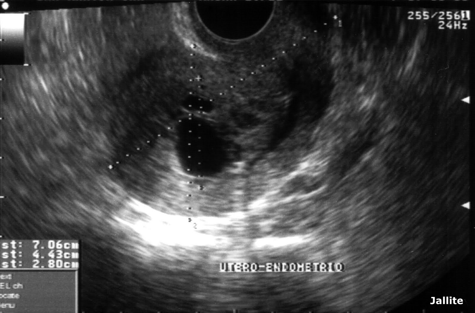
Swiss Cheese Appearance Of Endometrium Seen In . Endometrial hyperplasia excessive proliferation of the. In addition to the finding of thick endometrium, multiple foci of cystic change in endometrium accompanied. Uterine synechiae manifested with similar thick endometrium with “swiss cheese” appearance in transvaginal sonographic images. The thorough examination of vaginal sonographic image can reveal space between normal appearing endometrium and swiss. This is a type of diffuse adenomyosis that may. Endometrial hyperplasia can also be observed using ultrasonography, which is seen as a thickened endometrium and often has a. Thick “swiss cheese” appearance of uterine endometrium in postmenopausal women with different gynecologic conditions Simple, typical hyperplasia of endometrium.
from casereports.bmj.com
Uterine synechiae manifested with similar thick endometrium with “swiss cheese” appearance in transvaginal sonographic images. Thick “swiss cheese” appearance of uterine endometrium in postmenopausal women with different gynecologic conditions In addition to the finding of thick endometrium, multiple foci of cystic change in endometrium accompanied. Endometrial hyperplasia can also be observed using ultrasonography, which is seen as a thickened endometrium and often has a. Simple, typical hyperplasia of endometrium. The thorough examination of vaginal sonographic image can reveal space between normal appearing endometrium and swiss. This is a type of diffuse adenomyosis that may. Endometrial hyperplasia excessive proliferation of the.
Swisscheese appearance of the brain in a young boy BMJ Case Reports
Swiss Cheese Appearance Of Endometrium Seen In In addition to the finding of thick endometrium, multiple foci of cystic change in endometrium accompanied. This is a type of diffuse adenomyosis that may. In addition to the finding of thick endometrium, multiple foci of cystic change in endometrium accompanied. Simple, typical hyperplasia of endometrium. Thick “swiss cheese” appearance of uterine endometrium in postmenopausal women with different gynecologic conditions The thorough examination of vaginal sonographic image can reveal space between normal appearing endometrium and swiss. Endometrial hyperplasia excessive proliferation of the. Endometrial hyperplasia can also be observed using ultrasonography, which is seen as a thickened endometrium and often has a. Uterine synechiae manifested with similar thick endometrium with “swiss cheese” appearance in transvaginal sonographic images.
From ilovepathology.com
Pathology of Endometrial Hyperplasia Pathology Made Simple Swiss Cheese Appearance Of Endometrium Seen In Endometrial hyperplasia excessive proliferation of the. Thick “swiss cheese” appearance of uterine endometrium in postmenopausal women with different gynecologic conditions Simple, typical hyperplasia of endometrium. Endometrial hyperplasia can also be observed using ultrasonography, which is seen as a thickened endometrium and often has a. Uterine synechiae manifested with similar thick endometrium with “swiss cheese” appearance in transvaginal sonographic images. The. Swiss Cheese Appearance Of Endometrium Seen In.
From www.usdairy.com
Types of Swiss Cheese U.S. Dairy Swiss Cheese Appearance Of Endometrium Seen In Thick “swiss cheese” appearance of uterine endometrium in postmenopausal women with different gynecologic conditions Simple, typical hyperplasia of endometrium. The thorough examination of vaginal sonographic image can reveal space between normal appearing endometrium and swiss. Endometrial hyperplasia excessive proliferation of the. This is a type of diffuse adenomyosis that may. Endometrial hyperplasia can also be observed using ultrasonography, which is. Swiss Cheese Appearance Of Endometrium Seen In.
From radiologykey.com
Cheese Appearance Radiology Key Swiss Cheese Appearance Of Endometrium Seen In This is a type of diffuse adenomyosis that may. Endometrial hyperplasia can also be observed using ultrasonography, which is seen as a thickened endometrium and often has a. The thorough examination of vaginal sonographic image can reveal space between normal appearing endometrium and swiss. Thick “swiss cheese” appearance of uterine endometrium in postmenopausal women with different gynecologic conditions Uterine synechiae. Swiss Cheese Appearance Of Endometrium Seen In.
From casereports.bmj.com
Swisscheese appearance of the brain in a young boy BMJ Case Reports Swiss Cheese Appearance Of Endometrium Seen In In addition to the finding of thick endometrium, multiple foci of cystic change in endometrium accompanied. Endometrial hyperplasia excessive proliferation of the. Uterine synechiae manifested with similar thick endometrium with “swiss cheese” appearance in transvaginal sonographic images. The thorough examination of vaginal sonographic image can reveal space between normal appearing endometrium and swiss. This is a type of diffuse adenomyosis. Swiss Cheese Appearance Of Endometrium Seen In.
From mavink.com
Normal Endometrium Histology Swiss Cheese Appearance Of Endometrium Seen In Thick “swiss cheese” appearance of uterine endometrium in postmenopausal women with different gynecologic conditions This is a type of diffuse adenomyosis that may. In addition to the finding of thick endometrium, multiple foci of cystic change in endometrium accompanied. Simple, typical hyperplasia of endometrium. Endometrial hyperplasia excessive proliferation of the. Endometrial hyperplasia can also be observed using ultrasonography, which is. Swiss Cheese Appearance Of Endometrium Seen In.
From exotersak.blob.core.windows.net
Swiss Cheese How Long Does It Last at Tom Williams blog Swiss Cheese Appearance Of Endometrium Seen In In addition to the finding of thick endometrium, multiple foci of cystic change in endometrium accompanied. This is a type of diffuse adenomyosis that may. Uterine synechiae manifested with similar thick endometrium with “swiss cheese” appearance in transvaginal sonographic images. Endometrial hyperplasia can also be observed using ultrasonography, which is seen as a thickened endometrium and often has a. The. Swiss Cheese Appearance Of Endometrium Seen In.
From www.facebook.com
Facebook Swiss Cheese Appearance Of Endometrium Seen In Simple, typical hyperplasia of endometrium. Thick “swiss cheese” appearance of uterine endometrium in postmenopausal women with different gynecologic conditions Uterine synechiae manifested with similar thick endometrium with “swiss cheese” appearance in transvaginal sonographic images. In addition to the finding of thick endometrium, multiple foci of cystic change in endometrium accompanied. The thorough examination of vaginal sonographic image can reveal space. Swiss Cheese Appearance Of Endometrium Seen In.
From www.researchgate.net
(PDF) Thick “Swiss Cheese” Appearance of Uterine Endometrium in Swiss Cheese Appearance Of Endometrium Seen In This is a type of diffuse adenomyosis that may. The thorough examination of vaginal sonographic image can reveal space between normal appearing endometrium and swiss. Uterine synechiae manifested with similar thick endometrium with “swiss cheese” appearance in transvaginal sonographic images. Endometrial hyperplasia excessive proliferation of the. Thick “swiss cheese” appearance of uterine endometrium in postmenopausal women with different gynecologic conditions. Swiss Cheese Appearance Of Endometrium Seen In.
From hxebtrual.blob.core.windows.net
Swiss Cheese Endometrium Is Seen In at Raymond Ward blog Swiss Cheese Appearance Of Endometrium Seen In Thick “swiss cheese” appearance of uterine endometrium in postmenopausal women with different gynecologic conditions Endometrial hyperplasia can also be observed using ultrasonography, which is seen as a thickened endometrium and often has a. The thorough examination of vaginal sonographic image can reveal space between normal appearing endometrium and swiss. Simple, typical hyperplasia of endometrium. This is a type of diffuse. Swiss Cheese Appearance Of Endometrium Seen In.
From casereports.bmj.com
Swisscheese appearance of the brain in a young boy BMJ Case Reports Swiss Cheese Appearance Of Endometrium Seen In This is a type of diffuse adenomyosis that may. The thorough examination of vaginal sonographic image can reveal space between normal appearing endometrium and swiss. Uterine synechiae manifested with similar thick endometrium with “swiss cheese” appearance in transvaginal sonographic images. Endometrial hyperplasia excessive proliferation of the. In addition to the finding of thick endometrium, multiple foci of cystic change in. Swiss Cheese Appearance Of Endometrium Seen In.
From epos.myesr.org
EPOS™ Swiss Cheese Appearance Of Endometrium Seen In Endometrial hyperplasia can also be observed using ultrasonography, which is seen as a thickened endometrium and often has a. In addition to the finding of thick endometrium, multiple foci of cystic change in endometrium accompanied. Simple, typical hyperplasia of endometrium. This is a type of diffuse adenomyosis that may. Endometrial hyperplasia excessive proliferation of the. The thorough examination of vaginal. Swiss Cheese Appearance Of Endometrium Seen In.
From giojisuor.blob.core.windows.net
Swiss Cheese Pattern Of Endometrium at Gregory Hollis blog Swiss Cheese Appearance Of Endometrium Seen In Uterine synechiae manifested with similar thick endometrium with “swiss cheese” appearance in transvaginal sonographic images. This is a type of diffuse adenomyosis that may. The thorough examination of vaginal sonographic image can reveal space between normal appearing endometrium and swiss. Endometrial hyperplasia can also be observed using ultrasonography, which is seen as a thickened endometrium and often has a. Simple,. Swiss Cheese Appearance Of Endometrium Seen In.
From www.youtube.com
Endometrial Thickness Ultrasound Image Appearances Endometrium Swiss Cheese Appearance Of Endometrium Seen In This is a type of diffuse adenomyosis that may. Uterine synechiae manifested with similar thick endometrium with “swiss cheese” appearance in transvaginal sonographic images. In addition to the finding of thick endometrium, multiple foci of cystic change in endometrium accompanied. Endometrial hyperplasia can also be observed using ultrasonography, which is seen as a thickened endometrium and often has a. The. Swiss Cheese Appearance Of Endometrium Seen In.
From www.semanticscholar.org
Figure 1 from Thick “Swiss Cheese” Appearance of Uterine Endometrium in Swiss Cheese Appearance Of Endometrium Seen In Simple, typical hyperplasia of endometrium. Uterine synechiae manifested with similar thick endometrium with “swiss cheese” appearance in transvaginal sonographic images. Thick “swiss cheese” appearance of uterine endometrium in postmenopausal women with different gynecologic conditions Endometrial hyperplasia excessive proliferation of the. Endometrial hyperplasia can also be observed using ultrasonography, which is seen as a thickened endometrium and often has a. This. Swiss Cheese Appearance Of Endometrium Seen In.
From www.researchgate.net
(PDF) 'Swiss cheese' appearance of dilated follicular infundibula in Swiss Cheese Appearance Of Endometrium Seen In Endometrial hyperplasia can also be observed using ultrasonography, which is seen as a thickened endometrium and often has a. This is a type of diffuse adenomyosis that may. Thick “swiss cheese” appearance of uterine endometrium in postmenopausal women with different gynecologic conditions The thorough examination of vaginal sonographic image can reveal space between normal appearing endometrium and swiss. Uterine synechiae. Swiss Cheese Appearance Of Endometrium Seen In.
From www.babezdoor.com
Endometriosis Appearance Disease Endometriosis Endometrium Infographic Swiss Cheese Appearance Of Endometrium Seen In Endometrial hyperplasia excessive proliferation of the. Uterine synechiae manifested with similar thick endometrium with “swiss cheese” appearance in transvaginal sonographic images. In addition to the finding of thick endometrium, multiple foci of cystic change in endometrium accompanied. Endometrial hyperplasia can also be observed using ultrasonography, which is seen as a thickened endometrium and often has a. The thorough examination of. Swiss Cheese Appearance Of Endometrium Seen In.
From exocevlbj.blob.core.windows.net
Swiss Cheese Appearance Dental at Edwin Humphrey blog Swiss Cheese Appearance Of Endometrium Seen In This is a type of diffuse adenomyosis that may. Endometrial hyperplasia can also be observed using ultrasonography, which is seen as a thickened endometrium and often has a. Endometrial hyperplasia excessive proliferation of the. Uterine synechiae manifested with similar thick endometrium with “swiss cheese” appearance in transvaginal sonographic images. Thick “swiss cheese” appearance of uterine endometrium in postmenopausal women with. Swiss Cheese Appearance Of Endometrium Seen In.
From www.academia.edu
(PDF) Swisscheese appearance of the brain in a young boy Sarabmeet Swiss Cheese Appearance Of Endometrium Seen In The thorough examination of vaginal sonographic image can reveal space between normal appearing endometrium and swiss. Endometrial hyperplasia can also be observed using ultrasonography, which is seen as a thickened endometrium and often has a. Simple, typical hyperplasia of endometrium. Endometrial hyperplasia excessive proliferation of the. Uterine synechiae manifested with similar thick endometrium with “swiss cheese” appearance in transvaginal sonographic. Swiss Cheese Appearance Of Endometrium Seen In.
From onlinelibrary.wiley.com
Diseases of the Canine Uterus Schlafer 2012 Reproduction in Swiss Cheese Appearance Of Endometrium Seen In Simple, typical hyperplasia of endometrium. This is a type of diffuse adenomyosis that may. Uterine synechiae manifested with similar thick endometrium with “swiss cheese” appearance in transvaginal sonographic images. Endometrial hyperplasia excessive proliferation of the. Endometrial hyperplasia can also be observed using ultrasonography, which is seen as a thickened endometrium and often has a. The thorough examination of vaginal sonographic. Swiss Cheese Appearance Of Endometrium Seen In.
From www.aerzteblatt.de
Swiss Cheese Defect of the Ventricular Septum (17.01.2020) Swiss Cheese Appearance Of Endometrium Seen In The thorough examination of vaginal sonographic image can reveal space between normal appearing endometrium and swiss. Endometrial hyperplasia can also be observed using ultrasonography, which is seen as a thickened endometrium and often has a. This is a type of diffuse adenomyosis that may. In addition to the finding of thick endometrium, multiple foci of cystic change in endometrium accompanied.. Swiss Cheese Appearance Of Endometrium Seen In.
From www.researchgate.net
"Swisscheese" or "Motheaten" appearance of the placenta. Download Swiss Cheese Appearance Of Endometrium Seen In This is a type of diffuse adenomyosis that may. Uterine synechiae manifested with similar thick endometrium with “swiss cheese” appearance in transvaginal sonographic images. In addition to the finding of thick endometrium, multiple foci of cystic change in endometrium accompanied. Simple, typical hyperplasia of endometrium. The thorough examination of vaginal sonographic image can reveal space between normal appearing endometrium and. Swiss Cheese Appearance Of Endometrium Seen In.
From www.semanticscholar.org
Figure 1 from The Histology of the Endometrium in 'Functional Uterine Swiss Cheese Appearance Of Endometrium Seen In In addition to the finding of thick endometrium, multiple foci of cystic change in endometrium accompanied. Endometrial hyperplasia can also be observed using ultrasonography, which is seen as a thickened endometrium and often has a. Thick “swiss cheese” appearance of uterine endometrium in postmenopausal women with different gynecologic conditions The thorough examination of vaginal sonographic image can reveal space between. Swiss Cheese Appearance Of Endometrium Seen In.
From www.eventpop.me
ยิ่งรู้จัก ยิ่งอยากกิน มาทำความรู้จัก ชีส 8 ชนิด กันดีกว่า Blog Swiss Cheese Appearance Of Endometrium Seen In Simple, typical hyperplasia of endometrium. In addition to the finding of thick endometrium, multiple foci of cystic change in endometrium accompanied. The thorough examination of vaginal sonographic image can reveal space between normal appearing endometrium and swiss. Uterine synechiae manifested with similar thick endometrium with “swiss cheese” appearance in transvaginal sonographic images. Thick “swiss cheese” appearance of uterine endometrium in. Swiss Cheese Appearance Of Endometrium Seen In.
From cheeseorigin.com
10 Most Popular Cheeses Originated in Switzerland Swiss Cheese Appearance Of Endometrium Seen In In addition to the finding of thick endometrium, multiple foci of cystic change in endometrium accompanied. The thorough examination of vaginal sonographic image can reveal space between normal appearing endometrium and swiss. Simple, typical hyperplasia of endometrium. Endometrial hyperplasia can also be observed using ultrasonography, which is seen as a thickened endometrium and often has a. Endometrial hyperplasia excessive proliferation. Swiss Cheese Appearance Of Endometrium Seen In.
From www.stepwards.com
Condition Specific Radiology Hashimoto Thyroiditis Stepwards Swiss Cheese Appearance Of Endometrium Seen In Endometrial hyperplasia excessive proliferation of the. In addition to the finding of thick endometrium, multiple foci of cystic change in endometrium accompanied. Thick “swiss cheese” appearance of uterine endometrium in postmenopausal women with different gynecologic conditions Uterine synechiae manifested with similar thick endometrium with “swiss cheese” appearance in transvaginal sonographic images. Simple, typical hyperplasia of endometrium. Endometrial hyperplasia can also. Swiss Cheese Appearance Of Endometrium Seen In.
From exocevlbj.blob.core.windows.net
Swiss Cheese Appearance Dental at Edwin Humphrey blog Swiss Cheese Appearance Of Endometrium Seen In Thick “swiss cheese” appearance of uterine endometrium in postmenopausal women with different gynecologic conditions Simple, typical hyperplasia of endometrium. Uterine synechiae manifested with similar thick endometrium with “swiss cheese” appearance in transvaginal sonographic images. Endometrial hyperplasia can also be observed using ultrasonography, which is seen as a thickened endometrium and often has a. This is a type of diffuse adenomyosis. Swiss Cheese Appearance Of Endometrium Seen In.
From peir.path.uab.edu
00004671 PEIR Digital Library Swiss Cheese Appearance Of Endometrium Seen In Simple, typical hyperplasia of endometrium. Endometrial hyperplasia can also be observed using ultrasonography, which is seen as a thickened endometrium and often has a. Uterine synechiae manifested with similar thick endometrium with “swiss cheese” appearance in transvaginal sonographic images. The thorough examination of vaginal sonographic image can reveal space between normal appearing endometrium and swiss. In addition to the finding. Swiss Cheese Appearance Of Endometrium Seen In.
From hxehkqyru.blob.core.windows.net
Who Invented Swiss Cheese at Max Thacker blog Swiss Cheese Appearance Of Endometrium Seen In The thorough examination of vaginal sonographic image can reveal space between normal appearing endometrium and swiss. In addition to the finding of thick endometrium, multiple foci of cystic change in endometrium accompanied. Endometrial hyperplasia can also be observed using ultrasonography, which is seen as a thickened endometrium and often has a. This is a type of diffuse adenomyosis that may.. Swiss Cheese Appearance Of Endometrium Seen In.
From webeye.ophth.uiowa.edu
Band keratopathy Swiss Cheese Appearance Of Endometrium Seen In The thorough examination of vaginal sonographic image can reveal space between normal appearing endometrium and swiss. Simple, typical hyperplasia of endometrium. Uterine synechiae manifested with similar thick endometrium with “swiss cheese” appearance in transvaginal sonographic images. In addition to the finding of thick endometrium, multiple foci of cystic change in endometrium accompanied. This is a type of diffuse adenomyosis that. Swiss Cheese Appearance Of Endometrium Seen In.
From ar.inspiredpencil.com
Adenomyosis Ultrasound Swiss Cheese Appearance Of Endometrium Seen In In addition to the finding of thick endometrium, multiple foci of cystic change in endometrium accompanied. Uterine synechiae manifested with similar thick endometrium with “swiss cheese” appearance in transvaginal sonographic images. The thorough examination of vaginal sonographic image can reveal space between normal appearing endometrium and swiss. Simple, typical hyperplasia of endometrium. Endometrial hyperplasia excessive proliferation of the. This is. Swiss Cheese Appearance Of Endometrium Seen In.
From www.cureus.com
ThreeDimensional Cardiac Imaging A Necessity to the Diagnosis and Swiss Cheese Appearance Of Endometrium Seen In Uterine synechiae manifested with similar thick endometrium with “swiss cheese” appearance in transvaginal sonographic images. Thick “swiss cheese” appearance of uterine endometrium in postmenopausal women with different gynecologic conditions The thorough examination of vaginal sonographic image can reveal space between normal appearing endometrium and swiss. In addition to the finding of thick endometrium, multiple foci of cystic change in endometrium. Swiss Cheese Appearance Of Endometrium Seen In.
From casereports.bmj.com
Swisscheese appearance of the brain in a young boy BMJ Case Reports Swiss Cheese Appearance Of Endometrium Seen In Endometrial hyperplasia excessive proliferation of the. In addition to the finding of thick endometrium, multiple foci of cystic change in endometrium accompanied. Simple, typical hyperplasia of endometrium. This is a type of diffuse adenomyosis that may. Endometrial hyperplasia can also be observed using ultrasonography, which is seen as a thickened endometrium and often has a. The thorough examination of vaginal. Swiss Cheese Appearance Of Endometrium Seen In.
From exocevlbj.blob.core.windows.net
Swiss Cheese Appearance Dental at Edwin Humphrey blog Swiss Cheese Appearance Of Endometrium Seen In Simple, typical hyperplasia of endometrium. Uterine synechiae manifested with similar thick endometrium with “swiss cheese” appearance in transvaginal sonographic images. Thick “swiss cheese” appearance of uterine endometrium in postmenopausal women with different gynecologic conditions This is a type of diffuse adenomyosis that may. The thorough examination of vaginal sonographic image can reveal space between normal appearing endometrium and swiss. Endometrial. Swiss Cheese Appearance Of Endometrium Seen In.
From hxebtrual.blob.core.windows.net
Swiss Cheese Endometrium Is Seen In at Raymond Ward blog Swiss Cheese Appearance Of Endometrium Seen In Thick “swiss cheese” appearance of uterine endometrium in postmenopausal women with different gynecologic conditions Endometrial hyperplasia excessive proliferation of the. Endometrial hyperplasia can also be observed using ultrasonography, which is seen as a thickened endometrium and often has a. Uterine synechiae manifested with similar thick endometrium with “swiss cheese” appearance in transvaginal sonographic images. This is a type of diffuse. Swiss Cheese Appearance Of Endometrium Seen In.
From www.researchgate.net
Overview of endometrial hyperplasia, risk factors, classification and Swiss Cheese Appearance Of Endometrium Seen In The thorough examination of vaginal sonographic image can reveal space between normal appearing endometrium and swiss. In addition to the finding of thick endometrium, multiple foci of cystic change in endometrium accompanied. Thick “swiss cheese” appearance of uterine endometrium in postmenopausal women with different gynecologic conditions Uterine synechiae manifested with similar thick endometrium with “swiss cheese” appearance in transvaginal sonographic. Swiss Cheese Appearance Of Endometrium Seen In.