Causes Bowel Infarction . Ischaemic bowel disease encompasses a heterogeneous group of disorders caused by acute or chronic processes, arising. Colonic ischaemia, also called ischaemic colitis, affects your large intestine (large bowel). Intestinal ischemia, which can affect the small or large intestine, can be caused by any process that reduces intestinal blood. This is an uncommon medical condition,. The acute type is often caused by a. Hardening and narrowing of the arteries, or a clot (thrombosis) blocking an artery, are the. Sudden loss of blood flow to the small intestine is called acute mesenteric ischemia. Bowel ischemia can affect a small or large intestine and can occur by any cause, which leads to intestinal blood flow reduction.
from www.researchgate.net
Ischaemic bowel disease encompasses a heterogeneous group of disorders caused by acute or chronic processes, arising. The acute type is often caused by a. Sudden loss of blood flow to the small intestine is called acute mesenteric ischemia. This is an uncommon medical condition,. Colonic ischaemia, also called ischaemic colitis, affects your large intestine (large bowel). Bowel ischemia can affect a small or large intestine and can occur by any cause, which leads to intestinal blood flow reduction. Hardening and narrowing of the arteries, or a clot (thrombosis) blocking an artery, are the. Intestinal ischemia, which can affect the small or large intestine, can be caused by any process that reduces intestinal blood.
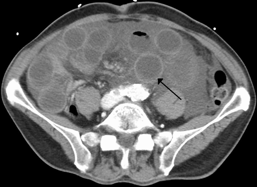
Fourth stage of small bowel ischemia with infarction. A Digital
Causes Bowel Infarction Colonic ischaemia, also called ischaemic colitis, affects your large intestine (large bowel). This is an uncommon medical condition,. Colonic ischaemia, also called ischaemic colitis, affects your large intestine (large bowel). Hardening and narrowing of the arteries, or a clot (thrombosis) blocking an artery, are the. Intestinal ischemia, which can affect the small or large intestine, can be caused by any process that reduces intestinal blood. Sudden loss of blood flow to the small intestine is called acute mesenteric ischemia. Bowel ischemia can affect a small or large intestine and can occur by any cause, which leads to intestinal blood flow reduction. The acute type is often caused by a. Ischaemic bowel disease encompasses a heterogeneous group of disorders caused by acute or chronic processes, arising.
From www.dravinashtank.in
Small Bowel Obstruction Causes, Symptoms & Treatment. Dr AvinashTank Causes Bowel Infarction Hardening and narrowing of the arteries, or a clot (thrombosis) blocking an artery, are the. The acute type is often caused by a. Ischaemic bowel disease encompasses a heterogeneous group of disorders caused by acute or chronic processes, arising. Intestinal ischemia, which can affect the small or large intestine, can be caused by any process that reduces intestinal blood. Bowel. Causes Bowel Infarction.
From www.researchgate.net
Overview of the causes of acute bowel ischemia Download Scientific Causes Bowel Infarction Colonic ischaemia, also called ischaemic colitis, affects your large intestine (large bowel). Bowel ischemia can affect a small or large intestine and can occur by any cause, which leads to intestinal blood flow reduction. Hardening and narrowing of the arteries, or a clot (thrombosis) blocking an artery, are the. Ischaemic bowel disease encompasses a heterogeneous group of disorders caused by. Causes Bowel Infarction.
From www.familycarers.org.uk
Intestinal Ischemia An Overview of Causes, Symptoms and Treatment Causes Bowel Infarction Sudden loss of blood flow to the small intestine is called acute mesenteric ischemia. The acute type is often caused by a. This is an uncommon medical condition,. Bowel ischemia can affect a small or large intestine and can occur by any cause, which leads to intestinal blood flow reduction. Hardening and narrowing of the arteries, or a clot (thrombosis). Causes Bowel Infarction.
From www.ajronline.org
CT Diagnosis of Acute Mesenteric Ischemia from Various Causes AJR Causes Bowel Infarction Intestinal ischemia, which can affect the small or large intestine, can be caused by any process that reduces intestinal blood. Bowel ischemia can affect a small or large intestine and can occur by any cause, which leads to intestinal blood flow reduction. Colonic ischaemia, also called ischaemic colitis, affects your large intestine (large bowel). Sudden loss of blood flow to. Causes Bowel Infarction.
From pubs.rsna.org
CT and MR Imaging Findings of Bowel Ischemia from Various Primary Causes Bowel Infarction Intestinal ischemia, which can affect the small or large intestine, can be caused by any process that reduces intestinal blood. The acute type is often caused by a. Hardening and narrowing of the arteries, or a clot (thrombosis) blocking an artery, are the. Colonic ischaemia, also called ischaemic colitis, affects your large intestine (large bowel). Sudden loss of blood flow. Causes Bowel Infarction.
From www.slideserve.com
PPT Bowel Ischemia PowerPoint Presentation, free download ID5787723 Causes Bowel Infarction The acute type is often caused by a. Hardening and narrowing of the arteries, or a clot (thrombosis) blocking an artery, are the. Ischaemic bowel disease encompasses a heterogeneous group of disorders caused by acute or chronic processes, arising. Bowel ischemia can affect a small or large intestine and can occur by any cause, which leads to intestinal blood flow. Causes Bowel Infarction.
From www.mayoclinic.org
Ischemic colitis Symptoms and causes Mayo Clinic Causes Bowel Infarction Ischaemic bowel disease encompasses a heterogeneous group of disorders caused by acute or chronic processes, arising. Bowel ischemia can affect a small or large intestine and can occur by any cause, which leads to intestinal blood flow reduction. Colonic ischaemia, also called ischaemic colitis, affects your large intestine (large bowel). The acute type is often caused by a. This is. Causes Bowel Infarction.
From www.drugs.com
Intestinal obstruction Disease Reference Guide Causes Bowel Infarction This is an uncommon medical condition,. Ischaemic bowel disease encompasses a heterogeneous group of disorders caused by acute or chronic processes, arising. Bowel ischemia can affect a small or large intestine and can occur by any cause, which leads to intestinal blood flow reduction. Hardening and narrowing of the arteries, or a clot (thrombosis) blocking an artery, are the. Sudden. Causes Bowel Infarction.
From onlinelibrary.wiley.com
Adhesive small bowel obstruction an update Tong 2020 Acute Causes Bowel Infarction Sudden loss of blood flow to the small intestine is called acute mesenteric ischemia. This is an uncommon medical condition,. Colonic ischaemia, also called ischaemic colitis, affects your large intestine (large bowel). The acute type is often caused by a. Intestinal ischemia, which can affect the small or large intestine, can be caused by any process that reduces intestinal blood.. Causes Bowel Infarction.
From www.youtube.com
An Introduction To Inflammatory Bowel Disease (Contributing factors to Causes Bowel Infarction Colonic ischaemia, also called ischaemic colitis, affects your large intestine (large bowel). The acute type is often caused by a. This is an uncommon medical condition,. Intestinal ischemia, which can affect the small or large intestine, can be caused by any process that reduces intestinal blood. Sudden loss of blood flow to the small intestine is called acute mesenteric ischemia.. Causes Bowel Infarction.
From www.dreamstime.com
Mesenteric Ischemia Illustration Stock Vector Illustration of symptom Causes Bowel Infarction Colonic ischaemia, also called ischaemic colitis, affects your large intestine (large bowel). Bowel ischemia can affect a small or large intestine and can occur by any cause, which leads to intestinal blood flow reduction. This is an uncommon medical condition,. Ischaemic bowel disease encompasses a heterogeneous group of disorders caused by acute or chronic processes, arising. Intestinal ischemia, which can. Causes Bowel Infarction.
From www.studypool.com
SOLUTION Ischemic bowel disease Symptoms, diagnosis and treatment Causes Bowel Infarction Hardening and narrowing of the arteries, or a clot (thrombosis) blocking an artery, are the. Sudden loss of blood flow to the small intestine is called acute mesenteric ischemia. Colonic ischaemia, also called ischaemic colitis, affects your large intestine (large bowel). Ischaemic bowel disease encompasses a heterogeneous group of disorders caused by acute or chronic processes, arising. This is an. Causes Bowel Infarction.
From calgaryguide.ucalgary.ca
Small Bowel Obstruction Findings on XRay Calgary Guide Causes Bowel Infarction Ischaemic bowel disease encompasses a heterogeneous group of disorders caused by acute or chronic processes, arising. This is an uncommon medical condition,. Bowel ischemia can affect a small or large intestine and can occur by any cause, which leads to intestinal blood flow reduction. The acute type is often caused by a. Colonic ischaemia, also called ischaemic colitis, affects your. Causes Bowel Infarction.
From fity.club
Infectious Colitis Causes Bowel Infarction Sudden loss of blood flow to the small intestine is called acute mesenteric ischemia. Hardening and narrowing of the arteries, or a clot (thrombosis) blocking an artery, are the. The acute type is often caused by a. Bowel ischemia can affect a small or large intestine and can occur by any cause, which leads to intestinal blood flow reduction. Ischaemic. Causes Bowel Infarction.
From www.youtube.com
Intestinal Ischemia, Causes, Signs and Symptoms, Diagnosis and Causes Bowel Infarction This is an uncommon medical condition,. Bowel ischemia can affect a small or large intestine and can occur by any cause, which leads to intestinal blood flow reduction. Colonic ischaemia, also called ischaemic colitis, affects your large intestine (large bowel). Ischaemic bowel disease encompasses a heterogeneous group of disorders caused by acute or chronic processes, arising. Hardening and narrowing of. Causes Bowel Infarction.
From www.researchgate.net
Fourth stage of small bowel ischemia with infarction. A Digital Causes Bowel Infarction Bowel ischemia can affect a small or large intestine and can occur by any cause, which leads to intestinal blood flow reduction. Sudden loss of blood flow to the small intestine is called acute mesenteric ischemia. This is an uncommon medical condition,. Colonic ischaemia, also called ischaemic colitis, affects your large intestine (large bowel). Hardening and narrowing of the arteries,. Causes Bowel Infarction.
From www.semanticscholar.org
Figure 2 from Acute Cytomegalovirus Infection as a Rare Cause of Portal Causes Bowel Infarction Bowel ischemia can affect a small or large intestine and can occur by any cause, which leads to intestinal blood flow reduction. Intestinal ischemia, which can affect the small or large intestine, can be caused by any process that reduces intestinal blood. The acute type is often caused by a. Sudden loss of blood flow to the small intestine is. Causes Bowel Infarction.
From www.epainassist.com
What Causes Ischemic Colitis Know its Symptoms, Pathophysiology, Etiology Causes Bowel Infarction Colonic ischaemia, also called ischaemic colitis, affects your large intestine (large bowel). Ischaemic bowel disease encompasses a heterogeneous group of disorders caused by acute or chronic processes, arising. Intestinal ischemia, which can affect the small or large intestine, can be caused by any process that reduces intestinal blood. Bowel ischemia can affect a small or large intestine and can occur. Causes Bowel Infarction.
From www.emdocs.net
Emergency Medicine EducationImproving the ED Diagnosis of Causes Bowel Infarction Colonic ischaemia, also called ischaemic colitis, affects your large intestine (large bowel). Ischaemic bowel disease encompasses a heterogeneous group of disorders caused by acute or chronic processes, arising. Hardening and narrowing of the arteries, or a clot (thrombosis) blocking an artery, are the. Sudden loss of blood flow to the small intestine is called acute mesenteric ischemia. The acute type. Causes Bowel Infarction.
From slidetodoc.com
Bowel Infarction HIGH MORTALITY RATE What is it Causes Bowel Infarction The acute type is often caused by a. This is an uncommon medical condition,. Ischaemic bowel disease encompasses a heterogeneous group of disorders caused by acute or chronic processes, arising. Intestinal ischemia, which can affect the small or large intestine, can be caused by any process that reduces intestinal blood. Colonic ischaemia, also called ischaemic colitis, affects your large intestine. Causes Bowel Infarction.
From radiopaedia.org
Small bowel infarction Image Causes Bowel Infarction Hardening and narrowing of the arteries, or a clot (thrombosis) blocking an artery, are the. The acute type is often caused by a. Sudden loss of blood flow to the small intestine is called acute mesenteric ischemia. Intestinal ischemia, which can affect the small or large intestine, can be caused by any process that reduces intestinal blood. This is an. Causes Bowel Infarction.
From els-jbs-prod-cdn.jbs.elsevierhealth.com
Small Bowel Necrosis After Colonoscopy Gastroenterology Causes Bowel Infarction Bowel ischemia can affect a small or large intestine and can occur by any cause, which leads to intestinal blood flow reduction. Sudden loss of blood flow to the small intestine is called acute mesenteric ischemia. The acute type is often caused by a. Ischaemic bowel disease encompasses a heterogeneous group of disorders caused by acute or chronic processes, arising.. Causes Bowel Infarction.
From teachmesurgery.com
Acute Mesenteric Ischaemia Causes Management TeachMeSurgery Causes Bowel Infarction Ischaemic bowel disease encompasses a heterogeneous group of disorders caused by acute or chronic processes, arising. The acute type is often caused by a. Sudden loss of blood flow to the small intestine is called acute mesenteric ischemia. Bowel ischemia can affect a small or large intestine and can occur by any cause, which leads to intestinal blood flow reduction.. Causes Bowel Infarction.
From www.slideshare.net
Ischemic Colitis Causes Bowel Infarction Ischaemic bowel disease encompasses a heterogeneous group of disorders caused by acute or chronic processes, arising. Bowel ischemia can affect a small or large intestine and can occur by any cause, which leads to intestinal blood flow reduction. Sudden loss of blood flow to the small intestine is called acute mesenteric ischemia. Intestinal ischemia, which can affect the small or. Causes Bowel Infarction.
From www.goldbamboo.com
Intestinal ischemia and infarction Pictures Causes Bowel Infarction Ischaemic bowel disease encompasses a heterogeneous group of disorders caused by acute or chronic processes, arising. This is an uncommon medical condition,. Colonic ischaemia, also called ischaemic colitis, affects your large intestine (large bowel). Sudden loss of blood flow to the small intestine is called acute mesenteric ischemia. Bowel ischemia can affect a small or large intestine and can occur. Causes Bowel Infarction.
From www.researchgate.net
Etiology of Acute Mesenteric Ischemia. Download Scientific Diagram Causes Bowel Infarction Sudden loss of blood flow to the small intestine is called acute mesenteric ischemia. Colonic ischaemia, also called ischaemic colitis, affects your large intestine (large bowel). Intestinal ischemia, which can affect the small or large intestine, can be caused by any process that reduces intestinal blood. Bowel ischemia can affect a small or large intestine and can occur by any. Causes Bowel Infarction.
From www.pathologyoutlines.com
Pathology Outlines Infarct Causes Bowel Infarction The acute type is often caused by a. Bowel ischemia can affect a small or large intestine and can occur by any cause, which leads to intestinal blood flow reduction. Sudden loss of blood flow to the small intestine is called acute mesenteric ischemia. Hardening and narrowing of the arteries, or a clot (thrombosis) blocking an artery, are the. Colonic. Causes Bowel Infarction.
From www.researchgate.net
Overview of the causes of acute bowel ischemia Download Scientific Causes Bowel Infarction Intestinal ischemia, which can affect the small or large intestine, can be caused by any process that reduces intestinal blood. Bowel ischemia can affect a small or large intestine and can occur by any cause, which leads to intestinal blood flow reduction. Ischaemic bowel disease encompasses a heterogeneous group of disorders caused by acute or chronic processes, arising. Hardening and. Causes Bowel Infarction.
From calgaryguide.ucalgary.ca
Small Bowel Infarction Calgary Guide Causes Bowel Infarction Sudden loss of blood flow to the small intestine is called acute mesenteric ischemia. Colonic ischaemia, also called ischaemic colitis, affects your large intestine (large bowel). Bowel ischemia can affect a small or large intestine and can occur by any cause, which leads to intestinal blood flow reduction. Hardening and narrowing of the arteries, or a clot (thrombosis) blocking an. Causes Bowel Infarction.
From www.osmosis.org
Small bowel ischemia and infarction Video & Anatomy Osmosis Causes Bowel Infarction Hardening and narrowing of the arteries, or a clot (thrombosis) blocking an artery, are the. Ischaemic bowel disease encompasses a heterogeneous group of disorders caused by acute or chronic processes, arising. The acute type is often caused by a. Bowel ischemia can affect a small or large intestine and can occur by any cause, which leads to intestinal blood flow. Causes Bowel Infarction.
From www.osmosis.org
Ileus What Is It, Types, Causes, Diagnosis, Treatment, and More Osmosis Causes Bowel Infarction Colonic ischaemia, also called ischaemic colitis, affects your large intestine (large bowel). The acute type is often caused by a. This is an uncommon medical condition,. Sudden loss of blood flow to the small intestine is called acute mesenteric ischemia. Ischaemic bowel disease encompasses a heterogeneous group of disorders caused by acute or chronic processes, arising. Bowel ischemia can affect. Causes Bowel Infarction.
From www.bmj.com
Diagnosis and management of intestinal ischaemic disorders The BMJ Causes Bowel Infarction Bowel ischemia can affect a small or large intestine and can occur by any cause, which leads to intestinal blood flow reduction. This is an uncommon medical condition,. Sudden loss of blood flow to the small intestine is called acute mesenteric ischemia. Intestinal ischemia, which can affect the small or large intestine, can be caused by any process that reduces. Causes Bowel Infarction.
From pubs.rsna.org
CT and MR Imaging Findings of Bowel Ischemia from Various Primary Causes Bowel Infarction Colonic ischaemia, also called ischaemic colitis, affects your large intestine (large bowel). Ischaemic bowel disease encompasses a heterogeneous group of disorders caused by acute or chronic processes, arising. This is an uncommon medical condition,. Intestinal ischemia, which can affect the small or large intestine, can be caused by any process that reduces intestinal blood. The acute type is often caused. Causes Bowel Infarction.
From www.familycarers.org.uk
Intestinal Ischemia Causes, Symptoms, Diagnosis & Treatment Health Causes Bowel Infarction Bowel ischemia can affect a small or large intestine and can occur by any cause, which leads to intestinal blood flow reduction. Sudden loss of blood flow to the small intestine is called acute mesenteric ischemia. Ischaemic bowel disease encompasses a heterogeneous group of disorders caused by acute or chronic processes, arising. Colonic ischaemia, also called ischaemic colitis, affects your. Causes Bowel Infarction.
From www.radiologycafe.com
Bowel pathology Radiology Cafe Causes Bowel Infarction Intestinal ischemia, which can affect the small or large intestine, can be caused by any process that reduces intestinal blood. Sudden loss of blood flow to the small intestine is called acute mesenteric ischemia. Hardening and narrowing of the arteries, or a clot (thrombosis) blocking an artery, are the. Colonic ischaemia, also called ischaemic colitis, affects your large intestine (large. Causes Bowel Infarction.