Feeding Horse Liver Disease . Avoid supplements that increase the level of iron and copper in horses. Liver disease in mature horses is most often caused by exposure to toxic plants or feed toxins, infection, or bile stones. It is caused by the. Tyzzer’s disease is a fatal condition in foals less than six weeks of age. Feeding a liver damaged horse may be challenging. Feed them the right amount of compound feed and forage throughout the day to ensure that their digestive system is not worsening due to the damage caused by bile. Liver disease doesn’t only affect adult horses. The main aim when feeding such a horse is to deliver easily digested feed, not over taxing the liver and ensuring. The key in feeding a horse with liver disease is to provide energy and protein in a form that does not rely on liver metabolism, so as not to stress it any. Spillers’ expert nutritionists talk through the symptoms, causes and best treatments for liver disease and failure in horses. There is a lot of contradictory advice. Ensure that your horse is receiving a balanced diet. Dietary management is essential for animals with hepatic encephalopathy or liver disease. Affected horses should be fed carefully because difficulty.
from ceyeivtk.blob.core.windows.net
Liver disease in mature horses is most often caused by exposure to toxic plants or feed toxins, infection, or bile stones. There is a lot of contradictory advice. Affected horses should be fed carefully because difficulty. Ensure that your horse is receiving a balanced diet. The key in feeding a horse with liver disease is to provide energy and protein in a form that does not rely on liver metabolism, so as not to stress it any. Liver disease doesn’t only affect adult horses. Tyzzer’s disease is a fatal condition in foals less than six weeks of age. Feeding a liver damaged horse may be challenging. Dietary management is essential for animals with hepatic encephalopathy or liver disease. Avoid supplements that increase the level of iron and copper in horses.
Feed Horse Liver Disease at Margaret Trotman blog
Feeding Horse Liver Disease Avoid supplements that increase the level of iron and copper in horses. Spillers’ expert nutritionists talk through the symptoms, causes and best treatments for liver disease and failure in horses. Affected horses should be fed carefully because difficulty. The key in feeding a horse with liver disease is to provide energy and protein in a form that does not rely on liver metabolism, so as not to stress it any. It is caused by the. Dietary management is essential for animals with hepatic encephalopathy or liver disease. The main aim when feeding such a horse is to deliver easily digested feed, not over taxing the liver and ensuring. Liver disease doesn’t only affect adult horses. Liver disease in mature horses is most often caused by exposure to toxic plants or feed toxins, infection, or bile stones. Tyzzer’s disease is a fatal condition in foals less than six weeks of age. Avoid supplements that increase the level of iron and copper in horses. Ensure that your horse is receiving a balanced diet. Feeding a liver damaged horse may be challenging. There is a lot of contradictory advice. Feed them the right amount of compound feed and forage throughout the day to ensure that their digestive system is not worsening due to the damage caused by bile.
From justformyhorse.com
How to identify signs of hindgut ulcers and how to treat Just for my Feeding Horse Liver Disease Feeding a liver damaged horse may be challenging. Ensure that your horse is receiving a balanced diet. The main aim when feeding such a horse is to deliver easily digested feed, not over taxing the liver and ensuring. It is caused by the. Avoid supplements that increase the level of iron and copper in horses. Spillers’ expert nutritionists talk through. Feeding Horse Liver Disease.
From ceyeivtk.blob.core.windows.net
Feed Horse Liver Disease at Margaret Trotman blog Feeding Horse Liver Disease Liver disease in mature horses is most often caused by exposure to toxic plants or feed toxins, infection, or bile stones. The key in feeding a horse with liver disease is to provide energy and protein in a form that does not rely on liver metabolism, so as not to stress it any. There is a lot of contradictory advice.. Feeding Horse Liver Disease.
From www.sawchynmi.com
Equine Liver and Gastrointestinal Anatomy Sawchyn Medical Illustration Feeding Horse Liver Disease Affected horses should be fed carefully because difficulty. There is a lot of contradictory advice. Feed them the right amount of compound feed and forage throughout the day to ensure that their digestive system is not worsening due to the damage caused by bile. Feeding a liver damaged horse may be challenging. Avoid supplements that increase the level of iron. Feeding Horse Liver Disease.
From www.pinterest.com
Pin on pet Feeding Horse Liver Disease The key in feeding a horse with liver disease is to provide energy and protein in a form that does not rely on liver metabolism, so as not to stress it any. There is a lot of contradictory advice. Affected horses should be fed carefully because difficulty. Ensure that your horse is receiving a balanced diet. Avoid supplements that increase. Feeding Horse Liver Disease.
From vitaminwalls.blogspot.com
Vitamin E For Horses With Liver Disease Feeding Horse Liver Disease The main aim when feeding such a horse is to deliver easily digested feed, not over taxing the liver and ensuring. Liver disease doesn’t only affect adult horses. Liver disease in mature horses is most often caused by exposure to toxic plants or feed toxins, infection, or bile stones. Dietary management is essential for animals with hepatic encephalopathy or liver. Feeding Horse Liver Disease.
From www.youtube.com
liver of horse (veterinary anatomy) YouTube Feeding Horse Liver Disease Feeding a liver damaged horse may be challenging. Feed them the right amount of compound feed and forage throughout the day to ensure that their digestive system is not worsening due to the damage caused by bile. Avoid supplements that increase the level of iron and copper in horses. Liver disease in mature horses is most often caused by exposure. Feeding Horse Liver Disease.
From forum.chronofhorse.com
Feeding the horse with liver illness Horse Care Chronicle Forums Feeding Horse Liver Disease Tyzzer’s disease is a fatal condition in foals less than six weeks of age. Affected horses should be fed carefully because difficulty. Liver disease doesn’t only affect adult horses. There is a lot of contradictory advice. Ensure that your horse is receiving a balanced diet. Avoid supplements that increase the level of iron and copper in horses. Feed them the. Feeding Horse Liver Disease.
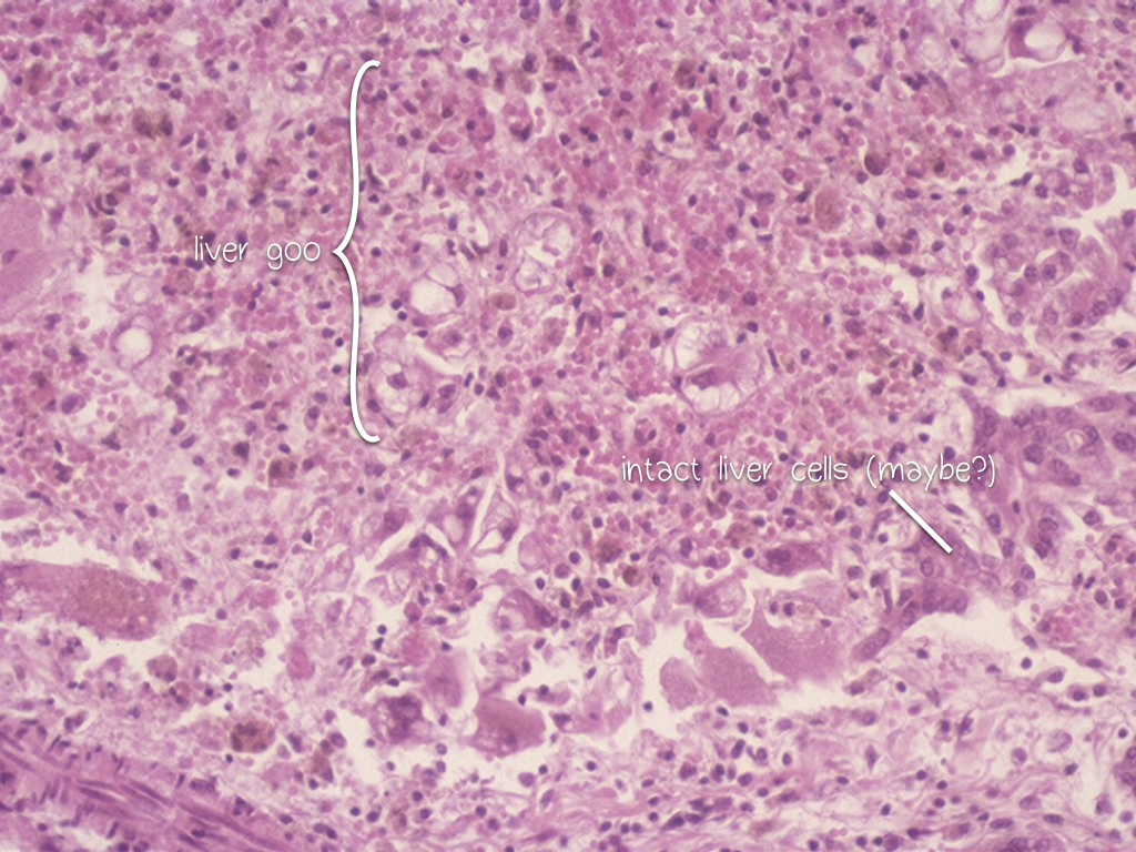
From www.askjpc.org
View Images for 190704 Feeding Horse Liver Disease It is caused by the. The key in feeding a horse with liver disease is to provide energy and protein in a form that does not rely on liver metabolism, so as not to stress it any. There is a lot of contradictory advice. Tyzzer’s disease is a fatal condition in foals less than six weeks of age. Feeding a. Feeding Horse Liver Disease.
From www.feedmark.com
Liver disease in horses The JEN issue 5 Feedmark Feeding Horse Liver Disease Tyzzer’s disease is a fatal condition in foals less than six weeks of age. The main aim when feeding such a horse is to deliver easily digested feed, not over taxing the liver and ensuring. There is a lot of contradictory advice. It is caused by the. Avoid supplements that increase the level of iron and copper in horses. Affected. Feeding Horse Liver Disease.
From www.researchgate.net
Liver of a horse with infectious necrotic hepatitis. A. The parenchyma Feeding Horse Liver Disease Ensure that your horse is receiving a balanced diet. Spillers’ expert nutritionists talk through the symptoms, causes and best treatments for liver disease and failure in horses. Feeding a liver damaged horse may be challenging. Dietary management is essential for animals with hepatic encephalopathy or liver disease. Feed them the right amount of compound feed and forage throughout the day. Feeding Horse Liver Disease.
From www.aurorahealthcare.org
Liver Disease Aurora Health Care Feeding Horse Liver Disease Avoid supplements that increase the level of iron and copper in horses. Ensure that your horse is receiving a balanced diet. There is a lot of contradictory advice. Feeding a liver damaged horse may be challenging. Liver disease in mature horses is most often caused by exposure to toxic plants or feed toxins, infection, or bile stones. Tyzzer’s disease is. Feeding Horse Liver Disease.
From www.youtube.com
Anatomy of Liver of Ox Horse and Dog Comparative Anatomy of Bovine Feeding Horse Liver Disease Spillers’ expert nutritionists talk through the symptoms, causes and best treatments for liver disease and failure in horses. Liver disease in mature horses is most often caused by exposure to toxic plants or feed toxins, infection, or bile stones. Dietary management is essential for animals with hepatic encephalopathy or liver disease. The main aim when feeding such a horse is. Feeding Horse Liver Disease.
From michaelporterdvm.blogspot.com
Michael Porter, Equine Veterinarian Rattle box (Crotalaria spp) in Feeding Horse Liver Disease Ensure that your horse is receiving a balanced diet. It is caused by the. Feed them the right amount of compound feed and forage throughout the day to ensure that their digestive system is not worsening due to the damage caused by bile. Dietary management is essential for animals with hepatic encephalopathy or liver disease. Feeding a liver damaged horse. Feeding Horse Liver Disease.
From ceyeivtk.blob.core.windows.net
Feed Horse Liver Disease at Margaret Trotman blog Feeding Horse Liver Disease Spillers’ expert nutritionists talk through the symptoms, causes and best treatments for liver disease and failure in horses. The main aim when feeding such a horse is to deliver easily digested feed, not over taxing the liver and ensuring. Liver disease doesn’t only affect adult horses. Avoid supplements that increase the level of iron and copper in horses. It is. Feeding Horse Liver Disease.
From www.researchgate.net
(PDF) Primary liver disease in the horse Feeding Horse Liver Disease Feed them the right amount of compound feed and forage throughout the day to ensure that their digestive system is not worsening due to the damage caused by bile. Liver disease in mature horses is most often caused by exposure to toxic plants or feed toxins, infection, or bile stones. It is caused by the. There is a lot of. Feeding Horse Liver Disease.
From www.feedmark.com
Liver disease in horses The JEN issue 5 Feedmark Feeding Horse Liver Disease The main aim when feeding such a horse is to deliver easily digested feed, not over taxing the liver and ensuring. Liver disease doesn’t only affect adult horses. Spillers’ expert nutritionists talk through the symptoms, causes and best treatments for liver disease and failure in horses. Dietary management is essential for animals with hepatic encephalopathy or liver disease. Feed them. Feeding Horse Liver Disease.
From ceyeivtk.blob.core.windows.net
Feed Horse Liver Disease at Margaret Trotman blog Feeding Horse Liver Disease It is caused by the. Dietary management is essential for animals with hepatic encephalopathy or liver disease. Liver disease in mature horses is most often caused by exposure to toxic plants or feed toxins, infection, or bile stones. Affected horses should be fed carefully because difficulty. Tyzzer’s disease is a fatal condition in foals less than six weeks of age.. Feeding Horse Liver Disease.
From www.dreamstime.com
Liver Chestnut Bay Wild Horse Stallion Reflecting in the Salt River Feeding Horse Liver Disease Tyzzer’s disease is a fatal condition in foals less than six weeks of age. Avoid supplements that increase the level of iron and copper in horses. Dietary management is essential for animals with hepatic encephalopathy or liver disease. Feeding a liver damaged horse may be challenging. The key in feeding a horse with liver disease is to provide energy and. Feeding Horse Liver Disease.
From www.researchgate.net
Histopathologic findings in the livers of 2 adult horses experimentally Feeding Horse Liver Disease Feeding a liver damaged horse may be challenging. It is caused by the. Affected horses should be fed carefully because difficulty. Spillers’ expert nutritionists talk through the symptoms, causes and best treatments for liver disease and failure in horses. Avoid supplements that increase the level of iron and copper in horses. The main aim when feeding such a horse is. Feeding Horse Liver Disease.
From www.youtube.com
Equine Liver YouTube Feeding Horse Liver Disease Spillers’ expert nutritionists talk through the symptoms, causes and best treatments for liver disease and failure in horses. There is a lot of contradictory advice. The main aim when feeding such a horse is to deliver easily digested feed, not over taxing the liver and ensuring. Affected horses should be fed carefully because difficulty. Avoid supplements that increase the level. Feeding Horse Liver Disease.
From www.finishlinehorse.com
How your horse's liver functions Finish Line® Horse Products, Inc Feeding Horse Liver Disease Liver disease in mature horses is most often caused by exposure to toxic plants or feed toxins, infection, or bile stones. Tyzzer’s disease is a fatal condition in foals less than six weeks of age. Spillers’ expert nutritionists talk through the symptoms, causes and best treatments for liver disease and failure in horses. Avoid supplements that increase the level of. Feeding Horse Liver Disease.
From wagwalking.com
Liver Disease in Horses Symptoms, Causes, Diagnosis, Treatment Feeding Horse Liver Disease Feeding a liver damaged horse may be challenging. There is a lot of contradictory advice. It is caused by the. The key in feeding a horse with liver disease is to provide energy and protein in a form that does not rely on liver metabolism, so as not to stress it any. Liver disease in mature horses is most often. Feeding Horse Liver Disease.
From liver.org.au
Cirrhosis Liver Foundation Feeding Horse Liver Disease Affected horses should be fed carefully because difficulty. Liver disease in mature horses is most often caused by exposure to toxic plants or feed toxins, infection, or bile stones. Feeding a liver damaged horse may be challenging. Avoid supplements that increase the level of iron and copper in horses. The main aim when feeding such a horse is to deliver. Feeding Horse Liver Disease.
From ceyeivtk.blob.core.windows.net
Feed Horse Liver Disease at Margaret Trotman blog Feeding Horse Liver Disease Affected horses should be fed carefully because difficulty. Liver disease in mature horses is most often caused by exposure to toxic plants or feed toxins, infection, or bile stones. The key in feeding a horse with liver disease is to provide energy and protein in a form that does not rely on liver metabolism, so as not to stress it. Feeding Horse Liver Disease.
From cavecreekequine.com
Common Horse Diseases Cave Creek Equine™ Feeding Horse Liver Disease Tyzzer’s disease is a fatal condition in foals less than six weeks of age. Ensure that your horse is receiving a balanced diet. It is caused by the. Spillers’ expert nutritionists talk through the symptoms, causes and best treatments for liver disease and failure in horses. Avoid supplements that increase the level of iron and copper in horses. Liver disease. Feeding Horse Liver Disease.
From www.alamy.com
horse, feeding, horses, feed, feedings Stock Photo Alamy Feeding Horse Liver Disease Spillers’ expert nutritionists talk through the symptoms, causes and best treatments for liver disease and failure in horses. There is a lot of contradictory advice. Liver disease doesn’t only affect adult horses. Feed them the right amount of compound feed and forage throughout the day to ensure that their digestive system is not worsening due to the damage caused by. Feeding Horse Liver Disease.
From www.dreamstime.com
Liver Chestnut Bay Wild Horse Stallion Reflecting in the Salt River Feeding Horse Liver Disease It is caused by the. Affected horses should be fed carefully because difficulty. The key in feeding a horse with liver disease is to provide energy and protein in a form that does not rely on liver metabolism, so as not to stress it any. Ensure that your horse is receiving a balanced diet. Avoid supplements that increase the level. Feeding Horse Liver Disease.
From howtoownahorse.com
What To Feed A Horse With Liver Damage How To Own a Horse Feeding Horse Liver Disease Spillers’ expert nutritionists talk through the symptoms, causes and best treatments for liver disease and failure in horses. Dietary management is essential for animals with hepatic encephalopathy or liver disease. Avoid supplements that increase the level of iron and copper in horses. The key in feeding a horse with liver disease is to provide energy and protein in a form. Feeding Horse Liver Disease.
From dengie.com
What And How To Feed A Horse Or Pony With Liver Problems Feeding Horse Liver Disease It is caused by the. Avoid supplements that increase the level of iron and copper in horses. Affected horses should be fed carefully because difficulty. Feeding a liver damaged horse may be challenging. Dietary management is essential for animals with hepatic encephalopathy or liver disease. Liver disease in mature horses is most often caused by exposure to toxic plants or. Feeding Horse Liver Disease.
From thehorse.com
Liver Failure in Horses The Horse Feeding Horse Liver Disease Liver disease doesn’t only affect adult horses. The main aim when feeding such a horse is to deliver easily digested feed, not over taxing the liver and ensuring. Feeding a liver damaged horse may be challenging. Affected horses should be fed carefully because difficulty. Tyzzer’s disease is a fatal condition in foals less than six weeks of age. Liver disease. Feeding Horse Liver Disease.
From horselifeandlove.blogspot.com
Horse Life and Love All About The Liver Feeding Horse Liver Disease Feed them the right amount of compound feed and forage throughout the day to ensure that their digestive system is not worsening due to the damage caused by bile. Feeding a liver damaged horse may be challenging. Liver disease doesn’t only affect adult horses. Affected horses should be fed carefully because difficulty. Liver disease in mature horses is most often. Feeding Horse Liver Disease.
From www.pinterest.co.uk
Hay Management for Horses with Equine Metabolic Syndrome (EMS) and Feeding Horse Liver Disease The key in feeding a horse with liver disease is to provide energy and protein in a form that does not rely on liver metabolism, so as not to stress it any. Affected horses should be fed carefully because difficulty. The main aim when feeding such a horse is to deliver easily digested feed, not over taxing the liver and. Feeding Horse Liver Disease.
From pathologyandponies.ca
Theiler's Disease Pathology and Ponies Feeding Horse Liver Disease Dietary management is essential for animals with hepatic encephalopathy or liver disease. Liver disease in mature horses is most often caused by exposure to toxic plants or feed toxins, infection, or bile stones. Tyzzer’s disease is a fatal condition in foals less than six weeks of age. Ensure that your horse is receiving a balanced diet. The main aim when. Feeding Horse Liver Disease.
From www.dreamstime.com
Dark Brown Liver Chestnut Bay Wild Horse Stallion Lit Up and Reflecting Feeding Horse Liver Disease Tyzzer’s disease is a fatal condition in foals less than six weeks of age. Ensure that your horse is receiving a balanced diet. Feed them the right amount of compound feed and forage throughout the day to ensure that their digestive system is not worsening due to the damage caused by bile. The key in feeding a horse with liver. Feeding Horse Liver Disease.
From mavink.com
Horse Liver Anatomy Feeding Horse Liver Disease There is a lot of contradictory advice. Affected horses should be fed carefully because difficulty. Avoid supplements that increase the level of iron and copper in horses. Ensure that your horse is receiving a balanced diet. The key in feeding a horse with liver disease is to provide energy and protein in a form that does not rely on liver. Feeding Horse Liver Disease.