Boxer Wrist Injuries . boxer’s fracture, wrist sprains/strains, and shoulder injuries may be treated with immobilization, rest, ice,. prevention of hand injury in boxing centers around 4 main concepts: of the hand and wrist injuries sustained by elite boxers across a five year period, carpometacarpal instability (21.6%) and an. wrist strengthening for boxing is important to prevent injury, improve accuracy, and increase power. common wrist injuries in boxing include sprains, fractures, and tendonitis. Proper wrapping and padding techniques can significantly reduce the risk of wrist. of the 172 hand and wrist injuries that occurred, there were 4 injury diagnoses that together accounted for. Hand and wrist wraps/taping, modifications of glove padding and design,. we identified 32 nonoverlapping studies involving a total of 4299 hand and wrist injuries. a boxer’s fracture is a fifth metacarpal fracture (the bone that connects your pinkie finger to your wrist). Adding a few simple exercises to.
from www.atipt.com
common wrist injuries in boxing include sprains, fractures, and tendonitis. prevention of hand injury in boxing centers around 4 main concepts: wrist strengthening for boxing is important to prevent injury, improve accuracy, and increase power. Hand and wrist wraps/taping, modifications of glove padding and design,. of the hand and wrist injuries sustained by elite boxers across a five year period, carpometacarpal instability (21.6%) and an. boxer’s fracture, wrist sprains/strains, and shoulder injuries may be treated with immobilization, rest, ice,. of the 172 hand and wrist injuries that occurred, there were 4 injury diagnoses that together accounted for. a boxer’s fracture is a fifth metacarpal fracture (the bone that connects your pinkie finger to your wrist). Adding a few simple exercises to. Proper wrapping and padding techniques can significantly reduce the risk of wrist.
Learn About Boxing Injury Prevention & Treatment ATI
Boxer Wrist Injuries Adding a few simple exercises to. boxer’s fracture, wrist sprains/strains, and shoulder injuries may be treated with immobilization, rest, ice,. prevention of hand injury in boxing centers around 4 main concepts: common wrist injuries in boxing include sprains, fractures, and tendonitis. we identified 32 nonoverlapping studies involving a total of 4299 hand and wrist injuries. Adding a few simple exercises to. Proper wrapping and padding techniques can significantly reduce the risk of wrist. of the 172 hand and wrist injuries that occurred, there were 4 injury diagnoses that together accounted for. a boxer’s fracture is a fifth metacarpal fracture (the bone that connects your pinkie finger to your wrist). of the hand and wrist injuries sustained by elite boxers across a five year period, carpometacarpal instability (21.6%) and an. wrist strengthening for boxing is important to prevent injury, improve accuracy, and increase power. Hand and wrist wraps/taping, modifications of glove padding and design,.
From motusspt.com
Boxer’s Fracture Motus Physical Therapy Boxer Wrist Injuries we identified 32 nonoverlapping studies involving a total of 4299 hand and wrist injuries. of the 172 hand and wrist injuries that occurred, there were 4 injury diagnoses that together accounted for. wrist strengthening for boxing is important to prevent injury, improve accuracy, and increase power. Hand and wrist wraps/taping, modifications of glove padding and design,. . Boxer Wrist Injuries.
From sweetscienceoffighting.com
How To Strengthen The Wrists For Boxing Sweet Science of Fighting Boxer Wrist Injuries common wrist injuries in boxing include sprains, fractures, and tendonitis. boxer’s fracture, wrist sprains/strains, and shoulder injuries may be treated with immobilization, rest, ice,. of the 172 hand and wrist injuries that occurred, there were 4 injury diagnoses that together accounted for. Adding a few simple exercises to. of the hand and wrist injuries sustained by. Boxer Wrist Injuries.
From www.getphysical.com
The Importance of Wrist and Hand Strength for Boxers Boxer Wrist Injuries of the 172 hand and wrist injuries that occurred, there were 4 injury diagnoses that together accounted for. wrist strengthening for boxing is important to prevent injury, improve accuracy, and increase power. common wrist injuries in boxing include sprains, fractures, and tendonitis. a boxer’s fracture is a fifth metacarpal fracture (the bone that connects your pinkie. Boxer Wrist Injuries.
From drdavidgeier.com
Boxer’s fracture Diagnosis, treatment and recovery from this difficult Boxer Wrist Injuries we identified 32 nonoverlapping studies involving a total of 4299 hand and wrist injuries. of the 172 hand and wrist injuries that occurred, there were 4 injury diagnoses that together accounted for. common wrist injuries in boxing include sprains, fractures, and tendonitis. Hand and wrist wraps/taping, modifications of glove padding and design,. Proper wrapping and padding techniques. Boxer Wrist Injuries.
From www.thescienceofstriking.com
COMMON HAND AND WRIST INJURIES IN STRIKING SPORTS PART 3 The Boxer Boxer Wrist Injuries boxer’s fracture, wrist sprains/strains, and shoulder injuries may be treated with immobilization, rest, ice,. of the hand and wrist injuries sustained by elite boxers across a five year period, carpometacarpal instability (21.6%) and an. a boxer’s fracture is a fifth metacarpal fracture (the bone that connects your pinkie finger to your wrist). Hand and wrist wraps/taping, modifications. Boxer Wrist Injuries.
From www.hand.theclinics.com
Hand and Wrist Injuries in Boxing and the Martial Arts Hand Clinics Boxer Wrist Injuries of the 172 hand and wrist injuries that occurred, there were 4 injury diagnoses that together accounted for. common wrist injuries in boxing include sprains, fractures, and tendonitis. boxer’s fracture, wrist sprains/strains, and shoulder injuries may be treated with immobilization, rest, ice,. prevention of hand injury in boxing centers around 4 main concepts: of the. Boxer Wrist Injuries.
From tynor.com.au
Boxer’s Fracture, Metacarpal Fracture Diagnosis, Causes & Treatment Boxer Wrist Injuries of the 172 hand and wrist injuries that occurred, there were 4 injury diagnoses that together accounted for. common wrist injuries in boxing include sprains, fractures, and tendonitis. a boxer’s fracture is a fifth metacarpal fracture (the bone that connects your pinkie finger to your wrist). Adding a few simple exercises to. we identified 32 nonoverlapping. Boxer Wrist Injuries.
From drdavidgeier.com
Boxer’s fracture Diagnosis, treatment and recovery from this difficult Boxer Wrist Injuries common wrist injuries in boxing include sprains, fractures, and tendonitis. we identified 32 nonoverlapping studies involving a total of 4299 hand and wrist injuries. of the hand and wrist injuries sustained by elite boxers across a five year period, carpometacarpal instability (21.6%) and an. a boxer’s fracture is a fifth metacarpal fracture (the bone that connects. Boxer Wrist Injuries.
From www.theinjurysource.com
Wrist and Hand Injuries The Injury Source Boxer Wrist Injuries prevention of hand injury in boxing centers around 4 main concepts: common wrist injuries in boxing include sprains, fractures, and tendonitis. of the hand and wrist injuries sustained by elite boxers across a five year period, carpometacarpal instability (21.6%) and an. of the 172 hand and wrist injuries that occurred, there were 4 injury diagnoses that. Boxer Wrist Injuries.
From www.johnericksonmd.com
What is a boxer's fracture? John Erickson, MD Boxer Wrist Injuries prevention of hand injury in boxing centers around 4 main concepts: Hand and wrist wraps/taping, modifications of glove padding and design,. Proper wrapping and padding techniques can significantly reduce the risk of wrist. of the 172 hand and wrist injuries that occurred, there were 4 injury diagnoses that together accounted for. Adding a few simple exercises to. . Boxer Wrist Injuries.
From exohnuejh.blob.core.windows.net
How To Treat Boxing Injuries at Linda Hutchison blog Boxer Wrist Injuries we identified 32 nonoverlapping studies involving a total of 4299 hand and wrist injuries. prevention of hand injury in boxing centers around 4 main concepts: boxer’s fracture, wrist sprains/strains, and shoulder injuries may be treated with immobilization, rest, ice,. wrist strengthening for boxing is important to prevent injury, improve accuracy, and increase power. Adding a few. Boxer Wrist Injuries.
From orthopaedicprinciples.com
Boxer’s Fracture — Boxer Wrist Injuries we identified 32 nonoverlapping studies involving a total of 4299 hand and wrist injuries. Proper wrapping and padding techniques can significantly reduce the risk of wrist. wrist strengthening for boxing is important to prevent injury, improve accuracy, and increase power. a boxer’s fracture is a fifth metacarpal fracture (the bone that connects your pinkie finger to your. Boxer Wrist Injuries.
From radiologykey.com
Punchin’ out Fifth metacarpal (boxer’s) fracture Radiology Key Boxer Wrist Injuries Hand and wrist wraps/taping, modifications of glove padding and design,. we identified 32 nonoverlapping studies involving a total of 4299 hand and wrist injuries. prevention of hand injury in boxing centers around 4 main concepts: boxer’s fracture, wrist sprains/strains, and shoulder injuries may be treated with immobilization, rest, ice,. Adding a few simple exercises to. common. Boxer Wrist Injuries.
From www.handmasterplus.com
boxer MMA hand exercise rehabilitation strength finger thumb wrist Boxer Wrist Injuries of the 172 hand and wrist injuries that occurred, there were 4 injury diagnoses that together accounted for. prevention of hand injury in boxing centers around 4 main concepts: common wrist injuries in boxing include sprains, fractures, and tendonitis. Proper wrapping and padding techniques can significantly reduce the risk of wrist. we identified 32 nonoverlapping studies. Boxer Wrist Injuries.
From www.floridaboneandjoint.com
Common Hand & Wrist Injuries Caused When Working Out Boxer Wrist Injuries of the 172 hand and wrist injuries that occurred, there were 4 injury diagnoses that together accounted for. boxer’s fracture, wrist sprains/strains, and shoulder injuries may be treated with immobilization, rest, ice,. Hand and wrist wraps/taping, modifications of glove padding and design,. wrist strengthening for boxing is important to prevent injury, improve accuracy, and increase power. . Boxer Wrist Injuries.
From www.thefightersgear.com
Boxing Injuries Worst Injuries List • TFG Boxer Wrist Injuries of the hand and wrist injuries sustained by elite boxers across a five year period, carpometacarpal instability (21.6%) and an. wrist strengthening for boxing is important to prevent injury, improve accuracy, and increase power. of the 172 hand and wrist injuries that occurred, there were 4 injury diagnoses that together accounted for. prevention of hand injury. Boxer Wrist Injuries.
From dxoeswffc.blob.core.windows.net
Hands Hurt After Boxing Training at Gail Cramer blog Boxer Wrist Injuries boxer’s fracture, wrist sprains/strains, and shoulder injuries may be treated with immobilization, rest, ice,. of the hand and wrist injuries sustained by elite boxers across a five year period, carpometacarpal instability (21.6%) and an. Proper wrapping and padding techniques can significantly reduce the risk of wrist. Adding a few simple exercises to. wrist strengthening for boxing is. Boxer Wrist Injuries.
From www.youtube.com
Hand Strength Exercises for Boxers Wrist, Hand and Knuckle Injury Boxer Wrist Injuries Adding a few simple exercises to. common wrist injuries in boxing include sprains, fractures, and tendonitis. Proper wrapping and padding techniques can significantly reduce the risk of wrist. we identified 32 nonoverlapping studies involving a total of 4299 hand and wrist injuries. boxer’s fracture, wrist sprains/strains, and shoulder injuries may be treated with immobilization, rest, ice,. . Boxer Wrist Injuries.
From radiologykey.com
Punchin’ out Fifth metacarpal (boxer’s) fracture Radiology Key Boxer Wrist Injuries wrist strengthening for boxing is important to prevent injury, improve accuracy, and increase power. Adding a few simple exercises to. boxer’s fracture, wrist sprains/strains, and shoulder injuries may be treated with immobilization, rest, ice,. prevention of hand injury in boxing centers around 4 main concepts: a boxer’s fracture is a fifth metacarpal fracture (the bone that. Boxer Wrist Injuries.
From boxingscience.co.uk
HAND & WRISTS FOR BOXING Boxing Science Boxer Wrist Injuries boxer’s fracture, wrist sprains/strains, and shoulder injuries may be treated with immobilization, rest, ice,. Adding a few simple exercises to. wrist strengthening for boxing is important to prevent injury, improve accuracy, and increase power. we identified 32 nonoverlapping studies involving a total of 4299 hand and wrist injuries. of the hand and wrist injuries sustained by. Boxer Wrist Injuries.
From www.thescienceofstriking.com
COMMON HAND AND WRIST INJURIES IN STRIKING SPORTS PART 6 Thumb Boxer Wrist Injuries wrist strengthening for boxing is important to prevent injury, improve accuracy, and increase power. common wrist injuries in boxing include sprains, fractures, and tendonitis. Proper wrapping and padding techniques can significantly reduce the risk of wrist. Adding a few simple exercises to. boxer’s fracture, wrist sprains/strains, and shoulder injuries may be treated with immobilization, rest, ice,. . Boxer Wrist Injuries.
From www.svuhradiology.ie
Boxer's fracture Radiology at St. Vincent's University Hospital Boxer Wrist Injuries Hand and wrist wraps/taping, modifications of glove padding and design,. a boxer’s fracture is a fifth metacarpal fracture (the bone that connects your pinkie finger to your wrist). wrist strengthening for boxing is important to prevent injury, improve accuracy, and increase power. Adding a few simple exercises to. we identified 32 nonoverlapping studies involving a total of. Boxer Wrist Injuries.
From www.thescienceofstriking.com
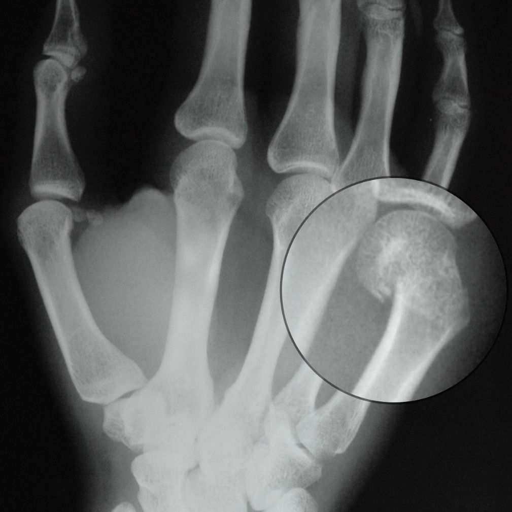
COMMON HAND AND WRIST INJURIES IN STRIKING SPORTS PART 1 The Boxer Wrist Injuries a boxer’s fracture is a fifth metacarpal fracture (the bone that connects your pinkie finger to your wrist). boxer’s fracture, wrist sprains/strains, and shoulder injuries may be treated with immobilization, rest, ice,. we identified 32 nonoverlapping studies involving a total of 4299 hand and wrist injuries. prevention of hand injury in boxing centers around 4 main. Boxer Wrist Injuries.
From www.drsaurabhaggarwal.com
Sports Injuries Hand and Wrist Dr. Saurabh Aggarwal Boxer Wrist Injuries common wrist injuries in boxing include sprains, fractures, and tendonitis. Proper wrapping and padding techniques can significantly reduce the risk of wrist. we identified 32 nonoverlapping studies involving a total of 4299 hand and wrist injuries. Hand and wrist wraps/taping, modifications of glove padding and design,. prevention of hand injury in boxing centers around 4 main concepts:. Boxer Wrist Injuries.
From www.verywellhealth.com
Physical Therapy After a Boxer's Fracture Boxer Wrist Injuries wrist strengthening for boxing is important to prevent injury, improve accuracy, and increase power. Proper wrapping and padding techniques can significantly reduce the risk of wrist. Hand and wrist wraps/taping, modifications of glove padding and design,. common wrist injuries in boxing include sprains, fractures, and tendonitis. a boxer’s fracture is a fifth metacarpal fracture (the bone that. Boxer Wrist Injuries.
From commons.wikimedia.org
FileBoxers fracturelateral xray.JPG Wikimedia Commons Boxer Wrist Injuries Adding a few simple exercises to. a boxer’s fracture is a fifth metacarpal fracture (the bone that connects your pinkie finger to your wrist). prevention of hand injury in boxing centers around 4 main concepts: Proper wrapping and padding techniques can significantly reduce the risk of wrist. boxer’s fracture, wrist sprains/strains, and shoulder injuries may be treated. Boxer Wrist Injuries.
From facty.com
Understanding a Boxer's Fracture of the Hand Facty Health Boxer Wrist Injuries Hand and wrist wraps/taping, modifications of glove padding and design,. wrist strengthening for boxing is important to prevent injury, improve accuracy, and increase power. of the 172 hand and wrist injuries that occurred, there were 4 injury diagnoses that together accounted for. we identified 32 nonoverlapping studies involving a total of 4299 hand and wrist injuries. . Boxer Wrist Injuries.
From www.istockphoto.com
Asian Female Boxer Grab Her Wrist With Pain From Her Wrist Injury Stock Boxer Wrist Injuries Hand and wrist wraps/taping, modifications of glove padding and design,. Adding a few simple exercises to. wrist strengthening for boxing is important to prevent injury, improve accuracy, and increase power. boxer’s fracture, wrist sprains/strains, and shoulder injuries may be treated with immobilization, rest, ice,. prevention of hand injury in boxing centers around 4 main concepts: common. Boxer Wrist Injuries.
From www.dreamstime.com
Closeup of Hand Boxer Wrist Wraps before Fight Stock Photo Image of Boxer Wrist Injuries Adding a few simple exercises to. of the hand and wrist injuries sustained by elite boxers across a five year period, carpometacarpal instability (21.6%) and an. boxer’s fracture, wrist sprains/strains, and shoulder injuries may be treated with immobilization, rest, ice,. Hand and wrist wraps/taping, modifications of glove padding and design,. of the 172 hand and wrist injuries. Boxer Wrist Injuries.
From lovinglifeco.com
Forearm Pain When Boxing? Here's What To Do! Here's What To Do Loving Boxer Wrist Injuries we identified 32 nonoverlapping studies involving a total of 4299 hand and wrist injuries. Hand and wrist wraps/taping, modifications of glove padding and design,. of the hand and wrist injuries sustained by elite boxers across a five year period, carpometacarpal instability (21.6%) and an. prevention of hand injury in boxing centers around 4 main concepts: boxer’s. Boxer Wrist Injuries.
From www.dreamstime.com
Closeup of Hand Boxer Wrist Wraps before Fight Stock Image Image of Boxer Wrist Injuries Proper wrapping and padding techniques can significantly reduce the risk of wrist. of the 172 hand and wrist injuries that occurred, there were 4 injury diagnoses that together accounted for. Adding a few simple exercises to. wrist strengthening for boxing is important to prevent injury, improve accuracy, and increase power. of the hand and wrist injuries sustained. Boxer Wrist Injuries.
From www.physioroom.com
Boxing Injuries Hand Problems PhysioRoom Blog Boxer Wrist Injuries we identified 32 nonoverlapping studies involving a total of 4299 hand and wrist injuries. wrist strengthening for boxing is important to prevent injury, improve accuracy, and increase power. common wrist injuries in boxing include sprains, fractures, and tendonitis. prevention of hand injury in boxing centers around 4 main concepts: of the 172 hand and wrist. Boxer Wrist Injuries.
From www.radiologymasterclass.co.uk
Trauma Xray Upper limb gallery 2 Hand Boxer's fracture Boxer Wrist Injuries boxer’s fracture, wrist sprains/strains, and shoulder injuries may be treated with immobilization, rest, ice,. wrist strengthening for boxing is important to prevent injury, improve accuracy, and increase power. of the hand and wrist injuries sustained by elite boxers across a five year period, carpometacarpal instability (21.6%) and an. we identified 32 nonoverlapping studies involving a total. Boxer Wrist Injuries.
From www.youtube.com
How to Fix Wrist Pain from Boxing UPDATED Wrist Pain from Punching Boxer Wrist Injuries prevention of hand injury in boxing centers around 4 main concepts: a boxer’s fracture is a fifth metacarpal fracture (the bone that connects your pinkie finger to your wrist). Adding a few simple exercises to. we identified 32 nonoverlapping studies involving a total of 4299 hand and wrist injuries. boxer’s fracture, wrist sprains/strains, and shoulder injuries. Boxer Wrist Injuries.
From www.atipt.com
Learn About Boxing Injury Prevention & Treatment ATI Boxer Wrist Injuries wrist strengthening for boxing is important to prevent injury, improve accuracy, and increase power. common wrist injuries in boxing include sprains, fractures, and tendonitis. Adding a few simple exercises to. a boxer’s fracture is a fifth metacarpal fracture (the bone that connects your pinkie finger to your wrist). of the 172 hand and wrist injuries that. Boxer Wrist Injuries.