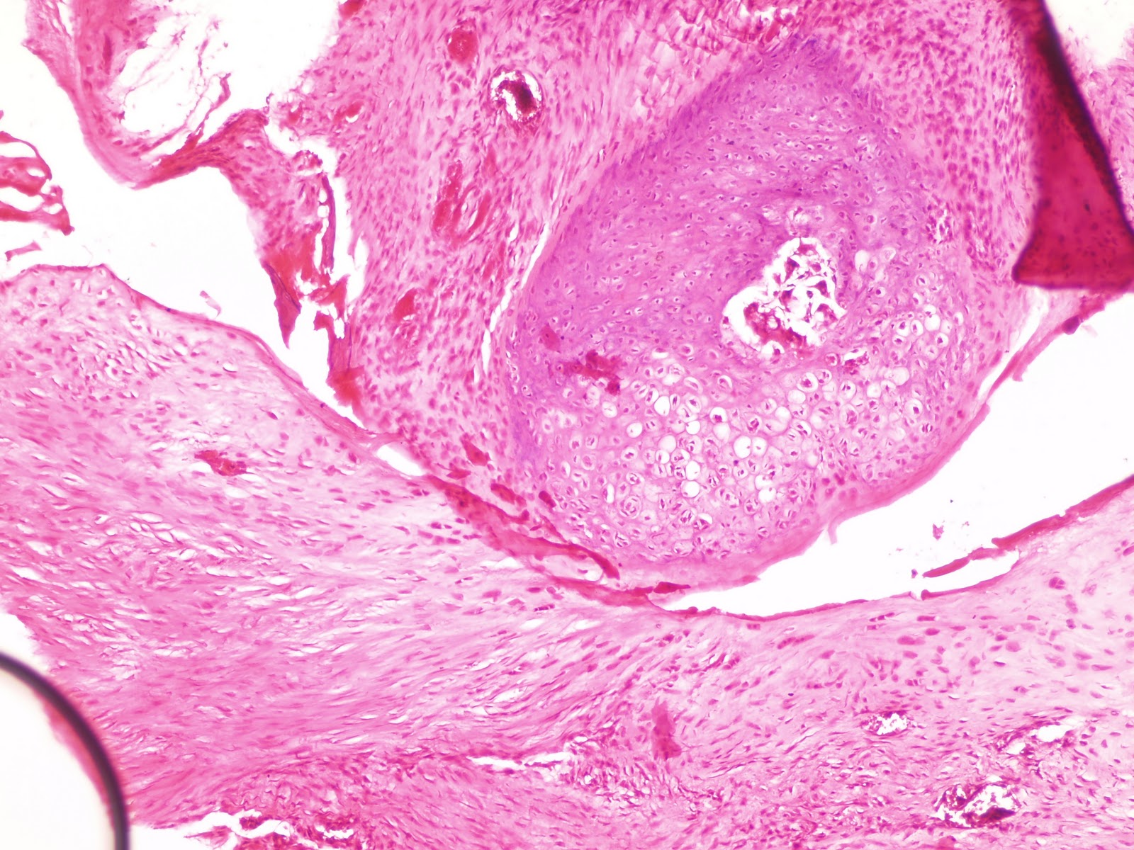
Corn Callus Histology . Corns and calluses at a glance; Corns are uncomfortable, thickened skin lesions that result from repeated mechanical trauma due to friction or pressure forces. Corns and calluses are thickened areas of skin due to repeated pressure, friction, or irritation. Corns demonstrate epidermal hyperplasia with a thick and compact stratum corneum. Corns and calluses result from prolonged application of forces to the skin and produce painful. There may be mucin deposition in the dermis, hemorrhage around blood vessels, streaking of collagen on the sides of the dermal papillae. Callus shows a markedly dense, usually orthokeratotic stratum corneum underlain by mild acathosis, variable hypergranulosis, and increased collagenization of the superficial dermis. Whereas calluses demonstrate only orthokeratosis,.
from www.researchgate.net
Whereas calluses demonstrate only orthokeratosis,. Corns are uncomfortable, thickened skin lesions that result from repeated mechanical trauma due to friction or pressure forces. Corns and calluses result from prolonged application of forces to the skin and produce painful. Corns and calluses are thickened areas of skin due to repeated pressure, friction, or irritation. Corns demonstrate epidermal hyperplasia with a thick and compact stratum corneum. Corns and calluses at a glance; There may be mucin deposition in the dermis, hemorrhage around blood vessels, streaking of collagen on the sides of the dermal papillae. Callus shows a markedly dense, usually orthokeratotic stratum corneum underlain by mild acathosis, variable hypergranulosis, and increased collagenization of the superficial dermis.
Histology of the external callus found in experimental groups. In all
Corn Callus Histology Corns and calluses are thickened areas of skin due to repeated pressure, friction, or irritation. Corns and calluses are thickened areas of skin due to repeated pressure, friction, or irritation. Corns demonstrate epidermal hyperplasia with a thick and compact stratum corneum. Corns and calluses result from prolonged application of forces to the skin and produce painful. Whereas calluses demonstrate only orthokeratosis,. There may be mucin deposition in the dermis, hemorrhage around blood vessels, streaking of collagen on the sides of the dermal papillae. Corns and calluses at a glance; Callus shows a markedly dense, usually orthokeratotic stratum corneum underlain by mild acathosis, variable hypergranulosis, and increased collagenization of the superficial dermis. Corns are uncomfortable, thickened skin lesions that result from repeated mechanical trauma due to friction or pressure forces.
From lifestylemajor.com
What is Corns and Calluses Types, Symptoms, and Causes Corn Callus Histology Corns and calluses at a glance; Corns are uncomfortable, thickened skin lesions that result from repeated mechanical trauma due to friction or pressure forces. Corns demonstrate epidermal hyperplasia with a thick and compact stratum corneum. Corns and calluses result from prolonged application of forces to the skin and produce painful. There may be mucin deposition in the dermis, hemorrhage around. Corn Callus Histology.
From www.pathologyoutlines.com
Pathology Outlines Cutaneous horn Corn Callus Histology Corns are uncomfortable, thickened skin lesions that result from repeated mechanical trauma due to friction or pressure forces. Corns and calluses are thickened areas of skin due to repeated pressure, friction, or irritation. There may be mucin deposition in the dermis, hemorrhage around blood vessels, streaking of collagen on the sides of the dermal papillae. Corns and calluses result from. Corn Callus Histology.
From www.riversidepodiatry.com.au
Corns & Callus Riverside Podiatry Corn Callus Histology Corns demonstrate epidermal hyperplasia with a thick and compact stratum corneum. Corns and calluses at a glance; Corns and calluses result from prolonged application of forces to the skin and produce painful. Whereas calluses demonstrate only orthokeratosis,. There may be mucin deposition in the dermis, hemorrhage around blood vessels, streaking of collagen on the sides of the dermal papillae. Callus. Corn Callus Histology.
From www.slideshare.net
Histology Lab Image Information Corn Callus Histology Corns and calluses result from prolonged application of forces to the skin and produce painful. Corns and calluses at a glance; Corns demonstrate epidermal hyperplasia with a thick and compact stratum corneum. Corns are uncomfortable, thickened skin lesions that result from repeated mechanical trauma due to friction or pressure forces. Whereas calluses demonstrate only orthokeratosis,. Corns and calluses are thickened. Corn Callus Histology.
From www.researchgate.net
Histologic section of fracture site during the early, fibrous callus Corn Callus Histology Corns and calluses result from prolonged application of forces to the skin and produce painful. Corns are uncomfortable, thickened skin lesions that result from repeated mechanical trauma due to friction or pressure forces. Callus shows a markedly dense, usually orthokeratotic stratum corneum underlain by mild acathosis, variable hypergranulosis, and increased collagenization of the superficial dermis. There may be mucin deposition. Corn Callus Histology.
From ar.inspiredpencil.com
Corn On Bottom Of Feet Corn Callus Histology Whereas calluses demonstrate only orthokeratosis,. Corns and calluses result from prolonged application of forces to the skin and produce painful. Corns and calluses are thickened areas of skin due to repeated pressure, friction, or irritation. Corns demonstrate epidermal hyperplasia with a thick and compact stratum corneum. Corns and calluses at a glance; Corns are uncomfortable, thickened skin lesions that result. Corn Callus Histology.
From qsp.physio
Corn or Callus How to Tell the Difference Queen St Physio Corn Callus Histology Corns are uncomfortable, thickened skin lesions that result from repeated mechanical trauma due to friction or pressure forces. Corns and calluses at a glance; Corns demonstrate epidermal hyperplasia with a thick and compact stratum corneum. Whereas calluses demonstrate only orthokeratosis,. Corns and calluses are thickened areas of skin due to repeated pressure, friction, or irritation. Corns and calluses result from. Corn Callus Histology.
From www.hallandalebeachfootdoctor.com
Corn and Callus Removal Treatment Podiatrist, Foot Doctor Hallandale Corn Callus Histology Corns are uncomfortable, thickened skin lesions that result from repeated mechanical trauma due to friction or pressure forces. Whereas calluses demonstrate only orthokeratosis,. Corns and calluses result from prolonged application of forces to the skin and produce painful. Corns and calluses at a glance; There may be mucin deposition in the dermis, hemorrhage around blood vessels, streaking of collagen on. Corn Callus Histology.
From www.pathologyoutlines.com
Pathology Outlines Histology Corn Callus Histology Callus shows a markedly dense, usually orthokeratotic stratum corneum underlain by mild acathosis, variable hypergranulosis, and increased collagenization of the superficial dermis. There may be mucin deposition in the dermis, hemorrhage around blood vessels, streaking of collagen on the sides of the dermal papillae. Corns demonstrate epidermal hyperplasia with a thick and compact stratum corneum. Whereas calluses demonstrate only orthokeratosis,.. Corn Callus Histology.
From www.researchgate.net
Fracture callus and nonunion tissue histology. Sections of fracture Corn Callus Histology There may be mucin deposition in the dermis, hemorrhage around blood vessels, streaking of collagen on the sides of the dermal papillae. Corns are uncomfortable, thickened skin lesions that result from repeated mechanical trauma due to friction or pressure forces. Corns and calluses result from prolonged application of forces to the skin and produce painful. Corns and calluses at a. Corn Callus Histology.
From www.procarepodiatry.com.au
All You Need to Know About Painful Corns & Callous Procare Podiatric Corn Callus Histology Corns and calluses at a glance; Corns demonstrate epidermal hyperplasia with a thick and compact stratum corneum. Corns and calluses result from prolonged application of forces to the skin and produce painful. Whereas calluses demonstrate only orthokeratosis,. Corns and calluses are thickened areas of skin due to repeated pressure, friction, or irritation. Corns are uncomfortable, thickened skin lesions that result. Corn Callus Histology.
From www.pathologyoutlines.com
Pathology Outlines Verruca vulgaris Corn Callus Histology Corns are uncomfortable, thickened skin lesions that result from repeated mechanical trauma due to friction or pressure forces. Corns and calluses are thickened areas of skin due to repeated pressure, friction, or irritation. Corns and calluses at a glance; Whereas calluses demonstrate only orthokeratosis,. Callus shows a markedly dense, usually orthokeratotic stratum corneum underlain by mild acathosis, variable hypergranulosis, and. Corn Callus Histology.
From www.pathologyoutlines.com
Pathology Outlines Cutaneous horn Corn Callus Histology Corns and calluses result from prolonged application of forces to the skin and produce painful. Whereas calluses demonstrate only orthokeratosis,. Corns and calluses are thickened areas of skin due to repeated pressure, friction, or irritation. There may be mucin deposition in the dermis, hemorrhage around blood vessels, streaking of collagen on the sides of the dermal papillae. Corns and calluses. Corn Callus Histology.
From proper-cooking.info
Verruca Vulgaris Histology Corn Callus Histology Callus shows a markedly dense, usually orthokeratotic stratum corneum underlain by mild acathosis, variable hypergranulosis, and increased collagenization of the superficial dermis. There may be mucin deposition in the dermis, hemorrhage around blood vessels, streaking of collagen on the sides of the dermal papillae. Corns and calluses at a glance; Corns are uncomfortable, thickened skin lesions that result from repeated. Corn Callus Histology.
From mavink.com
Fracture Callus Histology Corn Callus Histology Corns and calluses are thickened areas of skin due to repeated pressure, friction, or irritation. Whereas calluses demonstrate only orthokeratosis,. Corns and calluses at a glance; Corns demonstrate epidermal hyperplasia with a thick and compact stratum corneum. Corns and calluses result from prolonged application of forces to the skin and produce painful. There may be mucin deposition in the dermis,. Corn Callus Histology.
From www.dermatologyadvisor.com
Corn/callus (singular callus, callosity, tyloma; plural callosities Corn Callus Histology Callus shows a markedly dense, usually orthokeratotic stratum corneum underlain by mild acathosis, variable hypergranulosis, and increased collagenization of the superficial dermis. Whereas calluses demonstrate only orthokeratosis,. Corns and calluses at a glance; Corns and calluses result from prolonged application of forces to the skin and produce painful. There may be mucin deposition in the dermis, hemorrhage around blood vessels,. Corn Callus Histology.
From mungfali.com
Verruca Histology Corn Callus Histology There may be mucin deposition in the dermis, hemorrhage around blood vessels, streaking of collagen on the sides of the dermal papillae. Callus shows a markedly dense, usually orthokeratotic stratum corneum underlain by mild acathosis, variable hypergranulosis, and increased collagenization of the superficial dermis. Corns and calluses result from prolonged application of forces to the skin and produce painful. Corns. Corn Callus Histology.
From www.pathologyoutlines.com
Pathology Outlines Histology Corn Callus Histology Corns and calluses at a glance; Corns and calluses result from prolonged application of forces to the skin and produce painful. Callus shows a markedly dense, usually orthokeratotic stratum corneum underlain by mild acathosis, variable hypergranulosis, and increased collagenization of the superficial dermis. Whereas calluses demonstrate only orthokeratosis,. There may be mucin deposition in the dermis, hemorrhage around blood vessels,. Corn Callus Histology.
From novafamilypodiatry.com
Corns & Calluses Nova Family Podiatry Corn Callus Histology Corns demonstrate epidermal hyperplasia with a thick and compact stratum corneum. Whereas calluses demonstrate only orthokeratosis,. Corns and calluses are thickened areas of skin due to repeated pressure, friction, or irritation. Corns are uncomfortable, thickened skin lesions that result from repeated mechanical trauma due to friction or pressure forces. There may be mucin deposition in the dermis, hemorrhage around blood. Corn Callus Histology.
From www.researchgate.net
Histology of the external callus found in experimental groups. In all Corn Callus Histology There may be mucin deposition in the dermis, hemorrhage around blood vessels, streaking of collagen on the sides of the dermal papillae. Corns demonstrate epidermal hyperplasia with a thick and compact stratum corneum. Whereas calluses demonstrate only orthokeratosis,. Corns are uncomfortable, thickened skin lesions that result from repeated mechanical trauma due to friction or pressure forces. Corns and calluses are. Corn Callus Histology.
From www.researchgate.net
Photomicrographs of treated lesions at fracture callus. Histological Corn Callus Histology Corns and calluses at a glance; There may be mucin deposition in the dermis, hemorrhage around blood vessels, streaking of collagen on the sides of the dermal papillae. Corns demonstrate epidermal hyperplasia with a thick and compact stratum corneum. Whereas calluses demonstrate only orthokeratosis,. Corns and calluses result from prolonged application of forces to the skin and produce painful. Corns. Corn Callus Histology.
From www.researchgate.net
Histology of H&E staining of the cartilage callus in standard healing Corn Callus Histology There may be mucin deposition in the dermis, hemorrhage around blood vessels, streaking of collagen on the sides of the dermal papillae. Corns demonstrate epidermal hyperplasia with a thick and compact stratum corneum. Corns and calluses at a glance; Corns and calluses are thickened areas of skin due to repeated pressure, friction, or irritation. Corns and calluses result from prolonged. Corn Callus Histology.
From www.researchgate.net
Micrographs of the repairing tissue and bone callus and representative Corn Callus Histology Callus shows a markedly dense, usually orthokeratotic stratum corneum underlain by mild acathosis, variable hypergranulosis, and increased collagenization of the superficial dermis. Corns are uncomfortable, thickened skin lesions that result from repeated mechanical trauma due to friction or pressure forces. Corns demonstrate epidermal hyperplasia with a thick and compact stratum corneum. Whereas calluses demonstrate only orthokeratosis,. Corns and calluses at. Corn Callus Histology.
From www.luxefootsurgery.com
Foot Corn vs Callus Understanding the Differences Between These Skin Corn Callus Histology Corns and calluses result from prolonged application of forces to the skin and produce painful. Corns are uncomfortable, thickened skin lesions that result from repeated mechanical trauma due to friction or pressure forces. Whereas calluses demonstrate only orthokeratosis,. Corns and calluses are thickened areas of skin due to repeated pressure, friction, or irritation. Callus shows a markedly dense, usually orthokeratotic. Corn Callus Histology.
From www.dreamstime.com
Callus Stock Images Download 2,508 Royalty Free Photos Page 2 Corn Callus Histology Corns are uncomfortable, thickened skin lesions that result from repeated mechanical trauma due to friction or pressure forces. Corns and calluses are thickened areas of skin due to repeated pressure, friction, or irritation. There may be mucin deposition in the dermis, hemorrhage around blood vessels, streaking of collagen on the sides of the dermal papillae. Whereas calluses demonstrate only orthokeratosis,.. Corn Callus Histology.
From www.health.harvard.eduwww.health.harvard.edu
Corns and Calluses Harvard Health Corn Callus Histology Corns demonstrate epidermal hyperplasia with a thick and compact stratum corneum. Corns and calluses result from prolonged application of forces to the skin and produce painful. Corns and calluses at a glance; Corns are uncomfortable, thickened skin lesions that result from repeated mechanical trauma due to friction or pressure forces. There may be mucin deposition in the dermis, hemorrhage around. Corn Callus Histology.
From www.researchgate.net
Histology of the Brachypodium embryogenic callus on the 7 th day after Corn Callus Histology Corns and calluses result from prolonged application of forces to the skin and produce painful. Whereas calluses demonstrate only orthokeratosis,. Corns are uncomfortable, thickened skin lesions that result from repeated mechanical trauma due to friction or pressure forces. Corns and calluses at a glance; There may be mucin deposition in the dermis, hemorrhage around blood vessels, streaking of collagen on. Corn Callus Histology.
From www.dreamstime.com
Callus Stock Images Download 2,508 Royalty Free Photos Page 2 Corn Callus Histology Callus shows a markedly dense, usually orthokeratotic stratum corneum underlain by mild acathosis, variable hypergranulosis, and increased collagenization of the superficial dermis. Corns are uncomfortable, thickened skin lesions that result from repeated mechanical trauma due to friction or pressure forces. Corns and calluses result from prolonged application of forces to the skin and produce painful. Corns demonstrate epidermal hyperplasia with. Corn Callus Histology.
From pathology.oit.duke.edu
Duke Pathology Bone, Joints, & Skin Corn Callus Histology Corns and calluses at a glance; Corns and calluses result from prolonged application of forces to the skin and produce painful. There may be mucin deposition in the dermis, hemorrhage around blood vessels, streaking of collagen on the sides of the dermal papillae. Corns are uncomfortable, thickened skin lesions that result from repeated mechanical trauma due to friction or pressure. Corn Callus Histology.
From www.dreamstime.com
Histology of Callus, a Thickened Skin Made As a Result of Pressure Corn Callus Histology Corns demonstrate epidermal hyperplasia with a thick and compact stratum corneum. Whereas calluses demonstrate only orthokeratosis,. Corns and calluses result from prolonged application of forces to the skin and produce painful. There may be mucin deposition in the dermis, hemorrhage around blood vessels, streaking of collagen on the sides of the dermal papillae. Corns and calluses at a glance; Corns. Corn Callus Histology.
From www.researchgate.net
A Histology of the fracture callus stained by... Download Scientific Corn Callus Histology There may be mucin deposition in the dermis, hemorrhage around blood vessels, streaking of collagen on the sides of the dermal papillae. Callus shows a markedly dense, usually orthokeratotic stratum corneum underlain by mild acathosis, variable hypergranulosis, and increased collagenization of the superficial dermis. Corns and calluses are thickened areas of skin due to repeated pressure, friction, or irritation. Corns. Corn Callus Histology.
From integrativewellnessandmovement.com
CORN 400X Histology Corn Callus Histology Corns demonstrate epidermal hyperplasia with a thick and compact stratum corneum. Corns and calluses result from prolonged application of forces to the skin and produce painful. Corns and calluses at a glance; There may be mucin deposition in the dermis, hemorrhage around blood vessels, streaking of collagen on the sides of the dermal papillae. Callus shows a markedly dense, usually. Corn Callus Histology.
From micespermatogenesis.blogspot.com
My experiments with Mice Histology of rat callus formation Corn Callus Histology Corns are uncomfortable, thickened skin lesions that result from repeated mechanical trauma due to friction or pressure forces. Whereas calluses demonstrate only orthokeratosis,. There may be mucin deposition in the dermis, hemorrhage around blood vessels, streaking of collagen on the sides of the dermal papillae. Corns and calluses result from prolonged application of forces to the skin and produce painful.. Corn Callus Histology.
From www.researchgate.net
Histology of callus of E. cloeziana. A) Callus showing formation of a Corn Callus Histology Corns and calluses are thickened areas of skin due to repeated pressure, friction, or irritation. Corns and calluses at a glance; Callus shows a markedly dense, usually orthokeratotic stratum corneum underlain by mild acathosis, variable hypergranulosis, and increased collagenization of the superficial dermis. There may be mucin deposition in the dermis, hemorrhage around blood vessels, streaking of collagen on the. Corn Callus Histology.
From www.pathologyoutlines.com
Pathology Outlines Fracture callus Corn Callus Histology Callus shows a markedly dense, usually orthokeratotic stratum corneum underlain by mild acathosis, variable hypergranulosis, and increased collagenization of the superficial dermis. Corns demonstrate epidermal hyperplasia with a thick and compact stratum corneum. Corns and calluses at a glance; Whereas calluses demonstrate only orthokeratosis,. Corns are uncomfortable, thickened skin lesions that result from repeated mechanical trauma due to friction or. Corn Callus Histology.