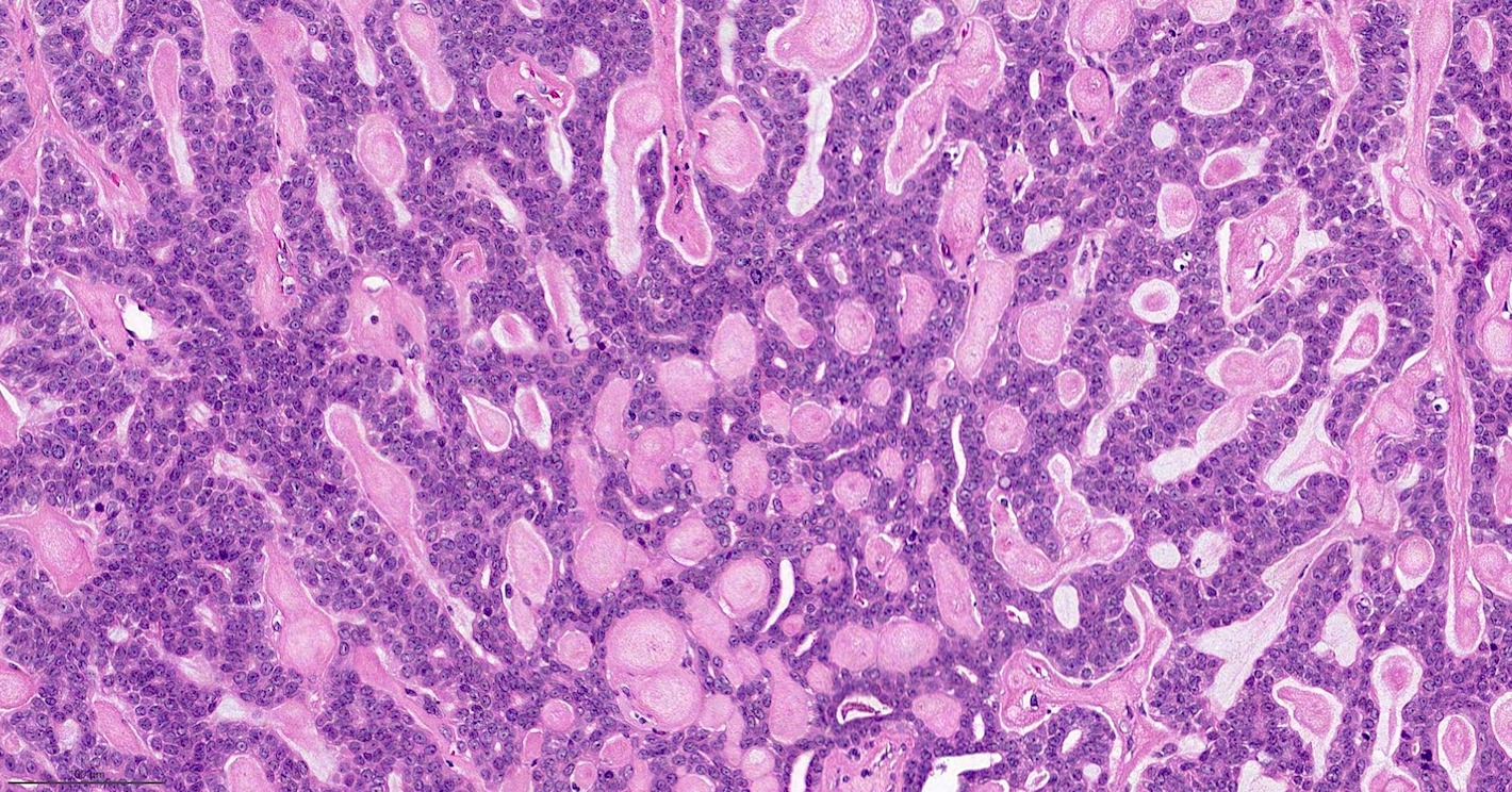
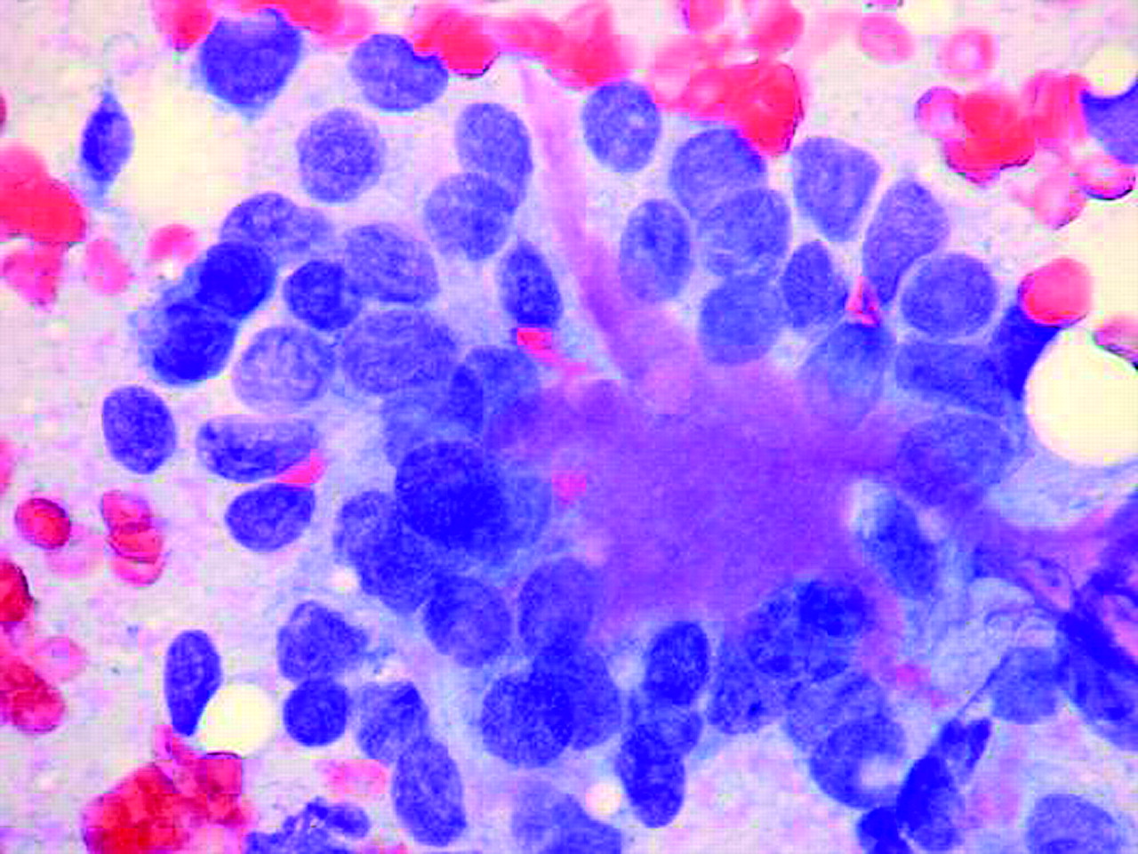
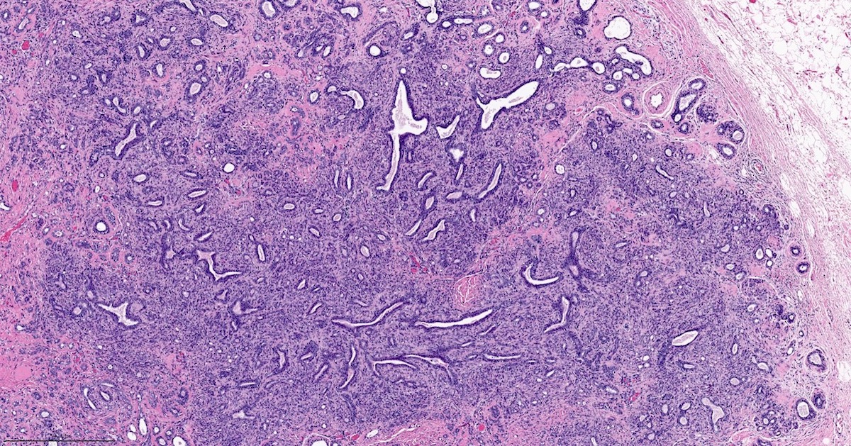
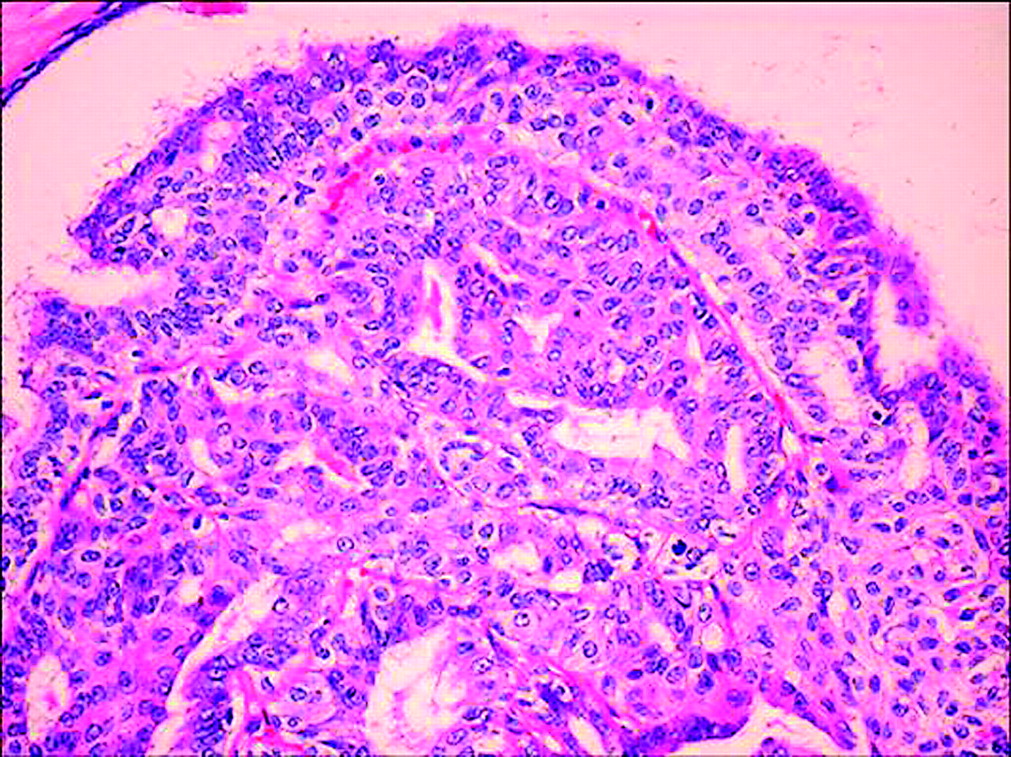
Malignant Adenomyoepithelioma Breast . Adenomyoepithelioma (ame) of the breast is a very rare tumor and is generally considered to be benign. Benign to low grade malignant behavior and a propensity for recurrence. Malignant adenomyoepithelioma (mame) of the breast is an extremely rare breast malignancy, in which they. Adenomyoepithelioma of the breast is an uncommon tumor characterized by dual differentiation into luminal cells and myoepithelial cells. Adenomyoepithelioma (ame) of the breast is a very rare tumor and is generally considered to be benign. Biphasic tumor with epithelial and myoepithelial components. Adenomyoepithelioma (ame) of the breast is a rare disease characterized by a bicellular pattern consisting of both ductal and myoepithelial cells [1, 2].
from www.researchgate.net
Adenomyoepithelioma (ame) of the breast is a very rare tumor and is generally considered to be benign. Biphasic tumor with epithelial and myoepithelial components. Adenomyoepithelioma (ame) of the breast is a rare disease characterized by a bicellular pattern consisting of both ductal and myoepithelial cells [1, 2]. Adenomyoepithelioma (ame) of the breast is a very rare tumor and is generally considered to be benign. Malignant adenomyoepithelioma (mame) of the breast is an extremely rare breast malignancy, in which they. Benign to low grade malignant behavior and a propensity for recurrence. Adenomyoepithelioma of the breast is an uncommon tumor characterized by dual differentiation into luminal cells and myoepithelial cells.
(PDF) Malignant Adenomyoepithelioma of the Breast An
Malignant Adenomyoepithelioma Breast Malignant adenomyoepithelioma (mame) of the breast is an extremely rare breast malignancy, in which they. Adenomyoepithelioma (ame) of the breast is a very rare tumor and is generally considered to be benign. Adenomyoepithelioma of the breast is an uncommon tumor characterized by dual differentiation into luminal cells and myoepithelial cells. Biphasic tumor with epithelial and myoepithelial components. Malignant adenomyoepithelioma (mame) of the breast is an extremely rare breast malignancy, in which they. Benign to low grade malignant behavior and a propensity for recurrence. Adenomyoepithelioma (ame) of the breast is a rare disease characterized by a bicellular pattern consisting of both ductal and myoepithelial cells [1, 2]. Adenomyoepithelioma (ame) of the breast is a very rare tumor and is generally considered to be benign.
From europepmc.org
Malignant adenomyoepithelioma of the breast A case report. Abstract Malignant Adenomyoepithelioma Breast Benign to low grade malignant behavior and a propensity for recurrence. Adenomyoepithelioma of the breast is an uncommon tumor characterized by dual differentiation into luminal cells and myoepithelial cells. Adenomyoepithelioma (ame) of the breast is a rare disease characterized by a bicellular pattern consisting of both ductal and myoepithelial cells [1, 2]. Adenomyoepithelioma (ame) of the breast is a very. Malignant Adenomyoepithelioma Breast.
From egojournal.eu
Malignant adenomyoepithelioma of the breast a case report and review Malignant Adenomyoepithelioma Breast Adenomyoepithelioma of the breast is an uncommon tumor characterized by dual differentiation into luminal cells and myoepithelial cells. Biphasic tumor with epithelial and myoepithelial components. Adenomyoepithelioma (ame) of the breast is a very rare tumor and is generally considered to be benign. Adenomyoepithelioma (ame) of the breast is a rare disease characterized by a bicellular pattern consisting of both ductal. Malignant Adenomyoepithelioma Breast.
From www.pathologyoutlines.com
Pathology Outlines Adenomyoepithelioma & malignant adenomyoepithelioma Malignant Adenomyoepithelioma Breast Biphasic tumor with epithelial and myoepithelial components. Adenomyoepithelioma (ame) of the breast is a rare disease characterized by a bicellular pattern consisting of both ductal and myoepithelial cells [1, 2]. Adenomyoepithelioma (ame) of the breast is a very rare tumor and is generally considered to be benign. Adenomyoepithelioma (ame) of the breast is a very rare tumor and is generally. Malignant Adenomyoepithelioma Breast.
From jcp.bmj.com
Adenomyoepithelioma of the breast a review stressing its propensity Malignant Adenomyoepithelioma Breast Adenomyoepithelioma (ame) of the breast is a very rare tumor and is generally considered to be benign. Adenomyoepithelioma of the breast is an uncommon tumor characterized by dual differentiation into luminal cells and myoepithelial cells. Adenomyoepithelioma (ame) of the breast is a very rare tumor and is generally considered to be benign. Biphasic tumor with epithelial and myoepithelial components. Benign. Malignant Adenomyoepithelioma Breast.
From jcp.bmj.com
Adenomyoepithelioma of the breast a review stressing its propensity Malignant Adenomyoepithelioma Breast Benign to low grade malignant behavior and a propensity for recurrence. Adenomyoepithelioma (ame) of the breast is a very rare tumor and is generally considered to be benign. Biphasic tumor with epithelial and myoepithelial components. Adenomyoepithelioma of the breast is an uncommon tumor characterized by dual differentiation into luminal cells and myoepithelial cells. Malignant adenomyoepithelioma (mame) of the breast is. Malignant Adenomyoepithelioma Breast.
From jcp.bmj.com
Adenomyoepithelioma of the breast a review stressing its propensity Malignant Adenomyoepithelioma Breast Adenomyoepithelioma (ame) of the breast is a very rare tumor and is generally considered to be benign. Biphasic tumor with epithelial and myoepithelial components. Adenomyoepithelioma (ame) of the breast is a rare disease characterized by a bicellular pattern consisting of both ductal and myoepithelial cells [1, 2]. Benign to low grade malignant behavior and a propensity for recurrence. Adenomyoepithelioma (ame). Malignant Adenomyoepithelioma Breast.
From www.wjgnet.com
Malignant adenomyoepithelioma of the breast Two case reports and Malignant Adenomyoepithelioma Breast Adenomyoepithelioma (ame) of the breast is a very rare tumor and is generally considered to be benign. Adenomyoepithelioma (ame) of the breast is a rare disease characterized by a bicellular pattern consisting of both ductal and myoepithelial cells [1, 2]. Benign to low grade malignant behavior and a propensity for recurrence. Malignant adenomyoepithelioma (mame) of the breast is an extremely. Malignant Adenomyoepithelioma Breast.
From jcp.bmj.com
Adenomyoepithelioma of the breast a review stressing its propensity Malignant Adenomyoepithelioma Breast Adenomyoepithelioma (ame) of the breast is a very rare tumor and is generally considered to be benign. Adenomyoepithelioma of the breast is an uncommon tumor characterized by dual differentiation into luminal cells and myoepithelial cells. Malignant adenomyoepithelioma (mame) of the breast is an extremely rare breast malignancy, in which they. Benign to low grade malignant behavior and a propensity for. Malignant Adenomyoepithelioma Breast.
From www.thebreastonline.com
Breast adenomyoepithelioma and adenomyoepithelioma with carcinoma Malignant Adenomyoepithelioma Breast Benign to low grade malignant behavior and a propensity for recurrence. Biphasic tumor with epithelial and myoepithelial components. Adenomyoepithelioma of the breast is an uncommon tumor characterized by dual differentiation into luminal cells and myoepithelial cells. Adenomyoepithelioma (ame) of the breast is a very rare tumor and is generally considered to be benign. Adenomyoepithelioma (ame) of the breast is a. Malignant Adenomyoepithelioma Breast.
From www.pathologyoutlines.com
Pathology Outlines Adenomyoepithelioma & malignant adenomyoepithelioma Malignant Adenomyoepithelioma Breast Biphasic tumor with epithelial and myoepithelial components. Malignant adenomyoepithelioma (mame) of the breast is an extremely rare breast malignancy, in which they. Benign to low grade malignant behavior and a propensity for recurrence. Adenomyoepithelioma (ame) of the breast is a very rare tumor and is generally considered to be benign. Adenomyoepithelioma (ame) of the breast is a rare disease characterized. Malignant Adenomyoepithelioma Breast.
From www.pathologyjournal.rcpa.edu.au
Malignant adenomyoepithelioma of the breast Pathology Malignant Adenomyoepithelioma Breast Biphasic tumor with epithelial and myoepithelial components. Adenomyoepithelioma of the breast is an uncommon tumor characterized by dual differentiation into luminal cells and myoepithelial cells. Adenomyoepithelioma (ame) of the breast is a very rare tumor and is generally considered to be benign. Adenomyoepithelioma (ame) of the breast is a very rare tumor and is generally considered to be benign. Malignant. Malignant Adenomyoepithelioma Breast.
From www.semanticscholar.org
Figure 1 from Malignant adenomyoepithelioma of the breast A rare case Malignant Adenomyoepithelioma Breast Adenomyoepithelioma (ame) of the breast is a very rare tumor and is generally considered to be benign. Adenomyoepithelioma (ame) of the breast is a very rare tumor and is generally considered to be benign. Benign to low grade malignant behavior and a propensity for recurrence. Adenomyoepithelioma of the breast is an uncommon tumor characterized by dual differentiation into luminal cells. Malignant Adenomyoepithelioma Breast.
From onlinelibrary.wiley.com
Adenomyoepithelioma of the breast a proposal for classification Malignant Adenomyoepithelioma Breast Adenomyoepithelioma of the breast is an uncommon tumor characterized by dual differentiation into luminal cells and myoepithelial cells. Adenomyoepithelioma (ame) of the breast is a rare disease characterized by a bicellular pattern consisting of both ductal and myoepithelial cells [1, 2]. Adenomyoepithelioma (ame) of the breast is a very rare tumor and is generally considered to be benign. Adenomyoepithelioma (ame). Malignant Adenomyoepithelioma Breast.
From www.wjgnet.com
Malignant adenomyoepithelioma of the breast Two case reports and Malignant Adenomyoepithelioma Breast Adenomyoepithelioma of the breast is an uncommon tumor characterized by dual differentiation into luminal cells and myoepithelial cells. Biphasic tumor with epithelial and myoepithelial components. Adenomyoepithelioma (ame) of the breast is a very rare tumor and is generally considered to be benign. Adenomyoepithelioma (ame) of the breast is a rare disease characterized by a bicellular pattern consisting of both ductal. Malignant Adenomyoepithelioma Breast.
From egojournal.eu
Malignant adenomyoepithelioma of the breast a case report and review Malignant Adenomyoepithelioma Breast Malignant adenomyoepithelioma (mame) of the breast is an extremely rare breast malignancy, in which they. Adenomyoepithelioma (ame) of the breast is a very rare tumor and is generally considered to be benign. Biphasic tumor with epithelial and myoepithelial components. Benign to low grade malignant behavior and a propensity for recurrence. Adenomyoepithelioma (ame) of the breast is a rare disease characterized. Malignant Adenomyoepithelioma Breast.
From casereports.bmj.com
Malignant adenomyoepithelioma of the breast a case report with review Malignant Adenomyoepithelioma Breast Adenomyoepithelioma (ame) of the breast is a very rare tumor and is generally considered to be benign. Malignant adenomyoepithelioma (mame) of the breast is an extremely rare breast malignancy, in which they. Biphasic tumor with epithelial and myoepithelial components. Adenomyoepithelioma of the breast is an uncommon tumor characterized by dual differentiation into luminal cells and myoepithelial cells. Benign to low. Malignant Adenomyoepithelioma Breast.
From jcp.bmj.com
Adenomyoepithelioma of the breast a review stressing its propensity Malignant Adenomyoepithelioma Breast Adenomyoepithelioma (ame) of the breast is a very rare tumor and is generally considered to be benign. Biphasic tumor with epithelial and myoepithelial components. Benign to low grade malignant behavior and a propensity for recurrence. Malignant adenomyoepithelioma (mame) of the breast is an extremely rare breast malignancy, in which they. Adenomyoepithelioma (ame) of the breast is a rare disease characterized. Malignant Adenomyoepithelioma Breast.
From www.pathologyoutlines.com
Pathology Outlines Adenomyoepithelioma & malignant adenomyoepithelioma Malignant Adenomyoepithelioma Breast Adenomyoepithelioma of the breast is an uncommon tumor characterized by dual differentiation into luminal cells and myoepithelial cells. Adenomyoepithelioma (ame) of the breast is a very rare tumor and is generally considered to be benign. Adenomyoepithelioma (ame) of the breast is a rare disease characterized by a bicellular pattern consisting of both ductal and myoepithelial cells [1, 2]. Biphasic tumor. Malignant Adenomyoepithelioma Breast.
From www.slideserve.com
PPT Malignant Adenomyoepithelioma of the Breast with Lymph Node Malignant Adenomyoepithelioma Breast Adenomyoepithelioma (ame) of the breast is a very rare tumor and is generally considered to be benign. Benign to low grade malignant behavior and a propensity for recurrence. Malignant adenomyoepithelioma (mame) of the breast is an extremely rare breast malignancy, in which they. Adenomyoepithelioma (ame) of the breast is a rare disease characterized by a bicellular pattern consisting of both. Malignant Adenomyoepithelioma Breast.
From jcp.bmj.com
Adenomyoepithelioma of the breast a review stressing its propensity Malignant Adenomyoepithelioma Breast Adenomyoepithelioma (ame) of the breast is a rare disease characterized by a bicellular pattern consisting of both ductal and myoepithelial cells [1, 2]. Biphasic tumor with epithelial and myoepithelial components. Adenomyoepithelioma of the breast is an uncommon tumor characterized by dual differentiation into luminal cells and myoepithelial cells. Malignant adenomyoepithelioma (mame) of the breast is an extremely rare breast malignancy,. Malignant Adenomyoepithelioma Breast.
From www.researchgate.net
Case 2. Malignant adenomyoepithelioma in the breast with metastases to Malignant Adenomyoepithelioma Breast Adenomyoepithelioma (ame) of the breast is a very rare tumor and is generally considered to be benign. Adenomyoepithelioma (ame) of the breast is a rare disease characterized by a bicellular pattern consisting of both ductal and myoepithelial cells [1, 2]. Adenomyoepithelioma of the breast is an uncommon tumor characterized by dual differentiation into luminal cells and myoepithelial cells. Benign to. Malignant Adenomyoepithelioma Breast.
From www.pathologyoutlines.com
Pathology Outlines Adenomyoepithelioma Malignant Adenomyoepithelioma Breast Adenomyoepithelioma (ame) of the breast is a very rare tumor and is generally considered to be benign. Benign to low grade malignant behavior and a propensity for recurrence. Adenomyoepithelioma (ame) of the breast is a rare disease characterized by a bicellular pattern consisting of both ductal and myoepithelial cells [1, 2]. Adenomyoepithelioma of the breast is an uncommon tumor characterized. Malignant Adenomyoepithelioma Breast.
From slidetodoc.com
Malignant Adenomyoepithelioma of the Breast with Lymph Node Malignant Adenomyoepithelioma Breast Malignant adenomyoepithelioma (mame) of the breast is an extremely rare breast malignancy, in which they. Adenomyoepithelioma of the breast is an uncommon tumor characterized by dual differentiation into luminal cells and myoepithelial cells. Adenomyoepithelioma (ame) of the breast is a very rare tumor and is generally considered to be benign. Benign to low grade malignant behavior and a propensity for. Malignant Adenomyoepithelioma Breast.
From www.researchgate.net
(PDF) Malignant adenomyoepithelioma of the breast A case report Malignant Adenomyoepithelioma Breast Malignant adenomyoepithelioma (mame) of the breast is an extremely rare breast malignancy, in which they. Adenomyoepithelioma (ame) of the breast is a very rare tumor and is generally considered to be benign. Adenomyoepithelioma (ame) of the breast is a very rare tumor and is generally considered to be benign. Adenomyoepithelioma of the breast is an uncommon tumor characterized by dual. Malignant Adenomyoepithelioma Breast.
From jcp.bmj.com
Adenomyoepithelioma of the breast a review stressing its propensity Malignant Adenomyoepithelioma Breast Benign to low grade malignant behavior and a propensity for recurrence. Adenomyoepithelioma (ame) of the breast is a rare disease characterized by a bicellular pattern consisting of both ductal and myoepithelial cells [1, 2]. Adenomyoepithelioma of the breast is an uncommon tumor characterized by dual differentiation into luminal cells and myoepithelial cells. Malignant adenomyoepithelioma (mame) of the breast is an. Malignant Adenomyoepithelioma Breast.
From www.thebreastonline.com
Breast adenomyoepithelioma and adenomyoepithelioma with carcinoma Malignant Adenomyoepithelioma Breast Adenomyoepithelioma (ame) of the breast is a very rare tumor and is generally considered to be benign. Adenomyoepithelioma (ame) of the breast is a rare disease characterized by a bicellular pattern consisting of both ductal and myoepithelial cells [1, 2]. Adenomyoepithelioma of the breast is an uncommon tumor characterized by dual differentiation into luminal cells and myoepithelial cells. Biphasic tumor. Malignant Adenomyoepithelioma Breast.
From jcp.bmj.com
Adenomyoepithelioma of the breast a review stressing its propensity Malignant Adenomyoepithelioma Breast Biphasic tumor with epithelial and myoepithelial components. Adenomyoepithelioma (ame) of the breast is a rare disease characterized by a bicellular pattern consisting of both ductal and myoepithelial cells [1, 2]. Adenomyoepithelioma of the breast is an uncommon tumor characterized by dual differentiation into luminal cells and myoepithelial cells. Adenomyoepithelioma (ame) of the breast is a very rare tumor and is. Malignant Adenomyoepithelioma Breast.
From journals.lww.com
Malignant adenomyoepithelioma of the breast A case report Medicine Malignant Adenomyoepithelioma Breast Adenomyoepithelioma (ame) of the breast is a rare disease characterized by a bicellular pattern consisting of both ductal and myoepithelial cells [1, 2]. Adenomyoepithelioma (ame) of the breast is a very rare tumor and is generally considered to be benign. Benign to low grade malignant behavior and a propensity for recurrence. Adenomyoepithelioma of the breast is an uncommon tumor characterized. Malignant Adenomyoepithelioma Breast.
From www.researchgate.net
(PDF) Malignant transformation in a Breast Adenomyoepithelioma Caused Malignant Adenomyoepithelioma Breast Adenomyoepithelioma (ame) of the breast is a rare disease characterized by a bicellular pattern consisting of both ductal and myoepithelial cells [1, 2]. Biphasic tumor with epithelial and myoepithelial components. Malignant adenomyoepithelioma (mame) of the breast is an extremely rare breast malignancy, in which they. Adenomyoepithelioma (ame) of the breast is a very rare tumor and is generally considered to. Malignant Adenomyoepithelioma Breast.
From www.researchgate.net
(PDF) Malignant Adenomyoepithelioma of the Breast An Malignant Adenomyoepithelioma Breast Adenomyoepithelioma (ame) of the breast is a very rare tumor and is generally considered to be benign. Adenomyoepithelioma (ame) of the breast is a rare disease characterized by a bicellular pattern consisting of both ductal and myoepithelial cells [1, 2]. Benign to low grade malignant behavior and a propensity for recurrence. Biphasic tumor with epithelial and myoepithelial components. Adenomyoepithelioma (ame). Malignant Adenomyoepithelioma Breast.
From www.dovemed.com
Malignant Adenomyoepithelioma of Breast Malignant Adenomyoepithelioma Breast Adenomyoepithelioma (ame) of the breast is a very rare tumor and is generally considered to be benign. Malignant adenomyoepithelioma (mame) of the breast is an extremely rare breast malignancy, in which they. Adenomyoepithelioma of the breast is an uncommon tumor characterized by dual differentiation into luminal cells and myoepithelial cells. Benign to low grade malignant behavior and a propensity for. Malignant Adenomyoepithelioma Breast.
From ejbc.kr
Malignant Adenomyoepithelioma of the Breast and Responsiveness to Eribulin Malignant Adenomyoepithelioma Breast Benign to low grade malignant behavior and a propensity for recurrence. Adenomyoepithelioma (ame) of the breast is a very rare tumor and is generally considered to be benign. Adenomyoepithelioma of the breast is an uncommon tumor characterized by dual differentiation into luminal cells and myoepithelial cells. Adenomyoepithelioma (ame) of the breast is a rare disease characterized by a bicellular pattern. Malignant Adenomyoepithelioma Breast.
From jcp.bmj.com
Adenomyoepithelioma of the breast a review stressing its propensity Malignant Adenomyoepithelioma Breast Malignant adenomyoepithelioma (mame) of the breast is an extremely rare breast malignancy, in which they. Benign to low grade malignant behavior and a propensity for recurrence. Adenomyoepithelioma (ame) of the breast is a rare disease characterized by a bicellular pattern consisting of both ductal and myoepithelial cells [1, 2]. Adenomyoepithelioma (ame) of the breast is a very rare tumor and. Malignant Adenomyoepithelioma Breast.
From jcp.bmj.com
Adenomyoepithelioma of the breast a review stressing its propensity Malignant Adenomyoepithelioma Breast Benign to low grade malignant behavior and a propensity for recurrence. Malignant adenomyoepithelioma (mame) of the breast is an extremely rare breast malignancy, in which they. Biphasic tumor with epithelial and myoepithelial components. Adenomyoepithelioma (ame) of the breast is a rare disease characterized by a bicellular pattern consisting of both ductal and myoepithelial cells [1, 2]. Adenomyoepithelioma of the breast. Malignant Adenomyoepithelioma Breast.
From onlinelibrary.wiley.com
Malignant adenomyoepithelioma of the breast with contralateral apocrine Malignant Adenomyoepithelioma Breast Adenomyoepithelioma (ame) of the breast is a very rare tumor and is generally considered to be benign. Malignant adenomyoepithelioma (mame) of the breast is an extremely rare breast malignancy, in which they. Adenomyoepithelioma (ame) of the breast is a rare disease characterized by a bicellular pattern consisting of both ductal and myoepithelial cells [1, 2]. Adenomyoepithelioma (ame) of the breast. Malignant Adenomyoepithelioma Breast.