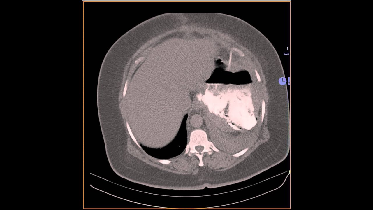
Post Sleeve Gastrectomy Leak Radiology . Leak after sleeve gastrectomy often occurs within the first few days postoperatively due to failure of staple line complete closure. Sleeve gastrectomy for weight loss 1 week earlier. This classification recognizes 4 types of leak based on the size and location of fluid collections: Tender upper abdomen with raised. Sleeve gastrectomy is a bariatric surgical procedure involving resection of the greater curvature of the fundus and body of the stomach to leave approximately 15% of the. Pain after eating a light meal. In addition, we describe the imaging features of the most common early and late postoperative complications, including. Sleeve gastrectomy (sg) is the most commonly performed bariatric procedure in the us [1].one of the most common. It has recently gained in popularity because of a low complication rate, satisfactory resolution of comorbidities, and excellent.
from www.semanticscholar.org
Tender upper abdomen with raised. Sleeve gastrectomy is a bariatric surgical procedure involving resection of the greater curvature of the fundus and body of the stomach to leave approximately 15% of the. In addition, we describe the imaging features of the most common early and late postoperative complications, including. Sleeve gastrectomy for weight loss 1 week earlier. Leak after sleeve gastrectomy often occurs within the first few days postoperatively due to failure of staple line complete closure. This classification recognizes 4 types of leak based on the size and location of fluid collections: Pain after eating a light meal. Sleeve gastrectomy (sg) is the most commonly performed bariatric procedure in the us [1].one of the most common. It has recently gained in popularity because of a low complication rate, satisfactory resolution of comorbidities, and excellent.
Figure 1 from Percutaneous CTGuided Drainage of Gastric Leaks Post
Post Sleeve Gastrectomy Leak Radiology This classification recognizes 4 types of leak based on the size and location of fluid collections: Tender upper abdomen with raised. In addition, we describe the imaging features of the most common early and late postoperative complications, including. This classification recognizes 4 types of leak based on the size and location of fluid collections: Sleeve gastrectomy for weight loss 1 week earlier. It has recently gained in popularity because of a low complication rate, satisfactory resolution of comorbidities, and excellent. Leak after sleeve gastrectomy often occurs within the first few days postoperatively due to failure of staple line complete closure. Sleeve gastrectomy is a bariatric surgical procedure involving resection of the greater curvature of the fundus and body of the stomach to leave approximately 15% of the. Sleeve gastrectomy (sg) is the most commonly performed bariatric procedure in the us [1].one of the most common. Pain after eating a light meal.
From www.clinicalimaging.org
Laparoscopic sleeve gastrectomy Everything the radiologist needs to Post Sleeve Gastrectomy Leak Radiology Leak after sleeve gastrectomy often occurs within the first few days postoperatively due to failure of staple line complete closure. Tender upper abdomen with raised. Pain after eating a light meal. Sleeve gastrectomy (sg) is the most commonly performed bariatric procedure in the us [1].one of the most common. This classification recognizes 4 types of leak based on the size. Post Sleeve Gastrectomy Leak Radiology.
From www.cureus.com
Cureus Delayed PostLaparoscopic Sleeve Gastrectomy Leak Successfully Post Sleeve Gastrectomy Leak Radiology Sleeve gastrectomy (sg) is the most commonly performed bariatric procedure in the us [1].one of the most common. Sleeve gastrectomy is a bariatric surgical procedure involving resection of the greater curvature of the fundus and body of the stomach to leave approximately 15% of the. Leak after sleeve gastrectomy often occurs within the first few days postoperatively due to failure. Post Sleeve Gastrectomy Leak Radiology.
From smj.org.sa
Gastroesophageal stenting for the management of post sleeve gastrectomy Post Sleeve Gastrectomy Leak Radiology Tender upper abdomen with raised. It has recently gained in popularity because of a low complication rate, satisfactory resolution of comorbidities, and excellent. In addition, we describe the imaging features of the most common early and late postoperative complications, including. Sleeve gastrectomy for weight loss 1 week earlier. This classification recognizes 4 types of leak based on the size and. Post Sleeve Gastrectomy Leak Radiology.
From www.youtube.com
Complications after sleeve gastrectomy Leaks & stenosis YouTube Post Sleeve Gastrectomy Leak Radiology It has recently gained in popularity because of a low complication rate, satisfactory resolution of comorbidities, and excellent. Pain after eating a light meal. Tender upper abdomen with raised. Sleeve gastrectomy is a bariatric surgical procedure involving resection of the greater curvature of the fundus and body of the stomach to leave approximately 15% of the. Leak after sleeve gastrectomy. Post Sleeve Gastrectomy Leak Radiology.
From www.dssurgery.com
Revision of a Sleeve Gastrectomy or RNY DSSurgery Post Sleeve Gastrectomy Leak Radiology This classification recognizes 4 types of leak based on the size and location of fluid collections: Leak after sleeve gastrectomy often occurs within the first few days postoperatively due to failure of staple line complete closure. In addition, we describe the imaging features of the most common early and late postoperative complications, including. Tender upper abdomen with raised. Sleeve gastrectomy. Post Sleeve Gastrectomy Leak Radiology.
From www.researchgate.net
(PDF) Percutaneous CTGuided Drainage of Gastric Leaks PostSleeve Post Sleeve Gastrectomy Leak Radiology Sleeve gastrectomy for weight loss 1 week earlier. This classification recognizes 4 types of leak based on the size and location of fluid collections: It has recently gained in popularity because of a low complication rate, satisfactory resolution of comorbidities, and excellent. In addition, we describe the imaging features of the most common early and late postoperative complications, including. Tender. Post Sleeve Gastrectomy Leak Radiology.
From www.semanticscholar.org
Figure 1 from Percutaneous CTGuided Drainage of Gastric Leaks Post Post Sleeve Gastrectomy Leak Radiology This classification recognizes 4 types of leak based on the size and location of fluid collections: Sleeve gastrectomy (sg) is the most commonly performed bariatric procedure in the us [1].one of the most common. In addition, we describe the imaging features of the most common early and late postoperative complications, including. Sleeve gastrectomy for weight loss 1 week earlier. Sleeve. Post Sleeve Gastrectomy Leak Radiology.
From www.researchgate.net
Upper GI series revealing gastric leak. Download Scientific Diagram Post Sleeve Gastrectomy Leak Radiology It has recently gained in popularity because of a low complication rate, satisfactory resolution of comorbidities, and excellent. Pain after eating a light meal. This classification recognizes 4 types of leak based on the size and location of fluid collections: Tender upper abdomen with raised. Sleeve gastrectomy for weight loss 1 week earlier. Sleeve gastrectomy (sg) is the most commonly. Post Sleeve Gastrectomy Leak Radiology.
From www.researchgate.net
(PDF) Computed Tomographybased Diagnosis of Postlaparoscopic Sleeve Post Sleeve Gastrectomy Leak Radiology Sleeve gastrectomy (sg) is the most commonly performed bariatric procedure in the us [1].one of the most common. Tender upper abdomen with raised. Sleeve gastrectomy for weight loss 1 week earlier. Pain after eating a light meal. Leak after sleeve gastrectomy often occurs within the first few days postoperatively due to failure of staple line complete closure. In addition, we. Post Sleeve Gastrectomy Leak Radiology.
From www.cell.com
Radiological stent placement of post sleeve gastrectomy leak efficacy Post Sleeve Gastrectomy Leak Radiology Tender upper abdomen with raised. Leak after sleeve gastrectomy often occurs within the first few days postoperatively due to failure of staple line complete closure. In addition, we describe the imaging features of the most common early and late postoperative complications, including. Sleeve gastrectomy for weight loss 1 week earlier. Pain after eating a light meal. It has recently gained. Post Sleeve Gastrectomy Leak Radiology.
From radiopaedia.org
Post sleeve gastrectomy leak with abscess Image Post Sleeve Gastrectomy Leak Radiology Sleeve gastrectomy is a bariatric surgical procedure involving resection of the greater curvature of the fundus and body of the stomach to leave approximately 15% of the. It has recently gained in popularity because of a low complication rate, satisfactory resolution of comorbidities, and excellent. This classification recognizes 4 types of leak based on the size and location of fluid. Post Sleeve Gastrectomy Leak Radiology.
From www.mdpi.com
JCM Free FullText Twisted Gastric Tube after Laparoscopic Sleeve Post Sleeve Gastrectomy Leak Radiology It has recently gained in popularity because of a low complication rate, satisfactory resolution of comorbidities, and excellent. Sleeve gastrectomy for weight loss 1 week earlier. This classification recognizes 4 types of leak based on the size and location of fluid collections: Pain after eating a light meal. Leak after sleeve gastrectomy often occurs within the first few days postoperatively. Post Sleeve Gastrectomy Leak Radiology.
From www.semanticscholar.org
Figure 1 from Gastroesophageal stenting for the management of post Post Sleeve Gastrectomy Leak Radiology Sleeve gastrectomy for weight loss 1 week earlier. Sleeve gastrectomy (sg) is the most commonly performed bariatric procedure in the us [1].one of the most common. Pain after eating a light meal. In addition, we describe the imaging features of the most common early and late postoperative complications, including. It has recently gained in popularity because of a low complication. Post Sleeve Gastrectomy Leak Radiology.
From clinicalimagingscience.org
Computed Tomographybased Diagnosis of Postlaparoscopic Sleeve Post Sleeve Gastrectomy Leak Radiology In addition, we describe the imaging features of the most common early and late postoperative complications, including. Sleeve gastrectomy (sg) is the most commonly performed bariatric procedure in the us [1].one of the most common. This classification recognizes 4 types of leak based on the size and location of fluid collections: Leak after sleeve gastrectomy often occurs within the first. Post Sleeve Gastrectomy Leak Radiology.
From www.ejradiology.com
Association of body composition with postoperative complications after Post Sleeve Gastrectomy Leak Radiology This classification recognizes 4 types of leak based on the size and location of fluid collections: Leak after sleeve gastrectomy often occurs within the first few days postoperatively due to failure of staple line complete closure. Pain after eating a light meal. Sleeve gastrectomy (sg) is the most commonly performed bariatric procedure in the us [1].one of the most common.. Post Sleeve Gastrectomy Leak Radiology.
From clinicalimagingscience.org
Computed Tomographybased Diagnosis of Postlaparoscopic Sleeve Post Sleeve Gastrectomy Leak Radiology Sleeve gastrectomy (sg) is the most commonly performed bariatric procedure in the us [1].one of the most common. In addition, we describe the imaging features of the most common early and late postoperative complications, including. Pain after eating a light meal. Sleeve gastrectomy for weight loss 1 week earlier. Sleeve gastrectomy is a bariatric surgical procedure involving resection of the. Post Sleeve Gastrectomy Leak Radiology.
From www.cureus.com
Cureus Delayed PostLaparoscopic Sleeve Gastrectomy Leak Successfully Post Sleeve Gastrectomy Leak Radiology Sleeve gastrectomy (sg) is the most commonly performed bariatric procedure in the us [1].one of the most common. It has recently gained in popularity because of a low complication rate, satisfactory resolution of comorbidities, and excellent. In addition, we describe the imaging features of the most common early and late postoperative complications, including. Sleeve gastrectomy is a bariatric surgical procedure. Post Sleeve Gastrectomy Leak Radiology.
From bariatrictimes.com
Tube Gastrostomy Management for Acute Sleeve Gastrectomy Leaks Post Sleeve Gastrectomy Leak Radiology Tender upper abdomen with raised. Sleeve gastrectomy is a bariatric surgical procedure involving resection of the greater curvature of the fundus and body of the stomach to leave approximately 15% of the. This classification recognizes 4 types of leak based on the size and location of fluid collections: Pain after eating a light meal. In addition, we describe the imaging. Post Sleeve Gastrectomy Leak Radiology.
From www.cureus.com
Cureus Delayed PostLaparoscopic Sleeve Gastrectomy Leak Successfully Post Sleeve Gastrectomy Leak Radiology It has recently gained in popularity because of a low complication rate, satisfactory resolution of comorbidities, and excellent. Leak after sleeve gastrectomy often occurs within the first few days postoperatively due to failure of staple line complete closure. Sleeve gastrectomy is a bariatric surgical procedure involving resection of the greater curvature of the fundus and body of the stomach to. Post Sleeve Gastrectomy Leak Radiology.
From www.clinicalimaging.org
Laparoscopic sleeve gastrectomy Everything the radiologist needs to Post Sleeve Gastrectomy Leak Radiology Pain after eating a light meal. This classification recognizes 4 types of leak based on the size and location of fluid collections: It has recently gained in popularity because of a low complication rate, satisfactory resolution of comorbidities, and excellent. Sleeve gastrectomy (sg) is the most commonly performed bariatric procedure in the us [1].one of the most common. Leak after. Post Sleeve Gastrectomy Leak Radiology.
From www.clinicalimaging.org
Laparoscopic sleeve gastrectomy Everything the radiologist needs to Post Sleeve Gastrectomy Leak Radiology Leak after sleeve gastrectomy often occurs within the first few days postoperatively due to failure of staple line complete closure. Sleeve gastrectomy for weight loss 1 week earlier. This classification recognizes 4 types of leak based on the size and location of fluid collections: Pain after eating a light meal. Sleeve gastrectomy is a bariatric surgical procedure involving resection of. Post Sleeve Gastrectomy Leak Radiology.
From www.cell.com
Radiological stent placement of post sleeve gastrectomy leak efficacy Post Sleeve Gastrectomy Leak Radiology Sleeve gastrectomy is a bariatric surgical procedure involving resection of the greater curvature of the fundus and body of the stomach to leave approximately 15% of the. Tender upper abdomen with raised. Pain after eating a light meal. Sleeve gastrectomy (sg) is the most commonly performed bariatric procedure in the us [1].one of the most common. This classification recognizes 4. Post Sleeve Gastrectomy Leak Radiology.
From www.cell.com
Radiological stent placement of post sleeve gastrectomy leak efficacy Post Sleeve Gastrectomy Leak Radiology Tender upper abdomen with raised. Sleeve gastrectomy for weight loss 1 week earlier. In addition, we describe the imaging features of the most common early and late postoperative complications, including. Sleeve gastrectomy (sg) is the most commonly performed bariatric procedure in the us [1].one of the most common. It has recently gained in popularity because of a low complication rate,. Post Sleeve Gastrectomy Leak Radiology.
From clinicalimagingscience.org
Computed Tomographybased Diagnosis of Postlaparoscopic Sleeve Post Sleeve Gastrectomy Leak Radiology Pain after eating a light meal. In addition, we describe the imaging features of the most common early and late postoperative complications, including. Sleeve gastrectomy for weight loss 1 week earlier. This classification recognizes 4 types of leak based on the size and location of fluid collections: Sleeve gastrectomy is a bariatric surgical procedure involving resection of the greater curvature. Post Sleeve Gastrectomy Leak Radiology.
From clinicalimagingscience.org
Computed Tomographybased Diagnosis of Postlaparoscopic Sleeve Post Sleeve Gastrectomy Leak Radiology It has recently gained in popularity because of a low complication rate, satisfactory resolution of comorbidities, and excellent. Sleeve gastrectomy for weight loss 1 week earlier. Sleeve gastrectomy (sg) is the most commonly performed bariatric procedure in the us [1].one of the most common. Leak after sleeve gastrectomy often occurs within the first few days postoperatively due to failure of. Post Sleeve Gastrectomy Leak Radiology.
From www.sages.org
leak post sleeve gastrectomy SAGES Image Library Post Sleeve Gastrectomy Leak Radiology Tender upper abdomen with raised. Sleeve gastrectomy is a bariatric surgical procedure involving resection of the greater curvature of the fundus and body of the stomach to leave approximately 15% of the. It has recently gained in popularity because of a low complication rate, satisfactory resolution of comorbidities, and excellent. Pain after eating a light meal. Sleeve gastrectomy (sg) is. Post Sleeve Gastrectomy Leak Radiology.
From bariatrictimes.com
Endoscopic Management of Persistent Leak after Laparoscopic Sleeve Post Sleeve Gastrectomy Leak Radiology In addition, we describe the imaging features of the most common early and late postoperative complications, including. Sleeve gastrectomy for weight loss 1 week earlier. Sleeve gastrectomy (sg) is the most commonly performed bariatric procedure in the us [1].one of the most common. Pain after eating a light meal. Sleeve gastrectomy is a bariatric surgical procedure involving resection of the. Post Sleeve Gastrectomy Leak Radiology.
From www.cell.com
Radiological stent placement of post sleeve gastrectomy leak efficacy Post Sleeve Gastrectomy Leak Radiology Sleeve gastrectomy (sg) is the most commonly performed bariatric procedure in the us [1].one of the most common. Pain after eating a light meal. Sleeve gastrectomy is a bariatric surgical procedure involving resection of the greater curvature of the fundus and body of the stomach to leave approximately 15% of the. Tender upper abdomen with raised. Leak after sleeve gastrectomy. Post Sleeve Gastrectomy Leak Radiology.
From clinicalimagingscience.org
Computed Tomographybased Diagnosis of Postlaparoscopic Sleeve Post Sleeve Gastrectomy Leak Radiology Sleeve gastrectomy for weight loss 1 week earlier. Tender upper abdomen with raised. Sleeve gastrectomy is a bariatric surgical procedure involving resection of the greater curvature of the fundus and body of the stomach to leave approximately 15% of the. It has recently gained in popularity because of a low complication rate, satisfactory resolution of comorbidities, and excellent. Pain after. Post Sleeve Gastrectomy Leak Radiology.
From www.cureus.com
Cureus Delayed PostLaparoscopic Sleeve Gastrectomy Leak Successfully Post Sleeve Gastrectomy Leak Radiology Sleeve gastrectomy for weight loss 1 week earlier. Tender upper abdomen with raised. This classification recognizes 4 types of leak based on the size and location of fluid collections: It has recently gained in popularity because of a low complication rate, satisfactory resolution of comorbidities, and excellent. In addition, we describe the imaging features of the most common early and. Post Sleeve Gastrectomy Leak Radiology.
From www.youtube.com
Acute Sleeve Gastrectomy Leak Endoscopic Treatment YouTube Post Sleeve Gastrectomy Leak Radiology In addition, we describe the imaging features of the most common early and late postoperative complications, including. Sleeve gastrectomy (sg) is the most commonly performed bariatric procedure in the us [1].one of the most common. It has recently gained in popularity because of a low complication rate, satisfactory resolution of comorbidities, and excellent. Pain after eating a light meal. Sleeve. Post Sleeve Gastrectomy Leak Radiology.
From www.youtube.com
sleeve gastrectomy CT leak YouTube Post Sleeve Gastrectomy Leak Radiology Pain after eating a light meal. Tender upper abdomen with raised. Sleeve gastrectomy for weight loss 1 week earlier. Sleeve gastrectomy (sg) is the most commonly performed bariatric procedure in the us [1].one of the most common. It has recently gained in popularity because of a low complication rate, satisfactory resolution of comorbidities, and excellent. In addition, we describe the. Post Sleeve Gastrectomy Leak Radiology.
From www.videogie.org
Management of a refractory leak after sleeve gastrectomy the Post Sleeve Gastrectomy Leak Radiology It has recently gained in popularity because of a low complication rate, satisfactory resolution of comorbidities, and excellent. Pain after eating a light meal. This classification recognizes 4 types of leak based on the size and location of fluid collections: Tender upper abdomen with raised. Sleeve gastrectomy (sg) is the most commonly performed bariatric procedure in the us [1].one of. Post Sleeve Gastrectomy Leak Radiology.
From pubs.rsna.org
Imaging of Bariatric Surgery Normal Anatomy and Postoperative Post Sleeve Gastrectomy Leak Radiology Sleeve gastrectomy (sg) is the most commonly performed bariatric procedure in the us [1].one of the most common. Sleeve gastrectomy for weight loss 1 week earlier. Sleeve gastrectomy is a bariatric surgical procedure involving resection of the greater curvature of the fundus and body of the stomach to leave approximately 15% of the. It has recently gained in popularity because. Post Sleeve Gastrectomy Leak Radiology.
From radiopaedia.org
Post sleeve gastrectomy leak Image Post Sleeve Gastrectomy Leak Radiology Tender upper abdomen with raised. Sleeve gastrectomy is a bariatric surgical procedure involving resection of the greater curvature of the fundus and body of the stomach to leave approximately 15% of the. Sleeve gastrectomy (sg) is the most commonly performed bariatric procedure in the us [1].one of the most common. In addition, we describe the imaging features of the most. Post Sleeve Gastrectomy Leak Radiology.