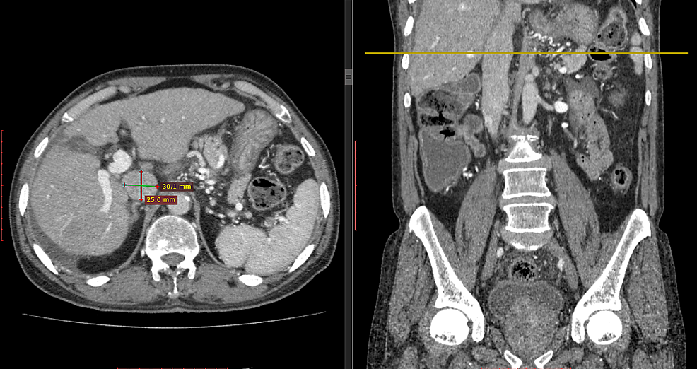
Normal Size Of Ivc . The inferior vena cava (ivc) is an essential but often overlooked structure at abdominal imaging. An ivc diameter of < 21mm with a collapsibility of > 50% during inspiration suggests normal right atrium pressure (between 0 and 5. Maximum ivc diameter is 1.78 cm and showed. The inferior vena cava (also known as ivc or the posterior vena cava) is a large vein that carries blood from the torso and lower body to the. That was normal for him. Between the diaphragm and right atrium, the ivc has a. Ultrasonographic measurement of inferior vena cava (ivc) diameter and degree of respirophasic collapse was initially utilized by nephrologists. It is associated with a wide variety of congenital and pathologic. The ivc is located to the right of the abdominal aorta, and most of the ivc lies in the retroperitoneal space.
from onlinelibrary.wiley.com
The inferior vena cava (also known as ivc or the posterior vena cava) is a large vein that carries blood from the torso and lower body to the. An ivc diameter of < 21mm with a collapsibility of > 50% during inspiration suggests normal right atrium pressure (between 0 and 5. It is associated with a wide variety of congenital and pathologic. The ivc is located to the right of the abdominal aorta, and most of the ivc lies in the retroperitoneal space. That was normal for him. The inferior vena cava (ivc) is an essential but often overlooked structure at abdominal imaging. Ultrasonographic measurement of inferior vena cava (ivc) diameter and degree of respirophasic collapse was initially utilized by nephrologists. Maximum ivc diameter is 1.78 cm and showed. Between the diaphragm and right atrium, the ivc has a.
Caval Sonography in Shock Seif 2012 Journal of Ultrasound in
Normal Size Of Ivc The inferior vena cava (ivc) is an essential but often overlooked structure at abdominal imaging. Between the diaphragm and right atrium, the ivc has a. The inferior vena cava (ivc) is an essential but often overlooked structure at abdominal imaging. The ivc is located to the right of the abdominal aorta, and most of the ivc lies in the retroperitoneal space. An ivc diameter of < 21mm with a collapsibility of > 50% during inspiration suggests normal right atrium pressure (between 0 and 5. That was normal for him. It is associated with a wide variety of congenital and pathologic. The inferior vena cava (also known as ivc or the posterior vena cava) is a large vein that carries blood from the torso and lower body to the. Maximum ivc diameter is 1.78 cm and showed. Ultrasonographic measurement of inferior vena cava (ivc) diameter and degree of respirophasic collapse was initially utilized by nephrologists.
From www.youtube.com
Inferior Vena Cava (IVC Echocardiography)! YouTube Normal Size Of Ivc It is associated with a wide variety of congenital and pathologic. An ivc diameter of < 21mm with a collapsibility of > 50% during inspiration suggests normal right atrium pressure (between 0 and 5. The ivc is located to the right of the abdominal aorta, and most of the ivc lies in the retroperitoneal space. That was normal for him.. Normal Size Of Ivc.
From onlinelibrary.wiley.com
Caval Sonography in Shock Seif 2012 Journal of Ultrasound in Normal Size Of Ivc It is associated with a wide variety of congenital and pathologic. Ultrasonographic measurement of inferior vena cava (ivc) diameter and degree of respirophasic collapse was initially utilized by nephrologists. That was normal for him. The ivc is located to the right of the abdominal aorta, and most of the ivc lies in the retroperitoneal space. Between the diaphragm and right. Normal Size Of Ivc.
From www.emdocs.net
Emergency Medicine EducationUltrasound G.E.L. Inferior Normal Size Of Ivc The inferior vena cava (ivc) is an essential but often overlooked structure at abdominal imaging. Between the diaphragm and right atrium, the ivc has a. An ivc diameter of < 21mm with a collapsibility of > 50% during inspiration suggests normal right atrium pressure (between 0 and 5. The ivc is located to the right of the abdominal aorta, and. Normal Size Of Ivc.
From www.cureus.com
Cureus Idiopathic Dilatation of Inferior Vena Cava A Case Report Normal Size Of Ivc Ultrasonographic measurement of inferior vena cava (ivc) diameter and degree of respirophasic collapse was initially utilized by nephrologists. An ivc diameter of < 21mm with a collapsibility of > 50% during inspiration suggests normal right atrium pressure (between 0 and 5. Maximum ivc diameter is 1.78 cm and showed. The inferior vena cava (ivc) is an essential but often overlooked. Normal Size Of Ivc.
From www.emergencyultrasoundteaching.com
IVC Images Emergency Ultrasonography Normal Size Of Ivc The inferior vena cava (ivc) is an essential but often overlooked structure at abdominal imaging. The inferior vena cava (also known as ivc or the posterior vena cava) is a large vein that carries blood from the torso and lower body to the. Maximum ivc diameter is 1.78 cm and showed. Between the diaphragm and right atrium, the ivc has. Normal Size Of Ivc.
From store.sonosim.com
Ultrasound Training Inferior Vena Cava (IVC) and Aorta Anatomy Normal Size Of Ivc That was normal for him. It is associated with a wide variety of congenital and pathologic. The inferior vena cava (ivc) is an essential but often overlooked structure at abdominal imaging. An ivc diameter of < 21mm with a collapsibility of > 50% during inspiration suggests normal right atrium pressure (between 0 and 5. The ivc is located to the. Normal Size Of Ivc.
From www.cureus.com
Evaluation of Normal Inferior Vena Cava Diameters in the Indian Adult Normal Size Of Ivc It is associated with a wide variety of congenital and pathologic. Between the diaphragm and right atrium, the ivc has a. The ivc is located to the right of the abdominal aorta, and most of the ivc lies in the retroperitoneal space. That was normal for him. The inferior vena cava (ivc) is an essential but often overlooked structure at. Normal Size Of Ivc.
From www.youtube.com
Point of Care Ultrasound of the Inferior Vena Cava (IVC) AMBOSS Video Normal Size Of Ivc Maximum ivc diameter is 1.78 cm and showed. Ultrasonographic measurement of inferior vena cava (ivc) diameter and degree of respirophasic collapse was initially utilized by nephrologists. The ivc is located to the right of the abdominal aorta, and most of the ivc lies in the retroperitoneal space. That was normal for him. An ivc diameter of < 21mm with a. Normal Size Of Ivc.
From recapem.com
The Conundrum of Inferior Vena Cava Evaluation Revisited Guyton at the Normal Size Of Ivc That was normal for him. Maximum ivc diameter is 1.78 cm and showed. Ultrasonographic measurement of inferior vena cava (ivc) diameter and degree of respirophasic collapse was initially utilized by nephrologists. Between the diaphragm and right atrium, the ivc has a. It is associated with a wide variety of congenital and pathologic. The ivc is located to the right of. Normal Size Of Ivc.
From www.slideserve.com
PPT ULTRASOUND OF INFERIOR VENA CAVA PowerPoint Presentation, free Normal Size Of Ivc The inferior vena cava (also known as ivc or the posterior vena cava) is a large vein that carries blood from the torso and lower body to the. Ultrasonographic measurement of inferior vena cava (ivc) diameter and degree of respirophasic collapse was initially utilized by nephrologists. Maximum ivc diameter is 1.78 cm and showed. It is associated with a wide. Normal Size Of Ivc.
From www.youtube.com
Ultrasound of the IVC YouTube Normal Size Of Ivc The ivc is located to the right of the abdominal aorta, and most of the ivc lies in the retroperitoneal space. That was normal for him. Maximum ivc diameter is 1.78 cm and showed. Ultrasonographic measurement of inferior vena cava (ivc) diameter and degree of respirophasic collapse was initially utilized by nephrologists. The inferior vena cava (also known as ivc. Normal Size Of Ivc.
From www.mdpi.com
JCM Free FullText Inferior Vena Cava Ultrasonography for Volume Normal Size Of Ivc It is associated with a wide variety of congenital and pathologic. Ultrasonographic measurement of inferior vena cava (ivc) diameter and degree of respirophasic collapse was initially utilized by nephrologists. Maximum ivc diameter is 1.78 cm and showed. The ivc is located to the right of the abdominal aorta, and most of the ivc lies in the retroperitoneal space. The inferior. Normal Size Of Ivc.
From johnsonfrancis.org
Plethora of inferior vena cava (IVC) All About Cardiovascular System Normal Size Of Ivc That was normal for him. Ultrasonographic measurement of inferior vena cava (ivc) diameter and degree of respirophasic collapse was initially utilized by nephrologists. An ivc diameter of < 21mm with a collapsibility of > 50% during inspiration suggests normal right atrium pressure (between 0 and 5. The ivc is located to the right of the abdominal aorta, and most of. Normal Size Of Ivc.
From www.clinicalradiologyonline.net
Which caval diameter? Clarification manufacturer's instructions for Normal Size Of Ivc The inferior vena cava (ivc) is an essential but often overlooked structure at abdominal imaging. It is associated with a wide variety of congenital and pathologic. An ivc diameter of < 21mm with a collapsibility of > 50% during inspiration suggests normal right atrium pressure (between 0 and 5. Ultrasonographic measurement of inferior vena cava (ivc) diameter and degree of. Normal Size Of Ivc.
From coggle.it
Sistema de la vena Cava Inferior, Nombre NOEMY KARLA FERNANDEZ PATON Normal Size Of Ivc Ultrasonographic measurement of inferior vena cava (ivc) diameter and degree of respirophasic collapse was initially utilized by nephrologists. The inferior vena cava (ivc) is an essential but often overlooked structure at abdominal imaging. The inferior vena cava (also known as ivc or the posterior vena cava) is a large vein that carries blood from the torso and lower body to. Normal Size Of Ivc.
From www.ahajournals.org
Role of Inferior Vena Cava Dynamics for Estimating Right Atrial Normal Size Of Ivc The inferior vena cava (also known as ivc or the posterior vena cava) is a large vein that carries blood from the torso and lower body to the. An ivc diameter of < 21mm with a collapsibility of > 50% during inspiration suggests normal right atrium pressure (between 0 and 5. It is associated with a wide variety of congenital. Normal Size Of Ivc.
From www.spandidos-publications.com
Computed tomography manifestations of common inferior vena cava Normal Size Of Ivc The ivc is located to the right of the abdominal aorta, and most of the ivc lies in the retroperitoneal space. The inferior vena cava (also known as ivc or the posterior vena cava) is a large vein that carries blood from the torso and lower body to the. The inferior vena cava (ivc) is an essential but often overlooked. Normal Size Of Ivc.
From www.pocus.org
Inferior Vena Cava POCUS Assessment of Inferior Vena Cava (IVC) Point Normal Size Of Ivc The inferior vena cava (ivc) is an essential but often overlooked structure at abdominal imaging. Maximum ivc diameter is 1.78 cm and showed. Between the diaphragm and right atrium, the ivc has a. An ivc diameter of < 21mm with a collapsibility of > 50% during inspiration suggests normal right atrium pressure (between 0 and 5. The ivc is located. Normal Size Of Ivc.
From www.spandidos-publications.com
Computed tomography manifestations of common inferior vena cava Normal Size Of Ivc The ivc is located to the right of the abdominal aorta, and most of the ivc lies in the retroperitoneal space. It is associated with a wide variety of congenital and pathologic. Ultrasonographic measurement of inferior vena cava (ivc) diameter and degree of respirophasic collapse was initially utilized by nephrologists. The inferior vena cava (also known as ivc or the. Normal Size Of Ivc.
From www.cureus.com
Cureus Evaluation of Normal Inferior Vena Cava Diameters in the Normal Size Of Ivc An ivc diameter of < 21mm with a collapsibility of > 50% during inspiration suggests normal right atrium pressure (between 0 and 5. The ivc is located to the right of the abdominal aorta, and most of the ivc lies in the retroperitoneal space. It is associated with a wide variety of congenital and pathologic. Maximum ivc diameter is 1.78. Normal Size Of Ivc.
From www.albertasono.ca
Inferior vena cava Alberta Sono Normal Size Of Ivc Between the diaphragm and right atrium, the ivc has a. That was normal for him. The ivc is located to the right of the abdominal aorta, and most of the ivc lies in the retroperitoneal space. Maximum ivc diameter is 1.78 cm and showed. The inferior vena cava (also known as ivc or the posterior vena cava) is a large. Normal Size Of Ivc.
From www.frontiersin.org
Frontiers Maximum inferior vena cava diameter predicts postinduction Normal Size Of Ivc The inferior vena cava (ivc) is an essential but often overlooked structure at abdominal imaging. An ivc diameter of < 21mm with a collapsibility of > 50% during inspiration suggests normal right atrium pressure (between 0 and 5. Ultrasonographic measurement of inferior vena cava (ivc) diameter and degree of respirophasic collapse was initially utilized by nephrologists. That was normal for. Normal Size Of Ivc.
From www.myxxgirl.com
Ultrasound Reference Values For Inferior Vena Cava Diameter And My Normal Size Of Ivc That was normal for him. The inferior vena cava (ivc) is an essential but often overlooked structure at abdominal imaging. The inferior vena cava (also known as ivc or the posterior vena cava) is a large vein that carries blood from the torso and lower body to the. Ultrasonographic measurement of inferior vena cava (ivc) diameter and degree of respirophasic. Normal Size Of Ivc.
From www.researchgate.net
2D normal values of cardiac chambers and inferior vena cava. LVEDd Normal Size Of Ivc Ultrasonographic measurement of inferior vena cava (ivc) diameter and degree of respirophasic collapse was initially utilized by nephrologists. The inferior vena cava (ivc) is an essential but often overlooked structure at abdominal imaging. It is associated with a wide variety of congenital and pathologic. The ivc is located to the right of the abdominal aorta, and most of the ivc. Normal Size Of Ivc.
From www.researchgate.net
IVC subcostal view. The diameter of the IVC is measured perpendicular Normal Size Of Ivc That was normal for him. An ivc diameter of < 21mm with a collapsibility of > 50% during inspiration suggests normal right atrium pressure (between 0 and 5. Ultrasonographic measurement of inferior vena cava (ivc) diameter and degree of respirophasic collapse was initially utilized by nephrologists. It is associated with a wide variety of congenital and pathologic. The ivc is. Normal Size Of Ivc.
From www.researchgate.net
Abb. 6 Erweiterung der Vena cava inferior (A IVCDurchmesser > 2 cm Normal Size Of Ivc The inferior vena cava (ivc) is an essential but often overlooked structure at abdominal imaging. That was normal for him. Ultrasonographic measurement of inferior vena cava (ivc) diameter and degree of respirophasic collapse was initially utilized by nephrologists. An ivc diameter of < 21mm with a collapsibility of > 50% during inspiration suggests normal right atrium pressure (between 0 and. Normal Size Of Ivc.
From www.researchgate.net
Ultrasound determination of inferior vena cava (IVC) diameter; RA=right Normal Size Of Ivc Between the diaphragm and right atrium, the ivc has a. It is associated with a wide variety of congenital and pathologic. The inferior vena cava (also known as ivc or the posterior vena cava) is a large vein that carries blood from the torso and lower body to the. An ivc diameter of < 21mm with a collapsibility of >. Normal Size Of Ivc.
From www.frontiersin.org
Frontiers Predictive Value of the Respiratory Variation in Inferior Normal Size Of Ivc Maximum ivc diameter is 1.78 cm and showed. Between the diaphragm and right atrium, the ivc has a. It is associated with a wide variety of congenital and pathologic. Ultrasonographic measurement of inferior vena cava (ivc) diameter and degree of respirophasic collapse was initially utilized by nephrologists. The ivc is located to the right of the abdominal aorta, and most. Normal Size Of Ivc.
From pubs.rsna.org
Radiologic Assessment of Native Renal Vasculature A Multimodality Normal Size Of Ivc That was normal for him. An ivc diameter of < 21mm with a collapsibility of > 50% during inspiration suggests normal right atrium pressure (between 0 and 5. The ivc is located to the right of the abdominal aorta, and most of the ivc lies in the retroperitoneal space. The inferior vena cava (also known as ivc or the posterior. Normal Size Of Ivc.
From geekymedics.com
Inferior Vena Cava (IVC) Geeky Medics Normal Size Of Ivc It is associated with a wide variety of congenital and pathologic. The ivc is located to the right of the abdominal aorta, and most of the ivc lies in the retroperitoneal space. The inferior vena cava (also known as ivc or the posterior vena cava) is a large vein that carries blood from the torso and lower body to the.. Normal Size Of Ivc.
From healthjade.net
Inferior vena cava anatomy, function, filter & inferior vena cava syndrome Normal Size Of Ivc Between the diaphragm and right atrium, the ivc has a. Maximum ivc diameter is 1.78 cm and showed. It is associated with a wide variety of congenital and pathologic. The inferior vena cava (also known as ivc or the posterior vena cava) is a large vein that carries blood from the torso and lower body to the. The inferior vena. Normal Size Of Ivc.
From healthjade.net
Superior vena cava anatomy, function & superior vena cava syndrome Normal Size Of Ivc The inferior vena cava (also known as ivc or the posterior vena cava) is a large vein that carries blood from the torso and lower body to the. It is associated with a wide variety of congenital and pathologic. Ultrasonographic measurement of inferior vena cava (ivc) diameter and degree of respirophasic collapse was initially utilized by nephrologists. The ivc is. Normal Size Of Ivc.
From www.semanticscholar.org
Figure 2 from Venous phase diameter of inferior venacava (IVC) on CT Normal Size Of Ivc The inferior vena cava (also known as ivc or the posterior vena cava) is a large vein that carries blood from the torso and lower body to the. It is associated with a wide variety of congenital and pathologic. Maximum ivc diameter is 1.78 cm and showed. That was normal for him. Ultrasonographic measurement of inferior vena cava (ivc) diameter. Normal Size Of Ivc.
From www.semanticscholar.org
[PDF] Assessment of inferior vena cava diameter by echocardiography in Normal Size Of Ivc That was normal for him. The inferior vena cava (ivc) is an essential but often overlooked structure at abdominal imaging. It is associated with a wide variety of congenital and pathologic. Maximum ivc diameter is 1.78 cm and showed. Between the diaphragm and right atrium, the ivc has a. The inferior vena cava (also known as ivc or the posterior. Normal Size Of Ivc.
From recapem.com
The Conundrum of Inferior Vena Cava Evaluation Revisited Guyton at the Normal Size Of Ivc Ultrasonographic measurement of inferior vena cava (ivc) diameter and degree of respirophasic collapse was initially utilized by nephrologists. Maximum ivc diameter is 1.78 cm and showed. That was normal for him. The inferior vena cava (also known as ivc or the posterior vena cava) is a large vein that carries blood from the torso and lower body to the. Between. Normal Size Of Ivc.