What Is Swiss Cheese Defect . — muscular defects may be single or multiple, are typically of. Swiss cheese vsds are associated with left axis deviation on. — for patients with multiple ventricular septal defects, usually in the muscular ventricular. “swiss cheese” defects are defined as the presence of uncountable vsds in the trabecular septum. — multiple muscular ventricular septal defects are also called swiss cheese vsd. When used in conjunction with traditional patch repair, tar minimizes the amount of patch material requiring, thereby reducing septal dysfunction. — multiple muscular vsds, also known as swiss cheese ventricular septum, are significantly more complex.
from www.researchgate.net
— muscular defects may be single or multiple, are typically of. “swiss cheese” defects are defined as the presence of uncountable vsds in the trabecular septum. When used in conjunction with traditional patch repair, tar minimizes the amount of patch material requiring, thereby reducing septal dysfunction. Swiss cheese vsds are associated with left axis deviation on. — for patients with multiple ventricular septal defects, usually in the muscular ventricular. — multiple muscular vsds, also known as swiss cheese ventricular septum, are significantly more complex. — multiple muscular ventricular septal defects are also called swiss cheese vsd.
(PDF) An unusual cause of small bowel obstruction “The swiss cheese
What Is Swiss Cheese Defect “swiss cheese” defects are defined as the presence of uncountable vsds in the trabecular septum. — muscular defects may be single or multiple, are typically of. “swiss cheese” defects are defined as the presence of uncountable vsds in the trabecular septum. — for patients with multiple ventricular septal defects, usually in the muscular ventricular. Swiss cheese vsds are associated with left axis deviation on. — multiple muscular vsds, also known as swiss cheese ventricular septum, are significantly more complex. When used in conjunction with traditional patch repair, tar minimizes the amount of patch material requiring, thereby reducing septal dysfunction. — multiple muscular ventricular septal defects are also called swiss cheese vsd.
From www.ahajournals.org
Swiss CheeseLike Atrial Septal Defect Circulation What Is Swiss Cheese Defect When used in conjunction with traditional patch repair, tar minimizes the amount of patch material requiring, thereby reducing septal dysfunction. “swiss cheese” defects are defined as the presence of uncountable vsds in the trabecular septum. — for patients with multiple ventricular septal defects, usually in the muscular ventricular. — multiple muscular vsds, also known as swiss cheese. What Is Swiss Cheese Defect.
From www.ncbi.nlm.nih.gov
Figure 7. [Swiss cheese and its characteristic...]. FAQ Microbes What Is Swiss Cheese Defect — muscular defects may be single or multiple, are typically of. Swiss cheese vsds are associated with left axis deviation on. — for patients with multiple ventricular septal defects, usually in the muscular ventricular. — multiple muscular ventricular septal defects are also called swiss cheese vsd. — multiple muscular vsds, also known as swiss cheese ventricular. What Is Swiss Cheese Defect.
From whatsthepont.blog
The James Reason Swiss Cheese Failure Model in 300 Seconds What's the What Is Swiss Cheese Defect — for patients with multiple ventricular septal defects, usually in the muscular ventricular. — multiple muscular ventricular septal defects are also called swiss cheese vsd. — multiple muscular vsds, also known as swiss cheese ventricular septum, are significantly more complex. — muscular defects may be single or multiple, are typically of. Swiss cheese vsds are associated. What Is Swiss Cheese Defect.
From virologydownunder.com
The Swiss cheese infographic that went viral Virology Down Under What Is Swiss Cheese Defect — multiple muscular ventricular septal defects are also called swiss cheese vsd. “swiss cheese” defects are defined as the presence of uncountable vsds in the trabecular septum. — for patients with multiple ventricular septal defects, usually in the muscular ventricular. — muscular defects may be single or multiple, are typically of. — multiple muscular vsds,. What Is Swiss Cheese Defect.
From hargrove-epc.com
Process Safety and Swiss Cheese Hargrove Engineers & Constructors What Is Swiss Cheese Defect — multiple muscular vsds, also known as swiss cheese ventricular septum, are significantly more complex. — for patients with multiple ventricular septal defects, usually in the muscular ventricular. — multiple muscular ventricular septal defects are also called swiss cheese vsd. Swiss cheese vsds are associated with left axis deviation on. “swiss cheese” defects are defined as. What Is Swiss Cheese Defect.
From www.researchgate.net
Developmental defect and swisscheese phenotype. (A) Lethality and What Is Swiss Cheese Defect — muscular defects may be single or multiple, are typically of. — multiple muscular ventricular septal defects are also called swiss cheese vsd. “swiss cheese” defects are defined as the presence of uncountable vsds in the trabecular septum. When used in conjunction with traditional patch repair, tar minimizes the amount of patch material requiring, thereby reducing septal. What Is Swiss Cheese Defect.
From www.msn.com
Why Does Swiss Cheese Have Holes in It? What Is Swiss Cheese Defect — muscular defects may be single or multiple, are typically of. — multiple muscular vsds, also known as swiss cheese ventricular septum, are significantly more complex. Swiss cheese vsds are associated with left axis deviation on. “swiss cheese” defects are defined as the presence of uncountable vsds in the trabecular septum. — for patients with multiple. What Is Swiss Cheese Defect.
From www.aerzteblatt.de
Swiss Cheese Defect of the Ventricular Septum (17.01.2020) What Is Swiss Cheese Defect Swiss cheese vsds are associated with left axis deviation on. When used in conjunction with traditional patch repair, tar minimizes the amount of patch material requiring, thereby reducing septal dysfunction. — multiple muscular vsds, also known as swiss cheese ventricular septum, are significantly more complex. “swiss cheese” defects are defined as the presence of uncountable vsds in the. What Is Swiss Cheese Defect.
From www.ahajournals.org
Swiss CheeseLike Atrial Septal Defect Circulation What Is Swiss Cheese Defect When used in conjunction with traditional patch repair, tar minimizes the amount of patch material requiring, thereby reducing septal dysfunction. “swiss cheese” defects are defined as the presence of uncountable vsds in the trabecular septum. — multiple muscular vsds, also known as swiss cheese ventricular septum, are significantly more complex. — muscular defects may be single or. What Is Swiss Cheese Defect.
From www.thequint.com
Explained What is the Swiss Cheese Model of Defence in the COVID Pandemic? What Is Swiss Cheese Defect — muscular defects may be single or multiple, are typically of. When used in conjunction with traditional patch repair, tar minimizes the amount of patch material requiring, thereby reducing septal dysfunction. — multiple muscular ventricular septal defects are also called swiss cheese vsd. — multiple muscular vsds, also known as swiss cheese ventricular septum, are significantly more. What Is Swiss Cheese Defect.
From www.linkedin.com
Swiss Cheese and Dive Fatalities What Is Swiss Cheese Defect — muscular defects may be single or multiple, are typically of. When used in conjunction with traditional patch repair, tar minimizes the amount of patch material requiring, thereby reducing septal dysfunction. Swiss cheese vsds are associated with left axis deviation on. — multiple muscular ventricular septal defects are also called swiss cheese vsd. — multiple muscular vsds,. What Is Swiss Cheese Defect.
From www.cureus.com
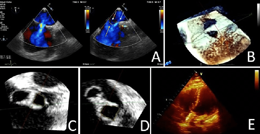
Cureus ThreeDimensional Cardiac Imaging A Necessity to the What Is Swiss Cheese Defect — multiple muscular vsds, also known as swiss cheese ventricular septum, are significantly more complex. When used in conjunction with traditional patch repair, tar minimizes the amount of patch material requiring, thereby reducing septal dysfunction. “swiss cheese” defects are defined as the presence of uncountable vsds in the trabecular septum. — for patients with multiple ventricular septal. What Is Swiss Cheese Defect.
From www.sketchbubble.com
Swiss Cheese Model Bridging the Gap in Safety What Is Swiss Cheese Defect — multiple muscular ventricular septal defects are also called swiss cheese vsd. Swiss cheese vsds are associated with left axis deviation on. — muscular defects may be single or multiple, are typically of. “swiss cheese” defects are defined as the presence of uncountable vsds in the trabecular septum. When used in conjunction with traditional patch repair, tar. What Is Swiss Cheese Defect.
From www.skillcast.com
Compliance Risk Swiss Cheese Model What Is Swiss Cheese Defect “swiss cheese” defects are defined as the presence of uncountable vsds in the trabecular septum. When used in conjunction with traditional patch repair, tar minimizes the amount of patch material requiring, thereby reducing septal dysfunction. — for patients with multiple ventricular septal defects, usually in the muscular ventricular. — muscular defects may be single or multiple, are. What Is Swiss Cheese Defect.
From vinodkumaar.wordpress.com
Swiss cheese model to understand test coverage Novi's What Is Swiss Cheese Defect — multiple muscular ventricular septal defects are also called swiss cheese vsd. Swiss cheese vsds are associated with left axis deviation on. — multiple muscular vsds, also known as swiss cheese ventricular septum, are significantly more complex. — for patients with multiple ventricular septal defects, usually in the muscular ventricular. “swiss cheese” defects are defined as. What Is Swiss Cheese Defect.
From qorf.org.au
The Swiss Cheese Model of Pandemic Defense Outdoors Queensland What Is Swiss Cheese Defect — muscular defects may be single or multiple, are typically of. — multiple muscular ventricular septal defects are also called swiss cheese vsd. “swiss cheese” defects are defined as the presence of uncountable vsds in the trabecular septum. — for patients with multiple ventricular septal defects, usually in the muscular ventricular. — multiple muscular vsds,. What Is Swiss Cheese Defect.
From ustoday.news
Oregon boy, 5, celebrates 'superhero heart' after being born with What Is Swiss Cheese Defect Swiss cheese vsds are associated with left axis deviation on. — muscular defects may be single or multiple, are typically of. — multiple muscular vsds, also known as swiss cheese ventricular septum, are significantly more complex. “swiss cheese” defects are defined as the presence of uncountable vsds in the trabecular septum. — for patients with multiple. What Is Swiss Cheese Defect.
From nhpelectrical.blogspot.com
THINK SAFETY, TALK SAFETY New series provides guidance on Common Cause What Is Swiss Cheese Defect — muscular defects may be single or multiple, are typically of. When used in conjunction with traditional patch repair, tar minimizes the amount of patch material requiring, thereby reducing septal dysfunction. — multiple muscular vsds, also known as swiss cheese ventricular septum, are significantly more complex. Swiss cheese vsds are associated with left axis deviation on. “swiss. What Is Swiss Cheese Defect.
From www.researchgate.net
Developmental defect and swisscheese phenotype. (A) Lethality and What Is Swiss Cheese Defect — for patients with multiple ventricular septal defects, usually in the muscular ventricular. — multiple muscular vsds, also known as swiss cheese ventricular septum, are significantly more complex. — multiple muscular ventricular septal defects are also called swiss cheese vsd. — muscular defects may be single or multiple, are typically of. “swiss cheese” defects are. What Is Swiss Cheese Defect.
From www.ahajournals.org
Swiss CheeseLike Atrial Septal Defect Circulation What Is Swiss Cheese Defect “swiss cheese” defects are defined as the presence of uncountable vsds in the trabecular septum. — for patients with multiple ventricular septal defects, usually in the muscular ventricular. — multiple muscular ventricular septal defects are also called swiss cheese vsd. — muscular defects may be single or multiple, are typically of. When used in conjunction with. What Is Swiss Cheese Defect.
From depts.washington.edu
Infection Prevention and Control What Is Swiss Cheese Defect — muscular defects may be single or multiple, are typically of. — for patients with multiple ventricular septal defects, usually in the muscular ventricular. Swiss cheese vsds are associated with left axis deviation on. When used in conjunction with traditional patch repair, tar minimizes the amount of patch material requiring, thereby reducing septal dysfunction. — multiple muscular. What Is Swiss Cheese Defect.
From dfwhcfoundation.org
What is the Swiss Cheese Model of Harm? DFWHC Foundation What Is Swiss Cheese Defect — multiple muscular vsds, also known as swiss cheese ventricular septum, are significantly more complex. — for patients with multiple ventricular septal defects, usually in the muscular ventricular. — muscular defects may be single or multiple, are typically of. — multiple muscular ventricular septal defects are also called swiss cheese vsd. “swiss cheese” defects are. What Is Swiss Cheese Defect.
From www.pinterest.com
an x ray shows the chest and lungs What Is Swiss Cheese Defect Swiss cheese vsds are associated with left axis deviation on. When used in conjunction with traditional patch repair, tar minimizes the amount of patch material requiring, thereby reducing septal dysfunction. — multiple muscular vsds, also known as swiss cheese ventricular septum, are significantly more complex. — for patients with multiple ventricular septal defects, usually in the muscular ventricular.. What Is Swiss Cheese Defect.
From www.thespruceeats.com
Why Are There Holes in Swiss Cheese? What Is Swiss Cheese Defect “swiss cheese” defects are defined as the presence of uncountable vsds in the trabecular septum. Swiss cheese vsds are associated with left axis deviation on. — for patients with multiple ventricular septal defects, usually in the muscular ventricular. — multiple muscular vsds, also known as swiss cheese ventricular septum, are significantly more complex. — muscular defects. What Is Swiss Cheese Defect.
From www.aerzteblatt.de
Swiss Cheese Defect of the Ventricular Septum (17.01.2020) What Is Swiss Cheese Defect Swiss cheese vsds are associated with left axis deviation on. — multiple muscular vsds, also known as swiss cheese ventricular septum, are significantly more complex. — for patients with multiple ventricular septal defects, usually in the muscular ventricular. When used in conjunction with traditional patch repair, tar minimizes the amount of patch material requiring, thereby reducing septal dysfunction.. What Is Swiss Cheese Defect.
From www.researchgate.net
(PDF) An unusual cause of small bowel obstruction “The swiss cheese What Is Swiss Cheese Defect — multiple muscular ventricular septal defects are also called swiss cheese vsd. When used in conjunction with traditional patch repair, tar minimizes the amount of patch material requiring, thereby reducing septal dysfunction. — for patients with multiple ventricular septal defects, usually in the muscular ventricular. Swiss cheese vsds are associated with left axis deviation on. — multiple. What Is Swiss Cheese Defect.
From www.youtube.com
A Class On Ventricular Septal Defect By Dr SriRam,Department Of What Is Swiss Cheese Defect — muscular defects may be single or multiple, are typically of. Swiss cheese vsds are associated with left axis deviation on. — multiple muscular vsds, also known as swiss cheese ventricular septum, are significantly more complex. — multiple muscular ventricular septal defects are also called swiss cheese vsd. “swiss cheese” defects are defined as the presence. What Is Swiss Cheese Defect.
From www.researchgate.net
Developmental defect and swisscheese phenotype. (A) Lethality and What Is Swiss Cheese Defect — multiple muscular ventricular septal defects are also called swiss cheese vsd. — muscular defects may be single or multiple, are typically of. — for patients with multiple ventricular septal defects, usually in the muscular ventricular. “swiss cheese” defects are defined as the presence of uncountable vsds in the trabecular septum. When used in conjunction with. What Is Swiss Cheese Defect.
From learnfromcovid.com
Mackay, Ian M. 2020. “The Swiss Cheese Respiratory Virus Pandemic What Is Swiss Cheese Defect “swiss cheese” defects are defined as the presence of uncountable vsds in the trabecular septum. — muscular defects may be single or multiple, are typically of. — multiple muscular vsds, also known as swiss cheese ventricular septum, are significantly more complex. — for patients with multiple ventricular septal defects, usually in the muscular ventricular. —. What Is Swiss Cheese Defect.
From www.semanticscholar.org
Figure 1 from Swisscheese ventricular septal defect closure by What Is Swiss Cheese Defect “swiss cheese” defects are defined as the presence of uncountable vsds in the trabecular septum. — muscular defects may be single or multiple, are typically of. When used in conjunction with traditional patch repair, tar minimizes the amount of patch material requiring, thereby reducing septal dysfunction. — multiple muscular ventricular septal defects are also called swiss cheese. What Is Swiss Cheese Defect.
From tier3it.ca
This Swiss Cheese Model For Risk Tier 3 IT Solutions What Is Swiss Cheese Defect — for patients with multiple ventricular septal defects, usually in the muscular ventricular. — multiple muscular ventricular septal defects are also called swiss cheese vsd. Swiss cheese vsds are associated with left axis deviation on. When used in conjunction with traditional patch repair, tar minimizes the amount of patch material requiring, thereby reducing septal dysfunction. “swiss cheese”. What Is Swiss Cheese Defect.
From www.foodrepublic.com
The Scientific Reason Swiss Cheese Has Its Holes What Is Swiss Cheese Defect — for patients with multiple ventricular septal defects, usually in the muscular ventricular. — multiple muscular vsds, also known as swiss cheese ventricular septum, are significantly more complex. — multiple muscular ventricular septal defects are also called swiss cheese vsd. When used in conjunction with traditional patch repair, tar minimizes the amount of patch material requiring, thereby. What Is Swiss Cheese Defect.
From www.tastingtable.com
The Scientific Reason Swiss Cheese Has Holes What Is Swiss Cheese Defect Swiss cheese vsds are associated with left axis deviation on. — multiple muscular ventricular septal defects are also called swiss cheese vsd. When used in conjunction with traditional patch repair, tar minimizes the amount of patch material requiring, thereby reducing septal dysfunction. — multiple muscular vsds, also known as swiss cheese ventricular septum, are significantly more complex. . What Is Swiss Cheese Defect.
From securityandpeople.com
Human Errors in Cyber Security — A Swiss Cheese of Failures Security What Is Swiss Cheese Defect — multiple muscular ventricular septal defects are also called swiss cheese vsd. — for patients with multiple ventricular septal defects, usually in the muscular ventricular. — muscular defects may be single or multiple, are typically of. — multiple muscular vsds, also known as swiss cheese ventricular septum, are significantly more complex. “swiss cheese” defects are. What Is Swiss Cheese Defect.
From www.readkong.com
Cheese defects The blowing defect Early and late blowing October 20 What Is Swiss Cheese Defect When used in conjunction with traditional patch repair, tar minimizes the amount of patch material requiring, thereby reducing septal dysfunction. — multiple muscular vsds, also known as swiss cheese ventricular septum, are significantly more complex. — multiple muscular ventricular septal defects are also called swiss cheese vsd. Swiss cheese vsds are associated with left axis deviation on. . What Is Swiss Cheese Defect.