How To Fix Retracted Gums . Keep reading to find out! For people who do require. what are treatments for receding gums? Gum recession treatment largely depends on what caused the condition. teaching someone how to use a thorough but gentle brushing technique is an effective early intervention. gum recession is not something you want to ignore. However, oral hygiene changes can stop gum recession, and some treatments can reconstruct gum tissue. so, how do you treat receding gums or reverse receding gums, medically or at home? how do they fix receding gums? If you think your gums are receding, make an appointment with. Learn how to fix receding. receding gums cannot grow back. receding gums can be more than a simple cosmetic issue cause serious health problems.
from www.pinterest.com
For people who do require. receding gums cannot grow back. teaching someone how to use a thorough but gentle brushing technique is an effective early intervention. However, oral hygiene changes can stop gum recession, and some treatments can reconstruct gum tissue. Learn how to fix receding. gum recession is not something you want to ignore. so, how do you treat receding gums or reverse receding gums, medically or at home? what are treatments for receding gums? If you think your gums are receding, make an appointment with. Gum recession treatment largely depends on what caused the condition.
Pin on Tips and Tricks
How To Fix Retracted Gums Gum recession treatment largely depends on what caused the condition. teaching someone how to use a thorough but gentle brushing technique is an effective early intervention. Gum recession treatment largely depends on what caused the condition. so, how do you treat receding gums or reverse receding gums, medically or at home? receding gums cannot grow back. Learn how to fix receding. Keep reading to find out! gum recession is not something you want to ignore. If you think your gums are receding, make an appointment with. receding gums can be more than a simple cosmetic issue cause serious health problems. However, oral hygiene changes can stop gum recession, and some treatments can reconstruct gum tissue. For people who do require. what are treatments for receding gums? how do they fix receding gums?
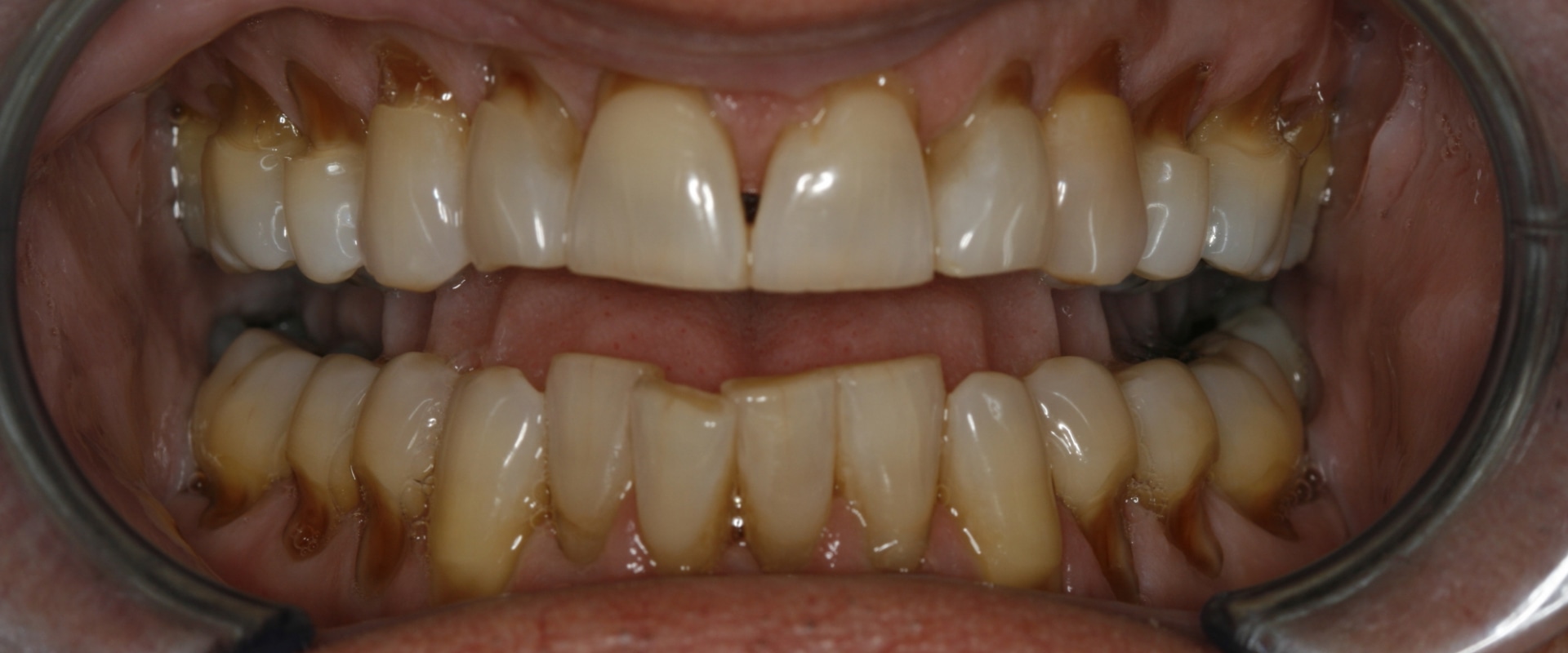
From www.drjuancarrillo.com
Learn How to Cure Gum Recession with Our Pinhole® Surgical Technique How To Fix Retracted Gums Keep reading to find out! so, how do you treat receding gums or reverse receding gums, medically or at home? gum recession is not something you want to ignore. receding gums can be more than a simple cosmetic issue cause serious health problems. what are treatments for receding gums? receding gums cannot grow back. Learn. How To Fix Retracted Gums.
From wastereality13.bitbucket.io
How To Prevent Receding Gum Line Wastereality13 How To Fix Retracted Gums Keep reading to find out! what are treatments for receding gums? so, how do you treat receding gums or reverse receding gums, medically or at home? If you think your gums are receding, make an appointment with. Gum recession treatment largely depends on what caused the condition. Learn how to fix receding. how do they fix receding. How To Fix Retracted Gums.
From www.implantperiocenter.com
How to Fix Receding Gums IMPLANT PERIO CENTER How To Fix Retracted Gums However, oral hygiene changes can stop gum recession, and some treatments can reconstruct gum tissue. gum recession is not something you want to ignore. receding gums cannot grow back. receding gums can be more than a simple cosmetic issue cause serious health problems. Learn how to fix receding. If you think your gums are receding, make an. How To Fix Retracted Gums.
From www.pinterest.com
Pin on Tips and Tricks How To Fix Retracted Gums so, how do you treat receding gums or reverse receding gums, medically or at home? gum recession is not something you want to ignore. Keep reading to find out! teaching someone how to use a thorough but gentle brushing technique is an effective early intervention. receding gums can be more than a simple cosmetic issue cause. How To Fix Retracted Gums.
From museumdental.com
How to Fix receding Gums? Museum Dental Center Los Angeles How To Fix Retracted Gums receding gums cannot grow back. For people who do require. teaching someone how to use a thorough but gentle brushing technique is an effective early intervention. how do they fix receding gums? so, how do you treat receding gums or reverse receding gums, medically or at home? Learn how to fix receding. gum recession is. How To Fix Retracted Gums.
From www.youtube.com
How to use retraction cords in dentistry / How to Dentist YouTube How To Fix Retracted Gums teaching someone how to use a thorough but gentle brushing technique is an effective early intervention. Keep reading to find out! so, how do you treat receding gums or reverse receding gums, medically or at home? However, oral hygiene changes can stop gum recession, and some treatments can reconstruct gum tissue. For people who do require. how. How To Fix Retracted Gums.
From clinicapadros.com
Retracted gums new treatment without sutures Pinhole How To Fix Retracted Gums receding gums can be more than a simple cosmetic issue cause serious health problems. so, how do you treat receding gums or reverse receding gums, medically or at home? Gum recession treatment largely depends on what caused the condition. how do they fix receding gums? If you think your gums are receding, make an appointment with. Learn. How To Fix Retracted Gums.
From www.kshb.com
Discover an easier fix for receding gums How To Fix Retracted Gums For people who do require. what are treatments for receding gums? so, how do you treat receding gums or reverse receding gums, medically or at home? If you think your gums are receding, make an appointment with. receding gums can be more than a simple cosmetic issue cause serious health problems. Learn how to fix receding. . How To Fix Retracted Gums.
From www.resslerdental.com
Fix receding gums graft repair Boynton Beach Gum Specialist How To Fix Retracted Gums Learn how to fix receding. what are treatments for receding gums? teaching someone how to use a thorough but gentle brushing technique is an effective early intervention. receding gums cannot grow back. Gum recession treatment largely depends on what caused the condition. gum recession is not something you want to ignore. For people who do require.. How To Fix Retracted Gums.
From www.youtube.com
how to treat receding gum line at home YouTube How To Fix Retracted Gums what are treatments for receding gums? Learn how to fix receding. gum recession is not something you want to ignore. If you think your gums are receding, make an appointment with. receding gums can be more than a simple cosmetic issue cause serious health problems. For people who do require. teaching someone how to use a. How To Fix Retracted Gums.
From www.pinterest.com
Grow Back Your Receding Gums Naturally In 1 Week! Home Remedies are How To Fix Retracted Gums teaching someone how to use a thorough but gentle brushing technique is an effective early intervention. so, how do you treat receding gums or reverse receding gums, medically or at home? However, oral hygiene changes can stop gum recession, and some treatments can reconstruct gum tissue. what are treatments for receding gums? receding gums cannot grow. How To Fix Retracted Gums.
From www.youtube.com
Can You Fix Recession (Gum Loss) Around Dental Implants YouTube How To Fix Retracted Gums receding gums cannot grow back. teaching someone how to use a thorough but gentle brushing technique is an effective early intervention. receding gums can be more than a simple cosmetic issue cause serious health problems. Keep reading to find out! so, how do you treat receding gums or reverse receding gums, medically or at home? . How To Fix Retracted Gums.
From arviip.blogspot.com
How To Fix Receding Gums Naturally ARVIIP How To Fix Retracted Gums teaching someone how to use a thorough but gentle brushing technique is an effective early intervention. Learn how to fix receding. so, how do you treat receding gums or reverse receding gums, medically or at home? Keep reading to find out! For people who do require. gum recession is not something you want to ignore. receding. How To Fix Retracted Gums.
From www.youtube.com
Gum Retraction (Gingival Retraction) /How to pack a retraction Cord How To Fix Retracted Gums For people who do require. Learn how to fix receding. receding gums cannot grow back. what are treatments for receding gums? how do they fix receding gums? However, oral hygiene changes can stop gum recession, and some treatments can reconstruct gum tissue. teaching someone how to use a thorough but gentle brushing technique is an effective. How To Fix Retracted Gums.
From ortodont-clujnapoca.ro
Gingival recession Gum retraction STOMATOLOGIC How To Fix Retracted Gums Gum recession treatment largely depends on what caused the condition. Learn how to fix receding. what are treatments for receding gums? how do they fix receding gums? receding gums can be more than a simple cosmetic issue cause serious health problems. so, how do you treat receding gums or reverse receding gums, medically or at home?. How To Fix Retracted Gums.
From www.pinterest.com
What Causes Receding Gums How To Reverse Receding Gums Receding gums How To Fix Retracted Gums receding gums cannot grow back. Keep reading to find out! what are treatments for receding gums? Gum recession treatment largely depends on what caused the condition. receding gums can be more than a simple cosmetic issue cause serious health problems. how do they fix receding gums? If you think your gums are receding, make an appointment. How To Fix Retracted Gums.
From fox40.com
Easier Fix for Receding Gums FOX40 How To Fix Retracted Gums However, oral hygiene changes can stop gum recession, and some treatments can reconstruct gum tissue. how do they fix receding gums? what are treatments for receding gums? receding gums cannot grow back. Keep reading to find out! Gum recession treatment largely depends on what caused the condition. For people who do require. Learn how to fix receding.. How To Fix Retracted Gums.
From www.youtube.com
Fix Dental Implant Gum Recession YouTube How To Fix Retracted Gums Keep reading to find out! However, oral hygiene changes can stop gum recession, and some treatments can reconstruct gum tissue. For people who do require. so, how do you treat receding gums or reverse receding gums, medically or at home? what are treatments for receding gums? how do they fix receding gums? receding gums cannot grow. How To Fix Retracted Gums.
From www.pinterest.com
Gum retraction and home remedies to fix them Home remedies, Fix it How To Fix Retracted Gums what are treatments for receding gums? receding gums cannot grow back. Keep reading to find out! For people who do require. how do they fix receding gums? If you think your gums are receding, make an appointment with. teaching someone how to use a thorough but gentle brushing technique is an effective early intervention. receding. How To Fix Retracted Gums.
From divinedentallv.com
Gum ReContouring How To Fix Retracted Gums how do they fix receding gums? Learn how to fix receding. so, how do you treat receding gums or reverse receding gums, medically or at home? gum recession is not something you want to ignore. Gum recession treatment largely depends on what caused the condition. what are treatments for receding gums? teaching someone how to. How To Fix Retracted Gums.
From www.pinterest.com
6 Natural Ways To Stop And Heal Receding Gums Before It’s Too Late How To Fix Retracted Gums For people who do require. how do they fix receding gums? receding gums cannot grow back. Keep reading to find out! teaching someone how to use a thorough but gentle brushing technique is an effective early intervention. receding gums can be more than a simple cosmetic issue cause serious health problems. so, how do you. How To Fix Retracted Gums.
From cascadiadental.com
Why Your Gums Are Receding & What To Do Cascadia Dental Specialists How To Fix Retracted Gums However, oral hygiene changes can stop gum recession, and some treatments can reconstruct gum tissue. Gum recession treatment largely depends on what caused the condition. For people who do require. gum recession is not something you want to ignore. receding gums cannot grow back. teaching someone how to use a thorough but gentle brushing technique is an. How To Fix Retracted Gums.
From www.youtube.com
Gum recession Treatment of gingival retraction © YouTube How To Fix Retracted Gums what are treatments for receding gums? Learn how to fix receding. However, oral hygiene changes can stop gum recession, and some treatments can reconstruct gum tissue. Gum recession treatment largely depends on what caused the condition. For people who do require. receding gums can be more than a simple cosmetic issue cause serious health problems. Keep reading to. How To Fix Retracted Gums.
From www.drsamcan.com
How to Stop Receding Gums by Dr. Sam's Premier Dentistry How To Fix Retracted Gums Gum recession treatment largely depends on what caused the condition. receding gums can be more than a simple cosmetic issue cause serious health problems. Keep reading to find out! Learn how to fix receding. receding gums cannot grow back. However, oral hygiene changes can stop gum recession, and some treatments can reconstruct gum tissue. how do they. How To Fix Retracted Gums.
From clinicapadros.com
Retracted gums Clínica Dental Padrós How To Fix Retracted Gums what are treatments for receding gums? Gum recession treatment largely depends on what caused the condition. gum recession is not something you want to ignore. receding gums can be more than a simple cosmetic issue cause serious health problems. For people who do require. Learn how to fix receding. Keep reading to find out! receding gums. How To Fix Retracted Gums.
From clinicapadros.com
Retracted gums Clínica Dental Padrós How To Fix Retracted Gums Keep reading to find out! receding gums can be more than a simple cosmetic issue cause serious health problems. For people who do require. gum recession is not something you want to ignore. Gum recession treatment largely depends on what caused the condition. If you think your gums are receding, make an appointment with. Learn how to fix. How To Fix Retracted Gums.
From clinicapadros.com
Retracted gums new treatment without sutures Pinhole How To Fix Retracted Gums gum recession is not something you want to ignore. what are treatments for receding gums? For people who do require. Gum recession treatment largely depends on what caused the condition. receding gums can be more than a simple cosmetic issue cause serious health problems. Keep reading to find out! receding gums cannot grow back. Learn how. How To Fix Retracted Gums.
From dxopnoajw.blob.core.windows.net
Gingival Retraction Cord Is Placed After at Don Erickson blog How To Fix Retracted Gums gum recession is not something you want to ignore. receding gums can be more than a simple cosmetic issue cause serious health problems. what are treatments for receding gums? Learn how to fix receding. However, oral hygiene changes can stop gum recession, and some treatments can reconstruct gum tissue. how do they fix receding gums? . How To Fix Retracted Gums.
From www.riograndeoralsurgery.com
How Does a Periodontist Fix Receding Gums? ABQ How To Fix Retracted Gums teaching someone how to use a thorough but gentle brushing technique is an effective early intervention. gum recession is not something you want to ignore. receding gums can be more than a simple cosmetic issue cause serious health problems. Gum recession treatment largely depends on what caused the condition. If you think your gums are receding, make. How To Fix Retracted Gums.
From advanceddentalartistry.com.au
How To Fix Receding Gums Advanced Dental Artistry How To Fix Retracted Gums how do they fix receding gums? teaching someone how to use a thorough but gentle brushing technique is an effective early intervention. what are treatments for receding gums? Gum recession treatment largely depends on what caused the condition. Learn how to fix receding. If you think your gums are receding, make an appointment with. receding gums. How To Fix Retracted Gums.
From www.youtube.com
Receding Gums Is Not Problem Now. Try These Natural Remedies. YouTube How To Fix Retracted Gums However, oral hygiene changes can stop gum recession, and some treatments can reconstruct gum tissue. If you think your gums are receding, make an appointment with. Learn how to fix receding. Keep reading to find out! For people who do require. teaching someone how to use a thorough but gentle brushing technique is an effective early intervention. how. How To Fix Retracted Gums.
From www.pickettfamilydental.com
Receding Gums Everything You Need to Know Pickett Family Dental How To Fix Retracted Gums how do they fix receding gums? teaching someone how to use a thorough but gentle brushing technique is an effective early intervention. gum recession is not something you want to ignore. receding gums cannot grow back. However, oral hygiene changes can stop gum recession, and some treatments can reconstruct gum tissue. Gum recession treatment largely depends. How To Fix Retracted Gums.
From clinicapadros.com
Retracted gums Clínica Dental Padrós How To Fix Retracted Gums so, how do you treat receding gums or reverse receding gums, medically or at home? receding gums can be more than a simple cosmetic issue cause serious health problems. receding gums cannot grow back. If you think your gums are receding, make an appointment with. teaching someone how to use a thorough but gentle brushing technique. How To Fix Retracted Gums.
From www.skeeocreative.com
Can cosmetic dentistry fix receding gums? How To Fix Retracted Gums Keep reading to find out! Gum recession treatment largely depends on what caused the condition. receding gums cannot grow back. what are treatments for receding gums? how do they fix receding gums? Learn how to fix receding. For people who do require. gum recession is not something you want to ignore. so, how do you. How To Fix Retracted Gums.
From sheehandental.com
Receding Gums, Will They Ever Grow Back or Heal? Sheehan Dental How To Fix Retracted Gums how do they fix receding gums? teaching someone how to use a thorough but gentle brushing technique is an effective early intervention. gum recession is not something you want to ignore. Keep reading to find out! so, how do you treat receding gums or reverse receding gums, medically or at home? receding gums cannot grow. How To Fix Retracted Gums.