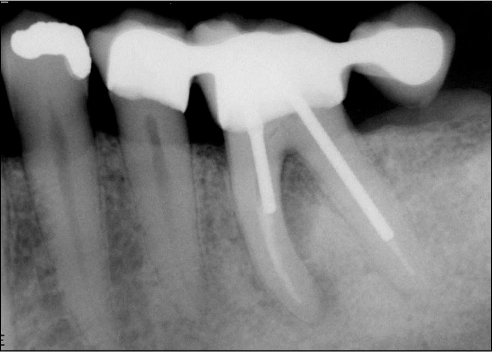
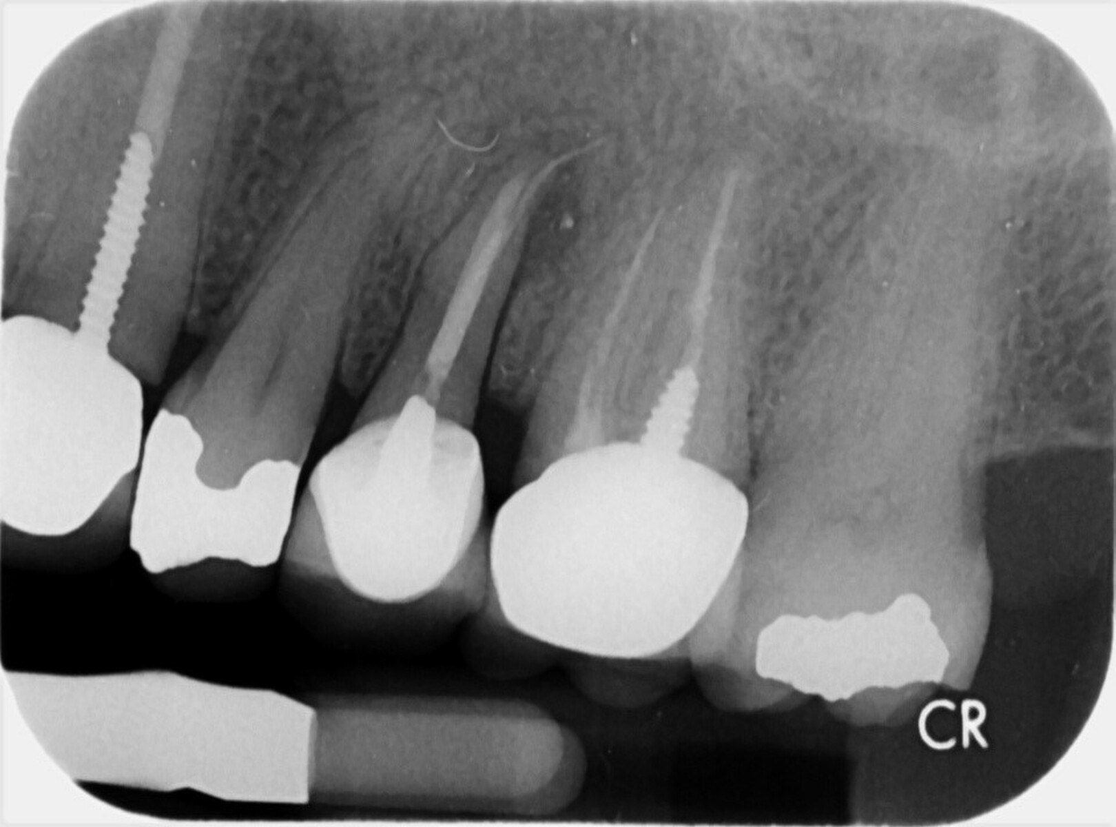
Bifurcated Root . A bifurcation is a juncture of two roots at the base of a tooth, which can be affected by bone loss and periodontal disease. Learn what bifurcation and trifurcation are in a tooth, how they affect the root structure and the surrounding bone, and how to treat them. This chapter reviews the external and internal morphology of roots and canals, and introduces a new coding system for classifying. The mandibular first and second premolars typically present with single roots but may have bifurcated roots in rare situations. Find out the causes, symptoms, diagnosis and prognosis of furcation involvement of a dental infection. Which of the following premolar teeth normally has a bifurcated root? Mandibular first premolars may also exhibit a bifurcated root, one buccal, and one lingual (fig.
        
        from www.slideserve.com 
     
        
        This chapter reviews the external and internal morphology of roots and canals, and introduces a new coding system for classifying. Find out the causes, symptoms, diagnosis and prognosis of furcation involvement of a dental infection. A bifurcation is a juncture of two roots at the base of a tooth, which can be affected by bone loss and periodontal disease. Mandibular first premolars may also exhibit a bifurcated root, one buccal, and one lingual (fig. Learn what bifurcation and trifurcation are in a tooth, how they affect the root structure and the surrounding bone, and how to treat them. The mandibular first and second premolars typically present with single roots but may have bifurcated roots in rare situations. Which of the following premolar teeth normally has a bifurcated root?
    
    	
            
	
		 
         
    PPT Anatomical Structures of the Teeth PowerPoint Presentation, free 
    Bifurcated Root  Find out the causes, symptoms, diagnosis and prognosis of furcation involvement of a dental infection. Which of the following premolar teeth normally has a bifurcated root? A bifurcation is a juncture of two roots at the base of a tooth, which can be affected by bone loss and periodontal disease. The mandibular first and second premolars typically present with single roots but may have bifurcated roots in rare situations. Find out the causes, symptoms, diagnosis and prognosis of furcation involvement of a dental infection. Mandibular first premolars may also exhibit a bifurcated root, one buccal, and one lingual (fig. This chapter reviews the external and internal morphology of roots and canals, and introduces a new coding system for classifying. Learn what bifurcation and trifurcation are in a tooth, how they affect the root structure and the surrounding bone, and how to treat them.
            
	
		 
         
 
    
        From www.pinterest.co.uk 
                    300 Dental Anatomy Facts PART 3 CANINES NBDE Part 1 Dental Bifurcated Root  A bifurcation is a juncture of two roots at the base of a tooth, which can be affected by bone loss and periodontal disease. Which of the following premolar teeth normally has a bifurcated root? Find out the causes, symptoms, diagnosis and prognosis of furcation involvement of a dental infection. The mandibular first and second premolars typically present with single. Bifurcated Root.
     
    
        From www.researchgate.net 
                     Effect of auxin treatment on bifurcation of root apical meristem Bifurcated Root  This chapter reviews the external and internal morphology of roots and canals, and introduces a new coding system for classifying. A bifurcation is a juncture of two roots at the base of a tooth, which can be affected by bone loss and periodontal disease. Which of the following premolar teeth normally has a bifurcated root? Find out the causes, symptoms,. Bifurcated Root.
     
    
        From www.researchgate.net 
                    (PDF) Mandibular First Premolars With Bifurcated Root and Two canals Bifurcated Root  A bifurcation is a juncture of two roots at the base of a tooth, which can be affected by bone loss and periodontal disease. Find out the causes, symptoms, diagnosis and prognosis of furcation involvement of a dental infection. Mandibular first premolars may also exhibit a bifurcated root, one buccal, and one lingual (fig. Learn what bifurcation and trifurcation are. Bifurcated Root.
     
    
        From www.dental-tribune.com 
                    Buccal root of the bifurcated maxillary premolar—a danger zone during Bifurcated Root  A bifurcation is a juncture of two roots at the base of a tooth, which can be affected by bone loss and periodontal disease. Find out the causes, symptoms, diagnosis and prognosis of furcation involvement of a dental infection. The mandibular first and second premolars typically present with single roots but may have bifurcated roots in rare situations. Mandibular first. Bifurcated Root.
     
    
        From www.seddonendo.com 
                    root canal cases Bifurcated Root  Find out the causes, symptoms, diagnosis and prognosis of furcation involvement of a dental infection. This chapter reviews the external and internal morphology of roots and canals, and introduces a new coding system for classifying. A bifurcation is a juncture of two roots at the base of a tooth, which can be affected by bone loss and periodontal disease. Mandibular. Bifurcated Root.
     
    
        From www.thecardiologyadvisor.com 
                    Bifurcation Lesions The Cardiology Advisor Bifurcated Root  Learn what bifurcation and trifurcation are in a tooth, how they affect the root structure and the surrounding bone, and how to treat them. The mandibular first and second premolars typically present with single roots but may have bifurcated roots in rare situations. Mandibular first premolars may also exhibit a bifurcated root, one buccal, and one lingual (fig. This chapter. Bifurcated Root.
     
    
        From pocketdentistry.com 
                    Root Canal Anatomy Pocket Dentistry Bifurcated Root  The mandibular first and second premolars typically present with single roots but may have bifurcated roots in rare situations. Find out the causes, symptoms, diagnosis and prognosis of furcation involvement of a dental infection. Which of the following premolar teeth normally has a bifurcated root? Mandibular first premolars may also exhibit a bifurcated root, one buccal, and one lingual (fig.. Bifurcated Root.
     
    
        From www.researchgate.net 
                    External root morphology of maxillary first premolars. (A) Single root Bifurcated Root  Learn what bifurcation and trifurcation are in a tooth, how they affect the root structure and the surrounding bone, and how to treat them. Find out the causes, symptoms, diagnosis and prognosis of furcation involvement of a dental infection. This chapter reviews the external and internal morphology of roots and canals, and introduces a new coding system for classifying. Mandibular. Bifurcated Root.
     
    
        From www.jendodon.com 
                    Vertical Root Fracture in Buccal Roots of Bifurcated Maxillary Bifurcated Root  A bifurcation is a juncture of two roots at the base of a tooth, which can be affected by bone loss and periodontal disease. Mandibular first premolars may also exhibit a bifurcated root, one buccal, and one lingual (fig. This chapter reviews the external and internal morphology of roots and canals, and introduces a new coding system for classifying. Find. Bifurcated Root.
     
    
        From www.researchgate.net 
                    Vascular illustration. (A) Aortobifemoral repair with bifurcated Bifurcated Root  This chapter reviews the external and internal morphology of roots and canals, and introduces a new coding system for classifying. A bifurcation is a juncture of two roots at the base of a tooth, which can be affected by bone loss and periodontal disease. Find out the causes, symptoms, diagnosis and prognosis of furcation involvement of a dental infection. Mandibular. Bifurcated Root.
     
    
        From dentagama.com 
                    What is bifurcation and trifurcation in a tooth? News Dentagama Bifurcated Root  The mandibular first and second premolars typically present with single roots but may have bifurcated roots in rare situations. This chapter reviews the external and internal morphology of roots and canals, and introduces a new coding system for classifying. Find out the causes, symptoms, diagnosis and prognosis of furcation involvement of a dental infection. A bifurcation is a juncture of. Bifurcated Root.
     
    
        From pocketdentistry.com 
                    2 The Tooth Functions and Terms Pocket Dentistry Bifurcated Root  Find out the causes, symptoms, diagnosis and prognosis of furcation involvement of a dental infection. Learn what bifurcation and trifurcation are in a tooth, how they affect the root structure and the surrounding bone, and how to treat them. This chapter reviews the external and internal morphology of roots and canals, and introduces a new coding system for classifying. The. Bifurcated Root.
     
    
        From twitter.com 
                    Plant Physiology on Twitter "Cellular and gene expression patterns Bifurcated Root  This chapter reviews the external and internal morphology of roots and canals, and introduces a new coding system for classifying. A bifurcation is a juncture of two roots at the base of a tooth, which can be affected by bone loss and periodontal disease. Learn what bifurcation and trifurcation are in a tooth, how they affect the root structure and. Bifurcated Root.
     
    
        From www.dental-tribune.com 
                    Buccal root of the bifurcated maxillary premolar—a danger zone during Bifurcated Root  Find out the causes, symptoms, diagnosis and prognosis of furcation involvement of a dental infection. Mandibular first premolars may also exhibit a bifurcated root, one buccal, and one lingual (fig. The mandibular first and second premolars typically present with single roots but may have bifurcated roots in rare situations. A bifurcation is a juncture of two roots at the base. Bifurcated Root.
     
    
        From www.researchgate.net 
                    (PDF) MANDIBULAR LATERAL INCISOR PRESENTING BIFURCATED ROOT CANALS A Bifurcated Root  This chapter reviews the external and internal morphology of roots and canals, and introduces a new coding system for classifying. Mandibular first premolars may also exhibit a bifurcated root, one buccal, and one lingual (fig. Learn what bifurcation and trifurcation are in a tooth, how they affect the root structure and the surrounding bone, and how to treat them. A. Bifurcated Root.
     
    
        From dentagama.com 
                    What is bifurcation and trifurcation in a tooth? News Dentagama Bifurcated Root  This chapter reviews the external and internal morphology of roots and canals, and introduces a new coding system for classifying. The mandibular first and second premolars typically present with single roots but may have bifurcated roots in rare situations. Learn what bifurcation and trifurcation are in a tooth, how they affect the root structure and the surrounding bone, and how. Bifurcated Root.
     
    
        From www.researchgate.net 
                    Bifurcation diagrams Bifurcations diagram of the LKE (left) and the SA Bifurcated Root  Learn what bifurcation and trifurcation are in a tooth, how they affect the root structure and the surrounding bone, and how to treat them. A bifurcation is a juncture of two roots at the base of a tooth, which can be affected by bone loss and periodontal disease. Mandibular first premolars may also exhibit a bifurcated root, one buccal, and. Bifurcated Root.
     
    
        From www.researchgate.net 
                    Bifurcation curves correspond to two roots Download Scientific Diagram Bifurcated Root  Learn what bifurcation and trifurcation are in a tooth, how they affect the root structure and the surrounding bone, and how to treat them. Find out the causes, symptoms, diagnosis and prognosis of furcation involvement of a dental infection. Mandibular first premolars may also exhibit a bifurcated root, one buccal, and one lingual (fig. Which of the following premolar teeth. Bifurcated Root.
     
    
        From www.jendodon.com 
                    Root Canal Morphology of Permanent Threerooted Mandibular First Molars Bifurcated Root  Learn what bifurcation and trifurcation are in a tooth, how they affect the root structure and the surrounding bone, and how to treat them. The mandibular first and second premolars typically present with single roots but may have bifurcated roots in rare situations. Which of the following premolar teeth normally has a bifurcated root? This chapter reviews the external and. Bifurcated Root.
     
    
        From www.dental-tribune.com 
                    Buccal root of the bifurcated maxillary premolar—a danger zone during Bifurcated Root  The mandibular first and second premolars typically present with single roots but may have bifurcated roots in rare situations. Mandibular first premolars may also exhibit a bifurcated root, one buccal, and one lingual (fig. This chapter reviews the external and internal morphology of roots and canals, and introduces a new coding system for classifying. Which of the following premolar teeth. Bifurcated Root.
     
    
        From www.dental-tribune.com 
                    Buccal root of the bifurcated maxillary premolar—a danger zone during Bifurcated Root  Mandibular first premolars may also exhibit a bifurcated root, one buccal, and one lingual (fig. Which of the following premolar teeth normally has a bifurcated root? Learn what bifurcation and trifurcation are in a tooth, how they affect the root structure and the surrounding bone, and how to treat them. Find out the causes, symptoms, diagnosis and prognosis of furcation. Bifurcated Root.
     
    
        From www.dental-tribune.com 
                    Buccal root of the bifurcated maxillary premolar—a danger zone during Bifurcated Root  Mandibular first premolars may also exhibit a bifurcated root, one buccal, and one lingual (fig. Which of the following premolar teeth normally has a bifurcated root? This chapter reviews the external and internal morphology of roots and canals, and introduces a new coding system for classifying. The mandibular first and second premolars typically present with single roots but may have. Bifurcated Root.
     
    
        From www.pinterest.com 
                    Woody Dicot Stem Bifurcated Vascular Bundles in Aristolochia Bifurcated Root  Which of the following premolar teeth normally has a bifurcated root? Learn what bifurcation and trifurcation are in a tooth, how they affect the root structure and the surrounding bone, and how to treat them. A bifurcation is a juncture of two roots at the base of a tooth, which can be affected by bone loss and periodontal disease. Find. Bifurcated Root.
     
    
        From www.researchgate.net 
                    Correspondence between bifurcation of A and bifurcation of roots of Bifurcated Root  Learn what bifurcation and trifurcation are in a tooth, how they affect the root structure and the surrounding bone, and how to treat them. Mandibular first premolars may also exhibit a bifurcated root, one buccal, and one lingual (fig. Find out the causes, symptoms, diagnosis and prognosis of furcation involvement of a dental infection. This chapter reviews the external and. Bifurcated Root.
     
    
        From www.youtube.com 
                    Orchids with bifurcated roots YouTube Bifurcated Root  Which of the following premolar teeth normally has a bifurcated root? Find out the causes, symptoms, diagnosis and prognosis of furcation involvement of a dental infection. The mandibular first and second premolars typically present with single roots but may have bifurcated roots in rare situations. This chapter reviews the external and internal morphology of roots and canals, and introduces a. Bifurcated Root.
     
    
        From www.academia.edu 
                    (PDF) Endodontic Treatment of Bifurcated Root Canal in Mandibular Bifurcated Root  The mandibular first and second premolars typically present with single roots but may have bifurcated roots in rare situations. Mandibular first premolars may also exhibit a bifurcated root, one buccal, and one lingual (fig. Learn what bifurcation and trifurcation are in a tooth, how they affect the root structure and the surrounding bone, and how to treat them. Which of. Bifurcated Root.
     
    
        From www.jendodon.com 
                    Vertical Root Fracture in Buccal Roots of Bifurcated Maxillary Bifurcated Root  Find out the causes, symptoms, diagnosis and prognosis of furcation involvement of a dental infection. This chapter reviews the external and internal morphology of roots and canals, and introduces a new coding system for classifying. Mandibular first premolars may also exhibit a bifurcated root, one buccal, and one lingual (fig. Learn what bifurcation and trifurcation are in a tooth, how. Bifurcated Root.
     
    
        From www.slideshare.net 
                    Maxillary premolars Bifurcated Root  This chapter reviews the external and internal morphology of roots and canals, and introduces a new coding system for classifying. Mandibular first premolars may also exhibit a bifurcated root, one buccal, and one lingual (fig. Find out the causes, symptoms, diagnosis and prognosis of furcation involvement of a dental infection. A bifurcation is a juncture of two roots at the. Bifurcated Root.
     
    
        From www.youtube.com 
                    Upper bicuspid with mesial root bifurcation YouTube Bifurcated Root  Which of the following premolar teeth normally has a bifurcated root? This chapter reviews the external and internal morphology of roots and canals, and introduces a new coding system for classifying. The mandibular first and second premolars typically present with single roots but may have bifurcated roots in rare situations. A bifurcation is a juncture of two roots at the. Bifurcated Root.
     
    
        From www.slideserve.com 
                    PPT Anatomical Structures of the Teeth PowerPoint Presentation, free Bifurcated Root  The mandibular first and second premolars typically present with single roots but may have bifurcated roots in rare situations. A bifurcation is a juncture of two roots at the base of a tooth, which can be affected by bone loss and periodontal disease. Which of the following premolar teeth normally has a bifurcated root? Find out the causes, symptoms, diagnosis. Bifurcated Root.
     
    
        From www.dreamstime.com 
                    Bifurcation Tree & Its Roots Stock Image Image of vegetation, summer Bifurcated Root  This chapter reviews the external and internal morphology of roots and canals, and introduces a new coding system for classifying. Find out the causes, symptoms, diagnosis and prognosis of furcation involvement of a dental infection. A bifurcation is a juncture of two roots at the base of a tooth, which can be affected by bone loss and periodontal disease. Learn. Bifurcated Root.
     
    
        From www.researchgate.net 
                    Abnormalities in primary root. Seedlings with primary root curled (a Bifurcated Root  A bifurcation is a juncture of two roots at the base of a tooth, which can be affected by bone loss and periodontal disease. Find out the causes, symptoms, diagnosis and prognosis of furcation involvement of a dental infection. Which of the following premolar teeth normally has a bifurcated root? Mandibular first premolars may also exhibit a bifurcated root, one. Bifurcated Root.
     
    
        From www.cureus.com 
                    Cureus Endodontic Management of Maxillary Central Incisor with Rare Bifurcated Root  Mandibular first premolars may also exhibit a bifurcated root, one buccal, and one lingual (fig. Which of the following premolar teeth normally has a bifurcated root? The mandibular first and second premolars typically present with single roots but may have bifurcated roots in rare situations. Find out the causes, symptoms, diagnosis and prognosis of furcation involvement of a dental infection.. Bifurcated Root.
     
    
        From s372.photobucket.com 
                    Supernumerary/bifurcated Root Photo by bettinayumul Photobucket Bifurcated Root  Which of the following premolar teeth normally has a bifurcated root? Find out the causes, symptoms, diagnosis and prognosis of furcation involvement of a dental infection. Mandibular first premolars may also exhibit a bifurcated root, one buccal, and one lingual (fig. Learn what bifurcation and trifurcation are in a tooth, how they affect the root structure and the surrounding bone,. Bifurcated Root.
     
    
        From www.dreamstime.com 
                    Bifurcation Tree & Its Roots Stock Image Image of vegetation, summer Bifurcated Root  Find out the causes, symptoms, diagnosis and prognosis of furcation involvement of a dental infection. A bifurcation is a juncture of two roots at the base of a tooth, which can be affected by bone loss and periodontal disease. The mandibular first and second premolars typically present with single roots but may have bifurcated roots in rare situations. Mandibular first. Bifurcated Root.