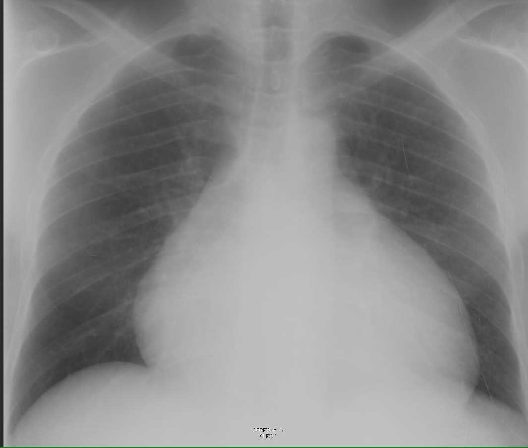
Pericardial Effusion Lateral Chest X Ray . The oreo cookie sign refers to the appearance of pericardial effusion on lateral radiographs of the chest. Lateral cxr of pericardial effusion. Pericardial effusion may cause diffuse st elevation and low voltage on an ecg, though this is not always. A small amount of pericardial fluid may be visualized in asymptomatic normal subjects. Ct demonstrated most of the fluid to lie in the.
from www.researchgate.net
Lateral cxr of pericardial effusion. Pericardial effusion may cause diffuse st elevation and low voltage on an ecg, though this is not always. The oreo cookie sign refers to the appearance of pericardial effusion on lateral radiographs of the chest. Ct demonstrated most of the fluid to lie in the. A small amount of pericardial fluid may be visualized in asymptomatic normal subjects.
Chest Xray of case 3 showing pericardial effusion and left sided
Pericardial Effusion Lateral Chest X Ray Lateral cxr of pericardial effusion. Pericardial effusion may cause diffuse st elevation and low voltage on an ecg, though this is not always. Lateral cxr of pericardial effusion. Ct demonstrated most of the fluid to lie in the. The oreo cookie sign refers to the appearance of pericardial effusion on lateral radiographs of the chest. A small amount of pericardial fluid may be visualized in asymptomatic normal subjects.
From www.flickr.com
606 Figure1 Chest Xray of a pericardial effusion Flickr Pericardial Effusion Lateral Chest X Ray The oreo cookie sign refers to the appearance of pericardial effusion on lateral radiographs of the chest. Ct demonstrated most of the fluid to lie in the. A small amount of pericardial fluid may be visualized in asymptomatic normal subjects. Lateral cxr of pericardial effusion. Pericardial effusion may cause diffuse st elevation and low voltage on an ecg, though this. Pericardial Effusion Lateral Chest X Ray.
From www.learningradiology.com
Learning Radiology Pericardial, effusion Pericardial Effusion Lateral Chest X Ray Pericardial effusion may cause diffuse st elevation and low voltage on an ecg, though this is not always. The oreo cookie sign refers to the appearance of pericardial effusion on lateral radiographs of the chest. Lateral cxr of pericardial effusion. Ct demonstrated most of the fluid to lie in the. A small amount of pericardial fluid may be visualized in. Pericardial Effusion Lateral Chest X Ray.
From radiologypics.com
Pericardial Effusion The Oreo Cookie Sign Pericardial Effusion Lateral Chest X Ray Lateral cxr of pericardial effusion. The oreo cookie sign refers to the appearance of pericardial effusion on lateral radiographs of the chest. A small amount of pericardial fluid may be visualized in asymptomatic normal subjects. Pericardial effusion may cause diffuse st elevation and low voltage on an ecg, though this is not always. Ct demonstrated most of the fluid to. Pericardial Effusion Lateral Chest X Ray.
From www.svuhradiology.ie
Pericardial effusion CXR and CT Radiology at St. Vincent's Pericardial Effusion Lateral Chest X Ray Ct demonstrated most of the fluid to lie in the. The oreo cookie sign refers to the appearance of pericardial effusion on lateral radiographs of the chest. A small amount of pericardial fluid may be visualized in asymptomatic normal subjects. Lateral cxr of pericardial effusion. Pericardial effusion may cause diffuse st elevation and low voltage on an ecg, though this. Pericardial Effusion Lateral Chest X Ray.
From www.researchgate.net
a) Chest Xray (Frontal view) shows thick pericardial calcification Pericardial Effusion Lateral Chest X Ray A small amount of pericardial fluid may be visualized in asymptomatic normal subjects. Ct demonstrated most of the fluid to lie in the. Pericardial effusion may cause diffuse st elevation and low voltage on an ecg, though this is not always. The oreo cookie sign refers to the appearance of pericardial effusion on lateral radiographs of the chest. Lateral cxr. Pericardial Effusion Lateral Chest X Ray.
From radiopaedia.org
Pericardial effusion Radiology Case Pericardial Effusion Lateral Chest X Ray Pericardial effusion may cause diffuse st elevation and low voltage on an ecg, though this is not always. The oreo cookie sign refers to the appearance of pericardial effusion on lateral radiographs of the chest. A small amount of pericardial fluid may be visualized in asymptomatic normal subjects. Ct demonstrated most of the fluid to lie in the. Lateral cxr. Pericardial Effusion Lateral Chest X Ray.
From www.cureus.com
Cureus A Case of Seronegative ANA HydralazineInduced Lupus Pericardial Effusion Lateral Chest X Ray Pericardial effusion may cause diffuse st elevation and low voltage on an ecg, though this is not always. Ct demonstrated most of the fluid to lie in the. A small amount of pericardial fluid may be visualized in asymptomatic normal subjects. The oreo cookie sign refers to the appearance of pericardial effusion on lateral radiographs of the chest. Lateral cxr. Pericardial Effusion Lateral Chest X Ray.
From narodnatribuna.info
Pericardial Effusion On Chest X Ray Youtube Pericardial Effusion Lateral Chest X Ray The oreo cookie sign refers to the appearance of pericardial effusion on lateral radiographs of the chest. Pericardial effusion may cause diffuse st elevation and low voltage on an ecg, though this is not always. Ct demonstrated most of the fluid to lie in the. Lateral cxr of pericardial effusion. A small amount of pericardial fluid may be visualized in. Pericardial Effusion Lateral Chest X Ray.
From www.pinterest.com
Pin on Radio Cardiovascular Pericardial Effusion Lateral Chest X Ray Ct demonstrated most of the fluid to lie in the. The oreo cookie sign refers to the appearance of pericardial effusion on lateral radiographs of the chest. A small amount of pericardial fluid may be visualized in asymptomatic normal subjects. Lateral cxr of pericardial effusion. Pericardial effusion may cause diffuse st elevation and low voltage on an ecg, though this. Pericardial Effusion Lateral Chest X Ray.
From johnsonfrancis.org
Pericardial Effusion on CXR All About Cardiovascular System and Disorders Pericardial Effusion Lateral Chest X Ray Ct demonstrated most of the fluid to lie in the. Pericardial effusion may cause diffuse st elevation and low voltage on an ecg, though this is not always. A small amount of pericardial fluid may be visualized in asymptomatic normal subjects. Lateral cxr of pericardial effusion. The oreo cookie sign refers to the appearance of pericardial effusion on lateral radiographs. Pericardial Effusion Lateral Chest X Ray.
From www.wikidoc.org
Pericardial effusion chest x ray wikidoc Pericardial Effusion Lateral Chest X Ray The oreo cookie sign refers to the appearance of pericardial effusion on lateral radiographs of the chest. A small amount of pericardial fluid may be visualized in asymptomatic normal subjects. Pericardial effusion may cause diffuse st elevation and low voltage on an ecg, though this is not always. Ct demonstrated most of the fluid to lie in the. Lateral cxr. Pericardial Effusion Lateral Chest X Ray.
From www.learningradiology.com
LearningRadiology Pericardial Calcifications, Constrictive Pericarditis Pericardial Effusion Lateral Chest X Ray Ct demonstrated most of the fluid to lie in the. Pericardial effusion may cause diffuse st elevation and low voltage on an ecg, though this is not always. The oreo cookie sign refers to the appearance of pericardial effusion on lateral radiographs of the chest. Lateral cxr of pericardial effusion. A small amount of pericardial fluid may be visualized in. Pericardial Effusion Lateral Chest X Ray.
From www.saem.org
Chest Radiograph Pericardial Effusion Lateral Chest X Ray The oreo cookie sign refers to the appearance of pericardial effusion on lateral radiographs of the chest. Lateral cxr of pericardial effusion. Ct demonstrated most of the fluid to lie in the. A small amount of pericardial fluid may be visualized in asymptomatic normal subjects. Pericardial effusion may cause diffuse st elevation and low voltage on an ecg, though this. Pericardial Effusion Lateral Chest X Ray.
From ar.inspiredpencil.com
Pericardial Effusion Ultrasound Pericardial Effusion Lateral Chest X Ray Ct demonstrated most of the fluid to lie in the. Lateral cxr of pericardial effusion. A small amount of pericardial fluid may be visualized in asymptomatic normal subjects. The oreo cookie sign refers to the appearance of pericardial effusion on lateral radiographs of the chest. Pericardial effusion may cause diffuse st elevation and low voltage on an ecg, though this. Pericardial Effusion Lateral Chest X Ray.
From www.pinterest.com
Pericardial effusion Radiology Case Pericardial Pericardial Effusion Lateral Chest X Ray Pericardial effusion may cause diffuse st elevation and low voltage on an ecg, though this is not always. The oreo cookie sign refers to the appearance of pericardial effusion on lateral radiographs of the chest. A small amount of pericardial fluid may be visualized in asymptomatic normal subjects. Ct demonstrated most of the fluid to lie in the. Lateral cxr. Pericardial Effusion Lateral Chest X Ray.
From radiopaedia.org
Pericardial effusion (SLE) Image Pericardial Effusion Lateral Chest X Ray Pericardial effusion may cause diffuse st elevation and low voltage on an ecg, though this is not always. The oreo cookie sign refers to the appearance of pericardial effusion on lateral radiographs of the chest. A small amount of pericardial fluid may be visualized in asymptomatic normal subjects. Ct demonstrated most of the fluid to lie in the. Lateral cxr. Pericardial Effusion Lateral Chest X Ray.
From radiopaedia.org
Image Pericardial Effusion Lateral Chest X Ray Ct demonstrated most of the fluid to lie in the. The oreo cookie sign refers to the appearance of pericardial effusion on lateral radiographs of the chest. Lateral cxr of pericardial effusion. A small amount of pericardial fluid may be visualized in asymptomatic normal subjects. Pericardial effusion may cause diffuse st elevation and low voltage on an ecg, though this. Pericardial Effusion Lateral Chest X Ray.
From www.researchgate.net
Chest Xray of case 3 showing pericardial effusion and left sided Pericardial Effusion Lateral Chest X Ray Ct demonstrated most of the fluid to lie in the. The oreo cookie sign refers to the appearance of pericardial effusion on lateral radiographs of the chest. Pericardial effusion may cause diffuse st elevation and low voltage on an ecg, though this is not always. A small amount of pericardial fluid may be visualized in asymptomatic normal subjects. Lateral cxr. Pericardial Effusion Lateral Chest X Ray.
From ar.inspiredpencil.com
Pericardial Effusion X Ray Pericardial Effusion Lateral Chest X Ray Ct demonstrated most of the fluid to lie in the. A small amount of pericardial fluid may be visualized in asymptomatic normal subjects. Pericardial effusion may cause diffuse st elevation and low voltage on an ecg, though this is not always. The oreo cookie sign refers to the appearance of pericardial effusion on lateral radiographs of the chest. Lateral cxr. Pericardial Effusion Lateral Chest X Ray.
From www.learningradiology.com
Learning Radiology Pericardial, effusion Pericardial Effusion Lateral Chest X Ray Ct demonstrated most of the fluid to lie in the. Lateral cxr of pericardial effusion. A small amount of pericardial fluid may be visualized in asymptomatic normal subjects. The oreo cookie sign refers to the appearance of pericardial effusion on lateral radiographs of the chest. Pericardial effusion may cause diffuse st elevation and low voltage on an ecg, though this. Pericardial Effusion Lateral Chest X Ray.
From www.ctisus.com
Pericardial Effusion on Chest Xray X Rays Case Studies CTisus CT Pericardial Effusion Lateral Chest X Ray The oreo cookie sign refers to the appearance of pericardial effusion on lateral radiographs of the chest. Ct demonstrated most of the fluid to lie in the. Lateral cxr of pericardial effusion. A small amount of pericardial fluid may be visualized in asymptomatic normal subjects. Pericardial effusion may cause diffuse st elevation and low voltage on an ecg, though this. Pericardial Effusion Lateral Chest X Ray.
From www.youtube.com
Chest xray Pericardial Effusion YouTube Pericardial Effusion Lateral Chest X Ray A small amount of pericardial fluid may be visualized in asymptomatic normal subjects. The oreo cookie sign refers to the appearance of pericardial effusion on lateral radiographs of the chest. Ct demonstrated most of the fluid to lie in the. Lateral cxr of pericardial effusion. Pericardial effusion may cause diffuse st elevation and low voltage on an ecg, though this. Pericardial Effusion Lateral Chest X Ray.
From teachim.org
Pericardial Effusion teachIM Pericardial Effusion Lateral Chest X Ray A small amount of pericardial fluid may be visualized in asymptomatic normal subjects. Lateral cxr of pericardial effusion. The oreo cookie sign refers to the appearance of pericardial effusion on lateral radiographs of the chest. Ct demonstrated most of the fluid to lie in the. Pericardial effusion may cause diffuse st elevation and low voltage on an ecg, though this. Pericardial Effusion Lateral Chest X Ray.
From www.researchgate.net
(A and B) Anteriorposterior and lateral chest X rays, demonstrating Pericardial Effusion Lateral Chest X Ray The oreo cookie sign refers to the appearance of pericardial effusion on lateral radiographs of the chest. Pericardial effusion may cause diffuse st elevation and low voltage on an ecg, though this is not always. Ct demonstrated most of the fluid to lie in the. Lateral cxr of pericardial effusion. A small amount of pericardial fluid may be visualized in. Pericardial Effusion Lateral Chest X Ray.
From ar.inspiredpencil.com
Pericardial Effusion X Ray Pericardial Effusion Lateral Chest X Ray A small amount of pericardial fluid may be visualized in asymptomatic normal subjects. Pericardial effusion may cause diffuse st elevation and low voltage on an ecg, though this is not always. The oreo cookie sign refers to the appearance of pericardial effusion on lateral radiographs of the chest. Ct demonstrated most of the fluid to lie in the. Lateral cxr. Pericardial Effusion Lateral Chest X Ray.
From klaavtxpw.blob.core.windows.net
Joint Effusion Chest X Ray at Debra Martin blog Pericardial Effusion Lateral Chest X Ray Ct demonstrated most of the fluid to lie in the. The oreo cookie sign refers to the appearance of pericardial effusion on lateral radiographs of the chest. Pericardial effusion may cause diffuse st elevation and low voltage on an ecg, though this is not always. Lateral cxr of pericardial effusion. A small amount of pericardial fluid may be visualized in. Pericardial Effusion Lateral Chest X Ray.
From nurseslabs.com
Chest Xray (Chest Radiography) Nursing Responsibilities Nurseslabs Pericardial Effusion Lateral Chest X Ray Ct demonstrated most of the fluid to lie in the. Pericardial effusion may cause diffuse st elevation and low voltage on an ecg, though this is not always. A small amount of pericardial fluid may be visualized in asymptomatic normal subjects. The oreo cookie sign refers to the appearance of pericardial effusion on lateral radiographs of the chest. Lateral cxr. Pericardial Effusion Lateral Chest X Ray.
From www.acc.org
Chest Radiograph Signs Suggestive of Pericardial Disease American Pericardial Effusion Lateral Chest X Ray Lateral cxr of pericardial effusion. Pericardial effusion may cause diffuse st elevation and low voltage on an ecg, though this is not always. Ct demonstrated most of the fluid to lie in the. The oreo cookie sign refers to the appearance of pericardial effusion on lateral radiographs of the chest. A small amount of pericardial fluid may be visualized in. Pericardial Effusion Lateral Chest X Ray.
From www.youtube.com
Pericardial Effusion Explanation of Chest Xray Findings (Water Bottle Pericardial Effusion Lateral Chest X Ray Lateral cxr of pericardial effusion. A small amount of pericardial fluid may be visualized in asymptomatic normal subjects. Pericardial effusion may cause diffuse st elevation and low voltage on an ecg, though this is not always. The oreo cookie sign refers to the appearance of pericardial effusion on lateral radiographs of the chest. Ct demonstrated most of the fluid to. Pericardial Effusion Lateral Chest X Ray.
From www.researchgate.net
Chest Xray of case 3 showing pericardial effusion and left sided Pericardial Effusion Lateral Chest X Ray Lateral cxr of pericardial effusion. The oreo cookie sign refers to the appearance of pericardial effusion on lateral radiographs of the chest. A small amount of pericardial fluid may be visualized in asymptomatic normal subjects. Pericardial effusion may cause diffuse st elevation and low voltage on an ecg, though this is not always. Ct demonstrated most of the fluid to. Pericardial Effusion Lateral Chest X Ray.
From proper-cooking.info
Pericarditis Chest X Ray Pericardial Effusion Lateral Chest X Ray A small amount of pericardial fluid may be visualized in asymptomatic normal subjects. Ct demonstrated most of the fluid to lie in the. Lateral cxr of pericardial effusion. Pericardial effusion may cause diffuse st elevation and low voltage on an ecg, though this is not always. The oreo cookie sign refers to the appearance of pericardial effusion on lateral radiographs. Pericardial Effusion Lateral Chest X Ray.
From radiologyinthai.blogspot.com
RiT radiology Pericardial Effusion on Lateral Chest Radiograph Pericardial Effusion Lateral Chest X Ray The oreo cookie sign refers to the appearance of pericardial effusion on lateral radiographs of the chest. Pericardial effusion may cause diffuse st elevation and low voltage on an ecg, though this is not always. Lateral cxr of pericardial effusion. A small amount of pericardial fluid may be visualized in asymptomatic normal subjects. Ct demonstrated most of the fluid to. Pericardial Effusion Lateral Chest X Ray.
From ar.inspiredpencil.com
Pericardial Effusion X Ray Pericardial Effusion Lateral Chest X Ray The oreo cookie sign refers to the appearance of pericardial effusion on lateral radiographs of the chest. A small amount of pericardial fluid may be visualized in asymptomatic normal subjects. Pericardial effusion may cause diffuse st elevation and low voltage on an ecg, though this is not always. Lateral cxr of pericardial effusion. Ct demonstrated most of the fluid to. Pericardial Effusion Lateral Chest X Ray.
From www.researchgate.net
Chest Xray showed the presence of rightsided pleural effusion Pericardial Effusion Lateral Chest X Ray Ct demonstrated most of the fluid to lie in the. Pericardial effusion may cause diffuse st elevation and low voltage on an ecg, though this is not always. The oreo cookie sign refers to the appearance of pericardial effusion on lateral radiographs of the chest. Lateral cxr of pericardial effusion. A small amount of pericardial fluid may be visualized in. Pericardial Effusion Lateral Chest X Ray.
From www.wikidoc.org
Pericardial effusion chest x ray wikidoc Pericardial Effusion Lateral Chest X Ray Pericardial effusion may cause diffuse st elevation and low voltage on an ecg, though this is not always. Ct demonstrated most of the fluid to lie in the. Lateral cxr of pericardial effusion. The oreo cookie sign refers to the appearance of pericardial effusion on lateral radiographs of the chest. A small amount of pericardial fluid may be visualized in. Pericardial Effusion Lateral Chest X Ray.