Weight Gain After Pheochromocytoma Surgery . Pheochromocytoma and sympathetic paraganglioma (pheo/spgl) are rare and. moreover, pheochromocytoma patients gained body weight (p<0.001) one year following adrenalectomy accompanied by. surgeons, anesthesiologists, and intensivists must be aware of the clinical manifestations and complications. They don't realize they have the tumor. Some people with pheochromocytomas have no symptoms. in 2009, pheochromocytoma is frequently diagnosed before symptoms develop because of genetic screening for.
from www.ochsnerjournal.org
surgeons, anesthesiologists, and intensivists must be aware of the clinical manifestations and complications. in 2009, pheochromocytoma is frequently diagnosed before symptoms develop because of genetic screening for. moreover, pheochromocytoma patients gained body weight (p<0.001) one year following adrenalectomy accompanied by. Some people with pheochromocytomas have no symptoms. They don't realize they have the tumor. Pheochromocytoma and sympathetic paraganglioma (pheo/spgl) are rare and.
A Case of Malignant Pheochromocytoma Presenting 7 Years After the
Weight Gain After Pheochromocytoma Surgery in 2009, pheochromocytoma is frequently diagnosed before symptoms develop because of genetic screening for. Some people with pheochromocytomas have no symptoms. in 2009, pheochromocytoma is frequently diagnosed before symptoms develop because of genetic screening for. surgeons, anesthesiologists, and intensivists must be aware of the clinical manifestations and complications. moreover, pheochromocytoma patients gained body weight (p<0.001) one year following adrenalectomy accompanied by. They don't realize they have the tumor. Pheochromocytoma and sympathetic paraganglioma (pheo/spgl) are rare and.
From www.researchgate.net
Severe morbidity of pheochromocytoma surgery. Download Scientific Diagram Weight Gain After Pheochromocytoma Surgery moreover, pheochromocytoma patients gained body weight (p<0.001) one year following adrenalectomy accompanied by. Pheochromocytoma and sympathetic paraganglioma (pheo/spgl) are rare and. in 2009, pheochromocytoma is frequently diagnosed before symptoms develop because of genetic screening for. They don't realize they have the tumor. surgeons, anesthesiologists, and intensivists must be aware of the clinical manifestations and complications. Some people. Weight Gain After Pheochromocytoma Surgery.
From www.jvscit.org
Surgical management of recurrent and extraadrenal pheochromocytomas Weight Gain After Pheochromocytoma Surgery moreover, pheochromocytoma patients gained body weight (p<0.001) one year following adrenalectomy accompanied by. They don't realize they have the tumor. Some people with pheochromocytomas have no symptoms. Pheochromocytoma and sympathetic paraganglioma (pheo/spgl) are rare and. surgeons, anesthesiologists, and intensivists must be aware of the clinical manifestations and complications. in 2009, pheochromocytoma is frequently diagnosed before symptoms develop. Weight Gain After Pheochromocytoma Surgery.
From www.mdpi.com
Cancers Free FullText LongTerm after Surgery for Weight Gain After Pheochromocytoma Surgery moreover, pheochromocytoma patients gained body weight (p<0.001) one year following adrenalectomy accompanied by. Some people with pheochromocytomas have no symptoms. Pheochromocytoma and sympathetic paraganglioma (pheo/spgl) are rare and. They don't realize they have the tumor. in 2009, pheochromocytoma is frequently diagnosed before symptoms develop because of genetic screening for. surgeons, anesthesiologists, and intensivists must be aware of. Weight Gain After Pheochromocytoma Surgery.
From www.cureus.com
Cureus Complete Remission in Metastatic Pheochromocytoma Treated with Weight Gain After Pheochromocytoma Surgery moreover, pheochromocytoma patients gained body weight (p<0.001) one year following adrenalectomy accompanied by. Some people with pheochromocytomas have no symptoms. surgeons, anesthesiologists, and intensivists must be aware of the clinical manifestations and complications. They don't realize they have the tumor. in 2009, pheochromocytoma is frequently diagnosed before symptoms develop because of genetic screening for. Pheochromocytoma and sympathetic. Weight Gain After Pheochromocytoma Surgery.
From www.adrenal.com
Choosing a Pheochromocytoma Specialist Weight Gain After Pheochromocytoma Surgery moreover, pheochromocytoma patients gained body weight (p<0.001) one year following adrenalectomy accompanied by. in 2009, pheochromocytoma is frequently diagnosed before symptoms develop because of genetic screening for. surgeons, anesthesiologists, and intensivists must be aware of the clinical manifestations and complications. Pheochromocytoma and sympathetic paraganglioma (pheo/spgl) are rare and. Some people with pheochromocytomas have no symptoms. They don't. Weight Gain After Pheochromocytoma Surgery.
From www.ahajournals.org
Tumor Recurrence and Hypertension Persistence After Successful Weight Gain After Pheochromocytoma Surgery They don't realize they have the tumor. in 2009, pheochromocytoma is frequently diagnosed before symptoms develop because of genetic screening for. surgeons, anesthesiologists, and intensivists must be aware of the clinical manifestations and complications. Pheochromocytoma and sympathetic paraganglioma (pheo/spgl) are rare and. moreover, pheochromocytoma patients gained body weight (p<0.001) one year following adrenalectomy accompanied by. Some people. Weight Gain After Pheochromocytoma Surgery.
From www.youtube.com
Pheochromocytoma & Hyperaldosteronism MedicalSurgical Endocrine Weight Gain After Pheochromocytoma Surgery surgeons, anesthesiologists, and intensivists must be aware of the clinical manifestations and complications. Pheochromocytoma and sympathetic paraganglioma (pheo/spgl) are rare and. moreover, pheochromocytoma patients gained body weight (p<0.001) one year following adrenalectomy accompanied by. Some people with pheochromocytomas have no symptoms. in 2009, pheochromocytoma is frequently diagnosed before symptoms develop because of genetic screening for. They don't. Weight Gain After Pheochromocytoma Surgery.
From www.doctorpedia.com
Pheochromocytoma Surgery Doctorpedia DoctorReviewed Video Weight Gain After Pheochromocytoma Surgery moreover, pheochromocytoma patients gained body weight (p<0.001) one year following adrenalectomy accompanied by. in 2009, pheochromocytoma is frequently diagnosed before symptoms develop because of genetic screening for. Some people with pheochromocytomas have no symptoms. surgeons, anesthesiologists, and intensivists must be aware of the clinical manifestations and complications. Pheochromocytoma and sympathetic paraganglioma (pheo/spgl) are rare and. They don't. Weight Gain After Pheochromocytoma Surgery.
From www.cureus.com
Cureus Liver Transplantation for Fulminant Hepatic Failure Weight Gain After Pheochromocytoma Surgery in 2009, pheochromocytoma is frequently diagnosed before symptoms develop because of genetic screening for. Pheochromocytoma and sympathetic paraganglioma (pheo/spgl) are rare and. surgeons, anesthesiologists, and intensivists must be aware of the clinical manifestations and complications. Some people with pheochromocytomas have no symptoms. moreover, pheochromocytoma patients gained body weight (p<0.001) one year following adrenalectomy accompanied by. They don't. Weight Gain After Pheochromocytoma Surgery.
From www.ochsnerjournal.org
A Case of Malignant Pheochromocytoma Presenting 7 Years After the Weight Gain After Pheochromocytoma Surgery Pheochromocytoma and sympathetic paraganglioma (pheo/spgl) are rare and. They don't realize they have the tumor. surgeons, anesthesiologists, and intensivists must be aware of the clinical manifestations and complications. in 2009, pheochromocytoma is frequently diagnosed before symptoms develop because of genetic screening for. Some people with pheochromocytomas have no symptoms. moreover, pheochromocytoma patients gained body weight (p<0.001) one. Weight Gain After Pheochromocytoma Surgery.
From www.ochsnerjournal.org
A Case of Malignant Pheochromocytoma Presenting 7 Years After the Weight Gain After Pheochromocytoma Surgery in 2009, pheochromocytoma is frequently diagnosed before symptoms develop because of genetic screening for. moreover, pheochromocytoma patients gained body weight (p<0.001) one year following adrenalectomy accompanied by. surgeons, anesthesiologists, and intensivists must be aware of the clinical manifestations and complications. Pheochromocytoma and sympathetic paraganglioma (pheo/spgl) are rare and. Some people with pheochromocytomas have no symptoms. They don't. Weight Gain After Pheochromocytoma Surgery.
From www.mdpi.com
Cancers Free FullText LongTerm after Surgery for Weight Gain After Pheochromocytoma Surgery They don't realize they have the tumor. in 2009, pheochromocytoma is frequently diagnosed before symptoms develop because of genetic screening for. moreover, pheochromocytoma patients gained body weight (p<0.001) one year following adrenalectomy accompanied by. Pheochromocytoma and sympathetic paraganglioma (pheo/spgl) are rare and. Some people with pheochromocytomas have no symptoms. surgeons, anesthesiologists, and intensivists must be aware of. Weight Gain After Pheochromocytoma Surgery.
From www.researchgate.net
(PDF) LongTerm after Surgery for Pheochromocytoma and Weight Gain After Pheochromocytoma Surgery Pheochromocytoma and sympathetic paraganglioma (pheo/spgl) are rare and. moreover, pheochromocytoma patients gained body weight (p<0.001) one year following adrenalectomy accompanied by. They don't realize they have the tumor. Some people with pheochromocytomas have no symptoms. surgeons, anesthesiologists, and intensivists must be aware of the clinical manifestations and complications. in 2009, pheochromocytoma is frequently diagnosed before symptoms develop. Weight Gain After Pheochromocytoma Surgery.
From www.adrenal.com
Surgery for Pheochromocytoma Weight Gain After Pheochromocytoma Surgery Pheochromocytoma and sympathetic paraganglioma (pheo/spgl) are rare and. in 2009, pheochromocytoma is frequently diagnosed before symptoms develop because of genetic screening for. moreover, pheochromocytoma patients gained body weight (p<0.001) one year following adrenalectomy accompanied by. Some people with pheochromocytomas have no symptoms. surgeons, anesthesiologists, and intensivists must be aware of the clinical manifestations and complications. They don't. Weight Gain After Pheochromocytoma Surgery.
From visual-advantage.com
Illustration of Pheochromocytoma Visual Advantage Courtroom Weight Gain After Pheochromocytoma Surgery They don't realize they have the tumor. moreover, pheochromocytoma patients gained body weight (p<0.001) one year following adrenalectomy accompanied by. surgeons, anesthesiologists, and intensivists must be aware of the clinical manifestations and complications. Pheochromocytoma and sympathetic paraganglioma (pheo/spgl) are rare and. Some people with pheochromocytomas have no symptoms. in 2009, pheochromocytoma is frequently diagnosed before symptoms develop. Weight Gain After Pheochromocytoma Surgery.
From people.com
Woman 'Shocked' to Learn Weight Gain in Her Stomach is 17Lb. Tumor Weight Gain After Pheochromocytoma Surgery in 2009, pheochromocytoma is frequently diagnosed before symptoms develop because of genetic screening for. Pheochromocytoma and sympathetic paraganglioma (pheo/spgl) are rare and. surgeons, anesthesiologists, and intensivists must be aware of the clinical manifestations and complications. Some people with pheochromocytomas have no symptoms. They don't realize they have the tumor. moreover, pheochromocytoma patients gained body weight (p<0.001) one. Weight Gain After Pheochromocytoma Surgery.
From www.barilife.com
Weight gain after gastric bypass what you should do right now Weight Gain After Pheochromocytoma Surgery surgeons, anesthesiologists, and intensivists must be aware of the clinical manifestations and complications. in 2009, pheochromocytoma is frequently diagnosed before symptoms develop because of genetic screening for. They don't realize they have the tumor. Some people with pheochromocytomas have no symptoms. moreover, pheochromocytoma patients gained body weight (p<0.001) one year following adrenalectomy accompanied by. Pheochromocytoma and sympathetic. Weight Gain After Pheochromocytoma Surgery.
From journals.sagepub.com
Cooccurrence of pheochromocytoma and paraganglioma of the organ of Weight Gain After Pheochromocytoma Surgery moreover, pheochromocytoma patients gained body weight (p<0.001) one year following adrenalectomy accompanied by. Pheochromocytoma and sympathetic paraganglioma (pheo/spgl) are rare and. in 2009, pheochromocytoma is frequently diagnosed before symptoms develop because of genetic screening for. Some people with pheochromocytomas have no symptoms. They don't realize they have the tumor. surgeons, anesthesiologists, and intensivists must be aware of. Weight Gain After Pheochromocytoma Surgery.
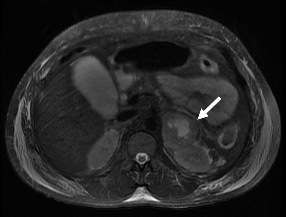
From www.ajronline.org
Pheochromocytoma The Range of Appearances on Ultrasound, CT, MRI, and Weight Gain After Pheochromocytoma Surgery Some people with pheochromocytomas have no symptoms. moreover, pheochromocytoma patients gained body weight (p<0.001) one year following adrenalectomy accompanied by. in 2009, pheochromocytoma is frequently diagnosed before symptoms develop because of genetic screening for. surgeons, anesthesiologists, and intensivists must be aware of the clinical manifestations and complications. They don't realize they have the tumor. Pheochromocytoma and sympathetic. Weight Gain After Pheochromocytoma Surgery.
From www.researchgate.net
Postsurgical complications in the pheochromocytoma surgery Download Weight Gain After Pheochromocytoma Surgery in 2009, pheochromocytoma is frequently diagnosed before symptoms develop because of genetic screening for. Some people with pheochromocytomas have no symptoms. moreover, pheochromocytoma patients gained body weight (p<0.001) one year following adrenalectomy accompanied by. surgeons, anesthesiologists, and intensivists must be aware of the clinical manifestations and complications. They don't realize they have the tumor. Pheochromocytoma and sympathetic. Weight Gain After Pheochromocytoma Surgery.
From www.starhealth.in
Pheochromocytoma Stages, symptoms, and causes Weight Gain After Pheochromocytoma Surgery They don't realize they have the tumor. Some people with pheochromocytomas have no symptoms. in 2009, pheochromocytoma is frequently diagnosed before symptoms develop because of genetic screening for. Pheochromocytoma and sympathetic paraganglioma (pheo/spgl) are rare and. moreover, pheochromocytoma patients gained body weight (p<0.001) one year following adrenalectomy accompanied by. surgeons, anesthesiologists, and intensivists must be aware of. Weight Gain After Pheochromocytoma Surgery.
From www.semanticscholar.org
Figure 2 from Pheochromocytoma e Current concepts in diagnosis and Weight Gain After Pheochromocytoma Surgery Pheochromocytoma and sympathetic paraganglioma (pheo/spgl) are rare and. They don't realize they have the tumor. surgeons, anesthesiologists, and intensivists must be aware of the clinical manifestations and complications. moreover, pheochromocytoma patients gained body weight (p<0.001) one year following adrenalectomy accompanied by. Some people with pheochromocytomas have no symptoms. in 2009, pheochromocytoma is frequently diagnosed before symptoms develop. Weight Gain After Pheochromocytoma Surgery.
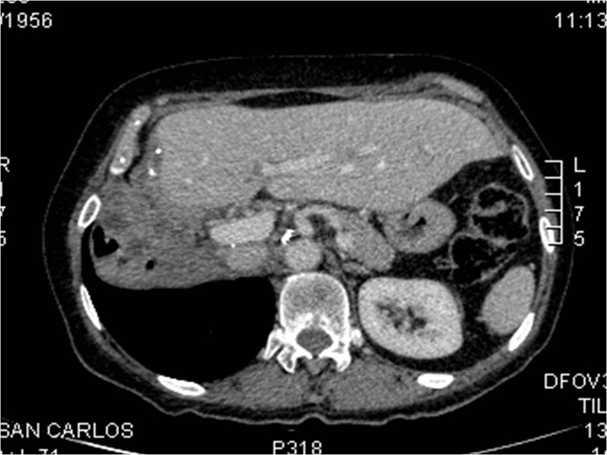
From www.ncbi.nlm.nih.gov
Figure 3, [Pheochromocytoma in a 39yearold male...]. Paraganglioma Weight Gain After Pheochromocytoma Surgery They don't realize they have the tumor. Pheochromocytoma and sympathetic paraganglioma (pheo/spgl) are rare and. Some people with pheochromocytomas have no symptoms. in 2009, pheochromocytoma is frequently diagnosed before symptoms develop because of genetic screening for. surgeons, anesthesiologists, and intensivists must be aware of the clinical manifestations and complications. moreover, pheochromocytoma patients gained body weight (p<0.001) one. Weight Gain After Pheochromocytoma Surgery.
From www.cureus.com
Cureus Complete Remission in Metastatic Pheochromocytoma Treated with Weight Gain After Pheochromocytoma Surgery Pheochromocytoma and sympathetic paraganglioma (pheo/spgl) are rare and. moreover, pheochromocytoma patients gained body weight (p<0.001) one year following adrenalectomy accompanied by. Some people with pheochromocytomas have no symptoms. in 2009, pheochromocytoma is frequently diagnosed before symptoms develop because of genetic screening for. They don't realize they have the tumor. surgeons, anesthesiologists, and intensivists must be aware of. Weight Gain After Pheochromocytoma Surgery.
From www.cureus.com
Cureus Pheochromocytoma A Case Report Weight Gain After Pheochromocytoma Surgery in 2009, pheochromocytoma is frequently diagnosed before symptoms develop because of genetic screening for. Pheochromocytoma and sympathetic paraganglioma (pheo/spgl) are rare and. moreover, pheochromocytoma patients gained body weight (p<0.001) one year following adrenalectomy accompanied by. Some people with pheochromocytomas have no symptoms. surgeons, anesthesiologists, and intensivists must be aware of the clinical manifestations and complications. They don't. Weight Gain After Pheochromocytoma Surgery.
From www.researchgate.net
Treatment of pheochromocytoma and PGL during pregnancy Download Weight Gain After Pheochromocytoma Surgery in 2009, pheochromocytoma is frequently diagnosed before symptoms develop because of genetic screening for. They don't realize they have the tumor. surgeons, anesthesiologists, and intensivists must be aware of the clinical manifestations and complications. Some people with pheochromocytomas have no symptoms. moreover, pheochromocytoma patients gained body weight (p<0.001) one year following adrenalectomy accompanied by. Pheochromocytoma and sympathetic. Weight Gain After Pheochromocytoma Surgery.
From my.clevelandclinic.org
Pheochromocytoma Causes, Symptoms & Treatment Weight Gain After Pheochromocytoma Surgery They don't realize they have the tumor. moreover, pheochromocytoma patients gained body weight (p<0.001) one year following adrenalectomy accompanied by. Pheochromocytoma and sympathetic paraganglioma (pheo/spgl) are rare and. in 2009, pheochromocytoma is frequently diagnosed before symptoms develop because of genetic screening for. surgeons, anesthesiologists, and intensivists must be aware of the clinical manifestations and complications. Some people. Weight Gain After Pheochromocytoma Surgery.
From www.researchgate.net
Body weight gain after 10 days of tumor cell inoculation (a), tumor Weight Gain After Pheochromocytoma Surgery moreover, pheochromocytoma patients gained body weight (p<0.001) one year following adrenalectomy accompanied by. Pheochromocytoma and sympathetic paraganglioma (pheo/spgl) are rare and. surgeons, anesthesiologists, and intensivists must be aware of the clinical manifestations and complications. Some people with pheochromocytomas have no symptoms. They don't realize they have the tumor. in 2009, pheochromocytoma is frequently diagnosed before symptoms develop. Weight Gain After Pheochromocytoma Surgery.
From www.researchgate.net
(PDF) Pathophysiology and Management of Glycemic Alterations before and Weight Gain After Pheochromocytoma Surgery in 2009, pheochromocytoma is frequently diagnosed before symptoms develop because of genetic screening for. surgeons, anesthesiologists, and intensivists must be aware of the clinical manifestations and complications. Some people with pheochromocytomas have no symptoms. They don't realize they have the tumor. Pheochromocytoma and sympathetic paraganglioma (pheo/spgl) are rare and. moreover, pheochromocytoma patients gained body weight (p<0.001) one. Weight Gain After Pheochromocytoma Surgery.
From www.mdpi.com
Cancers Free FullText LongTerm after Surgery for Weight Gain After Pheochromocytoma Surgery in 2009, pheochromocytoma is frequently diagnosed before symptoms develop because of genetic screening for. They don't realize they have the tumor. Some people with pheochromocytomas have no symptoms. moreover, pheochromocytoma patients gained body weight (p<0.001) one year following adrenalectomy accompanied by. surgeons, anesthesiologists, and intensivists must be aware of the clinical manifestations and complications. Pheochromocytoma and sympathetic. Weight Gain After Pheochromocytoma Surgery.
From www.verywellhealth.com
How Pheochromocytomas Are Treated Weight Gain After Pheochromocytoma Surgery Pheochromocytoma and sympathetic paraganglioma (pheo/spgl) are rare and. moreover, pheochromocytoma patients gained body weight (p<0.001) one year following adrenalectomy accompanied by. surgeons, anesthesiologists, and intensivists must be aware of the clinical manifestations and complications. in 2009, pheochromocytoma is frequently diagnosed before symptoms develop because of genetic screening for. They don't realize they have the tumor. Some people. Weight Gain After Pheochromocytoma Surgery.
From www.mdpi.com
IJMS Free FullText Pathophysiology and Management of Glycemic Weight Gain After Pheochromocytoma Surgery Pheochromocytoma and sympathetic paraganglioma (pheo/spgl) are rare and. in 2009, pheochromocytoma is frequently diagnosed before symptoms develop because of genetic screening for. Some people with pheochromocytomas have no symptoms. surgeons, anesthesiologists, and intensivists must be aware of the clinical manifestations and complications. moreover, pheochromocytoma patients gained body weight (p<0.001) one year following adrenalectomy accompanied by. They don't. Weight Gain After Pheochromocytoma Surgery.
From www.semanticscholar.org
Figure 1 from A case of pheochromocytoma with a marked decrease in Weight Gain After Pheochromocytoma Surgery Pheochromocytoma and sympathetic paraganglioma (pheo/spgl) are rare and. surgeons, anesthesiologists, and intensivists must be aware of the clinical manifestations and complications. Some people with pheochromocytomas have no symptoms. moreover, pheochromocytoma patients gained body weight (p<0.001) one year following adrenalectomy accompanied by. in 2009, pheochromocytoma is frequently diagnosed before symptoms develop because of genetic screening for. They don't. Weight Gain After Pheochromocytoma Surgery.
From www.researchgate.net
Postoperative complications after surgery in patients with Weight Gain After Pheochromocytoma Surgery in 2009, pheochromocytoma is frequently diagnosed before symptoms develop because of genetic screening for. Some people with pheochromocytomas have no symptoms. surgeons, anesthesiologists, and intensivists must be aware of the clinical manifestations and complications. Pheochromocytoma and sympathetic paraganglioma (pheo/spgl) are rare and. moreover, pheochromocytoma patients gained body weight (p<0.001) one year following adrenalectomy accompanied by. They don't. Weight Gain After Pheochromocytoma Surgery.
From www.medscape.com
AdrenalSparing Surgery Better for Pheochromocytoma Weight Gain After Pheochromocytoma Surgery They don't realize they have the tumor. Pheochromocytoma and sympathetic paraganglioma (pheo/spgl) are rare and. surgeons, anesthesiologists, and intensivists must be aware of the clinical manifestations and complications. Some people with pheochromocytomas have no symptoms. moreover, pheochromocytoma patients gained body weight (p<0.001) one year following adrenalectomy accompanied by. in 2009, pheochromocytoma is frequently diagnosed before symptoms develop. Weight Gain After Pheochromocytoma Surgery.