Zirconia Dental Implants Problems . more research is publishing. the biomechanical properties of zirconia implants were assessed in numerous experiments with success. if there is a problem with the location or angle of the implant, it can lead to complications. The implant may not fuse. 172 implants failed, after a mean of 12.0 ± 16.1 months.
from blog.iti.org
the biomechanical properties of zirconia implants were assessed in numerous experiments with success. if there is a problem with the location or angle of the implant, it can lead to complications. The implant may not fuse. more research is publishing. 172 implants failed, after a mean of 12.0 ± 16.1 months.
Zirconia dental implants in daily practice ITI Blog
Zirconia Dental Implants Problems The implant may not fuse. the biomechanical properties of zirconia implants were assessed in numerous experiments with success. if there is a problem with the location or angle of the implant, it can lead to complications. The implant may not fuse. 172 implants failed, after a mean of 12.0 ± 16.1 months. more research is publishing.
From www.fastnewsmile.com
Common Questions About Zirconia Dental Implants FastNewSmile® Dental Zirconia Dental Implants Problems 172 implants failed, after a mean of 12.0 ± 16.1 months. if there is a problem with the location or angle of the implant, it can lead to complications. The implant may not fuse. the biomechanical properties of zirconia implants were assessed in numerous experiments with success. more research is publishing. Zirconia Dental Implants Problems.
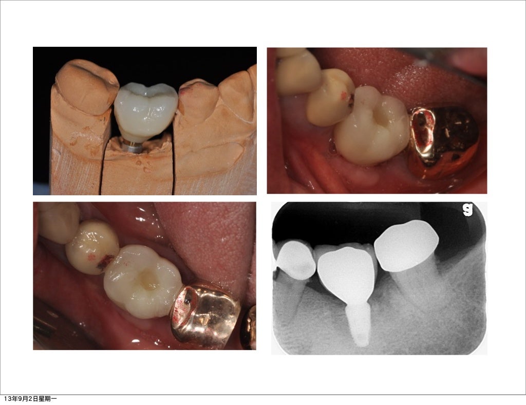
From blog.iti.org
Zirconia dental implants in daily practice ITI Blog Zirconia Dental Implants Problems more research is publishing. if there is a problem with the location or angle of the implant, it can lead to complications. the biomechanical properties of zirconia implants were assessed in numerous experiments with success. The implant may not fuse. 172 implants failed, after a mean of 12.0 ± 16.1 months. Zirconia Dental Implants Problems.
From www.dentalimplantsusa.com
Zirconia Implants Archives Advanced Periodontics & Implant Dentistry Zirconia Dental Implants Problems if there is a problem with the location or angle of the implant, it can lead to complications. 172 implants failed, after a mean of 12.0 ± 16.1 months. The implant may not fuse. the biomechanical properties of zirconia implants were assessed in numerous experiments with success. more research is publishing. Zirconia Dental Implants Problems.
From blog.iti.org
Zirconia dental implants in daily practice ITI Blog Zirconia Dental Implants Problems 172 implants failed, after a mean of 12.0 ± 16.1 months. more research is publishing. if there is a problem with the location or angle of the implant, it can lead to complications. The implant may not fuse. the biomechanical properties of zirconia implants were assessed in numerous experiments with success. Zirconia Dental Implants Problems.
From www.avperio.com
Holistic Tooth Replacement with Zirconia Dental Implants Zirconia Dental Implants Problems the biomechanical properties of zirconia implants were assessed in numerous experiments with success. if there is a problem with the location or angle of the implant, it can lead to complications. The implant may not fuse. 172 implants failed, after a mean of 12.0 ± 16.1 months. more research is publishing. Zirconia Dental Implants Problems.
From dxoekvehk.blob.core.windows.net
Dental Zirconia Implant at Nancy Williams blog Zirconia Dental Implants Problems the biomechanical properties of zirconia implants were assessed in numerous experiments with success. 172 implants failed, after a mean of 12.0 ± 16.1 months. more research is publishing. if there is a problem with the location or angle of the implant, it can lead to complications. The implant may not fuse. Zirconia Dental Implants Problems.
From ariadentalcare.com
Problems with Zirconia Implants Aria Dental Zirconia Dental Implants Problems The implant may not fuse. the biomechanical properties of zirconia implants were assessed in numerous experiments with success. 172 implants failed, after a mean of 12.0 ± 16.1 months. if there is a problem with the location or angle of the implant, it can lead to complications. more research is publishing. Zirconia Dental Implants Problems.
From www.americadental.com
Zirconium Dental Implants in Costa Rica at America Dental Clinic Zirconia Dental Implants Problems the biomechanical properties of zirconia implants were assessed in numerous experiments with success. The implant may not fuse. if there is a problem with the location or angle of the implant, it can lead to complications. 172 implants failed, after a mean of 12.0 ± 16.1 months. more research is publishing. Zirconia Dental Implants Problems.
From onlinelibrary.wiley.com
Zirconia dental implants where are we now, and where are we heading Zirconia Dental Implants Problems the biomechanical properties of zirconia implants were assessed in numerous experiments with success. 172 implants failed, after a mean of 12.0 ± 16.1 months. if there is a problem with the location or angle of the implant, it can lead to complications. The implant may not fuse. more research is publishing. Zirconia Dental Implants Problems.
From nhakhoasydney.com.vn
Zirconia dental implant An overview Nha Khoa Sydney Zirconia Dental Implants Problems the biomechanical properties of zirconia implants were assessed in numerous experiments with success. 172 implants failed, after a mean of 12.0 ± 16.1 months. if there is a problem with the location or angle of the implant, it can lead to complications. The implant may not fuse. more research is publishing. Zirconia Dental Implants Problems.
From burbankdentalimplants.com
All On Dental Implants With Prettau Solid Zirconia Dental Implant Zirconia Dental Implants Problems The implant may not fuse. 172 implants failed, after a mean of 12.0 ± 16.1 months. the biomechanical properties of zirconia implants were assessed in numerous experiments with success. more research is publishing. if there is a problem with the location or angle of the implant, it can lead to complications. Zirconia Dental Implants Problems.
From www.greenspandental.com
Zirconia Crowns Before And After Dr. Ari Greenspan Dentist Zirconia Dental Implants Problems 172 implants failed, after a mean of 12.0 ± 16.1 months. if there is a problem with the location or angle of the implant, it can lead to complications. The implant may not fuse. the biomechanical properties of zirconia implants were assessed in numerous experiments with success. more research is publishing. Zirconia Dental Implants Problems.
From ariadentalcare.com
Problems with Zirconia Implants Aria Dental Zirconia Dental Implants Problems the biomechanical properties of zirconia implants were assessed in numerous experiments with success. more research is publishing. The implant may not fuse. 172 implants failed, after a mean of 12.0 ± 16.1 months. if there is a problem with the location or angle of the implant, it can lead to complications. Zirconia Dental Implants Problems.
From www.youtube.com
Dental Zirconia Implant Abutments YouTube Zirconia Dental Implants Problems The implant may not fuse. if there is a problem with the location or angle of the implant, it can lead to complications. 172 implants failed, after a mean of 12.0 ± 16.1 months. more research is publishing. the biomechanical properties of zirconia implants were assessed in numerous experiments with success. Zirconia Dental Implants Problems.
From www.pinterest.com
Zirconia Crown Aesthetic dentistry, Dental photography, Dental clinic Zirconia Dental Implants Problems 172 implants failed, after a mean of 12.0 ± 16.1 months. more research is publishing. if there is a problem with the location or angle of the implant, it can lead to complications. The implant may not fuse. the biomechanical properties of zirconia implants were assessed in numerous experiments with success. Zirconia Dental Implants Problems.
From blog.iti.org
Zirconia dental implants in daily practice ITI Blog Zirconia Dental Implants Problems 172 implants failed, after a mean of 12.0 ± 16.1 months. if there is a problem with the location or angle of the implant, it can lead to complications. more research is publishing. the biomechanical properties of zirconia implants were assessed in numerous experiments with success. The implant may not fuse. Zirconia Dental Implants Problems.
From www.sdai.com.au
Everything you need to know about Zirconia Dental Implants Zirconia Dental Implants Problems if there is a problem with the location or angle of the implant, it can lead to complications. the biomechanical properties of zirconia implants were assessed in numerous experiments with success. 172 implants failed, after a mean of 12.0 ± 16.1 months. The implant may not fuse. more research is publishing. Zirconia Dental Implants Problems.
From www.studiobdental.ca
Zirconia Dental Implants Toronto Zirconia Dental Implants Problems the biomechanical properties of zirconia implants were assessed in numerous experiments with success. if there is a problem with the location or angle of the implant, it can lead to complications. The implant may not fuse. more research is publishing. 172 implants failed, after a mean of 12.0 ± 16.1 months. Zirconia Dental Implants Problems.
From www.facialart.com
How to Remove a 1Piece Zirconia / Ceramic Dental Implant How to Zirconia Dental Implants Problems The implant may not fuse. more research is publishing. the biomechanical properties of zirconia implants were assessed in numerous experiments with success. if there is a problem with the location or angle of the implant, it can lead to complications. 172 implants failed, after a mean of 12.0 ± 16.1 months. Zirconia Dental Implants Problems.
From marylandholisticdentist.com
What are common mistakes during implant surgery? Zirconia Dental Implants Problems the biomechanical properties of zirconia implants were assessed in numerous experiments with success. more research is publishing. 172 implants failed, after a mean of 12.0 ± 16.1 months. The implant may not fuse. if there is a problem with the location or angle of the implant, it can lead to complications. Zirconia Dental Implants Problems.
From exodjkeqp.blob.core.windows.net
What Is Zirconium Used For In Dentistry at Christie Hillman blog Zirconia Dental Implants Problems 172 implants failed, after a mean of 12.0 ± 16.1 months. more research is publishing. The implant may not fuse. the biomechanical properties of zirconia implants were assessed in numerous experiments with success. if there is a problem with the location or angle of the implant, it can lead to complications. Zirconia Dental Implants Problems.
From www.facialart.com
How to Remove a 1Piece Zirconia / Ceramic Dental Implant How to Zirconia Dental Implants Problems The implant may not fuse. more research is publishing. if there is a problem with the location or angle of the implant, it can lead to complications. the biomechanical properties of zirconia implants were assessed in numerous experiments with success. 172 implants failed, after a mean of 12.0 ± 16.1 months. Zirconia Dental Implants Problems.
From westcobbperio.com
Zirconia Dental Implants Marietta West Cobb Periodontics Zirconia Dental Implants Problems the biomechanical properties of zirconia implants were assessed in numerous experiments with success. more research is publishing. if there is a problem with the location or angle of the implant, it can lead to complications. The implant may not fuse. 172 implants failed, after a mean of 12.0 ± 16.1 months. Zirconia Dental Implants Problems.
From exorcvept.blob.core.windows.net
Zirconium Zirconia Dental Implants at James Kaplan blog Zirconia Dental Implants Problems The implant may not fuse. if there is a problem with the location or angle of the implant, it can lead to complications. more research is publishing. 172 implants failed, after a mean of 12.0 ± 16.1 months. the biomechanical properties of zirconia implants were assessed in numerous experiments with success. Zirconia Dental Implants Problems.
From www.speareducation.com
Zirconia Abutments and When to Use Them Spear Education Zirconia Dental Implants Problems The implant may not fuse. the biomechanical properties of zirconia implants were assessed in numerous experiments with success. if there is a problem with the location or angle of the implant, it can lead to complications. more research is publishing. 172 implants failed, after a mean of 12.0 ± 16.1 months. Zirconia Dental Implants Problems.
From www.semanticscholar.org
Figure 1 from Zirconia and titanium implant abutments for singletooth Zirconia Dental Implants Problems the biomechanical properties of zirconia implants were assessed in numerous experiments with success. if there is a problem with the location or angle of the implant, it can lead to complications. more research is publishing. 172 implants failed, after a mean of 12.0 ± 16.1 months. The implant may not fuse. Zirconia Dental Implants Problems.
From www.youtube.com
Dental Implants & Zirconia Crowns Patient Review YouTube Zirconia Dental Implants Problems more research is publishing. the biomechanical properties of zirconia implants were assessed in numerous experiments with success. 172 implants failed, after a mean of 12.0 ± 16.1 months. The implant may not fuse. if there is a problem with the location or angle of the implant, it can lead to complications. Zirconia Dental Implants Problems.
From exorcvept.blob.core.windows.net
Zirconium Zirconia Dental Implants at James Kaplan blog Zirconia Dental Implants Problems the biomechanical properties of zirconia implants were assessed in numerous experiments with success. more research is publishing. if there is a problem with the location or angle of the implant, it can lead to complications. The implant may not fuse. 172 implants failed, after a mean of 12.0 ± 16.1 months. Zirconia Dental Implants Problems.
From www.speareducation.com
Zirconia Abutments and When to Use Them Spear Education Zirconia Dental Implants Problems the biomechanical properties of zirconia implants were assessed in numerous experiments with success. more research is publishing. 172 implants failed, after a mean of 12.0 ± 16.1 months. if there is a problem with the location or angle of the implant, it can lead to complications. The implant may not fuse. Zirconia Dental Implants Problems.
From www.vitalitytechllc.com
What is Zirconia? Why Do Patients Pick It Over PFM? Lets Take a Look Zirconia Dental Implants Problems 172 implants failed, after a mean of 12.0 ± 16.1 months. more research is publishing. if there is a problem with the location or angle of the implant, it can lead to complications. the biomechanical properties of zirconia implants were assessed in numerous experiments with success. The implant may not fuse. Zirconia Dental Implants Problems.
From burbankdentalimplants.com
All On Dental Implants With Prettau Solid Zirconia Dental Implant Zirconia Dental Implants Problems if there is a problem with the location or angle of the implant, it can lead to complications. The implant may not fuse. the biomechanical properties of zirconia implants were assessed in numerous experiments with success. 172 implants failed, after a mean of 12.0 ± 16.1 months. more research is publishing. Zirconia Dental Implants Problems.
From www.slideshare.net
Zirconium for dental implant restoration Zirconia Dental Implants Problems the biomechanical properties of zirconia implants were assessed in numerous experiments with success. if there is a problem with the location or angle of the implant, it can lead to complications. 172 implants failed, after a mean of 12.0 ± 16.1 months. more research is publishing. The implant may not fuse. Zirconia Dental Implants Problems.
From www.studiobdental.ca
Zirconia Dental Implants Toronto Zirconia Dental Implants Problems the biomechanical properties of zirconia implants were assessed in numerous experiments with success. more research is publishing. if there is a problem with the location or angle of the implant, it can lead to complications. 172 implants failed, after a mean of 12.0 ± 16.1 months. The implant may not fuse. Zirconia Dental Implants Problems.
From www.dentistry33.com
clinical and radiographic performance of twopiece zirconia implants in Zirconia Dental Implants Problems 172 implants failed, after a mean of 12.0 ± 16.1 months. the biomechanical properties of zirconia implants were assessed in numerous experiments with success. more research is publishing. The implant may not fuse. if there is a problem with the location or angle of the implant, it can lead to complications. Zirconia Dental Implants Problems.
From dentalwellness.com.au
Case Studies Immediate Zirconia Implants Dental Wellness Zirconia Dental Implants Problems 172 implants failed, after a mean of 12.0 ± 16.1 months. more research is publishing. if there is a problem with the location or angle of the implant, it can lead to complications. the biomechanical properties of zirconia implants were assessed in numerous experiments with success. The implant may not fuse. Zirconia Dental Implants Problems.