What S Reactive Lymphocytes . 1 one small typical lymphocyte in the left image. In the center image is one that’s larger and more plasmacytoid appearing. Learn what blood tests can show about lymphocyte. So, their presence is a strong. Lymphocytes are a type of white blood cell. “that’s the major feature you’re looking for,” he said, noting in fig. Lymphocytes that come from more than one cell are considered “reactive,” so they typically point to an infection. Reactive lymphocytes are lymphocytes that are actively working against some foreign invader (ex., virus). For reactive lymphocytosis, there is a wide range of lymphocyte morphologies within a given blood smear. Lymphocytes are a type of white blood cell produced in the bone marrow. They help your body’s immune system fight cancer and foreign viruses and bacteria.
from www.researchgate.net
Lymphocytes are a type of white blood cell. In the center image is one that’s larger and more plasmacytoid appearing. Learn what blood tests can show about lymphocyte. 1 one small typical lymphocyte in the left image. So, their presence is a strong. “that’s the major feature you’re looking for,” he said, noting in fig. They help your body’s immune system fight cancer and foreign viruses and bacteria. Lymphocytes that come from more than one cell are considered “reactive,” so they typically point to an infection. For reactive lymphocytosis, there is a wide range of lymphocyte morphologies within a given blood smear. Lymphocytes are a type of white blood cell produced in the bone marrow.
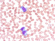
a Reactive lymphocytosis in an effusion showing small monomorphous
What S Reactive Lymphocytes For reactive lymphocytosis, there is a wide range of lymphocyte morphologies within a given blood smear. 1 one small typical lymphocyte in the left image. Lymphocytes that come from more than one cell are considered “reactive,” so they typically point to an infection. In the center image is one that’s larger and more plasmacytoid appearing. They help your body’s immune system fight cancer and foreign viruses and bacteria. For reactive lymphocytosis, there is a wide range of lymphocyte morphologies within a given blood smear. So, their presence is a strong. Reactive lymphocytes are lymphocytes that are actively working against some foreign invader (ex., virus). Learn what blood tests can show about lymphocyte. Lymphocytes are a type of white blood cell produced in the bone marrow. “that’s the major feature you’re looking for,” he said, noting in fig. Lymphocytes are a type of white blood cell.
From www.visiblebody.com
Lymphatic Immunity What S Reactive Lymphocytes 1 one small typical lymphocyte in the left image. In the center image is one that’s larger and more plasmacytoid appearing. Learn what blood tests can show about lymphocyte. Lymphocytes are a type of white blood cell. So, their presence is a strong. Lymphocytes that come from more than one cell are considered “reactive,” so they typically point to an. What S Reactive Lymphocytes.
From www.flickr.com
Reactive Lymphocytes in Peripheral Blood, Infectious Monon… Flickr What S Reactive Lymphocytes They help your body’s immune system fight cancer and foreign viruses and bacteria. So, their presence is a strong. 1 one small typical lymphocyte in the left image. Learn what blood tests can show about lymphocyte. “that’s the major feature you’re looking for,” he said, noting in fig. Reactive lymphocytes are lymphocytes that are actively working against some foreign invader. What S Reactive Lymphocytes.
From www.mdpi.com
Classifying Microscopic Images of Reactive Lymphocytosis Using TwoStep What S Reactive Lymphocytes They help your body’s immune system fight cancer and foreign viruses and bacteria. For reactive lymphocytosis, there is a wide range of lymphocyte morphologies within a given blood smear. “that’s the major feature you’re looking for,” he said, noting in fig. Lymphocytes are a type of white blood cell produced in the bone marrow. So, their presence is a strong.. What S Reactive Lymphocytes.
From eclinpath.com
Reactive lymphocytes eClinpath What S Reactive Lymphocytes “that’s the major feature you’re looking for,” he said, noting in fig. For reactive lymphocytosis, there is a wide range of lymphocyte morphologies within a given blood smear. Learn what blood tests can show about lymphocyte. 1 one small typical lymphocyte in the left image. Lymphocytes are a type of white blood cell produced in the bone marrow. Reactive lymphocytes. What S Reactive Lymphocytes.
From vetclinpathimages.com
Reactive Lymphocytes Cells and Smears What S Reactive Lymphocytes In the center image is one that’s larger and more plasmacytoid appearing. Lymphocytes are a type of white blood cell. They help your body’s immune system fight cancer and foreign viruses and bacteria. Lymphocytes that come from more than one cell are considered “reactive,” so they typically point to an infection. So, their presence is a strong. 1 one small. What S Reactive Lymphocytes.
From onlinelibrary.wiley.com
Leukocytosis Chabot‐Richards 2014 International Journal of What S Reactive Lymphocytes Learn what blood tests can show about lymphocyte. Reactive lymphocytes are lymphocytes that are actively working against some foreign invader (ex., virus). Lymphocytes are a type of white blood cell produced in the bone marrow. Lymphocytes that come from more than one cell are considered “reactive,” so they typically point to an infection. They help your body’s immune system fight. What S Reactive Lymphocytes.
From www.researchgate.net
a Reactive lymphocytosis in an effusion showing small monomorphous What S Reactive Lymphocytes They help your body’s immune system fight cancer and foreign viruses and bacteria. Lymphocytes are a type of white blood cell produced in the bone marrow. 1 one small typical lymphocyte in the left image. Learn what blood tests can show about lymphocyte. So, their presence is a strong. In the center image is one that’s larger and more plasmacytoid. What S Reactive Lymphocytes.
From www.shutterstock.com
Atypical Lymphocyte Reactive Lymphocyte Blood Smear Stock Photo What S Reactive Lymphocytes 1 one small typical lymphocyte in the left image. They help your body’s immune system fight cancer and foreign viruses and bacteria. For reactive lymphocytosis, there is a wide range of lymphocyte morphologies within a given blood smear. “that’s the major feature you’re looking for,” he said, noting in fig. In the center image is one that’s larger and more. What S Reactive Lymphocytes.
From era.library.ualberta.ca
Reactive Lymphocyte 1 ERA What S Reactive Lymphocytes In the center image is one that’s larger and more plasmacytoid appearing. Lymphocytes are a type of white blood cell. Lymphocytes that come from more than one cell are considered “reactive,” so they typically point to an infection. For reactive lymphocytosis, there is a wide range of lymphocyte morphologies within a given blood smear. They help your body’s immune system. What S Reactive Lymphocytes.
From vetclinpathimages.com
Reactive Lymphocytes Cells and Smears What S Reactive Lymphocytes In the center image is one that’s larger and more plasmacytoid appearing. Lymphocytes are a type of white blood cell produced in the bone marrow. “that’s the major feature you’re looking for,” he said, noting in fig. They help your body’s immune system fight cancer and foreign viruses and bacteria. Learn what blood tests can show about lymphocyte. Reactive lymphocytes. What S Reactive Lymphocytes.
From ar.inspiredpencil.com
Reactive Lymphocytes Vs Monocytes What S Reactive Lymphocytes Lymphocytes are a type of white blood cell produced in the bone marrow. For reactive lymphocytosis, there is a wide range of lymphocyte morphologies within a given blood smear. In the center image is one that’s larger and more plasmacytoid appearing. Lymphocytes that come from more than one cell are considered “reactive,” so they typically point to an infection. Lymphocytes. What S Reactive Lymphocytes.
From justicekruwcalderon.blogspot.com
Produces Lymphocytes and Monocytes and Other Blood Cells What S Reactive Lymphocytes Lymphocytes that come from more than one cell are considered “reactive,” so they typically point to an infection. 1 one small typical lymphocyte in the left image. So, their presence is a strong. In the center image is one that’s larger and more plasmacytoid appearing. Reactive lymphocytes are lymphocytes that are actively working against some foreign invader (ex., virus). For. What S Reactive Lymphocytes.
From imagebank.hematology.org
Reactive lymphocytes 1. What S Reactive Lymphocytes For reactive lymphocytosis, there is a wide range of lymphocyte morphologies within a given blood smear. Reactive lymphocytes are lymphocytes that are actively working against some foreign invader (ex., virus). “that’s the major feature you’re looking for,” he said, noting in fig. Lymphocytes are a type of white blood cell produced in the bone marrow. Learn what blood tests can. What S Reactive Lymphocytes.
From www.alamy.com
Lymphocytes above the normal range in the blood. Lymphocytosis. Vector What S Reactive Lymphocytes Lymphocytes that come from more than one cell are considered “reactive,” so they typically point to an infection. Reactive lymphocytes are lymphocytes that are actively working against some foreign invader (ex., virus). “that’s the major feature you’re looking for,” he said, noting in fig. They help your body’s immune system fight cancer and foreign viruses and bacteria. Lymphocytes are a. What S Reactive Lymphocytes.
From www.ncbi.nlm.nih.gov
[Figure, Reactive Lymphocytes, Morphology, Infectious Mononucleosis What S Reactive Lymphocytes Lymphocytes are a type of white blood cell. Learn what blood tests can show about lymphocyte. For reactive lymphocytosis, there is a wide range of lymphocyte morphologies within a given blood smear. They help your body’s immune system fight cancer and foreign viruses and bacteria. Reactive lymphocytes are lymphocytes that are actively working against some foreign invader (ex., virus). So,. What S Reactive Lymphocytes.
From imagebank.hematology.org
Reactive lymphocyte What S Reactive Lymphocytes Lymphocytes are a type of white blood cell. “that’s the major feature you’re looking for,” he said, noting in fig. Lymphocytes are a type of white blood cell produced in the bone marrow. So, their presence is a strong. Learn what blood tests can show about lymphocyte. For reactive lymphocytosis, there is a wide range of lymphocyte morphologies within a. What S Reactive Lymphocytes.
From textbookhaematology4medical-scientist.blogspot.com
Haematology in a NutShell Reactive/Atypical Lymphocytes What S Reactive Lymphocytes Lymphocytes that come from more than one cell are considered “reactive,” so they typically point to an infection. “that’s the major feature you’re looking for,” he said, noting in fig. Learn what blood tests can show about lymphocyte. In the center image is one that’s larger and more plasmacytoid appearing. Reactive lymphocytes are lymphocytes that are actively working against some. What S Reactive Lymphocytes.
From www.researchgate.net
Lymphoma (a), blast (b), lymphocyte (c) and other cell (d). Download What S Reactive Lymphocytes Learn what blood tests can show about lymphocyte. Lymphocytes are a type of white blood cell produced in the bone marrow. Lymphocytes that come from more than one cell are considered “reactive,” so they typically point to an infection. In the center image is one that’s larger and more plasmacytoid appearing. “that’s the major feature you’re looking for,” he said,. What S Reactive Lymphocytes.
From www.gettyimages.com
Atypical Or Reactive Lymphocytes Are Lymphocytes That As A Re HighRes What S Reactive Lymphocytes In the center image is one that’s larger and more plasmacytoid appearing. They help your body’s immune system fight cancer and foreign viruses and bacteria. For reactive lymphocytosis, there is a wide range of lymphocyte morphologies within a given blood smear. Lymphocytes are a type of white blood cell produced in the bone marrow. So, their presence is a strong.. What S Reactive Lymphocytes.
From www.pinterest.co.uk
Monocyte Cell is larger Lower N/C ratio Finer nuclear chromatin What S Reactive Lymphocytes They help your body’s immune system fight cancer and foreign viruses and bacteria. 1 one small typical lymphocyte in the left image. In the center image is one that’s larger and more plasmacytoid appearing. So, their presence is a strong. Lymphocytes are a type of white blood cell produced in the bone marrow. Reactive lymphocytes are lymphocytes that are actively. What S Reactive Lymphocytes.
From jaxxmcgregor.blogspot.com
Atypical Lymphocytes Atypical Or Reactive Lymphocytes Are Lymphocytes What S Reactive Lymphocytes Lymphocytes that come from more than one cell are considered “reactive,” so they typically point to an infection. In the center image is one that’s larger and more plasmacytoid appearing. Reactive lymphocytes are lymphocytes that are actively working against some foreign invader (ex., virus). For reactive lymphocytosis, there is a wide range of lymphocyte morphologies within a given blood smear.. What S Reactive Lymphocytes.
From medschool.co
Lymphocytes Blood Film MedSchool What S Reactive Lymphocytes Learn what blood tests can show about lymphocyte. In the center image is one that’s larger and more plasmacytoid appearing. Lymphocytes that come from more than one cell are considered “reactive,” so they typically point to an infection. Lymphocytes are a type of white blood cell. Reactive lymphocytes are lymphocytes that are actively working against some foreign invader (ex., virus).. What S Reactive Lymphocytes.
From jaxxmcgregor.blogspot.com
Atypical Lymphocytes Atypical Or Reactive Lymphocytes Are Lymphocytes What S Reactive Lymphocytes Lymphocytes that come from more than one cell are considered “reactive,” so they typically point to an infection. Lymphocytes are a type of white blood cell produced in the bone marrow. For reactive lymphocytosis, there is a wide range of lymphocyte morphologies within a given blood smear. 1 one small typical lymphocyte in the left image. They help your body’s. What S Reactive Lymphocytes.
From imagebank.hematology.org
Reactive lymphocyte What S Reactive Lymphocytes So, their presence is a strong. In the center image is one that’s larger and more plasmacytoid appearing. They help your body’s immune system fight cancer and foreign viruses and bacteria. 1 one small typical lymphocyte in the left image. For reactive lymphocytosis, there is a wide range of lymphocyte morphologies within a given blood smear. “that’s the major feature. What S Reactive Lymphocytes.
From www.learnhaem.com
Reactive Lymphocytes / Benign Disorders LearnHaem Haematology Made What S Reactive Lymphocytes Lymphocytes are a type of white blood cell. 1 one small typical lymphocyte in the left image. Learn what blood tests can show about lymphocyte. “that’s the major feature you’re looking for,” he said, noting in fig. They help your body’s immune system fight cancer and foreign viruses and bacteria. In the center image is one that’s larger and more. What S Reactive Lymphocytes.
From www.hematomorphology.info
Demo 2 reactive changes lymphocytes Hematomorphology, a databank What S Reactive Lymphocytes Reactive lymphocytes are lymphocytes that are actively working against some foreign invader (ex., virus). Learn what blood tests can show about lymphocyte. In the center image is one that’s larger and more plasmacytoid appearing. For reactive lymphocytosis, there is a wide range of lymphocyte morphologies within a given blood smear. Lymphocytes are a type of white blood cell. They help. What S Reactive Lymphocytes.
From www.patientpower.info
Lymphocytes and Reactive Lymphocytes What S Reactive Lymphocytes Reactive lymphocytes are lymphocytes that are actively working against some foreign invader (ex., virus). In the center image is one that’s larger and more plasmacytoid appearing. Lymphocytes are a type of white blood cell. For reactive lymphocytosis, there is a wide range of lymphocyte morphologies within a given blood smear. Lymphocytes that come from more than one cell are considered. What S Reactive Lymphocytes.
From www.slideserve.com
PPT Exploration of the infection PowerPoint Presentation, free What S Reactive Lymphocytes They help your body’s immune system fight cancer and foreign viruses and bacteria. Lymphocytes that come from more than one cell are considered “reactive,” so they typically point to an infection. Reactive lymphocytes are lymphocytes that are actively working against some foreign invader (ex., virus). Lymphocytes are a type of white blood cell produced in the bone marrow. For reactive. What S Reactive Lymphocytes.
From medschool.co
Lymphocytes Blood Film MedSchool What S Reactive Lymphocytes Learn what blood tests can show about lymphocyte. So, their presence is a strong. Lymphocytes are a type of white blood cell. Lymphocytes that come from more than one cell are considered “reactive,” so they typically point to an infection. Reactive lymphocytes are lymphocytes that are actively working against some foreign invader (ex., virus). “that’s the major feature you’re looking. What S Reactive Lymphocytes.
From www.slideserve.com
PPT Epstein Barr Virus in Immunosuppressed Host PowerPoint What S Reactive Lymphocytes “that’s the major feature you’re looking for,” he said, noting in fig. Lymphocytes are a type of white blood cell. So, their presence is a strong. Learn what blood tests can show about lymphocyte. Lymphocytes are a type of white blood cell produced in the bone marrow. In the center image is one that’s larger and more plasmacytoid appearing. Reactive. What S Reactive Lymphocytes.
From www.pinterest.com
Atypical Reactive Lymphocytes of Infectious Mono Nucleoasis caused by What S Reactive Lymphocytes Learn what blood tests can show about lymphocyte. So, their presence is a strong. In the center image is one that’s larger and more plasmacytoid appearing. 1 one small typical lymphocyte in the left image. “that’s the major feature you’re looking for,” he said, noting in fig. They help your body’s immune system fight cancer and foreign viruses and bacteria.. What S Reactive Lymphocytes.
From askhematologist.com
Approach to Lymphocytosis Ask Hematologist Understand Hematology What S Reactive Lymphocytes Lymphocytes are a type of white blood cell produced in the bone marrow. Learn what blood tests can show about lymphocyte. So, their presence is a strong. Lymphocytes that come from more than one cell are considered “reactive,” so they typically point to an infection. 1 one small typical lymphocyte in the left image. They help your body’s immune system. What S Reactive Lymphocytes.
From www.pinterest.fr
(A) Normal lymphocyte (B) reactive lymphocyte (C and D) atypical What S Reactive Lymphocytes Learn what blood tests can show about lymphocyte. So, their presence is a strong. “that’s the major feature you’re looking for,” he said, noting in fig. Lymphocytes are a type of white blood cell. Reactive lymphocytes are lymphocytes that are actively working against some foreign invader (ex., virus). Lymphocytes that come from more than one cell are considered “reactive,” so. What S Reactive Lymphocytes.
From www.slideserve.com
PPT THE DEVELOPMENT OF BLYMPHOCYTES PowerPoint Presentation, free What S Reactive Lymphocytes Lymphocytes that come from more than one cell are considered “reactive,” so they typically point to an infection. Lymphocytes are a type of white blood cell produced in the bone marrow. For reactive lymphocytosis, there is a wide range of lymphocyte morphologies within a given blood smear. “that’s the major feature you’re looking for,” he said, noting in fig. 1. What S Reactive Lymphocytes.
From www.researchgate.net
Representative images of typical reactive lymphocytes in the peripheral What S Reactive Lymphocytes Lymphocytes are a type of white blood cell produced in the bone marrow. Lymphocytes that come from more than one cell are considered “reactive,” so they typically point to an infection. Lymphocytes are a type of white blood cell. For reactive lymphocytosis, there is a wide range of lymphocyte morphologies within a given blood smear. Reactive lymphocytes are lymphocytes that. What S Reactive Lymphocytes.