Ureter Microscope Slide Labeled . It is lined with an epithelium that is impermeable to water and ions. Use this virtual microscopic slide of ureter to identify the ureter and the following components: Different stains and microscopy methods are used to visualize features of renal corpuscles. The ureters have walls with three principal layers. H&e pas silver stain electron micrograph The video is about histology of ureter and how to identify the slide in practical. The epithelium lining this tube is stratified, transitional epithelium. Ureter transport urine from the kidney to the bladder. The inner mucosa, including a surface of. Click on the annotations box below each unlabelled picture to reveal the annotated versions.
from www.pinterest.com
Different stains and microscopy methods are used to visualize features of renal corpuscles. Click on the annotations box below each unlabelled picture to reveal the annotated versions. Use this virtual microscopic slide of ureter to identify the ureter and the following components: The epithelium lining this tube is stratified, transitional epithelium. Ureter transport urine from the kidney to the bladder. The inner mucosa, including a surface of. The ureters have walls with three principal layers. H&e pas silver stain electron micrograph The video is about histology of ureter and how to identify the slide in practical. It is lined with an epithelium that is impermeable to water and ions.
Urinary Bladder Histology Cross Section Urethra in 2020 Tissue
Ureter Microscope Slide Labeled Ureter transport urine from the kidney to the bladder. Click on the annotations box below each unlabelled picture to reveal the annotated versions. It is lined with an epithelium that is impermeable to water and ions. The epithelium lining this tube is stratified, transitional epithelium. The inner mucosa, including a surface of. Use this virtual microscopic slide of ureter to identify the ureter and the following components: The video is about histology of ureter and how to identify the slide in practical. The ureters have walls with three principal layers. Ureter transport urine from the kidney to the bladder. Different stains and microscopy methods are used to visualize features of renal corpuscles. H&e pas silver stain electron micrograph
From www.ihappysci.com
Human Ureter crosssection histology slides, 7 µm sec., H&E Stain Ureter Microscope Slide Labeled The epithelium lining this tube is stratified, transitional epithelium. Click on the annotations box below each unlabelled picture to reveal the annotated versions. It is lined with an epithelium that is impermeable to water and ions. Different stains and microscopy methods are used to visualize features of renal corpuscles. The video is about histology of ureter and how to identify. Ureter Microscope Slide Labeled.
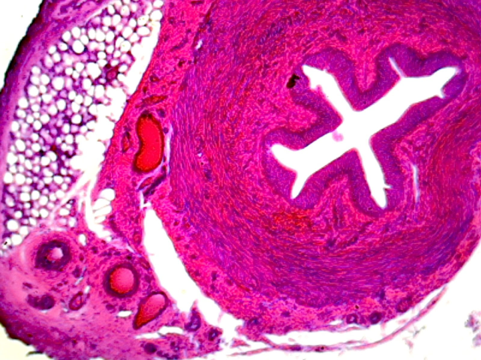
From slidetodoc.com
URETER URETHRA ANATOMY HISTOLOGY PHYSIOLOGY BY 1 MUHAMMAD Ureter Microscope Slide Labeled Different stains and microscopy methods are used to visualize features of renal corpuscles. The epithelium lining this tube is stratified, transitional epithelium. The ureters have walls with three principal layers. Ureter transport urine from the kidney to the bladder. It is lined with an epithelium that is impermeable to water and ions. H&e pas silver stain electron micrograph The inner. Ureter Microscope Slide Labeled.
From www.youtube.com
25. Ureter (Microscope 40x1000x) YouTube Ureter Microscope Slide Labeled The ureters have walls with three principal layers. Ureter transport urine from the kidney to the bladder. The inner mucosa, including a surface of. H&e pas silver stain electron micrograph Click on the annotations box below each unlabelled picture to reveal the annotated versions. The epithelium lining this tube is stratified, transitional epithelium. It is lined with an epithelium that. Ureter Microscope Slide Labeled.
From www.pinterest.com.mx
Uréter Anatomy and physiology, Medical science, Pathology Ureter Microscope Slide Labeled The ureters have walls with three principal layers. It is lined with an epithelium that is impermeable to water and ions. The video is about histology of ureter and how to identify the slide in practical. Click on the annotations box below each unlabelled picture to reveal the annotated versions. Use this virtual microscopic slide of ureter to identify the. Ureter Microscope Slide Labeled.
From www.animalia-life.club
Labeled Ureter Slide Ureter Microscope Slide Labeled It is lined with an epithelium that is impermeable to water and ions. Click on the annotations box below each unlabelled picture to reveal the annotated versions. The inner mucosa, including a surface of. Use this virtual microscopic slide of ureter to identify the ureter and the following components: The ureters have walls with three principal layers. The video is. Ureter Microscope Slide Labeled.
From courses.lumenlearning.com
Gross Anatomy of Urine Transport Anatomy and Physiology II Ureter Microscope Slide Labeled The ureters have walls with three principal layers. The epithelium lining this tube is stratified, transitional epithelium. Use this virtual microscopic slide of ureter to identify the ureter and the following components: The video is about histology of ureter and how to identify the slide in practical. Different stains and microscopy methods are used to visualize features of renal corpuscles.. Ureter Microscope Slide Labeled.
From www.indiamart.com
Ureter Microscope Slide at Rs 500/piece सूक्ष्मदर्शी की स्लाइड Ureter Microscope Slide Labeled Click on the annotations box below each unlabelled picture to reveal the annotated versions. It is lined with an epithelium that is impermeable to water and ions. The video is about histology of ureter and how to identify the slide in practical. H&e pas silver stain electron micrograph Ureter transport urine from the kidney to the bladder. The ureters have. Ureter Microscope Slide Labeled.
From www.triarchincorporated.com
Kidney Ureter Prepared Microscope Slide Ureter Microscope Slide Labeled H&e pas silver stain electron micrograph The epithelium lining this tube is stratified, transitional epithelium. Click on the annotations box below each unlabelled picture to reveal the annotated versions. Use this virtual microscopic slide of ureter to identify the ureter and the following components: Different stains and microscopy methods are used to visualize features of renal corpuscles. The ureters have. Ureter Microscope Slide Labeled.
From www.shutterstock.com
Ureter Cross Section Under Microscope Optical Stock Photo 2211225899 Ureter Microscope Slide Labeled The ureters have walls with three principal layers. Different stains and microscopy methods are used to visualize features of renal corpuscles. The video is about histology of ureter and how to identify the slide in practical. H&e pas silver stain electron micrograph Ureter transport urine from the kidney to the bladder. Use this virtual microscopic slide of ureter to identify. Ureter Microscope Slide Labeled.
From niaiorubio.blogspot.com
histology of ureter Ureter Microscope Slide Labeled It is lined with an epithelium that is impermeable to water and ions. The ureters have walls with three principal layers. Ureter transport urine from the kidney to the bladder. Click on the annotations box below each unlabelled picture to reveal the annotated versions. The epithelium lining this tube is stratified, transitional epithelium. Use this virtual microscopic slide of ureter. Ureter Microscope Slide Labeled.
From www.slideshare.net
Microstructure of kidney and ureter part 2 Ureter Microscope Slide Labeled Ureter transport urine from the kidney to the bladder. H&e pas silver stain electron micrograph The epithelium lining this tube is stratified, transitional epithelium. It is lined with an epithelium that is impermeable to water and ions. The video is about histology of ureter and how to identify the slide in practical. The inner mucosa, including a surface of. Different. Ureter Microscope Slide Labeled.
From pixels.com
Ureter Transitional Epithelium Photograph by Science Photo Library Pixels Ureter Microscope Slide Labeled The inner mucosa, including a surface of. It is lined with an epithelium that is impermeable to water and ions. The video is about histology of ureter and how to identify the slide in practical. The epithelium lining this tube is stratified, transitional epithelium. Click on the annotations box below each unlabelled picture to reveal the annotated versions. Use this. Ureter Microscope Slide Labeled.
From www.walmart.com
GSC International PS0205 Human Ureter Cross Section Microscope Slide Ureter Microscope Slide Labeled Different stains and microscopy methods are used to visualize features of renal corpuscles. Click on the annotations box below each unlabelled picture to reveal the annotated versions. Use this virtual microscopic slide of ureter to identify the ureter and the following components: It is lined with an epithelium that is impermeable to water and ions. Ureter transport urine from the. Ureter Microscope Slide Labeled.
From healthjade.com
Ureter Anatomy & Function Ectopic Ureter, Ureter Pain & Ureter Cancer Ureter Microscope Slide Labeled Use this virtual microscopic slide of ureter to identify the ureter and the following components: It is lined with an epithelium that is impermeable to water and ions. H&e pas silver stain electron micrograph The inner mucosa, including a surface of. Ureter transport urine from the kidney to the bladder. The video is about histology of ureter and how to. Ureter Microscope Slide Labeled.
From in.pinterest.com
Simplified histology diagram of Ureter transverse section showing lumen Ureter Microscope Slide Labeled Use this virtual microscopic slide of ureter to identify the ureter and the following components: Different stains and microscopy methods are used to visualize features of renal corpuscles. The epithelium lining this tube is stratified, transitional epithelium. It is lined with an epithelium that is impermeable to water and ions. H&e pas silver stain electron micrograph The video is about. Ureter Microscope Slide Labeled.
From histoweb.co.za
Slides 78 and 79 Ureter and Bladder Ureter Microscope Slide Labeled The ureters have walls with three principal layers. H&e pas silver stain electron micrograph Click on the annotations box below each unlabelled picture to reveal the annotated versions. Use this virtual microscopic slide of ureter to identify the ureter and the following components: It is lined with an epithelium that is impermeable to water and ions. Ureter transport urine from. Ureter Microscope Slide Labeled.
From www.ihappysci.com
Affordable 1pcs human ureter c.s., H.E. stained, male, prepared Ureter Microscope Slide Labeled H&e pas silver stain electron micrograph The epithelium lining this tube is stratified, transitional epithelium. The ureters have walls with three principal layers. Use this virtual microscopic slide of ureter to identify the ureter and the following components: It is lined with an epithelium that is impermeable to water and ions. The inner mucosa, including a surface of. The video. Ureter Microscope Slide Labeled.
From mavink.com
Ureter Histology Labeled Ureter Microscope Slide Labeled H&e pas silver stain electron micrograph The epithelium lining this tube is stratified, transitional epithelium. It is lined with an epithelium that is impermeable to water and ions. The video is about histology of ureter and how to identify the slide in practical. Ureter transport urine from the kidney to the bladder. Click on the annotations box below each unlabelled. Ureter Microscope Slide Labeled.
From www.ihappysci.com
Human Ureter crosssection histology slides, 7 µm sec., H&E Stain Ureter Microscope Slide Labeled Use this virtual microscopic slide of ureter to identify the ureter and the following components: The inner mucosa, including a surface of. H&e pas silver stain electron micrograph The video is about histology of ureter and how to identify the slide in practical. The ureters have walls with three principal layers. Different stains and microscopy methods are used to visualize. Ureter Microscope Slide Labeled.
From www.columbia.edu
Histology Laboratory Manual Ureter Microscope Slide Labeled The video is about histology of ureter and how to identify the slide in practical. Different stains and microscopy methods are used to visualize features of renal corpuscles. Use this virtual microscopic slide of ureter to identify the ureter and the following components: Ureter transport urine from the kidney to the bladder. The ureters have walls with three principal layers.. Ureter Microscope Slide Labeled.
From medicine.nus.edu.sg
Ureter Normal Histology NUS Pathweb NUS Pathweb Ureter Microscope Slide Labeled Different stains and microscopy methods are used to visualize features of renal corpuscles. Ureter transport urine from the kidney to the bladder. Use this virtual microscopic slide of ureter to identify the ureter and the following components: Click on the annotations box below each unlabelled picture to reveal the annotated versions. The epithelium lining this tube is stratified, transitional epithelium.. Ureter Microscope Slide Labeled.
From www.pinterest.com
HISTOLOGY, Digestion Lab, Pig liver Histology slides, Basic anatomy Ureter Microscope Slide Labeled It is lined with an epithelium that is impermeable to water and ions. The ureters have walls with three principal layers. Click on the annotations box below each unlabelled picture to reveal the annotated versions. The video is about histology of ureter and how to identify the slide in practical. The inner mucosa, including a surface of. Use this virtual. Ureter Microscope Slide Labeled.
From www.southernbiological.com
Ureter, TS, H&E stain Microscope slide Southern Biological Ureter Microscope Slide Labeled The ureters have walls with three principal layers. It is lined with an epithelium that is impermeable to water and ions. Click on the annotations box below each unlabelled picture to reveal the annotated versions. H&e pas silver stain electron micrograph Different stains and microscopy methods are used to visualize features of renal corpuscles. The video is about histology of. Ureter Microscope Slide Labeled.
From www.studocu.com
Histopathology Urinary System KIDNEY, H&E, SCANNER KIDNEYCORTEX, H Ureter Microscope Slide Labeled Click on the annotations box below each unlabelled picture to reveal the annotated versions. The inner mucosa, including a surface of. The ureters have walls with three principal layers. Ureter transport urine from the kidney to the bladder. Use this virtual microscopic slide of ureter to identify the ureter and the following components: Different stains and microscopy methods are used. Ureter Microscope Slide Labeled.
From quizlet.com
LP3 Ureter Microscope Slide Diagram Quizlet Ureter Microscope Slide Labeled H&e pas silver stain electron micrograph Click on the annotations box below each unlabelled picture to reveal the annotated versions. The epithelium lining this tube is stratified, transitional epithelium. Different stains and microscopy methods are used to visualize features of renal corpuscles. Use this virtual microscopic slide of ureter to identify the ureter and the following components: The inner mucosa,. Ureter Microscope Slide Labeled.
From drawittoknowit.com
Active Learning for the Medical Sciences ditki medical & biological Ureter Microscope Slide Labeled The epithelium lining this tube is stratified, transitional epithelium. H&e pas silver stain electron micrograph Ureter transport urine from the kidney to the bladder. Use this virtual microscopic slide of ureter to identify the ureter and the following components: The video is about histology of ureter and how to identify the slide in practical. The ureters have walls with three. Ureter Microscope Slide Labeled.
From stock.adobe.com
Bull ureter crosssection permanent microscope slide (stained by Ureter Microscope Slide Labeled The inner mucosa, including a surface of. It is lined with an epithelium that is impermeable to water and ions. Different stains and microscopy methods are used to visualize features of renal corpuscles. Ureter transport urine from the kidney to the bladder. The video is about histology of ureter and how to identify the slide in practical. Click on the. Ureter Microscope Slide Labeled.
From www.ihappysci.com
Affordable 1pcs human ureter c.s., H.E. stained, male, prepared Ureter Microscope Slide Labeled Click on the annotations box below each unlabelled picture to reveal the annotated versions. The ureters have walls with three principal layers. Different stains and microscopy methods are used to visualize features of renal corpuscles. The video is about histology of ureter and how to identify the slide in practical. It is lined with an epithelium that is impermeable to. Ureter Microscope Slide Labeled.
From www.drawittoknowit.com
Histology Ureters and Urinary Bladder (urothelium) ditki medical Ureter Microscope Slide Labeled The video is about histology of ureter and how to identify the slide in practical. It is lined with an epithelium that is impermeable to water and ions. The ureters have walls with three principal layers. Ureter transport urine from the kidney to the bladder. The epithelium lining this tube is stratified, transitional epithelium. Click on the annotations box below. Ureter Microscope Slide Labeled.
From medcell.med.yale.edu
Renal Corpuscle 2 Ureter Microscope Slide Labeled It is lined with an epithelium that is impermeable to water and ions. The ureters have walls with three principal layers. Ureter transport urine from the kidney to the bladder. H&e pas silver stain electron micrograph Different stains and microscopy methods are used to visualize features of renal corpuscles. The inner mucosa, including a surface of. The epithelium lining this. Ureter Microscope Slide Labeled.
From www.pinterest.com
Urinary Bladder Histology Cross Section Urethra in 2020 Tissue Ureter Microscope Slide Labeled The ureters have walls with three principal layers. The inner mucosa, including a surface of. Click on the annotations box below each unlabelled picture to reveal the annotated versions. Ureter transport urine from the kidney to the bladder. It is lined with an epithelium that is impermeable to water and ions. Different stains and microscopy methods are used to visualize. Ureter Microscope Slide Labeled.
From www.wikidoc.org
Ureter wikidoc Ureter Microscope Slide Labeled The inner mucosa, including a surface of. It is lined with an epithelium that is impermeable to water and ions. Different stains and microscopy methods are used to visualize features of renal corpuscles. The ureters have walls with three principal layers. Ureter transport urine from the kidney to the bladder. The epithelium lining this tube is stratified, transitional epithelium. H&e. Ureter Microscope Slide Labeled.
From www.eiscolabs.com
Human Ureter Prepared Microscope Slide 75x25mm — Eisco Labs Ureter Microscope Slide Labeled Click on the annotations box below each unlabelled picture to reveal the annotated versions. Different stains and microscopy methods are used to visualize features of renal corpuscles. It is lined with an epithelium that is impermeable to water and ions. The ureters have walls with three principal layers. The video is about histology of ureter and how to identify the. Ureter Microscope Slide Labeled.
From histoufjfingles.blogspot.com
Histology Atlas Online® Ureter Slide 28 Ureter Microscope Slide Labeled Ureter transport urine from the kidney to the bladder. Click on the annotations box below each unlabelled picture to reveal the annotated versions. Use this virtual microscopic slide of ureter to identify the ureter and the following components: Different stains and microscopy methods are used to visualize features of renal corpuscles. The ureters have walls with three principal layers. The. Ureter Microscope Slide Labeled.
From antranik.org
The Urinary System Ureter and Urinary Bladder Ureter Microscope Slide Labeled The epithelium lining this tube is stratified, transitional epithelium. Click on the annotations box below each unlabelled picture to reveal the annotated versions. H&e pas silver stain electron micrograph The ureters have walls with three principal layers. Different stains and microscopy methods are used to visualize features of renal corpuscles. Use this virtual microscopic slide of ureter to identify the. Ureter Microscope Slide Labeled.