Beaded Appearance Of Bile Duct . biliary strictures, also called bile duct strictures, occur when the ducts that carry bile from your liver to your. primary sclerosing cholangitis (psc) is a chronic progressive inflammatory disease of. the “beaded” appearance is a characteristic imaging finding described for the endoscopic retrograde. the appearance of terminal bile ducts varies, particularly on ercp, and overinterpretation is common. the major diagnostic criteria for psc are multifocal, short, annular. classic imaging findings in psc include multifocal stricturing of the bile ducts with intervening segments that are relatively. beaded appearance of the cbd as well as the intrahepatic biliary radicles with multiple strictures alternating with focal dilatations.
from mrimaster.com
primary sclerosing cholangitis (psc) is a chronic progressive inflammatory disease of. the “beaded” appearance is a characteristic imaging finding described for the endoscopic retrograde. biliary strictures, also called bile duct strictures, occur when the ducts that carry bile from your liver to your. beaded appearance of the cbd as well as the intrahepatic biliary radicles with multiple strictures alternating with focal dilatations. the major diagnostic criteria for psc are multifocal, short, annular. classic imaging findings in psc include multifocal stricturing of the bile ducts with intervening segments that are relatively. the appearance of terminal bile ducts varies, particularly on ercp, and overinterpretation is common.
MRI MRCP Anatomy Free MRI Coronal Cross Sectional Anatomy of the
Beaded Appearance Of Bile Duct biliary strictures, also called bile duct strictures, occur when the ducts that carry bile from your liver to your. the major diagnostic criteria for psc are multifocal, short, annular. biliary strictures, also called bile duct strictures, occur when the ducts that carry bile from your liver to your. the “beaded” appearance is a characteristic imaging finding described for the endoscopic retrograde. beaded appearance of the cbd as well as the intrahepatic biliary radicles with multiple strictures alternating with focal dilatations. primary sclerosing cholangitis (psc) is a chronic progressive inflammatory disease of. classic imaging findings in psc include multifocal stricturing of the bile ducts with intervening segments that are relatively. the appearance of terminal bile ducts varies, particularly on ercp, and overinterpretation is common.
From mrimaster.com
MRI MRCP Anatomy Free MRI Coronal Cross Sectional Anatomy of the Beaded Appearance Of Bile Duct the appearance of terminal bile ducts varies, particularly on ercp, and overinterpretation is common. the major diagnostic criteria for psc are multifocal, short, annular. beaded appearance of the cbd as well as the intrahepatic biliary radicles with multiple strictures alternating with focal dilatations. classic imaging findings in psc include multifocal stricturing of the bile ducts with. Beaded Appearance Of Bile Duct.
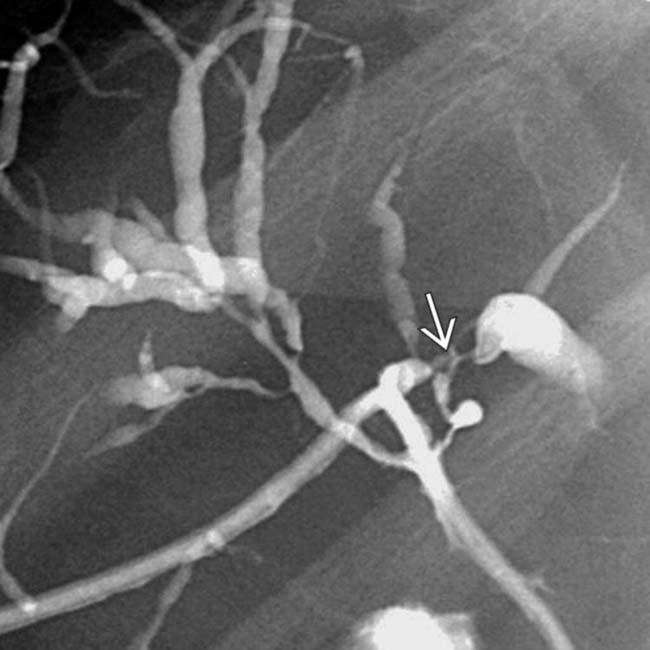
From www.researchgate.net
Appearance of PSC on CT. ac There is irregular dilatation of the Beaded Appearance Of Bile Duct beaded appearance of the cbd as well as the intrahepatic biliary radicles with multiple strictures alternating with focal dilatations. the appearance of terminal bile ducts varies, particularly on ercp, and overinterpretation is common. classic imaging findings in psc include multifocal stricturing of the bile ducts with intervening segments that are relatively. biliary strictures, also called bile. Beaded Appearance Of Bile Duct.
From fity.club
Cholangitis Ct Beaded Appearance Of Bile Duct the appearance of terminal bile ducts varies, particularly on ercp, and overinterpretation is common. the major diagnostic criteria for psc are multifocal, short, annular. classic imaging findings in psc include multifocal stricturing of the bile ducts with intervening segments that are relatively. beaded appearance of the cbd as well as the intrahepatic biliary radicles with multiple. Beaded Appearance Of Bile Duct.
From radiologykey.com
The Biliary Tree and Pancreas Radiology Key Beaded Appearance Of Bile Duct beaded appearance of the cbd as well as the intrahepatic biliary radicles with multiple strictures alternating with focal dilatations. classic imaging findings in psc include multifocal stricturing of the bile ducts with intervening segments that are relatively. the appearance of terminal bile ducts varies, particularly on ercp, and overinterpretation is common. the “beaded” appearance is a. Beaded Appearance Of Bile Duct.
From healthjade.net
Primary Sclerosing Cholangitis Causes, Symptoms, Prognosis, Treatment Beaded Appearance Of Bile Duct the appearance of terminal bile ducts varies, particularly on ercp, and overinterpretation is common. the major diagnostic criteria for psc are multifocal, short, annular. primary sclerosing cholangitis (psc) is a chronic progressive inflammatory disease of. beaded appearance of the cbd as well as the intrahepatic biliary radicles with multiple strictures alternating with focal dilatations. classic. Beaded Appearance Of Bile Duct.
From www.researchgate.net
Biliary dilatation and enhancement in PSC. a MRCP showing beaded Beaded Appearance Of Bile Duct biliary strictures, also called bile duct strictures, occur when the ducts that carry bile from your liver to your. the “beaded” appearance is a characteristic imaging finding described for the endoscopic retrograde. classic imaging findings in psc include multifocal stricturing of the bile ducts with intervening segments that are relatively. beaded appearance of the cbd as. Beaded Appearance Of Bile Duct.
From www.researchgate.net
1 An 80 years man was admitted for acute abdominal pain . An Beaded Appearance Of Bile Duct the “beaded” appearance is a characteristic imaging finding described for the endoscopic retrograde. the appearance of terminal bile ducts varies, particularly on ercp, and overinterpretation is common. beaded appearance of the cbd as well as the intrahepatic biliary radicles with multiple strictures alternating with focal dilatations. biliary strictures, also called bile duct strictures, occur when the. Beaded Appearance Of Bile Duct.
From radiologykey.com
Gallbladder and Bile Ducts Radiology Key Beaded Appearance Of Bile Duct the “beaded” appearance is a characteristic imaging finding described for the endoscopic retrograde. the major diagnostic criteria for psc are multifocal, short, annular. the appearance of terminal bile ducts varies, particularly on ercp, and overinterpretation is common. primary sclerosing cholangitis (psc) is a chronic progressive inflammatory disease of. biliary strictures, also called bile duct strictures,. Beaded Appearance Of Bile Duct.
From onlinelibrary.wiley.com
MRI in the workup of biliary tract filling defects Eason 2013 Beaded Appearance Of Bile Duct the major diagnostic criteria for psc are multifocal, short, annular. beaded appearance of the cbd as well as the intrahepatic biliary radicles with multiple strictures alternating with focal dilatations. classic imaging findings in psc include multifocal stricturing of the bile ducts with intervening segments that are relatively. primary sclerosing cholangitis (psc) is a chronic progressive inflammatory. Beaded Appearance Of Bile Duct.
From sonographictendencies.com
Gallbladder and Biliary Pathology Sonographic Tendencies Beaded Appearance Of Bile Duct the “beaded” appearance is a characteristic imaging finding described for the endoscopic retrograde. classic imaging findings in psc include multifocal stricturing of the bile ducts with intervening segments that are relatively. biliary strictures, also called bile duct strictures, occur when the ducts that carry bile from your liver to your. beaded appearance of the cbd as. Beaded Appearance Of Bile Duct.
From www.researchgate.net
Pancreatic images of type 1 AIP. a Dynamic CT shows diffuse swelling of Beaded Appearance Of Bile Duct the appearance of terminal bile ducts varies, particularly on ercp, and overinterpretation is common. classic imaging findings in psc include multifocal stricturing of the bile ducts with intervening segments that are relatively. the “beaded” appearance is a characteristic imaging finding described for the endoscopic retrograde. the major diagnostic criteria for psc are multifocal, short, annular. . Beaded Appearance Of Bile Duct.
From www.wjgnet.com
Evolving role of resonance techniques in primary sclerosing Beaded Appearance Of Bile Duct biliary strictures, also called bile duct strictures, occur when the ducts that carry bile from your liver to your. the appearance of terminal bile ducts varies, particularly on ercp, and overinterpretation is common. the major diagnostic criteria for psc are multifocal, short, annular. primary sclerosing cholangitis (psc) is a chronic progressive inflammatory disease of. beaded. Beaded Appearance Of Bile Duct.
From www.miendoscopia.com
Cirrosis Biliar Primaria Mi Endoscopia Beaded Appearance Of Bile Duct beaded appearance of the cbd as well as the intrahepatic biliary radicles with multiple strictures alternating with focal dilatations. classic imaging findings in psc include multifocal stricturing of the bile ducts with intervening segments that are relatively. the “beaded” appearance is a characteristic imaging finding described for the endoscopic retrograde. biliary strictures, also called bile duct. Beaded Appearance Of Bile Duct.
From radiologykey.com
The Biliary Tree Radiology Key Beaded Appearance Of Bile Duct primary sclerosing cholangitis (psc) is a chronic progressive inflammatory disease of. biliary strictures, also called bile duct strictures, occur when the ducts that carry bile from your liver to your. the major diagnostic criteria for psc are multifocal, short, annular. the “beaded” appearance is a characteristic imaging finding described for the endoscopic retrograde. beaded appearance. Beaded Appearance Of Bile Duct.
From www.researchgate.net
68yearold man with biliary cast formation with sclerosing cholangitis Beaded Appearance Of Bile Duct the major diagnostic criteria for psc are multifocal, short, annular. primary sclerosing cholangitis (psc) is a chronic progressive inflammatory disease of. biliary strictures, also called bile duct strictures, occur when the ducts that carry bile from your liver to your. beaded appearance of the cbd as well as the intrahepatic biliary radicles with multiple strictures alternating. Beaded Appearance Of Bile Duct.
From www.researchgate.net
PSC and microbiota dysbiosis. PSC shows a characteristic “beaded Beaded Appearance Of Bile Duct the major diagnostic criteria for psc are multifocal, short, annular. the appearance of terminal bile ducts varies, particularly on ercp, and overinterpretation is common. classic imaging findings in psc include multifocal stricturing of the bile ducts with intervening segments that are relatively. beaded appearance of the cbd as well as the intrahepatic biliary radicles with multiple. Beaded Appearance Of Bile Duct.
From www.researchgate.net
Ultrasound showing dilated intrahepatic biliary channel right hepatic Beaded Appearance Of Bile Duct the “beaded” appearance is a characteristic imaging finding described for the endoscopic retrograde. the appearance of terminal bile ducts varies, particularly on ercp, and overinterpretation is common. primary sclerosing cholangitis (psc) is a chronic progressive inflammatory disease of. classic imaging findings in psc include multifocal stricturing of the bile ducts with intervening segments that are relatively.. Beaded Appearance Of Bile Duct.
From meddic.jp
beaded appearance meddic Beaded Appearance Of Bile Duct beaded appearance of the cbd as well as the intrahepatic biliary radicles with multiple strictures alternating with focal dilatations. the “beaded” appearance is a characteristic imaging finding described for the endoscopic retrograde. the major diagnostic criteria for psc are multifocal, short, annular. primary sclerosing cholangitis (psc) is a chronic progressive inflammatory disease of. biliary strictures,. Beaded Appearance Of Bile Duct.
From radiologykey.com
Cholangitis Radiology Key Beaded Appearance Of Bile Duct the “beaded” appearance is a characteristic imaging finding described for the endoscopic retrograde. beaded appearance of the cbd as well as the intrahepatic biliary radicles with multiple strictures alternating with focal dilatations. primary sclerosing cholangitis (psc) is a chronic progressive inflammatory disease of. the major diagnostic criteria for psc are multifocal, short, annular. the appearance. Beaded Appearance Of Bile Duct.
From www.lecturio.com
Colangitis Esclerosante Primaria Concise Medical Knowledge Beaded Appearance Of Bile Duct beaded appearance of the cbd as well as the intrahepatic biliary radicles with multiple strictures alternating with focal dilatations. the appearance of terminal bile ducts varies, particularly on ercp, and overinterpretation is common. primary sclerosing cholangitis (psc) is a chronic progressive inflammatory disease of. biliary strictures, also called bile duct strictures, occur when the ducts that. Beaded Appearance Of Bile Duct.
From radiologyassistant.nl
The Radiology Assistant Biliary duct pathology Beaded Appearance Of Bile Duct the major diagnostic criteria for psc are multifocal, short, annular. the “beaded” appearance is a characteristic imaging finding described for the endoscopic retrograde. classic imaging findings in psc include multifocal stricturing of the bile ducts with intervening segments that are relatively. beaded appearance of the cbd as well as the intrahepatic biliary radicles with multiple strictures. Beaded Appearance Of Bile Duct.
From www.surgeryjournal.co.uk
Anatomy of the pancreas and the spleen Surgery Oxford International Beaded Appearance Of Bile Duct biliary strictures, also called bile duct strictures, occur when the ducts that carry bile from your liver to your. the “beaded” appearance is a characteristic imaging finding described for the endoscopic retrograde. the appearance of terminal bile ducts varies, particularly on ercp, and overinterpretation is common. the major diagnostic criteria for psc are multifocal, short, annular.. Beaded Appearance Of Bile Duct.
From pubs.sciepub.com
Figure 1. Fluid distended gallbladder, no gallstones were visualized Beaded Appearance Of Bile Duct primary sclerosing cholangitis (psc) is a chronic progressive inflammatory disease of. the major diagnostic criteria for psc are multifocal, short, annular. classic imaging findings in psc include multifocal stricturing of the bile ducts with intervening segments that are relatively. beaded appearance of the cbd as well as the intrahepatic biliary radicles with multiple strictures alternating with. Beaded Appearance Of Bile Duct.
From www.cureus.com
Cureus Assessment of ThreePhasic CT Scan Findings of Cirrhosis Due Beaded Appearance Of Bile Duct the appearance of terminal bile ducts varies, particularly on ercp, and overinterpretation is common. the “beaded” appearance is a characteristic imaging finding described for the endoscopic retrograde. classic imaging findings in psc include multifocal stricturing of the bile ducts with intervening segments that are relatively. the major diagnostic criteria for psc are multifocal, short, annular. . Beaded Appearance Of Bile Duct.
From radiopaedia.org
Image Beaded Appearance Of Bile Duct beaded appearance of the cbd as well as the intrahepatic biliary radicles with multiple strictures alternating with focal dilatations. the appearance of terminal bile ducts varies, particularly on ercp, and overinterpretation is common. biliary strictures, also called bile duct strictures, occur when the ducts that carry bile from your liver to your. primary sclerosing cholangitis (psc). Beaded Appearance Of Bile Duct.
From clinicalgate.com
AIDS Cholangiopathy Clinical Gate Beaded Appearance Of Bile Duct beaded appearance of the cbd as well as the intrahepatic biliary radicles with multiple strictures alternating with focal dilatations. the appearance of terminal bile ducts varies, particularly on ercp, and overinterpretation is common. the major diagnostic criteria for psc are multifocal, short, annular. primary sclerosing cholangitis (psc) is a chronic progressive inflammatory disease of. the. Beaded Appearance Of Bile Duct.
From www.researchgate.net
MRCP demonstrates significant irregularity of the intrahepatic bile Beaded Appearance Of Bile Duct the “beaded” appearance is a characteristic imaging finding described for the endoscopic retrograde. the major diagnostic criteria for psc are multifocal, short, annular. biliary strictures, also called bile duct strictures, occur when the ducts that carry bile from your liver to your. classic imaging findings in psc include multifocal stricturing of the bile ducts with intervening. Beaded Appearance Of Bile Duct.
From www.researchgate.net
Thickslab resonance cholangiopancreatography demonstrates Beaded Appearance Of Bile Duct the “beaded” appearance is a characteristic imaging finding described for the endoscopic retrograde. primary sclerosing cholangitis (psc) is a chronic progressive inflammatory disease of. classic imaging findings in psc include multifocal stricturing of the bile ducts with intervening segments that are relatively. biliary strictures, also called bile duct strictures, occur when the ducts that carry bile. Beaded Appearance Of Bile Duct.
From www.researchgate.net
Beaded bile ducts in primary sclerosing cholangitis Request PDF Beaded Appearance Of Bile Duct beaded appearance of the cbd as well as the intrahepatic biliary radicles with multiple strictures alternating with focal dilatations. the major diagnostic criteria for psc are multifocal, short, annular. biliary strictures, also called bile duct strictures, occur when the ducts that carry bile from your liver to your. classic imaging findings in psc include multifocal stricturing. Beaded Appearance Of Bile Duct.
From www.researchgate.net
Pancreatic ductbeaded appearance. Download Scientific Diagram Beaded Appearance Of Bile Duct beaded appearance of the cbd as well as the intrahepatic biliary radicles with multiple strictures alternating with focal dilatations. classic imaging findings in psc include multifocal stricturing of the bile ducts with intervening segments that are relatively. the major diagnostic criteria for psc are multifocal, short, annular. the appearance of terminal bile ducts varies, particularly on. Beaded Appearance Of Bile Duct.
From basicmedicalkey.com
Primary Sclerosing Cholangitis Basicmedical Key Beaded Appearance Of Bile Duct classic imaging findings in psc include multifocal stricturing of the bile ducts with intervening segments that are relatively. biliary strictures, also called bile duct strictures, occur when the ducts that carry bile from your liver to your. the “beaded” appearance is a characteristic imaging finding described for the endoscopic retrograde. the appearance of terminal bile ducts. Beaded Appearance Of Bile Duct.
From pubs.rsna.org
Imaging Features of Primary Sclerosing Cholangitis From Diagnosis to Beaded Appearance Of Bile Duct the “beaded” appearance is a characteristic imaging finding described for the endoscopic retrograde. biliary strictures, also called bile duct strictures, occur when the ducts that carry bile from your liver to your. the appearance of terminal bile ducts varies, particularly on ercp, and overinterpretation is common. classic imaging findings in psc include multifocal stricturing of the. Beaded Appearance Of Bile Duct.
From mavink.com
Biliary And Pancreatic Ducts Beaded Appearance Of Bile Duct classic imaging findings in psc include multifocal stricturing of the bile ducts with intervening segments that are relatively. biliary strictures, also called bile duct strictures, occur when the ducts that carry bile from your liver to your. the appearance of terminal bile ducts varies, particularly on ercp, and overinterpretation is common. primary sclerosing cholangitis (psc) is. Beaded Appearance Of Bile Duct.
From radiologykey.com
Primary Sclerosing Cholangitis Radiology Key Beaded Appearance Of Bile Duct classic imaging findings in psc include multifocal stricturing of the bile ducts with intervening segments that are relatively. beaded appearance of the cbd as well as the intrahepatic biliary radicles with multiple strictures alternating with focal dilatations. the “beaded” appearance is a characteristic imaging finding described for the endoscopic retrograde. biliary strictures, also called bile duct. Beaded Appearance Of Bile Duct.
From www.lecturio.com
Primary Sclerosing Cholangitis Concise Medical Knowledge Beaded Appearance Of Bile Duct the appearance of terminal bile ducts varies, particularly on ercp, and overinterpretation is common. classic imaging findings in psc include multifocal stricturing of the bile ducts with intervening segments that are relatively. biliary strictures, also called bile duct strictures, occur when the ducts that carry bile from your liver to your. primary sclerosing cholangitis (psc) is. Beaded Appearance Of Bile Duct.