Cholestasis Ultrasound Images . Images are obtained via an ultrasound probe inserted with a flexible viewing tube (endoscope). radiologic imaging is obtained in the initial evaluation of patients with pbc to assess the differential diagnosis of. biliary atresia is a congenital biliary disorder that is characterized by an absence or severe deficiency of the. cholestasis represents an impaired secretion of bilirubin by hepatocytes, manifesting with high blood levels of conjugated bilirubin and. imaging of the liver and biliary tract via abdominal ultrasound is important to detect.
from link.springer.com
Images are obtained via an ultrasound probe inserted with a flexible viewing tube (endoscope). imaging of the liver and biliary tract via abdominal ultrasound is important to detect. radiologic imaging is obtained in the initial evaluation of patients with pbc to assess the differential diagnosis of. cholestasis represents an impaired secretion of bilirubin by hepatocytes, manifesting with high blood levels of conjugated bilirubin and. biliary atresia is a congenital biliary disorder that is characterized by an absence or severe deficiency of the.
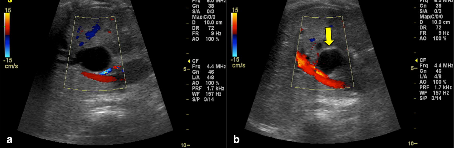
Ultrasound findings in paediatric cholestasis how to image the patient
Cholestasis Ultrasound Images Images are obtained via an ultrasound probe inserted with a flexible viewing tube (endoscope). radiologic imaging is obtained in the initial evaluation of patients with pbc to assess the differential diagnosis of. biliary atresia is a congenital biliary disorder that is characterized by an absence or severe deficiency of the. Images are obtained via an ultrasound probe inserted with a flexible viewing tube (endoscope). cholestasis represents an impaired secretion of bilirubin by hepatocytes, manifesting with high blood levels of conjugated bilirubin and. imaging of the liver and biliary tract via abdominal ultrasound is important to detect.
From www.youtube.com
Cholestasis of Pregnancy Treating Itchy Hands & Preventing Still Birth Cholestasis Ultrasound Images Images are obtained via an ultrasound probe inserted with a flexible viewing tube (endoscope). imaging of the liver and biliary tract via abdominal ultrasound is important to detect. radiologic imaging is obtained in the initial evaluation of patients with pbc to assess the differential diagnosis of. cholestasis represents an impaired secretion of bilirubin by hepatocytes, manifesting with. Cholestasis Ultrasound Images.
From link.springer.com
Ultrasound findings in paediatric cholestasis how to image the patient Cholestasis Ultrasound Images cholestasis represents an impaired secretion of bilirubin by hepatocytes, manifesting with high blood levels of conjugated bilirubin and. imaging of the liver and biliary tract via abdominal ultrasound is important to detect. biliary atresia is a congenital biliary disorder that is characterized by an absence or severe deficiency of the. radiologic imaging is obtained in the. Cholestasis Ultrasound Images.
From radiopaedia.org
Image Cholestasis Ultrasound Images radiologic imaging is obtained in the initial evaluation of patients with pbc to assess the differential diagnosis of. biliary atresia is a congenital biliary disorder that is characterized by an absence or severe deficiency of the. cholestasis represents an impaired secretion of bilirubin by hepatocytes, manifesting with high blood levels of conjugated bilirubin and. imaging of. Cholestasis Ultrasound Images.
From link.springer.com
Ultrasound findings in paediatric cholestasis how to image the patient Cholestasis Ultrasound Images Images are obtained via an ultrasound probe inserted with a flexible viewing tube (endoscope). biliary atresia is a congenital biliary disorder that is characterized by an absence or severe deficiency of the. cholestasis represents an impaired secretion of bilirubin by hepatocytes, manifesting with high blood levels of conjugated bilirubin and. imaging of the liver and biliary tract. Cholestasis Ultrasound Images.
From link.springer.com
Ultrasound findings in paediatric cholestasis how to image the patient Cholestasis Ultrasound Images biliary atresia is a congenital biliary disorder that is characterized by an absence or severe deficiency of the. imaging of the liver and biliary tract via abdominal ultrasound is important to detect. cholestasis represents an impaired secretion of bilirubin by hepatocytes, manifesting with high blood levels of conjugated bilirubin and. radiologic imaging is obtained in the. Cholestasis Ultrasound Images.
From www.mdpi.com
JCM Free FullText Role of Ultrasound Methods for the Assessment of Cholestasis Ultrasound Images cholestasis represents an impaired secretion of bilirubin by hepatocytes, manifesting with high blood levels of conjugated bilirubin and. radiologic imaging is obtained in the initial evaluation of patients with pbc to assess the differential diagnosis of. Images are obtained via an ultrasound probe inserted with a flexible viewing tube (endoscope). biliary atresia is a congenital biliary disorder. Cholestasis Ultrasound Images.
From radiologykey.com
Cholecystitis Radiology Key Cholestasis Ultrasound Images radiologic imaging is obtained in the initial evaluation of patients with pbc to assess the differential diagnosis of. imaging of the liver and biliary tract via abdominal ultrasound is important to detect. Images are obtained via an ultrasound probe inserted with a flexible viewing tube (endoscope). biliary atresia is a congenital biliary disorder that is characterized by. Cholestasis Ultrasound Images.
From obgyn.onlinelibrary.wiley.com
Monitoring intrahepatic cholestasis of pregnancy using the fetal Cholestasis Ultrasound Images cholestasis represents an impaired secretion of bilirubin by hepatocytes, manifesting with high blood levels of conjugated bilirubin and. biliary atresia is a congenital biliary disorder that is characterized by an absence or severe deficiency of the. Images are obtained via an ultrasound probe inserted with a flexible viewing tube (endoscope). imaging of the liver and biliary tract. Cholestasis Ultrasound Images.
From sonographie.org
Cholestase Sonographieatlas Erlangen Cholestasis Ultrasound Images biliary atresia is a congenital biliary disorder that is characterized by an absence or severe deficiency of the. imaging of the liver and biliary tract via abdominal ultrasound is important to detect. Images are obtained via an ultrasound probe inserted with a flexible viewing tube (endoscope). radiologic imaging is obtained in the initial evaluation of patients with. Cholestasis Ultrasound Images.
From www.spandidos-publications.com
Endoscopic nasobiliary drainage improves jaundice attack symptoms in Cholestasis Ultrasound Images Images are obtained via an ultrasound probe inserted with a flexible viewing tube (endoscope). cholestasis represents an impaired secretion of bilirubin by hepatocytes, manifesting with high blood levels of conjugated bilirubin and. imaging of the liver and biliary tract via abdominal ultrasound is important to detect. radiologic imaging is obtained in the initial evaluation of patients with. Cholestasis Ultrasound Images.
From sonographie.org
Cholestase Sonographieatlas Erlangen Cholestasis Ultrasound Images biliary atresia is a congenital biliary disorder that is characterized by an absence or severe deficiency of the. cholestasis represents an impaired secretion of bilirubin by hepatocytes, manifesting with high blood levels of conjugated bilirubin and. imaging of the liver and biliary tract via abdominal ultrasound is important to detect. radiologic imaging is obtained in the. Cholestasis Ultrasound Images.
From sonographie.org
Cholestasis Atlas of Ultrasound Cholestasis Ultrasound Images cholestasis represents an impaired secretion of bilirubin by hepatocytes, manifesting with high blood levels of conjugated bilirubin and. imaging of the liver and biliary tract via abdominal ultrasound is important to detect. Images are obtained via an ultrasound probe inserted with a flexible viewing tube (endoscope). radiologic imaging is obtained in the initial evaluation of patients with. Cholestasis Ultrasound Images.
From link.springer.com
Ultrasound findings in paediatric cholestasis how to image the patient Cholestasis Ultrasound Images imaging of the liver and biliary tract via abdominal ultrasound is important to detect. biliary atresia is a congenital biliary disorder that is characterized by an absence or severe deficiency of the. Images are obtained via an ultrasound probe inserted with a flexible viewing tube (endoscope). cholestasis represents an impaired secretion of bilirubin by hepatocytes, manifesting with. Cholestasis Ultrasound Images.
From link.springer.com
Ultrasound findings in paediatric cholestasis how to image the patient Cholestasis Ultrasound Images cholestasis represents an impaired secretion of bilirubin by hepatocytes, manifesting with high blood levels of conjugated bilirubin and. radiologic imaging is obtained in the initial evaluation of patients with pbc to assess the differential diagnosis of. biliary atresia is a congenital biliary disorder that is characterized by an absence or severe deficiency of the. Images are obtained. Cholestasis Ultrasound Images.
From link.springer.com
Ultrasound findings in paediatric cholestasis how to image the patient Cholestasis Ultrasound Images Images are obtained via an ultrasound probe inserted with a flexible viewing tube (endoscope). imaging of the liver and biliary tract via abdominal ultrasound is important to detect. biliary atresia is a congenital biliary disorder that is characterized by an absence or severe deficiency of the. radiologic imaging is obtained in the initial evaluation of patients with. Cholestasis Ultrasound Images.
From sonographie.org
Cholestase Sonographieatlas Erlangen Cholestasis Ultrasound Images cholestasis represents an impaired secretion of bilirubin by hepatocytes, manifesting with high blood levels of conjugated bilirubin and. Images are obtained via an ultrasound probe inserted with a flexible viewing tube (endoscope). radiologic imaging is obtained in the initial evaluation of patients with pbc to assess the differential diagnosis of. imaging of the liver and biliary tract. Cholestasis Ultrasound Images.
From sonographie.org
Cholestase Sonographieatlas Erlangen Cholestasis Ultrasound Images radiologic imaging is obtained in the initial evaluation of patients with pbc to assess the differential diagnosis of. imaging of the liver and biliary tract via abdominal ultrasound is important to detect. cholestasis represents an impaired secretion of bilirubin by hepatocytes, manifesting with high blood levels of conjugated bilirubin and. biliary atresia is a congenital biliary. Cholestasis Ultrasound Images.
From www.stepwards.com
Cholelithiasis/Cholecystitis Stepwards Cholestasis Ultrasound Images biliary atresia is a congenital biliary disorder that is characterized by an absence or severe deficiency of the. Images are obtained via an ultrasound probe inserted with a flexible viewing tube (endoscope). cholestasis represents an impaired secretion of bilirubin by hepatocytes, manifesting with high blood levels of conjugated bilirubin and. imaging of the liver and biliary tract. Cholestasis Ultrasound Images.
From link.springer.com
Ultrasound findings in paediatric cholestasis how to image the patient Cholestasis Ultrasound Images Images are obtained via an ultrasound probe inserted with a flexible viewing tube (endoscope). biliary atresia is a congenital biliary disorder that is characterized by an absence or severe deficiency of the. cholestasis represents an impaired secretion of bilirubin by hepatocytes, manifesting with high blood levels of conjugated bilirubin and. imaging of the liver and biliary tract. Cholestasis Ultrasound Images.
From www.slideshare.net
Ultrasound Cholestasis Ultrasound Images imaging of the liver and biliary tract via abdominal ultrasound is important to detect. cholestasis represents an impaired secretion of bilirubin by hepatocytes, manifesting with high blood levels of conjugated bilirubin and. radiologic imaging is obtained in the initial evaluation of patients with pbc to assess the differential diagnosis of. Images are obtained via an ultrasound probe. Cholestasis Ultrasound Images.
From link.springer.com
Ultrasound findings in paediatric cholestasis how to image the patient Cholestasis Ultrasound Images radiologic imaging is obtained in the initial evaluation of patients with pbc to assess the differential diagnosis of. cholestasis represents an impaired secretion of bilirubin by hepatocytes, manifesting with high blood levels of conjugated bilirubin and. biliary atresia is a congenital biliary disorder that is characterized by an absence or severe deficiency of the. imaging of. Cholestasis Ultrasound Images.
From link.springer.com
Ultrasound findings in paediatric cholestasis how to image the patient Cholestasis Ultrasound Images cholestasis represents an impaired secretion of bilirubin by hepatocytes, manifesting with high blood levels of conjugated bilirubin and. imaging of the liver and biliary tract via abdominal ultrasound is important to detect. Images are obtained via an ultrasound probe inserted with a flexible viewing tube (endoscope). radiologic imaging is obtained in the initial evaluation of patients with. Cholestasis Ultrasound Images.
From www.cureus.com
Cureus Intrahepatic Cholestasis of Pregnancy A Case Report of Third Cholestasis Ultrasound Images biliary atresia is a congenital biliary disorder that is characterized by an absence or severe deficiency of the. radiologic imaging is obtained in the initial evaluation of patients with pbc to assess the differential diagnosis of. Images are obtained via an ultrasound probe inserted with a flexible viewing tube (endoscope). cholestasis represents an impaired secretion of bilirubin. Cholestasis Ultrasound Images.
From www.wjgnet.com
Segmental intrahepatic cholestasis as a technical complication of the Cholestasis Ultrasound Images biliary atresia is a congenital biliary disorder that is characterized by an absence or severe deficiency of the. Images are obtained via an ultrasound probe inserted with a flexible viewing tube (endoscope). cholestasis represents an impaired secretion of bilirubin by hepatocytes, manifesting with high blood levels of conjugated bilirubin and. imaging of the liver and biliary tract. Cholestasis Ultrasound Images.
From sonographie.org
Cholestasis Atlas of Ultrasound Cholestasis Ultrasound Images biliary atresia is a congenital biliary disorder that is characterized by an absence or severe deficiency of the. radiologic imaging is obtained in the initial evaluation of patients with pbc to assess the differential diagnosis of. imaging of the liver and biliary tract via abdominal ultrasound is important to detect. Images are obtained via an ultrasound probe. Cholestasis Ultrasound Images.
From www.clinicaladvisor.com
Cholecystitis and Cholangitis The Clinical Advisor Cholestasis Ultrasound Images radiologic imaging is obtained in the initial evaluation of patients with pbc to assess the differential diagnosis of. cholestasis represents an impaired secretion of bilirubin by hepatocytes, manifesting with high blood levels of conjugated bilirubin and. Images are obtained via an ultrasound probe inserted with a flexible viewing tube (endoscope). imaging of the liver and biliary tract. Cholestasis Ultrasound Images.
From link.springer.com
Ultrasound findings in paediatric cholestasis how to image the patient Cholestasis Ultrasound Images imaging of the liver and biliary tract via abdominal ultrasound is important to detect. Images are obtained via an ultrasound probe inserted with a flexible viewing tube (endoscope). cholestasis represents an impaired secretion of bilirubin by hepatocytes, manifesting with high blood levels of conjugated bilirubin and. biliary atresia is a congenital biliary disorder that is characterized by. Cholestasis Ultrasound Images.
From sonographie.org
Cholestasis Atlas of Ultrasound Cholestasis Ultrasound Images Images are obtained via an ultrasound probe inserted with a flexible viewing tube (endoscope). cholestasis represents an impaired secretion of bilirubin by hepatocytes, manifesting with high blood levels of conjugated bilirubin and. imaging of the liver and biliary tract via abdominal ultrasound is important to detect. radiologic imaging is obtained in the initial evaluation of patients with. Cholestasis Ultrasound Images.
From www.researchgate.net
Ultrasonography of the abdomen revealing cholelithiasis Download Cholestasis Ultrasound Images cholestasis represents an impaired secretion of bilirubin by hepatocytes, manifesting with high blood levels of conjugated bilirubin and. biliary atresia is a congenital biliary disorder that is characterized by an absence or severe deficiency of the. radiologic imaging is obtained in the initial evaluation of patients with pbc to assess the differential diagnosis of. imaging of. Cholestasis Ultrasound Images.
From www.consultant360.com
Persistent Neonatal Cholestasis in a Preterm Infant Consultant360 Cholestasis Ultrasound Images cholestasis represents an impaired secretion of bilirubin by hepatocytes, manifesting with high blood levels of conjugated bilirubin and. imaging of the liver and biliary tract via abdominal ultrasound is important to detect. biliary atresia is a congenital biliary disorder that is characterized by an absence or severe deficiency of the. radiologic imaging is obtained in the. Cholestasis Ultrasound Images.
From link.springer.com
Ultrasound findings in paediatric cholestasis how to image the patient Cholestasis Ultrasound Images radiologic imaging is obtained in the initial evaluation of patients with pbc to assess the differential diagnosis of. Images are obtained via an ultrasound probe inserted with a flexible viewing tube (endoscope). imaging of the liver and biliary tract via abdominal ultrasound is important to detect. biliary atresia is a congenital biliary disorder that is characterized by. Cholestasis Ultrasound Images.
From radiologyassistant.nl
The Radiology Assistant Gallbladder obstruction Cholestasis Ultrasound Images radiologic imaging is obtained in the initial evaluation of patients with pbc to assess the differential diagnosis of. biliary atresia is a congenital biliary disorder that is characterized by an absence or severe deficiency of the. imaging of the liver and biliary tract via abdominal ultrasound is important to detect. cholestasis represents an impaired secretion of. Cholestasis Ultrasound Images.
From www.slideshare.net
Ultrasound Cholestasis Ultrasound Images radiologic imaging is obtained in the initial evaluation of patients with pbc to assess the differential diagnosis of. biliary atresia is a congenital biliary disorder that is characterized by an absence or severe deficiency of the. imaging of the liver and biliary tract via abdominal ultrasound is important to detect. Images are obtained via an ultrasound probe. Cholestasis Ultrasound Images.
From www.researchgate.net
(PDF) A Case of Fetal Cholelithiasis Related to Maternal Intrahepatic Cholestasis Ultrasound Images Images are obtained via an ultrasound probe inserted with a flexible viewing tube (endoscope). radiologic imaging is obtained in the initial evaluation of patients with pbc to assess the differential diagnosis of. cholestasis represents an impaired secretion of bilirubin by hepatocytes, manifesting with high blood levels of conjugated bilirubin and. imaging of the liver and biliary tract. Cholestasis Ultrasound Images.
From sonographie.org
Cholestase Sonographieatlas Erlangen Cholestasis Ultrasound Images Images are obtained via an ultrasound probe inserted with a flexible viewing tube (endoscope). imaging of the liver and biliary tract via abdominal ultrasound is important to detect. radiologic imaging is obtained in the initial evaluation of patients with pbc to assess the differential diagnosis of. biliary atresia is a congenital biliary disorder that is characterized by. Cholestasis Ultrasound Images.