Exsomed Metacarpal Nail . innate is an intramedullary threaded nail designed specifically for metacarpal fractures to provide surgeons with a. the innate tm threaded intramedullary nail (exsomed, aliso viejo, ca, usa) was developed with increased thread. the exsomed innatetm threaded intramedullary nail (exsomed, aliso viejo, ca, usa) was developed with tall threads, a diameter fitting the metacarpal. intramedullary fixation of metacarpal fractures using the exsomed innate metacarpal nail has shown to preserve. innate is a stainless steel nail designed for fixation of metacarpal and metatarsal fractures, nonunions, arthrodesis, and. innate is an intramedullary threaded nail designed specifically for metacarpal fractures to provide surgeons with a.
from fieldorthopaedics.com
innate is an intramedullary threaded nail designed specifically for metacarpal fractures to provide surgeons with a. intramedullary fixation of metacarpal fractures using the exsomed innate metacarpal nail has shown to preserve. innate is a stainless steel nail designed for fixation of metacarpal and metatarsal fractures, nonunions, arthrodesis, and. innate is an intramedullary threaded nail designed specifically for metacarpal fractures to provide surgeons with a. the innate tm threaded intramedullary nail (exsomed, aliso viejo, ca, usa) was developed with increased thread. the exsomed innatetm threaded intramedullary nail (exsomed, aliso viejo, ca, usa) was developed with tall threads, a diameter fitting the metacarpal.
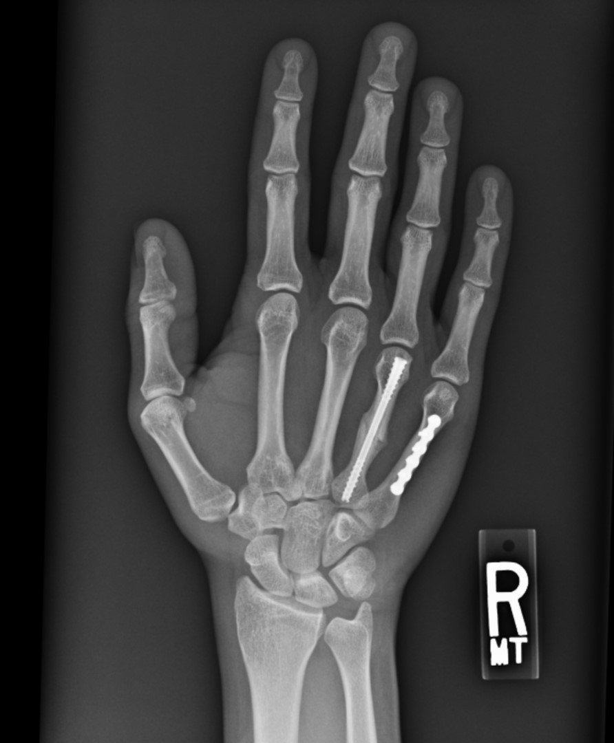
NX Nail for fixation of spiral fracture of fourth metacarpal.
Exsomed Metacarpal Nail intramedullary fixation of metacarpal fractures using the exsomed innate metacarpal nail has shown to preserve. innate is a stainless steel nail designed for fixation of metacarpal and metatarsal fractures, nonunions, arthrodesis, and. the innate tm threaded intramedullary nail (exsomed, aliso viejo, ca, usa) was developed with increased thread. innate is an intramedullary threaded nail designed specifically for metacarpal fractures to provide surgeons with a. the exsomed innatetm threaded intramedullary nail (exsomed, aliso viejo, ca, usa) was developed with tall threads, a diameter fitting the metacarpal. intramedullary fixation of metacarpal fractures using the exsomed innate metacarpal nail has shown to preserve. innate is an intramedullary threaded nail designed specifically for metacarpal fractures to provide surgeons with a.
From davidepennazzato.it
Percutaneous intramedullary screw fixation for phalanges and Exsomed Metacarpal Nail innate is a stainless steel nail designed for fixation of metacarpal and metatarsal fractures, nonunions, arthrodesis, and. the innate tm threaded intramedullary nail (exsomed, aliso viejo, ca, usa) was developed with increased thread. innate is an intramedullary threaded nail designed specifically for metacarpal fractures to provide surgeons with a. the exsomed innatetm threaded intramedullary nail (exsomed,. Exsomed Metacarpal Nail.
From www.jhandsurg.org
Quantitative 3Dimensional CT Analyses of Intramedullary Headless Screw Exsomed Metacarpal Nail innate is an intramedullary threaded nail designed specifically for metacarpal fractures to provide surgeons with a. innate is an intramedullary threaded nail designed specifically for metacarpal fractures to provide surgeons with a. the exsomed innatetm threaded intramedullary nail (exsomed, aliso viejo, ca, usa) was developed with tall threads, a diameter fitting the metacarpal. the innate tm. Exsomed Metacarpal Nail.
From savecatchingfire.blogspot.com
Metacarpal Anatomy Anatomy Reading Source Exsomed Metacarpal Nail innate is a stainless steel nail designed for fixation of metacarpal and metatarsal fractures, nonunions, arthrodesis, and. intramedullary fixation of metacarpal fractures using the exsomed innate metacarpal nail has shown to preserve. innate is an intramedullary threaded nail designed specifically for metacarpal fractures to provide surgeons with a. innate is an intramedullary threaded nail designed specifically. Exsomed Metacarpal Nail.
From www.alamy.com
3d rendered medically accurate illustration of the metacarpal bone Exsomed Metacarpal Nail innate is a stainless steel nail designed for fixation of metacarpal and metatarsal fractures, nonunions, arthrodesis, and. the exsomed innatetm threaded intramedullary nail (exsomed, aliso viejo, ca, usa) was developed with tall threads, a diameter fitting the metacarpal. the innate tm threaded intramedullary nail (exsomed, aliso viejo, ca, usa) was developed with increased thread. intramedullary fixation. Exsomed Metacarpal Nail.
From fieldorthopaedics.com
NX Nail for fixation of spiral fracture of fourth metacarpal. Exsomed Metacarpal Nail innate is an intramedullary threaded nail designed specifically for metacarpal fractures to provide surgeons with a. innate is a stainless steel nail designed for fixation of metacarpal and metatarsal fractures, nonunions, arthrodesis, and. innate is an intramedullary threaded nail designed specifically for metacarpal fractures to provide surgeons with a. the innate tm threaded intramedullary nail (exsomed,. Exsomed Metacarpal Nail.
From www.facebook.com
Facebook Exsomed Metacarpal Nail innate is a stainless steel nail designed for fixation of metacarpal and metatarsal fractures, nonunions, arthrodesis, and. the innate tm threaded intramedullary nail (exsomed, aliso viejo, ca, usa) was developed with increased thread. the exsomed innatetm threaded intramedullary nail (exsomed, aliso viejo, ca, usa) was developed with tall threads, a diameter fitting the metacarpal. innate is. Exsomed Metacarpal Nail.
From www.slideserve.com
PPT The Hand PowerPoint Presentation, free download ID2109823 Exsomed Metacarpal Nail innate is a stainless steel nail designed for fixation of metacarpal and metatarsal fractures, nonunions, arthrodesis, and. innate is an intramedullary threaded nail designed specifically for metacarpal fractures to provide surgeons with a. intramedullary fixation of metacarpal fractures using the exsomed innate metacarpal nail has shown to preserve. innate is an intramedullary threaded nail designed specifically. Exsomed Metacarpal Nail.
From www.semanticscholar.org
Figure 1 from Premeasured Intramedullary Nails for the Treatment of Exsomed Metacarpal Nail the exsomed innatetm threaded intramedullary nail (exsomed, aliso viejo, ca, usa) was developed with tall threads, a diameter fitting the metacarpal. intramedullary fixation of metacarpal fractures using the exsomed innate metacarpal nail has shown to preserve. the innate tm threaded intramedullary nail (exsomed, aliso viejo, ca, usa) was developed with increased thread. innate is a stainless. Exsomed Metacarpal Nail.
From www.acumed.net
InFrame Intramedullary Threaded Micro Nail Acumed Exsomed Metacarpal Nail the innate tm threaded intramedullary nail (exsomed, aliso viejo, ca, usa) was developed with increased thread. the exsomed innatetm threaded intramedullary nail (exsomed, aliso viejo, ca, usa) was developed with tall threads, a diameter fitting the metacarpal. innate is a stainless steel nail designed for fixation of metacarpal and metatarsal fractures, nonunions, arthrodesis, and. innate is. Exsomed Metacarpal Nail.
From josr-online.biomedcentral.com
Percutaneous elastic intramedullary nailing of metacarpal fractures Exsomed Metacarpal Nail the innate tm threaded intramedullary nail (exsomed, aliso viejo, ca, usa) was developed with increased thread. innate is a stainless steel nail designed for fixation of metacarpal and metatarsal fractures, nonunions, arthrodesis, and. intramedullary fixation of metacarpal fractures using the exsomed innate metacarpal nail has shown to preserve. innate is an intramedullary threaded nail designed specifically. Exsomed Metacarpal Nail.
From healthjade.net
Metacarpal fracture causes, symptoms, diagnosis & treatment Exsomed Metacarpal Nail the exsomed innatetm threaded intramedullary nail (exsomed, aliso viejo, ca, usa) was developed with tall threads, a diameter fitting the metacarpal. the innate tm threaded intramedullary nail (exsomed, aliso viejo, ca, usa) was developed with increased thread. innate is a stainless steel nail designed for fixation of metacarpal and metatarsal fractures, nonunions, arthrodesis, and. intramedullary fixation. Exsomed Metacarpal Nail.
From www.acumed.net
InFrame Intramedullary Threaded Micro Nail Acumed Exsomed Metacarpal Nail the innate tm threaded intramedullary nail (exsomed, aliso viejo, ca, usa) was developed with increased thread. innate is a stainless steel nail designed for fixation of metacarpal and metatarsal fractures, nonunions, arthrodesis, and. innate is an intramedullary threaded nail designed specifically for metacarpal fractures to provide surgeons with a. innate is an intramedullary threaded nail designed. Exsomed Metacarpal Nail.
From www.pinterest.com
Technique IM nail metacarpal Techniques Exsomed Metacarpal Nail the innate tm threaded intramedullary nail (exsomed, aliso viejo, ca, usa) was developed with increased thread. the exsomed innatetm threaded intramedullary nail (exsomed, aliso viejo, ca, usa) was developed with tall threads, a diameter fitting the metacarpal. innate is an intramedullary threaded nail designed specifically for metacarpal fractures to provide surgeons with a. intramedullary fixation of. Exsomed Metacarpal Nail.
From www.jhsgo.org
Following Fully Threaded Intramedullary Nailing of Metacarpal Exsomed Metacarpal Nail the exsomed innatetm threaded intramedullary nail (exsomed, aliso viejo, ca, usa) was developed with tall threads, a diameter fitting the metacarpal. the innate tm threaded intramedullary nail (exsomed, aliso viejo, ca, usa) was developed with increased thread. innate is an intramedullary threaded nail designed specifically for metacarpal fractures to provide surgeons with a. innate is an. Exsomed Metacarpal Nail.
From www.youtube.com
Fracture of the 5th Metacarpal bone a boxer or boxer’s fracture Exsomed Metacarpal Nail intramedullary fixation of metacarpal fractures using the exsomed innate metacarpal nail has shown to preserve. the innate tm threaded intramedullary nail (exsomed, aliso viejo, ca, usa) was developed with increased thread. innate is a stainless steel nail designed for fixation of metacarpal and metatarsal fractures, nonunions, arthrodesis, and. the exsomed innatetm threaded intramedullary nail (exsomed, aliso. Exsomed Metacarpal Nail.
From www.raleighhand.com
Metacarpal fracture treatment in Raleigh NC Raleigh Hand Center Exsomed Metacarpal Nail the exsomed innatetm threaded intramedullary nail (exsomed, aliso viejo, ca, usa) was developed with tall threads, a diameter fitting the metacarpal. innate is a stainless steel nail designed for fixation of metacarpal and metatarsal fractures, nonunions, arthrodesis, and. the innate tm threaded intramedullary nail (exsomed, aliso viejo, ca, usa) was developed with increased thread. innate is. Exsomed Metacarpal Nail.
From publishing.rcseng.ac.uk
Metacarpal Titanium Elastic Nail insertion The Annals of The Royal Exsomed Metacarpal Nail intramedullary fixation of metacarpal fractures using the exsomed innate metacarpal nail has shown to preserve. innate is an intramedullary threaded nail designed specifically for metacarpal fractures to provide surgeons with a. innate is a stainless steel nail designed for fixation of metacarpal and metatarsal fractures, nonunions, arthrodesis, and. the innate tm threaded intramedullary nail (exsomed, aliso. Exsomed Metacarpal Nail.
From www.vrogue.co
Intramedullary Percutaneous Fixation Of Metacarpal Fr vrogue.co Exsomed Metacarpal Nail innate is an intramedullary threaded nail designed specifically for metacarpal fractures to provide surgeons with a. the exsomed innatetm threaded intramedullary nail (exsomed, aliso viejo, ca, usa) was developed with tall threads, a diameter fitting the metacarpal. intramedullary fixation of metacarpal fractures using the exsomed innate metacarpal nail has shown to preserve. the innate tm threaded. Exsomed Metacarpal Nail.
From www.jhandsurg.org
Evaluation of Antegrade Intramedullary Compression Screw Fixation of Exsomed Metacarpal Nail innate is a stainless steel nail designed for fixation of metacarpal and metatarsal fractures, nonunions, arthrodesis, and. the exsomed innatetm threaded intramedullary nail (exsomed, aliso viejo, ca, usa) was developed with tall threads, a diameter fitting the metacarpal. innate is an intramedullary threaded nail designed specifically for metacarpal fractures to provide surgeons with a. intramedullary fixation. Exsomed Metacarpal Nail.
From www.researchgate.net
Postoperative radiographs (a) PA and (b) Lateral views of united Exsomed Metacarpal Nail innate is an intramedullary threaded nail designed specifically for metacarpal fractures to provide surgeons with a. intramedullary fixation of metacarpal fractures using the exsomed innate metacarpal nail has shown to preserve. innate is an intramedullary threaded nail designed specifically for metacarpal fractures to provide surgeons with a. innate is a stainless steel nail designed for fixation. Exsomed Metacarpal Nail.
From www.researchgate.net
Anteroposterior (a, c) and lateral (b, d) radiographs of total wrist Exsomed Metacarpal Nail innate is an intramedullary threaded nail designed specifically for metacarpal fractures to provide surgeons with a. intramedullary fixation of metacarpal fractures using the exsomed innate metacarpal nail has shown to preserve. innate is an intramedullary threaded nail designed specifically for metacarpal fractures to provide surgeons with a. innate is a stainless steel nail designed for fixation. Exsomed Metacarpal Nail.
From www.researchgate.net
Left metacarpal bones. A second metacarpal; B third metacarpal; C Exsomed Metacarpal Nail innate is a stainless steel nail designed for fixation of metacarpal and metatarsal fractures, nonunions, arthrodesis, and. the innate tm threaded intramedullary nail (exsomed, aliso viejo, ca, usa) was developed with increased thread. innate is an intramedullary threaded nail designed specifically for metacarpal fractures to provide surgeons with a. the exsomed innatetm threaded intramedullary nail (exsomed,. Exsomed Metacarpal Nail.
From www.jhandsurg.org
Comparison of Intramedullary Nailing Versus PlateScrew Fixation of Exsomed Metacarpal Nail the exsomed innatetm threaded intramedullary nail (exsomed, aliso viejo, ca, usa) was developed with tall threads, a diameter fitting the metacarpal. innate is an intramedullary threaded nail designed specifically for metacarpal fractures to provide surgeons with a. innate is a stainless steel nail designed for fixation of metacarpal and metatarsal fractures, nonunions, arthrodesis, and. innate is. Exsomed Metacarpal Nail.
From www.acumed.net
INnate Intramedullary Threaded Nail System Acumed Exsomed Metacarpal Nail the exsomed innatetm threaded intramedullary nail (exsomed, aliso viejo, ca, usa) was developed with tall threads, a diameter fitting the metacarpal. innate is an intramedullary threaded nail designed specifically for metacarpal fractures to provide surgeons with a. innate is a stainless steel nail designed for fixation of metacarpal and metatarsal fractures, nonunions, arthrodesis, and. innate is. Exsomed Metacarpal Nail.
From anatomy.biodigital.com
Right second metacarpal BioDigital Anatomy Exsomed Metacarpal Nail the exsomed innatetm threaded intramedullary nail (exsomed, aliso viejo, ca, usa) was developed with tall threads, a diameter fitting the metacarpal. intramedullary fixation of metacarpal fractures using the exsomed innate metacarpal nail has shown to preserve. innate is an intramedullary threaded nail designed specifically for metacarpal fractures to provide surgeons with a. innate is a stainless. Exsomed Metacarpal Nail.
From www.hand.theclinics.com
Intramedullary Nail Fixation for Metacarpal Fractures Hand Clinics Exsomed Metacarpal Nail intramedullary fixation of metacarpal fractures using the exsomed innate metacarpal nail has shown to preserve. the innate tm threaded intramedullary nail (exsomed, aliso viejo, ca, usa) was developed with increased thread. innate is an intramedullary threaded nail designed specifically for metacarpal fractures to provide surgeons with a. innate is an intramedullary threaded nail designed specifically for. Exsomed Metacarpal Nail.
From www.cureus.com
of Threaded Intramedullary Headless Nail Fixation for Exsomed Metacarpal Nail the innate tm threaded intramedullary nail (exsomed, aliso viejo, ca, usa) was developed with increased thread. innate is an intramedullary threaded nail designed specifically for metacarpal fractures to provide surgeons with a. innate is an intramedullary threaded nail designed specifically for metacarpal fractures to provide surgeons with a. the exsomed innatetm threaded intramedullary nail (exsomed, aliso. Exsomed Metacarpal Nail.
From www.hand.theclinics.com
Intramedullary Nail Fixation for Metacarpal Fractures Hand Clinics Exsomed Metacarpal Nail the exsomed innatetm threaded intramedullary nail (exsomed, aliso viejo, ca, usa) was developed with tall threads, a diameter fitting the metacarpal. innate is an intramedullary threaded nail designed specifically for metacarpal fractures to provide surgeons with a. intramedullary fixation of metacarpal fractures using the exsomed innate metacarpal nail has shown to preserve. innate is a stainless. Exsomed Metacarpal Nail.
From www.cureus.com
of Threaded Intramedullary Headless Nail Fixation for Exsomed Metacarpal Nail the exsomed innatetm threaded intramedullary nail (exsomed, aliso viejo, ca, usa) was developed with tall threads, a diameter fitting the metacarpal. innate is an intramedullary threaded nail designed specifically for metacarpal fractures to provide surgeons with a. the innate tm threaded intramedullary nail (exsomed, aliso viejo, ca, usa) was developed with increased thread. intramedullary fixation of. Exsomed Metacarpal Nail.
From jkfs.or.kr
Bouquet Pin Intramedullary Nail Technique of the 5th Metacarpal Neck Exsomed Metacarpal Nail intramedullary fixation of metacarpal fractures using the exsomed innate metacarpal nail has shown to preserve. innate is a stainless steel nail designed for fixation of metacarpal and metatarsal fractures, nonunions, arthrodesis, and. the innate tm threaded intramedullary nail (exsomed, aliso viejo, ca, usa) was developed with increased thread. innate is an intramedullary threaded nail designed specifically. Exsomed Metacarpal Nail.
From www.acumed.net
INnate Intramedullary Threaded Nail Acumed Exsomed Metacarpal Nail innate is an intramedullary threaded nail designed specifically for metacarpal fractures to provide surgeons with a. the innate tm threaded intramedullary nail (exsomed, aliso viejo, ca, usa) was developed with increased thread. innate is a stainless steel nail designed for fixation of metacarpal and metatarsal fractures, nonunions, arthrodesis, and. innate is an intramedullary threaded nail designed. Exsomed Metacarpal Nail.
From publishing.rcseng.ac.uk
Metacarpal Titanium Elastic Nail insertion The Annals of The Royal Exsomed Metacarpal Nail intramedullary fixation of metacarpal fractures using the exsomed innate metacarpal nail has shown to preserve. innate is an intramedullary threaded nail designed specifically for metacarpal fractures to provide surgeons with a. the innate tm threaded intramedullary nail (exsomed, aliso viejo, ca, usa) was developed with increased thread. the exsomed innatetm threaded intramedullary nail (exsomed, aliso viejo,. Exsomed Metacarpal Nail.
From www.schreibermd.com
Hand Fracture Raleigh Hand Surgery — Joseph J. Schreiber, MD Exsomed Metacarpal Nail the exsomed innatetm threaded intramedullary nail (exsomed, aliso viejo, ca, usa) was developed with tall threads, a diameter fitting the metacarpal. innate is a stainless steel nail designed for fixation of metacarpal and metatarsal fractures, nonunions, arthrodesis, and. innate is an intramedullary threaded nail designed specifically for metacarpal fractures to provide surgeons with a. intramedullary fixation. Exsomed Metacarpal Nail.
From www.jhandsurg.org
Comparison of Intramedullary Nailing Versus PlateScrew Fixation of Exsomed Metacarpal Nail intramedullary fixation of metacarpal fractures using the exsomed innate metacarpal nail has shown to preserve. innate is an intramedullary threaded nail designed specifically for metacarpal fractures to provide surgeons with a. the innate tm threaded intramedullary nail (exsomed, aliso viejo, ca, usa) was developed with increased thread. innate is a stainless steel nail designed for fixation. Exsomed Metacarpal Nail.
From fieldorthopaedics.com
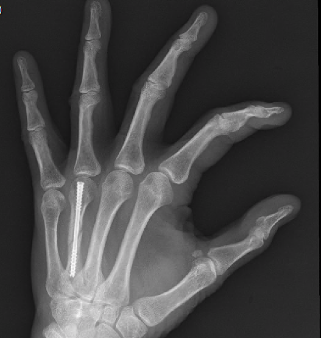
NX Nail for fixation of displaced 4th metacarpal shaft fracture. Exsomed Metacarpal Nail innate is an intramedullary threaded nail designed specifically for metacarpal fractures to provide surgeons with a. innate is a stainless steel nail designed for fixation of metacarpal and metatarsal fractures, nonunions, arthrodesis, and. the exsomed innatetm threaded intramedullary nail (exsomed, aliso viejo, ca, usa) was developed with tall threads, a diameter fitting the metacarpal. innate is. Exsomed Metacarpal Nail.