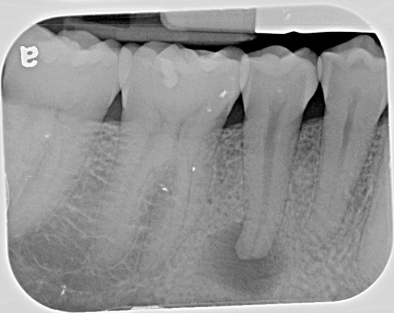
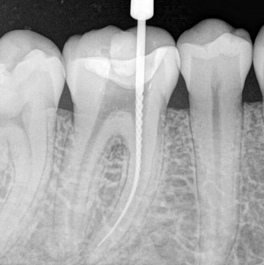
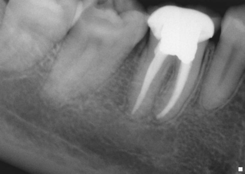
Endo X Ray Tips . Discuss special applications of radiography to endodontics. Radiographs are the most accurate and least subjective diagnostic aids available. Interpreting the information from a radiograph is notoriously subjective; Identify normal anatomic features in the maxilla and mandible on radiographs. Discuss reasons for limiting the number of exposures. Getting working length radiographs during an endodontic. Diagnostic radiographs allow identifying periapical lesions. However, clinical tests and examination, and the patient's medical and dental history must be considered. Describe the importance of radiographs in endodontic diagnosis, treatment, and postoperative evaluation. Dental radiography allows for the identification of pathologic. Whatever the purpose of the radiograph, the aim is to get consistently high quality images, with the minimum radiation dose, and nowhere is that more important than in endodontics. Radiographs aid in making an endodontic diagnosis; Endodontics aims to prevent or eliminate apical periodontitis. Basic tips for root canal xrays.
from www.quia.com
Interpreting the information from a radiograph is notoriously subjective; Discuss reasons for limiting the number of exposures. Basic tips for root canal xrays. Diagnostic radiographs allow identifying periapical lesions. Radiographs are the most accurate and least subjective diagnostic aids available. Discuss special applications of radiography to endodontics. Endodontics aims to prevent or eliminate apical periodontitis. Radiographs aid in making an endodontic diagnosis; Identify normal anatomic features in the maxilla and mandible on radiographs. Describe the importance of radiographs in endodontic diagnosis, treatment, and postoperative evaluation.
Quia Endo Xrays
Endo X Ray Tips Dental radiography allows for the identification of pathologic. Whatever the purpose of the radiograph, the aim is to get consistently high quality images, with the minimum radiation dose, and nowhere is that more important than in endodontics. However, clinical tests and examination, and the patient's medical and dental history must be considered. Discuss special applications of radiography to endodontics. Endodontics aims to prevent or eliminate apical periodontitis. Getting working length radiographs during an endodontic. Diagnostic radiographs allow identifying periapical lesions. Basic tips for root canal xrays. Discuss reasons for limiting the number of exposures. Radiographs aid in making an endodontic diagnosis; Interpreting the information from a radiograph is notoriously subjective; Describe the importance of radiographs in endodontic diagnosis, treatment, and postoperative evaluation. Radiographs are the most accurate and least subjective diagnostic aids available. Dental radiography allows for the identification of pathologic. Identify normal anatomic features in the maxilla and mandible on radiographs.
From 360v.co.uk
Denbite Endo Xray Sensor Positioning Device Refill Pack 360visualise Endo X Ray Tips Radiographs are the most accurate and least subjective diagnostic aids available. Whatever the purpose of the radiograph, the aim is to get consistently high quality images, with the minimum radiation dose, and nowhere is that more important than in endodontics. Discuss reasons for limiting the number of exposures. Identify normal anatomic features in the maxilla and mandible on radiographs. Diagnostic. Endo X Ray Tips.
From endodontics.styleitaliano.org
Management of broken files A clinical approach Style Italiano Endo X Ray Tips Basic tips for root canal xrays. Dental radiography allows for the identification of pathologic. Whatever the purpose of the radiograph, the aim is to get consistently high quality images, with the minimum radiation dose, and nowhere is that more important than in endodontics. Endodontics aims to prevent or eliminate apical periodontitis. Discuss reasons for limiting the number of exposures. Describe. Endo X Ray Tips.
From www.researchgate.net
Endodontic treatment 2.2. (a) Periapical Xray endodontic overfilling Endo X Ray Tips Dental radiography allows for the identification of pathologic. Radiographs aid in making an endodontic diagnosis; However, clinical tests and examination, and the patient's medical and dental history must be considered. Getting working length radiographs during an endodontic. Endodontics aims to prevent or eliminate apical periodontitis. Basic tips for root canal xrays. Interpreting the information from a radiograph is notoriously subjective;. Endo X Ray Tips.
From www.youtube.com
Endo PA with Endo ray holder YouTube Endo X Ray Tips Radiographs are the most accurate and least subjective diagnostic aids available. Interpreting the information from a radiograph is notoriously subjective; Discuss reasons for limiting the number of exposures. Basic tips for root canal xrays. Getting working length radiographs during an endodontic. However, clinical tests and examination, and the patient's medical and dental history must be considered. Discuss special applications of. Endo X Ray Tips.
From www.youtube.com
Ledge in Endodontics Root Canal What, Causes, Prevention, Removal Endo X Ray Tips Endodontics aims to prevent or eliminate apical periodontitis. Dental radiography allows for the identification of pathologic. Getting working length radiographs during an endodontic. Basic tips for root canal xrays. Discuss reasons for limiting the number of exposures. Describe the importance of radiographs in endodontic diagnosis, treatment, and postoperative evaluation. Whatever the purpose of the radiograph, the aim is to get. Endo X Ray Tips.
From dentistry.co.uk
Exploring Endodontics a silver point of order Dentistry Endo X Ray Tips Getting working length radiographs during an endodontic. However, clinical tests and examination, and the patient's medical and dental history must be considered. Diagnostic radiographs allow identifying periapical lesions. Discuss special applications of radiography to endodontics. Dental radiography allows for the identification of pathologic. Describe the importance of radiographs in endodontic diagnosis, treatment, and postoperative evaluation. Endodontics aims to prevent or. Endo X Ray Tips.
From www.youtube.com
Dentsply Rinn SnapARay DS Endo YouTube Endo X Ray Tips Radiographs are the most accurate and least subjective diagnostic aids available. Radiographs aid in making an endodontic diagnosis; Getting working length radiographs during an endodontic. Basic tips for root canal xrays. Identify normal anatomic features in the maxilla and mandible on radiographs. Discuss reasons for limiting the number of exposures. Diagnostic radiographs allow identifying periapical lesions. Whatever the purpose of. Endo X Ray Tips.
From asisupport.com
Ultrasonic Endo Tip ET20 (PN 92ASF88011) ASI Support Endo X Ray Tips Discuss reasons for limiting the number of exposures. Dental radiography allows for the identification of pathologic. Identify normal anatomic features in the maxilla and mandible on radiographs. Radiographs aid in making an endodontic diagnosis; Interpreting the information from a radiograph is notoriously subjective; However, clinical tests and examination, and the patient's medical and dental history must be considered. Discuss special. Endo X Ray Tips.
From galladental.com.my
Flow Dental Endodontic XRay Positioning Kit Galla Dental Endo X Ray Tips Basic tips for root canal xrays. Identify normal anatomic features in the maxilla and mandible on radiographs. Interpreting the information from a radiograph is notoriously subjective; Discuss reasons for limiting the number of exposures. Radiographs are the most accurate and least subjective diagnostic aids available. Discuss special applications of radiography to endodontics. Whatever the purpose of the radiograph, the aim. Endo X Ray Tips.
From www.quia.com
Quia Endo Xrays Endo X Ray Tips Identify normal anatomic features in the maxilla and mandible on radiographs. Interpreting the information from a radiograph is notoriously subjective; Endodontics aims to prevent or eliminate apical periodontitis. Dental radiography allows for the identification of pathologic. However, clinical tests and examination, and the patient's medical and dental history must be considered. Discuss reasons for limiting the number of exposures. Getting. Endo X Ray Tips.
From www.tv.odontologiavirtual.com
ENDODONTICS Basic Root Canal Xray Tips Sensor Holders Endo X Ray Tips Dental radiography allows for the identification of pathologic. Discuss special applications of radiography to endodontics. Radiographs are the most accurate and least subjective diagnostic aids available. Diagnostic radiographs allow identifying periapical lesions. Identify normal anatomic features in the maxilla and mandible on radiographs. Discuss reasons for limiting the number of exposures. Endodontics aims to prevent or eliminate apical periodontitis. Radiographs. Endo X Ray Tips.
From www.ddgroup.com
QSP044 Endo Tips ET20 Endo X Ray Tips However, clinical tests and examination, and the patient's medical and dental history must be considered. Describe the importance of radiographs in endodontic diagnosis, treatment, and postoperative evaluation. Whatever the purpose of the radiograph, the aim is to get consistently high quality images, with the minimum radiation dose, and nowhere is that more important than in endodontics. Identify normal anatomic features. Endo X Ray Tips.
From www.ashahdental.com
Before and after Endo treatment Dental Xray Shah Dentistry Endo X Ray Tips Radiographs are the most accurate and least subjective diagnostic aids available. Describe the importance of radiographs in endodontic diagnosis, treatment, and postoperative evaluation. Whatever the purpose of the radiograph, the aim is to get consistently high quality images, with the minimum radiation dose, and nowhere is that more important than in endodontics. Discuss special applications of radiography to endodontics. Radiographs. Endo X Ray Tips.
From dentistry.co.uk
The endo expert managing curved canals Dentistry Online Endo X Ray Tips Endodontics aims to prevent or eliminate apical periodontitis. Getting working length radiographs during an endodontic. Dental radiography allows for the identification of pathologic. Describe the importance of radiographs in endodontic diagnosis, treatment, and postoperative evaluation. However, clinical tests and examination, and the patient's medical and dental history must be considered. Discuss special applications of radiography to endodontics. Basic tips for. Endo X Ray Tips.
From www.dentsplysirona.com
ProUltra Ultrasonic Tip Refills Endo Tips Endo X Ray Tips Dental radiography allows for the identification of pathologic. Radiographs are the most accurate and least subjective diagnostic aids available. Discuss special applications of radiography to endodontics. However, clinical tests and examination, and the patient's medical and dental history must be considered. Getting working length radiographs during an endodontic. Describe the importance of radiographs in endodontic diagnosis, treatment, and postoperative evaluation.. Endo X Ray Tips.
From www.henryschein.co.uk
Endodontic XRay Positioner Kit Henry Schein Dental Endo X Ray Tips Basic tips for root canal xrays. Diagnostic radiographs allow identifying periapical lesions. Dental radiography allows for the identification of pathologic. Getting working length radiographs during an endodontic. Endodontics aims to prevent or eliminate apical periodontitis. Radiographs aid in making an endodontic diagnosis; Identify normal anatomic features in the maxilla and mandible on radiographs. Radiographs are the most accurate and least. Endo X Ray Tips.
From www.dentaltix.com
Kit Endo XCP posicionador verde de RX (Anillo + brazo + 3 bloques) RINN Endo X Ray Tips Radiographs aid in making an endodontic diagnosis; Diagnostic radiographs allow identifying periapical lesions. Discuss reasons for limiting the number of exposures. Describe the importance of radiographs in endodontic diagnosis, treatment, and postoperative evaluation. Identify normal anatomic features in the maxilla and mandible on radiographs. Interpreting the information from a radiograph is notoriously subjective; However, clinical tests and examination, and the. Endo X Ray Tips.
From www.ddgroup.com
QSP043 Endo Tips ET18D Endo X Ray Tips Identify normal anatomic features in the maxilla and mandible on radiographs. However, clinical tests and examination, and the patient's medical and dental history must be considered. Dental radiography allows for the identification of pathologic. Discuss reasons for limiting the number of exposures. Radiographs are the most accurate and least subjective diagnostic aids available. Diagnostic radiographs allow identifying periapical lesions. Getting. Endo X Ray Tips.
From radixendo.net
Endodontic Surgery Histology CBCT Image and Report Radix Endodontics Endo X Ray Tips Interpreting the information from a radiograph is notoriously subjective; Discuss special applications of radiography to endodontics. Whatever the purpose of the radiograph, the aim is to get consistently high quality images, with the minimum radiation dose, and nowhere is that more important than in endodontics. Dental radiography allows for the identification of pathologic. Endodontics aims to prevent or eliminate apical. Endo X Ray Tips.
From www.pinterest.com
1 set EEKS Scaler Endo Kit for ental ultrasonic piezo scaler endo tips Endo X Ray Tips Discuss reasons for limiting the number of exposures. Discuss special applications of radiography to endodontics. Diagnostic radiographs allow identifying periapical lesions. Getting working length radiographs during an endodontic. Identify normal anatomic features in the maxilla and mandible on radiographs. Radiographs aid in making an endodontic diagnosis; Interpreting the information from a radiograph is notoriously subjective; Endodontics aims to prevent or. Endo X Ray Tips.
From www.bfmulholland.com
UnoDent Scaling Tips EMS Endo Tip 3 Endodontics from BF Mulholland Ltd UK Endo X Ray Tips However, clinical tests and examination, and the patient's medical and dental history must be considered. Dental radiography allows for the identification of pathologic. Radiographs are the most accurate and least subjective diagnostic aids available. Basic tips for root canal xrays. Endodontics aims to prevent or eliminate apical periodontitis. Radiographs aid in making an endodontic diagnosis; Discuss reasons for limiting the. Endo X Ray Tips.
From ukdentistry.co.uk
Ultrasonic Endo Activator tips for Ultra X Endo X Ray Tips Whatever the purpose of the radiograph, the aim is to get consistently high quality images, with the minimum radiation dose, and nowhere is that more important than in endodontics. Getting working length radiographs during an endodontic. However, clinical tests and examination, and the patient's medical and dental history must be considered. Dental radiography allows for the identification of pathologic. Radiographs. Endo X Ray Tips.
From www.clinicacamara.com
Endodoncia ¿Qué debo saber?.Clínica Cámara.Dentista Granada y jaén. Endo X Ray Tips Describe the importance of radiographs in endodontic diagnosis, treatment, and postoperative evaluation. Radiographs aid in making an endodontic diagnosis; Identify normal anatomic features in the maxilla and mandible on radiographs. Basic tips for root canal xrays. Dental radiography allows for the identification of pathologic. Interpreting the information from a radiograph is notoriously subjective; Endodontics aims to prevent or eliminate apical. Endo X Ray Tips.
From www.briarcliffendo.com
Digital XRays Kansas City MO, Briarcliff Endodontics Endo X Ray Tips However, clinical tests and examination, and the patient's medical and dental history must be considered. Radiographs are the most accurate and least subjective diagnostic aids available. Identify normal anatomic features in the maxilla and mandible on radiographs. Basic tips for root canal xrays. Interpreting the information from a radiograph is notoriously subjective; Describe the importance of radiographs in endodontic diagnosis,. Endo X Ray Tips.
From www.quia.com
Quia Endo Xrays Endo X Ray Tips Radiographs aid in making an endodontic diagnosis; Interpreting the information from a radiograph is notoriously subjective; Describe the importance of radiographs in endodontic diagnosis, treatment, and postoperative evaluation. Basic tips for root canal xrays. Endodontics aims to prevent or eliminate apical periodontitis. Dental radiography allows for the identification of pathologic. Discuss special applications of radiography to endodontics. Identify normal anatomic. Endo X Ray Tips.
From www.ebay.co.uk
100x Dental Endo Tips Ultrasonic Scaler Endo Tip ED4 Scaling Fit DTE Endo X Ray Tips Discuss special applications of radiography to endodontics. Radiographs are the most accurate and least subjective diagnostic aids available. Identify normal anatomic features in the maxilla and mandible on radiographs. Endodontics aims to prevent or eliminate apical periodontitis. Getting working length radiographs during an endodontic. Basic tips for root canal xrays. Whatever the purpose of the radiograph, the aim is to. Endo X Ray Tips.
From www.bexleyheathdental.co.uk
Endodontics Bexleyheath Dental Practice Endo X Ray Tips Radiographs aid in making an endodontic diagnosis; However, clinical tests and examination, and the patient's medical and dental history must be considered. Whatever the purpose of the radiograph, the aim is to get consistently high quality images, with the minimum radiation dose, and nowhere is that more important than in endodontics. Dental radiography allows for the identification of pathologic. Radiographs. Endo X Ray Tips.
From www.youtube.com
Digital Endo XRay Positioner YouTube Endo X Ray Tips Basic tips for root canal xrays. Discuss special applications of radiography to endodontics. Diagnostic radiographs allow identifying periapical lesions. However, clinical tests and examination, and the patient's medical and dental history must be considered. Interpreting the information from a radiograph is notoriously subjective; Dental radiography allows for the identification of pathologic. Describe the importance of radiographs in endodontic diagnosis, treatment,. Endo X Ray Tips.
From www.aliexpress.com
3PCS Dental Endo Tips E1 E2 E3 Ultrasonic Scaler Endo Tips For EMS E1 Endo X Ray Tips However, clinical tests and examination, and the patient's medical and dental history must be considered. Endodontics aims to prevent or eliminate apical periodontitis. Whatever the purpose of the radiograph, the aim is to get consistently high quality images, with the minimum radiation dose, and nowhere is that more important than in endodontics. Discuss reasons for limiting the number of exposures.. Endo X Ray Tips.
From www.youtube.com
SnapARay DS Endo Dentsply Sirona YouTube Endo X Ray Tips Radiographs are the most accurate and least subjective diagnostic aids available. Discuss special applications of radiography to endodontics. Interpreting the information from a radiograph is notoriously subjective; Dental radiography allows for the identification of pathologic. However, clinical tests and examination, and the patient's medical and dental history must be considered. Describe the importance of radiographs in endodontic diagnosis, treatment, and. Endo X Ray Tips.
From www.southlakeendo.com
Advanced Endodontic Technology Southlake Endodontics Endo X Ray Tips Radiographs aid in making an endodontic diagnosis; Radiographs are the most accurate and least subjective diagnostic aids available. Endodontics aims to prevent or eliminate apical periodontitis. Basic tips for root canal xrays. Interpreting the information from a radiograph is notoriously subjective; However, clinical tests and examination, and the patient's medical and dental history must be considered. Whatever the purpose of. Endo X Ray Tips.
From expeditionwoman.blogspot.com
Digital Imaging In Endodontics expeditionwoman Endo X Ray Tips However, clinical tests and examination, and the patient's medical and dental history must be considered. Dental radiography allows for the identification of pathologic. Discuss special applications of radiography to endodontics. Getting working length radiographs during an endodontic. Radiographs are the most accurate and least subjective diagnostic aids available. Radiographs aid in making an endodontic diagnosis; Endodontics aims to prevent or. Endo X Ray Tips.
From radixendo.net
Endodontic Surgery Histology CBCT Image and Report Radix Endodontics Endo X Ray Tips Diagnostic radiographs allow identifying periapical lesions. Discuss special applications of radiography to endodontics. Getting working length radiographs during an endodontic. Discuss reasons for limiting the number of exposures. Whatever the purpose of the radiograph, the aim is to get consistently high quality images, with the minimum radiation dose, and nowhere is that more important than in endodontics. Identify normal anatomic. Endo X Ray Tips.
From www.quia.com
Quia Endo Xrays Endo X Ray Tips Identify normal anatomic features in the maxilla and mandible on radiographs. Getting working length radiographs during an endodontic. Basic tips for root canal xrays. Endodontics aims to prevent or eliminate apical periodontitis. Discuss reasons for limiting the number of exposures. Radiographs are the most accurate and least subjective diagnostic aids available. Discuss special applications of radiography to endodontics. Diagnostic radiographs. Endo X Ray Tips.
From www.bfmulholland.com
UnoDent Scaling Tips EMS Endo Tip 2 Endodontics from BF Mulholland Ltd UK Endo X Ray Tips Basic tips for root canal xrays. Describe the importance of radiographs in endodontic diagnosis, treatment, and postoperative evaluation. Radiographs aid in making an endodontic diagnosis; Endodontics aims to prevent or eliminate apical periodontitis. Discuss special applications of radiography to endodontics. Getting working length radiographs during an endodontic. Diagnostic radiographs allow identifying periapical lesions. Whatever the purpose of the radiograph, the. Endo X Ray Tips.