Practice Tees . 6pcs rubber golf tee, t shape golf practice tees driving range and outdoor training, mixed size 2’’ 2.5’’ 3’’ for practice mat 1 turn and lock tees. With a variety of options. From hitting mats to putting alignment gates, we. Looking to improve your golf game? Are you looking to take your batting practice to the next level? Check out our collection of golf practice tee products! Choose the quantity that is right for you. Look no further than our collection of practice tee products!
from www.toomanyshirts.com
Looking to improve your golf game? Choose the quantity that is right for you. Are you looking to take your batting practice to the next level? 6pcs rubber golf tee, t shape golf practice tees driving range and outdoor training, mixed size 2’’ 2.5’’ 3’’ for practice mat 1 turn and lock tees. Look no further than our collection of practice tee products! Check out our collection of golf practice tee products! With a variety of options. From hitting mats to putting alignment gates, we.
Dry Fit Practice Tee
Practice Tees 1 turn and lock tees. Check out our collection of golf practice tee products! Look no further than our collection of practice tee products! Are you looking to take your batting practice to the next level? Choose the quantity that is right for you. From hitting mats to putting alignment gates, we. 1 turn and lock tees. With a variety of options. 6pcs rubber golf tee, t shape golf practice tees driving range and outdoor training, mixed size 2’’ 2.5’’ 3’’ for practice mat Looking to improve your golf game?
From www.toomanyshirts.com
Cotton Practice Tee Practice Tees Choose the quantity that is right for you. Look no further than our collection of practice tee products! 1 turn and lock tees. Looking to improve your golf game? Check out our collection of golf practice tee products! Are you looking to take your batting practice to the next level? From hitting mats to putting alignment gates, we. With a. Practice Tees.
From www.houstonstellar.com
Navy Practice Tees Practice Tees With a variety of options. 1 turn and lock tees. Are you looking to take your batting practice to the next level? Look no further than our collection of practice tee products! Looking to improve your golf game? From hitting mats to putting alignment gates, we. Check out our collection of golf practice tee products! Choose the quantity that is. Practice Tees.
From www.shinzo.paris
Nike DriFIT NBA Boston Celtics Practice Tee Practice Tees From hitting mats to putting alignment gates, we. Choose the quantity that is right for you. 6pcs rubber golf tee, t shape golf practice tees driving range and outdoor training, mixed size 2’’ 2.5’’ 3’’ for practice mat Are you looking to take your batting practice to the next level? Looking to improve your golf game? Look no further than. Practice Tees.
From www.phillytees.com
PRACTICE?! Tee Philly Tees Practice Tees 1 turn and lock tees. Are you looking to take your batting practice to the next level? Look no further than our collection of practice tee products! 6pcs rubber golf tee, t shape golf practice tees driving range and outdoor training, mixed size 2’’ 2.5’’ 3’’ for practice mat With a variety of options. Looking to improve your golf game?. Practice Tees.
From www.uniformsolutionsplus.com
MVA Practice Tees 2022 UNIFORM SOLUTIONS PLUS Practice Tees Looking to improve your golf game? Are you looking to take your batting practice to the next level? Look no further than our collection of practice tee products! Choose the quantity that is right for you. With a variety of options. 1 turn and lock tees. 6pcs rubber golf tee, t shape golf practice tees driving range and outdoor training,. Practice Tees.
From teedep.com
I Cant My Kid Has Practice TShirtTD Teedep Practice Tees Looking to improve your golf game? Look no further than our collection of practice tee products! Are you looking to take your batting practice to the next level? 6pcs rubber golf tee, t shape golf practice tees driving range and outdoor training, mixed size 2’’ 2.5’’ 3’’ for practice mat With a variety of options. Check out our collection of. Practice Tees.
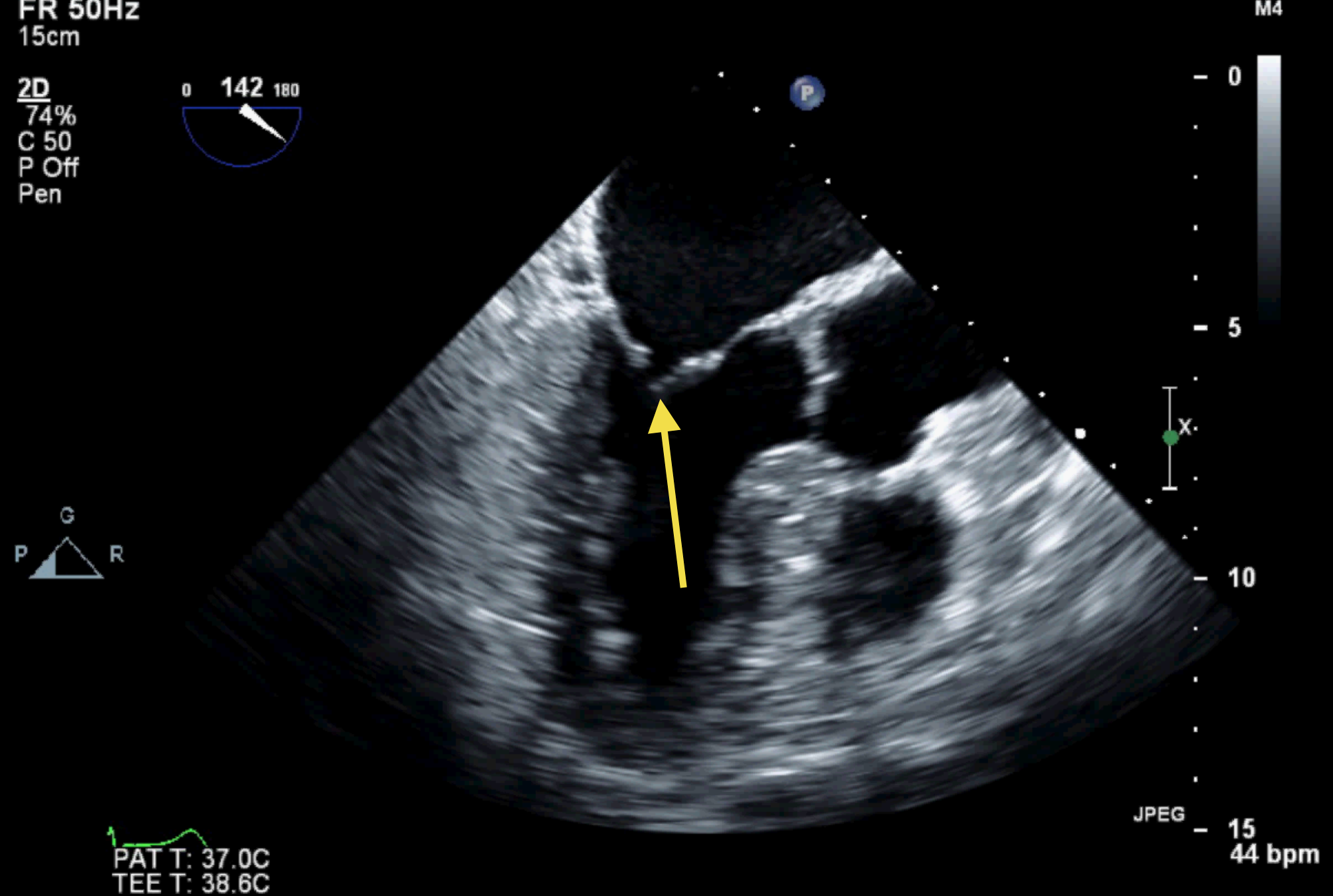
From www.teachingmedicine.com
Practice TEE Normal Anatomy Practice Tees Look no further than our collection of practice tee products! 6pcs rubber golf tee, t shape golf practice tees driving range and outdoor training, mixed size 2’’ 2.5’’ 3’’ for practice mat Looking to improve your golf game? From hitting mats to putting alignment gates, we. With a variety of options. Check out our collection of golf practice tee products!. Practice Tees.
From www.cheerables.com
fac 29ry Blue Practice tee Practice Tees Are you looking to take your batting practice to the next level? 1 turn and lock tees. From hitting mats to putting alignment gates, we. 6pcs rubber golf tee, t shape golf practice tees driving range and outdoor training, mixed size 2’’ 2.5’’ 3’’ for practice mat Check out our collection of golf practice tee products! Choose the quantity that. Practice Tees.
From www.uniformsolutionsplus.com
MVA Practice Tees 2022 UNIFORM SOLUTIONS PLUS Practice Tees Look no further than our collection of practice tee products! Choose the quantity that is right for you. From hitting mats to putting alignment gates, we. Are you looking to take your batting practice to the next level? 6pcs rubber golf tee, t shape golf practice tees driving range and outdoor training, mixed size 2’’ 2.5’’ 3’’ for practice mat. Practice Tees.
From missioncelebrate.com
Oak Grove Bands PRACTICE TEES (for ordering extras or individually) Mission Celebrate Practice Tees Looking to improve your golf game? Choose the quantity that is right for you. Check out our collection of golf practice tee products! Are you looking to take your batting practice to the next level? 1 turn and lock tees. 6pcs rubber golf tee, t shape golf practice tees driving range and outdoor training, mixed size 2’’ 2.5’’ 3’’ for. Practice Tees.
From www.toomanyshirts.com
Dry Fit Practice Tee Practice Tees 1 turn and lock tees. 6pcs rubber golf tee, t shape golf practice tees driving range and outdoor training, mixed size 2’’ 2.5’’ 3’’ for practice mat Check out our collection of golf practice tee products! With a variety of options. Looking to improve your golf game? Look no further than our collection of practice tee products! From hitting mats. Practice Tees.
From www.walmart.com
3 Pack Rubber Golf Tees for Practice & Driving Range Mats Available in Five Sizes Walmart Practice Tees Are you looking to take your batting practice to the next level? 6pcs rubber golf tee, t shape golf practice tees driving range and outdoor training, mixed size 2’’ 2.5’’ 3’’ for practice mat Check out our collection of golf practice tee products! 1 turn and lock tees. Choose the quantity that is right for you. From hitting mats to. Practice Tees.
From www.toomanyshirts.com
Cotton Practice Tee Practice Tees Look no further than our collection of practice tee products! Are you looking to take your batting practice to the next level? Looking to improve your golf game? Check out our collection of golf practice tee products! 6pcs rubber golf tee, t shape golf practice tees driving range and outdoor training, mixed size 2’’ 2.5’’ 3’’ for practice mat 1. Practice Tees.
From www.uniformsolutionsplus.com
MVA Practice Tees 2022 UNIFORM SOLUTIONS PLUS Practice Tees Look no further than our collection of practice tee products! Looking to improve your golf game? 6pcs rubber golf tee, t shape golf practice tees driving range and outdoor training, mixed size 2’’ 2.5’’ 3’’ for practice mat Choose the quantity that is right for you. With a variety of options. Are you looking to take your batting practice to. Practice Tees.
From www.teachingmedicine.com
Practice TEE Basic Views Practice Tees Looking to improve your golf game? Choose the quantity that is right for you. From hitting mats to putting alignment gates, we. Are you looking to take your batting practice to the next level? Look no further than our collection of practice tee products! Check out our collection of golf practice tee products! 1 turn and lock tees. 6pcs rubber. Practice Tees.
From www.aliexpress.com
500PCS Golf Plastic Tees 5 Prong Durable Golf Practice Tees 54mm/70mm/83mm Mixed Color Golf Practice Tees Are you looking to take your batting practice to the next level? 1 turn and lock tees. Look no further than our collection of practice tee products! Check out our collection of golf practice tee products! With a variety of options. Choose the quantity that is right for you. From hitting mats to putting alignment gates, we. 6pcs rubber golf. Practice Tees.
From www.usga.org
Infographic Divot Patterns At The Practice Tee Practice Tees 6pcs rubber golf tee, t shape golf practice tees driving range and outdoor training, mixed size 2’’ 2.5’’ 3’’ for practice mat Are you looking to take your batting practice to the next level? 1 turn and lock tees. With a variety of options. From hitting mats to putting alignment gates, we. Check out our collection of golf practice tee. Practice Tees.
From www.tee4life.org
Golf Practice Tee Stay at Home Set Training Tees Tee 4 Life Practice Tees Look no further than our collection of practice tee products! 1 turn and lock tees. With a variety of options. From hitting mats to putting alignment gates, we. 6pcs rubber golf tee, t shape golf practice tees driving range and outdoor training, mixed size 2’’ 2.5’’ 3’’ for practice mat Choose the quantity that is right for you. Are you. Practice Tees.
From www.scottedward.com
Scott Edward Golf Practice Tees, 6 Pieces Packed, Yellow Rubber Tee, Indoor and Outdoor,for Practice Tees Check out our collection of golf practice tee products! 1 turn and lock tees. Are you looking to take your batting practice to the next level? From hitting mats to putting alignment gates, we. Choose the quantity that is right for you. Look no further than our collection of practice tee products! Looking to improve your golf game? With a. Practice Tees.
From www.amazon.ca
Rukket Baseball/Softball Batting Tee Pro Portable & Heavy Duty Practice Tees for Indoor Practice Tees Check out our collection of golf practice tee products! With a variety of options. Looking to improve your golf game? 1 turn and lock tees. Are you looking to take your batting practice to the next level? From hitting mats to putting alignment gates, we. Choose the quantity that is right for you. Look no further than our collection of. Practice Tees.
From www.mstech.eu
MrTEEmothy® Professional TEE Simulator — Medical Simulation Technologies Practice Tees Are you looking to take your batting practice to the next level? 6pcs rubber golf tee, t shape golf practice tees driving range and outdoor training, mixed size 2’’ 2.5’’ 3’’ for practice mat From hitting mats to putting alignment gates, we. With a variety of options. Check out our collection of golf practice tee products! Look no further than. Practice Tees.
From www.tee4life.org
Practice Pack Tee 4 Life Practice Tees 1 turn and lock tees. From hitting mats to putting alignment gates, we. With a variety of options. Choose the quantity that is right for you. Are you looking to take your batting practice to the next level? 6pcs rubber golf tee, t shape golf practice tees driving range and outdoor training, mixed size 2’’ 2.5’’ 3’’ for practice mat. Practice Tees.
From www.toomanyshirts.com
Triblend Practice Tee Practice Tees From hitting mats to putting alignment gates, we. 1 turn and lock tees. With a variety of options. Look no further than our collection of practice tee products! Choose the quantity that is right for you. Check out our collection of golf practice tee products! Looking to improve your golf game? Are you looking to take your batting practice to. Practice Tees.
From mtsa.edu
Transesophageal Echocardiography (TEE) now offered MTSA Practice Tees Look no further than our collection of practice tee products! Are you looking to take your batting practice to the next level? Check out our collection of golf practice tee products! From hitting mats to putting alignment gates, we. Looking to improve your golf game? With a variety of options. 6pcs rubber golf tee, t shape golf practice tees driving. Practice Tees.
From tohs.joddio.com
TOHS Girl's Soccer Practice Tee Practice Tees With a variety of options. Look no further than our collection of practice tee products! 1 turn and lock tees. Choose the quantity that is right for you. Are you looking to take your batting practice to the next level? From hitting mats to putting alignment gates, we. 6pcs rubber golf tee, t shape golf practice tees driving range and. Practice Tees.
From www.huxleygolf.com
Golf Practice Tees for Commercial Use AllWeather Huxley Golf Surfaces Practice Tees 6pcs rubber golf tee, t shape golf practice tees driving range and outdoor training, mixed size 2’’ 2.5’’ 3’’ for practice mat Looking to improve your golf game? Are you looking to take your batting practice to the next level? Choose the quantity that is right for you. From hitting mats to putting alignment gates, we. Check out our collection. Practice Tees.
From www.dreamstime.com
Practice Tee editorial image. Image of nedbank, golfer 17748610 Practice Tees 1 turn and lock tees. Choose the quantity that is right for you. Check out our collection of golf practice tee products! 6pcs rubber golf tee, t shape golf practice tees driving range and outdoor training, mixed size 2’’ 2.5’’ 3’’ for practice mat Are you looking to take your batting practice to the next level? Looking to improve your. Practice Tees.
From www.scottedward.com
Scott Edward Golf Practice Tees, 3 Pieces Packed, Yellow Rubber Tee, Indoor and Outdoor,for Practice Tees Look no further than our collection of practice tee products! 1 turn and lock tees. Looking to improve your golf game? 6pcs rubber golf tee, t shape golf practice tees driving range and outdoor training, mixed size 2’’ 2.5’’ 3’’ for practice mat From hitting mats to putting alignment gates, we. Check out our collection of golf practice tee products!. Practice Tees.
From www.graphicthreads.design
VB Dri Fit Practice Tee Graphic Threads Practice Tees Choose the quantity that is right for you. Looking to improve your golf game? Are you looking to take your batting practice to the next level? 1 turn and lock tees. With a variety of options. 6pcs rubber golf tee, t shape golf practice tees driving range and outdoor training, mixed size 2’’ 2.5’’ 3’’ for practice mat Check out. Practice Tees.
From www.decathlon.de
Golf Practice Tees 12/40 mm Inesis INESIS DECATHLON Practice Tees 6pcs rubber golf tee, t shape golf practice tees driving range and outdoor training, mixed size 2’’ 2.5’’ 3’’ for practice mat Check out our collection of golf practice tee products! Looking to improve your golf game? 1 turn and lock tees. Look no further than our collection of practice tee products! From hitting mats to putting alignment gates, we.. Practice Tees.
From www.stormbowling.com
LADIES PRACTICE TEE Practice Tees From hitting mats to putting alignment gates, we. 6pcs rubber golf tee, t shape golf practice tees driving range and outdoor training, mixed size 2’’ 2.5’’ 3’’ for practice mat Choose the quantity that is right for you. Check out our collection of golf practice tee products! Look no further than our collection of practice tee products! Looking to improve. Practice Tees.
From www.uniformsolutionsplus.com
MVA Practice Tees 2022 UNIFORM SOLUTIONS PLUS Practice Tees With a variety of options. Check out our collection of golf practice tee products! 6pcs rubber golf tee, t shape golf practice tees driving range and outdoor training, mixed size 2’’ 2.5’’ 3’’ for practice mat Are you looking to take your batting practice to the next level? Choose the quantity that is right for you. Looking to improve your. Practice Tees.
From www.stormbowling.com
LADIES PRACTICE TEE Practice Tees Look no further than our collection of practice tee products! 1 turn and lock tees. 6pcs rubber golf tee, t shape golf practice tees driving range and outdoor training, mixed size 2’’ 2.5’’ 3’’ for practice mat Choose the quantity that is right for you. Are you looking to take your batting practice to the next level? With a variety. Practice Tees.
From www.tewv.nhs.uk
Secure inpatient service model of care and professional practice Tees Esk and Wear Valley NHS Practice Tees 1 turn and lock tees. 6pcs rubber golf tee, t shape golf practice tees driving range and outdoor training, mixed size 2’’ 2.5’’ 3’’ for practice mat Choose the quantity that is right for you. Looking to improve your golf game? With a variety of options. Check out our collection of golf practice tee products! Are you looking to take. Practice Tees.
From www.aliexpress.com
2019 Hot sale 4 IN 1 Golf Practice Rubber Tees Winter Tee Set 33mm Golf Training Aids 4 mixed Practice Tees Choose the quantity that is right for you. From hitting mats to putting alignment gates, we. 1 turn and lock tees. Check out our collection of golf practice tee products! 6pcs rubber golf tee, t shape golf practice tees driving range and outdoor training, mixed size 2’’ 2.5’’ 3’’ for practice mat Are you looking to take your batting practice. Practice Tees.