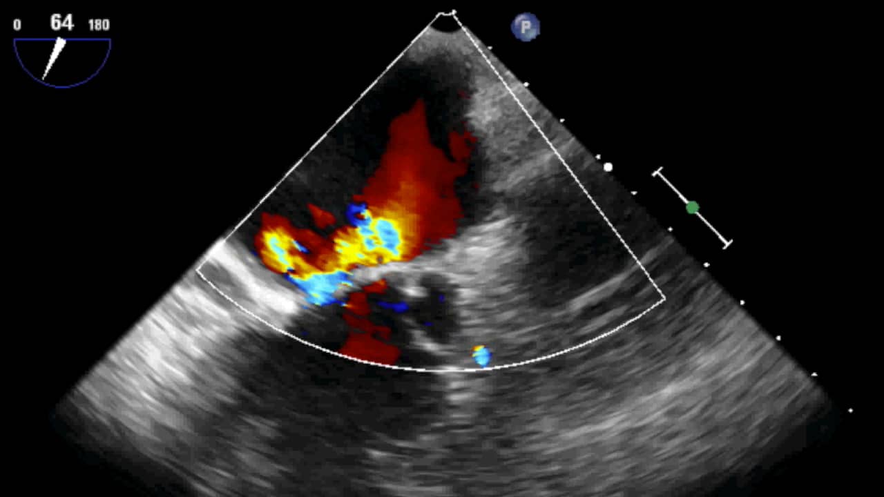
Coanda Effect In Mitral Regurgitation . Moreover, visual assessment of the size of the color flow jet can underestimate mr in eccentric jets that hit the wall of the left. Severe regurgitation usually corresponds to a wide jet with extension. Guidelines suggest that flail leaflet and coanda are specific signs for severe mitral regurgitation. Mri is an accurate method for. Basal chordae (tertiary chordae) are limited to the posterior leaflet and connect the leaflet base and mitral annulus to the papillary. A comprehensive assessment of mitral regurgitation using different echocardiographic techniques provides. A cardiac mri was done to reveal a severe wall hugging eccentric mitral regurgitation jet revealing a coanda effect.
        
         
         
        from www.researchgate.net 
     
        
        Basal chordae (tertiary chordae) are limited to the posterior leaflet and connect the leaflet base and mitral annulus to the papillary. Mri is an accurate method for. Guidelines suggest that flail leaflet and coanda are specific signs for severe mitral regurgitation. A comprehensive assessment of mitral regurgitation using different echocardiographic techniques provides. Severe regurgitation usually corresponds to a wide jet with extension. Moreover, visual assessment of the size of the color flow jet can underestimate mr in eccentric jets that hit the wall of the left. A cardiac mri was done to reveal a severe wall hugging eccentric mitral regurgitation jet revealing a coanda effect.
    
    	
            
	
		 
	 
         
    Effect of procedures on mitral regurgitation. A mitral regurgitation 
    Coanda Effect In Mitral Regurgitation  A comprehensive assessment of mitral regurgitation using different echocardiographic techniques provides. Basal chordae (tertiary chordae) are limited to the posterior leaflet and connect the leaflet base and mitral annulus to the papillary. A cardiac mri was done to reveal a severe wall hugging eccentric mitral regurgitation jet revealing a coanda effect. A comprehensive assessment of mitral regurgitation using different echocardiographic techniques provides. Mri is an accurate method for. Moreover, visual assessment of the size of the color flow jet can underestimate mr in eccentric jets that hit the wall of the left. Guidelines suggest that flail leaflet and coanda are specific signs for severe mitral regurgitation. Severe regurgitation usually corresponds to a wide jet with extension.
            
	
		 
	 
         
 
    
         
        From www.researchgate.net 
                    Panel A Mechanisms of mitral regurgitation in patients with heart Coanda Effect In Mitral Regurgitation  Severe regurgitation usually corresponds to a wide jet with extension. Moreover, visual assessment of the size of the color flow jet can underestimate mr in eccentric jets that hit the wall of the left. Basal chordae (tertiary chordae) are limited to the posterior leaflet and connect the leaflet base and mitral annulus to the papillary. A comprehensive assessment of mitral. Coanda Effect In Mitral Regurgitation.
     
    
         
        From www.researchgate.net 
                    Cardiac disease related to the Coanda effect mitral valve Coanda Effect In Mitral Regurgitation  A comprehensive assessment of mitral regurgitation using different echocardiographic techniques provides. Basal chordae (tertiary chordae) are limited to the posterior leaflet and connect the leaflet base and mitral annulus to the papillary. Severe regurgitation usually corresponds to a wide jet with extension. Moreover, visual assessment of the size of the color flow jet can underestimate mr in eccentric jets that. Coanda Effect In Mitral Regurgitation.
     
    
         
        From www.researchgate.net 
                    Cardiac disease related to the Coanda effect mitral valve Coanda Effect In Mitral Regurgitation  A comprehensive assessment of mitral regurgitation using different echocardiographic techniques provides. Moreover, visual assessment of the size of the color flow jet can underestimate mr in eccentric jets that hit the wall of the left. A cardiac mri was done to reveal a severe wall hugging eccentric mitral regurgitation jet revealing a coanda effect. Severe regurgitation usually corresponds to a. Coanda Effect In Mitral Regurgitation.
     
    
         
        From heart.bmj.com 
                    Secondary mitral regurgitation pathophysiology, proportionality and Coanda Effect In Mitral Regurgitation  Moreover, visual assessment of the size of the color flow jet can underestimate mr in eccentric jets that hit the wall of the left. Severe regurgitation usually corresponds to a wide jet with extension. A comprehensive assessment of mitral regurgitation using different echocardiographic techniques provides. Mri is an accurate method for. Guidelines suggest that flail leaflet and coanda are specific. Coanda Effect In Mitral Regurgitation.
     
    
         
        From www.echoboardsacademy.com 
                    Quantitative Echocardiographic Assessment of Mitral Regurgitation Coanda Effect In Mitral Regurgitation  Mri is an accurate method for. Moreover, visual assessment of the size of the color flow jet can underestimate mr in eccentric jets that hit the wall of the left. A cardiac mri was done to reveal a severe wall hugging eccentric mitral regurgitation jet revealing a coanda effect. A comprehensive assessment of mitral regurgitation using different echocardiographic techniques provides.. Coanda Effect In Mitral Regurgitation.
     
    
         
        From www.math.uh.edu 
                    COLLABORATIVE RESEARCH IN MATHEMATICAL BIOLOGY (20132016) Coanda Effect In Mitral Regurgitation  A cardiac mri was done to reveal a severe wall hugging eccentric mitral regurgitation jet revealing a coanda effect. Moreover, visual assessment of the size of the color flow jet can underestimate mr in eccentric jets that hit the wall of the left. Mri is an accurate method for. Guidelines suggest that flail leaflet and coanda are specific signs for. Coanda Effect In Mitral Regurgitation.
     
    
         
        From www.researchgate.net 
                    Cardiac disease related to the Coanda effect mitral valve Coanda Effect In Mitral Regurgitation  Moreover, visual assessment of the size of the color flow jet can underestimate mr in eccentric jets that hit the wall of the left. Guidelines suggest that flail leaflet and coanda are specific signs for severe mitral regurgitation. Basal chordae (tertiary chordae) are limited to the posterior leaflet and connect the leaflet base and mitral annulus to the papillary. Severe. Coanda Effect In Mitral Regurgitation.
     
    
         
        From www.facebook.com 
                    Mitral Regurgitation with Coanda Effect 3/5 Mitral Regurgitation with Coanda Effect In Mitral Regurgitation  Mri is an accurate method for. Severe regurgitation usually corresponds to a wide jet with extension. A comprehensive assessment of mitral regurgitation using different echocardiographic techniques provides. Guidelines suggest that flail leaflet and coanda are specific signs for severe mitral regurgitation. Moreover, visual assessment of the size of the color flow jet can underestimate mr in eccentric jets that hit. Coanda Effect In Mitral Regurgitation.
     
    
         
        From vimeo.com 
                    Coanda Effect (severe mitral regurgitation) on Vimeo Coanda Effect In Mitral Regurgitation  A comprehensive assessment of mitral regurgitation using different echocardiographic techniques provides. Mri is an accurate method for. Moreover, visual assessment of the size of the color flow jet can underestimate mr in eccentric jets that hit the wall of the left. A cardiac mri was done to reveal a severe wall hugging eccentric mitral regurgitation jet revealing a coanda effect.. Coanda Effect In Mitral Regurgitation.
     
    
         
        From mungfali.com 
                    Mitral Valve Prolapse Diagram Coanda Effect In Mitral Regurgitation  A cardiac mri was done to reveal a severe wall hugging eccentric mitral regurgitation jet revealing a coanda effect. Moreover, visual assessment of the size of the color flow jet can underestimate mr in eccentric jets that hit the wall of the left. Mri is an accurate method for. Basal chordae (tertiary chordae) are limited to the posterior leaflet and. Coanda Effect In Mitral Regurgitation.
     
    
         
        From www.researchgate.net 
                    Mechanism of functional mitral regurgitation. (A) Balance of closing Coanda Effect In Mitral Regurgitation  Basal chordae (tertiary chordae) are limited to the posterior leaflet and connect the leaflet base and mitral annulus to the papillary. A comprehensive assessment of mitral regurgitation using different echocardiographic techniques provides. Moreover, visual assessment of the size of the color flow jet can underestimate mr in eccentric jets that hit the wall of the left. Severe regurgitation usually corresponds. Coanda Effect In Mitral Regurgitation.
     
    
         
        From heart.bmj.com 
                    Quantification of mitral regurgitation by echocardiography Heart Coanda Effect In Mitral Regurgitation  Guidelines suggest that flail leaflet and coanda are specific signs for severe mitral regurgitation. A cardiac mri was done to reveal a severe wall hugging eccentric mitral regurgitation jet revealing a coanda effect. Severe regurgitation usually corresponds to a wide jet with extension. Basal chordae (tertiary chordae) are limited to the posterior leaflet and connect the leaflet base and mitral. Coanda Effect In Mitral Regurgitation.
     
    
         
        From claesjohnson.blogspot.com 
                    CJ on Mathematics and Science The True Explanation of the Coanda Effect Coanda Effect In Mitral Regurgitation  Basal chordae (tertiary chordae) are limited to the posterior leaflet and connect the leaflet base and mitral annulus to the papillary. Mri is an accurate method for. A comprehensive assessment of mitral regurgitation using different echocardiographic techniques provides. Moreover, visual assessment of the size of the color flow jet can underestimate mr in eccentric jets that hit the wall of. Coanda Effect In Mitral Regurgitation.
     
    
         
        From www.slideshare.net 
                    Mitral regurgitation Coanda Effect In Mitral Regurgitation  A cardiac mri was done to reveal a severe wall hugging eccentric mitral regurgitation jet revealing a coanda effect. Mri is an accurate method for. Guidelines suggest that flail leaflet and coanda are specific signs for severe mitral regurgitation. A comprehensive assessment of mitral regurgitation using different echocardiographic techniques provides. Severe regurgitation usually corresponds to a wide jet with extension.. Coanda Effect In Mitral Regurgitation.
     
    
         
        From heart.bmj.com 
                    Acute mitral regurgitation Heart Coanda Effect In Mitral Regurgitation  Basal chordae (tertiary chordae) are limited to the posterior leaflet and connect the leaflet base and mitral annulus to the papillary. Guidelines suggest that flail leaflet and coanda are specific signs for severe mitral regurgitation. A cardiac mri was done to reveal a severe wall hugging eccentric mitral regurgitation jet revealing a coanda effect. Severe regurgitation usually corresponds to a. Coanda Effect In Mitral Regurgitation.
     
    
         
        From medizzy.com 
                    Mitral regurgitation causes MEDizzy Coanda Effect In Mitral Regurgitation  Severe regurgitation usually corresponds to a wide jet with extension. Mri is an accurate method for. A comprehensive assessment of mitral regurgitation using different echocardiographic techniques provides. A cardiac mri was done to reveal a severe wall hugging eccentric mitral regurgitation jet revealing a coanda effect. Basal chordae (tertiary chordae) are limited to the posterior leaflet and connect the leaflet. Coanda Effect In Mitral Regurgitation.
     
    
         
        From www.lecturio.com 
                    Mitral Regurgitation Concise Medical Knowledge Coanda Effect In Mitral Regurgitation  Moreover, visual assessment of the size of the color flow jet can underestimate mr in eccentric jets that hit the wall of the left. Mri is an accurate method for. Basal chordae (tertiary chordae) are limited to the posterior leaflet and connect the leaflet base and mitral annulus to the papillary. A cardiac mri was done to reveal a severe. Coanda Effect In Mitral Regurgitation.
     
    
         
        From www.youtube.com 
                    Severe mitral regurgitation with eccentric jet directed anteriorly into Coanda Effect In Mitral Regurgitation  Basal chordae (tertiary chordae) are limited to the posterior leaflet and connect the leaflet base and mitral annulus to the papillary. Moreover, visual assessment of the size of the color flow jet can underestimate mr in eccentric jets that hit the wall of the left. A comprehensive assessment of mitral regurgitation using different echocardiographic techniques provides. Guidelines suggest that flail. Coanda Effect In Mitral Regurgitation.
     
    
         
        From bhvs.org 
                    Mitral regurgitation British Heart Valve Society Coanda Effect In Mitral Regurgitation  Guidelines suggest that flail leaflet and coanda are specific signs for severe mitral regurgitation. A cardiac mri was done to reveal a severe wall hugging eccentric mitral regurgitation jet revealing a coanda effect. Basal chordae (tertiary chordae) are limited to the posterior leaflet and connect the leaflet base and mitral annulus to the papillary. Mri is an accurate method for.. Coanda Effect In Mitral Regurgitation.
     
    
         
        From www.facebook.com 
                    Mitral Regurgitation with Coanda Effect 5/5 Mitral Regurgitation with Coanda Effect In Mitral Regurgitation  A comprehensive assessment of mitral regurgitation using different echocardiographic techniques provides. Mri is an accurate method for. Moreover, visual assessment of the size of the color flow jet can underestimate mr in eccentric jets that hit the wall of the left. A cardiac mri was done to reveal a severe wall hugging eccentric mitral regurgitation jet revealing a coanda effect.. Coanda Effect In Mitral Regurgitation.
     
    
         
        From www.misjournal.net 
                    Echocardiographic evaluation of mitral valve regurgitation Coanda Effect In Mitral Regurgitation  Guidelines suggest that flail leaflet and coanda are specific signs for severe mitral regurgitation. Basal chordae (tertiary chordae) are limited to the posterior leaflet and connect the leaflet base and mitral annulus to the papillary. A cardiac mri was done to reveal a severe wall hugging eccentric mitral regurgitation jet revealing a coanda effect. Moreover, visual assessment of the size. Coanda Effect In Mitral Regurgitation.
     
    
         
        From www.researchgate.net 
                    Effect of procedures on mitral regurgitation. A mitral regurgitation Coanda Effect In Mitral Regurgitation  A comprehensive assessment of mitral regurgitation using different echocardiographic techniques provides. Severe regurgitation usually corresponds to a wide jet with extension. Guidelines suggest that flail leaflet and coanda are specific signs for severe mitral regurgitation. Mri is an accurate method for. Basal chordae (tertiary chordae) are limited to the posterior leaflet and connect the leaflet base and mitral annulus to. Coanda Effect In Mitral Regurgitation.
     
    
         
        From radiopaedia.org 
                    Image Coanda Effect In Mitral Regurgitation  Moreover, visual assessment of the size of the color flow jet can underestimate mr in eccentric jets that hit the wall of the left. A cardiac mri was done to reveal a severe wall hugging eccentric mitral regurgitation jet revealing a coanda effect. Mri is an accurate method for. Guidelines suggest that flail leaflet and coanda are specific signs for. Coanda Effect In Mitral Regurgitation.
     
    
         
        From www.youtube.com 
                    How to assess severity of horizontal mitral regurgitation(MR) jet? What Coanda Effect In Mitral Regurgitation  A cardiac mri was done to reveal a severe wall hugging eccentric mitral regurgitation jet revealing a coanda effect. Severe regurgitation usually corresponds to a wide jet with extension. Basal chordae (tertiary chordae) are limited to the posterior leaflet and connect the leaflet base and mitral annulus to the papillary. A comprehensive assessment of mitral regurgitation using different echocardiographic techniques. Coanda Effect In Mitral Regurgitation.
     
    
         
        From www.researchgate.net 
                    Mitral annulus calcification. (A, B) Midesophageal image of the mitral Coanda Effect In Mitral Regurgitation  A cardiac mri was done to reveal a severe wall hugging eccentric mitral regurgitation jet revealing a coanda effect. Moreover, visual assessment of the size of the color flow jet can underestimate mr in eccentric jets that hit the wall of the left. Severe regurgitation usually corresponds to a wide jet with extension. Basal chordae (tertiary chordae) are limited to. Coanda Effect In Mitral Regurgitation.
     
    
         
        From www.jacc.org 
                    Atrial Infarction and Ischemic Mitral Regurgitation Contribute to Post Coanda Effect In Mitral Regurgitation  A cardiac mri was done to reveal a severe wall hugging eccentric mitral regurgitation jet revealing a coanda effect. Severe regurgitation usually corresponds to a wide jet with extension. Basal chordae (tertiary chordae) are limited to the posterior leaflet and connect the leaflet base and mitral annulus to the papillary. Guidelines suggest that flail leaflet and coanda are specific signs. Coanda Effect In Mitral Regurgitation.
     
    
         
        From www.researchgate.net 
                    Cardiac disease related to the Coanda effect mitral valve Coanda Effect In Mitral Regurgitation  Severe regurgitation usually corresponds to a wide jet with extension. Guidelines suggest that flail leaflet and coanda are specific signs for severe mitral regurgitation. Mri is an accurate method for. Moreover, visual assessment of the size of the color flow jet can underestimate mr in eccentric jets that hit the wall of the left. A comprehensive assessment of mitral regurgitation. Coanda Effect In Mitral Regurgitation.
     
    
         
        From www.youtube.com 
                    Coanda effect in a very severe wall hugger mitral regurgitation YouTube Coanda Effect In Mitral Regurgitation  Severe regurgitation usually corresponds to a wide jet with extension. A cardiac mri was done to reveal a severe wall hugging eccentric mitral regurgitation jet revealing a coanda effect. Guidelines suggest that flail leaflet and coanda are specific signs for severe mitral regurgitation. A comprehensive assessment of mitral regurgitation using different echocardiographic techniques provides. Mri is an accurate method for.. Coanda Effect In Mitral Regurgitation.
     
    
         
        From www.researchgate.net 
                    Cardiac disease related to the Coanda effect mitral valve Coanda Effect In Mitral Regurgitation  Guidelines suggest that flail leaflet and coanda are specific signs for severe mitral regurgitation. Moreover, visual assessment of the size of the color flow jet can underestimate mr in eccentric jets that hit the wall of the left. Severe regurgitation usually corresponds to a wide jet with extension. Mri is an accurate method for. A comprehensive assessment of mitral regurgitation. Coanda Effect In Mitral Regurgitation.
     
    
         
        From www.echoboardsacademy.com 
                    Quantitative Echocardiographic Assessment of Mitral Regurgitation Coanda Effect In Mitral Regurgitation  A cardiac mri was done to reveal a severe wall hugging eccentric mitral regurgitation jet revealing a coanda effect. Basal chordae (tertiary chordae) are limited to the posterior leaflet and connect the leaflet base and mitral annulus to the papillary. A comprehensive assessment of mitral regurgitation using different echocardiographic techniques provides. Guidelines suggest that flail leaflet and coanda are specific. Coanda Effect In Mitral Regurgitation.
     
    
         
        From www.researchgate.net 
                    a) Mitral valve with slight thickening of the leaflets and an echogenic Coanda Effect In Mitral Regurgitation  Basal chordae (tertiary chordae) are limited to the posterior leaflet and connect the leaflet base and mitral annulus to the papillary. Moreover, visual assessment of the size of the color flow jet can underestimate mr in eccentric jets that hit the wall of the left. Mri is an accurate method for. A cardiac mri was done to reveal a severe. Coanda Effect In Mitral Regurgitation.
     
    
         
        From my.clevelandclinic.org 
                    Mitral Valve Regurgitation Symptoms & Causes Coanda Effect In Mitral Regurgitation  Moreover, visual assessment of the size of the color flow jet can underestimate mr in eccentric jets that hit the wall of the left. Severe regurgitation usually corresponds to a wide jet with extension. A cardiac mri was done to reveal a severe wall hugging eccentric mitral regurgitation jet revealing a coanda effect. Guidelines suggest that flail leaflet and coanda. Coanda Effect In Mitral Regurgitation.
     
    
         
        From www.slideshare.net 
                    Echocardiography of Mitral regurgitation Coanda Effect In Mitral Regurgitation  Moreover, visual assessment of the size of the color flow jet can underestimate mr in eccentric jets that hit the wall of the left. Guidelines suggest that flail leaflet and coanda are specific signs for severe mitral regurgitation. Severe regurgitation usually corresponds to a wide jet with extension. A cardiac mri was done to reveal a severe wall hugging eccentric. Coanda Effect In Mitral Regurgitation.
     
    
         
        From myheart.net 
                    Mitral Regurgitation Explained • Coanda Effect In Mitral Regurgitation  Basal chordae (tertiary chordae) are limited to the posterior leaflet and connect the leaflet base and mitral annulus to the papillary. Guidelines suggest that flail leaflet and coanda are specific signs for severe mitral regurgitation. A comprehensive assessment of mitral regurgitation using different echocardiographic techniques provides. A cardiac mri was done to reveal a severe wall hugging eccentric mitral regurgitation. Coanda Effect In Mitral Regurgitation.
     
    
         
        From aheadtrial.com 
                    Mitral regurgitation Cardiovalve Coanda Effect In Mitral Regurgitation  Severe regurgitation usually corresponds to a wide jet with extension. A comprehensive assessment of mitral regurgitation using different echocardiographic techniques provides. Basal chordae (tertiary chordae) are limited to the posterior leaflet and connect the leaflet base and mitral annulus to the papillary. Moreover, visual assessment of the size of the color flow jet can underestimate mr in eccentric jets that. Coanda Effect In Mitral Regurgitation.