Floating Kneecap Cat . Patients with persistent lameness attributable to patellar luxation should be considered candidates for surgical therapy. The patella bone itself is small and triangular in shape. All about luxating patella (slipping kneecap) in cats: Patellar luxation is marked by four grades with grade 4 indicating the most severe condition of a dislocated kneecap. A luxating patella will cause the feline to display an. Patellar luxation is a condition in which the patella (the ‘knee cap’) dislocates or moves out of its normal location. At the end of the femur bone is the trochlear groove, which in normal anatomy, cradles the patellar bone (kneecap). The exact techniques required vary from patient to patient. The luxation is usually medial (to. In the veterinary world, kneecap dislocation in cats is termed “feline luxating patella”. Surgical treatment of patellar luxation is typically a multistep process. Symptoms, causes, breeds of cat susceptible to the disorder, and cures. It causes varying degrees of pain and immobility. If the patella is already located outside of or moves outside of the trochlear groove, a luxating patella has occurred. Luxating patella can occur as a result of trauma or aging, and it can lead to arthritis if untreated.
from www.reddit.com
A luxating patella in your cat can be the result of. The patella bone itself is small and triangular in shape. Luxating patella can occur as a result of trauma or aging, and it can lead to arthritis if untreated. Patellar luxation is a condition in which the patella (the ‘knee cap’) dislocates or moves out of its normal location. The exact techniques required vary from patient to patient. A luxating patella will cause the feline to display an. If the patella is already located outside of or moves outside of the trochlear groove, a luxating patella has occurred. The luxation is usually medial (to. Symptoms, causes, breeds of cat susceptible to the disorder, and cures. At the end of the femur bone is the trochlear groove, which in normal anatomy, cradles the patellar bone (kneecap).
This arsehole bit my mother's kneecap for no reason. r/cats
Floating Kneecap Cat All about luxating patella (slipping kneecap) in cats: The exact techniques required vary from patient to patient. A luxating patella in your cat can be the result of. The luxation is usually medial (to. All about luxating patella (slipping kneecap) in cats: The patella bone itself is small and triangular in shape. A luxating patella will cause the feline to display an. It causes varying degrees of pain and immobility. In the veterinary world, kneecap dislocation in cats is termed “feline luxating patella”. Luxating patella can occur as a result of trauma or aging, and it can lead to arthritis if untreated. Surgical treatment of patellar luxation is typically a multistep process. Patellar luxation is marked by four grades with grade 4 indicating the most severe condition of a dislocated kneecap. Patellar luxation can cause clinically significant hindlimb lameness in cats. Patellar luxation is a condition in which the patella (the ‘knee cap’) dislocates or moves out of its normal location. Symptoms, causes, breeds of cat susceptible to the disorder, and cures. If the patella is already located outside of or moves outside of the trochlear groove, a luxating patella has occurred.
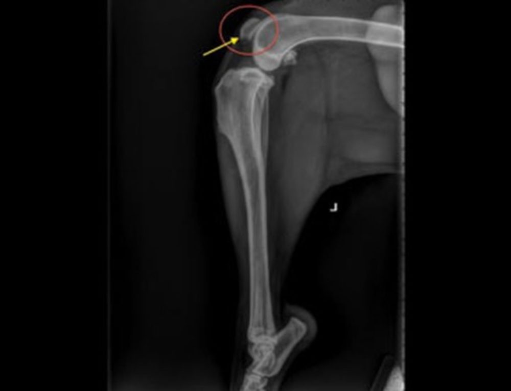
From www.turbosquid.com
Domestic Cat Patella Kneecap Bone 01 3D model TurboSquid 1872995 Floating Kneecap Cat At the end of the femur bone is the trochlear groove, which in normal anatomy, cradles the patellar bone (kneecap). Patellar luxation is marked by four grades with grade 4 indicating the most severe condition of a dislocated kneecap. Patients with persistent lameness attributable to patellar luxation should be considered candidates for surgical therapy. The patella bone itself is small. Floating Kneecap Cat.
From www.turbosquid.com
Domestic Cat Patella Kneecap Bone 01 3D model TurboSquid 1872995 Floating Kneecap Cat In the veterinary world, kneecap dislocation in cats is termed “feline luxating patella”. Patellar luxation can cause clinically significant hindlimb lameness in cats. If the patella is already located outside of or moves outside of the trochlear groove, a luxating patella has occurred. Surgical treatment of patellar luxation is typically a multistep process. At the end of the femur bone. Floating Kneecap Cat.
From www.pinterest.com
Tuxx ready to float!! Our Life, Float, Cats, Ready, Sports, Hs Sports Floating Kneecap Cat It causes varying degrees of pain and immobility. Patellar luxation is a condition in which the patella (the ‘knee cap’) dislocates or moves out of its normal location. Surgical treatment of patellar luxation is typically a multistep process. The luxation is usually medial (to. Luxating patella, the technical term for a kneecap popping out of place, creates instability in a. Floating Kneecap Cat.
From www.youtube.com
Luxating Patella in cats dislocated kneecap in cats. Cat limping Floating Kneecap Cat Patients with persistent lameness attributable to patellar luxation should be considered candidates for surgical therapy. The luxation is usually medial (to. All about luxating patella (slipping kneecap) in cats: At the end of the femur bone is the trochlear groove, which in normal anatomy, cradles the patellar bone (kneecap). The patella bone itself is small and triangular in shape. Surgical. Floating Kneecap Cat.
From www.expertcatcare.com
Arthritis in Cats The Complete Guide to Caring for Your Cat Floating Kneecap Cat Symptoms, causes, breeds of cat susceptible to the disorder, and cures. At the end of the femur bone is the trochlear groove, which in normal anatomy, cradles the patellar bone (kneecap). Surgical treatment of patellar luxation is typically a multistep process. The luxation is usually medial (to. If the patella is already located outside of or moves outside of the. Floating Kneecap Cat.
From www.turbosquid.com
Domestic Cat Patella Kneecap Bone 01 3D Model TurboSquid 1872995 Floating Kneecap Cat At the end of the femur bone is the trochlear groove, which in normal anatomy, cradles the patellar bone (kneecap). In the veterinary world, kneecap dislocation in cats is termed “feline luxating patella”. It causes varying degrees of pain and immobility. The luxation is usually medial (to. Luxating patella can occur as a result of trauma or aging, and it. Floating Kneecap Cat.
From www.thesprucepets.com
How to Treat Luxating Patella in Cats Floating Kneecap Cat It causes varying degrees of pain and immobility. The patella bone itself is small and triangular in shape. At the end of the femur bone is the trochlear groove, which in normal anatomy, cradles the patellar bone (kneecap). Luxating patella, the technical term for a kneecap popping out of place, creates instability in a cat's hind leg by reducing the. Floating Kneecap Cat.
From www.petmd.com
Kneecap Dislocation in Cats PetMD Floating Kneecap Cat If the patella is already located outside of or moves outside of the trochlear groove, a luxating patella has occurred. A luxating patella will cause the feline to display an. All about luxating patella (slipping kneecap) in cats: Luxating patella can occur as a result of trauma or aging, and it can lead to arthritis if untreated. The exact techniques. Floating Kneecap Cat.
From www.pethealthnetwork.com
Could My Cat Have a Deranged Knee? Floating Kneecap Cat Luxating patella, the technical term for a kneecap popping out of place, creates instability in a cat's hind leg by reducing the functionality of the knee joint. A luxating patella in your cat can be the result of. Patellar luxation is a condition in which the patella (the ‘knee cap’) dislocates or moves out of its normal location. Patients with. Floating Kneecap Cat.
From www.vetlessons.com
FELINE LAMENESS — VETLESSONS Floating Kneecap Cat A luxating patella in your cat can be the result of. Patellar luxation is marked by four grades with grade 4 indicating the most severe condition of a dislocated kneecap. Luxating patella, the technical term for a kneecap popping out of place, creates instability in a cat's hind leg by reducing the functionality of the knee joint. Symptoms, causes, breeds. Floating Kneecap Cat.
From cat-world.com
Do Cats Have Knees and Elbows? CatWorld Floating Kneecap Cat The luxation is usually medial (to. Symptoms, causes, breeds of cat susceptible to the disorder, and cures. The patella bone itself is small and triangular in shape. The exact techniques required vary from patient to patient. Surgical treatment of patellar luxation is typically a multistep process. Patients with persistent lameness attributable to patellar luxation should be considered candidates for surgical. Floating Kneecap Cat.
From www.turbosquid.com
Domestic Cat Patella Kneecap Bone 01 3D Model TurboSquid 1872995 Floating Kneecap Cat Surgical treatment of patellar luxation is typically a multistep process. If the patella is already located outside of or moves outside of the trochlear groove, a luxating patella has occurred. Patellar luxation can cause clinically significant hindlimb lameness in cats. Patellar luxation is a condition in which the patella (the ‘knee cap’) dislocates or moves out of its normal location.. Floating Kneecap Cat.
From www.turbosquid.com
Domestic Cat Patella Kneecap Bone 01 3D model TurboSquid 1872995 Floating Kneecap Cat Symptoms, causes, breeds of cat susceptible to the disorder, and cures. Luxating patella, the technical term for a kneecap popping out of place, creates instability in a cat's hind leg by reducing the functionality of the knee joint. A luxating patella in your cat can be the result of. The exact techniques required vary from patient to patient. The luxation. Floating Kneecap Cat.
From www.turbosquid.com
Domestic Cat Patella Kneecap Bone 01 3D Model TurboSquid 1872995 Floating Kneecap Cat Luxating patella, the technical term for a kneecap popping out of place, creates instability in a cat's hind leg by reducing the functionality of the knee joint. At the end of the femur bone is the trochlear groove, which in normal anatomy, cradles the patellar bone (kneecap). Symptoms, causes, breeds of cat susceptible to the disorder, and cures. A luxating. Floating Kneecap Cat.
From cat-world.com
Patellar Luxation in Cats CatWorld Floating Kneecap Cat Patients with persistent lameness attributable to patellar luxation should be considered candidates for surgical therapy. All about luxating patella (slipping kneecap) in cats: If the patella is already located outside of or moves outside of the trochlear groove, a luxating patella has occurred. The patella bone itself is small and triangular in shape. Patellar luxation is marked by four grades. Floating Kneecap Cat.
From www.turbosquid.com
Domestic Cat Patella Kneecap Bone 01 3D Model TurboSquid 1872995 Floating Kneecap Cat The exact techniques required vary from patient to patient. A luxating patella will cause the feline to display an. Symptoms, causes, breeds of cat susceptible to the disorder, and cures. If the patella is already located outside of or moves outside of the trochlear groove, a luxating patella has occurred. Patellar luxation is a condition in which the patella (the. Floating Kneecap Cat.
From cat-world.com
Do Cats Have Knees and Elbows? CatWorld Floating Kneecap Cat Symptoms, causes, breeds of cat susceptible to the disorder, and cures. Patients with persistent lameness attributable to patellar luxation should be considered candidates for surgical therapy. At the end of the femur bone is the trochlear groove, which in normal anatomy, cradles the patellar bone (kneecap). Patellar luxation is a condition in which the patella (the ‘knee cap’) dislocates or. Floating Kneecap Cat.
From www.youtube.com
무릎냥 김점프를 소개합니다! (Introducing Knee Cat) YouTube Floating Kneecap Cat Luxating patella can occur as a result of trauma or aging, and it can lead to arthritis if untreated. Surgical treatment of patellar luxation is typically a multistep process. All about luxating patella (slipping kneecap) in cats: Patellar luxation is marked by four grades with grade 4 indicating the most severe condition of a dislocated kneecap. The exact techniques required. Floating Kneecap Cat.
From petaz.org
Luxating Patella in Cats Causes, Symptoms, Diagnosis, and Treatment Floating Kneecap Cat The patella bone itself is small and triangular in shape. Patellar luxation is a condition in which the patella (the ‘knee cap’) dislocates or moves out of its normal location. Symptoms, causes, breeds of cat susceptible to the disorder, and cures. Patellar luxation can cause clinically significant hindlimb lameness in cats. Patellar luxation is marked by four grades with grade. Floating Kneecap Cat.
From modernvet.com
LUXATING PATELLA OR DISLOCATED KNEECAP IN CATS Modern Vet Floating Kneecap Cat Patients with persistent lameness attributable to patellar luxation should be considered candidates for surgical therapy. Symptoms, causes, breeds of cat susceptible to the disorder, and cures. Luxating patella can occur as a result of trauma or aging, and it can lead to arthritis if untreated. The exact techniques required vary from patient to patient. A luxating patella in your cat. Floating Kneecap Cat.
From www.meowlovers.com
Important Facts About Kneecap Dislocation In Cats That You Need To Know Floating Kneecap Cat A luxating patella in your cat can be the result of. The luxation is usually medial (to. Patellar luxation is marked by four grades with grade 4 indicating the most severe condition of a dislocated kneecap. Surgical treatment of patellar luxation is typically a multistep process. Patellar luxation is a condition in which the patella (the ‘knee cap’) dislocates or. Floating Kneecap Cat.
From james-mccormack.com
Floating Knee What Is Floating Knee? Floating Kneecap Cat Luxating patella, the technical term for a kneecap popping out of place, creates instability in a cat's hind leg by reducing the functionality of the knee joint. If the patella is already located outside of or moves outside of the trochlear groove, a luxating patella has occurred. The patella bone itself is small and triangular in shape. Symptoms, causes, breeds. Floating Kneecap Cat.
From www.reddit.com
This arsehole bit my mother's kneecap for no reason. r/cats Floating Kneecap Cat The patella bone itself is small and triangular in shape. Symptoms, causes, breeds of cat susceptible to the disorder, and cures. Luxating patella, the technical term for a kneecap popping out of place, creates instability in a cat's hind leg by reducing the functionality of the knee joint. In the veterinary world, kneecap dislocation in cats is termed “feline luxating. Floating Kneecap Cat.
From todaysveterinarynurse.com
Luxating Patellas Pathology and Treatment Options Today's Veterinary Floating Kneecap Cat Symptoms, causes, breeds of cat susceptible to the disorder, and cures. Patellar luxation can cause clinically significant hindlimb lameness in cats. At the end of the femur bone is the trochlear groove, which in normal anatomy, cradles the patellar bone (kneecap). If the patella is already located outside of or moves outside of the trochlear groove, a luxating patella has. Floating Kneecap Cat.
From www.vecteezy.com
A cute cat wearing sunglasses lying on a float in swimming pool Floating Kneecap Cat A luxating patella will cause the feline to display an. A luxating patella in your cat can be the result of. Luxating patella can occur as a result of trauma or aging, and it can lead to arthritis if untreated. It causes varying degrees of pain and immobility. Patellar luxation can cause clinically significant hindlimb lameness in cats. Patients with. Floating Kneecap Cat.
From marcocurrenti.com
Dislocation in cats and dogs Marco Currenti Veterinary Orthopedics Floating Kneecap Cat A luxating patella will cause the feline to display an. Patellar luxation is a condition in which the patella (the ‘knee cap’) dislocates or moves out of its normal location. Surgical treatment of patellar luxation is typically a multistep process. It causes varying degrees of pain and immobility. Patellar luxation is marked by four grades with grade 4 indicating the. Floating Kneecap Cat.
From www.slideshare.net
Floating Knee Floating Kneecap Cat The patella bone itself is small and triangular in shape. Patellar luxation can cause clinically significant hindlimb lameness in cats. A luxating patella in your cat can be the result of. All about luxating patella (slipping kneecap) in cats: Patellar luxation is marked by four grades with grade 4 indicating the most severe condition of a dislocated kneecap. Symptoms, causes,. Floating Kneecap Cat.
From www.turbosquid.com
Domestic Cat Patella Kneecap Bone 01 3D Model TurboSquid 1872995 Floating Kneecap Cat Patellar luxation is a condition in which the patella (the ‘knee cap’) dislocates or moves out of its normal location. A luxating patella will cause the feline to display an. Luxating patella, the technical term for a kneecap popping out of place, creates instability in a cat's hind leg by reducing the functionality of the knee joint. Luxating patella can. Floating Kneecap Cat.
From sketchfab.com
kneecap (patella) cat Download Free 3D model by vetanatMunich Floating Kneecap Cat Luxating patella can occur as a result of trauma or aging, and it can lead to arthritis if untreated. Patellar luxation can cause clinically significant hindlimb lameness in cats. In the veterinary world, kneecap dislocation in cats is termed “feline luxating patella”. Patellar luxation is marked by four grades with grade 4 indicating the most severe condition of a dislocated. Floating Kneecap Cat.
From www.pinterest.com
Rusty ready to float!! Float, Cats, Rusty Floating Kneecap Cat Symptoms, causes, breeds of cat susceptible to the disorder, and cures. Patellar luxation can cause clinically significant hindlimb lameness in cats. Luxating patella can occur as a result of trauma or aging, and it can lead to arthritis if untreated. The patella bone itself is small and triangular in shape. The exact techniques required vary from patient to patient. A. Floating Kneecap Cat.
From www.chichisandme.com
How You Can Save Hundreds of a Year at the Veterinarian! Floating Kneecap Cat The exact techniques required vary from patient to patient. Patellar luxation can cause clinically significant hindlimb lameness in cats. Patellar luxation is a condition in which the patella (the ‘knee cap’) dislocates or moves out of its normal location. Surgical treatment of patellar luxation is typically a multistep process. Luxating patella, the technical term for a kneecap popping out of. Floating Kneecap Cat.
From www.turbosquid.com
Domestic Cat Patella Kneecap Bone 01 3D model TurboSquid 1872995 Floating Kneecap Cat The luxation is usually medial (to. Patients with persistent lameness attributable to patellar luxation should be considered candidates for surgical therapy. In the veterinary world, kneecap dislocation in cats is termed “feline luxating patella”. At the end of the femur bone is the trochlear groove, which in normal anatomy, cradles the patellar bone (kneecap). Patellar luxation is marked by four. Floating Kneecap Cat.
From www.turbosquid.com
Domestic Cat Patella Kneecap Bone 01 3D Model TurboSquid 1872995 Floating Kneecap Cat The exact techniques required vary from patient to patient. A luxating patella in your cat can be the result of. A luxating patella will cause the feline to display an. Luxating patella, the technical term for a kneecap popping out of place, creates instability in a cat's hind leg by reducing the functionality of the knee joint. The patella bone. Floating Kneecap Cat.
From www.pinterest.com
Floating Felines to Fall in Love With Tabby kitten, Cat lovers, Cute cats Floating Kneecap Cat The patella bone itself is small and triangular in shape. Luxating patella, the technical term for a kneecap popping out of place, creates instability in a cat's hind leg by reducing the functionality of the knee joint. It causes varying degrees of pain and immobility. In the veterinary world, kneecap dislocation in cats is termed “feline luxating patella”. Patients with. Floating Kneecap Cat.
From www.turbosquid.com
Domestic Cat Patella Kneecap Bone 01 3D model TurboSquid 1872995 Floating Kneecap Cat Patellar luxation can cause clinically significant hindlimb lameness in cats. It causes varying degrees of pain and immobility. Symptoms, causes, breeds of cat susceptible to the disorder, and cures. Surgical treatment of patellar luxation is typically a multistep process. A luxating patella in your cat can be the result of. The exact techniques required vary from patient to patient. Luxating. Floating Kneecap Cat.