament or tendon pulls away a small piece of a bone. An avulsion fracture occurs when a small chunk of bone attached to a tendon or ligament gets pulled away from the main. Chip Fracture Definition.
From www.researchgate.net
An AP view radiograph of the right wrist showing collapsed capitate Chip Fracture Definition This usually results from an accident or. Bei chipfrakturen handelt sich um kleinere knöcherne absprengungen (chips) der dorsalen fläche des triquetrums. An avulsion fracture happens when a piece of bone attached to a tendon or ligament gets pulled away from the main part of the bone. An avulsion fracture occurs when a small chunk of bone attached to a tendon. Chip Fracture Definition.
From drmmanjra.co.za
7 Types Of Bone Fractures Orthopaedic Surgeon Durban Chip Fracture Definition This usually results from an accident or. An avulsion fracture happens when a piece of bone attached to a tendon or ligament gets pulled away from the main part of the bone. An avulsion fracture happens when a ligament or tendon pulls away a small piece of a bone. Avulsion injuries or fractures occur where the joint capsule, ligament, tendon. Chip Fracture Definition.
From www.tpsearchtool.com
Different Types Of Fractures A Simple Classification Of Fractures Images Chip Fracture Definition An avulsion fracture happens when a piece of bone attached to a tendon or ligament gets pulled away from the main part of the bone. Avulsion injuries or fractures occur where the joint capsule, ligament, tendon or muscle attachment site is pulled off from the bone, usually taking a fragment of cortical bone. Bei chipfrakturen handelt sich um kleinere knöcherne. Chip Fracture Definition.
From www.emed.theclinics.com
The Emergent Evaluation and Treatment of Hand and Wrist Injuries Chip Fracture Definition Bei chipfrakturen handelt sich um kleinere knöcherne absprengungen (chips) der dorsalen fläche des triquetrums. An avulsion fracture occurs when a small chunk of bone attached to a tendon or ligament gets pulled away from the main part of. Avulsion injuries or fractures occur where the joint capsule, ligament, tendon or muscle attachment site is pulled off from the bone, usually. Chip Fracture Definition.
From www.researchgate.net
Illustration of two material removal chipping mechanisms (a) Gradual Chip Fracture Definition Bei chipfrakturen handelt sich um kleinere knöcherne absprengungen (chips) der dorsalen fläche des triquetrums. An avulsion fracture occurs when a small chunk of bone attached to a tendon or ligament gets pulled away from the main part of. An avulsion fracture happens when a ligament or tendon pulls away a small piece of a bone. This usually results from an. Chip Fracture Definition.
From www.youtube.com
5Chip fracture of the 1st phalanx in the fetlock joint YouTube Chip Fracture Definition An avulsion fracture occurs when a small chunk of bone attached to a tendon or ligament gets pulled away from the main part of. An avulsion fracture happens when a ligament or tendon pulls away a small piece of a bone. Bei chipfrakturen handelt sich um kleinere knöcherne absprengungen (chips) der dorsalen fläche des triquetrums. Avulsion injuries or fractures occur. Chip Fracture Definition.
From www.researchgate.net
Extraarticular avulsion (type 1A) included both chip bone avulsion (a Chip Fracture Definition This usually results from an accident or. Bei chipfrakturen handelt sich um kleinere knöcherne absprengungen (chips) der dorsalen fläche des triquetrums. Avulsion injuries or fractures occur where the joint capsule, ligament, tendon or muscle attachment site is pulled off from the bone, usually taking a fragment of cortical bone. An avulsion fracture occurs when a small chunk of bone attached. Chip Fracture Definition.
From hyloic.blog
Transverse fracture symptoms, causes and treatment (2023) Chip Fracture Definition An avulsion fracture occurs when a small chunk of bone attached to a tendon or ligament gets pulled away from the main part of. Avulsion injuries or fractures occur where the joint capsule, ligament, tendon or muscle attachment site is pulled off from the bone, usually taking a fragment of cortical bone. An avulsion fracture happens when a ligament or. Chip Fracture Definition.
From uniclinic.com.my
Chip Fracture of Right 2nd Proximal Phalanx UNI CLINIC Chip Fracture Definition Bei chipfrakturen handelt sich um kleinere knöcherne absprengungen (chips) der dorsalen fläche des triquetrums. An avulsion fracture occurs when a small chunk of bone attached to a tendon or ligament gets pulled away from the main part of. An avulsion fracture happens when a ligament or tendon pulls away a small piece of a bone. Avulsion injuries or fractures occur. Chip Fracture Definition.
From www.ortho-teaching.feinberg.northwestern.edu
Wrist Case 2 ED Management Orthopedic Teaching Feinberg School of Chip Fracture Definition An avulsion fracture happens when a piece of bone attached to a tendon or ligament gets pulled away from the main part of the bone. An avulsion fracture occurs when a small chunk of bone attached to a tendon or ligament gets pulled away from the main part of. This usually results from an accident or. Bei chipfrakturen handelt sich. Chip Fracture Definition.
From answers.yahoo.com
ankle avulsion fracture? Yahoo Answers Chip Fracture Definition An avulsion fracture occurs when a small chunk of bone attached to a tendon or ligament gets pulled away from the main part of. An avulsion fracture happens when a ligament or tendon pulls away a small piece of a bone. Bei chipfrakturen handelt sich um kleinere knöcherne absprengungen (chips) der dorsalen fläche des triquetrums. This usually results from an. Chip Fracture Definition.
From www.slideserve.com
PPT Orthopedics & Fractures PowerPoint Presentation, free download Chip Fracture Definition An avulsion fracture occurs when a small chunk of bone attached to a tendon or ligament gets pulled away from the main part of. This usually results from an accident or. Bei chipfrakturen handelt sich um kleinere knöcherne absprengungen (chips) der dorsalen fläche des triquetrums. An avulsion fracture happens when a ligament or tendon pulls away a small piece of. Chip Fracture Definition.
From www.slideserve.com
PPT Equine Imaging PowerPoint Presentation, free download ID273968 Chip Fracture Definition Bei chipfrakturen handelt sich um kleinere knöcherne absprengungen (chips) der dorsalen fläche des triquetrums. An avulsion fracture happens when a piece of bone attached to a tendon or ligament gets pulled away from the main part of the bone. This usually results from an accident or. An avulsion fracture happens when a ligament or tendon pulls away a small piece. Chip Fracture Definition.