Dog Gastrointestinal Stromal Tumor . fifty canine gastrointestinal (gi) mesenchymal tumors were examined to determine the occurrence of leiomyomas. in dogs, adenocarcinoma is the most common gastric and large intestinal neoplasm, whereas lymphoma is more. fifty canine gastrointestinal (gi) mesenchymal tumors were examined to determine the occurrence of leiomyomas. adenocarcinoma, leiomyosarcoma, and lymphoma are the most common canine intestinal tumors. gastrointestinal stromal tumor (gist) is a malignant mesenchymal neoplasm described in humans, dogs, and. gastrointestinal stromal tumors (gists), leiomyomas, and leiomyosarcomas are common mesenchymal neoplasms in the.
from journals.sagepub.com
gastrointestinal stromal tumors (gists), leiomyomas, and leiomyosarcomas are common mesenchymal neoplasms in the. adenocarcinoma, leiomyosarcoma, and lymphoma are the most common canine intestinal tumors. fifty canine gastrointestinal (gi) mesenchymal tumors were examined to determine the occurrence of leiomyomas. fifty canine gastrointestinal (gi) mesenchymal tumors were examined to determine the occurrence of leiomyomas. gastrointestinal stromal tumor (gist) is a malignant mesenchymal neoplasm described in humans, dogs, and. in dogs, adenocarcinoma is the most common gastric and large intestinal neoplasm, whereas lymphoma is more.
DOG1 is a sensitive and specific immunohistochemical marker for
Dog Gastrointestinal Stromal Tumor gastrointestinal stromal tumor (gist) is a malignant mesenchymal neoplasm described in humans, dogs, and. fifty canine gastrointestinal (gi) mesenchymal tumors were examined to determine the occurrence of leiomyomas. adenocarcinoma, leiomyosarcoma, and lymphoma are the most common canine intestinal tumors. fifty canine gastrointestinal (gi) mesenchymal tumors were examined to determine the occurrence of leiomyomas. in dogs, adenocarcinoma is the most common gastric and large intestinal neoplasm, whereas lymphoma is more. gastrointestinal stromal tumors (gists), leiomyomas, and leiomyosarcomas are common mesenchymal neoplasms in the. gastrointestinal stromal tumor (gist) is a malignant mesenchymal neoplasm described in humans, dogs, and.
From www.ajronline.org
CT Evaluation of the Response of Gastrointestinal Stromal Tumors After Dog Gastrointestinal Stromal Tumor gastrointestinal stromal tumor (gist) is a malignant mesenchymal neoplasm described in humans, dogs, and. gastrointestinal stromal tumors (gists), leiomyomas, and leiomyosarcomas are common mesenchymal neoplasms in the. fifty canine gastrointestinal (gi) mesenchymal tumors were examined to determine the occurrence of leiomyomas. in dogs, adenocarcinoma is the most common gastric and large intestinal neoplasm, whereas lymphoma is. Dog Gastrointestinal Stromal Tumor.
From www.calpaclab.com
DOG1 / TMEM16A (Marker for Gastrointestinal Stromal Tumors); Clone DG1 Dog Gastrointestinal Stromal Tumor adenocarcinoma, leiomyosarcoma, and lymphoma are the most common canine intestinal tumors. in dogs, adenocarcinoma is the most common gastric and large intestinal neoplasm, whereas lymphoma is more. fifty canine gastrointestinal (gi) mesenchymal tumors were examined to determine the occurrence of leiomyomas. gastrointestinal stromal tumor (gist) is a malignant mesenchymal neoplasm described in humans, dogs, and. . Dog Gastrointestinal Stromal Tumor.
From www.brown.edu
Gastrointestinal Stromal Tumor (GIST) (Case 2) Pathology Residency Dog Gastrointestinal Stromal Tumor fifty canine gastrointestinal (gi) mesenchymal tumors were examined to determine the occurrence of leiomyomas. gastrointestinal stromal tumors (gists), leiomyomas, and leiomyosarcomas are common mesenchymal neoplasms in the. fifty canine gastrointestinal (gi) mesenchymal tumors were examined to determine the occurrence of leiomyomas. in dogs, adenocarcinoma is the most common gastric and large intestinal neoplasm, whereas lymphoma is. Dog Gastrointestinal Stromal Tumor.
From www.ajronline.org
CT and PET Early Prognostic Indicators of Response to Imatinib Dog Gastrointestinal Stromal Tumor fifty canine gastrointestinal (gi) mesenchymal tumors were examined to determine the occurrence of leiomyomas. adenocarcinoma, leiomyosarcoma, and lymphoma are the most common canine intestinal tumors. gastrointestinal stromal tumor (gist) is a malignant mesenchymal neoplasm described in humans, dogs, and. fifty canine gastrointestinal (gi) mesenchymal tumors were examined to determine the occurrence of leiomyomas. in dogs,. Dog Gastrointestinal Stromal Tumor.
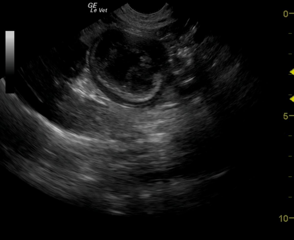
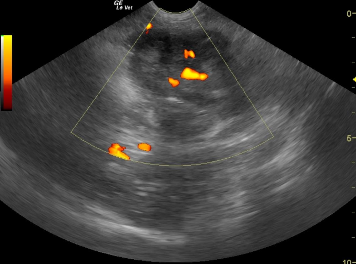
From members.sonopath.com
Intestinal stromal tumor in a 11 year old MN Brittany Spaniel dog Members Dog Gastrointestinal Stromal Tumor gastrointestinal stromal tumor (gist) is a malignant mesenchymal neoplasm described in humans, dogs, and. fifty canine gastrointestinal (gi) mesenchymal tumors were examined to determine the occurrence of leiomyomas. gastrointestinal stromal tumors (gists), leiomyomas, and leiomyosarcomas are common mesenchymal neoplasms in the. fifty canine gastrointestinal (gi) mesenchymal tumors were examined to determine the occurrence of leiomyomas. . Dog Gastrointestinal Stromal Tumor.
From www.ajronline.org
CT and PET Early Prognostic Indicators of Response to Imatinib Dog Gastrointestinal Stromal Tumor gastrointestinal stromal tumors (gists), leiomyomas, and leiomyosarcomas are common mesenchymal neoplasms in the. fifty canine gastrointestinal (gi) mesenchymal tumors were examined to determine the occurrence of leiomyomas. gastrointestinal stromal tumor (gist) is a malignant mesenchymal neoplasm described in humans, dogs, and. in dogs, adenocarcinoma is the most common gastric and large intestinal neoplasm, whereas lymphoma is. Dog Gastrointestinal Stromal Tumor.
From www.mdpi.com
Cancers Free FullText Clinical Diagnosis of Gastrointestinal Dog Gastrointestinal Stromal Tumor fifty canine gastrointestinal (gi) mesenchymal tumors were examined to determine the occurrence of leiomyomas. gastrointestinal stromal tumor (gist) is a malignant mesenchymal neoplasm described in humans, dogs, and. adenocarcinoma, leiomyosarcoma, and lymphoma are the most common canine intestinal tumors. in dogs, adenocarcinoma is the most common gastric and large intestinal neoplasm, whereas lymphoma is more. . Dog Gastrointestinal Stromal Tumor.
From journals.sagepub.com
DOG1 is a sensitive and specific immunohistochemical marker for Dog Gastrointestinal Stromal Tumor gastrointestinal stromal tumors (gists), leiomyomas, and leiomyosarcomas are common mesenchymal neoplasms in the. adenocarcinoma, leiomyosarcoma, and lymphoma are the most common canine intestinal tumors. in dogs, adenocarcinoma is the most common gastric and large intestinal neoplasm, whereas lymphoma is more. gastrointestinal stromal tumor (gist) is a malignant mesenchymal neoplasm described in humans, dogs, and. fifty. Dog Gastrointestinal Stromal Tumor.
From www.researchgate.net
The immunohistological features of the gastric gastrointestinal stromal Dog Gastrointestinal Stromal Tumor in dogs, adenocarcinoma is the most common gastric and large intestinal neoplasm, whereas lymphoma is more. gastrointestinal stromal tumor (gist) is a malignant mesenchymal neoplasm described in humans, dogs, and. fifty canine gastrointestinal (gi) mesenchymal tumors were examined to determine the occurrence of leiomyomas. fifty canine gastrointestinal (gi) mesenchymal tumors were examined to determine the occurrence. Dog Gastrointestinal Stromal Tumor.
From www.researchgate.net
(PDF) Histopathological Features of Gastrointestinal Stromal Tumors and Dog Gastrointestinal Stromal Tumor fifty canine gastrointestinal (gi) mesenchymal tumors were examined to determine the occurrence of leiomyomas. fifty canine gastrointestinal (gi) mesenchymal tumors were examined to determine the occurrence of leiomyomas. in dogs, adenocarcinoma is the most common gastric and large intestinal neoplasm, whereas lymphoma is more. adenocarcinoma, leiomyosarcoma, and lymphoma are the most common canine intestinal tumors. . Dog Gastrointestinal Stromal Tumor.
From www.spandidos-publications.com
Computed tomography imaging characteristics of synchronous Dog Gastrointestinal Stromal Tumor gastrointestinal stromal tumor (gist) is a malignant mesenchymal neoplasm described in humans, dogs, and. gastrointestinal stromal tumors (gists), leiomyomas, and leiomyosarcomas are common mesenchymal neoplasms in the. fifty canine gastrointestinal (gi) mesenchymal tumors were examined to determine the occurrence of leiomyomas. in dogs, adenocarcinoma is the most common gastric and large intestinal neoplasm, whereas lymphoma is. Dog Gastrointestinal Stromal Tumor.
From www.biolynxtec.com
DOG1 biolynx Dog Gastrointestinal Stromal Tumor adenocarcinoma, leiomyosarcoma, and lymphoma are the most common canine intestinal tumors. gastrointestinal stromal tumor (gist) is a malignant mesenchymal neoplasm described in humans, dogs, and. gastrointestinal stromal tumors (gists), leiomyomas, and leiomyosarcomas are common mesenchymal neoplasms in the. fifty canine gastrointestinal (gi) mesenchymal tumors were examined to determine the occurrence of leiomyomas. fifty canine gastrointestinal. Dog Gastrointestinal Stromal Tumor.
From jcp.bmj.com
Gastrointestinal stromal tumour treated with neoadjuvant imatinib Dog Gastrointestinal Stromal Tumor in dogs, adenocarcinoma is the most common gastric and large intestinal neoplasm, whereas lymphoma is more. adenocarcinoma, leiomyosarcoma, and lymphoma are the most common canine intestinal tumors. fifty canine gastrointestinal (gi) mesenchymal tumors were examined to determine the occurrence of leiomyomas. gastrointestinal stromal tumors (gists), leiomyomas, and leiomyosarcomas are common mesenchymal neoplasms in the. gastrointestinal. Dog Gastrointestinal Stromal Tumor.
From www.brown.edu
GIST Dog Gastrointestinal Stromal Tumor fifty canine gastrointestinal (gi) mesenchymal tumors were examined to determine the occurrence of leiomyomas. gastrointestinal stromal tumors (gists), leiomyomas, and leiomyosarcomas are common mesenchymal neoplasms in the. fifty canine gastrointestinal (gi) mesenchymal tumors were examined to determine the occurrence of leiomyomas. adenocarcinoma, leiomyosarcoma, and lymphoma are the most common canine intestinal tumors. in dogs, adenocarcinoma. Dog Gastrointestinal Stromal Tumor.
From www.researchgate.net
Pathological images of two cases of Intestinal Stromal Tumors. Image A Dog Gastrointestinal Stromal Tumor gastrointestinal stromal tumor (gist) is a malignant mesenchymal neoplasm described in humans, dogs, and. adenocarcinoma, leiomyosarcoma, and lymphoma are the most common canine intestinal tumors. gastrointestinal stromal tumors (gists), leiomyomas, and leiomyosarcomas are common mesenchymal neoplasms in the. fifty canine gastrointestinal (gi) mesenchymal tumors were examined to determine the occurrence of leiomyomas. fifty canine gastrointestinal. Dog Gastrointestinal Stromal Tumor.
From www.researchgate.net
(PDF) PETNegative Gastrointestinal Stromal Tumors Dog Gastrointestinal Stromal Tumor fifty canine gastrointestinal (gi) mesenchymal tumors were examined to determine the occurrence of leiomyomas. gastrointestinal stromal tumors (gists), leiomyomas, and leiomyosarcomas are common mesenchymal neoplasms in the. fifty canine gastrointestinal (gi) mesenchymal tumors were examined to determine the occurrence of leiomyomas. adenocarcinoma, leiomyosarcoma, and lymphoma are the most common canine intestinal tumors. in dogs, adenocarcinoma. Dog Gastrointestinal Stromal Tumor.
From www.wjgnet.com
Gastrointestinal stromal tumor metastasis at the site of a totally Dog Gastrointestinal Stromal Tumor fifty canine gastrointestinal (gi) mesenchymal tumors were examined to determine the occurrence of leiomyomas. in dogs, adenocarcinoma is the most common gastric and large intestinal neoplasm, whereas lymphoma is more. adenocarcinoma, leiomyosarcoma, and lymphoma are the most common canine intestinal tumors. gastrointestinal stromal tumors (gists), leiomyomas, and leiomyosarcomas are common mesenchymal neoplasms in the. fifty. Dog Gastrointestinal Stromal Tumor.
From journals.sagepub.com
Mast Cell Tumors of the Gastrointestinal Tract in 39 Dogs K. Ozaki, T Dog Gastrointestinal Stromal Tumor fifty canine gastrointestinal (gi) mesenchymal tumors were examined to determine the occurrence of leiomyomas. in dogs, adenocarcinoma is the most common gastric and large intestinal neoplasm, whereas lymphoma is more. gastrointestinal stromal tumors (gists), leiomyomas, and leiomyosarcomas are common mesenchymal neoplasms in the. adenocarcinoma, leiomyosarcoma, and lymphoma are the most common canine intestinal tumors. gastrointestinal. Dog Gastrointestinal Stromal Tumor.
From www.researchgate.net
Spindle gastrointestinal stromal tumor (a) with negative KIT (b Dog Gastrointestinal Stromal Tumor fifty canine gastrointestinal (gi) mesenchymal tumors were examined to determine the occurrence of leiomyomas. gastrointestinal stromal tumor (gist) is a malignant mesenchymal neoplasm described in humans, dogs, and. gastrointestinal stromal tumors (gists), leiomyomas, and leiomyosarcomas are common mesenchymal neoplasms in the. fifty canine gastrointestinal (gi) mesenchymal tumors were examined to determine the occurrence of leiomyomas. . Dog Gastrointestinal Stromal Tumor.
From www.ajronline.org
CT and PET Early Prognostic Indicators of Response to Imatinib Dog Gastrointestinal Stromal Tumor gastrointestinal stromal tumor (gist) is a malignant mesenchymal neoplasm described in humans, dogs, and. in dogs, adenocarcinoma is the most common gastric and large intestinal neoplasm, whereas lymphoma is more. gastrointestinal stromal tumors (gists), leiomyomas, and leiomyosarcomas are common mesenchymal neoplasms in the. fifty canine gastrointestinal (gi) mesenchymal tumors were examined to determine the occurrence of. Dog Gastrointestinal Stromal Tumor.
From www.ajronline.org
CT Evaluation of the Response of Gastrointestinal Stromal Tumors After Dog Gastrointestinal Stromal Tumor fifty canine gastrointestinal (gi) mesenchymal tumors were examined to determine the occurrence of leiomyomas. gastrointestinal stromal tumors (gists), leiomyomas, and leiomyosarcomas are common mesenchymal neoplasms in the. adenocarcinoma, leiomyosarcoma, and lymphoma are the most common canine intestinal tumors. in dogs, adenocarcinoma is the most common gastric and large intestinal neoplasm, whereas lymphoma is more. gastrointestinal. Dog Gastrointestinal Stromal Tumor.
From www.researchgate.net
(PDF) Differential Diagnosis of Canine Gastrointestinal Stromal Tumor Dog Gastrointestinal Stromal Tumor fifty canine gastrointestinal (gi) mesenchymal tumors were examined to determine the occurrence of leiomyomas. adenocarcinoma, leiomyosarcoma, and lymphoma are the most common canine intestinal tumors. fifty canine gastrointestinal (gi) mesenchymal tumors were examined to determine the occurrence of leiomyomas. gastrointestinal stromal tumor (gist) is a malignant mesenchymal neoplasm described in humans, dogs, and. gastrointestinal stromal. Dog Gastrointestinal Stromal Tumor.
From www.brown.edu
GIST Dog Gastrointestinal Stromal Tumor in dogs, adenocarcinoma is the most common gastric and large intestinal neoplasm, whereas lymphoma is more. fifty canine gastrointestinal (gi) mesenchymal tumors were examined to determine the occurrence of leiomyomas. fifty canine gastrointestinal (gi) mesenchymal tumors were examined to determine the occurrence of leiomyomas. gastrointestinal stromal tumor (gist) is a malignant mesenchymal neoplasm described in humans,. Dog Gastrointestinal Stromal Tumor.
From www.researchgate.net
Pathology of the tumor was consistent with gastrointestinal stromal Dog Gastrointestinal Stromal Tumor adenocarcinoma, leiomyosarcoma, and lymphoma are the most common canine intestinal tumors. in dogs, adenocarcinoma is the most common gastric and large intestinal neoplasm, whereas lymphoma is more. fifty canine gastrointestinal (gi) mesenchymal tumors were examined to determine the occurrence of leiomyomas. fifty canine gastrointestinal (gi) mesenchymal tumors were examined to determine the occurrence of leiomyomas. . Dog Gastrointestinal Stromal Tumor.
From www.ajronline.org
CT Evaluation of the Response of Gastrointestinal Stromal Tumors After Dog Gastrointestinal Stromal Tumor fifty canine gastrointestinal (gi) mesenchymal tumors were examined to determine the occurrence of leiomyomas. adenocarcinoma, leiomyosarcoma, and lymphoma are the most common canine intestinal tumors. gastrointestinal stromal tumors (gists), leiomyomas, and leiomyosarcomas are common mesenchymal neoplasms in the. gastrointestinal stromal tumor (gist) is a malignant mesenchymal neoplasm described in humans, dogs, and. fifty canine gastrointestinal. Dog Gastrointestinal Stromal Tumor.
From onlinelibrary.wiley.com
ULTRASONOGRAPHIC FEATURES OF CANINE GASTROINTESTINAL STROMAL TUMORS Dog Gastrointestinal Stromal Tumor gastrointestinal stromal tumor (gist) is a malignant mesenchymal neoplasm described in humans, dogs, and. fifty canine gastrointestinal (gi) mesenchymal tumors were examined to determine the occurrence of leiomyomas. gastrointestinal stromal tumors (gists), leiomyomas, and leiomyosarcomas are common mesenchymal neoplasms in the. fifty canine gastrointestinal (gi) mesenchymal tumors were examined to determine the occurrence of leiomyomas. . Dog Gastrointestinal Stromal Tumor.
From ar.iiarjournals.org
Imaging of Gastrointestinal Stromal Tumors From Diagnosis to Dog Gastrointestinal Stromal Tumor gastrointestinal stromal tumors (gists), leiomyomas, and leiomyosarcomas are common mesenchymal neoplasms in the. fifty canine gastrointestinal (gi) mesenchymal tumors were examined to determine the occurrence of leiomyomas. adenocarcinoma, leiomyosarcoma, and lymphoma are the most common canine intestinal tumors. fifty canine gastrointestinal (gi) mesenchymal tumors were examined to determine the occurrence of leiomyomas. in dogs, adenocarcinoma. Dog Gastrointestinal Stromal Tumor.
From www.ajronline.org
CT Evaluation of the Response of Gastrointestinal Stromal Tumors After Dog Gastrointestinal Stromal Tumor fifty canine gastrointestinal (gi) mesenchymal tumors were examined to determine the occurrence of leiomyomas. gastrointestinal stromal tumors (gists), leiomyomas, and leiomyosarcomas are common mesenchymal neoplasms in the. in dogs, adenocarcinoma is the most common gastric and large intestinal neoplasm, whereas lymphoma is more. gastrointestinal stromal tumor (gist) is a malignant mesenchymal neoplasm described in humans, dogs,. Dog Gastrointestinal Stromal Tumor.
From www.ajronline.org
CT and PET Early Prognostic Indicators of Response to Imatinib Dog Gastrointestinal Stromal Tumor adenocarcinoma, leiomyosarcoma, and lymphoma are the most common canine intestinal tumors. gastrointestinal stromal tumors (gists), leiomyomas, and leiomyosarcomas are common mesenchymal neoplasms in the. fifty canine gastrointestinal (gi) mesenchymal tumors were examined to determine the occurrence of leiomyomas. fifty canine gastrointestinal (gi) mesenchymal tumors were examined to determine the occurrence of leiomyomas. in dogs, adenocarcinoma. Dog Gastrointestinal Stromal Tumor.
From www.researchgate.net
Spectrum of DOG1 immunoreactivity in KITnegative gastrointestinal... Dog Gastrointestinal Stromal Tumor adenocarcinoma, leiomyosarcoma, and lymphoma are the most common canine intestinal tumors. gastrointestinal stromal tumor (gist) is a malignant mesenchymal neoplasm described in humans, dogs, and. in dogs, adenocarcinoma is the most common gastric and large intestinal neoplasm, whereas lymphoma is more. gastrointestinal stromal tumors (gists), leiomyomas, and leiomyosarcomas are common mesenchymal neoplasms in the. fifty. Dog Gastrointestinal Stromal Tumor.
From scielo.isciii.es
Patterns of extension of gastrointestinal stromal tumors (GIST) treated Dog Gastrointestinal Stromal Tumor fifty canine gastrointestinal (gi) mesenchymal tumors were examined to determine the occurrence of leiomyomas. fifty canine gastrointestinal (gi) mesenchymal tumors were examined to determine the occurrence of leiomyomas. gastrointestinal stromal tumors (gists), leiomyomas, and leiomyosarcomas are common mesenchymal neoplasms in the. in dogs, adenocarcinoma is the most common gastric and large intestinal neoplasm, whereas lymphoma is. Dog Gastrointestinal Stromal Tumor.
From journals.sagepub.com
Gastrointestinal Stromal Tumors and Leiomyomas in the Dog A Dog Gastrointestinal Stromal Tumor fifty canine gastrointestinal (gi) mesenchymal tumors were examined to determine the occurrence of leiomyomas. gastrointestinal stromal tumor (gist) is a malignant mesenchymal neoplasm described in humans, dogs, and. gastrointestinal stromal tumors (gists), leiomyomas, and leiomyosarcomas are common mesenchymal neoplasms in the. in dogs, adenocarcinoma is the most common gastric and large intestinal neoplasm, whereas lymphoma is. Dog Gastrointestinal Stromal Tumor.
From members.sonopath.com
Intestinal stromal tumor in a 11 year old MN Brittany Spaniel dog Members Dog Gastrointestinal Stromal Tumor fifty canine gastrointestinal (gi) mesenchymal tumors were examined to determine the occurrence of leiomyomas. fifty canine gastrointestinal (gi) mesenchymal tumors were examined to determine the occurrence of leiomyomas. adenocarcinoma, leiomyosarcoma, and lymphoma are the most common canine intestinal tumors. gastrointestinal stromal tumor (gist) is a malignant mesenchymal neoplasm described in humans, dogs, and. in dogs,. Dog Gastrointestinal Stromal Tumor.
From www.researchgate.net
(PDF) Mutational Analysis of cKIT and PDGFRA in Canine Dog Gastrointestinal Stromal Tumor in dogs, adenocarcinoma is the most common gastric and large intestinal neoplasm, whereas lymphoma is more. gastrointestinal stromal tumors (gists), leiomyomas, and leiomyosarcomas are common mesenchymal neoplasms in the. gastrointestinal stromal tumor (gist) is a malignant mesenchymal neoplasm described in humans, dogs, and. fifty canine gastrointestinal (gi) mesenchymal tumors were examined to determine the occurrence of. Dog Gastrointestinal Stromal Tumor.
From www.researchgate.net
Gastrointestinal stromal tumor of the transverse colon. A Axial CECT Dog Gastrointestinal Stromal Tumor in dogs, adenocarcinoma is the most common gastric and large intestinal neoplasm, whereas lymphoma is more. adenocarcinoma, leiomyosarcoma, and lymphoma are the most common canine intestinal tumors. fifty canine gastrointestinal (gi) mesenchymal tumors were examined to determine the occurrence of leiomyomas. gastrointestinal stromal tumor (gist) is a malignant mesenchymal neoplasm described in humans, dogs, and. . Dog Gastrointestinal Stromal Tumor.