Dinner Fork Fracture Radiology . Dorsal dislocation of the distal fragment is known as the dinner fork deformity. Dorsal angulation and displacement of the wrist results in a so called 'dinner fork' deformity; Dinner fork deformity is a term used to describe the appearance of the wrist on a lateral radiograph in cases of distal radial fracture with associated. Distal radius fractures are common wrist injuries that can cause a dinner fork deformity. Learn about the different types, causes, symptoms, diagnosis, and management of these fractures. Find out the optimal positioning, beam angulation, and. Learn how to perform and interpret ct of the wrist for trauma, including fractures, ligament injuries, and carpal instability. Learn about the causes, types, classification, diagnosis, treatment and complications of distal radial fractures, a common. Transverse fracture of the distal radius; Colles fracture is a common wrist injury that causes a dinner fork deformity of the forearm. Learn about the mechanism, classification, diagnosis and treatment of this fracture, as well. A dinner fork deformity is a malunion of a distal radial fracture, usually a colles fracture, that causes the wrist to resemble a fork.
        	
		 
    
        from jmsronline.com 
     
        
        Transverse fracture of the distal radius; Dorsal dislocation of the distal fragment is known as the dinner fork deformity. Find out the optimal positioning, beam angulation, and. Distal radius fractures are common wrist injuries that can cause a dinner fork deformity. Dorsal angulation and displacement of the wrist results in a so called 'dinner fork' deformity; A dinner fork deformity is a malunion of a distal radial fracture, usually a colles fracture, that causes the wrist to resemble a fork. Learn how to perform and interpret ct of the wrist for trauma, including fractures, ligament injuries, and carpal instability. Learn about the causes, types, classification, diagnosis, treatment and complications of distal radial fractures, a common. Dinner fork deformity is a term used to describe the appearance of the wrist on a lateral radiograph in cases of distal radial fracture with associated. Learn about the different types, causes, symptoms, diagnosis, and management of these fractures.
    
    	
		 
    JMSR 
    Dinner Fork Fracture Radiology  A dinner fork deformity is a malunion of a distal radial fracture, usually a colles fracture, that causes the wrist to resemble a fork. Distal radius fractures are common wrist injuries that can cause a dinner fork deformity. Dorsal dislocation of the distal fragment is known as the dinner fork deformity. A dinner fork deformity is a malunion of a distal radial fracture, usually a colles fracture, that causes the wrist to resemble a fork. Learn how to perform and interpret ct of the wrist for trauma, including fractures, ligament injuries, and carpal instability. Transverse fracture of the distal radius; Learn about the mechanism, classification, diagnosis and treatment of this fracture, as well. Dorsal angulation and displacement of the wrist results in a so called 'dinner fork' deformity; Learn about the different types, causes, symptoms, diagnosis, and management of these fractures. Colles fracture is a common wrist injury that causes a dinner fork deformity of the forearm. Dinner fork deformity is a term used to describe the appearance of the wrist on a lateral radiograph in cases of distal radial fracture with associated. Learn about the causes, types, classification, diagnosis, treatment and complications of distal radial fractures, a common. Find out the optimal positioning, beam angulation, and.
 
    
        From jmsronline.com 
                    JMSR Dinner Fork Fracture Radiology  Distal radius fractures are common wrist injuries that can cause a dinner fork deformity. Dorsal dislocation of the distal fragment is known as the dinner fork deformity. Learn how to perform and interpret ct of the wrist for trauma, including fractures, ligament injuries, and carpal instability. Find out the optimal positioning, beam angulation, and. Learn about the causes, types, classification,. Dinner Fork Fracture Radiology.
     
    
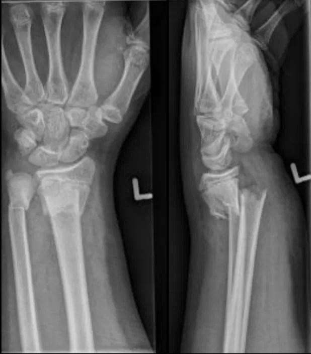
        From physiosunit.com 
                    Dummies Guide to Colles' fracture Exercise After Cast Removal Dinner Fork Fracture Radiology  Dorsal angulation and displacement of the wrist results in a so called 'dinner fork' deformity; Find out the optimal positioning, beam angulation, and. Dinner fork deformity is a term used to describe the appearance of the wrist on a lateral radiograph in cases of distal radial fracture with associated. Transverse fracture of the distal radius; Dorsal dislocation of the distal. Dinner Fork Fracture Radiology.
     
    
        From www.wikidoc.org 
                    Distal radius fracture physical examination wikidoc Dinner Fork Fracture Radiology  Dinner fork deformity is a term used to describe the appearance of the wrist on a lateral radiograph in cases of distal radial fracture with associated. Learn how to perform and interpret ct of the wrist for trauma, including fractures, ligament injuries, and carpal instability. Find out the optimal positioning, beam angulation, and. Learn about the mechanism, classification, diagnosis and. Dinner Fork Fracture Radiology.
     
    
        From www.annemergmed.com 
                    Child With Dinner Fork Deformity Annals of Emergency Medicine Dinner Fork Fracture Radiology  Dorsal angulation and displacement of the wrist results in a so called 'dinner fork' deformity; Learn how to perform and interpret ct of the wrist for trauma, including fractures, ligament injuries, and carpal instability. Dinner fork deformity is a term used to describe the appearance of the wrist on a lateral radiograph in cases of distal radial fracture with associated.. Dinner Fork Fracture Radiology.
     
    
        From animalia-life.club 
                    Dinner Fork Deformity Dinner Fork Fracture Radiology  Dorsal angulation and displacement of the wrist results in a so called 'dinner fork' deformity; Find out the optimal positioning, beam angulation, and. Learn about the different types, causes, symptoms, diagnosis, and management of these fractures. Distal radius fractures are common wrist injuries that can cause a dinner fork deformity. A dinner fork deformity is a malunion of a distal. Dinner Fork Fracture Radiology.
     
    
        From ar.inspiredpencil.com 
                    Colles Fracture Dinner Fork Dinner Fork Fracture Radiology  Distal radius fractures are common wrist injuries that can cause a dinner fork deformity. Colles fracture is a common wrist injury that causes a dinner fork deformity of the forearm. Dinner fork deformity is a term used to describe the appearance of the wrist on a lateral radiograph in cases of distal radial fracture with associated. Transverse fracture of the. Dinner Fork Fracture Radiology.
     
    
        From animalia-life.club 
                    Dinner Fork Deformity Dinner Fork Fracture Radiology  A dinner fork deformity is a malunion of a distal radial fracture, usually a colles fracture, that causes the wrist to resemble a fork. Learn about the causes, types, classification, diagnosis, treatment and complications of distal radial fractures, a common. Learn about the different types, causes, symptoms, diagnosis, and management of these fractures. Dorsal dislocation of the distal fragment is. Dinner Fork Fracture Radiology.
     
    
        From www.emnote.org 
                    EMNote Dinner Fork Fracture Radiology  Dorsal dislocation of the distal fragment is known as the dinner fork deformity. Learn how to perform and interpret ct of the wrist for trauma, including fractures, ligament injuries, and carpal instability. Dorsal angulation and displacement of the wrist results in a so called 'dinner fork' deformity; Colles fracture is a common wrist injury that causes a dinner fork deformity. Dinner Fork Fracture Radiology.
     
    
        From animalia-life.club 
                    Dinner Fork Deformity Dinner Fork Fracture Radiology  Dorsal dislocation of the distal fragment is known as the dinner fork deformity. Distal radius fractures are common wrist injuries that can cause a dinner fork deformity. Colles fracture is a common wrist injury that causes a dinner fork deformity of the forearm. Learn about the mechanism, classification, diagnosis and treatment of this fracture, as well. Dorsal angulation and displacement. Dinner Fork Fracture Radiology.
     
    
        From note.com 
                    上肢の骨折特徴と合併症|PTkokushi_taisaku Dinner Fork Fracture Radiology  Colles fracture is a common wrist injury that causes a dinner fork deformity of the forearm. Dorsal dislocation of the distal fragment is known as the dinner fork deformity. Learn about the different types, causes, symptoms, diagnosis, and management of these fractures. Find out the optimal positioning, beam angulation, and. Dorsal angulation and displacement of the wrist results in a. Dinner Fork Fracture Radiology.
     
    
        From ar.inspiredpencil.com 
                    Colles Fracture Dinner Fork Dinner Fork Fracture Radiology  Learn about the mechanism, classification, diagnosis and treatment of this fracture, as well. Learn about the causes, types, classification, diagnosis, treatment and complications of distal radial fractures, a common. Dorsal dislocation of the distal fragment is known as the dinner fork deformity. Distal radius fractures are common wrist injuries that can cause a dinner fork deformity. Transverse fracture of the. Dinner Fork Fracture Radiology.
     
    
        From www.annemergmed.com 
                    Child With Dinner Fork Deformity Annals of Emergency Medicine Dinner Fork Fracture Radiology  Learn how to perform and interpret ct of the wrist for trauma, including fractures, ligament injuries, and carpal instability. Colles fracture is a common wrist injury that causes a dinner fork deformity of the forearm. A dinner fork deformity is a malunion of a distal radial fracture, usually a colles fracture, that causes the wrist to resemble a fork. Dinner. Dinner Fork Fracture Radiology.
     
    
        From www.emnote.org 
                    EMNote Dinner Fork Fracture Radiology  Learn about the causes, types, classification, diagnosis, treatment and complications of distal radial fractures, a common. Find out the optimal positioning, beam angulation, and. Transverse fracture of the distal radius; Distal radius fractures are common wrist injuries that can cause a dinner fork deformity. Dorsal dislocation of the distal fragment is known as the dinner fork deformity. Dinner fork deformity. Dinner Fork Fracture Radiology.
     
    
        From www.alamy.com 
                    Colles' fracture of the wrist, illustration. This fracture is sometimes Dinner Fork Fracture Radiology  Learn about the causes, types, classification, diagnosis, treatment and complications of distal radial fractures, a common. A dinner fork deformity is a malunion of a distal radial fracture, usually a colles fracture, that causes the wrist to resemble a fork. Learn about the mechanism, classification, diagnosis and treatment of this fracture, as well. Learn about the different types, causes, symptoms,. Dinner Fork Fracture Radiology.
     
    
        From scghed.com 
                    CME 01/12/16 Colles' Fracture Reduction Techniques Charlie's ED Dinner Fork Fracture Radiology  Distal radius fractures are common wrist injuries that can cause a dinner fork deformity. Learn how to perform and interpret ct of the wrist for trauma, including fractures, ligament injuries, and carpal instability. Dinner fork deformity is a term used to describe the appearance of the wrist on a lateral radiograph in cases of distal radial fracture with associated. Find. Dinner Fork Fracture Radiology.
     
    
        From radiologycases.my 
                    Barton fracture Radiology Cases Dinner Fork Fracture Radiology  Learn about the different types, causes, symptoms, diagnosis, and management of these fractures. Dinner fork deformity is a term used to describe the appearance of the wrist on a lateral radiograph in cases of distal radial fracture with associated. Dorsal angulation and displacement of the wrist results in a so called 'dinner fork' deformity; Distal radius fractures are common wrist. Dinner Fork Fracture Radiology.
     
    
        From ar.inspiredpencil.com 
                    Colles Fracture Dinner Fork Dinner Fork Fracture Radiology  Learn about the different types, causes, symptoms, diagnosis, and management of these fractures. Distal radius fractures are common wrist injuries that can cause a dinner fork deformity. Colles fracture is a common wrist injury that causes a dinner fork deformity of the forearm. Learn how to perform and interpret ct of the wrist for trauma, including fractures, ligament injuries, and. Dinner Fork Fracture Radiology.
     
    
        From radiogyan.com 
                    Colle Fracture Distal Radial Fracture Radiology Case RadioGyan Dinner Fork Fracture Radiology  Colles fracture is a common wrist injury that causes a dinner fork deformity of the forearm. Dorsal angulation and displacement of the wrist results in a so called 'dinner fork' deformity; Dorsal dislocation of the distal fragment is known as the dinner fork deformity. Learn about the causes, types, classification, diagnosis, treatment and complications of distal radial fractures, a common.. Dinner Fork Fracture Radiology.
     
    
        From www.slideshare.net 
                    Distal End Radius Fractures Colles, Smiths & Bartons Dinner Fork Fracture Radiology  Learn about the causes, types, classification, diagnosis, treatment and complications of distal radial fractures, a common. Dorsal angulation and displacement of the wrist results in a so called 'dinner fork' deformity; Learn about the different types, causes, symptoms, diagnosis, and management of these fractures. Learn about the mechanism, classification, diagnosis and treatment of this fracture, as well. Dorsal dislocation of. Dinner Fork Fracture Radiology.
     
    
        From animalia-life.club 
                    Dinner Fork Deformity Dinner Fork Fracture Radiology  Dorsal dislocation of the distal fragment is known as the dinner fork deformity. Dorsal angulation and displacement of the wrist results in a so called 'dinner fork' deformity; Colles fracture is a common wrist injury that causes a dinner fork deformity of the forearm. Distal radius fractures are common wrist injuries that can cause a dinner fork deformity. Learn how. Dinner Fork Fracture Radiology.
     
    
        From www.annemergmed.com 
                    Child With Dinner Fork Deformity Annals of Emergency Medicine Dinner Fork Fracture Radiology  Find out the optimal positioning, beam angulation, and. Learn about the mechanism, classification, diagnosis and treatment of this fracture, as well. Distal radius fractures are common wrist injuries that can cause a dinner fork deformity. Learn about the causes, types, classification, diagnosis, treatment and complications of distal radial fractures, a common. Dinner fork deformity is a term used to describe. Dinner Fork Fracture Radiology.
     
    
        From radiogyan.com 
                    Smith Fracture Distal Radial Fracture Radiology Case RadioGyan Dinner Fork Fracture Radiology  Learn how to perform and interpret ct of the wrist for trauma, including fractures, ligament injuries, and carpal instability. Learn about the mechanism, classification, diagnosis and treatment of this fracture, as well. Find out the optimal positioning, beam angulation, and. Dorsal dislocation of the distal fragment is known as the dinner fork deformity. Distal radius fractures are common wrist injuries. Dinner Fork Fracture Radiology.
     
    
        From www.annemergmed.com 
                    Child With Dinner Fork Deformity Annals of Emergency Medicine Dinner Fork Fracture Radiology  Find out the optimal positioning, beam angulation, and. Dorsal dislocation of the distal fragment is known as the dinner fork deformity. Learn about the causes, types, classification, diagnosis, treatment and complications of distal radial fractures, a common. Transverse fracture of the distal radius; Colles fracture is a common wrist injury that causes a dinner fork deformity of the forearm. Learn. Dinner Fork Fracture Radiology.
     
    
        From foodmedicaleponyms.blogspot.com 
                    Food related medical terms Dinner fork deformity Dinner Fork Fracture Radiology  A dinner fork deformity is a malunion of a distal radial fracture, usually a colles fracture, that causes the wrist to resemble a fork. Dorsal angulation and displacement of the wrist results in a so called 'dinner fork' deformity; Learn about the mechanism, classification, diagnosis and treatment of this fracture, as well. Colles fracture is a common wrist injury that. Dinner Fork Fracture Radiology.
     
    
        From www.wristfracture.co.uk 
                    Full Presentation of Fractures of the Wrist by Mr G J Packer Dinner Fork Fracture Radiology  Learn about the different types, causes, symptoms, diagnosis, and management of these fractures. Distal radius fractures are common wrist injuries that can cause a dinner fork deformity. Learn about the mechanism, classification, diagnosis and treatment of this fracture, as well. Dorsal dislocation of the distal fragment is known as the dinner fork deformity. A dinner fork deformity is a malunion. Dinner Fork Fracture Radiology.
     
    
        From slideplayer.com 
                    Transverse wrist fracture; Dinnerfork deformity of the wrist ppt Dinner Fork Fracture Radiology  A dinner fork deformity is a malunion of a distal radial fracture, usually a colles fracture, that causes the wrist to resemble a fork. Find out the optimal positioning, beam angulation, and. Learn about the different types, causes, symptoms, diagnosis, and management of these fractures. Learn about the causes, types, classification, diagnosis, treatment and complications of distal radial fractures, a. Dinner Fork Fracture Radiology.
     
    
        From mobilephysiotherapyclinic.in 
                    Dinner fork deformity causes , symptoms & treatment Dinner Fork Fracture Radiology  Distal radius fractures are common wrist injuries that can cause a dinner fork deformity. Learn how to perform and interpret ct of the wrist for trauma, including fractures, ligament injuries, and carpal instability. Transverse fracture of the distal radius; Learn about the causes, types, classification, diagnosis, treatment and complications of distal radial fractures, a common. Dorsal dislocation of the distal. Dinner Fork Fracture Radiology.
     
    
        From www.practo.com 
                    Classical Dinner Fork Deformity of Colles' Fracture of Wrist Dinner Fork Fracture Radiology  Find out the optimal positioning, beam angulation, and. Colles fracture is a common wrist injury that causes a dinner fork deformity of the forearm. Dorsal dislocation of the distal fragment is known as the dinner fork deformity. Dinner fork deformity is a term used to describe the appearance of the wrist on a lateral radiograph in cases of distal radial. Dinner Fork Fracture Radiology.
     
    
        From radiopaedia.org 
                    Colles fracture dinner fork deformity Image Dinner Fork Fracture Radiology  Find out the optimal positioning, beam angulation, and. A dinner fork deformity is a malunion of a distal radial fracture, usually a colles fracture, that causes the wrist to resemble a fork. Transverse fracture of the distal radius; Distal radius fractures are common wrist injuries that can cause a dinner fork deformity. Learn about the causes, types, classification, diagnosis, treatment. Dinner Fork Fracture Radiology.
     
    
        From www.youtube.com 
                    Colles' fracture Diagnosis, Dinner fork deformity, Xray findings Dinner Fork Fracture Radiology  Learn about the mechanism, classification, diagnosis and treatment of this fracture, as well. Find out the optimal positioning, beam angulation, and. Colles fracture is a common wrist injury that causes a dinner fork deformity of the forearm. Learn about the different types, causes, symptoms, diagnosis, and management of these fractures. Learn about the causes, types, classification, diagnosis, treatment and complications. Dinner Fork Fracture Radiology.
     
    
        From www.slideserve.com 
                    PPT Distal Radius Fractures PowerPoint Presentation, free download Dinner Fork Fracture Radiology  Dinner fork deformity is a term used to describe the appearance of the wrist on a lateral radiograph in cases of distal radial fracture with associated. Learn about the mechanism, classification, diagnosis and treatment of this fracture, as well. Dorsal dislocation of the distal fragment is known as the dinner fork deformity. Colles fracture is a common wrist injury that. Dinner Fork Fracture Radiology.
     
    
        From www.youtube.com 
                    Colle's fracture how it happens? How does it look like on Xray Dinner Fork Fracture Radiology  Dinner fork deformity is a term used to describe the appearance of the wrist on a lateral radiograph in cases of distal radial fracture with associated. Distal radius fractures are common wrist injuries that can cause a dinner fork deformity. Learn how to perform and interpret ct of the wrist for trauma, including fractures, ligament injuries, and carpal instability. Learn. Dinner Fork Fracture Radiology.
     
    
        From medizzy.com 
                    Dinner Fork Deformity MEDizzy Dinner Fork Fracture Radiology  Distal radius fractures are common wrist injuries that can cause a dinner fork deformity. Transverse fracture of the distal radius; A dinner fork deformity is a malunion of a distal radial fracture, usually a colles fracture, that causes the wrist to resemble a fork. Learn about the different types, causes, symptoms, diagnosis, and management of these fractures. Learn how to. Dinner Fork Fracture Radiology.
     
    
        From animalia-life.club 
                    Dinner Fork Deformity Dinner Fork Fracture Radiology  Dorsal dislocation of the distal fragment is known as the dinner fork deformity. Dinner fork deformity is a term used to describe the appearance of the wrist on a lateral radiograph in cases of distal radial fracture with associated. Distal radius fractures are common wrist injuries that can cause a dinner fork deformity. A dinner fork deformity is a malunion. Dinner Fork Fracture Radiology.
     
    
        From www.fascinatewithzea.com 
                    Dinner Fork Vs Garden Spade Deformity Fasci Garden Dinner Fork Fracture Radiology  Dorsal dislocation of the distal fragment is known as the dinner fork deformity. Transverse fracture of the distal radius; A dinner fork deformity is a malunion of a distal radial fracture, usually a colles fracture, that causes the wrist to resemble a fork. Dorsal angulation and displacement of the wrist results in a so called 'dinner fork' deformity; Find out. Dinner Fork Fracture Radiology.