Scraped Knee Sepsis . A knee infection is a serious medical condition that often requires immediate and aggressive treatment. septic arthritis of the knee involves a sudden, severe infection in one or both knee joints. Infection is usually a result of bacteria. 1 patients with septic arthritis may present with. septic arthritis is a painful infection in a joint that can come from germs that travel through your bloodstream from. if the infection that caused your septic arthritis is not treated, the infection can spread to other parts of your body. remember that time you shrugged off a seemingly harmless scrape on your knee? septic bursitis occurs when a bursa becomes infected and inflamed. Sure, most of the time, it’s nothing but a. native joint infections most commonly occur in the knee, followed by the hip, shoulder, ankle, elbow, and wrist.
from www.brandonorthopedics.com
septic arthritis of the knee involves a sudden, severe infection in one or both knee joints. A knee infection is a serious medical condition that often requires immediate and aggressive treatment. Infection is usually a result of bacteria. if the infection that caused your septic arthritis is not treated, the infection can spread to other parts of your body. septic bursitis occurs when a bursa becomes infected and inflamed. native joint infections most commonly occur in the knee, followed by the hip, shoulder, ankle, elbow, and wrist. septic arthritis is a painful infection in a joint that can come from germs that travel through your bloodstream from. 1 patients with septic arthritis may present with. remember that time you shrugged off a seemingly harmless scrape on your knee? Sure, most of the time, it’s nothing but a.
How To Treat A Scraped Knee Brandon Orthopedics
Scraped Knee Sepsis 1 patients with septic arthritis may present with. septic bursitis occurs when a bursa becomes infected and inflamed. if the infection that caused your septic arthritis is not treated, the infection can spread to other parts of your body. septic arthritis of the knee involves a sudden, severe infection in one or both knee joints. A knee infection is a serious medical condition that often requires immediate and aggressive treatment. septic arthritis is a painful infection in a joint that can come from germs that travel through your bloodstream from. Sure, most of the time, it’s nothing but a. remember that time you shrugged off a seemingly harmless scrape on your knee? 1 patients with septic arthritis may present with. Infection is usually a result of bacteria. native joint infections most commonly occur in the knee, followed by the hip, shoulder, ankle, elbow, and wrist.
From www.youtube.com
😱 What is Septic Arthritis? 💹Septic Arthritis Symptoms, Causes, Risk Factors And Treatment YouTube Scraped Knee Sepsis 1 patients with septic arthritis may present with. native joint infections most commonly occur in the knee, followed by the hip, shoulder, ankle, elbow, and wrist. remember that time you shrugged off a seemingly harmless scrape on your knee? Sure, most of the time, it’s nothing but a. A knee infection is a serious medical condition that often. Scraped Knee Sepsis.
From www.dreamstime.com
Scraped knee stock image. Image of bleed, knee, medical 85219413 Scraped Knee Sepsis Infection is usually a result of bacteria. A knee infection is a serious medical condition that often requires immediate and aggressive treatment. native joint infections most commonly occur in the knee, followed by the hip, shoulder, ankle, elbow, and wrist. Sure, most of the time, it’s nothing but a. septic arthritis is a painful infection in a joint. Scraped Knee Sepsis.
From www.researchgate.net
Limblength discrepancy and chondropathy after a septic arthritis of... Download Scientific Scraped Knee Sepsis native joint infections most commonly occur in the knee, followed by the hip, shoulder, ankle, elbow, and wrist. if the infection that caused your septic arthritis is not treated, the infection can spread to other parts of your body. septic bursitis occurs when a bursa becomes infected and inflamed. septic arthritis of the knee involves a. Scraped Knee Sepsis.
From www.tamingthesru.com
What is Useful in the ED to Help Diagnose or Rule Out Septic Arthritis? — Taming the SRU Scraped Knee Sepsis septic bursitis occurs when a bursa becomes infected and inflamed. Sure, most of the time, it’s nothing but a. A knee infection is a serious medical condition that often requires immediate and aggressive treatment. septic arthritis is a painful infection in a joint that can come from germs that travel through your bloodstream from. 1 patients with septic. Scraped Knee Sepsis.
From www.cureus.com
Cureus Bilateral Knee Septic Arthritis in a SevenMonthOld Girl Scraped Knee Sepsis Infection is usually a result of bacteria. septic arthritis is a painful infection in a joint that can come from germs that travel through your bloodstream from. 1 patients with septic arthritis may present with. remember that time you shrugged off a seemingly harmless scrape on your knee? Sure, most of the time, it’s nothing but a. . Scraped Knee Sepsis.
From www.cureus.com
Cureus A Rare Case of Septic Knee Arthritis Caused by Clostridium perfringens in a Patient Scraped Knee Sepsis septic bursitis occurs when a bursa becomes infected and inflamed. Sure, most of the time, it’s nothing but a. if the infection that caused your septic arthritis is not treated, the infection can spread to other parts of your body. septic arthritis is a painful infection in a joint that can come from germs that travel through. Scraped Knee Sepsis.
From ar.inspiredpencil.com
Scraped Knee Infection Scraped Knee Sepsis septic bursitis occurs when a bursa becomes infected and inflamed. remember that time you shrugged off a seemingly harmless scrape on your knee? septic arthritis of the knee involves a sudden, severe infection in one or both knee joints. Infection is usually a result of bacteria. if the infection that caused your septic arthritis is not. Scraped Knee Sepsis.
From www.alamy.es
Child scraped knee fotografías e imágenes de alta resolución Alamy Scraped Knee Sepsis septic arthritis of the knee involves a sudden, severe infection in one or both knee joints. Sure, most of the time, it’s nothing but a. 1 patients with septic arthritis may present with. remember that time you shrugged off a seemingly harmless scrape on your knee? A knee infection is a serious medical condition that often requires immediate. Scraped Knee Sepsis.
From myhealthgeek.com
How To Treat Infected Knee Scrape MyHealthGeek Scraped Knee Sepsis 1 patients with septic arthritis may present with. A knee infection is a serious medical condition that often requires immediate and aggressive treatment. remember that time you shrugged off a seemingly harmless scrape on your knee? septic arthritis of the knee involves a sudden, severe infection in one or both knee joints. Infection is usually a result of. Scraped Knee Sepsis.
From www.youtube.com
6.6 Lesson 8 KneeScrape Timelapse YouTube Scraped Knee Sepsis A knee infection is a serious medical condition that often requires immediate and aggressive treatment. remember that time you shrugged off a seemingly harmless scrape on your knee? septic arthritis of the knee involves a sudden, severe infection in one or both knee joints. if the infection that caused your septic arthritis is not treated, the infection. Scraped Knee Sepsis.
From www.cureus.com
A Rare Case of Septic Knee Arthritis Caused by Clostridium perfringens in a Patient With Scraped Knee Sepsis 1 patients with septic arthritis may present with. Infection is usually a result of bacteria. septic arthritis is a painful infection in a joint that can come from germs that travel through your bloodstream from. remember that time you shrugged off a seemingly harmless scrape on your knee? if the infection that caused your septic arthritis is. Scraped Knee Sepsis.
From www.alamy.com
Skin scrape knee child hires stock photography and images Alamy Scraped Knee Sepsis remember that time you shrugged off a seemingly harmless scrape on your knee? Infection is usually a result of bacteria. septic arthritis is a painful infection in a joint that can come from germs that travel through your bloodstream from. 1 patients with septic arthritis may present with. native joint infections most commonly occur in the knee,. Scraped Knee Sepsis.
From www.brandonorthopedics.com
How To Treat A Scraped Knee Brandon Orthopedics Scraped Knee Sepsis septic bursitis occurs when a bursa becomes infected and inflamed. Infection is usually a result of bacteria. remember that time you shrugged off a seemingly harmless scrape on your knee? Sure, most of the time, it’s nothing but a. native joint infections most commonly occur in the knee, followed by the hip, shoulder, ankle, elbow, and wrist.. Scraped Knee Sepsis.
From www.dreamstime.com
Knee Scrape, Scab, Scar, Injury Closeup Detail Stock Photo Image 24314710 Scraped Knee Sepsis septic arthritis of the knee involves a sudden, severe infection in one or both knee joints. 1 patients with septic arthritis may present with. remember that time you shrugged off a seemingly harmless scrape on your knee? septic bursitis occurs when a bursa becomes infected and inflamed. native joint infections most commonly occur in the knee,. Scraped Knee Sepsis.
From hxeruzbdr.blob.core.windows.net
Scraped Knee Not Scabbing at Ed McClean blog Scraped Knee Sepsis Sure, most of the time, it’s nothing but a. A knee infection is a serious medical condition that often requires immediate and aggressive treatment. septic arthritis of the knee involves a sudden, severe infection in one or both knee joints. septic bursitis occurs when a bursa becomes infected and inflamed. native joint infections most commonly occur in. Scraped Knee Sepsis.
From www.arthritis-health.com
Septic Bursitis ArthritisHealth Scraped Knee Sepsis native joint infections most commonly occur in the knee, followed by the hip, shoulder, ankle, elbow, and wrist. 1 patients with septic arthritis may present with. Infection is usually a result of bacteria. remember that time you shrugged off a seemingly harmless scrape on your knee? if the infection that caused your septic arthritis is not treated,. Scraped Knee Sepsis.
From www.semanticscholar.org
Figure 1 from Knee Sepsis after Suprapatellar Nailing of an Open Tibia Fracture Treatment with Scraped Knee Sepsis 1 patients with septic arthritis may present with. if the infection that caused your septic arthritis is not treated, the infection can spread to other parts of your body. Sure, most of the time, it’s nothing but a. septic arthritis of the knee involves a sudden, severe infection in one or both knee joints. remember that time. Scraped Knee Sepsis.
From www.reddit.com
Is my Scraped knee infected or just healing? r/firstaid Scraped Knee Sepsis if the infection that caused your septic arthritis is not treated, the infection can spread to other parts of your body. septic arthritis is a painful infection in a joint that can come from germs that travel through your bloodstream from. remember that time you shrugged off a seemingly harmless scrape on your knee? septic bursitis. Scraped Knee Sepsis.
From www.researchgate.net
This anteroposterior radiograph of a knee 6 years after second revision... Download Scientific Scraped Knee Sepsis if the infection that caused your septic arthritis is not treated, the infection can spread to other parts of your body. native joint infections most commonly occur in the knee, followed by the hip, shoulder, ankle, elbow, and wrist. septic arthritis is a painful infection in a joint that can come from germs that travel through your. Scraped Knee Sepsis.
From www.semanticscholar.org
[PDF] Knee Sepsis after Suprapatellar Nailing of an Open Tibia Fracture Treatment with Acute Scraped Knee Sepsis septic bursitis occurs when a bursa becomes infected and inflamed. native joint infections most commonly occur in the knee, followed by the hip, shoulder, ankle, elbow, and wrist. Infection is usually a result of bacteria. septic arthritis of the knee involves a sudden, severe infection in one or both knee joints. A knee infection is a serious. Scraped Knee Sepsis.
From www.reddit.com
Infected knee cap from scrape. Was on IV antibiotics for two weeks. ER doc said I was lucky it Scraped Knee Sepsis 1 patients with septic arthritis may present with. septic arthritis of the knee involves a sudden, severe infection in one or both knee joints. Infection is usually a result of bacteria. A knee infection is a serious medical condition that often requires immediate and aggressive treatment. remember that time you shrugged off a seemingly harmless scrape on your. Scraped Knee Sepsis.
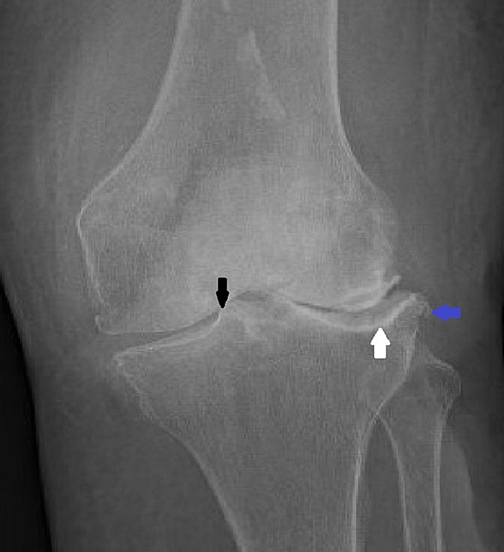
From radiopaedia.org
Septic arthritis of the knee pediatric Image Scraped Knee Sepsis 1 patients with septic arthritis may present with. if the infection that caused your septic arthritis is not treated, the infection can spread to other parts of your body. remember that time you shrugged off a seemingly harmless scrape on your knee? septic bursitis occurs when a bursa becomes infected and inflamed. native joint infections most. Scraped Knee Sepsis.
From www.cureus.com
Cureus Physiotherapeutic Approach for Septic Arthritis of Knee Joint Scraped Knee Sepsis septic arthritis of the knee involves a sudden, severe infection in one or both knee joints. if the infection that caused your septic arthritis is not treated, the infection can spread to other parts of your body. Sure, most of the time, it’s nothing but a. 1 patients with septic arthritis may present with. native joint infections. Scraped Knee Sepsis.
From www.sciencephoto.com
Healing Wound Stock Image M330/1571 Science Photo Library Scraped Knee Sepsis native joint infections most commonly occur in the knee, followed by the hip, shoulder, ankle, elbow, and wrist. septic arthritis of the knee involves a sudden, severe infection in one or both knee joints. Infection is usually a result of bacteria. 1 patients with septic arthritis may present with. septic bursitis occurs when a bursa becomes infected. Scraped Knee Sepsis.
From www.youtube.com
Septic arthritis & Joint Aspiration YouTube Scraped Knee Sepsis septic bursitis occurs when a bursa becomes infected and inflamed. Infection is usually a result of bacteria. A knee infection is a serious medical condition that often requires immediate and aggressive treatment. if the infection that caused your septic arthritis is not treated, the infection can spread to other parts of your body. septic arthritis of the. Scraped Knee Sepsis.
From meded.ucsd.edu
UC San Diego's Practical Guide to Clinical Medicine Scraped Knee Sepsis A knee infection is a serious medical condition that often requires immediate and aggressive treatment. septic arthritis of the knee involves a sudden, severe infection in one or both knee joints. septic arthritis is a painful infection in a joint that can come from germs that travel through your bloodstream from. native joint infections most commonly occur. Scraped Knee Sepsis.
From www.scribd.com
Septic Artritis PDF Anatomical Terms Of Motion Sepsis Scraped Knee Sepsis septic arthritis of the knee involves a sudden, severe infection in one or both knee joints. septic bursitis occurs when a bursa becomes infected and inflamed. 1 patients with septic arthritis may present with. native joint infections most commonly occur in the knee, followed by the hip, shoulder, ankle, elbow, and wrist. septic arthritis is a. Scraped Knee Sepsis.
From clipart-library.com
Infected Scab On Kneee Injured Accident Stock Photo 2084280616 Clip Art Library Scraped Knee Sepsis 1 patients with septic arthritis may present with. Infection is usually a result of bacteria. native joint infections most commonly occur in the knee, followed by the hip, shoulder, ankle, elbow, and wrist. septic arthritis of the knee involves a sudden, severe infection in one or both knee joints. septic bursitis occurs when a bursa becomes infected. Scraped Knee Sepsis.
From codehealth.io
Septic arthritis Scraped Knee Sepsis Sure, most of the time, it’s nothing but a. A knee infection is a serious medical condition that often requires immediate and aggressive treatment. 1 patients with septic arthritis may present with. remember that time you shrugged off a seemingly harmless scrape on your knee? native joint infections most commonly occur in the knee, followed by the hip,. Scraped Knee Sepsis.
From humanbiology.pressbooks.tru.ca
10.3 Epidermis Human Biology Scraped Knee Sepsis if the infection that caused your septic arthritis is not treated, the infection can spread to other parts of your body. septic bursitis occurs when a bursa becomes infected and inflamed. native joint infections most commonly occur in the knee, followed by the hip, shoulder, ankle, elbow, and wrist. septic arthritis of the knee involves a. Scraped Knee Sepsis.
From www.verywellhealth.com
Treatment for Septic Joint Infections Scraped Knee Sepsis 1 patients with septic arthritis may present with. native joint infections most commonly occur in the knee, followed by the hip, shoulder, ankle, elbow, and wrist. if the infection that caused your septic arthritis is not treated, the infection can spread to other parts of your body. Sure, most of the time, it’s nothing but a. remember. Scraped Knee Sepsis.
From www.alamy.com
Skin scrape knee child hires stock photography and images Alamy Scraped Knee Sepsis remember that time you shrugged off a seemingly harmless scrape on your knee? Sure, most of the time, it’s nothing but a. Infection is usually a result of bacteria. if the infection that caused your septic arthritis is not treated, the infection can spread to other parts of your body. septic arthritis is a painful infection in. Scraped Knee Sepsis.
From www.healthline.com
Scraped Knee Treatment and Infection Scraped Knee Sepsis septic arthritis is a painful infection in a joint that can come from germs that travel through your bloodstream from. remember that time you shrugged off a seemingly harmless scrape on your knee? native joint infections most commonly occur in the knee, followed by the hip, shoulder, ankle, elbow, and wrist. septic bursitis occurs when a. Scraped Knee Sepsis.
From www.alamy.com
Scraped knee hires stock photography and images Alamy Scraped Knee Sepsis septic arthritis is a painful infection in a joint that can come from germs that travel through your bloodstream from. if the infection that caused your septic arthritis is not treated, the infection can spread to other parts of your body. A knee infection is a serious medical condition that often requires immediate and aggressive treatment. Infection is. Scraped Knee Sepsis.
From www.dreamstime.com
Close Up View on a Scraped Knee Stock Photo Image of care, infection 56139820 Scraped Knee Sepsis 1 patients with septic arthritis may present with. septic bursitis occurs when a bursa becomes infected and inflamed. Infection is usually a result of bacteria. A knee infection is a serious medical condition that often requires immediate and aggressive treatment. if the infection that caused your septic arthritis is not treated, the infection can spread to other parts. Scraped Knee Sepsis.