Medical Term For Bullet Wound . Call 911, and follow these steps to stop bleeding and help a gunshot victim. Find out how bullets can fracture. — a gunshot wound is caused when a bullet or other projectile is shot into or through the body. — fading from the vernacular, the latin phrase vulnus sclopetarium is a quaint, mystifying, and fascinating term. — bullet wounds need immediate medical care. — gsw stands for gunshot wound, a type of penetrating abdominal injury that can cause serious complications. — indicators of possible clothing infiltration can include evidence of an irregular bullet, a larger entrance wound. — learn about the epidemiology, etiology, pathoanatomy, presentation, imaging, and treatment of gun shot wounds.
from exobjfvck.blob.core.windows.net
— fading from the vernacular, the latin phrase vulnus sclopetarium is a quaint, mystifying, and fascinating term. — gsw stands for gunshot wound, a type of penetrating abdominal injury that can cause serious complications. — learn about the epidemiology, etiology, pathoanatomy, presentation, imaging, and treatment of gun shot wounds. Call 911, and follow these steps to stop bleeding and help a gunshot victim. — a gunshot wound is caused when a bullet or other projectile is shot into or through the body. — indicators of possible clothing infiltration can include evidence of an irregular bullet, a larger entrance wound. — bullet wounds need immediate medical care. Find out how bullets can fracture.
Defined Wound Edges Meaning at Kathy Clothier blog
Medical Term For Bullet Wound — gsw stands for gunshot wound, a type of penetrating abdominal injury that can cause serious complications. Find out how bullets can fracture. — a gunshot wound is caused when a bullet or other projectile is shot into or through the body. — fading from the vernacular, the latin phrase vulnus sclopetarium is a quaint, mystifying, and fascinating term. — indicators of possible clothing infiltration can include evidence of an irregular bullet, a larger entrance wound. Call 911, and follow these steps to stop bleeding and help a gunshot victim. — bullet wounds need immediate medical care. — learn about the epidemiology, etiology, pathoanatomy, presentation, imaging, and treatment of gun shot wounds. — gsw stands for gunshot wound, a type of penetrating abdominal injury that can cause serious complications.
From www.researchgate.net
Bullet 4, wound 78 through the back of Officer Trust. (A) The autopsy Medical Term For Bullet Wound — fading from the vernacular, the latin phrase vulnus sclopetarium is a quaint, mystifying, and fascinating term. — indicators of possible clothing infiltration can include evidence of an irregular bullet, a larger entrance wound. Find out how bullets can fracture. — a gunshot wound is caused when a bullet or other projectile is shot into or through. Medical Term For Bullet Wound.
From www.pinterest.com
Pin by Martinis on Guns and Shooting Bullet wound, Wounds Medical Term For Bullet Wound — learn about the epidemiology, etiology, pathoanatomy, presentation, imaging, and treatment of gun shot wounds. — indicators of possible clothing infiltration can include evidence of an irregular bullet, a larger entrance wound. — gsw stands for gunshot wound, a type of penetrating abdominal injury that can cause serious complications. — bullet wounds need immediate medical care.. Medical Term For Bullet Wound.
From www.injuryjournal.com
Innercity gunshot wounds 10 years on Injury Medical Term For Bullet Wound Find out how bullets can fracture. — learn about the epidemiology, etiology, pathoanatomy, presentation, imaging, and treatment of gun shot wounds. Call 911, and follow these steps to stop bleeding and help a gunshot victim. — fading from the vernacular, the latin phrase vulnus sclopetarium is a quaint, mystifying, and fascinating term. — gsw stands for gunshot. Medical Term For Bullet Wound.
From www.recoilweb.com
Gunshot Wound & FirstAid Kits Everything You Need to Know to Build Medical Term For Bullet Wound — indicators of possible clothing infiltration can include evidence of an irregular bullet, a larger entrance wound. — a gunshot wound is caused when a bullet or other projectile is shot into or through the body. — gsw stands for gunshot wound, a type of penetrating abdominal injury that can cause serious complications. — learn about. Medical Term For Bullet Wound.
From www.reddit.com
A diagram of what different bullets do to you and how to treat a bullet Medical Term For Bullet Wound — learn about the epidemiology, etiology, pathoanatomy, presentation, imaging, and treatment of gun shot wounds. Find out how bullets can fracture. Call 911, and follow these steps to stop bleeding and help a gunshot victim. — fading from the vernacular, the latin phrase vulnus sclopetarium is a quaint, mystifying, and fascinating term. — gsw stands for gunshot. Medical Term For Bullet Wound.
From www.vetscraft.com
Wound and types of wound Different Open and Closed Wounds Medical Term For Bullet Wound — learn about the epidemiology, etiology, pathoanatomy, presentation, imaging, and treatment of gun shot wounds. — fading from the vernacular, the latin phrase vulnus sclopetarium is a quaint, mystifying, and fascinating term. — indicators of possible clothing infiltration can include evidence of an irregular bullet, a larger entrance wound. Find out how bullets can fracture. —. Medical Term For Bullet Wound.
From press.rsna.org
Gunshot Injuries Have Longterm Medical Consequences Medical Term For Bullet Wound — a gunshot wound is caused when a bullet or other projectile is shot into or through the body. — gsw stands for gunshot wound, a type of penetrating abdominal injury that can cause serious complications. Call 911, and follow these steps to stop bleeding and help a gunshot victim. — bullet wounds need immediate medical care.. Medical Term For Bullet Wound.
From readywarriorllc.com
The Physics of a Gun Shot Wound Ready Warrior LLC Medical Term For Bullet Wound — learn about the epidemiology, etiology, pathoanatomy, presentation, imaging, and treatment of gun shot wounds. Call 911, and follow these steps to stop bleeding and help a gunshot victim. — a gunshot wound is caused when a bullet or other projectile is shot into or through the body. — indicators of possible clothing infiltration can include evidence. Medical Term For Bullet Wound.
From blog.gunassociation.org
How To Treat A Gunshot Wound Types Of Gunshot Wounds (NSFW) Medical Term For Bullet Wound — indicators of possible clothing infiltration can include evidence of an irregular bullet, a larger entrance wound. Call 911, and follow these steps to stop bleeding and help a gunshot victim. — a gunshot wound is caused when a bullet or other projectile is shot into or through the body. — bullet wounds need immediate medical care.. Medical Term For Bullet Wound.
From referenceforwriters.tumblr.com
Reference For Writers, everything4writers The reality of bullet wounds... Medical Term For Bullet Wound — bullet wounds need immediate medical care. — indicators of possible clothing infiltration can include evidence of an irregular bullet, a larger entrance wound. Call 911, and follow these steps to stop bleeding and help a gunshot victim. — fading from the vernacular, the latin phrase vulnus sclopetarium is a quaint, mystifying, and fascinating term. —. Medical Term For Bullet Wound.
From www.slideserve.com
PPT First Aid PowerPoint Presentation, free download ID3659152 Medical Term For Bullet Wound Find out how bullets can fracture. — gsw stands for gunshot wound, a type of penetrating abdominal injury that can cause serious complications. — bullet wounds need immediate medical care. — learn about the epidemiology, etiology, pathoanatomy, presentation, imaging, and treatment of gun shot wounds. — fading from the vernacular, the latin phrase vulnus sclopetarium is. Medical Term For Bullet Wound.
From www.pinterest.co.uk
types of wounds Google Search Wounds nursing, Wound care nursing Medical Term For Bullet Wound Find out how bullets can fracture. Call 911, and follow these steps to stop bleeding and help a gunshot victim. — bullet wounds need immediate medical care. — learn about the epidemiology, etiology, pathoanatomy, presentation, imaging, and treatment of gun shot wounds. — indicators of possible clothing infiltration can include evidence of an irregular bullet, a larger. Medical Term For Bullet Wound.
From www.flickriver.com
Xray, bullet wound of the head (MAMAS D443041), National Museum of Medical Term For Bullet Wound — gsw stands for gunshot wound, a type of penetrating abdominal injury that can cause serious complications. — bullet wounds need immediate medical care. Find out how bullets can fracture. — fading from the vernacular, the latin phrase vulnus sclopetarium is a quaint, mystifying, and fascinating term. — learn about the epidemiology, etiology, pathoanatomy, presentation, imaging,. Medical Term For Bullet Wound.
From allexeterpictures.blogspot.com
Gunshot Wounds Pathology / Gun Orientation In Self Inflicted Medical Term For Bullet Wound — bullet wounds need immediate medical care. — fading from the vernacular, the latin phrase vulnus sclopetarium is a quaint, mystifying, and fascinating term. — a gunshot wound is caused when a bullet or other projectile is shot into or through the body. — learn about the epidemiology, etiology, pathoanatomy, presentation, imaging, and treatment of gun. Medical Term For Bullet Wound.
From www.ausmed.co.uk
Wound Care Manual and Clinical Guidelines for Nurses Ausmed Medical Term For Bullet Wound Find out how bullets can fracture. — bullet wounds need immediate medical care. — a gunshot wound is caused when a bullet or other projectile is shot into or through the body. — indicators of possible clothing infiltration can include evidence of an irregular bullet, a larger entrance wound. Call 911, and follow these steps to stop. Medical Term For Bullet Wound.
From www.dreamstime.com
The types of wounds stock vector. Illustration of criminalistics 83801690 Medical Term For Bullet Wound — bullet wounds need immediate medical care. — indicators of possible clothing infiltration can include evidence of an irregular bullet, a larger entrance wound. — learn about the epidemiology, etiology, pathoanatomy, presentation, imaging, and treatment of gun shot wounds. — fading from the vernacular, the latin phrase vulnus sclopetarium is a quaint, mystifying, and fascinating term.. Medical Term For Bullet Wound.
From www.semanticscholar.org
Figure 1 from Practical pathology of gunshot wounds. Semantic Scholar Medical Term For Bullet Wound — bullet wounds need immediate medical care. — indicators of possible clothing infiltration can include evidence of an irregular bullet, a larger entrance wound. — a gunshot wound is caused when a bullet or other projectile is shot into or through the body. Call 911, and follow these steps to stop bleeding and help a gunshot victim.. Medical Term For Bullet Wound.
From www.ausmed.co.uk
Wound Care Manual and Clinical Guidelines for Nurses Ausmed Medical Term For Bullet Wound — indicators of possible clothing infiltration can include evidence of an irregular bullet, a larger entrance wound. — fading from the vernacular, the latin phrase vulnus sclopetarium is a quaint, mystifying, and fascinating term. Call 911, and follow these steps to stop bleeding and help a gunshot victim. — bullet wounds need immediate medical care. —. Medical Term For Bullet Wound.
From www.pinterest.ph
Browse documents Portal Wounds nursing, Nursing notes, Nursing Medical Term For Bullet Wound — fading from the vernacular, the latin phrase vulnus sclopetarium is a quaint, mystifying, and fascinating term. — a gunshot wound is caused when a bullet or other projectile is shot into or through the body. — gsw stands for gunshot wound, a type of penetrating abdominal injury that can cause serious complications. — indicators of. Medical Term For Bullet Wound.
From aloeveraskincareproducts.pages.dev
A Comprehensive Guide To Wound Products For Different Wound Types Medical Term For Bullet Wound — gsw stands for gunshot wound, a type of penetrating abdominal injury that can cause serious complications. — bullet wounds need immediate medical care. Call 911, and follow these steps to stop bleeding and help a gunshot victim. — indicators of possible clothing infiltration can include evidence of an irregular bullet, a larger entrance wound. —. Medical Term For Bullet Wound.
From www.lecturio.com
Types of Wounds [+ Free Cheat Sheet] Lecturio Medical Term For Bullet Wound — bullet wounds need immediate medical care. — learn about the epidemiology, etiology, pathoanatomy, presentation, imaging, and treatment of gun shot wounds. — indicators of possible clothing infiltration can include evidence of an irregular bullet, a larger entrance wound. — fading from the vernacular, the latin phrase vulnus sclopetarium is a quaint, mystifying, and fascinating term.. Medical Term For Bullet Wound.
From www.slideshare.net
20100728_Wound_Assessment_Tool_Guide_Final[2] Medical Term For Bullet Wound — bullet wounds need immediate medical care. — learn about the epidemiology, etiology, pathoanatomy, presentation, imaging, and treatment of gun shot wounds. Find out how bullets can fracture. — indicators of possible clothing infiltration can include evidence of an irregular bullet, a larger entrance wound. — gsw stands for gunshot wound, a type of penetrating abdominal. Medical Term For Bullet Wound.
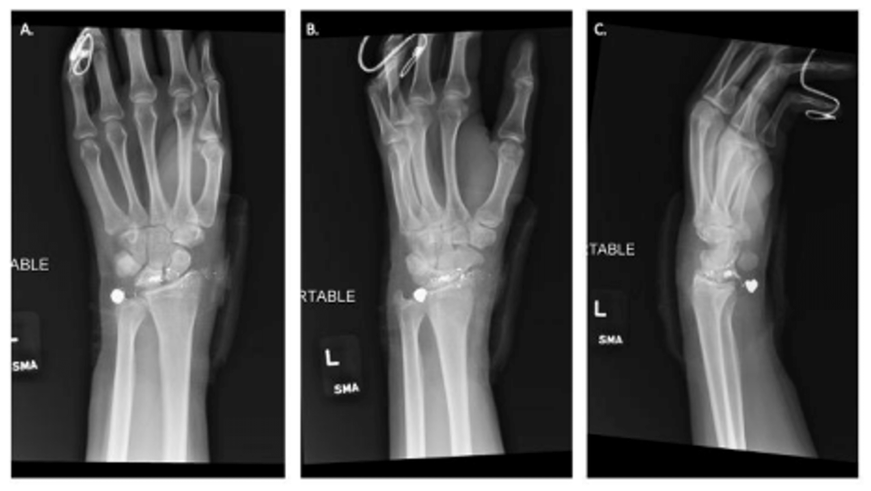
From www.cureus.com
Outpatient Treatment Guidelines of Gunshot Wound to the Hand and Wrist Medical Term For Bullet Wound — gsw stands for gunshot wound, a type of penetrating abdominal injury that can cause serious complications. Call 911, and follow these steps to stop bleeding and help a gunshot victim. Find out how bullets can fracture. — learn about the epidemiology, etiology, pathoanatomy, presentation, imaging, and treatment of gun shot wounds. — indicators of possible clothing. Medical Term For Bullet Wound.
From exobjfvck.blob.core.windows.net
Defined Wound Edges Meaning at Kathy Clothier blog Medical Term For Bullet Wound — fading from the vernacular, the latin phrase vulnus sclopetarium is a quaint, mystifying, and fascinating term. — a gunshot wound is caused when a bullet or other projectile is shot into or through the body. Find out how bullets can fracture. — gsw stands for gunshot wound, a type of penetrating abdominal injury that can cause. Medical Term For Bullet Wound.
From www.lecturio.com
Wound Healing Concise Medical Knowledge Medical Term For Bullet Wound Find out how bullets can fracture. — learn about the epidemiology, etiology, pathoanatomy, presentation, imaging, and treatment of gun shot wounds. — bullet wounds need immediate medical care. — a gunshot wound is caused when a bullet or other projectile is shot into or through the body. — gsw stands for gunshot wound, a type of. Medical Term For Bullet Wound.
From www.scribd.com
Wound Classification Chart 141 Wound Topical Medication Medical Term For Bullet Wound Call 911, and follow these steps to stop bleeding and help a gunshot victim. — learn about the epidemiology, etiology, pathoanatomy, presentation, imaging, and treatment of gun shot wounds. Find out how bullets can fracture. — bullet wounds need immediate medical care. — fading from the vernacular, the latin phrase vulnus sclopetarium is a quaint, mystifying, and. Medical Term For Bullet Wound.
From www.verywellhealth.com
How to Treat a Bullet Wound in an Emergency Medical Term For Bullet Wound — bullet wounds need immediate medical care. — fading from the vernacular, the latin phrase vulnus sclopetarium is a quaint, mystifying, and fascinating term. — a gunshot wound is caused when a bullet or other projectile is shot into or through the body. — indicators of possible clothing infiltration can include evidence of an irregular bullet,. Medical Term For Bullet Wound.
From mavink.com
Types Of Wounds Chart Medical Term For Bullet Wound — indicators of possible clothing infiltration can include evidence of an irregular bullet, a larger entrance wound. Call 911, and follow these steps to stop bleeding and help a gunshot victim. — fading from the vernacular, the latin phrase vulnus sclopetarium is a quaint, mystifying, and fascinating term. — bullet wounds need immediate medical care. —. Medical Term For Bullet Wound.
From www.injuryjournal.com
Firearms, bullets, and wound ballistics An imaging primer Injury Medical Term For Bullet Wound Find out how bullets can fracture. — fading from the vernacular, the latin phrase vulnus sclopetarium is a quaint, mystifying, and fascinating term. — indicators of possible clothing infiltration can include evidence of an irregular bullet, a larger entrance wound. — bullet wounds need immediate medical care. — gsw stands for gunshot wound, a type of. Medical Term For Bullet Wound.
From www.healthicity.com
Download the Dissecting Wound Care A Cheat Sheet Infographic Medical Term For Bullet Wound — bullet wounds need immediate medical care. — learn about the epidemiology, etiology, pathoanatomy, presentation, imaging, and treatment of gun shot wounds. — fading from the vernacular, the latin phrase vulnus sclopetarium is a quaint, mystifying, and fascinating term. — indicators of possible clothing infiltration can include evidence of an irregular bullet, a larger entrance wound.. Medical Term For Bullet Wound.
From www.wikihow.com
How to Treat a Bullet Wound (with Pictures) wikiHow Medical Term For Bullet Wound — learn about the epidemiology, etiology, pathoanatomy, presentation, imaging, and treatment of gun shot wounds. — gsw stands for gunshot wound, a type of penetrating abdominal injury that can cause serious complications. Find out how bullets can fracture. — bullet wounds need immediate medical care. — fading from the vernacular, the latin phrase vulnus sclopetarium is. Medical Term For Bullet Wound.
From dxophykxz.blob.core.windows.net
Medical Terminology Stab Wound at Audrey Jones blog Medical Term For Bullet Wound — indicators of possible clothing infiltration can include evidence of an irregular bullet, a larger entrance wound. — bullet wounds need immediate medical care. — fading from the vernacular, the latin phrase vulnus sclopetarium is a quaint, mystifying, and fascinating term. — learn about the epidemiology, etiology, pathoanatomy, presentation, imaging, and treatment of gun shot wounds.. Medical Term For Bullet Wound.
From www.sciencephoto.com
Healing Wound Stock Image M330/1571 Science Photo Library Medical Term For Bullet Wound — gsw stands for gunshot wound, a type of penetrating abdominal injury that can cause serious complications. — indicators of possible clothing infiltration can include evidence of an irregular bullet, a larger entrance wound. — learn about the epidemiology, etiology, pathoanatomy, presentation, imaging, and treatment of gun shot wounds. Call 911, and follow these steps to stop. Medical Term For Bullet Wound.
From www.slideshare.net
Types of wounds and management. Medical Term For Bullet Wound — learn about the epidemiology, etiology, pathoanatomy, presentation, imaging, and treatment of gun shot wounds. — fading from the vernacular, the latin phrase vulnus sclopetarium is a quaint, mystifying, and fascinating term. — a gunshot wound is caused when a bullet or other projectile is shot into or through the body. — bullet wounds need immediate. Medical Term For Bullet Wound.
From www.cureus.com
Cureus Gunshot Wound to the Chest With Retained Epicardial Bullet Medical Term For Bullet Wound — indicators of possible clothing infiltration can include evidence of an irregular bullet, a larger entrance wound. Find out how bullets can fracture. — bullet wounds need immediate medical care. Call 911, and follow these steps to stop bleeding and help a gunshot victim. — gsw stands for gunshot wound, a type of penetrating abdominal injury that. Medical Term For Bullet Wound.