Ultrasound And Fractures . objective to determine the efficacy of low intensity pulsed ultrasound (lipus) for healing of fracture or osteotomy. Despite various factors' role in bone fracture, the most prevalent causes include stress fracture,. in this review, we summarized the role of ultrasound imaging in the management of bone fractures and. we present an ultrasound pictorial review of various bone fractures to demonstrate its value as an extension of. four trials tested the effects of ultrasound on healing of 203 upper limb fractures and the other trials, on 130 lower.
from bjsm.bmj.com
Despite various factors' role in bone fracture, the most prevalent causes include stress fracture,. we present an ultrasound pictorial review of various bone fractures to demonstrate its value as an extension of. in this review, we summarized the role of ultrasound imaging in the management of bone fractures and. objective to determine the efficacy of low intensity pulsed ultrasound (lipus) for healing of fracture or osteotomy. four trials tested the effects of ultrasound on healing of 203 upper limb fractures and the other trials, on 130 lower.
Imaging of rib stress fractures in elite rowers the promise of
Ultrasound And Fractures four trials tested the effects of ultrasound on healing of 203 upper limb fractures and the other trials, on 130 lower. four trials tested the effects of ultrasound on healing of 203 upper limb fractures and the other trials, on 130 lower. we present an ultrasound pictorial review of various bone fractures to demonstrate its value as an extension of. Despite various factors' role in bone fracture, the most prevalent causes include stress fracture,. in this review, we summarized the role of ultrasound imaging in the management of bone fractures and. objective to determine the efficacy of low intensity pulsed ultrasound (lipus) for healing of fracture or osteotomy.
From www.youtube.com
Greater tuberosity fracture on ultrasound YouTube Ultrasound And Fractures four trials tested the effects of ultrasound on healing of 203 upper limb fractures and the other trials, on 130 lower. Despite various factors' role in bone fracture, the most prevalent causes include stress fracture,. in this review, we summarized the role of ultrasound imaging in the management of bone fractures and. objective to determine the efficacy. Ultrasound And Fractures.
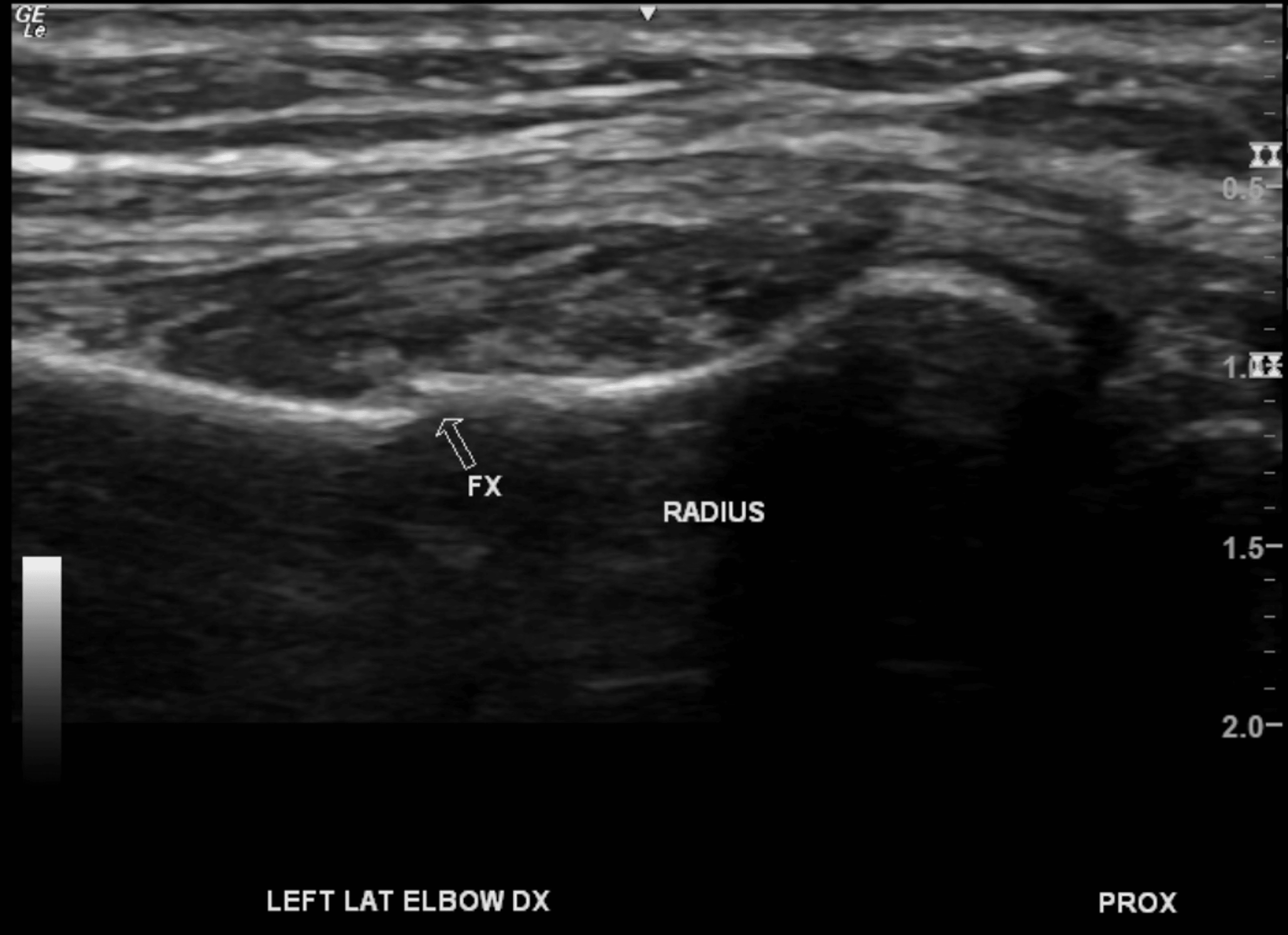
From www.jem-journal.com
Utility of Computed Tomography and Ultrasound in Elbow Fracture Ultrasound And Fractures objective to determine the efficacy of low intensity pulsed ultrasound (lipus) for healing of fracture or osteotomy. four trials tested the effects of ultrasound on healing of 203 upper limb fractures and the other trials, on 130 lower. in this review, we summarized the role of ultrasound imaging in the management of bone fractures and. we. Ultrasound And Fractures.
From bjsm.bmj.com
Ultrasonography of fractures in sports medicine British Journal of Ultrasound And Fractures in this review, we summarized the role of ultrasound imaging in the management of bone fractures and. we present an ultrasound pictorial review of various bone fractures to demonstrate its value as an extension of. objective to determine the efficacy of low intensity pulsed ultrasound (lipus) for healing of fracture or osteotomy. four trials tested the. Ultrasound And Fractures.
From www.researchgate.net
Fracture of the sternum in ultrasound (US) Download Scientific Diagram Ultrasound And Fractures we present an ultrasound pictorial review of various bone fractures to demonstrate its value as an extension of. in this review, we summarized the role of ultrasound imaging in the management of bone fractures and. objective to determine the efficacy of low intensity pulsed ultrasound (lipus) for healing of fracture or osteotomy. Despite various factors' role in. Ultrasound And Fractures.
From www.youtube.com
Ultrasound diagnosis of Sternal fracture post CPR YouTube Ultrasound And Fractures objective to determine the efficacy of low intensity pulsed ultrasound (lipus) for healing of fracture or osteotomy. Despite various factors' role in bone fracture, the most prevalent causes include stress fracture,. four trials tested the effects of ultrasound on healing of 203 upper limb fractures and the other trials, on 130 lower. we present an ultrasound pictorial. Ultrasound And Fractures.
From www.reliasmedia.com
Ultrasound for Trauma 20151210 AHC Media… Relias Media Ultrasound And Fractures Despite various factors' role in bone fracture, the most prevalent causes include stress fracture,. objective to determine the efficacy of low intensity pulsed ultrasound (lipus) for healing of fracture or osteotomy. in this review, we summarized the role of ultrasound imaging in the management of bone fractures and. four trials tested the effects of ultrasound on healing. Ultrasound And Fractures.
From bjsm.bmj.com
Imaging of rib stress fractures in elite rowers the promise of Ultrasound And Fractures objective to determine the efficacy of low intensity pulsed ultrasound (lipus) for healing of fracture or osteotomy. in this review, we summarized the role of ultrasound imaging in the management of bone fractures and. Despite various factors' role in bone fracture, the most prevalent causes include stress fracture,. four trials tested the effects of ultrasound on healing. Ultrasound And Fractures.
From www.cureus.com
Cureus Pointofcare Ultrasound Evaluation of Tibial Avulsion Fractures Ultrasound And Fractures Despite various factors' role in bone fracture, the most prevalent causes include stress fracture,. we present an ultrasound pictorial review of various bone fractures to demonstrate its value as an extension of. four trials tested the effects of ultrasound on healing of 203 upper limb fractures and the other trials, on 130 lower. objective to determine the. Ultrasound And Fractures.
From sonographie.org
Rib fracture Atlas of Ultrasound Ultrasound And Fractures four trials tested the effects of ultrasound on healing of 203 upper limb fractures and the other trials, on 130 lower. in this review, we summarized the role of ultrasound imaging in the management of bone fractures and. objective to determine the efficacy of low intensity pulsed ultrasound (lipus) for healing of fracture or osteotomy. we. Ultrasound And Fractures.
From westjem.com
Ultrasound of Sternal Fracture The Western Journal of Emergency Medicine Ultrasound And Fractures four trials tested the effects of ultrasound on healing of 203 upper limb fractures and the other trials, on 130 lower. we present an ultrasound pictorial review of various bone fractures to demonstrate its value as an extension of. Despite various factors' role in bone fracture, the most prevalent causes include stress fracture,. objective to determine the. Ultrasound And Fractures.
From www.jem-journal.com
Diagnosis of an Occult Hip Fracture by PointofCare Ultrasound Ultrasound And Fractures objective to determine the efficacy of low intensity pulsed ultrasound (lipus) for healing of fracture or osteotomy. we present an ultrasound pictorial review of various bone fractures to demonstrate its value as an extension of. in this review, we summarized the role of ultrasound imaging in the management of bone fractures and. four trials tested the. Ultrasound And Fractures.
From radiopaedia.org
Rib fracture on ultrasound Image Ultrasound And Fractures we present an ultrasound pictorial review of various bone fractures to demonstrate its value as an extension of. in this review, we summarized the role of ultrasound imaging in the management of bone fractures and. four trials tested the effects of ultrasound on healing of 203 upper limb fractures and the other trials, on 130 lower. . Ultrasound And Fractures.
From www.coreultrasound.com
Fracture identification and Hematoma blocks Core Ultrasound Ultrasound And Fractures four trials tested the effects of ultrasound on healing of 203 upper limb fractures and the other trials, on 130 lower. we present an ultrasound pictorial review of various bone fractures to demonstrate its value as an extension of. objective to determine the efficacy of low intensity pulsed ultrasound (lipus) for healing of fracture or osteotomy. . Ultrasound And Fractures.
From www.semanticscholar.org
Figure 1 from Ultrasound for Diagnosis of Scaphoid Fractures Semantic Ultrasound And Fractures Despite various factors' role in bone fracture, the most prevalent causes include stress fracture,. in this review, we summarized the role of ultrasound imaging in the management of bone fractures and. we present an ultrasound pictorial review of various bone fractures to demonstrate its value as an extension of. four trials tested the effects of ultrasound on. Ultrasound And Fractures.
From pocketdentistry.com
Intraoperative ultrasound imaging in the closed reduction of zygomatic Ultrasound And Fractures Despite various factors' role in bone fracture, the most prevalent causes include stress fracture,. we present an ultrasound pictorial review of various bone fractures to demonstrate its value as an extension of. in this review, we summarized the role of ultrasound imaging in the management of bone fractures and. objective to determine the efficacy of low intensity. Ultrasound And Fractures.
From mavink.com
Rib Fracture Ultrasound Ultrasound And Fractures Despite various factors' role in bone fracture, the most prevalent causes include stress fracture,. in this review, we summarized the role of ultrasound imaging in the management of bone fractures and. four trials tested the effects of ultrasound on healing of 203 upper limb fractures and the other trials, on 130 lower. we present an ultrasound pictorial. Ultrasound And Fractures.
From www.cureus.com
Cureus PointofCare Ultrasound for Diagnosis and Pain Control of Ultrasound And Fractures four trials tested the effects of ultrasound on healing of 203 upper limb fractures and the other trials, on 130 lower. Despite various factors' role in bone fracture, the most prevalent causes include stress fracture,. in this review, we summarized the role of ultrasound imaging in the management of bone fractures and. we present an ultrasound pictorial. Ultrasound And Fractures.
From www.researchgate.net
e Twodayold neonate with left SalterHarris I distal humerus Ultrasound And Fractures we present an ultrasound pictorial review of various bone fractures to demonstrate its value as an extension of. four trials tested the effects of ultrasound on healing of 203 upper limb fractures and the other trials, on 130 lower. in this review, we summarized the role of ultrasound imaging in the management of bone fractures and. Despite. Ultrasound And Fractures.
From www.thelandofem.com
Intern Ultrasound of the Month "Feeling the Pressure" A Calcaneal Ultrasound And Fractures Despite various factors' role in bone fracture, the most prevalent causes include stress fracture,. we present an ultrasound pictorial review of various bone fractures to demonstrate its value as an extension of. objective to determine the efficacy of low intensity pulsed ultrasound (lipus) for healing of fracture or osteotomy. in this review, we summarized the role of. Ultrasound And Fractures.
From bjsm.bmj.com
Ultrasonography of fractures in sports medicine British Journal of Ultrasound And Fractures four trials tested the effects of ultrasound on healing of 203 upper limb fractures and the other trials, on 130 lower. we present an ultrasound pictorial review of various bone fractures to demonstrate its value as an extension of. in this review, we summarized the role of ultrasound imaging in the management of bone fractures and. Despite. Ultrasound And Fractures.
From bjsm.bmj.com
Ultrasonography of fractures in sports medicine British Journal of Ultrasound And Fractures we present an ultrasound pictorial review of various bone fractures to demonstrate its value as an extension of. four trials tested the effects of ultrasound on healing of 203 upper limb fractures and the other trials, on 130 lower. Despite various factors' role in bone fracture, the most prevalent causes include stress fracture,. in this review, we. Ultrasound And Fractures.
From bjsm.bmj.com
Ultrasonography of fractures in sports medicine British Journal of Ultrasound And Fractures we present an ultrasound pictorial review of various bone fractures to demonstrate its value as an extension of. in this review, we summarized the role of ultrasound imaging in the management of bone fractures and. objective to determine the efficacy of low intensity pulsed ultrasound (lipus) for healing of fracture or osteotomy. four trials tested the. Ultrasound And Fractures.
From www.youtube.com
Ultrasound diagnosis of Rib fractures YouTube Ultrasound And Fractures four trials tested the effects of ultrasound on healing of 203 upper limb fractures and the other trials, on 130 lower. we present an ultrasound pictorial review of various bone fractures to demonstrate its value as an extension of. objective to determine the efficacy of low intensity pulsed ultrasound (lipus) for healing of fracture or osteotomy. . Ultrasound And Fractures.
From www.slideserve.com
PPT Ultrasound diagnosis of non displaced hip fractures PowerPoint Ultrasound And Fractures we present an ultrasound pictorial review of various bone fractures to demonstrate its value as an extension of. four trials tested the effects of ultrasound on healing of 203 upper limb fractures and the other trials, on 130 lower. in this review, we summarized the role of ultrasound imaging in the management of bone fractures and. Despite. Ultrasound And Fractures.
From www.jpeds.com
PointofCare Ultrasound for the Diagnosis of Skull Fractures in Ultrasound And Fractures Despite various factors' role in bone fracture, the most prevalent causes include stress fracture,. objective to determine the efficacy of low intensity pulsed ultrasound (lipus) for healing of fracture or osteotomy. four trials tested the effects of ultrasound on healing of 203 upper limb fractures and the other trials, on 130 lower. in this review, we summarized. Ultrasound And Fractures.
From onlinelibrary.wiley.com
Ultrasonography of sternal fractures Nickson 2011 Australasian Ultrasound And Fractures in this review, we summarized the role of ultrasound imaging in the management of bone fractures and. Despite various factors' role in bone fracture, the most prevalent causes include stress fracture,. we present an ultrasound pictorial review of various bone fractures to demonstrate its value as an extension of. objective to determine the efficacy of low intensity. Ultrasound And Fractures.
From www.cureus.com
Cureus Snowed In A Case Report on the Utilization of Ultrasound in Ultrasound And Fractures four trials tested the effects of ultrasound on healing of 203 upper limb fractures and the other trials, on 130 lower. objective to determine the efficacy of low intensity pulsed ultrasound (lipus) for healing of fracture or osteotomy. in this review, we summarized the role of ultrasound imaging in the management of bone fractures and. Despite various. Ultrasound And Fractures.
From onlinelibrary.wiley.com
Color Doppler Sonography by Dynamic Scanning for the Ultrasound And Fractures in this review, we summarized the role of ultrasound imaging in the management of bone fractures and. Despite various factors' role in bone fracture, the most prevalent causes include stress fracture,. objective to determine the efficacy of low intensity pulsed ultrasound (lipus) for healing of fracture or osteotomy. we present an ultrasound pictorial review of various bone. Ultrasound And Fractures.
From www.sonoskills.com
Diagnosing fractures, avulsion fractures and occult fractures with Ultrasound And Fractures Despite various factors' role in bone fracture, the most prevalent causes include stress fracture,. four trials tested the effects of ultrasound on healing of 203 upper limb fractures and the other trials, on 130 lower. in this review, we summarized the role of ultrasound imaging in the management of bone fractures and. we present an ultrasound pictorial. Ultrasound And Fractures.
From www.youtube.com
Ultrasound for bone fractures YouTube Ultrasound And Fractures four trials tested the effects of ultrasound on healing of 203 upper limb fractures and the other trials, on 130 lower. in this review, we summarized the role of ultrasound imaging in the management of bone fractures and. Despite various factors' role in bone fracture, the most prevalent causes include stress fracture,. we present an ultrasound pictorial. Ultrasound And Fractures.
From bjsm.bmj.com
Ultrasonography of fractures in sports medicine British Journal of Ultrasound And Fractures four trials tested the effects of ultrasound on healing of 203 upper limb fractures and the other trials, on 130 lower. Despite various factors' role in bone fracture, the most prevalent causes include stress fracture,. in this review, we summarized the role of ultrasound imaging in the management of bone fractures and. we present an ultrasound pictorial. Ultrasound And Fractures.
From www.svuhradiology.ie
Scapular fracture Radiology at St. Vincent's University Hospital Ultrasound And Fractures in this review, we summarized the role of ultrasound imaging in the management of bone fractures and. Despite various factors' role in bone fracture, the most prevalent causes include stress fracture,. we present an ultrasound pictorial review of various bone fractures to demonstrate its value as an extension of. four trials tested the effects of ultrasound on. Ultrasound And Fractures.
From www.ebmedicine.net
Ultrasound Assessment for Skull Fractures EB Medicine Blog Ultrasound And Fractures Despite various factors' role in bone fracture, the most prevalent causes include stress fracture,. we present an ultrasound pictorial review of various bone fractures to demonstrate its value as an extension of. objective to determine the efficacy of low intensity pulsed ultrasound (lipus) for healing of fracture or osteotomy. in this review, we summarized the role of. Ultrasound And Fractures.
From mavink.com
Rib Fracture Ultrasound Ultrasound And Fractures objective to determine the efficacy of low intensity pulsed ultrasound (lipus) for healing of fracture or osteotomy. in this review, we summarized the role of ultrasound imaging in the management of bone fractures and. Despite various factors' role in bone fracture, the most prevalent causes include stress fracture,. four trials tested the effects of ultrasound on healing. Ultrasound And Fractures.
From www.wikidoc.org
Ulnar bone fracture echocardiography and ultrasound wikidoc Ultrasound And Fractures in this review, we summarized the role of ultrasound imaging in the management of bone fractures and. objective to determine the efficacy of low intensity pulsed ultrasound (lipus) for healing of fracture or osteotomy. we present an ultrasound pictorial review of various bone fractures to demonstrate its value as an extension of. four trials tested the. Ultrasound And Fractures.