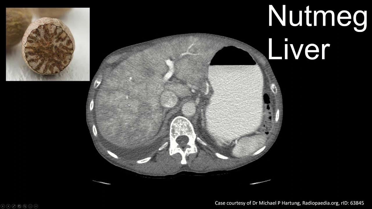
Nutmeg Liver Is Indicative Of . Nutmeg liver is most frequently seen in right heart failure, and this diagnosis may be suggested by ancillary imaging findings such. Right middle lung lobe atelectatic changes. Nutmeg liver refers to the mottled appearance of the liver as a result of hepatic venous congestion. Nutmeg liver refers to the mottled appearance of the liver as a result of hepatic venous congestion. Highlights the pathophysiology, microscopic findings and associated hepatic diseases with common structural changes, patterns of cell damage and necrosis, intracellular. A nutmeg liver appearance is due to a perfusion abnormality of the liver usually as result of hepatic venous congestion. Radiologically, it is most appreciable on.
from www.slideserve.com
A nutmeg liver appearance is due to a perfusion abnormality of the liver usually as result of hepatic venous congestion. Radiologically, it is most appreciable on. Right middle lung lobe atelectatic changes. Highlights the pathophysiology, microscopic findings and associated hepatic diseases with common structural changes, patterns of cell damage and necrosis, intracellular. Nutmeg liver refers to the mottled appearance of the liver as a result of hepatic venous congestion. Nutmeg liver refers to the mottled appearance of the liver as a result of hepatic venous congestion. Nutmeg liver is most frequently seen in right heart failure, and this diagnosis may be suggested by ancillary imaging findings such.
PPT Cardiac Pathology 2 PowerPoint Presentation, free download ID
Nutmeg Liver Is Indicative Of Right middle lung lobe atelectatic changes. Nutmeg liver refers to the mottled appearance of the liver as a result of hepatic venous congestion. Nutmeg liver is most frequently seen in right heart failure, and this diagnosis may be suggested by ancillary imaging findings such. Right middle lung lobe atelectatic changes. Nutmeg liver refers to the mottled appearance of the liver as a result of hepatic venous congestion. Highlights the pathophysiology, microscopic findings and associated hepatic diseases with common structural changes, patterns of cell damage and necrosis, intracellular. Radiologically, it is most appreciable on. A nutmeg liver appearance is due to a perfusion abnormality of the liver usually as result of hepatic venous congestion.
From www.researchgate.net
Full body PET/CT scan nutmeg liver with perihepatic fluid. Download Nutmeg Liver Is Indicative Of Right middle lung lobe atelectatic changes. Nutmeg liver refers to the mottled appearance of the liver as a result of hepatic venous congestion. Radiologically, it is most appreciable on. Nutmeg liver refers to the mottled appearance of the liver as a result of hepatic venous congestion. Highlights the pathophysiology, microscopic findings and associated hepatic diseases with common structural changes, patterns. Nutmeg Liver Is Indicative Of.
From www.slideserve.com
PPT hyperplasia PowerPoint Presentation, free download ID6391775 Nutmeg Liver Is Indicative Of Radiologically, it is most appreciable on. Nutmeg liver refers to the mottled appearance of the liver as a result of hepatic venous congestion. Right middle lung lobe atelectatic changes. Nutmeg liver is most frequently seen in right heart failure, and this diagnosis may be suggested by ancillary imaging findings such. Nutmeg liver refers to the mottled appearance of the liver. Nutmeg Liver Is Indicative Of.
From www.researchgate.net
Nutmeg liver or hepatic congestopathy in a patient with right upper Nutmeg Liver Is Indicative Of Nutmeg liver refers to the mottled appearance of the liver as a result of hepatic venous congestion. Nutmeg liver refers to the mottled appearance of the liver as a result of hepatic venous congestion. A nutmeg liver appearance is due to a perfusion abnormality of the liver usually as result of hepatic venous congestion. Highlights the pathophysiology, microscopic findings and. Nutmeg Liver Is Indicative Of.
From www.animalia-life.club
Nutmeg Liver Ultrasound Nutmeg Liver Is Indicative Of Radiologically, it is most appreciable on. A nutmeg liver appearance is due to a perfusion abnormality of the liver usually as result of hepatic venous congestion. Nutmeg liver is most frequently seen in right heart failure, and this diagnosis may be suggested by ancillary imaging findings such. Nutmeg liver refers to the mottled appearance of the liver as a result. Nutmeg Liver Is Indicative Of.
From www.youtube.com
How is Nutmeg Liver formed? YouTube Nutmeg Liver Is Indicative Of Nutmeg liver refers to the mottled appearance of the liver as a result of hepatic venous congestion. Nutmeg liver is most frequently seen in right heart failure, and this diagnosis may be suggested by ancillary imaging findings such. Nutmeg liver refers to the mottled appearance of the liver as a result of hepatic venous congestion. Highlights the pathophysiology, microscopic findings. Nutmeg Liver Is Indicative Of.
From pathologyandponies.ca
Nutmeg Liver Pathology and Ponies Nutmeg Liver Is Indicative Of Nutmeg liver is most frequently seen in right heart failure, and this diagnosis may be suggested by ancillary imaging findings such. Highlights the pathophysiology, microscopic findings and associated hepatic diseases with common structural changes, patterns of cell damage and necrosis, intracellular. Radiologically, it is most appreciable on. Nutmeg liver refers to the mottled appearance of the liver as a result. Nutmeg Liver Is Indicative Of.
From emj.bmj.com
Nutmeg liver Emergency Medicine Journal Nutmeg Liver Is Indicative Of Nutmeg liver refers to the mottled appearance of the liver as a result of hepatic venous congestion. Radiologically, it is most appreciable on. Nutmeg liver is most frequently seen in right heart failure, and this diagnosis may be suggested by ancillary imaging findings such. A nutmeg liver appearance is due to a perfusion abnormality of the liver usually as result. Nutmeg Liver Is Indicative Of.
From www.sciencephoto.com
Nutmeg liver Stock Image C057/3072 Science Photo Library Nutmeg Liver Is Indicative Of A nutmeg liver appearance is due to a perfusion abnormality of the liver usually as result of hepatic venous congestion. Nutmeg liver is most frequently seen in right heart failure, and this diagnosis may be suggested by ancillary imaging findings such. Nutmeg liver refers to the mottled appearance of the liver as a result of hepatic venous congestion. Right middle. Nutmeg Liver Is Indicative Of.
From www.youtube.com
CVC LIVER NUTMEG LIVER Hemodynamic Disorder I Pathology YouTube Nutmeg Liver Is Indicative Of A nutmeg liver appearance is due to a perfusion abnormality of the liver usually as result of hepatic venous congestion. Radiologically, it is most appreciable on. Nutmeg liver refers to the mottled appearance of the liver as a result of hepatic venous congestion. Nutmeg liver is most frequently seen in right heart failure, and this diagnosis may be suggested by. Nutmeg Liver Is Indicative Of.
From www.youtube.com
Interpreting CT Abdo Nutmeg Liver Passive Congestion, Budd Chiari Nutmeg Liver Is Indicative Of A nutmeg liver appearance is due to a perfusion abnormality of the liver usually as result of hepatic venous congestion. Nutmeg liver is most frequently seen in right heart failure, and this diagnosis may be suggested by ancillary imaging findings such. Nutmeg liver refers to the mottled appearance of the liver as a result of hepatic venous congestion. Highlights the. Nutmeg Liver Is Indicative Of.
From ar.inspiredpencil.com
Nutmeg Liver Histology Nutmeg Liver Is Indicative Of A nutmeg liver appearance is due to a perfusion abnormality of the liver usually as result of hepatic venous congestion. Nutmeg liver is most frequently seen in right heart failure, and this diagnosis may be suggested by ancillary imaging findings such. Nutmeg liver refers to the mottled appearance of the liver as a result of hepatic venous congestion. Right middle. Nutmeg Liver Is Indicative Of.
From wellcomecollection.org
Nutmeg liver Collection Nutmeg Liver Is Indicative Of A nutmeg liver appearance is due to a perfusion abnormality of the liver usually as result of hepatic venous congestion. Right middle lung lobe atelectatic changes. Nutmeg liver refers to the mottled appearance of the liver as a result of hepatic venous congestion. Highlights the pathophysiology, microscopic findings and associated hepatic diseases with common structural changes, patterns of cell damage. Nutmeg Liver Is Indicative Of.
From www.youtube.com
Chronic Venous Congestion (cvc) Nutmeg liver Morphology Mechanism Nutmeg Liver Is Indicative Of Highlights the pathophysiology, microscopic findings and associated hepatic diseases with common structural changes, patterns of cell damage and necrosis, intracellular. Right middle lung lobe atelectatic changes. Nutmeg liver is most frequently seen in right heart failure, and this diagnosis may be suggested by ancillary imaging findings such. Nutmeg liver refers to the mottled appearance of the liver as a result. Nutmeg Liver Is Indicative Of.
From pathologyandponies.ca
Nutmeg Liver Pathology and Ponies Nutmeg Liver Is Indicative Of Right middle lung lobe atelectatic changes. Radiologically, it is most appreciable on. A nutmeg liver appearance is due to a perfusion abnormality of the liver usually as result of hepatic venous congestion. Nutmeg liver refers to the mottled appearance of the liver as a result of hepatic venous congestion. Nutmeg liver refers to the mottled appearance of the liver as. Nutmeg Liver Is Indicative Of.
From ar.inspiredpencil.com
Nutmeg Liver Nutmeg Liver Is Indicative Of Radiologically, it is most appreciable on. Right middle lung lobe atelectatic changes. Nutmeg liver is most frequently seen in right heart failure, and this diagnosis may be suggested by ancillary imaging findings such. A nutmeg liver appearance is due to a perfusion abnormality of the liver usually as result of hepatic venous congestion. Nutmeg liver refers to the mottled appearance. Nutmeg Liver Is Indicative Of.
From ar.inspiredpencil.com
Nutmeg Liver Histology Nutmeg Liver Is Indicative Of Right middle lung lobe atelectatic changes. Highlights the pathophysiology, microscopic findings and associated hepatic diseases with common structural changes, patterns of cell damage and necrosis, intracellular. Radiologically, it is most appreciable on. A nutmeg liver appearance is due to a perfusion abnormality of the liver usually as result of hepatic venous congestion. Nutmeg liver refers to the mottled appearance of. Nutmeg Liver Is Indicative Of.
From pathologyandponies.ca
Nutmeg Liver Pathology and Ponies Nutmeg Liver Is Indicative Of Nutmeg liver is most frequently seen in right heart failure, and this diagnosis may be suggested by ancillary imaging findings such. Highlights the pathophysiology, microscopic findings and associated hepatic diseases with common structural changes, patterns of cell damage and necrosis, intracellular. Nutmeg liver refers to the mottled appearance of the liver as a result of hepatic venous congestion. Radiologically, it. Nutmeg Liver Is Indicative Of.
From pathologyandponies.ca
Nutmeg Liver Pathology and Ponies Nutmeg Liver Is Indicative Of Right middle lung lobe atelectatic changes. Nutmeg liver is most frequently seen in right heart failure, and this diagnosis may be suggested by ancillary imaging findings such. Highlights the pathophysiology, microscopic findings and associated hepatic diseases with common structural changes, patterns of cell damage and necrosis, intracellular. A nutmeg liver appearance is due to a perfusion abnormality of the liver. Nutmeg Liver Is Indicative Of.
From ar.inspiredpencil.com
Nutmeg Liver Nutmeg Liver Is Indicative Of Highlights the pathophysiology, microscopic findings and associated hepatic diseases with common structural changes, patterns of cell damage and necrosis, intracellular. Nutmeg liver is most frequently seen in right heart failure, and this diagnosis may be suggested by ancillary imaging findings such. Radiologically, it is most appreciable on. A nutmeg liver appearance is due to a perfusion abnormality of the liver. Nutmeg Liver Is Indicative Of.
From www.researchgate.net
(A) Postmortem example of the classical "nutmeg" liver with Nutmeg Liver Is Indicative Of Nutmeg liver is most frequently seen in right heart failure, and this diagnosis may be suggested by ancillary imaging findings such. Right middle lung lobe atelectatic changes. A nutmeg liver appearance is due to a perfusion abnormality of the liver usually as result of hepatic venous congestion. Nutmeg liver refers to the mottled appearance of the liver as a result. Nutmeg Liver Is Indicative Of.
From foodstruct.com
Liver vs. Nutmeg — InDepth Nutrition Comparison Nutmeg Liver Is Indicative Of Nutmeg liver refers to the mottled appearance of the liver as a result of hepatic venous congestion. A nutmeg liver appearance is due to a perfusion abnormality of the liver usually as result of hepatic venous congestion. Nutmeg liver refers to the mottled appearance of the liver as a result of hepatic venous congestion. Radiologically, it is most appreciable on.. Nutmeg Liver Is Indicative Of.
From www.slideserve.com
PPT The Pathology of Liver & Biliary System Part1 PowerPoint Nutmeg Liver Is Indicative Of Nutmeg liver refers to the mottled appearance of the liver as a result of hepatic venous congestion. A nutmeg liver appearance is due to a perfusion abnormality of the liver usually as result of hepatic venous congestion. Nutmeg liver is most frequently seen in right heart failure, and this diagnosis may be suggested by ancillary imaging findings such. Radiologically, it. Nutmeg Liver Is Indicative Of.
From ar.inspiredpencil.com
Nutmeg Liver Nutmeg Liver Is Indicative Of Nutmeg liver is most frequently seen in right heart failure, and this diagnosis may be suggested by ancillary imaging findings such. Nutmeg liver refers to the mottled appearance of the liver as a result of hepatic venous congestion. Nutmeg liver refers to the mottled appearance of the liver as a result of hepatic venous congestion. Highlights the pathophysiology, microscopic findings. Nutmeg Liver Is Indicative Of.
From ar.inspiredpencil.com
Nutmeg Liver Ultrasound Nutmeg Liver Is Indicative Of A nutmeg liver appearance is due to a perfusion abnormality of the liver usually as result of hepatic venous congestion. Highlights the pathophysiology, microscopic findings and associated hepatic diseases with common structural changes, patterns of cell damage and necrosis, intracellular. Right middle lung lobe atelectatic changes. Nutmeg liver is most frequently seen in right heart failure, and this diagnosis may. Nutmeg Liver Is Indicative Of.
From dreammerchant.shop
Nutmeg Dreams & Sleep Spice Nutmeg Liver Is Indicative Of Nutmeg liver refers to the mottled appearance of the liver as a result of hepatic venous congestion. Nutmeg liver refers to the mottled appearance of the liver as a result of hepatic venous congestion. Radiologically, it is most appreciable on. Nutmeg liver is most frequently seen in right heart failure, and this diagnosis may be suggested by ancillary imaging findings. Nutmeg Liver Is Indicative Of.
From www.youtube.com
Nutmeg Liver Clinical correlation and pathophysiology YouTube Nutmeg Liver Is Indicative Of Nutmeg liver refers to the mottled appearance of the liver as a result of hepatic venous congestion. Nutmeg liver is most frequently seen in right heart failure, and this diagnosis may be suggested by ancillary imaging findings such. Nutmeg liver refers to the mottled appearance of the liver as a result of hepatic venous congestion. Right middle lung lobe atelectatic. Nutmeg Liver Is Indicative Of.
From ar.inspiredpencil.com
Nutmeg Liver Histology Nutmeg Liver Is Indicative Of Right middle lung lobe atelectatic changes. Nutmeg liver is most frequently seen in right heart failure, and this diagnosis may be suggested by ancillary imaging findings such. Highlights the pathophysiology, microscopic findings and associated hepatic diseases with common structural changes, patterns of cell damage and necrosis, intracellular. Nutmeg liver refers to the mottled appearance of the liver as a result. Nutmeg Liver Is Indicative Of.
From www.researchgate.net
(PDF) Nutmeg liver, fever and elevated liver enzymes in a young man Nutmeg Liver Is Indicative Of A nutmeg liver appearance is due to a perfusion abnormality of the liver usually as result of hepatic venous congestion. Nutmeg liver refers to the mottled appearance of the liver as a result of hepatic venous congestion. Nutmeg liver refers to the mottled appearance of the liver as a result of hepatic venous congestion. Highlights the pathophysiology, microscopic findings and. Nutmeg Liver Is Indicative Of.
From www.wikidoc.org
Nutmeg liver wikidoc Nutmeg Liver Is Indicative Of Nutmeg liver refers to the mottled appearance of the liver as a result of hepatic venous congestion. Radiologically, it is most appreciable on. Right middle lung lobe atelectatic changes. Nutmeg liver refers to the mottled appearance of the liver as a result of hepatic venous congestion. Highlights the pathophysiology, microscopic findings and associated hepatic diseases with common structural changes, patterns. Nutmeg Liver Is Indicative Of.
From www.scribd.com
Nutmeg Liver PDF Nutmeg Liver Is Indicative Of Radiologically, it is most appreciable on. Right middle lung lobe atelectatic changes. Nutmeg liver refers to the mottled appearance of the liver as a result of hepatic venous congestion. A nutmeg liver appearance is due to a perfusion abnormality of the liver usually as result of hepatic venous congestion. Highlights the pathophysiology, microscopic findings and associated hepatic diseases with common. Nutmeg Liver Is Indicative Of.
From medizzy.com
Nutmeg Liver MEDizzy Nutmeg Liver Is Indicative Of Radiologically, it is most appreciable on. Right middle lung lobe atelectatic changes. Nutmeg liver refers to the mottled appearance of the liver as a result of hepatic venous congestion. Highlights the pathophysiology, microscopic findings and associated hepatic diseases with common structural changes, patterns of cell damage and necrosis, intracellular. Nutmeg liver is most frequently seen in right heart failure, and. Nutmeg Liver Is Indicative Of.
From www.animalia-life.club
Nutmeg Liver Ultrasound Nutmeg Liver Is Indicative Of Nutmeg liver refers to the mottled appearance of the liver as a result of hepatic venous congestion. Right middle lung lobe atelectatic changes. Highlights the pathophysiology, microscopic findings and associated hepatic diseases with common structural changes, patterns of cell damage and necrosis, intracellular. Radiologically, it is most appreciable on. A nutmeg liver appearance is due to a perfusion abnormality of. Nutmeg Liver Is Indicative Of.
From www.slideserve.com
PPT Cardiac Pathology 2 PowerPoint Presentation, free download ID Nutmeg Liver Is Indicative Of Nutmeg liver is most frequently seen in right heart failure, and this diagnosis may be suggested by ancillary imaging findings such. Nutmeg liver refers to the mottled appearance of the liver as a result of hepatic venous congestion. Right middle lung lobe atelectatic changes. Nutmeg liver refers to the mottled appearance of the liver as a result of hepatic venous. Nutmeg Liver Is Indicative Of.
From gioaieiem.blob.core.windows.net
Nutmeg Liver Pathology Outlines at Dennis Tousignant blog Nutmeg Liver Is Indicative Of Right middle lung lobe atelectatic changes. Nutmeg liver refers to the mottled appearance of the liver as a result of hepatic venous congestion. Highlights the pathophysiology, microscopic findings and associated hepatic diseases with common structural changes, patterns of cell damage and necrosis, intracellular. Radiologically, it is most appreciable on. Nutmeg liver refers to the mottled appearance of the liver as. Nutmeg Liver Is Indicative Of.
From pathologyandponies.ca
Nutmeg Liver Pathology and Ponies Nutmeg Liver Is Indicative Of Nutmeg liver is most frequently seen in right heart failure, and this diagnosis may be suggested by ancillary imaging findings such. Nutmeg liver refers to the mottled appearance of the liver as a result of hepatic venous congestion. Right middle lung lobe atelectatic changes. Radiologically, it is most appreciable on. Highlights the pathophysiology, microscopic findings and associated hepatic diseases with. Nutmeg Liver Is Indicative Of.