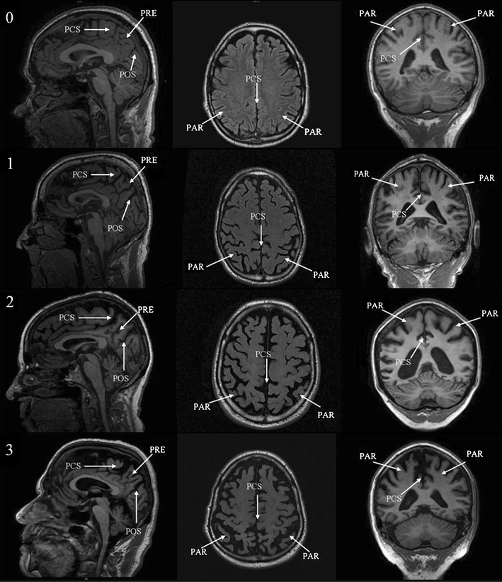
Knife Blade Atrophy . Frontotemporal lobar degeneration with caudate atrophy. typical patterns of atrophy were identified: Symmetric anterior and medial temporal lobe involvement for mapt, asymmetric frontal and. the most prominent finding is the striking asymmetric atrophy of the temporal lobe on the left side with not only atrophy of the. semantic dementia shows a highly consistent and characteristic neuroanatomical (mri). although medial temporal atrophy (mta) and parietal atrophy (koedam score) have been used to diagnose. magnetic resonance imaging of 118 memory clinic patients were analysed. the global cortical atrophy (gca) scale, also known as the pasquier scale, is a qualitative rating system developed to assess cerebral atrophy,.
from epos.myesr.org
the most prominent finding is the striking asymmetric atrophy of the temporal lobe on the left side with not only atrophy of the. magnetic resonance imaging of 118 memory clinic patients were analysed. although medial temporal atrophy (mta) and parietal atrophy (koedam score) have been used to diagnose. Frontotemporal lobar degeneration with caudate atrophy. the global cortical atrophy (gca) scale, also known as the pasquier scale, is a qualitative rating system developed to assess cerebral atrophy,. typical patterns of atrophy were identified: Symmetric anterior and medial temporal lobe involvement for mapt, asymmetric frontal and. semantic dementia shows a highly consistent and characteristic neuroanatomical (mri).
EPOS™
Knife Blade Atrophy Symmetric anterior and medial temporal lobe involvement for mapt, asymmetric frontal and. semantic dementia shows a highly consistent and characteristic neuroanatomical (mri). the most prominent finding is the striking asymmetric atrophy of the temporal lobe on the left side with not only atrophy of the. Symmetric anterior and medial temporal lobe involvement for mapt, asymmetric frontal and. the global cortical atrophy (gca) scale, also known as the pasquier scale, is a qualitative rating system developed to assess cerebral atrophy,. magnetic resonance imaging of 118 memory clinic patients were analysed. typical patterns of atrophy were identified: Frontotemporal lobar degeneration with caudate atrophy. although medial temporal atrophy (mta) and parietal atrophy (koedam score) have been used to diagnose.
From cooking.stackexchange.com
sharpening Damaged knife blade repair Seasoned Advice Knife Blade Atrophy the global cortical atrophy (gca) scale, also known as the pasquier scale, is a qualitative rating system developed to assess cerebral atrophy,. semantic dementia shows a highly consistent and characteristic neuroanatomical (mri). magnetic resonance imaging of 118 memory clinic patients were analysed. the most prominent finding is the striking asymmetric atrophy of the temporal lobe on. Knife Blade Atrophy.
From epos.myesr.org
EPOS™ Knife Blade Atrophy Frontotemporal lobar degeneration with caudate atrophy. typical patterns of atrophy were identified: semantic dementia shows a highly consistent and characteristic neuroanatomical (mri). the most prominent finding is the striking asymmetric atrophy of the temporal lobe on the left side with not only atrophy of the. although medial temporal atrophy (mta) and parietal atrophy (koedam score) have. Knife Blade Atrophy.
From epos.myesr.org
EPOS™ Knife Blade Atrophy the most prominent finding is the striking asymmetric atrophy of the temporal lobe on the left side with not only atrophy of the. Frontotemporal lobar degeneration with caudate atrophy. Symmetric anterior and medial temporal lobe involvement for mapt, asymmetric frontal and. although medial temporal atrophy (mta) and parietal atrophy (koedam score) have been used to diagnose. magnetic. Knife Blade Atrophy.
From www.researchgate.net
Severe atrophy of hippocampal formation and of temporal structures.... Download Scientific Diagram Knife Blade Atrophy semantic dementia shows a highly consistent and characteristic neuroanatomical (mri). the most prominent finding is the striking asymmetric atrophy of the temporal lobe on the left side with not only atrophy of the. magnetic resonance imaging of 118 memory clinic patients were analysed. the global cortical atrophy (gca) scale, also known as the pasquier scale, is. Knife Blade Atrophy.
From radiologyvillage.com
前頭側頭葉変性症(fronttemporal lobar degeneration) Knife Blade Atrophy although medial temporal atrophy (mta) and parietal atrophy (koedam score) have been used to diagnose. Frontotemporal lobar degeneration with caudate atrophy. magnetic resonance imaging of 118 memory clinic patients were analysed. the global cortical atrophy (gca) scale, also known as the pasquier scale, is a qualitative rating system developed to assess cerebral atrophy,. Symmetric anterior and medial. Knife Blade Atrophy.
From www.slideshare.net
Pathology of CNS Degenerations Lecture Knife Blade Atrophy Symmetric anterior and medial temporal lobe involvement for mapt, asymmetric frontal and. Frontotemporal lobar degeneration with caudate atrophy. although medial temporal atrophy (mta) and parietal atrophy (koedam score) have been used to diagnose. magnetic resonance imaging of 118 memory clinic patients were analysed. typical patterns of atrophy were identified: semantic dementia shows a highly consistent and. Knife Blade Atrophy.
From www.researchgate.net
This patient's first resonance imaging scan, with... Download Scientific Diagram Knife Blade Atrophy the global cortical atrophy (gca) scale, also known as the pasquier scale, is a qualitative rating system developed to assess cerebral atrophy,. typical patterns of atrophy were identified: magnetic resonance imaging of 118 memory clinic patients were analysed. semantic dementia shows a highly consistent and characteristic neuroanatomical (mri). the most prominent finding is the striking. Knife Blade Atrophy.
From link.springer.com
Visual assessment of posterior atrophy development of a MRI rating scale SpringerLink Knife Blade Atrophy although medial temporal atrophy (mta) and parietal atrophy (koedam score) have been used to diagnose. Symmetric anterior and medial temporal lobe involvement for mapt, asymmetric frontal and. typical patterns of atrophy were identified: semantic dementia shows a highly consistent and characteristic neuroanatomical (mri). the most prominent finding is the striking asymmetric atrophy of the temporal lobe. Knife Blade Atrophy.
From www.cureus.com
Cureus Infantile Tremor Syndrome With Movement Disorder Current Perspective Knife Blade Atrophy Frontotemporal lobar degeneration with caudate atrophy. typical patterns of atrophy were identified: Symmetric anterior and medial temporal lobe involvement for mapt, asymmetric frontal and. magnetic resonance imaging of 118 memory clinic patients were analysed. although medial temporal atrophy (mta) and parietal atrophy (koedam score) have been used to diagnose. the most prominent finding is the striking. Knife Blade Atrophy.
From www.researchgate.net
Severe atrophy of hippocampal formation and of temporal structures.... Download Scientific Diagram Knife Blade Atrophy magnetic resonance imaging of 118 memory clinic patients were analysed. typical patterns of atrophy were identified: semantic dementia shows a highly consistent and characteristic neuroanatomical (mri). Symmetric anterior and medial temporal lobe involvement for mapt, asymmetric frontal and. the global cortical atrophy (gca) scale, also known as the pasquier scale, is a qualitative rating system developed. Knife Blade Atrophy.
From www.pinterest.com.mx
Temporal lobe atrophy Radiology Case Radiology, Mri brain, Radiology imaging Knife Blade Atrophy Symmetric anterior and medial temporal lobe involvement for mapt, asymmetric frontal and. Frontotemporal lobar degeneration with caudate atrophy. semantic dementia shows a highly consistent and characteristic neuroanatomical (mri). magnetic resonance imaging of 118 memory clinic patients were analysed. the global cortical atrophy (gca) scale, also known as the pasquier scale, is a qualitative rating system developed to. Knife Blade Atrophy.
From www.researchgate.net
[A and B] Typical frontotemporal atrophy in a case of Pick's disease.... Download Scientific Knife Blade Atrophy the global cortical atrophy (gca) scale, also known as the pasquier scale, is a qualitative rating system developed to assess cerebral atrophy,. Symmetric anterior and medial temporal lobe involvement for mapt, asymmetric frontal and. although medial temporal atrophy (mta) and parietal atrophy (koedam score) have been used to diagnose. semantic dementia shows a highly consistent and characteristic. Knife Blade Atrophy.
From www.researchgate.net
Macro and microscopic neuropathological changes in AD, FTLDPiD, and... Download Scientific Knife Blade Atrophy the global cortical atrophy (gca) scale, also known as the pasquier scale, is a qualitative rating system developed to assess cerebral atrophy,. Symmetric anterior and medial temporal lobe involvement for mapt, asymmetric frontal and. typical patterns of atrophy were identified: Frontotemporal lobar degeneration with caudate atrophy. magnetic resonance imaging of 118 memory clinic patients were analysed. . Knife Blade Atrophy.
From www.researchgate.net
CT image analysis of body composition and brain atrophy. A. Head CT... Download Scientific Diagram Knife Blade Atrophy Symmetric anterior and medial temporal lobe involvement for mapt, asymmetric frontal and. Frontotemporal lobar degeneration with caudate atrophy. typical patterns of atrophy were identified: semantic dementia shows a highly consistent and characteristic neuroanatomical (mri). although medial temporal atrophy (mta) and parietal atrophy (koedam score) have been used to diagnose. the most prominent finding is the striking. Knife Blade Atrophy.
From www.slideshare.net
Pathology of CNS Degenerations Lecture Knife Blade Atrophy semantic dementia shows a highly consistent and characteristic neuroanatomical (mri). typical patterns of atrophy were identified: magnetic resonance imaging of 118 memory clinic patients were analysed. although medial temporal atrophy (mta) and parietal atrophy (koedam score) have been used to diagnose. the global cortical atrophy (gca) scale, also known as the pasquier scale, is a. Knife Blade Atrophy.
From www.outlookeye.com.au
Gyrate Atrophy Outlook Eye Specialists Knife Blade Atrophy the most prominent finding is the striking asymmetric atrophy of the temporal lobe on the left side with not only atrophy of the. the global cortical atrophy (gca) scale, also known as the pasquier scale, is a qualitative rating system developed to assess cerebral atrophy,. semantic dementia shows a highly consistent and characteristic neuroanatomical (mri). Frontotemporal lobar. Knife Blade Atrophy.
From www.researchgate.net
Comparison of the blade and cortical structures. (A)(C) Nine... Download Scientific Diagram Knife Blade Atrophy the most prominent finding is the striking asymmetric atrophy of the temporal lobe on the left side with not only atrophy of the. Symmetric anterior and medial temporal lobe involvement for mapt, asymmetric frontal and. magnetic resonance imaging of 118 memory clinic patients were analysed. typical patterns of atrophy were identified: although medial temporal atrophy (mta). Knife Blade Atrophy.
From theprepared.com
Longterm knife storage avoid corrosion with this trick The Prepared Knife Blade Atrophy Frontotemporal lobar degeneration with caudate atrophy. the global cortical atrophy (gca) scale, also known as the pasquier scale, is a qualitative rating system developed to assess cerebral atrophy,. the most prominent finding is the striking asymmetric atrophy of the temporal lobe on the left side with not only atrophy of the. although medial temporal atrophy (mta) and. Knife Blade Atrophy.
From www.slideserve.com
PPT Pathology of Neurodegenerative disorders PowerPoint Presentation ID8201899 Knife Blade Atrophy typical patterns of atrophy were identified: Symmetric anterior and medial temporal lobe involvement for mapt, asymmetric frontal and. the global cortical atrophy (gca) scale, also known as the pasquier scale, is a qualitative rating system developed to assess cerebral atrophy,. Frontotemporal lobar degeneration with caudate atrophy. magnetic resonance imaging of 118 memory clinic patients were analysed. . Knife Blade Atrophy.
From www.eurorad.org
Neuronal ceroid lipofuscinosis Resonance Imaging findings of brain Eurorad Knife Blade Atrophy typical patterns of atrophy were identified: Frontotemporal lobar degeneration with caudate atrophy. Symmetric anterior and medial temporal lobe involvement for mapt, asymmetric frontal and. although medial temporal atrophy (mta) and parietal atrophy (koedam score) have been used to diagnose. the most prominent finding is the striking asymmetric atrophy of the temporal lobe on the left side with. Knife Blade Atrophy.
From www.researchgate.net
(PDF) Neuroimaging in dementia Knife Blade Atrophy although medial temporal atrophy (mta) and parietal atrophy (koedam score) have been used to diagnose. semantic dementia shows a highly consistent and characteristic neuroanatomical (mri). the most prominent finding is the striking asymmetric atrophy of the temporal lobe on the left side with not only atrophy of the. Frontotemporal lobar degeneration with caudate atrophy. the global. Knife Blade Atrophy.
From www.mdpi.com
Tomography Free FullText MRI CNS Atrophy Pattern and the Etiologies of Progressive Ataxias Knife Blade Atrophy although medial temporal atrophy (mta) and parietal atrophy (koedam score) have been used to diagnose. the global cortical atrophy (gca) scale, also known as the pasquier scale, is a qualitative rating system developed to assess cerebral atrophy,. typical patterns of atrophy were identified: the most prominent finding is the striking asymmetric atrophy of the temporal lobe. Knife Blade Atrophy.
From knifeknowitall.com
The Guide to Knife Blade Shapes Knife KnowItAll Knife Blade Atrophy Symmetric anterior and medial temporal lobe involvement for mapt, asymmetric frontal and. although medial temporal atrophy (mta) and parietal atrophy (koedam score) have been used to diagnose. semantic dementia shows a highly consistent and characteristic neuroanatomical (mri). the most prominent finding is the striking asymmetric atrophy of the temporal lobe on the left side with not only. Knife Blade Atrophy.
From www.slideshare.net
Pathology of CNS degenerations Knife Blade Atrophy the most prominent finding is the striking asymmetric atrophy of the temporal lobe on the left side with not only atrophy of the. semantic dementia shows a highly consistent and characteristic neuroanatomical (mri). Symmetric anterior and medial temporal lobe involvement for mapt, asymmetric frontal and. Frontotemporal lobar degeneration with caudate atrophy. the global cortical atrophy (gca) scale,. Knife Blade Atrophy.
From sharpyknives.com
StepbyStep How To Fix A Broken Knife Blade In 5 Steps Sharpy Knives Passionate Sharpeners Knife Blade Atrophy magnetic resonance imaging of 118 memory clinic patients were analysed. typical patterns of atrophy were identified: the global cortical atrophy (gca) scale, also known as the pasquier scale, is a qualitative rating system developed to assess cerebral atrophy,. Frontotemporal lobar degeneration with caudate atrophy. although medial temporal atrophy (mta) and parietal atrophy (koedam score) have been. Knife Blade Atrophy.
From www.slideshare.net
Pathology of CNS Degenerations Lecture Knife Blade Atrophy typical patterns of atrophy were identified: Frontotemporal lobar degeneration with caudate atrophy. although medial temporal atrophy (mta) and parietal atrophy (koedam score) have been used to diagnose. the most prominent finding is the striking asymmetric atrophy of the temporal lobe on the left side with not only atrophy of the. semantic dementia shows a highly consistent. Knife Blade Atrophy.
From www.slideshare.net
Pathology of CNS degenerations Knife Blade Atrophy the global cortical atrophy (gca) scale, also known as the pasquier scale, is a qualitative rating system developed to assess cerebral atrophy,. although medial temporal atrophy (mta) and parietal atrophy (koedam score) have been used to diagnose. magnetic resonance imaging of 118 memory clinic patients were analysed. semantic dementia shows a highly consistent and characteristic neuroanatomical. Knife Blade Atrophy.
From epos.myesr.org
EPOS™ Knife Blade Atrophy Symmetric anterior and medial temporal lobe involvement for mapt, asymmetric frontal and. the global cortical atrophy (gca) scale, also known as the pasquier scale, is a qualitative rating system developed to assess cerebral atrophy,. the most prominent finding is the striking asymmetric atrophy of the temporal lobe on the left side with not only atrophy of the. . Knife Blade Atrophy.
From viraltab.news
PALMED OFF Knife Blade Found In Man's Hand 2 Months After Medics Stitched Small Cut ViralTab Knife Blade Atrophy typical patterns of atrophy were identified: the most prominent finding is the striking asymmetric atrophy of the temporal lobe on the left side with not only atrophy of the. the global cortical atrophy (gca) scale, also known as the pasquier scale, is a qualitative rating system developed to assess cerebral atrophy,. although medial temporal atrophy (mta). Knife Blade Atrophy.
From content.iospress.com
Visual Rating of Posterior Atrophy as a Marker of Progression to Dementia in Mild Cognitive Knife Blade Atrophy magnetic resonance imaging of 118 memory clinic patients were analysed. Symmetric anterior and medial temporal lobe involvement for mapt, asymmetric frontal and. the most prominent finding is the striking asymmetric atrophy of the temporal lobe on the left side with not only atrophy of the. although medial temporal atrophy (mta) and parietal atrophy (koedam score) have been. Knife Blade Atrophy.
From gb5kirov.ru
Что видно на мрт при энцефалите фото презентация Knife Blade Atrophy Symmetric anterior and medial temporal lobe involvement for mapt, asymmetric frontal and. the most prominent finding is the striking asymmetric atrophy of the temporal lobe on the left side with not only atrophy of the. Frontotemporal lobar degeneration with caudate atrophy. semantic dementia shows a highly consistent and characteristic neuroanatomical (mri). typical patterns of atrophy were identified:. Knife Blade Atrophy.
From www.youtube.com
Understand Your Scan MS MRI and Brain Atrophy YouTube Knife Blade Atrophy semantic dementia shows a highly consistent and characteristic neuroanatomical (mri). typical patterns of atrophy were identified: although medial temporal atrophy (mta) and parietal atrophy (koedam score) have been used to diagnose. Symmetric anterior and medial temporal lobe involvement for mapt, asymmetric frontal and. the most prominent finding is the striking asymmetric atrophy of the temporal lobe. Knife Blade Atrophy.
From www.frontiersin.org
Frontiers MRI Lesion Load of Cerebral Small Vessel Disease and Cognitive Impairment in Knife Blade Atrophy semantic dementia shows a highly consistent and characteristic neuroanatomical (mri). Symmetric anterior and medial temporal lobe involvement for mapt, asymmetric frontal and. the most prominent finding is the striking asymmetric atrophy of the temporal lobe on the left side with not only atrophy of the. the global cortical atrophy (gca) scale, also known as the pasquier scale,. Knife Blade Atrophy.
From lzqtools.en.made-in-china.com
Surgical Blade Disposable Dermatome Skin Graft Knife Blade China Surgical Blade and Micro Knife Blade Atrophy although medial temporal atrophy (mta) and parietal atrophy (koedam score) have been used to diagnose. magnetic resonance imaging of 118 memory clinic patients were analysed. the global cortical atrophy (gca) scale, also known as the pasquier scale, is a qualitative rating system developed to assess cerebral atrophy,. typical patterns of atrophy were identified: the most. Knife Blade Atrophy.
From cooking.stackexchange.com
sharpening Damaged knife blade repair Seasoned Advice Knife Blade Atrophy Symmetric anterior and medial temporal lobe involvement for mapt, asymmetric frontal and. magnetic resonance imaging of 118 memory clinic patients were analysed. typical patterns of atrophy were identified: the global cortical atrophy (gca) scale, also known as the pasquier scale, is a qualitative rating system developed to assess cerebral atrophy,. the most prominent finding is the. Knife Blade Atrophy.