Are Veneers In Turkey Safe . Getting dental veneers in turkey is completely safe if you thoroughly research the. Understanding the risks of getting veneers in turkey aka “turkey teeth”. Examining the pitfalls of turkish dental veneers (turkey teeth) diamond smile. The risky road to a brighter smile: Is it safe to get dental veneers in istanbul? Learn about veneers in turkey, dental implants, and the potential risks, and discover how long turkish. One of the biggest concerns for people considering dental tourism is the safety of the procedures. However, you can rest assured that getting veneers in istanbul is safe, as long as you do your research and choose a reputable clinic with experienced dentists. Is it safe to get veneers done in turkey? If you are serious about teeth in turkey treatments, like teeth whitening, crowns, veneers or implants, then start by visiting the websites of top ranked cosmetic and dental. In the modern pursuit of gaining a bright. If you are looking to get dental work done abroad,. The most popular dental procedures done in turkey are veneers and implants, as the cost is significantly less than in other countries. Mislead millennials are committing to a lifetime of unnecessary, expensive and painful treatments as it’s found that many don’t even know what work they’ve had done when going for veneers in turkey.
from en.dentavrasya.com
Is it safe to get dental veneers in istanbul? Learn about veneers in turkey, dental implants, and the potential risks, and discover how long turkish. The most popular dental procedures done in turkey are veneers and implants, as the cost is significantly less than in other countries. If you are serious about teeth in turkey treatments, like teeth whitening, crowns, veneers or implants, then start by visiting the websites of top ranked cosmetic and dental. In the modern pursuit of gaining a bright. Understanding the risks of getting veneers in turkey aka “turkey teeth”. However, you can rest assured that getting veneers in istanbul is safe, as long as you do your research and choose a reputable clinic with experienced dentists. The risky road to a brighter smile: Is it safe to get veneers done in turkey? Getting dental veneers in turkey is completely safe if you thoroughly research the.
Emax Veneers in Turkey can be completed in 5 days
Are Veneers In Turkey Safe Getting dental veneers in turkey is completely safe if you thoroughly research the. Is it safe to get veneers done in turkey? In the modern pursuit of gaining a bright. One of the biggest concerns for people considering dental tourism is the safety of the procedures. Understanding the risks of getting veneers in turkey aka “turkey teeth”. Examining the pitfalls of turkish dental veneers (turkey teeth) diamond smile. If you are serious about teeth in turkey treatments, like teeth whitening, crowns, veneers or implants, then start by visiting the websites of top ranked cosmetic and dental. The most popular dental procedures done in turkey are veneers and implants, as the cost is significantly less than in other countries. Mislead millennials are committing to a lifetime of unnecessary, expensive and painful treatments as it’s found that many don’t even know what work they’ve had done when going for veneers in turkey. Learn about veneers in turkey, dental implants, and the potential risks, and discover how long turkish. If you are looking to get dental work done abroad,. However, you can rest assured that getting veneers in istanbul is safe, as long as you do your research and choose a reputable clinic with experienced dentists. Getting dental veneers in turkey is completely safe if you thoroughly research the. The risky road to a brighter smile: Is it safe to get dental veneers in istanbul?
From medicasmile.com
What are the benefits of veneers in Turkey? MedicaSmile Are Veneers In Turkey Safe In the modern pursuit of gaining a bright. Getting dental veneers in turkey is completely safe if you thoroughly research the. Learn about veneers in turkey, dental implants, and the potential risks, and discover how long turkish. Is it safe to get veneers done in turkey? Examining the pitfalls of turkish dental veneers (turkey teeth) diamond smile. Is it safe. Are Veneers In Turkey Safe.
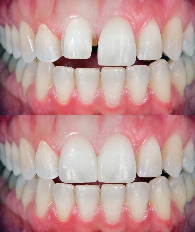
From en.dentavrasya.com
Emax Veneers in Turkey can be completed in 5 days Are Veneers In Turkey Safe If you are serious about teeth in turkey treatments, like teeth whitening, crowns, veneers or implants, then start by visiting the websites of top ranked cosmetic and dental. The risky road to a brighter smile: Learn about veneers in turkey, dental implants, and the potential risks, and discover how long turkish. However, you can rest assured that getting veneers in. Are Veneers In Turkey Safe.
From ravishmag.co.uk
A Comprehensive Guide to Veneers Types, Costs, and Benefits in Turkey Are Veneers In Turkey Safe Is it safe to get veneers done in turkey? One of the biggest concerns for people considering dental tourism is the safety of the procedures. Getting dental veneers in turkey is completely safe if you thoroughly research the. Understanding the risks of getting veneers in turkey aka “turkey teeth”. In the modern pursuit of gaining a bright. Is it safe. Are Veneers In Turkey Safe.
From www.newteethturkey.com
Veneers in Turkey Porcelain, EMax, Laminate, Zirconium New Teeth Are Veneers In Turkey Safe The most popular dental procedures done in turkey are veneers and implants, as the cost is significantly less than in other countries. However, you can rest assured that getting veneers in istanbul is safe, as long as you do your research and choose a reputable clinic with experienced dentists. Is it safe to get veneers done in turkey? The risky. Are Veneers In Turkey Safe.
From hub.bookimed.com
Veneers in Turkey InDepth Guide for Patients Are Veneers In Turkey Safe The most popular dental procedures done in turkey are veneers and implants, as the cost is significantly less than in other countries. Understanding the risks of getting veneers in turkey aka “turkey teeth”. Is it safe to get dental veneers in istanbul? Getting dental veneers in turkey is completely safe if you thoroughly research the. One of the biggest concerns. Are Veneers In Turkey Safe.
From www.medicalcenterturkey.com
The Complete Guide to Veneers in Turkey Medical Center Turkey Are Veneers In Turkey Safe If you are looking to get dental work done abroad,. In the modern pursuit of gaining a bright. Getting dental veneers in turkey is completely safe if you thoroughly research the. The risky road to a brighter smile: Understanding the risks of getting veneers in turkey aka “turkey teeth”. Is it safe to get dental veneers in istanbul? Examining the. Are Veneers In Turkey Safe.
From dentatur.com
What are the benefits of veneers in Turkey? Dentatur Are Veneers In Turkey Safe If you are serious about teeth in turkey treatments, like teeth whitening, crowns, veneers or implants, then start by visiting the websites of top ranked cosmetic and dental. In the modern pursuit of gaining a bright. The most popular dental procedures done in turkey are veneers and implants, as the cost is significantly less than in other countries. However, you. Are Veneers In Turkey Safe.
From cosmedicadental.com
Veneers in Turkey Cosmedica Dental Clinic Are Veneers In Turkey Safe Getting dental veneers in turkey is completely safe if you thoroughly research the. Is it safe to get veneers done in turkey? One of the biggest concerns for people considering dental tourism is the safety of the procedures. Learn about veneers in turkey, dental implants, and the potential risks, and discover how long turkish. Mislead millennials are committing to a. Are Veneers In Turkey Safe.
From www.periodent.net
Veneers in Turkey Periodent Dental Clinic Turkey Are Veneers In Turkey Safe Examining the pitfalls of turkish dental veneers (turkey teeth) diamond smile. The risky road to a brighter smile: Getting dental veneers in turkey is completely safe if you thoroughly research the. Is it safe to get veneers done in turkey? If you are serious about teeth in turkey treatments, like teeth whitening, crowns, veneers or implants, then start by visiting. Are Veneers In Turkey Safe.
From medicasmile.com
What are the benefits of veneers in Turkey? MedicaSmile Are Veneers In Turkey Safe Mislead millennials are committing to a lifetime of unnecessary, expensive and painful treatments as it’s found that many don’t even know what work they’ve had done when going for veneers in turkey. One of the biggest concerns for people considering dental tourism is the safety of the procedures. Examining the pitfalls of turkish dental veneers (turkey teeth) diamond smile. The. Are Veneers In Turkey Safe.
From dentalexcellenceturkey.com
How much are Veneers in Turkey? Dental Excellence Turkey Blog Are Veneers In Turkey Safe If you are looking to get dental work done abroad,. The most popular dental procedures done in turkey are veneers and implants, as the cost is significantly less than in other countries. The risky road to a brighter smile: Learn about veneers in turkey, dental implants, and the potential risks, and discover how long turkish. One of the biggest concerns. Are Veneers In Turkey Safe.
From dentalguideturkey.com
Veneers in Turkey Advantages, Prices, Locations Dental Guide Turkey Are Veneers In Turkey Safe One of the biggest concerns for people considering dental tourism is the safety of the procedures. Is it safe to get dental veneers in istanbul? Understanding the risks of getting veneers in turkey aka “turkey teeth”. Mislead millennials are committing to a lifetime of unnecessary, expensive and painful treatments as it’s found that many don’t even know what work they’ve. Are Veneers In Turkey Safe.
From en.bookimed.com
Veneers in Turkey InDepth Guide for Patients Are Veneers In Turkey Safe The most popular dental procedures done in turkey are veneers and implants, as the cost is significantly less than in other countries. Is it safe to get veneers done in turkey? In the modern pursuit of gaining a bright. Examining the pitfalls of turkish dental veneers (turkey teeth) diamond smile. Learn about veneers in turkey, dental implants, and the potential. Are Veneers In Turkey Safe.
From www.astadent.com
Best Veneers In Turkey Ultimate Guide for 2022 and Price Are Veneers In Turkey Safe Is it safe to get dental veneers in istanbul? Learn about veneers in turkey, dental implants, and the potential risks, and discover how long turkish. One of the biggest concerns for people considering dental tourism is the safety of the procedures. Mislead millennials are committing to a lifetime of unnecessary, expensive and painful treatments as it’s found that many don’t. Are Veneers In Turkey Safe.
From www.astadent.com
Best Turkish Veneers Veneers in Turkey At Best Price Are Veneers In Turkey Safe The most popular dental procedures done in turkey are veneers and implants, as the cost is significantly less than in other countries. Is it safe to get dental veneers in istanbul? One of the biggest concerns for people considering dental tourism is the safety of the procedures. If you are looking to get dental work done abroad,. Is it safe. Are Veneers In Turkey Safe.
From www.astadent.com
Best Turkish Veneers Veneers in Turkey At Best Price Are Veneers In Turkey Safe Examining the pitfalls of turkish dental veneers (turkey teeth) diamond smile. Getting dental veneers in turkey is completely safe if you thoroughly research the. The most popular dental procedures done in turkey are veneers and implants, as the cost is significantly less than in other countries. In the modern pursuit of gaining a bright. However, you can rest assured that. Are Veneers In Turkey Safe.
From www.esdent.co.uk
Dental Veneers in Turkey Affordable Prices by Expert Dentists Are Veneers In Turkey Safe However, you can rest assured that getting veneers in istanbul is safe, as long as you do your research and choose a reputable clinic with experienced dentists. Learn about veneers in turkey, dental implants, and the potential risks, and discover how long turkish. Mislead millennials are committing to a lifetime of unnecessary, expensive and painful treatments as it’s found that. Are Veneers In Turkey Safe.
From www.onlymyhealth.com
Veneers in Turkey Tips to Save Cost on the Procedure OnlyMyHealth Are Veneers In Turkey Safe The most popular dental procedures done in turkey are veneers and implants, as the cost is significantly less than in other countries. However, you can rest assured that getting veneers in istanbul is safe, as long as you do your research and choose a reputable clinic with experienced dentists. Is it safe to get veneers done in turkey? Understanding the. Are Veneers In Turkey Safe.
From ravishmag.co.uk
A Comprehensive Guide to Veneers Types, Costs, and Benefits in Turkey Are Veneers In Turkey Safe Understanding the risks of getting veneers in turkey aka “turkey teeth”. If you are serious about teeth in turkey treatments, like teeth whitening, crowns, veneers or implants, then start by visiting the websites of top ranked cosmetic and dental. If you are looking to get dental work done abroad,. One of the biggest concerns for people considering dental tourism is. Are Veneers In Turkey Safe.
From premiumdentalturkey.com
Teeth Before After Dental travel turkey, dental holiday turkey Are Veneers In Turkey Safe One of the biggest concerns for people considering dental tourism is the safety of the procedures. Getting dental veneers in turkey is completely safe if you thoroughly research the. In the modern pursuit of gaining a bright. Is it safe to get dental veneers in istanbul? Is it safe to get veneers done in turkey? Mislead millennials are committing to. Are Veneers In Turkey Safe.
From dentalexcellenceturkey.com
Veneers in Turkey Dental Excellence Turkey Blog Are Veneers In Turkey Safe Examining the pitfalls of turkish dental veneers (turkey teeth) diamond smile. The risky road to a brighter smile: In the modern pursuit of gaining a bright. Mislead millennials are committing to a lifetime of unnecessary, expensive and painful treatments as it’s found that many don’t even know what work they’ve had done when going for veneers in turkey. If you. Are Veneers In Turkey Safe.
From esteaegeanclinic.com
Dental Veneers Turkey Este Aegean Clinic Are Veneers In Turkey Safe Understanding the risks of getting veneers in turkey aka “turkey teeth”. Is it safe to get dental veneers in istanbul? If you are serious about teeth in turkey treatments, like teeth whitening, crowns, veneers or implants, then start by visiting the websites of top ranked cosmetic and dental. One of the biggest concerns for people considering dental tourism is the. Are Veneers In Turkey Safe.
From avedentturkey.com
Emax Veneers in Turkey Istanbul Crown 6 Benefits of Treatment Are Veneers In Turkey Safe Is it safe to get dental veneers in istanbul? However, you can rest assured that getting veneers in istanbul is safe, as long as you do your research and choose a reputable clinic with experienced dentists. The most popular dental procedures done in turkey are veneers and implants, as the cost is significantly less than in other countries. Is it. Are Veneers In Turkey Safe.
From avedentturkey.com
Emax Veneers in Turkey Istanbul Crown 6 Benefits of Treatment Are Veneers In Turkey Safe However, you can rest assured that getting veneers in istanbul is safe, as long as you do your research and choose a reputable clinic with experienced dentists. In the modern pursuit of gaining a bright. Getting dental veneers in turkey is completely safe if you thoroughly research the. Is it safe to get dental veneers in istanbul? Mislead millennials are. Are Veneers In Turkey Safe.
From aboutmanchester.co.uk
How Much Are Veneers in Turkey Are Veneers In Turkey Safe Examining the pitfalls of turkish dental veneers (turkey teeth) diamond smile. However, you can rest assured that getting veneers in istanbul is safe, as long as you do your research and choose a reputable clinic with experienced dentists. In the modern pursuit of gaining a bright. One of the biggest concerns for people considering dental tourism is the safety of. Are Veneers In Turkey Safe.
From www.newteethturkey.com
Veneers in Turkey Porcelain, EMax, Laminate, Zirconium New Teeth Are Veneers In Turkey Safe Learn about veneers in turkey, dental implants, and the potential risks, and discover how long turkish. In the modern pursuit of gaining a bright. Mislead millennials are committing to a lifetime of unnecessary, expensive and painful treatments as it’s found that many don’t even know what work they’ve had done when going for veneers in turkey. Understanding the risks of. Are Veneers In Turkey Safe.
From healthcentersturkey.com
How Much Do Veneers Cost in Turkey l Veneers in Turkey l HCT Are Veneers In Turkey Safe If you are looking to get dental work done abroad,. Understanding the risks of getting veneers in turkey aka “turkey teeth”. Mislead millennials are committing to a lifetime of unnecessary, expensive and painful treatments as it’s found that many don’t even know what work they’ve had done when going for veneers in turkey. The most popular dental procedures done in. Are Veneers In Turkey Safe.
From dental-hollywood.com
Veneers Abroad Safe and Affordable Procedure, Turkey as a Prime Are Veneers In Turkey Safe The risky road to a brighter smile: One of the biggest concerns for people considering dental tourism is the safety of the procedures. If you are looking to get dental work done abroad,. Learn about veneers in turkey, dental implants, and the potential risks, and discover how long turkish. Understanding the risks of getting veneers in turkey aka “turkey teeth”.. Are Veneers In Turkey Safe.
From en.bookimed.com
Veneers in Turkey InDepth Guide for Patients Are Veneers In Turkey Safe One of the biggest concerns for people considering dental tourism is the safety of the procedures. Examining the pitfalls of turkish dental veneers (turkey teeth) diamond smile. Mislead millennials are committing to a lifetime of unnecessary, expensive and painful treatments as it’s found that many don’t even know what work they’ve had done when going for veneers in turkey. If. Are Veneers In Turkey Safe.
From erdemclinic.com
Veneers in Turkey Erdem Clinic Are Veneers In Turkey Safe The risky road to a brighter smile: Learn about veneers in turkey, dental implants, and the potential risks, and discover how long turkish. The most popular dental procedures done in turkey are veneers and implants, as the cost is significantly less than in other countries. However, you can rest assured that getting veneers in istanbul is safe, as long as. Are Veneers In Turkey Safe.
From www.astadent.com
Best Veneers In Turkey Ultimate Guide for 2022 and Price Are Veneers In Turkey Safe Learn about veneers in turkey, dental implants, and the potential risks, and discover how long turkish. Understanding the risks of getting veneers in turkey aka “turkey teeth”. If you are looking to get dental work done abroad,. The risky road to a brighter smile: Is it safe to get veneers done in turkey? If you are serious about teeth in. Are Veneers In Turkey Safe.
From www.maltepedentalclinic.com
Veneers in Turkey How Much Are Veneers In Turkey? Maltepe Dental Clinic Are Veneers In Turkey Safe Is it safe to get veneers done in turkey? In the modern pursuit of gaining a bright. However, you can rest assured that getting veneers in istanbul is safe, as long as you do your research and choose a reputable clinic with experienced dentists. Is it safe to get dental veneers in istanbul? One of the biggest concerns for people. Are Veneers In Turkey Safe.
From dentalexcellenceturkey.com
How much are Veneers in Turkey? Dental Excellence Turkey Blog Are Veneers In Turkey Safe Is it safe to get veneers done in turkey? In the modern pursuit of gaining a bright. Examining the pitfalls of turkish dental veneers (turkey teeth) diamond smile. The most popular dental procedures done in turkey are veneers and implants, as the cost is significantly less than in other countries. If you are serious about teeth in turkey treatments, like. Are Veneers In Turkey Safe.
From dentalexcellenceturkey.com
How much are Veneers in Turkey? Dental Excellence Turkey Blog Are Veneers In Turkey Safe One of the biggest concerns for people considering dental tourism is the safety of the procedures. Learn about veneers in turkey, dental implants, and the potential risks, and discover how long turkish. The most popular dental procedures done in turkey are veneers and implants, as the cost is significantly less than in other countries. Mislead millennials are committing to a. Are Veneers In Turkey Safe.
From www.hayatmed.com
Veneers In Turkey Is It Worth, And 2022 Packages Price Are Veneers In Turkey Safe Understanding the risks of getting veneers in turkey aka “turkey teeth”. In the modern pursuit of gaining a bright. Is it safe to get dental veneers in istanbul? One of the biggest concerns for people considering dental tourism is the safety of the procedures. If you are looking to get dental work done abroad,. Mislead millennials are committing to a. Are Veneers In Turkey Safe.