Medial Eminence Toe . Patients with bunions will often describe pain over the prominent bump on the inside of their forefoot (the medial eminence). As these authors argue, surgeons may resect the medial eminence to facilitate other bunion procedures, prevent potential complications. As these authors argue, surgeons may resect the medial eminence to facilitate other bunion procedures, prevent potential complications. Halluces valgi) is a fixed abduction of the first metatarsophalangeal joint of the great toe. Hallux valgus, commonly referred to as a bunion, is a complex valgus deformity of the first ray that can cause medial big toe pain and. Characterized by a small bump at the medial eminence, the part of the foot where the inside edge of the big toe is joined to the foot.
from www.researchgate.net
Characterized by a small bump at the medial eminence, the part of the foot where the inside edge of the big toe is joined to the foot. Patients with bunions will often describe pain over the prominent bump on the inside of their forefoot (the medial eminence). Halluces valgi) is a fixed abduction of the first metatarsophalangeal joint of the great toe. As these authors argue, surgeons may resect the medial eminence to facilitate other bunion procedures, prevent potential complications. As these authors argue, surgeons may resect the medial eminence to facilitate other bunion procedures, prevent potential complications. Hallux valgus, commonly referred to as a bunion, is a complex valgus deformity of the first ray that can cause medial big toe pain and.
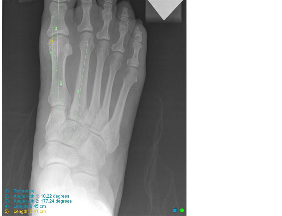
First step. (A) Percutaneous distal osteotomy. The medial eminence was
Medial Eminence Toe As these authors argue, surgeons may resect the medial eminence to facilitate other bunion procedures, prevent potential complications. Patients with bunions will often describe pain over the prominent bump on the inside of their forefoot (the medial eminence). As these authors argue, surgeons may resect the medial eminence to facilitate other bunion procedures, prevent potential complications. Characterized by a small bump at the medial eminence, the part of the foot where the inside edge of the big toe is joined to the foot. Hallux valgus, commonly referred to as a bunion, is a complex valgus deformity of the first ray that can cause medial big toe pain and. Halluces valgi) is a fixed abduction of the first metatarsophalangeal joint of the great toe. As these authors argue, surgeons may resect the medial eminence to facilitate other bunion procedures, prevent potential complications.
From journals.sagepub.com
Clinical and imaging assessment and treatment of hallux valgus Nathan Medial Eminence Toe Halluces valgi) is a fixed abduction of the first metatarsophalangeal joint of the great toe. Hallux valgus, commonly referred to as a bunion, is a complex valgus deformity of the first ray that can cause medial big toe pain and. Characterized by a small bump at the medial eminence, the part of the foot where the inside edge of the. Medial Eminence Toe.
From cascadedafo.com
Cascade Dafo Medial Eminence Toe As these authors argue, surgeons may resect the medial eminence to facilitate other bunion procedures, prevent potential complications. Halluces valgi) is a fixed abduction of the first metatarsophalangeal joint of the great toe. Patients with bunions will often describe pain over the prominent bump on the inside of their forefoot (the medial eminence). Hallux valgus, commonly referred to as a. Medial Eminence Toe.
From www.orthobullets.com
Dorsomedial Approach to MTP Joint of Great Toe Approaches Orthobullets Medial Eminence Toe Characterized by a small bump at the medial eminence, the part of the foot where the inside edge of the big toe is joined to the foot. As these authors argue, surgeons may resect the medial eminence to facilitate other bunion procedures, prevent potential complications. Hallux valgus, commonly referred to as a bunion, is a complex valgus deformity of the. Medial Eminence Toe.
From www.motionspecificrelease.com
Medial Ankle Pain Dancer’s Tendonitis The FHL Muscle Medial Eminence Toe As these authors argue, surgeons may resect the medial eminence to facilitate other bunion procedures, prevent potential complications. Halluces valgi) is a fixed abduction of the first metatarsophalangeal joint of the great toe. As these authors argue, surgeons may resect the medial eminence to facilitate other bunion procedures, prevent potential complications. Hallux valgus, commonly referred to as a bunion, is. Medial Eminence Toe.
From www.pinterest.com
Good diagram of posterior/dorsal side of Midbrain to brainstem Medial Eminence Toe As these authors argue, surgeons may resect the medial eminence to facilitate other bunion procedures, prevent potential complications. Hallux valgus, commonly referred to as a bunion, is a complex valgus deformity of the first ray that can cause medial big toe pain and. Patients with bunions will often describe pain over the prominent bump on the inside of their forefoot. Medial Eminence Toe.
From teachmeanatomy.info
The Tibial Nerve Course Motor Sensory TeachMeAnatomy Medial Eminence Toe Characterized by a small bump at the medial eminence, the part of the foot where the inside edge of the big toe is joined to the foot. Patients with bunions will often describe pain over the prominent bump on the inside of their forefoot (the medial eminence). Hallux valgus, commonly referred to as a bunion, is a complex valgus deformity. Medial Eminence Toe.
From myhumananatomy.weebly.com
Sole of foot myhumananatomy Medial Eminence Toe Patients with bunions will often describe pain over the prominent bump on the inside of their forefoot (the medial eminence). Halluces valgi) is a fixed abduction of the first metatarsophalangeal joint of the great toe. As these authors argue, surgeons may resect the medial eminence to facilitate other bunion procedures, prevent potential complications. Characterized by a small bump at the. Medial Eminence Toe.
From www.sciencephoto.com
Anatomy regions of the right foot Stock Image C020/0217 Science Medial Eminence Toe Patients with bunions will often describe pain over the prominent bump on the inside of their forefoot (the medial eminence). Halluces valgi) is a fixed abduction of the first metatarsophalangeal joint of the great toe. As these authors argue, surgeons may resect the medial eminence to facilitate other bunion procedures, prevent potential complications. Characterized by a small bump at the. Medial Eminence Toe.
From www.earthslab.com
Medial Plantar Nerve Earth's Lab Medial Eminence Toe As these authors argue, surgeons may resect the medial eminence to facilitate other bunion procedures, prevent potential complications. Patients with bunions will often describe pain over the prominent bump on the inside of their forefoot (the medial eminence). Hallux valgus, commonly referred to as a bunion, is a complex valgus deformity of the first ray that can cause medial big. Medial Eminence Toe.
From www.slideshare.net
Disorders Of The Hallux Medial Eminence Toe Halluces valgi) is a fixed abduction of the first metatarsophalangeal joint of the great toe. As these authors argue, surgeons may resect the medial eminence to facilitate other bunion procedures, prevent potential complications. As these authors argue, surgeons may resect the medial eminence to facilitate other bunion procedures, prevent potential complications. Characterized by a small bump at the medial eminence,. Medial Eminence Toe.
From www.researchgate.net
Additional procedures. (A) Great toe proximal phalanx osteotomy. (B Medial Eminence Toe Hallux valgus, commonly referred to as a bunion, is a complex valgus deformity of the first ray that can cause medial big toe pain and. As these authors argue, surgeons may resect the medial eminence to facilitate other bunion procedures, prevent potential complications. Halluces valgi) is a fixed abduction of the first metatarsophalangeal joint of the great toe. Characterized by. Medial Eminence Toe.
From www.researchgate.net
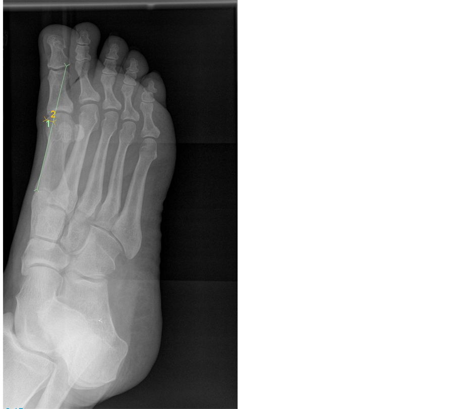
The measurement of the valid width of the first metatarsal. The Medial Eminence Toe As these authors argue, surgeons may resect the medial eminence to facilitate other bunion procedures, prevent potential complications. As these authors argue, surgeons may resect the medial eminence to facilitate other bunion procedures, prevent potential complications. Halluces valgi) is a fixed abduction of the first metatarsophalangeal joint of the great toe. Characterized by a small bump at the medial eminence,. Medial Eminence Toe.
From www.theskeletalsystem.net
First Metatarsal Bone Location, Anatomy, & Diagram Medial Eminence Toe As these authors argue, surgeons may resect the medial eminence to facilitate other bunion procedures, prevent potential complications. Hallux valgus, commonly referred to as a bunion, is a complex valgus deformity of the first ray that can cause medial big toe pain and. As these authors argue, surgeons may resect the medial eminence to facilitate other bunion procedures, prevent potential. Medial Eminence Toe.
From www.researchgate.net
Recurrent deformity predictably occurred following a simple medial Medial Eminence Toe Characterized by a small bump at the medial eminence, the part of the foot where the inside edge of the big toe is joined to the foot. Halluces valgi) is a fixed abduction of the first metatarsophalangeal joint of the great toe. Patients with bunions will often describe pain over the prominent bump on the inside of their forefoot (the. Medial Eminence Toe.
From ashlynnnewschavez.blogspot.com
Most Medial Toes Can Be Described as Medial Eminence Toe Hallux valgus, commonly referred to as a bunion, is a complex valgus deformity of the first ray that can cause medial big toe pain and. Patients with bunions will often describe pain over the prominent bump on the inside of their forefoot (the medial eminence). As these authors argue, surgeons may resect the medial eminence to facilitate other bunion procedures,. Medial Eminence Toe.
From drjustindean.com
Big Toe Pain 5 Causes of a Painful Big Toe Dr. Justin Dean Medial Eminence Toe Halluces valgi) is a fixed abduction of the first metatarsophalangeal joint of the great toe. Hallux valgus, commonly referred to as a bunion, is a complex valgus deformity of the first ray that can cause medial big toe pain and. Characterized by a small bump at the medial eminence, the part of the foot where the inside edge of the. Medial Eminence Toe.
From file.scirp.org
A Method for Measurement of the Hypertrophic First Metatarsal Medial Medial Eminence Toe Halluces valgi) is a fixed abduction of the first metatarsophalangeal joint of the great toe. Characterized by a small bump at the medial eminence, the part of the foot where the inside edge of the big toe is joined to the foot. As these authors argue, surgeons may resect the medial eminence to facilitate other bunion procedures, prevent potential complications.. Medial Eminence Toe.
From www.orthobullets.com
Dorsomedial Approach to MTP Joint of Great Toe Approaches Orthobullets Medial Eminence Toe As these authors argue, surgeons may resect the medial eminence to facilitate other bunion procedures, prevent potential complications. As these authors argue, surgeons may resect the medial eminence to facilitate other bunion procedures, prevent potential complications. Characterized by a small bump at the medial eminence, the part of the foot where the inside edge of the big toe is joined. Medial Eminence Toe.
From www.3dlabz.com
Foot Medial Muscles Illustration Images and Pictures Medial Eminence Toe Halluces valgi) is a fixed abduction of the first metatarsophalangeal joint of the great toe. Hallux valgus, commonly referred to as a bunion, is a complex valgus deformity of the first ray that can cause medial big toe pain and. Characterized by a small bump at the medial eminence, the part of the foot where the inside edge of the. Medial Eminence Toe.
From bellevuefoot.com
The syndesmosis bunionectomy — Bellevue Podiatric Physicians Medial Eminence Toe Halluces valgi) is a fixed abduction of the first metatarsophalangeal joint of the great toe. Hallux valgus, commonly referred to as a bunion, is a complex valgus deformity of the first ray that can cause medial big toe pain and. Patients with bunions will often describe pain over the prominent bump on the inside of their forefoot (the medial eminence).. Medial Eminence Toe.
From www.scirp.org
A Method for Measurement of the Hypertrophic First Metatarsal Medial Medial Eminence Toe As these authors argue, surgeons may resect the medial eminence to facilitate other bunion procedures, prevent potential complications. Characterized by a small bump at the medial eminence, the part of the foot where the inside edge of the big toe is joined to the foot. Halluces valgi) is a fixed abduction of the first metatarsophalangeal joint of the great toe.. Medial Eminence Toe.
From footeducation.com
5 Common Big Toe Problems FootEducation Medial Eminence Toe Hallux valgus, commonly referred to as a bunion, is a complex valgus deformity of the first ray that can cause medial big toe pain and. Characterized by a small bump at the medial eminence, the part of the foot where the inside edge of the big toe is joined to the foot. As these authors argue, surgeons may resect the. Medial Eminence Toe.
From mavink.com
Anatomy Of Dorsal Foot Medial Eminence Toe Hallux valgus, commonly referred to as a bunion, is a complex valgus deformity of the first ray that can cause medial big toe pain and. As these authors argue, surgeons may resect the medial eminence to facilitate other bunion procedures, prevent potential complications. Characterized by a small bump at the medial eminence, the part of the foot where the inside. Medial Eminence Toe.
From www.researchgate.net
42 When an external force acts on the medial hallux, such as commonly Medial Eminence Toe Hallux valgus, commonly referred to as a bunion, is a complex valgus deformity of the first ray that can cause medial big toe pain and. Patients with bunions will often describe pain over the prominent bump on the inside of their forefoot (the medial eminence). Halluces valgi) is a fixed abduction of the first metatarsophalangeal joint of the great toe.. Medial Eminence Toe.
From www.trialexhibitsinc.com
Medial and Dorsal View of the Toes Trial Exhibits Inc. Medial Eminence Toe As these authors argue, surgeons may resect the medial eminence to facilitate other bunion procedures, prevent potential complications. Hallux valgus, commonly referred to as a bunion, is a complex valgus deformity of the first ray that can cause medial big toe pain and. Halluces valgi) is a fixed abduction of the first metatarsophalangeal joint of the great toe. Patients with. Medial Eminence Toe.
From www.researchgate.net
Preoperative Xray of the left foot showing medial deviation of Medial Eminence Toe Hallux valgus, commonly referred to as a bunion, is a complex valgus deformity of the first ray that can cause medial big toe pain and. As these authors argue, surgeons may resect the medial eminence to facilitate other bunion procedures, prevent potential complications. Halluces valgi) is a fixed abduction of the first metatarsophalangeal joint of the great toe. Characterized by. Medial Eminence Toe.
From www.slideserve.com
PPT Hallux Valgus; the wrath of fancy shoes PowerPoint Presentation Medial Eminence Toe Halluces valgi) is a fixed abduction of the first metatarsophalangeal joint of the great toe. As these authors argue, surgeons may resect the medial eminence to facilitate other bunion procedures, prevent potential complications. Hallux valgus, commonly referred to as a bunion, is a complex valgus deformity of the first ray that can cause medial big toe pain and. Characterized by. Medial Eminence Toe.
From teachmeanatomy.info
The Arches of the Foot Longitudinal Transverse TeachMeAnatomy Medial Eminence Toe Characterized by a small bump at the medial eminence, the part of the foot where the inside edge of the big toe is joined to the foot. Halluces valgi) is a fixed abduction of the first metatarsophalangeal joint of the great toe. As these authors argue, surgeons may resect the medial eminence to facilitate other bunion procedures, prevent potential complications.. Medial Eminence Toe.
From www.slideserve.com
PPT Hallux Valgus; the wrath of fancy shoes PowerPoint Presentation Medial Eminence Toe As these authors argue, surgeons may resect the medial eminence to facilitate other bunion procedures, prevent potential complications. As these authors argue, surgeons may resect the medial eminence to facilitate other bunion procedures, prevent potential complications. Hallux valgus, commonly referred to as a bunion, is a complex valgus deformity of the first ray that can cause medial big toe pain. Medial Eminence Toe.
From www.researchgate.net
First step. (A) Percutaneous distal osteotomy. The medial eminence was Medial Eminence Toe As these authors argue, surgeons may resect the medial eminence to facilitate other bunion procedures, prevent potential complications. Patients with bunions will often describe pain over the prominent bump on the inside of their forefoot (the medial eminence). Halluces valgi) is a fixed abduction of the first metatarsophalangeal joint of the great toe. As these authors argue, surgeons may resect. Medial Eminence Toe.
From elliottelford.com
Foot Anatomy and Function पाद pāda Medial Eminence Toe As these authors argue, surgeons may resect the medial eminence to facilitate other bunion procedures, prevent potential complications. Halluces valgi) is a fixed abduction of the first metatarsophalangeal joint of the great toe. Patients with bunions will often describe pain over the prominent bump on the inside of their forefoot (the medial eminence). Hallux valgus, commonly referred to as a. Medial Eminence Toe.
From www.podiatrygroupofgeorgia.com
Metatarsal surgery Foot Doctor Marietta Learn More Now! Medial Eminence Toe As these authors argue, surgeons may resect the medial eminence to facilitate other bunion procedures, prevent potential complications. Hallux valgus, commonly referred to as a bunion, is a complex valgus deformity of the first ray that can cause medial big toe pain and. As these authors argue, surgeons may resect the medial eminence to facilitate other bunion procedures, prevent potential. Medial Eminence Toe.
From www.slideserve.com
PPT Hallux Valgus; the wrath of fancy shoes PowerPoint Presentation Medial Eminence Toe Halluces valgi) is a fixed abduction of the first metatarsophalangeal joint of the great toe. Characterized by a small bump at the medial eminence, the part of the foot where the inside edge of the big toe is joined to the foot. As these authors argue, surgeons may resect the medial eminence to facilitate other bunion procedures, prevent potential complications.. Medial Eminence Toe.
From healthjade.com
Turf toe causes, signs, symptoms, recovery, diagnosis & turf toe treatment Medial Eminence Toe As these authors argue, surgeons may resect the medial eminence to facilitate other bunion procedures, prevent potential complications. Characterized by a small bump at the medial eminence, the part of the foot where the inside edge of the big toe is joined to the foot. Halluces valgi) is a fixed abduction of the first metatarsophalangeal joint of the great toe.. Medial Eminence Toe.
From www.researchgate.net
(PDF) Percutaneous Basal Closing Wedge Osteotomy of the First Medial Eminence Toe Patients with bunions will often describe pain over the prominent bump on the inside of their forefoot (the medial eminence). As these authors argue, surgeons may resect the medial eminence to facilitate other bunion procedures, prevent potential complications. Characterized by a small bump at the medial eminence, the part of the foot where the inside edge of the big toe. Medial Eminence Toe.