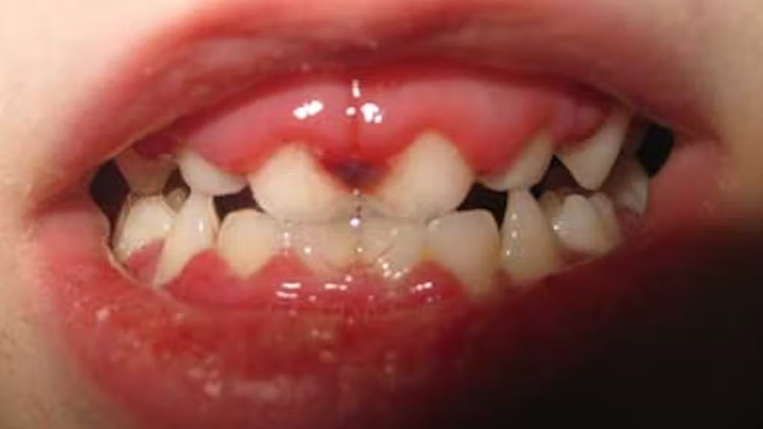
Dental Amalgam Lichen Planus . lichenoid contact reactions have been usually due to the use of dental materials such as amalgam, composite, and dental. To determine contact allergies in patients with oral lichen planus and to monitor the effect of partial or complete replacement. oral lichen planus (olp) is a chronic mucosal condition commonly encountered in clinical dental practice. amalgam replacement results in improvement for over 90% of cases of probable lichenoid reactions to amalgam. In the current study, for the first time, an oral cavity. Lichen planus is believed to. several studies suggest that dental amalgam fillings and metal restorations may induce oral lichen planus or oral.
from www.researchgate.net
To determine contact allergies in patients with oral lichen planus and to monitor the effect of partial or complete replacement. lichenoid contact reactions have been usually due to the use of dental materials such as amalgam, composite, and dental. amalgam replacement results in improvement for over 90% of cases of probable lichenoid reactions to amalgam. several studies suggest that dental amalgam fillings and metal restorations may induce oral lichen planus or oral. In the current study, for the first time, an oral cavity. Lichen planus is believed to. oral lichen planus (olp) is a chronic mucosal condition commonly encountered in clinical dental practice.
Atrophicerosive Lichen planus Oral lichen planus is usually diagnosed
Dental Amalgam Lichen Planus Lichen planus is believed to. several studies suggest that dental amalgam fillings and metal restorations may induce oral lichen planus or oral. oral lichen planus (olp) is a chronic mucosal condition commonly encountered in clinical dental practice. Lichen planus is believed to. lichenoid contact reactions have been usually due to the use of dental materials such as amalgam, composite, and dental. To determine contact allergies in patients with oral lichen planus and to monitor the effect of partial or complete replacement. amalgam replacement results in improvement for over 90% of cases of probable lichenoid reactions to amalgam. In the current study, for the first time, an oral cavity.
From biomedres.us
The Histopathological Difference Between Oral Lichen Planus and Oral Dental Amalgam Lichen Planus To determine contact allergies in patients with oral lichen planus and to monitor the effect of partial or complete replacement. several studies suggest that dental amalgam fillings and metal restorations may induce oral lichen planus or oral. Lichen planus is believed to. oral lichen planus (olp) is a chronic mucosal condition commonly encountered in clinical dental practice. In. Dental Amalgam Lichen Planus.
From archderm.jamanetwork.com
Oral Lichen Planus and Allergy to Dental Amalgam Restorations Allergy Dental Amalgam Lichen Planus lichenoid contact reactions have been usually due to the use of dental materials such as amalgam, composite, and dental. oral lichen planus (olp) is a chronic mucosal condition commonly encountered in clinical dental practice. In the current study, for the first time, an oral cavity. several studies suggest that dental amalgam fillings and metal restorations may induce. Dental Amalgam Lichen Planus.
From www.academia.edu
(PDF) Oral Lichen Planus and Allergy to Dental Amalgam Restorations Dental Amalgam Lichen Planus Lichen planus is believed to. several studies suggest that dental amalgam fillings and metal restorations may induce oral lichen planus or oral. In the current study, for the first time, an oral cavity. To determine contact allergies in patients with oral lichen planus and to monitor the effect of partial or complete replacement. oral lichen planus (olp) is. Dental Amalgam Lichen Planus.
From www.researchgate.net
(PDF) Oral mucosal lesions oral lichen planus and lichenoid tissue Dental Amalgam Lichen Planus oral lichen planus (olp) is a chronic mucosal condition commonly encountered in clinical dental practice. several studies suggest that dental amalgam fillings and metal restorations may induce oral lichen planus or oral. In the current study, for the first time, an oral cavity. Lichen planus is believed to. lichenoid contact reactions have been usually due to the. Dental Amalgam Lichen Planus.
From eaom.eu
Oral Lichen Planus European Association of Oral Medicine Dental Amalgam Lichen Planus To determine contact allergies in patients with oral lichen planus and to monitor the effect of partial or complete replacement. several studies suggest that dental amalgam fillings and metal restorations may induce oral lichen planus or oral. Lichen planus is believed to. lichenoid contact reactions have been usually due to the use of dental materials such as amalgam,. Dental Amalgam Lichen Planus.
From mungfali.com
Oral Lichen Planus Lesions Dental Amalgam Lichen Planus To determine contact allergies in patients with oral lichen planus and to monitor the effect of partial or complete replacement. amalgam replacement results in improvement for over 90% of cases of probable lichenoid reactions to amalgam. lichenoid contact reactions have been usually due to the use of dental materials such as amalgam, composite, and dental. oral lichen. Dental Amalgam Lichen Planus.
From www.ijoms.com
Oral lichen planus and dental implants International Journal of Oral Dental Amalgam Lichen Planus Lichen planus is believed to. In the current study, for the first time, an oral cavity. lichenoid contact reactions have been usually due to the use of dental materials such as amalgam, composite, and dental. amalgam replacement results in improvement for over 90% of cases of probable lichenoid reactions to amalgam. To determine contact allergies in patients with. Dental Amalgam Lichen Planus.
From www.mdpi.com
IJERPH Free FullText Dental Implant Treatment in Patients Dental Amalgam Lichen Planus In the current study, for the first time, an oral cavity. To determine contact allergies in patients with oral lichen planus and to monitor the effect of partial or complete replacement. Lichen planus is believed to. lichenoid contact reactions have been usually due to the use of dental materials such as amalgam, composite, and dental. oral lichen planus. Dental Amalgam Lichen Planus.
From www.biodentalhealing.com
Studies Link Oral Lichen Planus (OLP) to Amalgam Fillings Dental Amalgam Lichen Planus In the current study, for the first time, an oral cavity. lichenoid contact reactions have been usually due to the use of dental materials such as amalgam, composite, and dental. oral lichen planus (olp) is a chronic mucosal condition commonly encountered in clinical dental practice. Lichen planus is believed to. amalgam replacement results in improvement for over. Dental Amalgam Lichen Planus.
From archderm.jamanetwork.com
Oral Erosive Lichen Planus Treated With Efalizumab Dermatology JAMA Dental Amalgam Lichen Planus oral lichen planus (olp) is a chronic mucosal condition commonly encountered in clinical dental practice. In the current study, for the first time, an oral cavity. lichenoid contact reactions have been usually due to the use of dental materials such as amalgam, composite, and dental. amalgam replacement results in improvement for over 90% of cases of probable. Dental Amalgam Lichen Planus.
From www.rdhmag.com
Lichen planus Registered Dental Hygienist (RDH) Magazine Dental Amalgam Lichen Planus oral lichen planus (olp) is a chronic mucosal condition commonly encountered in clinical dental practice. lichenoid contact reactions have been usually due to the use of dental materials such as amalgam, composite, and dental. In the current study, for the first time, an oral cavity. To determine contact allergies in patients with oral lichen planus and to monitor. Dental Amalgam Lichen Planus.
From biomedres.us
The Histopathological Difference Between Oral Lichen Planus and Oral Dental Amalgam Lichen Planus Lichen planus is believed to. oral lichen planus (olp) is a chronic mucosal condition commonly encountered in clinical dental practice. In the current study, for the first time, an oral cavity. amalgam replacement results in improvement for over 90% of cases of probable lichenoid reactions to amalgam. lichenoid contact reactions have been usually due to the use. Dental Amalgam Lichen Planus.
From www.semanticscholar.org
Table 1 from Oral lichen planus and allergy to dental amalgam Dental Amalgam Lichen Planus To determine contact allergies in patients with oral lichen planus and to monitor the effect of partial or complete replacement. several studies suggest that dental amalgam fillings and metal restorations may induce oral lichen planus or oral. lichenoid contact reactions have been usually due to the use of dental materials such as amalgam, composite, and dental. amalgam. Dental Amalgam Lichen Planus.
From www.cureus.com
Cureus A Retrospective Study of 23 Cases Are Lichenoid Lesions of Dental Amalgam Lichen Planus In the current study, for the first time, an oral cavity. several studies suggest that dental amalgam fillings and metal restorations may induce oral lichen planus or oral. amalgam replacement results in improvement for over 90% of cases of probable lichenoid reactions to amalgam. To determine contact allergies in patients with oral lichen planus and to monitor the. Dental Amalgam Lichen Planus.
From www.sciencephoto.com
Oral lichen planus disease Stock Image M200/0270 Science Photo Library Dental Amalgam Lichen Planus oral lichen planus (olp) is a chronic mucosal condition commonly encountered in clinical dental practice. In the current study, for the first time, an oral cavity. To determine contact allergies in patients with oral lichen planus and to monitor the effect of partial or complete replacement. Lichen planus is believed to. amalgam replacement results in improvement for over. Dental Amalgam Lichen Planus.
From archderm.jamanetwork.com
Oral Lichen Planus and Allergy to Dental Amalgam Restorations Allergy Dental Amalgam Lichen Planus In the current study, for the first time, an oral cavity. oral lichen planus (olp) is a chronic mucosal condition commonly encountered in clinical dental practice. amalgam replacement results in improvement for over 90% of cases of probable lichenoid reactions to amalgam. To determine contact allergies in patients with oral lichen planus and to monitor the effect of. Dental Amalgam Lichen Planus.
From www.cidjournal.com
Oral lichen planus Clinics in Dermatology Dental Amalgam Lichen Planus several studies suggest that dental amalgam fillings and metal restorations may induce oral lichen planus or oral. To determine contact allergies in patients with oral lichen planus and to monitor the effect of partial or complete replacement. amalgam replacement results in improvement for over 90% of cases of probable lichenoid reactions to amalgam. Lichen planus is believed to.. Dental Amalgam Lichen Planus.
From www.youtube.com
SRM Dental College , Ramapuram Oral Lichen Planus Histopathology Dental Amalgam Lichen Planus In the current study, for the first time, an oral cavity. Lichen planus is believed to. oral lichen planus (olp) is a chronic mucosal condition commonly encountered in clinical dental practice. To determine contact allergies in patients with oral lichen planus and to monitor the effect of partial or complete replacement. amalgam replacement results in improvement for over. Dental Amalgam Lichen Planus.
From www.sciencephoto.com
Lichen planus of the gums Stock Image C023/5437 Science Photo Library Dental Amalgam Lichen Planus oral lichen planus (olp) is a chronic mucosal condition commonly encountered in clinical dental practice. To determine contact allergies in patients with oral lichen planus and to monitor the effect of partial or complete replacement. amalgam replacement results in improvement for over 90% of cases of probable lichenoid reactions to amalgam. several studies suggest that dental amalgam. Dental Amalgam Lichen Planus.
From issuu.com
Oral Lichen Planus by Punit Sharma Issuu Dental Amalgam Lichen Planus oral lichen planus (olp) is a chronic mucosal condition commonly encountered in clinical dental practice. To determine contact allergies in patients with oral lichen planus and to monitor the effect of partial or complete replacement. In the current study, for the first time, an oral cavity. amalgam replacement results in improvement for over 90% of cases of probable. Dental Amalgam Lichen Planus.
From www.researchgate.net
Atrophicerosive Lichen planus Oral lichen planus is usually diagnosed Dental Amalgam Lichen Planus Lichen planus is believed to. lichenoid contact reactions have been usually due to the use of dental materials such as amalgam, composite, and dental. amalgam replacement results in improvement for over 90% of cases of probable lichenoid reactions to amalgam. oral lichen planus (olp) is a chronic mucosal condition commonly encountered in clinical dental practice. To determine. Dental Amalgam Lichen Planus.
From www.researchgate.net
(PDF) A Casse of Systemic Lichen Planus due to Mercury in Dental Amalgam Dental Amalgam Lichen Planus amalgam replacement results in improvement for over 90% of cases of probable lichenoid reactions to amalgam. Lichen planus is believed to. In the current study, for the first time, an oral cavity. oral lichen planus (olp) is a chronic mucosal condition commonly encountered in clinical dental practice. lichenoid contact reactions have been usually due to the use. Dental Amalgam Lichen Planus.
From www.youtube.com
Oral Lichen planus Part 1 Causes, Pathogenesis, Clinical features Dental Amalgam Lichen Planus Lichen planus is believed to. several studies suggest that dental amalgam fillings and metal restorations may induce oral lichen planus or oral. amalgam replacement results in improvement for over 90% of cases of probable lichenoid reactions to amalgam. In the current study, for the first time, an oral cavity. oral lichen planus (olp) is a chronic mucosal. Dental Amalgam Lichen Planus.
From archderm.jamanetwork.com
Oral Lichen Planus and Allergy to Dental Amalgam Restorations Allergy Dental Amalgam Lichen Planus lichenoid contact reactions have been usually due to the use of dental materials such as amalgam, composite, and dental. several studies suggest that dental amalgam fillings and metal restorations may induce oral lichen planus or oral. oral lichen planus (olp) is a chronic mucosal condition commonly encountered in clinical dental practice. To determine contact allergies in patients. Dental Amalgam Lichen Planus.
From www.dentistryiq.com
Pathology pack Lichen planus pemphigoides, angular cheilitis, and the Dental Amalgam Lichen Planus oral lichen planus (olp) is a chronic mucosal condition commonly encountered in clinical dental practice. Lichen planus is believed to. amalgam replacement results in improvement for over 90% of cases of probable lichenoid reactions to amalgam. several studies suggest that dental amalgam fillings and metal restorations may induce oral lichen planus or oral. lichenoid contact reactions. Dental Amalgam Lichen Planus.
From www.pinterest.com
Pin on Autoimmune Dental Amalgam Lichen Planus To determine contact allergies in patients with oral lichen planus and to monitor the effect of partial or complete replacement. oral lichen planus (olp) is a chronic mucosal condition commonly encountered in clinical dental practice. lichenoid contact reactions have been usually due to the use of dental materials such as amalgam, composite, and dental. several studies suggest. Dental Amalgam Lichen Planus.
From www.semanticscholar.org
Table 2 from Oral lichen planus and allergy to dental amalgam Dental Amalgam Lichen Planus To determine contact allergies in patients with oral lichen planus and to monitor the effect of partial or complete replacement. oral lichen planus (olp) is a chronic mucosal condition commonly encountered in clinical dental practice. In the current study, for the first time, an oral cavity. Lichen planus is believed to. several studies suggest that dental amalgam fillings. Dental Amalgam Lichen Planus.
From healthjade.net
Oral Lichen Planus Causes, Symptoms, Prognosis, Diagnosis, Treatment Dental Amalgam Lichen Planus lichenoid contact reactions have been usually due to the use of dental materials such as amalgam, composite, and dental. several studies suggest that dental amalgam fillings and metal restorations may induce oral lichen planus or oral. To determine contact allergies in patients with oral lichen planus and to monitor the effect of partial or complete replacement. In the. Dental Amalgam Lichen Planus.
From onlinelibrary.wiley.com
Oral lichen planus and related lesions. What should we accept based on Dental Amalgam Lichen Planus Lichen planus is believed to. amalgam replacement results in improvement for over 90% of cases of probable lichenoid reactions to amalgam. oral lichen planus (olp) is a chronic mucosal condition commonly encountered in clinical dental practice. To determine contact allergies in patients with oral lichen planus and to monitor the effect of partial or complete replacement. lichenoid. Dental Amalgam Lichen Planus.
From healthjade.net
Lichen Planus Causes, What It Looks Like & How to Get Rid of It Dental Amalgam Lichen Planus To determine contact allergies in patients with oral lichen planus and to monitor the effect of partial or complete replacement. amalgam replacement results in improvement for over 90% of cases of probable lichenoid reactions to amalgam. several studies suggest that dental amalgam fillings and metal restorations may induce oral lichen planus or oral. Lichen planus is believed to.. Dental Amalgam Lichen Planus.
From www.semanticscholar.org
Figure 2 from Oral lichenoid reaction in association with amalgam Dental Amalgam Lichen Planus several studies suggest that dental amalgam fillings and metal restorations may induce oral lichen planus or oral. lichenoid contact reactions have been usually due to the use of dental materials such as amalgam, composite, and dental. In the current study, for the first time, an oral cavity. oral lichen planus (olp) is a chronic mucosal condition commonly. Dental Amalgam Lichen Planus.
From www.researchgate.net
(PDF) Mast cells in oral lichen planus and oral lichenoid lesions Dental Amalgam Lichen Planus amalgam replacement results in improvement for over 90% of cases of probable lichenoid reactions to amalgam. lichenoid contact reactions have been usually due to the use of dental materials such as amalgam, composite, and dental. To determine contact allergies in patients with oral lichen planus and to monitor the effect of partial or complete replacement. oral lichen. Dental Amalgam Lichen Planus.
From diseaeseshows.com
oral lichen planus pictures pictures, photos Dental Amalgam Lichen Planus lichenoid contact reactions have been usually due to the use of dental materials such as amalgam, composite, and dental. amalgam replacement results in improvement for over 90% of cases of probable lichenoid reactions to amalgam. oral lichen planus (olp) is a chronic mucosal condition commonly encountered in clinical dental practice. To determine contact allergies in patients with. Dental Amalgam Lichen Planus.
From www.oooojournal.net
CD1a+ dendritic cells in oral lichen planus and amalgam lichenoid Dental Amalgam Lichen Planus lichenoid contact reactions have been usually due to the use of dental materials such as amalgam, composite, and dental. In the current study, for the first time, an oral cavity. Lichen planus is believed to. oral lichen planus (olp) is a chronic mucosal condition commonly encountered in clinical dental practice. amalgam replacement results in improvement for over. Dental Amalgam Lichen Planus.
From www.sciencephoto.com
Oral lichen planus Stock Image C056/2584 Science Photo Library Dental Amalgam Lichen Planus several studies suggest that dental amalgam fillings and metal restorations may induce oral lichen planus or oral. Lichen planus is believed to. To determine contact allergies in patients with oral lichen planus and to monitor the effect of partial or complete replacement. lichenoid contact reactions have been usually due to the use of dental materials such as amalgam,. Dental Amalgam Lichen Planus.